d0c77fa02aaed92d01893204c34ce07c.ppt
- Количество слайдов: 12
Philips Achieva 1, 5 T Діагностичний центр «Сім. Мед» ТОВ «Ваша надія» м. Чернігів, вул. Волковича, 25 (територія Обласної лікарні) тел. 93 -20 -23, 93 -20 -24
Магнитно-резонансная томография (МРТ) томографический метод исследования внутренних органов и тканей с использованием физического явления ядерного магнитного резонанса в постоянном магнитном поле высокой напряжённости. Основное отличие от КТ- метод МРТ позволяет визуализировать мягкие ткани: мышцы, нервы, головной и спинной мозг, межпозвонковые диски, связки, молочные железы, желчевыводящие пути. Во время обследования пациент не подвергается рентгеновскому облучению!
§ В неврологической практике МРТ позволяет диагностировать аномалии развития, воспалительные, дисциркуляторные, неопластические процессы головного и спинного мозга, а также его оболочек. Кроме того, незаменимым метод является в диагностике патологии межпозвонковых дисков, паравертебральных мягких тканей, а также в скрининговой диагностике патологии сосудов головы и шеи. § В ортопедии МРТ показано при любой патологии гиалинового хряща, внутрисуставных связок, менисков, ротаторной манжеты плечевого сустава, синовиальных складок, что позволяет достоверно диагностировать их разрывы, отек, инфильтрацию. § При исследовании брюшной полости МРТ позволяет диагностировать заболевания печени, желчевыводящих протоков (режим холангиографии без применения контраста обеспечивает визуализацию холедоха, вирсунгова протока на всем протяжении), поджелудочной железы, селезенки, надпочечников, лимфатических узлов брюшной полости. § Широко используется МРТ в гинекологии и урологии, в маммологии метод позволяет диагностировать объемные процессы и их распространенность.
Томографы с напряженностью поля в пределах от 0, 2 до 0, 4 Тесла в современной медицине относятся к аппаратам скринингового уровня, на таких томографах проводится первичная диагностика, которая в большом числе случаев требует более детальной оценки на высокопольных томографах 1, 5 -3 Тесла, которые установлены во всех европейских клиниках. Установленный у нас томограф Philips Achieva 1, 5 T относится к высокопольным магнитам, позволяющим получить изображения органов, тканей или новообразований с очень высокой четкостью. Аппарат такого уровня позволяет решать вопросы как клинической так и экспериментальной медицины.
Помещение с томографом Пациент во время обследования находится в светлом, просторном, вентилируемом помещении, во время сканирования у него есть возможность голосовой связи с оператором в том числе при помощи специальных наушников.
Имеющийся у нас набор катушек томографа PHILIPS Ahieva позволяет визуализировать с высоким качеством: § головной мозг (в т. ч. аномалии гипофиза, с применением контрастирования); § артерии и вены головного мозга; § орбиты и зрительные нервы; § все отделы позвоночного столба; § тазобедренный, коленный, плечевой, локтевой, височнонижнечелюстной, суставы; § лучезапястный сустав , запястно-пястный отделы кисти, стопы и голеностопные суставы; § почки и надпочечники; § печень, поджелудочную железу, селезенку; § предстательную железу, яички, мочевой пузырь, матку, яичники: § мягкие ткани тела.
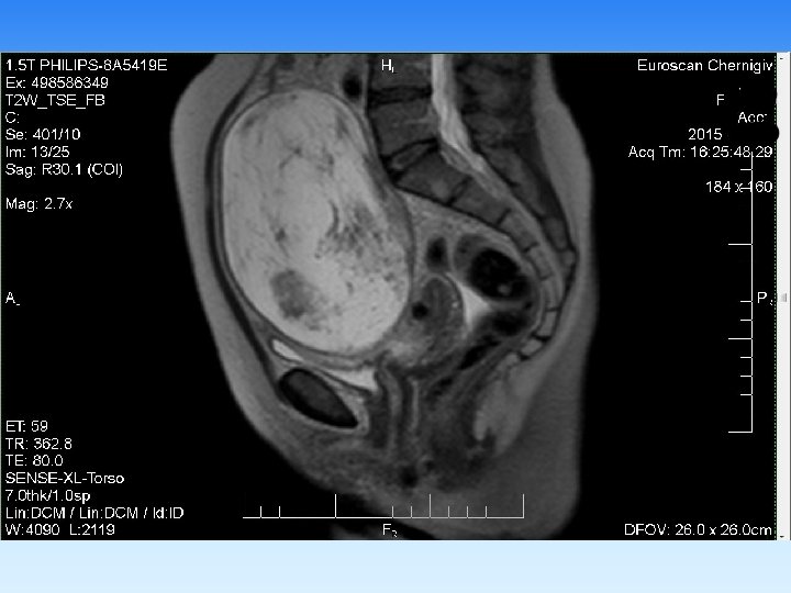
Примеры визуализаций
При одинаковом результате (при КТ так же, как и при МРТ в результате получается не просто снимок, а объемное изображение), компьютерная томография опасна и несет вред для здоровья человека. МРТ, в свою очередь, является абсолютно безопасным методом исследования (даже при беременности). Разница между МРТ и КТ состоит в наличии побочных явлений после применения компьютерной томографии, поэтому если следует выбирать между безопасностью, которую гарантирует МР-томография, и относительно невысокой ценой КТ следует отдать предпочтение МРТ как более безопасному методу обследования. Спасибо за внимание!


