Пневмокониозы мои.ppt
- Количество слайдов: 43
Пневмокониозы лекция
Определение Пневмокониоз (pneumon-легкое, coniaпыль) – это профессиональное заболевание, вызываемое длительным вдыханием промышленной пыли и характеризующееся хроническим диффузным асептическим воспалением легких (пневмонитом) с развитием пневмофиброза.
Историческая справка § До середины 19 века пылевые заболевания легких, которые встречались у горнорабочих и каменотесов, были известны как «горная астма» , «горная болезнь» , «чахотка рудокопов» . § Термин «ПНЕВМОКОНИОЗ» был предложен Зенкером в 1866 году.
Этиологические факторы § Пыль – аэрозоль, которая представляет собой измельченные частицы твердых веществ, находящихся во взвешенном состоянии в газовой среде
Этиологические факторы § Промышленную пыль различают: По происхождению: -неорганическая пыль a. минеральная (кварцевая, гранитная, асбестовая, цементная) b. металлическая (железо, медь, алюминий, бериллий)
Этиологические факторы § Промышленную пыль различают: По происхождению: -органическая пыль а). растительная (зерновая, хлопковая, табачная, сахарная) б). животного происхождения (шерстяная, меховая, перьевая, костяная) в). синтетическая (пыль полимерных материалов, пластмасс, красителей) -смешанная пыль
Этиологические факторы § Промышленную пыль различают: По способу образования: - аэрозоль, образующаяся в результате механического измельчения твердого вещества (дробление, бурение, шлифовка) - аэрозоль, образующаяся при горении, сварке, плавке
Этиологические факторы § Промышленную пыль различают: По размеру частиц: - видимая пыль (>10 мкм); - микроскопическая (0, 1 – 10 мкм); - ультрамикроскопическая (<0, 1 мкм) Наибольшую опасность представляет пыль с размерами частиц от 0, 1 до 5 мкм
Фиброгенное действие пыли § Способность пыли вызывать фиброз в легких определятся содержанием в ней свободного диоксида кремния (Si. O 2) § В зависимости от фиброгенности пыли условно подразделены на группы: 1. высоко- и умереннофиброгенная пыль (>10% Si. O 2) 2. слабофиброгенная пыль (< 10% Si. O 2)
Классификация пневмокониозов По этиологии: Пневмокониозы, развивающиеся от воздействия высоко- и умереннофиброгенной пыли: - СИЛИКОЗ: кварцевая пыль, содержащая до 70% и более свободного Si. O 2 (рабочие горнорудной и машиностроительной промышленностей, производство строительных материалов); * АНТРАКОСИЛИКОЗ (шахтеры); * СИДЕРОСИЛИКОЗ (рабочие железорудных шахт); * СИЛИКОСИЛАКТОЗ (рабочие фарфорово-фаянсовой и керамической промышленности)
Классификация пневмокониозов По этиологии: Пневмокониозы, развивающиеся от воздействия слабофиброгенных пылей: СИЛИКАТОЗЫ - вдыхание пыли силикатов, содержащих диоксид кремния в связанном состоянии (добыча и производство силикатов). Асбестоз, талькоз, оливиноз и т. д. . - КАРБОКОНИОЗЫ – вдыхание углесодержащей пыли (шахтеры, работающие на выемке угля, работники обогатительных фабрик). Антракоз, графитоз, сажевый пневмокониоз). - МЕТАЛЛОКОНИОЗЫ - вдыхание пыли металлов (алюминоз, сидероз, баритоз, бериллиоз). - ПНЕВМОКОНИОЗЫ ВСЛЕДСТВИИ ВДЫХАНИЯ ОРГАНИЧЕСКОЙ ПЫЛИ (хлопок, лен, конопля, древесина)
Патоморфологическая характеристика Основным патоморфологическим субстратом пневмокониозов является пневмофиброз
Патоморфологическая характеристика § Первичные механизмы фиброзного процесса, развивающегося в легких под воздействием пыли, во многом еще не ясны. Важную роль играет фагоцитоз пылевых частиц альвеолярными макрофагами (кониофагами). Одним из механизмов цитотоксического действия кремнеземсодержащих пылей на макрофаг является усиление перекисного окисления липидов. Освобождающиеся из макрофагов лизосомальные и митохондриальные ферменты повреждают ткань легкого. Накопленные в легких продукты перекисного окисления липидов служат дополнительным стимулом фиброзообразования.
Патоморфологическая характеристика § Морфологические формы: 1. Интерстициальная (диффузное разрастание соединительной ткани с утолщением альвеолярных перегородок, развитие перибронхиального и периваскулярного фиброза)
Патоморфологическая характеристика § Морфологические формы: 2. Интерстициально-гранулематозная (образование узелков округлой или неправильной формы, формирование межуточного фиброза с разрастанием соединительной ткани в альвеолярных перегородках, вокруг бронхов и сосудов)
Патоморфологическая характеристика Морфологические формы Периоды развития: 1. Период воспалительно-дистрофических нарушений (рентгенологически негативный) 2. Период продуктивно-склеротических изменений (рентгенологически позитивный) Интерстициальная Интерстициально-гранулематозная
Патологоанатомическая характеристика § Макроскопически легкие увеличены в объеме, ригидны, плотные, масса увеличена на 20 -30%. Поверхность легкого неровная, бугристая, плевра утолщена. При разрезе легкого слышен характерный хруст, обусловленный диффузным фиброзом и большим содержанием диоксида кремния.
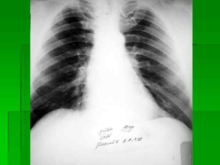
Рентгенологическая картина Формы пневмокониозов -Интерстициальная -Узелковая -Узловая
Рентгенологическая картина Малые затемнения Округлые (узелковоподобного типа) Обзорная рентгенограмма грудной клетки при узелковом пневмокониозе: видны многочисленные узелковые образования в средних и нижних поясах легких; корни легких расширены, тяжисты.
Рентгенологическая картина Малые затемнения Линейные (интерстициального типа) Обзорная рентгенограмма грудной клетки при интерстициальном пневмокониозе: отмечается сетчатая деформация легочного рисунка, видны многочисленные мелкие затенения, обусловленные перекрестом теней фиброзных тяжей; корни легких неструктурны; базальные отделы легких эмфизематозны.
Рентгенологическая картина Большие затемнения (узловая форма) Томограмма легких при узеловом пневмокониозе: видны крупные конгломераты узелков, между которыми имеются просветления кавернозных полостей; в базальных отделах легких — буллезная эмфизема.
Клиническая картина § Пневмокониозы от высоко- и умереннофиброгенной пыли: - средние сроки развития: 10 -15 лет в контакте с пылью; - несоответствие клинических и рентгенологических данных; - чаще встречаются узелковые и узловые формы; - жалобы: симптомы интоксикации, одышка, кашель, боли в грудной клетке; - развитие легочного сердца.
Клиническая картина Физикальные данные: § Коробочный звук § Отсутствие абсолютной сердечной тупости § Ограничение подвижности легочных краев § Жесткое дыхание, сухие хрипы, шум трения плевры
Клиническая картина § Пневмокониозы от слабофиброгенной пыли: - средние сроки развития: 15 -20 и более лет в контакте с пылью; - чаще встречаются интерстициальная и узелковые формы; - доброкачественное течение.
Осложнения пневмокониозов § Силикотуберкулез: очаговый, гематогеннодиссеминированный, инфильтративный, фиброзно-кавернозный, бронхоаденит § Хронический бронхит: необструктивный, астматический § Хроническое легочное сердце: компенсированное, декомпесированное § Бронхиальная астма § Бронхоэктатическая болезнь § Эмфизема легких: диффузная, буллезная § Спонтанный пневмоторакс (при буллезной эмфиземе)
Осложнения пневмокониозов § Силикотические каверны (при узловой форме) § Синдром средней доли § Рак легкого (асбестоз) § Мезотелиома плевры § Синдром Каплана ( сочетание силикоза и ревматоидного артрита) § Эрозия легочных сосудов с легочным кровотечением и бронхиальные свищи при силикотуберкулезе
Течение пневмокониозов § Зависит от агрессивности воздействующей пыли, длительности профессионального пылевого стажа, формы фиброза, характера и выраженности осложнений, а также от возраста и состояния реактивности организма.
Течение пневмокониозов § Быстропрогрессирующее (3 -5 лет работы в контакте с пылью, переход из одной формы в другую происходит в течение 5 и менее лет) § Медленнопрогрессирующее (10 -15 лет работы в контакте с пылью, нерезкое нарастание фиброза) § Поздний пневмокониоз (10 -20 лет после прекращения работы с пылью) § Регрессирующее (самоочищение легких после отстранения от контакта с пылью)
Методы диагностики пневмокониозов § Изучение профессионального маршрута: вид производства, профессия, стаж работы в контакте с пылью § Санитарно-гигиенической характеристика условий труда с качественным и количественным анализом пыли в воздухе рабочей зоны (содержание свободного или связанного диоксида кремния) § Анамнез заболевания, жалобы § Рентгенография органов грудной клетки (прямая и боковая проекции)
Методы диагностики пневмокониозов § § Анализ мокроты ФВД Компьютерная томография легких Диагностическая бронхофиброскоия с биопсией слизистой оболочки бронхов, лимфатических узлов корней легких § Исследование функционального состояния сердечно-сосудистой системы
Принципы лечения пневмокониозов § § § § § Прекращение контакта с пылью; Полноценное питание; Санация очагов инфекции; Витаминотерапия; Адаптогены, повышающие неспецифическую резистентность организма (элеутерококк, китайский лимонник); ФТЛ; Лечебная дыхательная гимнастика; Профилактические ингаляции отхаркивающих и разжижающих мокроту средств 1 -2 раза в год; Средства разжижающие мокроту, улучшающие дренаж и бронхиальную проходимость;
Принципы лечения пневмокониозов § § Антигистаминные препараты; Оксигенотерапия; Дезагреганты, антикоагулянты; Гормонотерапия (при быстропрогрессирующих формах); § Лечение осложнений; § Санаторно-курортное лечение в специализированных санаториях.
Экспертиза трудоспособности § МСЭК (установление группы профессиональной инвалидности и ∕ или степени утраты профессиональной трудоспособности)
Экспертиза трудоспособности § При слабовыраженных, неосложненных формах пневмокониоза – трудоустройство без инвалидности § При узелковых формах пневмокониоза – III группа инвалидности по профессиональному заболеванию
Экспертиза трудоспособности § При прогрессирующем пневмофиброзе, эмфиземе легких, дыхательной недостаточности II – III степени, сердечной недостаточности, присоединении хронического обструктивного бронхита, туберкулеза – II группа инвалидности по профессиональному заболеванию § При тяжелой легочно-сердечной недостаточности, сопровождающейся значительным снижением способности к самообслуживанию – I группа инвалидности по профессиональному заболеванию
Профилактика пневмокониозов § Технические мероприятия, направленные на снижение уровня запыленности воздуха на производстве; § Использование средств индивидуальной защиты органов дыхания от пыли (респираторы, скафандры, шлемы); § Предварительные (при поступлении на работу) и периодические (1 раз в год) медосмотры согласно приказу № 90 МЗ РФ от 14. 03. 96 г. .
Спасибо за внимание!


