5917ee9c756e13802e05a3ae1fb6419b.ppt
- Количество слайдов: 82
Пневмония: cовременные аспекты клиники, диагностики и лечения БАШКИРСКИЙ ГОСУДАРСТВЕННЫЙ МЕДИЦИНСКИЙ УНИВРСИТЕТ КАФЕДРА ТЕРАПИИ И ОБЩЕЙ ВРАЧЕБНОЙ ПРАКТИКИ С КУРСОМ ГЕРИАТРИИ ИДПО
3
ПНЕВМОНИЯ Острое инфекционное заболевание, преимущественно бактериальной этиологии, характеризующееся очаговым (локальным)поражением респираторных отделов легких, наличием альвеолярной экссудации и выражеными в различной степени лихорадкой и интоксикацией.
ЭПИДЕМИОЛОГИЯ Согласно данным официальной статистики РФ (Центральный научно-исследовательский институт организации и информатизации здравоохранения Минздрава РФ), в 2012 г. в РФ было зарегистрировано 657643 случая заболевания ВП, что составило 4, 59‰; у лиц в возрасте > 18 лет заболеваемость составила 3, 74‰. Однако, что эти цифры не отражают истинной заболеваемости ВП в РФ, которая согласно расчетам достигает 14 -15‰, а общее число больных ежегодно превышает 1, 5 млн. человек.
В США ежегодно регистрируется 5 -6 млн случаев ВП, из них около 1 млн человек требуют госпитализации в стационар. По приблизительным подсчетам, на каждые 100 случаев ВП около 20 больных нуждаются в стационарном лечении, из них 10 -36% в условиях отделений реанимации и интенсивной терапии (ОРИТ). Среди госпитализиро-ванных больных в Европе и США доля пациентов с ТВП составляет от 6, 6 до 16, 7%.
Несмотря на успехи, достигнутые в АБТ, респираторной поддержке и терапии сепсиса, летальность среди больных с тяжелой ВП составляет от 21 до 58%. Согласно данным статистики США среди всех причин летальности ВП занимает 8 -е место, а общая доля смертей от ВП среди всех смертей в 2004 г. составляла 0, 3%. Основной причиной смерти больных с ТВП является рефрактерная гипоксемия, СШ и полиорганная недостаточность (ПОН). В проспективных исследованиях основными факторами, ассоциированными с неблагоприятным прогнозом больных с тяжелой ВП были: возраст > 70 лет, проведение ИВЛ, двусторонняя локализация пневмонии, сепсис и инфицирование P. aeruginosa.
КЛАССИФИКАЦИЯ 1. Внебольничная (приобретенная вне лечебного учреждения) пневмония (синонимы: домашняя, амбулаторная) 2. Нозокомиальная (приобретенная в лечебном учреждении) пневмония (синонимы: госпитальная, внутрибольничная). 3. Аспирационная пневмония 4. Пневмония у лиц с тяжелыми нарушениями иммунитета (врожденный иммунодефицит, ВИЧинфекция, ятрогенная иммуносупрессия)
Внебольничная пневмония Острое заболевание, возникшее вне стационара или диагностированное в первые 48 часов от момента госпитализации, сопровождающееся симптомами инфекции нижних дыхательных путей и рентгенологическими признаками «свежих» очагово-инфильтративных изменений в легких.
Внебольничная пневмония 1. Типичная (у пациентов с отсутствием выраженных изменений иммунитета) а)бактериальная б)вирусная в)грибковая г) микобактериальная д) паразитарная 2. У пациентов с выраженными нарушениями иммунитета а) синдром приобретенного иммунодефицита б) прочие заболевания и патологические состояния 3. Аспирационная пневмония
Нозокомиальная (госпитальная, внутрибольничная пневмония Заболевание, характеризующееся появлением на рентгенограмме «свежих» очагово-инфильтративных изменений в легких спустя 48 часов и более после госпитализации в сочетании с клиническими данными, подтверждающимиих инфекционную природу(новая волна лихорадки, гнойная мокрота или гнойное отделяемое трахеобронхиалного дерева, лейкоцитоз), при исключении инфекциий, которые находились в инкубационном периоде на момент поступления в стационар.
Нозокомиальная пневмония 1. Собственно нозокомиальная 2. Вентиляторассоциированная 3. Нозокомиальная пневмония у пациентов с выраженными нарушениями иммунитета а)у реципиентов донорских органов б)у пациентов, получающих цитостатическую терапию
Пневмония, связанная с оказанием медицинской помощи 1) Пневмония у жителей домов престарелых 2) Прочие категории пациентов: А) антибактериальная терапия в предшествующие 3 месяца Б) госпитализация (по любому поводу) в течении 2 суток и более в предшествующие 90 дней В) пребывание в других учреждениях длительного ухода Г) хронический гемодиализ в течении 30 суток и более Д) обработка раневой поверхности в домашних условиях Е) иммунодефицитные состояния/заболевания
По локализации - Односторонние : тотальные долевые сегментарные центральные -Двусторонние: полисегментарные
По течению Острое Затяжное (более 4 недель)
По степени тяжести течения Легкое Средней тяжести Тяжелое Крайне тяжелое
Лёгкое течение Интоксикация слабо выражена или её признаков нет Лихорадка до 38 ЧСС до 90 в минуту Одышка при физической нагрузке ЧДД до 22 Острофазовые реакции крови на воспаление выражены слабо На ренгенограмме легких единичный очаг поражения
Течение средней тяжести Умеренно выраженная интоксикация не влияющая на общее состояние Лихорадка до 39 Тахикардия до 100 ударов в минуту Снижение артериального давления умереное одышка в покое ЧДД до 30 в минуту. Острофазовые реакции крови на воспаление не вызывают сомнения На рентгенограмме легких выраженная инфильтрация
Тяжелое течение Выраженная интоксикация и адинамия Гипертермия более 39 Тахикардия более 100 ударов в минуту Падение АД, ортостатический коллапс. цианоз Лейкопения менее 4. 0 в 10 * 9 или лейкоцитоз более 20 * 10 9 Рентгенограмма легких обширная инфильтрация, возможна деструкция, двустороннее поражение
Показатели тяжелого течения Двусторонняя локализация процесса Быстрое прогрессирование процесса (увеличение зоны инфильтрации на 50% и более за 48 часов) Тяжелая дыхательная недостаточность Тяжелая сосудистая недостаточность, требующая применения прессорных аминов Олигурия или проявления острой почечной недостаточности Лейкопения менее 4, 0 * 109 или лейкоцитоз выше 25 * 109
Крайне тяжелое течение Резко выраженная и прогрессирующая дыхательная недостаточность Острая и прогрессирующая сердечнососудистая недостаточность Ацидоз и гипоксемия Церебральные и неврологические нарушения (острый психоз, сопор) Рентгенограмма легких: массивные инфильтративные изменения, множественные деструкции
Оценка степени тяжести пневмонии (Fine, 1997) Демографические факторы = возраст (лет) возраст, мужчины Возраст, женщины Пребывание в домах ухода = возраст – 10 лет + 10 Сопутствующие заболевания + 30 + 20 + 10 опухоли Заболевания печени Застойная сердечная недостаточность Цереброваскулярная болезнь Заболевания почек Физикальные признаки Нарушение сознания Частота дыхания >30 Систолическое АД < 90 мм рт ст Температура < 350 С или >400 С Пульс > 125/мин + 20 + 15 + 10 Лабораторные и рентгенологические данные р. Н артериальной крови < 7, 35 Мочевина > 10, 7 ммоль/л Натрий крови < 130 ммоль/л Глюкоза крови > 14 ммоль/л Гематокрит < 30% ра. О 2 < 60 мм рт ст Плевральный выпот + 30 + 20 + 10
CURB/CRB- 65
Не учитывают важные показатели, характеризующие ДН (например, уровень оксигенации). Не позволяют оценить необходимость госпитализации в ОРИТ. Не учитывают декомпенсацию сопутствующей патологии вследствие ВП. Не учитывают социальные факторы и сопутствующие заболевания. Невысокая информативность при определении прогноза у пациентов пожилого возраста.
Наиболее эффективным инструментом для выработки показаний к направлению в ОРИТ являются рекомендации IDSA/ATS (Американского торакального общества и Американского общества инфекционных болезней), а также шкала SMART-COP, максимально учитывающие проявления сепсис-индуцированной органной дисфункции и дыхательные расстройства.
IDSA/ATS критерии тяжелой ВП «Большие» критерии: Выраженная ДН, требующая ИВЛ Септический шок (необходимость введения вазопрессоров) «Малые» критерии 1: ЧДД 30/мин Ра. О 2/Fi. O 2 ≤ 250 Мультилобарная инфильтрация Нарушение сознания Уремия (остаточный азот мочевины2 ≥ 20 мг/дл) Лейкопения (лейкоциты < 4 х 109/л) Тромбоцитопения (тромбоциты < 100 х 1012/л) Гипотермия (<360 C) Гипотензия, требующая интенсивной инфузионной терапии
По фазе заболевания Разгара Разрешения Реконвалесценции Затяжное течение
Осложнения пневмонии Дыхательная недостаточность Острая сердечно-сосудистая недостаточность Отек легких Инфекционно-токсический шок Острый респираторный дистресс Абсцедирование Сепсис Метапневматический плеврит и эмпиема плевры
Этиология внебольничной пневмонии Strpeptococus pneumoniae 20 -60% Mycoplasma pneumoniae 5 -50 % Chlamydophila pneumoniae 5 - 15% Более редкие возбудители Haemophilus influensae 3 – 10% Staphylococcus aureus 3 – 10% Klebsiella pneumoniae 3 – 5 % Нередко выявляется смешанная или коинфекция
Этиологическая диагностика ВП Этиология ВП* не устанавливается в 50 -70% случаев * у госпитализированных пациентов GD Fang et al. Medicine (Baltimore) 1990; 69: 307 A Ruiz-Gonzalez et al. , Am J Med 1999; 106: 385 TMJr File, JS Tan. Curr Opin Pulm Med 1997; 3: 89 TJ Marrie et al. Respir Med 2005; 99: 60
Этиология ВП у взрослых 3 – 5% 2 – 8% 1 – 6% 4 – 6% 3 – 10% 20 – 60% TM File, Jr. Respiratory tract infections. London, UK. 2007
Факторы, модифицирующие этиологию ВП Сопутствующие заболевания Предшествовавшая АБТ Степень тяжести заболевания Актуальная этиология ВП
УСЛОВИЯ ВОЗНИКНОВЕНИЯ ВЕРОЯТНЫЕ ВОЗБУДИТЕЛИ Алкоголизм Стрептококк. Анаэробы, грам (-) бактерии. Клебсиелла ХОБЛ/курение Пневмококк. Гемофильная палочка, моксарелла. легионелла Декомпенсированный сахарный диабет Стрептококк. Белый стафилококк Пребывание в домах престарелых Стрептококк. Энтеробактеры Несанированная полость рта Анаэробы Эпидемия гриппа Стрептококк пиогенный, белый. Гемофильная палочка Предполагаемая массивная аспирация Анаэробы Развитие ВП на фоне бронхоэктазов, муковисцидоза Синегнойная палочка Инъекционные наркоманы Стафилококк. анаэробы Локальная бронхиальная обструкция (например: бронхиальная карцинома) анаэробы Контакты с кондиционерами, увлажнителями воздуха, системами охлаждения воды легионелла Встышка заболевания в тесно взаимодействующем коллективе (например: школьники, военнослужащие) Стрептококк. Микоплазма, хламидии легионелла
Клиническая картина Интоксикационый синдром Бронхитический синдром Синдром поражения легочной паренхимы
Диагноз пневмонии основывается На жалобах больного Физикальных данных (могут не проявляться у 20% пациентов) Лабораторных данных – ОАК (лейкоцитоз, сдвиг влево до миелоцитов, лейкопения, ускорение СОЭ), БХА крови (белки острой фазы воспаления, гаммаглобулинемия), повышение уровня прокальцитонина, являющегося предиктором неблагоприятного течения заболевания и развития осложнений. Микробиологическое исследование мокроты с окраской по Граму необходимо! В 50% определить возбудителя не удается.
Лучевые методы исследования Рентгенография ОГК в 2 проекциях оцениваются следующие критерии: Распространенность инфильтрации Наличие или отсутствие плеврального выпота Наличие или отсутствие полостей деструкции Оценка динамики процесса на фоне терапии
Пневмония в верхней доле правого легкого
Пневмония в язычковом сегменте левого легкого
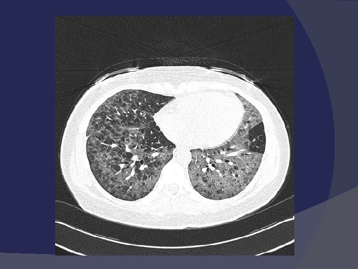
Компьютерная томография Может быть использована при малосимптомных вариантах течения пневмонии, так как обладает в 2 раза более высокой чувствительностью при выявлении очагов инфильтрации. Необходима для дифференциальной диагностики.
Компьютерная томография
Пневмококковая пневмония Воспаление носит экссудативный характер, может протекать как крупозная или очаговая форма. Начало острое с продуктивным кашлем, болью в грудной клетке, одышкой, лихорадкой. В настоящее время увеличилась частота малосимптомной пневмонии. Протекающей по трем вариантам: клинический, рентгенологический и смешанный.
Микоплазменная пневмония Начало заболевания в виде затянувшейся респираторной вирусной инфекции (фарингит, бронхит. Ларинго-трахеит). Малопродуктивный кашель, лихорадка до 40 и более дней, отностельно скудные физикальные данные. Возможны внелегочные проявления миалгия, кожная сыпь, спленомегалия, стойкий гипергидроз. Для подтверждения диагноза серологические исследования на наличие антител, титр антител нарастает в 2 -3 раза от исходного. Информативна полимеразная цепная реакция.
Mycoplasma Pneumonia
Хламидийная пневмония Начало также сходно с затянувшейся респираторной инфекцией, но интоксикация более выражена, температура фебрильная, головные боли, носовые кровотечения. Пневмония чаще двухсторонняя, течение средней тяжести. Может быть тяжелым. Рентгенологическая картина разнообразна. Подтверждение диагноза серологическое.
Легионеллёзная пневмония Чаще развивается у ослабленных пациентов с хроническими заболеваниями, у лиц, получающих иммунодепрессанты, глюкокортикоиды, цитостатики. Легионелла выделяет эндотоксин с протеолитическими способностями, пневмония носит деструктивный характер. Течение тяжелое, пневмония долевая. Полисегментарная, с высокой интоксикацией, вплоть до инфекционнотоксического шока, осложнения: плеврит, пневмоторакс. Поражение желудочно-кишечного тракта (тошнота, рвота, диарея), острая почечная недостаточность, токсическое поражение печени, энцефалопатия.
Септическая пневмония
Пневмоцистная пневмония
Инфарктная пневмония
Дифференциальный диагноз Туберкулез легких Опухоли легких Тромбоэмболия легочной артерии
Летальность от пневмонии среди лиц старше 60 лет в 10 раз выше, чем в других возрастных группах, При госпитальных пневмониях достигает 70%, при пневмококковой пневмонии достигает 10 -15%. Среди причин смерти пациентов старше 65 лет пневмония занимает 4 место.
Факторы риска летального исхода ОШ* Возраст < / > 65 лет 5, 05 (<. 001) Застойная сердечная недостаточность 4, 91 (<. 001) Цереброваскулярные заболевания 5, 91 (<. 001) Заболевания печени / почек 2, 98 – 4, 22 (≤. 001) Сахарный диабет 2, 55 (<. 001) Обитатели домов престарелых 8, 0 (<. 001) Тяжесть течения заболевания (CURB) 2, 60 (<. 001) Неэффективная АБТ** 2, 24 (=. 001) * - отношение шансов ** - отсутствие клинического эффекта в ближайшие 48 -72 ч H Kothe et al. , ERJ 2008; 32: 139
Основными патогенетическими факторами развития пневмонии в пожилом возрасте являются: *инволюционный иммунодефицит; * наличие фоновой патологии; *большой объём медикаментозной терапии *гипомобильность; *частые госпитализации или пребывание в интернатах.
Трудности диагностики пневмонии у пожилых связаны непостоянные и невыраженные физикальные признаки; -трудности трактовки аускультативных и рентгенологических синдромов; - частые нарушения со стороны ЦНС; -необъяснимые падения, предшествующие симптомам пневмонии; -превалирование симптоматики, связанной с декомпенсацией фоновых заболеваний; -тяжелое и атипичное течение заболевания, обусловленное характером возбудителя.
Стационарное лечение пневмонии 1. Возраст старше 60 лет 2. Наличие сопутствующих заболеваний (хронический бронхит/ХОБЛ, бронхо-эктазы, злокачественные новообразования, сахарный диабет, хроническая почечная недостаточность, застойная сердечная недостаточность, хронический алкоголизм, наркомания, выраженный дефицит массы тела, цереброваскулярные заболевания) 3. Неэффективность стартовой антибактериальной терапии 4. Желание пациента и/или членов его семьи.
Антибиотики при пневмонии - это… Доантибактериальная эра Смертность, n/100000 90 80 70 Антипневмококковая сыворотка 60 50 40 Антибактериальная терапия 30 20 10 0 1900 1910 1920 1930 1940 1950 1960 1970 1980 1990 K Gilbert, MJ Fine. Semin Respir Infect 1994; 9: 140
Ключевые факторы выбора адекватной АБТ Антимикробная активность в отношении большинства вероятных возбудителей заболевания Структура антибиотикорезистентности Эпидемиологические характеристики (возраст, сопутствующие заболевания, путешествия и пр. ) Профиль безопасности (НЯ, лекарственные взаимодействия) Параметры PK/PD Стоимость TM File, Jr. Community-acquired respiratory infections. Antimicrobial management. NY, USA. 2003
Эффективность и безопасность АБТ ВП у амбулаторных больных * 13 РКИ, n – 4. 314 N Maimon et al. ERJ 2008; 31: 1068
Выбор антибактериального препарата при неэффективности стартового режима терапии ВП в амбулаторных условиях Препараты на I этапе лечения Препараты на II этапе лечения Комментарии Амоксициллин Макролиды Докксициклин Возможны «атипичные» микроорганизмы: C. pneumoniae M. pneumoniae Амоксициллин/клавуланат Макролиды Доксициклин Респираторные фторхинолоны Возможны «атипичные» микроорганизмы: C. pneumoniae M. pneumoniae Макролиды Бензилпенициллин Амоксициллин/клавуланат Респираторные фторхинолоны Резистентные пневмококки или Грам (-) бактерии
Терапия тяжелой внебольничной пневмонии Наиболее частые возбудители S. pneumoniae Legionella spp. S. aureus Enterobacteriaceae Препараты выбора Амоксициллин/клавуланат в/в + макролид в/в Цефотаксим в/в+ макролид в/в Цефтриаксон в/в+ макролид в/в Альтернативные препарвты Респираторные фторхинолоны (левофлоксацин, моксифлоксацин) в/в + цефалоспорины III поколения в/в
Факторы риска терапевтической неудачи АБТ ВП Наличие инвалидизирующих сопутствующих заболеваний (диабет, ЗСН, ХБ/ХОБЛ, заболевания печени/почек и др. ) Предшествующая антибактериальная терапия Тяжелое/осложненное течение ВП
Длительность антибактериальной терапии a) Сопутствующая патология и/или бактеремия b) Тяжесть болезни в начале антибактериальной терапии c) Госпитализированные пациенты возбудитель длительность лечения S. pneumoniae от 7 до 10 дней M. pneumoniae от 10 до 14 дней C. pneumoniae от 10 до 14 дней Legionnella pneumonia 14 дней 21 день у иммуноскомпроментированных пациентов
БИОПЛЕНКИ: упорядоченное микробное сообщество с четкой структурой. Синегнойная палочка, золотистый стафилококк Энтерококки, кандида Колонизируют катеторы(венозные, уретральные, внутриполостные, эндотрахеальные трубки, протезы, ВМС) Устойчивость к антибиотикам возрастает в 100 и более раз!
Превосходство комбинированной АБТ ВП: возможные объяснения Активность в отношении типичных и «атипичных» возбудителей (распространенность микст-инфекции*) Потенциальный синергизм антибиотиков различных классов (различные точки приложения: β-лактамы → нарушение синтеза стенки бактериальной клетки; макролиды → ингибирование синтеза белка микробной клеткой → снижение продукции факторов вирулентности) Противовоспалительный эффект макролидов *В 50% случаев при пневмококковой пневмонии диагностируются и другие C. pneumoniae - 21%, M. pneumoniae - 16% (Mac. Farlane, 2002) инфекции:
Летальность больных ВП в стационаре (%) n – 1443 (ретроспективный анализ) n- 1404 (проспективный анализ) F Blasi et al. ERJ 2008; 32: 902
Нозокомиальная пневмония В терапевтических отделениях общего профиля (этиология в основном совпадает с внебольничной пневмонией) В отделениях хирургии, реанимации, интенсивной терапии.
Частота нозокомиальной пневмонии 0, 5 -1, 0 % всех госпитализированных 15 -20 % из пациентов ОИТ В США выявляется у 250 -300 тысяч пациентов в год В России общих данных нет По Республике Башкортостан – 10 -15 случаев!
Зависимость от возраста Возраст до 35 лет – 5 случаев на 1000 Возраст старше 65 лет – 15 на 1000 Летальность : 30% При вентиляторассоциированной ВП до 50%
Этиология нозокомиальной пневмонии Синегнойная палочка, (25 -35%) клебсиелла, эшерихия коли, гемофильная палочка(1020%) Редко встречающиеся: серрация, ацинобактер, легионелла Из Грам (+) золотистый (15 -35 %) и белый стафилококк, метициллин и мультирезистентные формы.
Экзогенные источники госпитальной инфекции (20%) Воздух, ингалируемые лекарственные смеси Оборудование для ИВЛ и трахеостомии Респираторы, дыхтельные контуры, ФБС Катеторы Микрофлора других пациентов Микрофлора медицинского персонала
Эндогенные источники госпитальной инфекции (80%) Микрофлора ротоглотки Микрофлора ЖКТ Микрофлора кожи, мочевых путей Потенциально патогенная микрофлора при кариесе, пародонтозе Гематогенный занос из других внутренних органов.
Тефлоновый катетер для дренирования околоносовых синусов Контроль (неиспользованная тефлоновая трубка) Трубка, извлеченная у больного из вч пазухи на 4 день
Факторы риска ВАП Длительное (более 3 суток) нахождение на ИВЛ Повторная интубация дыхательных путей После начала ИВЛ микропленка образуется через 60 -96 часов.
Факторы риска аспирационой пневмонии Нарушения сознания Тяжелое основное заболевание Инсульт Судороги Алкоголизм Дисфагия Гастродуоденальный рефлюкс Зонд для энтерального питания Болезни зубов и десен
Эмпирическая АБ терапия ранней НП у пациентов без факторов риска Цефтриаксон, цефотаксим или защищенный аминопенициллин Или фторхинолон (левофлоксацин, моксифлоксацин) Или карбапенем без синегнойной активности (эртапенем)
Госпитальные пневмонии у больных, получающих глюкокортикоиды, цитостатики, длительно леченных антибиотиками Препаратами выбора могут быть цефалоспорины 3 поколения, активные против синегнойной палочки, цефалоспорины 4 поколения. При отсутствии эффекта присоединяется макролид или рифампицин. Противогрибковые препараты (кетоконазол, флуконазол) назначают при высокой вероятности грибковой этиологии пневмонии.
Эмпирическая АБ терапия НП поздней или у пациента с фактором риска Цефепим, цефтазидим Имипенем, меропенем Левофлоксацин Амикацин+ванкомицин Амикацин + линезолид
Внебольничная двухсторонняя нижнедолевая пневмония средней тяжести ? ? ? ? Внебольничная бактериальная двусторонняя нижнедолевая полисегментарная пневмония тяжелое течение!!!!!
Внебольничная двухсторонняя деструктивная септическая пневмония бактериальной этиологии (Str. pneumonicum) тяжёлой степени тяжести? ? ? Сепсис. Двусторонняя полисегментарная деструктивная септическая пневмония (Str. pneumonicum? ) тяжелое течение!!!!!!
Внебольничная левосторонняя субтотальная бронхопневмония, вируснобактериальная, острая стадия, тяжёлое течение? ? ? ? ? Внебольничная вирусно-бактериальная, левосторонняя субтотальная пневмония, , тяжёлое течение!!!!!!!
Благодарю за внимание!
5917ee9c756e13802e05a3ae1fb6419b.ppt