ZhKT_1-14.ppt
- Количество слайдов: 77
ПИЩЕВАРИТЕЛЬНАЯ СИСТЕМА (ротовая полость)
ЭТАПЫ РАЗВИТИЯ ПИЩЕВАРИТЕЛЬНОЙ СИСТЕМЫ I ФОРМИРОВАНИЕ КИШЕЧНОЙ ТРУБКИ, РАЗВИТИЕ РТА, ЖАБЕРНЫХ ЩЕЛЕЙ И ЗАДНЕГО ПРОХОДА. II ВЫДЕЛЕНИЕ В СОСТАВЕ КИШКИ ЗАКЛАДОК ПИЩЕВОДА, ЖЕЛУДКА, ТОНКОЙ И ТОЛСТОЙ КИШОК. III ЭТАП ГИСТОГЕНЕЗА И ФОРМИРОВАНИЯ ОРГАНОВ ПИЩЕВАРЕНИЯ
ТРАХЕЯ ФОРМИРОВАНИЕ КИШЕЧНОЙ ТРУБКИ ЖЕЛУДОК сердце ЖЕЛЧНЫЕ ПРОТОКИ ЖЕЛТОЧНЫЙ МЕШОК СРЕДНЯЯ КИШКА АЛЛАНТОИСНЫЙ СТЕБЕЛЕК ЗАДНЯЯ КИШКА КЛОАКА
РАННИЕ СТАДИИ ФОРМИРОВАНИЯ КИШКИ И СВЯЗАННЫХ С НЕЙ СТРУКТУР ГЛОТКА (НАЧАЛО 5 -ОЙ НЕДЕЛИ) ПИЩЕВОД ПЕЧЕНЬ ЖЕЛУДОК ЖЕЛЧНЫЕ ПРОТОКИ ЖЕЛТОЧНЫЙ СТЕБЕЛЕК АЛЛАНТОИС КЛОАКА ДОРЗАЛЬНАЯ ЗАКЛАДКА ПОДЖЕЛУДОЧНОЙ ЖЕЛЕЗЫ КИШКА
ПРИНЦИП СТРОЕНИЯ ПИЩЕВАРИТЕЛЬНОГО КАНАЛА ЭПИТЕЛИАЛЬНАЯ ПЛАСТИНКА СЛИЗИСТАЯ О МЫШЕЧНАЯ ПЛАСТИНКА СЛИЗИСТОЙ ОБОЛОЧКИ Б О ПОДСЛИЗИСТАЯ Л О Ч К И СОБСТВЕННАЯ ПЛАСТИНКА СЛИЗИСТОЙ ОБОЛОЧКИ Слизистые кожного и кишечного типа РЫХЛАЯ ВОЛОКНИСТАЯ СОЕДИНИТЕЛЬНАЯ ТКАНЬ ВНУТРЕНЯЯ ПЛАСТИНКА - ЦИРКУЛЯРНАЯ МЫШЕЧНАЯ АДВЕНТИЦИЯ ИЛИ СЕРОЗА НАРУЖНАЯ - ПРОДОЛЬНАЯ РЫХЛАЯ ВОЛОКНИСТАЯ СОЕДИНИТЕЛЬНАЯ ТКАНЬ МЕЗОТЕЛИЙ
Формируют рельеф – складки, ямки, поля, ворминки, крипты Мышечная пластинка Собственная пластинка Эпителиальная пластинка Адвентиция ПРИНЦИП СТРОЕНИЯ ПИЩЕВАРИТЕЛЬНОГО КАНАЛА Сплетение Мейснера Слизистая оболочка Подслизистая основа Сплетение Ауэрбаха Мышечная оболочка
ЛОКАЛИЗАЦИЯ ЖЕЛЕЗ ПИЩЕВАРИТЕЛЬНОГО ТРАКТА 1 ИТЕРЭПИТЕЛИАЛЬНЫЕ. 2. ЖЕЛЕЗЫ СОБСТВЕННОЙ ПЛАСТИНКИ СЛИЗИСТОЙ ОБОЛОЧКИ ( ПРОСТЫЕ ЖЕЛЕЗЫ) ЖЕЛЕЗЫ ЖЕЛУДКА. 3 ЖЕЛЕЗЫ ПОДСЛИЗИСТОЙ ПИЩЕВОД. 12 -ПЕРСТНАВЯ КИШКА. 4 ЗА ОБОЛОЧКИ (СЛОЖНЫЕ ЖЕЛЕЗЫ) ЖЕЛЕЗЫ РАСПОЛОЖЕННЫЕ ПРЕДЕЛАМИ ПИЩЕВАРИТЕЛЬНОГО КАНАЛА (СЛЮННЫЕ ЖЕЛЕЗЫ, ПЕЧЕНЬ, ПОДЖЕЛУДОЧНАЯ ЖЕЛЕЗА)
ИННЕРВАЦИЯ ЭФФЕРЕНТНАЯ ЧУВСТВИТЕЛЬНАЯ • ПСЕВДОУНИПОЛЯРНЫЕ НЕЙРОНЫ СПИНАЛЬНЫХ ГАНГЛИЕВ; • НЕЙРОНЫ ЧУВСТВИТЕЛЬНОГО ЯДРА БЛУЖДАЮЩЕГО НЕРВА; • РАВНООТРОСЧАТЫЕ НЕЙРОНЫ (КЛЕТКИ ДОГЕЛЯ II) ИНТРАМУРАЛЬНЫХ НЕРВНЫХ ГАНГЛИЕВ • СИМПАТИЧЕСКИЙ ОТДЕЛ: ВЕРХНИЙ ШЕЙНЫЙ И ЗВЕЗДЧАТЫЙ ПИЩЕВОД; ГАНГЛИИ СОЛНЕЧНОГО И ТАЗОВОГО СПЛЕТЕНИЯ – ЖЕЛУДОК, КИШЕЧНИК. • ПАРАСИМПАТИЧЕСКИЙ ОТДЕЛ: МЕЖМЫШЕЧНОЕ (АУЭРБАХОВСКОЕ СПЛЕТЕНИЕ) И ПОДСЛИЗИСТОЕ (МЕЙСНЕРОВСКОЕ) СПЛЕТЕНИЯ. КРОВОСНАБЖЕНИЕ: АРТЕРИАЛЬНЫЕ И ВЕНОЗНЫЕ СПЛЕТЕНИЯ – ПОДСЛИЗИСТЫЕ; МЫШЕЧНЫЕ; ПОДСЕРОЗНЫЕ. ЛИМФОКАПИЛЛЯРЫ – В СОБСТВЕННОЙ ПЛАСТИНКЕ, ВОКРУГ ЖЕЛЕЗ; В МЫШЕЧНОЙ ОБОЛОЧКЕ.
Функции переднего отдела ЖКТ механическая и химическая обработка пищи определение вкусовых качеств глотание и продвижение пищи в пищевод участие в речеобразовании
ФУНКЦИИ СЛИЗИСТОЙ ПОЛОСТИ РТА ЗАЩИТНАЯ СЕНСОРНАЯ СЕКРЕТОРНАЯ ИММУННАЯ ВСАСЫВАТЕЛЬНАЯ ТЕРМОРЕГУЛЯТОРНАЯ
Полость рта у новорожденного развита весьма слабо. В дальнейшем с развитием челюстей, прорезыванием зубов и увеличением неба полость рта постепенно увеличивается и формируется преддверие и собственно полость рта. В преддверии рта оболочка образует ряд складок: уздечки губ и щечные тяжи, и на твердом небе - поперечные складки. У новорожденного и у ребенка до 2 -3 лет в области задних отделов твердого неба имеются образованные из эпителиальной ткани тяжи и "жемчужинки", и те и другие залегают по обеим сторонам от средней линии неба ОСОБЕННОСТИ СТРОЕНИЯ Слизистая оболочка: многослойный плоский частично ороговевающий эпителий и собственная пластинка слизистой оболочки. Мышечная пластинка отсутствует. Эпителий содержит меланоциты, клетки Лангерганса, Меркеля. Выполняет защитную функцию. Слизистая оболочка может образовывать складки, в которых располагаются скопления лимфоидной ткани – миндалины. Подслизистая оболочка отсутствует в деснах, твердом небе, на верхней и боковой поверхности языка. Мышечная оболочка представлена скелетной мышечной тканью.
ТИПЫ СЛИЗИСТОЙ ОБОЛОЧКИ ПОЛОСТИ РТА ЖЕВАТЕЛЬНАЯ СПЕЦИАЛИЗИРОВАННАЯ ТВЕРДОЕ НЕБО, ДЕСНА ДОРЗАЛЬНАЯ ПОВЕРХНОСТЬ ЯЗЫКА ВЫСТЕЛАЮЩАЯ (ПОКРОВНАЯ) ЩЕКА, ГУБА, ДНО ПОЛОСТИ РТА, НИЖНЯЯ ПОВЕРХНОСТЬ ЯЗЫКА, ПЕРЕДНЯЯ ПОВЕРХНОСТЬ МЯГКОГО НЕБА, АЛЬВЕОЛЯРНЫЙ ОТРОСТОК.
В СЛИЗИСТАЯ ОБОЛОЧКА ТВЕРДОГО НЕБА ИМЕЕТ ЗОНЫ: Жировая зона – передняя треть твердого неба, в которой подслизистая основа содержит жировую ткань. Железистая зона занимает задние две трети твердого неба, ее подслизистая основа содержит концевые отделы слизистых слюнных желез. Слизистая покрыта многослойным плоским ороговевающим эпителием. Собственная пластинка представлена волокнистой неоформленной соединительной тканью, коллагенновые волокна которой вплетаются в надкостницу в области шва и перехода в десны. Подслизистая основа представлена только в жировой и железистой зонах твердого неба. ЖИРОВУЮ; ЖЕЛЕЗИСТУЮ; МЕДИАЛЬНУЮ ИЛИ ШВА; КРАЕВУЮ. ЖЕЛЕЗИСТАЯ ЗОНА ТВЕРДОГО НЕБА ТВЕРДОЕ НЕБО, ЖИРОВАЯ ЗОНА Само твердое небо у новорожденного и в первые месяцы у грудных детей значительно уплощено, а сводчатость его в сравнении со взрослым весьма слабо выражена. ПЛОД
ДЕСНЫ – образования, покрытые слизистой оболочкой плотно сращенной с надкостницей. Эпителий, выстилающий слизистую, часто имеет роговые чешуйки. Собственная пластинка имеет высокие сосочки. СВОБОДНАЯ ЧАСТЬ ДЕСНЫ ПРИКРЕПЛЕННАЯ ЧАСТЬ ДЕСНЫ
Кожный, промежуточный и начало слизистого отдела губы. Переходная (промежуточная) или красная кайма состоит из двух зон: наружной (гладкой) и внутренней (ворсинчатой). Внутренняя зона у новорожденных покрыта эпителиальными сосочками (ворсинки), с возрастом сглаживаются и становятся малозаметными.
ЯЗЫК МЫШЦЫ ЯЗЫКА СЛИЗИСТАЯ ЯЗЫКА СПЕЦИАЛИЗИРОВАННАЯ
СОСОЧКИ ЯЗЫКА НИТЕВИДНЫЙ ФУНКЦИИ: • Нитевидные – абразивная и общая чувствительность; • Грибовидные – растирание пищи, общая рецепция, редко вкусовая; ГРИБОВИДНЫЙ • Листовидные – участие в акте сосания; вкусовая чувствительность; • Желобоватые – акт глотания, вкусовая чувствительность; • Чечевицевидные – барьерная, цензорная, антигеннезависимая дифференцировка лимфоцитов. ЖЕЛОБОВАТЫЙ ЛИСТОВИДНЫе
ЧЕЧЕВИЦЕВИДНЫЕ СОСОЧКИ ЯЗЫКА ЧЕЧЕВИЦЕВИДНЫЙ СОСОЧЕК ЛУ ЧС (ЧС) МИНДАЛИНА
ВКУСОВЫЕ ЛУКОВИЦЫ ЛИСТОВИДНЫХ СОСОЧКОВ ЯЗЫКА I тип - поддерживающие, темные; II тип – поддерживающие, светлые; III тип – светлые, имеющие нервные окончания в базальном части; IV тип – базальные, камбиальные; V тип – периферические. Вкусовая почка
СЛЮННЫЕ ЖЕЛЕЗЫ ЯЗЫКА Концевые отделы (сероциты) Выводные протоки КОНЦЕВЫЕ ОТДЕЛЫ (МУКОЦИТЫ)
СОСОЧКИ ЯЗЫКА НИТЕВИДНЫЕ желобок, ров ЖЕЛОБОВАТЫЙ
Язык новорожденного имеет все мышечные слои, характерные для языка взрослого, но мышечные волокна значительно тоньше. Соединительная ткань хорошо представлена только в области корня. Хорошо развита сосудистая сеть и нервный аппарат. Сосочковый аппарат представлен хорошо, но определяются поля, лишенные сосочков (главным образом в середине тела языка). Грибовидные сосочки имеют относительно большую высоту (над поверхностью пласта), ножка имеет коленообразный изгиб, вторичные сосочки собственной пластики слизистой оболочки не выражены. Нитевидные сосочки значительно ниже грибовидных. Ко второму месяцу жизни нитевидные сосочки приобретают коническую форму, прогрессирует процесс ороговения их вершин. На их срезах вторичные сосочки единичные. Желобоватые сосочки (сосочки окруженные валом) имеют неглубокие ровики, валик разделен на дольки. В сосочках окруженных валом и грибовидных вкусовые луковицы представлены на боковых и на свободных поверхностях, мелкие. В течение первого года жизни вкусовые луковицы значительно увеличиваются в объеме.
ЗАКЛАДКА ЗУБА ПОЧКА ПОСТОЯННОГО ЗУБА ЭНАМЕЛОБЛАСТЫ ЭМАЛЬ ДЕНТИН ОДОНТОБЛАСТЫ ПУЛЬПА Из эктодермы – эмаль зуба; мезодерма – дентин, цемент, пульпа.
СРОКИ ПРОРЕЗЫВАНИЯ МОЛОЧНЫХ ЗУБОВ : РАЗВИТИЕ • МЕДИАЛЬНЫЕ РЕЗЦЫ - ОТ 6 ДО 8 ПОСТОЯННОГО ЗУБОВ И ПРОРЕЗЫВАНИЕ МОЛОЧНОГО И МЕСЯЦЕВ; • ЛАТЕРАЛЬНЫЕ РЕЗЦЫ - ОТ 7 ДО 9 МЕСЯЦЕВ; • ПЕРВЫЕ КОРЕННЫЕ - ОТ 12 ДО 15 МЕСЯЦЕВ; • КЛЫКИ - ОТ 25 ДО 20; • ВТОРЫЕ КОРЕННЫЕ – ОТ 20 ДО 30. Молочный резец Зачаток постоянного резца Молочный резец десна Зачаток постоянного резца При первой дентиции (зубообразовательном процессе) – образуются 20 молочных зубов; При второй дентиции замещаются 20 постоянными и 12 новыми постоянными.
ЭМАЛЬ ЗУБ ПЕРИОДОНТ ДЕНТИН ЦЕМЕНТ ЭМАЛЬ
МИНДАЛИНЫ ЛИМФОЭПИТЕЛИАЛЬНОЕ КОЛЬЦО ПИРОГОВА- ВАЛЬДЕЙЕРА ГЛОТОЧНАЯ ТРУБНЫЕ НЕБНЫЕ ЯЗЫЧНАЯ
АНТИГЕНЗАВИСИМАЯ ДИФФЕРЕНЦИРОВКА Т- И В- ЛИМФОЦИТОВ БАРЬЕРНО-ЗАЩИТНАЯ ФУНКЦИИ МИНДАЛИН ЦЕНЗОРНАЯ – КОНТРОЛЬ ЗА СОСТОЯНИЕМ МИКРОФЛОРЫ ПИЩИ
КРИПТА ИНФИЛЬТРИРОВАННЫЙ ЭПИТЕЛИЙ ЛИМФОИДНЫЙ УЗЕЛОК КРИПТА НЕИНФИЛЬТРИРОВАННЫЙ ЭПИТЕЛИЙ МИНДАЛИНЫ
После рождения количество лимфоидной ткани быстро увеличивается, и это связано с воздействием микрофлоры. В течении первого года жизни в миндалинах постепенно затушевывается граница между лимфоидной тканью и эпителием. Время формирования лимфоидных узелков значительно варьирует, в одних случаях они четко выражены на 1 -м месяце жизни, в других на 10 -м. Данные о постнатальной динамике развития миндалин и об инволюции – противоречивы. Но большинство исследователей считают, что к 2 -м годам все структурные компоненты миндалин развиты. Последующее развитие представляет количественный рост. Процесс инволюции начинается рано, начальные признаки появляются в возрасте 4 -5 лет
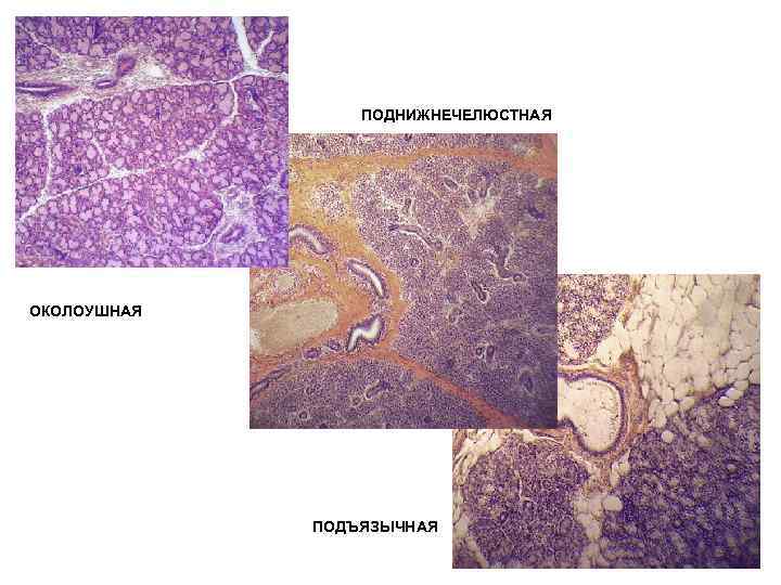
СЛЮННЫЕ ЖЕЛЕЗЫ ОКОЛОУШНАЯ ДОБАВОЧНАЯ ОКОЛОУШНАЯ ЯЗЫЧНАЯ ПОДНИЖНЕЧЕЛЮСТНАЯ ЯЗЫЧНАЯ ПЕРЕДНЯЯ ПОДЪЯЗЫЧНАЯ
СХЕМА РАЗВИТИЯ СЛЮННЫХ ЖЕЛЕЗ ЭПИТЕЛИЙ РОТОВОЙ ПОЛОСТИ ЭПИТЕЛИАЛЬНЫЕ ТЯЖИ, РАСТУЩИЕ ПО НАПРАВЛЕНИЮ К УШНЫМ ОТВЕРСТИЯМ ЭПИТЕЛИАЛЬНЫЕ ТЯЖИ, РАСТУЩИЕ В НАПРАВЛЕНИИ НИЖНЕЙ ЧЕЛЮСТИ ЗАЧАТКИ ПОДЧЕЛЮСНОЙ ЖЕЛЕЗЫ ОТРОСТКИ ОТ ЗАЧАТКОВ ПОДЧЕЛЮСТНОЙ ЖЕЛЕЗЫ ОКОЛОУШНЫЕ ЖЕЛЕЗЫ СО СЛИЗИСТЫМИ АЦИНУСАМИ ОКОЛОУШНЫЕ ЖЕЛЕЗЫ С БЕЛКОВЫМИ АЦИНУСАМИ ПОДЪЯЗЫЧНЫЕ ЖЕЛЕЗЫ СО СЛИЗИСТЫМИ, СМЕШАННЫМИ И БЕЛКОВЫМИ АЦИСУСАМИ ПОДЧЕЛЮСТНЫЕ ЖЕЛЕЗЫ С БЕЛКОВЫМИ АЦИНУСАМИ ПОДЧЕЛЮСТНЫЕ ЖЕЛЕЗЫ С БЕЛКОВЫМИ И СМЕШАННЫМИ АЦИНУСАМИ
ФУНКЦИИ СЛЮНЫ: ЗАЩИТНАЯ- РАЗМАЧИВАЯ И РАЗМЯГЧАЯ ПИЩУ, ПОКРЫВАЯ ЕЕ СЛИЗИСТОЙ ПЛЕНКОЙ; - АНТИМИКРОБНЫЕ СВОЙСТВА; - БУФЕРНЫЕ СВОЙСТВА; - МИНЕРАЛИЗУЮЩАЯ ФУНКЦИЯ; - СЕКРЕЦИЯ ЭПИДЕРМАЛЬНОГО ФАКТОРА РОСТА ПИЩЕВАРИТЕЛЬНАЯ – СЕКРЕЦИЯ АМИЛАЗЫ, ЛИПАЗЫ, ПЕПТИДАЗЫ, МАЛЬТАЗЫ, НУКЛЕАЗЫ. ВЫДЕЛИТЕЛЬНАЯ. РЕГУЛЯЦИЯ ВОДНО-СОЛЕВОГО ГОМЕОСТАЗА. ЭНДОКРИННАЯ – ИНСУЛИНОПОДОБНЫЙ ФАКТОР; - ФАКТОР СТИМУЛИРУЮЩИЙ ЛИМФОПОЭЗ, - ФАКТОР РОСТА НЕРВОВ И ЭПИТЕЛИЯ; - КАЛЛИКРЕИН; - РЕНИН; - ПАРОТИН.
ПОДНИЖНЕЧЕЛЮСТНАЯ ОКОЛОУШНАЯ ПОДЪЯЗЫЧНАЯ
КОНЦЕВЫЕ ОТДЕЛЫ СЛЮННЫХ ЖЕЛЕЗ СЕРОЗНЫЕ СМЕШАННЫЕ СЛИЗИСТЫЕ
МЕХАНИЗМЫ ТРАНСПОРТА ВЕЩЕСТВ ГЛАНДУЛОЦИТАМИ ПОЛОСТЬ КРОВЕНОСНОГО ЭКЗОСЕКРЕЦИЯ ЭКСКРЕЦИЯ КАПИЛЛЯРА РЕКРЕЦИЯ ПАРАЦЕЛЛЮЛЯРНЫЙ ТРАНСПОРТ ПОЛОСТИ РТА И ВСАСЫВАНИЕ ЭНДОСЕКРЕЦИЯ ПРОТОКОВ ТРАНСЦЕЛЛЮЛЯРНЫЙ ТРАНСПОРТ ГЕМАТОСАЛИВАРНЫЙ БАРЬЕР
КАПИЛЛЯРЫ ОБЛАСТИ АЦИНАРНЫХ КЛЕТОК ВЕНОЗНАЯ КРОВЬ ПЕРВИЧНАЯ СЕКРЕЦИЯ АЦИНАРНЫХ КЛЕТОК АМИНОКИСЛОТЫ КАПИЛЛЯРЫ ОБЛАСТИ ПРОТОКА ВТОРИЧНАЯ МОДИФИКАЦИЯ СЕКРЕТА В ПРОТОКАХ ГЛЮКОЗА АРТЕРИАЛЬНАЯ КРОВЬ СХЕМА КРОВОТОКА И СОСТАВА ЭЛЕКТРОЛИТОВ В СЛЮНЕ
ПОТОКИ ВОДЫ И ИОНОВ В ЧАСТЯХ САЛИВОНА Н 2 О Cl НСО 3 Na CI Na H 2 О К К НСО 3
ВНУТРИДОЛЬКОВЫЕ ПРОТОКИ СЛЮННЫХ ЖЕЛЕЗ ИСЧЕРЧЕННЫЙ ПРОТОК ВСТАВОЧНЫЙ ПРОТОК
околоушная Концевые отделы Поднижне челюстная подъязычная серозные + + (80%) + слизистые + (добавочная) + + смешанные + (преобладают) вставочный длинные, разветвленные короткие развиты слабо исчерченный развиты длинные, ветвящиеся с расширяниями очень короткие выводной Протоки Стенонов (35 -40 мм) Вартонов, имеет лейомиоциты и дивертикулы (40 -60 мм) Бартолиниев, имеет лейомиоциты и дивертикулы (10 -20 мм) Таблица используется с лекций проф. Должикова А. А.
Процессы развития больших слюнных желез проходят однотипно, поэтому рассмотреть процессы развития можно на примере одной из желез. Околоушная железа новорожденного имеет очень хорошо выраженную соединительнотканную капсулу. Концевые отделы представлены секреторными клетками цилиндрической формы и миоэпителиальными клетками. Вставочные отделы узкие, выстланы кубическим эпителие; в слюнных трубках – цилиндрическим. Внутридольковые выводные протоки и междольковые – двуслойным эпителием, переходя ближе к устью в многослойный. После рождения продолжается новообразование концевых отделов. Слюна имеет слизистый характер. Слизистая полости рта у детей первых месяцев жизни суха, вследствие незначительного количества слюны. С введением в пищу густого прикорма увеличивает объем саливации. Недостаточность секреции объясняется незавершенностью развития желез и механизмов, регулирующих слюноотделение. На протяжении первого года жизни ребенка сохраняется слизистый характер секреции, происходит увеличение паренхимы органа, увеличивается количество долек и их объем. Процесс перестройки железы начинается на 2 -м году жизни и примерно к началу 4 -го года в околоушной железе устанавливается белковый тип секреции. Продолжается и совершенствование системы выводных протоков, которое завершается лишь к 10 годам. Слюна важна в переваривании молока – способствует его створаживанию в желудке с образованием более мелких хлопьев, этот эффект обеспечивается ее слабоактивными протеазами. Активность амилазы низкая, достигая своего максимума в 2 года жизни. Активность лизоцима также ниже, чем у взрослых.
Околоушная железа новорожденного Процессы развития больших слюнных желез проходят однотипно, поэтому рассмотреть процессы развития можно на примере одной из желез. Околоушная железа новорожденного имеет очень хорошо выраженную соединительнотканную капсулу. Концевые отделы представлены секреторными клетками цилиндрической формы и миоэпителиальными клетками. Вставочные отделы узкие, выстланы кубическим эпителие; в слюнных трубках – цилиндрическим. Внутридольковые выводные протоки и междольковые – двуслойным эпителием, переходя ближе к устью в многослойный. После рождения продолжается новообразование концевых отделов. Слюна имеет слизистый характер.
Околоушная железа ребенка 3 мес. Слизистые клетки в слюнных трубках и концевых отделах; ШИК-реакция. На протяжении 1 -го года жизни ребенка возрастает количество долек, увеличивается количество гландулоцитов. Характер секреции сохраняется слизистый
На 2 -м и 3 -м году жизни секреция слизистого типа, хотя реакция на мукополисахариды снижается, на общий белок становится выше. К началу 4 -го года установливается преимущественно белковый тип секреции Иллюстрации из - О. В. Волкова, М. И. екарский. Эмбриогенез и возрастная гистология внутренних органов человека.
Я УЖЕ МОГУ КУСАТЬСЯ СПАСИБО ЗА ВНИМАНИЕ
ПИЩЕВАРИТЕЛЬНАЯ СИСТЕМА (ПИЩЕВАРИТЕЛЬНЫЙ КАНАЛ)
ФУНКЦИИ ПИЩЕВАРИТЕЛЬНОГО КАНАЛА СЕКРЕТОРНАЯ; ПИЩЕВАРИТЕЛЬНАЯ: ВСАСЫВАТЕЛЬНАЯ; ПИЩЕВАРИТЕЛЬНЫЕ ФУНКЦИИ МОТОРНО-ЭВАКУАТОРНАЯ; РЕГУЛЯТОРНАЯ; ЭНДОКРИННАЯ: ЭНДОКРИННАЯ; РЕГУЛЯТОРНАЯ; ЭКСКРЕТОРНАЯ; БАРЬЕРНО-ЗАЩИТНАЯ НЕПИЩЕВАРИТЕЛЬНЫЕ ФУНКЦИИ
ПРИЕМСТВЕННОСТЬ ПРОЦЕССОВ ПИЩЕВАРЕНИЯ: РАЗМЕЛЬЧЕНИЕ ПИЩИ, ЕЕ УВЛАЖНЕНИЕ, НАБУХАНИЕ, РАСТВОРЕНИЕ, ДЕНАТУРАЦИЯ БЕЛКОВ, ГИДРОЛИЗ ПОЛИМЕРОВ ДО ОЛИГОМЕРОВ И ТРАНСПОРТ ИЗ ЖЕЛУДОЧНО-КИШЕЧНОГО ТРАКТА В КРОВЬ И ЛИМФУ. ОРГАННАЯ ПРИЕМСТВЕННОСТЬ: ПИЩЕВАРЕНИЕ В РОТОВОЙ ПОЛОСТИ ЖЕЛУДОЧНОЕ ПИЩЕВАРЕНИЕ КИШЕЧНОЕ ПИЩЕВАРЕНИЕ. ТИПЫ ПИЩЕВАРЕНИЯ в зависимости от происхождения пищеварительных ферментов : СОБСТВЕННОЕ; СИМБИОНТНОЕ; АУТОЛИТИЧЕСКОЕ. ВНУТРИКЛЕТОЧНОЕ ПИЩЕВАРЕНИЕ (ФАГОЦИТОЗ, ПИНОЦИТОЗ); ВНЕКЛЕТОЧНОЕ ПИЩЕВАРЕНИЕ ДИСТАНТНОЕ (ПОЛОСТНОЕ) КОНТАКТНОЕ (ПРИСТЕНОЧНОЕ, МЕМБРАННОЕ)
БРЫЖЕЙКА СЕРОЗНАЯ ОБОЛОЧКА МЫШЕЧНАЯ ЦИРКУЛЯРНЫЕ ПРОДОЛЬНЫЕ ПОДСЛИЗИСТАЯ ЭПИТЕЛИАЛЬНАЯ ПЛАСТИНКА СОБСТВЕННАЯ ПЛАСТИНКА МЫШЕЧНАЯ ПЛАСТИНКА ВОРСИНКА ПОДСЛИЗИСТОЕ НЕРВНОЕ СПЛЕТЕНИЕ МЕЖМЫШЕЧНОЕ НЕРВНОЕ СПЛЕТЕНИЕ ПРОТОКИ КРУПНЫХ ПИЩЕВАРИТЕЛЬНЫХ ЖЕЛЕЗ ПОДСЛИЗИСТЫЕ ЖЕЛЕЗЫ
ПИЩЕВОД СЛИЗИСТАЯ ПОДСЛИЗИСТАЯ МЫШЕЧНАЯ ПЕРЕХОД ПИЩЕВОДА В ЖЕЛУДОК
У новорожденных пищевод имеет воронкообразную форму. Длина его колеблется от 10 до 16 см, у взрослого - 25 см. У новорожденного шейная часть пищевода располагается несколько выше, чем у взрослого. Однако с возрастом она опускается, особенно интенсивно до 10 -12 лет. Богатство адвентициальной ткани в стенке пищевода у новорожденного и грудных детей обусловливает большую подвижность, хотя мышечные слои его еще малоразвиты. К. И. Чичинадзе (1960) различает несколько зон в эпителиальной пластинке пищевода – базальную, промежуточную и поверхностную. В период от рождения до года в базальной зоне локализуются 3 слоя клеток, в промежуточной 6 -7 слоев полигональных, а покровной 3 -4 слоя плоских клеток. В пищеводе новорожденного граница эпителий-соединительная ткань ровная, начинают формироваться сосочки с 5 месячного возраста. В период от 1 года до 26 лет общая толщина эпителиальной пластинки возрастает примерно в 5 раз. Пищевод ребенка 4 лет. Окр. : Г+Э. Сфинктер пищевода недоразвит, что способствует легко возникающему в грудном возрасте срыгиванию.
ФУНКЦИИ ЖЕЛУДКА 1. СЕКРЕТОРНАЯ И ПИЩЕВАРИТЕЛЬНАЯ; 2. МОТОРНО-ЭВАКУАТОРНАЯ; 3. ВСАСЫВАТЕЛЬНАЯ; 4. ЭКСКРЕТОРНАЯ (ВЫДЕЛЕНИЕ ПРОДУКТОВ АЗОТИСТОГО ОБМЕНА); 5. ВЫРАБОТКА МУКОПРОТЕИНА И ФАКТОРА КАСТЛА; 6. БАРЬЕРНО-ЗАЩИТНАЯ; 7. ЭНДОКРИННАЯ.
Железы кардиальной части сильно разветвлены, мелкие, шейки короткие, основные клетки – мукоциты, эндокринные – EC и ECL, мало гланых и париетальных Пилорические железы расположены редко, сильно разветвлены, имеют широкие просветы, открываются в глубокие желудочные ямки, не содержат париетальных клеток, основной вид клеток – слизистые. ПИЩЕВОД ДНО КАРДИАЛЬНАЯ ЧАСТЬ ТЕЛО ПИЛОРИЧЕСКИЙ ОТДЕЛ ЖЕЛУДОК
ЖЕЛУДОК Желудочные ямки слизистая Подслизистая основа Мышечная пластинка слизистой Мышечная оболочка Слизисто-бикарбонатный (эпителиальный слизистый) барьер желудка, состоящий из двух компонентов: растворимый (поверхностный) и глубокий (фиксированный)
ЖЕЛЕЗЫ ЖЕЛУДКА
КЛЕТКИ ПОКРОВНОГО ЭПИТЕЛИЯ СЕКРЕТИРУЮ - МУЦИН ЖЕЛЕЗЫ ЖЕЛУДКА КЛЕТКИ СЛИЗИСТАЯ МАЛОДИФФЕРЕНЦИРОВАННЫЕ, ШЕЕЧНАЯ СПОСОБНЫ К МИТОЗУ, СЕКРЕТИРУЮ - МУЦИН Устье 1 1 Выводной проток 2 2 3 Тело ОБКЛАДОЧНАЯ КЛЕТКА ОБРАЗУЮТ ХЛОРИДЫ; СИНТЕЗИРУЮТ ФАКТОР КАСТЛЯ 3 Дно 4 СЕКОРЕТИ РУЮТ – ПЕПСИНОГЕН ГЛАВНАЯ (расщепляют КЛЕТКА белки на олигопептиды) ОТКРЫТОГО И ЗАКРЫТОГО ТИПА. НЕСУТ ЭНДОКРИННОЦИТ РЕЦЕПТОРНУЮ И РЕГУЛЯТОРНУЮ ФУНКЦИЮ 4
НЕПИЩЕВАРИТЕЛЬНЫЕ ЭФФЕКТЫ хлористоводородной кислоты МАЦЕРАЦИЯ ПИЩИ; РАСТВОРЕНИЕ НУТРИЕНТОВ; ДЕНАТУРАЦИЯ ПИЩЕВЫХ БЕЛКОВ; ИЗМЕНЕНИЕ СТРУКТУРЫ БЕЛКОВ; ПОВЫШЕНИЕ АТАКУЕМОСТИ БЕЛКОВ ПРОТЕАЗАМИ; АКТИВАЦИЯ ПЕПСИНОГЕНОВ; СОЗДАНИЕ ОПТИМАЛЬНОГО Ph. САМОРЕГУЛЯЦИЯ СЕКРЕЦИИ ЖЕЛУДКА ЧЕРЕЗ ГАСТРИНОВЫЙ МЕХАНИЗМ; ВАГО-ВАГАЛЬНАЯ РЕФЛЕКТОРНАЯ ФУНДО-ФУНДАЛЬНАЯ СТИМУЛЯЦИЯ СЕКРЕЦИИ ПЕПСИНОГЕНОВ; ВЫСВОБОЖДЕНИЕ СЕКРЕТИНА; ВЫСВОБОЖДЕНИЕ ХОЛИЦИСТОКЕНИНА И ДРУГИХ ГОРМОНОВ 12 -ПЕРСТНОЙ К-КИ; МОТОРНЫЕ ЭФФЕКТЫ НА ЖЕЛУДОК И ДВЕНАДЦАТИПЕРСТНУЮ КИШКУ; ЭВАКУАЦИЮ СОДЕРЖИМОГО ЖЕЛУДКА И СКОРОСТЬ ТРАНЗИТА ДУАДЕНАЛЬНОГО СОДЕРЖИМОГО; БАКТЕРИЦИДНОСТЬ; УСИЛЕНИЕ ИММУННЫХ СВОЙСТВ. Париетальная клетка – клетка меняла
В 12 (КОБАЛОМИН) РОТОВАЯ ПОЛОСТЬ ЖЕЛУДОК В 12 + R-БЕЛОК + ФАКТОР КАСТЛА R-БЕЛОК ТОНКАЯ КИШКА В 12 + ФАКТОР КАСТЛА +ТРАНКОБАЛАМИН I КРОВЬ В 12 + ФАКТОР КАСТЛА +ТРАНКОБАЛАМИН II ПЕЧЕНЬ - ДЕПО В 12 ЭФФЕКТ СТИМУЛЯЦИЯ ЭРИТРОПОЭЗА; СТИМУЛЯЦИЯ СИНТЕЗА НУКЛЕИНОВЫХ КИСЛОТ; РОЛЬ ЛИПОТРОПНОГО ФАКТОРА; ОПТИМИЗАЦИЯ ФУНКЦИИ НЕРВНОЙ СИСТЕМЫ.
ЭНДОКРИНОЦИТЫ (КЛЕТКИ КУЛЬЧИНСКОГО) КЛЕТКИ ГОРМОНЫ ДЕЙСТВИЕ P бомбезин - стимулирует мускулатуру желчного пузыря и секрецию соляной кислоты ЕС серотонин - стимулирует двигательную активность ворсинок, активация главных и слизистых клеток. - регулирует биоритмы функциональной активности клеток. - усиливает моторику кишечника, модулятор боли. - стимулирует двигательную активность ворсинок мелатонин вещество Р мотилин I холецистокинин (панкреозимин) - стимулирует образование панкреатического сока моторику желудка ЕCL гистамин - стимуляция главных и париетальных клеток, а также моторику кишечника. G гастрин энкефалин - стимуляция главных и париетальных клеток. регулирует чувство боли D соматостатин - подавляет секрецию желез и деление клеток D 1 вазоинтестинальный полипептид (ВИП) - расслабляет гладкую мускулатуру, стимулирует выделение гормонов поджелудочной железы. A энтероглюкон - повышает уровень сахара в крови, стимулирует слизеобразование покровными клетками желудка. S секретин - стимулирует секрецию бикарбонатов.
ГУМОРАЛЬНЫЕ ФАКТОРЫ, РЕГУЛИРУЮЩИЕ ДЕЯТЕЛЬНОСТЬ ПАРИЕТАЛЬНОЙ КЛЕТКИ СТИМУЛЯТОРЫ СЕКРЕЦИИ ГИСТАМИН (ЕСL – КЛЕТКИ) ГАСТРИН (G-КЛЕТКИ) БОМБЕЗИН (Р-КЛЕТКИ) ИНГИБИТОРЫ СЕКРЕЦИИ СОМАТОСТАТИН (D- КЛЕТКИ) ГИП (К-КЛЕТКИ ЭПИТЕЛИЯ ТОНКОЙ КИШКИ) СЕКРЕТИН (S-КЛЕТКИ ТОНКОЙ КИШКИ) ПРОСТАГЛАНДИНЫ (ПОКРОВНЫЙ ЭПИТЕЛИЙ ЖЕЛУДКА)
ГУМОРАЛЬНЫЕ ФАКТОРЫ, РЕГУЛИРУЮЩИЕ ДЕЯТЕЛЬНОСТЬ ГЛАВНОЙ КЛЕТКИ СТИМУЛЯТОРЫ ИНГИБИТОРЫ ГИСТАМИН (ЕСL-КЛЕТКИ) ГАСТРИН (G-КЛЕТКИ) БОМБЕЗИН (Р-КЛЕТКИ) СЕРОТОНИН (ЕС-КЛЕТКИ) СОМАТОСТАТИН (D-КЛЕТКИ) ГИП (К-КЛЕТКИ ТОНКОЙ КИШКИ) СЕКРЕТИН (S-КЛЕТКИ ТОНКОЙ КИШКИ)
ГУМОРАЛЬНЫЕ ФАКТОРЫ, РЕГУЛИРУЮЩИЕ ДЕЯТЕЛЬНОСТЬ ДОБАВОЧНЫХ КЛЕТОК СТИМУЛЯТОРЫ СЕКРЕЦИИ ИНГИБИТОРЫ СЕКРЕЦИИ ГИСТАМИН (ЕСL-КЛЕТКИ) ГАСТРИН (G-КЛЕТКИ) БОМБЕЗИН (Р-КЛЕТКИ) ПЕПСИН (ГЛАВНЫЕ КЛЕТКИ) СОЛЯНАЯ КИСЛОТА (ПАРИЕТАЛЬНЫЕ КЛЕТКИ) СЕРОТОНИН (ЕС-КЛЕТКИ) СОМАТОСТАТИН (D-КЛЕТКИ) ГИП (КЛЕТКИ ЭПИТЕЛИЯ ТОНКОЙ КИШКИ) СЕКРЕТИН (S-КЛЕТКИ ТОНКОЙ КИШКИ)
ГУМОРАЛЬНЫЕ ФАКТОРЫ. РЕГУЛИРУЮЩИЕ ДЕЯТЕЛЬНОСТЬ ПОКРОВНОГО ЭПИТЕЛИОЦИТА СТИМУЛЯТОРЫ СЕКРЕЦИИ ИНГИБИТОРЫ СЕКРЕЦИИ ГИП (К-КЛЕТКИ ЭПИТЕЛИЯ ТОНКОЙ ГЛЮКАГОН (А-КЛЕТКИ ) КИШКИ) ПРОСТАГЛАНДИН Е СЕКРЕТИН (S-КЛЕТКИ ТОНКОЙ ЭПИДЕРМАЛЬНЫЙ ФАКТОР РОСТА КИШКИ) (СЛЮННЫЕ ЖЕЛЕЗЫ) СОМАТОСТАТИН (D-КЛЕТКИ) СЕРОТОНИН (ЕС-КЛЕТКИ) ПЕПСИН (ГЛАВНЫЕ КЛЕТКИ) СОЛЯНАЯ КИСЛОТА (ПАРИЕТАЛЬНЫЕ КЛЕТКИ)
Слизистая оболочка дна желудка новорожденного. Окр. : Г+Э. Слизистая оболочка желудка новорожденного и ребенка первых лет жизни относительно толще, чем у взрослого. К моменту рождения процесс дифференцировки железистого аппарата желудка еще не завершен. Главные клетки активно и в большом количестве дифференцируются только в конце внутриутробного развития. Сформировавшиеся раньше других обкладочные клетки еще долго не обеспечивают кислую реакцию желудочного сока. В железах желудка новорожденного имеется значительное количество индифферентных клеточных элементов, которые особенно многочисленны у основания желез. Количество желез после рождения продолжает увеличиваться. К концу первого года жизни составляет ¼ количества, свойственного желудку взрослого. Увеличивается количество и емкость желудочных ямок. Параллельно с развитием железистого аппарата идет активный гистогенез компонентов стенки желудка – возрастает количество и разнообразие клеток соединительной ткани; определяются небольшие скопления лимфоидной ткани в виде солитарных фолликулов. . Мышечные элементы стенки желудка, и мышцы слизистой оболочки в том числе, увеличиваются ко 2 -му году жизни. У 10 -12 летнего ребенка желудок в функциональном и морфологическом отношении близок к желудку взрослого человека.
Особенно незавершенной гистогенетически выглядит слизистая оболочка пилорической части желудка. Пилорическая часть желудка новорожденного. Окр. : Г+Э.
ФУНКЦИИ: ТОНКАЯ КИШКА • ПИЩЕВАРИТЕЛЬНАЯ; • ВСАСЫВАТЕЛЬНАЯ; • МОТОРНО-ЭВАКУАТОРНАЯ; • СЕКРЕТОРНАЯ; • ЭКСКРЕТОРНАЯ; • БАРЬЕРНО-ЗАЩИТНАЯ • ЭНДОКРИННАЯ ВОРСИНКИ ТОНКОЙ КИШКИ ВЫПОЛНЯЕТ РОЛЬ ОСНОВНОГО ХИМИЧЕСКОГО РЕАКТОРА, ГДЕ ЗАВЕРШАЕТСЯ ГИДРОЛИЗ ПИЩЕВАРИТЕЛЬНЫХ ПОЛИМЕРОВ И ВСАСЫВАНИЕ ПРОДУКТОВ ИХ ГИДРОЛИЗА
ПИЩЕВАРИТЕЛЬНЫЙ КОНВЕЙЕР ТОНКОЙ КИШКИ ПОЛИМЕРЫ. ОЛИГОМЕРЫ ОЛИГО-, ТРИ, ДИМЕРЫ ТРИ-, ДИМЕРЫ МОНОМЕРЫ ПОЛОСТЬ ТОНКОЙ КИШКИ ПОЛОСТНОЕ ВНЕКЛЕТОЧНОЕ ПИЩЕВАРЕНИЕ ПРИСТЕНОЧНОЕ ВНУТРИКЛЕТОЧНОЕ ПИЩЕВАРЕНИЕ
КАЕМЧАТЫЕ КЛЕТКА ПАНЕТА АДСОБЦИЯ ГЛИКАЛИКСОМ ФЕРМЕНТОВ И УЧАСТИЕ В ПРИСТЕНОЧНОМ ПИЩЕВАРЕНИИ БЕСКАЕМЧАТЫЕ СИНТЕЗ СЛИЗИ ЗАЩИТА СЛИЗИСТОЙ ОТ САМОПЕРЕВАРИ ВАНИЯ КАМБИАЛЬНЫЙ ЭЛЕМЕНТ ВЫРАБАТЫВАЕТ – ЛИЗОЦИМ, БАКТЕРИОЛОГИЧЕСКИЙ ФЕРМЕНТ, НАКАПЛИВАЕТ ЦИНК ЭНДОКРИНОЦИТ БОКАЛОВИДНЫЕ л КЛЕТКИ ЭПИТЕЛИЯ ТОНКОЙ КИШКИ
АПИКАЛЬНЫЕ МИКРОВОРСИНКИ ХЕМОСЕНСОРНАЯ ЩЕТОЧНАЯ КЛЕТКА АППАРАТ ГОЛЬДЖИ ЛАТЕРАЛЬНЫЕ МИКРОВОРСИНКИ БАЗАЛЬНАЯ МЕМБРАНА
МЕХАНИЗМЫ ХЕМОСЕНСОРНОЙ СИГНАЛИЗАЦИИ ЭНТЕРОЦИТ ОТКРЫТАЯ ЭНДОКРИННАЯ КЛЕТКА ЩЕТОЧНАЯ КЛЕТКА ЗАКРЫТАЯ ЭНДОКРИННАЯ МИОФИБРОБЛАСТЫ НЕРВНЫЕ ВОЛОКНА КРОВЕНОСНЫЙ СОСУД ГЛАДКИЕ МИОЦИТЫ
ворсинки слизистая железы Подслизистая основа Мышечная пластинка слизистой оболочки Мышечная оболочка ДВЕНАДЦАТИПЕРСТНАЯ КИШКА
ВОРСИНКИ В РАССЛАБЛЕННОМ И СОКРАЩЕННОМ СОСТОЯНИИ ПОСТУПЛЕРИЕ ВЕЩЕСТВ В ЛИМФОТИЧЕСКИЙ СОСУД ПРИ РАССЛАБЛЕНОМ СОСТОЯНИИ ВЫВЕДЕНИЕ ВЕЩЕСТВ ИЗ СОСУДА ПРИ СОКРАЩЕНИИ ВОРСИНКИ
Рост кишечника интенсивно выражен в течение 1 -го года жизни, когда длина его увеличивается в 2, 5 раза, дальнейшее увеличение происходит медленно. Отношение длины толстого кишечника к длине тонкого следующее: у новорожденных 1: 6, у грудных детей 1: 5, у взрослого 1: 4. Это соответствует большой пищеварительной нагрузке (желудок в этот период слабо представлен в пищеварительной функции). Одновременно меняется и строение кишечной стенки. Мышечная оболочка, особенно продольный слой, тонкая. Эластический аппарат развит слабо. Низкие Либеркюновы крипты. Клетки Панета, в отличие от взрослых, встречаются в большом количестве в основании желез и на поверхности ворсинок. Двенадцатиперстная кишка новорожденного имеет особенности в сравнении с одноименной кишкой взрослого. Она чаще всего бывает кольцевидной формы, без видимых границ между ее частями. К 2 -3 годам эта форма наблюдается значительно реже, она приближается к форме кишки у взрослого. У новорожденного положение начала кишки и ее конец (двенадцатиперстно-тощий изгиб) лежат почти на одном уровне.
ФУНКЦИИ: ТОЛСТАЯ КИШКА крипты • ПИЩЕВАРИТЕЛЬНАЯ – расщепление клетчатки ферментами бактерий; • ВСАСЫВАТЕЛЬНАЯ – воды и минеральных веществ в небольшом количестве; • МОТОРНО-ЭВАКУАТОРНАЯ; • СЕКРЕТОРНАЯ – секреция слизи, ферментов, дипептидаз; • СИНТЕТИЧЕСКАЯ – синтез вит. К и гр. В с участием бактерий; • ЭКСКРЕТОРНАЯ – выделение солей тяжелых металлов, продуктов обмена; • БАРЬЕРНО-ЗАЩИТНАЯ • ЭНДОКРИННАЯ Пейерова бляшка
Во внутриутробном периоде восходящая ободочная кишка длиннее нисходящей, в то время как у новорожденного она короче и только к 4 годам становится равной нисходящей, а к 7 годам - такой же, как у взрослого. Несколько увеличенное число изгибов особенно отличает восходящую часть кишки. Очень слабо выражены по ходу всей ободочной кишки гаустры и ленты. С возрастом они становятся более выраженными. Толстая кишка новорожденного. Окр. : Г+Э.
Червеобразный отросток новорожденного. Окр. : Г+Э. Сосуды заполнены лимфоцитами Червеобразный отросток ребенка 2 лет. Окр. : Г+Э.
СПАСИБО ЗА ВНИМАНИЕ И ТИШИНУ В ЗАЛЕ


