25. Пневмония 2015.ppt
- Количество слайдов: 35
Пневмонии Томск, 2014 -2015 уч. год
Пневмония – это острый воспалительный процесс в респираторной зоне легких инфекционной природы, возникающий самостоятельно, или вторично – как осложнение другого заболевания
Заболеваемость пневмониями была и остается высокой: 3 % общей заболеваемости (3 -4 на 1000 человек). Смертность в период до сульфамидов и антибиотиков составляла 12 -24%. В период применения антибиотиков 0, 5 -1, 2% За рубежом 5 -7% В настоящее время в нашей стране смертность от пневмонии адекватна европейской – до 7%
Причины сохраняющейся высокой смертности: - Позднее обращение к врачу - Атипичное течение заболевания - Алкоголизм - Неблагоприятные бытовые условия - Социальные проблемы
Этиология пневмонии 1. 2. 3. 4. 5. 6. 7. 8. Streptococcus pneumoniae – 34 – 69% Micoplasma pneumoniae – 18% Staphylococcus aureus – 10% Influenza A virus – 7% Haemophilis influenza – 6 – 7% Chlamidia psittaci – 3% Legionella pneumoniae – 2 – 3% Остальные – 10 – 30% В ближайшее время будут описываться, изучаться другие (пока неизвестные) возбудители, в особенности вирусы
Крупозная пневмония (pneumonia cruposa) Пневмококк I, III тип (из 75 известных) – 90% Значительно реже стафилококки, палочка Фридлендера (клебсиелла) Очаговая пневмония (pneumonia focalis или catarrhalis) Пневмококки II типа, палочка Пфайфера, стафилококк
История с забвением пневмококка Применение антибиотиков в лечении пневмоний способствовало быстрому выздоровлению больных острой пневмонией. Пневмококк очень чувствительный к пенициллину и быстро исчезает и его не находили в средах, где находили раньше. Обнаруживали других возбудителей и приходили к заключению, что этиология пневмонии изменилась.
В лаборатории кафедры пропедевтики внутренних болезней под руководством проф. Б. М. Шершевского было показано, что этиологическая структура острой пневмонии осталась прежней. Микробиологическое исследование проводилось до назначения антибиотиков.
Факторы, способствующие развитию пневмонии 1. - Ослабление иммунной защиты Переохлаждение Алкоголизм У пациентов пожилого и старческого возраста У пациентов с тяжелыми заболеваниями сердца, почек… При использовании иммунодепрессантов
Факторы, способствующие развитию пневмонии 2. Индивидуальные (врожденные) особенности иммунной защиты (местный и общий иммунитет) 3. Особенности мукоцилиарного клиренса 4. Дефекты сурфактантной системы 5. Действие полютантов (газы, пыль, дым, курение…) 6. Неблагоприятные социальные и бытовые условия
Патогенез пневмонии Снижение общей и иммунной защиты Снижение местного иммунитета Проникновение инфекции в респираторную зону
Поражение мембран альвеол и капилляров в результате: - Взаимодействия бактерий с веществом сурфактанта - Повышение альвеолярно-капиллярной проницаемости Развитие воспалительного отека (альвеолярного, интерстициального)
Пути проникновения инфекции в респираторную зону 1. 2. 3. 4. Бронхогенный Гематогенный Лимфогенный Per continuitatem
Крупозная Долевая Плевропневмония Фибринозная синонимы
Крупозная пневмония • Этиология – до 95% пневмококк • Гиперергическая реакция организма на возбудитель • Плотный воспалительный экссудат (много белка) • Типичная стадийность - Стадия прилива - Стадия уплотнения (красное, серое опеченение) - Стадия разрешения
Клиника крупозной пневмонии Жалобы зависят от стадии развития заболевания Продромальный период Может быть слабость, недомогание Острое начало соответствует началу стадии прилива, длится до начала стадии критического или литического разрешения
Основные синдромы - Синдром местного проявления болезни Синдром общей воспалительной реакции Болевой синдром Бронхитический Уплотнение легких Сосудистая недостаточность Синдромы поражения внутренних органов
Начало пневмонии Внезапно – потрясающий озноб, быстрое повышение температуры до 40°, признаки общей интоксикации (боли в суставах, в мышцах, во всем теле); Боли в грудной клетке, связанные с дыханием (усиление на вдохе); Головная боль, бессонница, бред; Кашель чуть позднее сначала сухой, затем с мокротой, с примесью крови (ржавая) слизисто-гнойная, болезненный кашель.
Ansmnesis morbi Накануне – работа на сквозняке, охлаждение, другие факторы, снижающие иммунную защиту организма. Преморбидное состояние: слабость, ломота во всем теле. Далее – последовательность появления симптомов.
Anamnesis vitae В 30% случаев крупозная пневмония возникает повторно или даже несколько раз. Выяснить особенности жизни, перенесенные заболевания и условия быта, способствующие заболеванию.
I стадия прилива (от 12 часов до 3 суток) Голосовое дрожание: усиление не всегда Перкуссия: притупленный тимпанит Аускультация: ослабление везикулярного дыхания, бронхиальное дыхание, крепитация indux Развивающееся уплотнение легких может проявляться одним или несколькими симптомами Ржавая мокрота
II стадия уплотнения (от 3 до 9 суток) Голосовое дрожание: усилено Перкуссия: тупой звук Аускультация: бронхиальное дыхание А) стадия красного опеченения (1 -3 суток) - «ржавая» мокрота Б) стадия серого опеченения (2 -6 суток) - гнойная мокрота желтого цвета
III стадия разрешения Голосовое дрожание и бронхофония: нет усиления Перкуссия: притупленный тимпанит Аускультация: ослабленное везикулярное дыхание, мелкопузырчатые хрипы, крепитация redux Могут быть отдельные симптомы уплотнения легких Мокрота гнойная
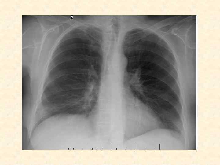
Очаговая пневмония (бронхопневмония) Менее яркая картина местного воспаления и общей воспалительной реакции Меньше белка в экссудате, экссудат жидкий Меньше выраженность уплотнения легких Участки бронхиального дыхания, участки жесткого везикулярного дыхания, постоянно влажные мелкопузырчатые хрипы
Синдром общей воспалительной реакции • Лихорадка, озноб, головная боль, разбитость, недомогание, боли в костях, суставах • Кровь: высокий нейтрофильный лейкоцитоз со свдигом влево, СОЭ до 40 мм/час. Повышение фибриногена (более 4 г/л), бактериемия до 40% • Моча: лихорадочная альбуминурия, эритроциты, цилиндры в моче, удельная плотность повышена
Острая сосудистая недостаточность АД ниже 100/60 мм. рт. ст. Слабость, потемнение в глазах, коллапс, бледность. Пульс сниженного наполнения, напряжения, учащен.
Поражение миокарда (миокардит) Кардиалгия, сердцебиение, нарушение ритма, глухость тонов сердца, систолический шум, альтернирующий пульс Нет соответствия между повышением температуры и частотой пульса (в норме на 1°С – 8 -10 ударов в 1 мин. )
Психотические изменения Психоз, бред (гиперергическая реакция) Предрасположены гиганты, атлеты, спортсмены, алкоголики. При выраженном синдроме больные могут поступить в психиатрическую клинику. Возможны трагические исходы – «больной вышел в окно» . Требуется индивидуальный пост.
Распад в легких Нарушение микроциркуляции, нарушение трофики ткани, её омертвение. Секвестрация, легочные нагноения (абсцесс, гангрена). Парапневмонический плеврит Синдром жидкости в плевральной полости, потенциальная эмпиема плевры
Функциональный синдром Синдром недостаточности внешнего дыхания: - Рестриктивная одышка - Цианоз - Гипоксемия (признак тяжелой пневмонии) Нв. О 2 < 93% - Гиперкапния (признак очень тяжелой пневмонии) Ра. СО 2 > 46, 6 мм. рт. ст. - Гипокапния (признак гипервентиляции) Ра. СО 2 < 35, 5 мм. рт. ст.
Формирование диагностической гипотезы о пневмонии • • • Синдромы: Уплотнение легких Общая воспалительная реакция Болевой синдром Бронхитический синдром Психотические изменения ………. .
Определение основного синдрома Синдром, отражающий анатомическую локализацию воспаления: - Уплотнение легких Связь между уплотнением легких и общей воспалительной реакцией доказывает: - Болевой - Бронхитический (боли и извержения из легких)
Наблюдение одновременного появления синдромов, параллельного развития и угасания лежит в основе формулирования гипотезы о пневмонии, как нозологической форме.


