a20fa3531da8f388775f07c8b1f84e96.ppt
- Количество слайдов: 41
Подходы к диагностике и лечению внебольничных пневмоний у взрослых Агеева Т. С. , д-р мед. наук, профессор, заведующая клиникой госпитальной терапии, ГБОУ ВПО Сиб. ГМУ МЗ РФ, Главный внештатный специалист по организации специализированной медицинской помощи по профилю «пульмонология» ДЗТО 1
Актуальность В России заболеваемость достигает 14 -15 ‰, согласно расчетам пневмонию ежегодно переносят более 1, 5 млн человек взрослого населения Около 400 тыс. человек в год поступают в стационары Летальность от пневмоний составляет около 40 тыс. случаев в год Среди причин смерти от инфекционных заболеваний пневмония находится на первом месте 2
Врачебные ошибки при пневмонии Процент врачебный ошибок при пневмонии в России очень высок и составляет более 30%: Диагностика и верификация пневмонии (гиподиагностика, поздняя диагностика) l Оценка тяжести течения l l l Выбор АБП Адекватность оценки эффективности АБП Коррекция АБТ Длительность АБТ Недооценка возможностей патогенетической терапии (А. Г. Чучалин, 2014)
«Золотой стандарт» при установлении диагноза пневмонии 5 клинических признаков 1. 2. Острое начало с лихорадкой Продуктивный кашель (реже сухой) 3. Локальные изменения в легких (усиление голосового дрожания и бронхофонии, укорочение перкуторного звука, бронхиальное дыхание, крепитация и/или мелкопузырчатые хрипы, ) 4. Лейкоцитоз (реже лейкопения), палочкоядерный сдвиг Рентгенологическое исследование – инфильтрат в легких, который ранее не определялся 5.
Критерии диагноза Диагноз внебольничной пневмонии является определенным при наличии у больного рентгенологически подтвержденной очаговой инфильтрации легочной ткани и по крайней мере двух клинических признаков: а) острая лихорадка в начале заболевания (t >38°С) б) кашель с мокротой в) физические признаки очагового поражения легких г) лейкоцитоз (>10, 0 х109/л) и/или палочкоядерный сдвиг (>10%)
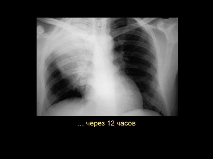
Однако …. l У больных пожилого возраста респираторные симптомы в начале заболевания могут отсутствовать, а на первый план – сонливость, спутанность сознания, нарушения сна, снижение аппетита, обострение/декомпенсация хронических заболеваний (в 45%) l У 20% больных объективные симптомы пневмонии могут отличаться от типичных или вообще отсутствовать l Изменение классической картины заболевания, так как минимум 30% больных до поступления в стационар принимают антибиотики l Поэтому актуально своевременное проведение рентгенологического исследования (в 2 -х проекциях) 6
Данные Центрального научно-исследовательского института организации и информатизации здравоохранения МЗ РФ, 2012 г. 9
Тяжелая внебольничная пневмония - особая форма пневмонии! (оказание медицинской помощи в ОРИТ) Выраженная ДН (может с нее дебютировать!) Выраженная ДН + сепсис и органная дисфункция Сепсис и органная дисфункция
Критерии ТВП ( IDSA / ATS ) «Большие» критерии (достаточно одного → в ОРИТ) - Острая дыхательная недостаточность, требующая ИВЛ - Септический шок (необходимость введения вазопрессоров) «Малые» критерии (достаточно 3 -х → в ОРИТ) ЧДД 30/мин Ра. О 2/Fi. O 2 ≤ 250 Мультилобарная инфильтрация Нарушение сознания Уремия (остаточный азот мочевины ≥ 20 мг/дл – мочевина, ммоль/л / 2, 14) Лейкопения (< 4, 0 х 109/л) Тромбоцитопения (< 100, 0 х 1012/л) Гипотермия (<360 C) Гипотензия, требующая интенсивной инфузионной терапии 11
Шкала CRB-65* Симптомы и признаки: § § § Нарушение сознания (С) ЧД ≥ 30 в 1 минуту (R) Систолическое АД < 90 мм. рт. ст, Диастолическое АД ≤ 60 мм. рт. ст Возраст ≥ 65 лет (65) 0 баллов, летальность 1, 2% 1 -2 балла, летальность 8, 15% Амбулаторное лечение Лечение в стационаре (В) 3 -4 балла, летальность 31% Неотложная госпитализация в ОРИТ * - наличие каждого из признаков оценивается в 1 балл
Острая дыхательная недостаточность l Ø Ø ОДН : распространенное внутриальвеолярное бактериальное воспаление → тяжелые вентиляционноперфузионные нарушения: вентиляция более 50 % «мертвого пространства» и шунтирование более 20% (S. Ewig et al. Intensive Care Med 2011; 37: 214 -223) 14
Острая дыхательная недостаточность Классификация ДН по степени тяжести Степень Ра. О 2, мм рт. ст. Sa. O 2, % норма ≥ 80 ≥ 95 I 79 – 60 94 – 90 II 59 – 40 89 – 75 III <40 <75
Основные причины смерти при ТВП Рефрактерная гипоксемия l Септический шок l Полиорганная недостаточность l ----- Возраст более 70 лет - Проведение ИВЛ - Двусторонняя локализация процесса - Сепсис - Инфицирование P. aeruginosa 17
Тяжелая внебольничная пневмония l сепсис и/или септический шок: легочная инфекция индуцирует системный воспалительный ответ с развитием тяжелой гипоперфузии и полиорганной недостаточности (S. Ewig et al. Intensive Care Med 2011; 37: 214 -223) 18
Синдром системной воспалительной реакции характеризуется наличием двух и более признаков: – температура ≥ 38°С или ≤ 36°С – ЧСС ≥ 90/мин – ЧДД > 20/мин – лейкоциты крови > 12× 109/л или < 4× 109/л, или 10% незрелых форм 19
Сепсис l Сепсис - наличие очага инфекции и двух и более признаков ССВР l Тяжелый сепсис - сепсис с органной дисфункцией, гипотензией, нарушением тканевой перфузии (повышение концентрации лактата, олигурия, острое нарушение сознания) l Септический шок - тяжелый сепсис с признаками тканевой и органной гипоперфузии и артериальной гипотонией, не устраняющейся с помощью инфузионной терапии и требующей назначения катехоламинов 20
l Головной мозг может быть первой мишенью септического каскада (в любом возрасте!) l Расстройство сознания любого типа требует исключения тяжелой внебольничной пневмонии как основной причины 21
Сепсис-ассоциированная энцефалопатия Ø диффузная дисфункция головного мозга, вызванная системным ответом на инфекцию, без клинических или лабораторных признаков прямого инфекционного поражения ЦНС Ø частота 9 – 71 % (в среднем – 23 %) Ø летальность – 49 % по сравнению с 26 % без нее NB!
Сепсис-ассоциированная энцефалопатия по типу изменения сознания: по типу угнетения сознания: дефицит психической активности l угнетение интеллектуальной деятельности l снижение двигательной активности l извращенное восприятие окружающей среды и собственной личности (конфликтность, придирчивость, негативное отношение к окружающим, включая медперсонал и пр. ) l расстройства сознания l 23
Критерии ТВП ( IDSA / ATS ) «Большие» критерии (достаточно одного → в ОРИТ) - Острая дыхательная недостаточность, требующая ИВЛ - Септический шок (необходимость введения вазопрессоров) «Малые» критерии (достаточно 3 -х → в ОРИТ) ЧДД 30/мин Ра. О 2/Fi. O 2 ≤ 250 Мультилобарная инфильтрация Нарушение сознания Уремия (остаточный азот мочевины ≥ 20 мг/дл – мочевина, ммоль/л / 2, 14) Лейкопения (< 4, 0 х 109/л) Тромбоцитопения (< 100, 0 х 1012/л) Гипотермия (<360 C) Гипотензия, требующая интенсивной инфузионной терапии 24
Декомпенсация сопутствующей патологии l Обострение/декомпенсация должны рассматриваться в качестве маркера ТВП, наблюдаются в 40% случаев l Сопутствующие заболевания: ХСН, СД, ХОБЛ, БА, ОНМК, почек, печени, злокачественные новообразования оказывают независимое отрицательное влияние на прогноз при ТВП l Максимальный риск сердечно-сосудистых событий наблюдается в первые 24 часа с момента госпитализации 25
Прокальцитонин (РСТ) - биомаркер для диагностики тяжелых бактериальных инфекций (>0, 5 нг/мл) и сепсиса (>2 нг/мл) полипептид - предшественник кальцитонина, повышение концентрации специфично для тяжелых бактериальных инфекций (опухоли легких, щитов. железы, обширные травмы, кардиоген. шок) l синтез РСТ может осуществляться в лейкоцитах (щитов. железе, печени, легких) l в режиме on-line можно подтвердить или исключить участие бактериальной инфекции в генезе воспаления l наиболее информативный тест, характеризующий системное воспаление при сепсисе, чувствительность и специфичность > 90% l l l быстро регрессирует на фоне рациональной антибактериальной терапии 26
Интерпретация результатов РСТ Уровень РСТ, Интерпретация нг/мл l <0, 1 l 0, 1 – 0, 25 l 0, 25 – 0, 5 бак. инфекции (БИ) нет l вероятность БИ мала l БИ вероятна (АБТ? ) l 0, 5 l l БИ высоко вероятна (АБТ!) 27
Алгоритм диагностики ВП на амбулаторном этапе l l l Тщательное физическое обследование (поиск симптомов локального поражения легких) Своевременное выполнение рентгенологического исследования легких – единственного первичного метода диагностики пневмонии Своевременное проведение пульсоксиметрии (диагностика ДН) Оценки тяжести заболевания по шкале CRВ-65 для принятия решения о выборе места лечения Учет декомпенсации сопутствующей патологии (независимый маркер тяжелого течения пневмонии) 29
Алгоритм диагностики ВП в приемном отделении стационара l l l Тщательное физическое обследование (поиск симптомов локального поражения легких) Выполнение рентгенологического исследования легких в 2 -х проекциях Своевременное проведение пульсоксиметрии (диагностика ДН) Исследование биомаркеров воспаления – С-реактивный белок и РСТ Учет декомпенсации сопутствующей патологии (независимый маркер тяжелого течения пневмонии) l Оценки тяжести заболевания по шкале CRВ-65 для принятия решения о выборе места лечения (палатное отделение или ОРИТ) 30
Алгоритм диагностики ВП в отделении стационара l l l Тщательное физическое обследование (поиск симптомов локального поражения легких) Своевременное выполнение СКТ при неопределенной рентгенологической картине Мониторирование Sа. O 2 до стабилизации состояния больного Мониторирование АД Исследование биомаркеров воспаления – С-реактивный белок и РСТ – для верификации диагноза пневмонии и оценки эффективности антибактериальной терапии Учет декомпенсации сопутствующей патологии (независимый маркер тяжелого течения пневмонии) l Своевременный перевод больного в ОРИТ 31
Стартовая эмпирическая АМТ Антибиотики – единственные препараты, для которых при пневмонии доказана эффективность! Противовирусные препараты могут назначаться эмпирически пациентам с ВП, находящимся в критическом состоянии в период сезонного подъема заболеваемости гриппом в регионе (отменить при отрицательном результате исследования респираторных образцов на грипп методом ПЦР) 32
Эмпирическая АБТ ВП у взрослых (согласительные рекомендации РРО / МАКМАХ, 2011 г. ) Клинический «сценарий» Антибиотики выбора (внутрь) внутрь Лечение в амбулаторных условиях Нетяжелая ВП без сопут. заболеваний, не принимавшие последние 3 мес. системные АБП ≥ 2 дней (S. pneumoniae, M. pneumoniae, C. pneumoniae, H. influenzae) Нетяжелая ВП с сопут. заболеваниями и/или принимавшие последние 3 мес. системные АБП ≥ 2 дней (S. pneumoniae, H. influenzae, C. pneumoniae, S. aureus, Enterobacteriaceae) Амоксициллин или Макролиды (современные!) Амоксициллин/клавуланат макролиды или Респираторный фторхинолон) ± 33
Эмпирическая АБТ внебольничной пневмонии у взрослых (согласительные рекомендации РРО / МАКМАХ, 2011 г. ) Лечение в условиях стационара (антибиотик – парентерально, ступенчатая терапия) Нетяжелая ВП (отделение общего профиля) β-лактам+макролид в/в или (S. pneumoniae, H. influenzae, C. pneumoniae, S. aureus, Enterobacteriaceae) респираторный фторхинолон 34
Эмпирическая АБТ ТВП (рекомендации РРО / МАКМАХ, 2014 г. ) Лечение в условиях ОРИТ (антибиотик – внутривенно) Возбудители S. pneumoniae, Legionella spp. , S. aureus, Enterobacteriaceae β-лактам (ЦП III пок. , АМО/КК, карбопенемы) + макролид (азитромицин, кларитромицин – В) или респираторный фторхинолон + ЦП III 35
Стартовая антибактериальная терапия Принципиальное значение имеет тактика антибактериальной терапии : - максимально ранняя - «агрессивная» - в режиме деэскалации NB! 36
Стартовая антибактериальная терапия 1) внутривенное введение антибиотиков [C] 2) неотложное назначение антибиотиков: Ø Ø отсрочка c началом на 4 часа существенно ухудшает прогноз [C] в случае развития септического шока это время целесообразно сократить до 1 часа (отсрочка на 1 час увеличивает летальность на 7%) NB! 37
Заключение Клинические рекомендации достаточны, чтобы начать потенциально эффективную эмпирическую антибактериальную терапию Клинические рекомендации по диагностике, лечению и профилактике тяжелой внебольничной пневмонии у взрослых / под ред. А. Г. Чучалина. 2014. http: //www. pulmonology. ru 38
39
Заключение Если врач следует клиническим рекомендациям лечения пневмонии, доля неэффективной терапии уменьшается на 35– 40%, а вероятность летального исхода – на 45% (Синопальников А. И. , Чучалин А. Г. , 2007) NNT = 20 (20 : 1) 40
ние! има за вн арю лагод Б 41
a20fa3531da8f388775f07c8b1f84e96.ppt