Скачать презентацию Первый МГМУ им И М Сеченова Кафедра профилактической Скачать презентацию Первый МГМУ им И М Сеченова Кафедра профилактической

Клинический разбор по теме - кардиомиопатии беременных.ppt

  • Количество слайдов: 26

Первый МГМУ им. И. М. Сеченова Кафедра профилактической и неотложной кардиологии Клинический разбор Первый МГМУ им. И. М. Сеченова Кафедра профилактической и неотложной кардиологии Клинический разбор

Пациентка: В. Б. , 25 лет Поступила 16/09/2011 с жалобами на слабость, одышку, кашель Пациентка: В. Б. , 25 лет Поступила 16/09/2011 с жалобами на слабость, одышку, кашель с отделением розовой мокроты, боль в верхней части спины

Анамнез заболевания 16/09/11 - плановая операция кесарева сечения, через 3 часа после которой появились Анамнез заболевания 16/09/11 - плановая операция кесарева сечения, через 3 часа после которой появились жалобы на сердцебиение, одышку, кашель с отделением розовой мокроты, боль в верхней части спины. Зафиксировано повышение АД до 160/90. Перевод в ОРИТ 1

Анамнез жизни Ранее жалоб на повышение АД, сердцебиение не отмечалось, толерантность к физической нагрузке Анамнез жизни Ранее жалоб на повышение АД, сердцебиение не отмечалось, толерантность к физической нагрузке была высокой. С 2008 года — рассеянный склероз. Наблюдается у невролога, до беременности специфическое лечение с положительным эффектом. Акушерско-гинекологический анамнез: в 2010 году — самопроизвольный выкидыш. 2011 г — настоящяя беременность, со слов пациентки протекала без патологии.

Объективно: состояние средней степени тяжести. Кожные покровы бледные. В легких разнокалиберные влажные хрипы. ЧДД Объективно: состояние средней степени тяжести. Кожные покровы бледные. В легких разнокалиберные влажные хрипы. ЧДД 20/мин. Тоны сердца ясные ритмичные, ЧСС 140/мин. Живот мягкий, болезненный в области послеоперационной раны. Предположительный диагноз?

ОАК 16/09/11 — лейкцитоз (21, 9 *109) ОАМ 16/09/11 — Белок- положит. Глюкоза — ОАК 16/09/11 — лейкцитоз (21, 9 *109) ОАМ 16/09/11 — Белок- положит. Глюкоза — положит. Ацетон — слабоположит. Гиалиновые цилиндры — обнаружены Лейкциты — 5 -7 Эритроциты — 25 -30 Д-димер 16/09/11 - 3. 6(N до 0, 5) Тропонин 16/09/11 — 0, 90, 17/09/11 — 0, 97 (N - 0) Биохимический анализ крови 16/09/11 Креатинин — 1, 50 (N до 1, 2)

Экг 16/09/11 Экг 16/09/11

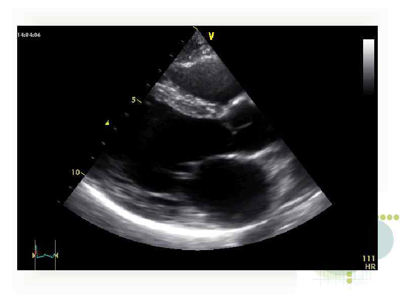
Эхо-КГ 16/09/11 (ЧСС - 140 -150/мин!) Диффузный гипокинез стенок левого желудочка, ФВ 55%. Митральная Эхо-КГ 16/09/11 (ЧСС - 140 -150/мин!) Диффузный гипокинез стенок левого желудочка, ФВ 55%. Митральная регургитация II степени, трикуспидальная регургитация II степени. Признаков легочной гипертензии нет.

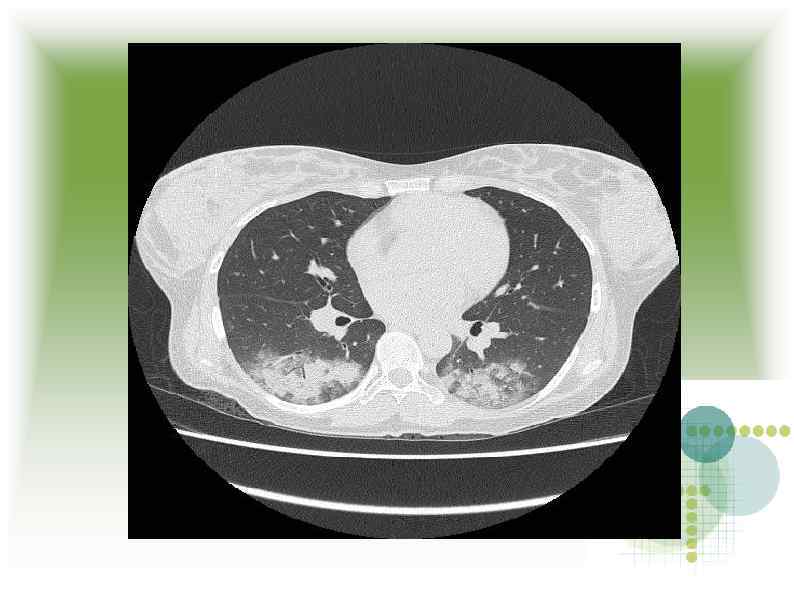
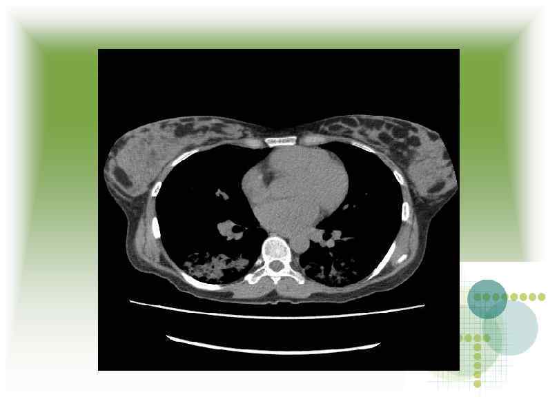
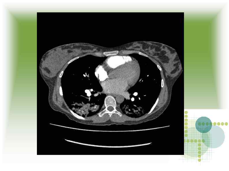
МСКТ МСКТ

Заключение МСКТ Признаки геморрагической пневмонии? Заключение МСКТ Признаки геморрагической пневмонии?

ЭКГ 17/09/11 ЭКГ 17/09/11

ЭКГ 18/09/11 ЭКГ 18/09/11

ЭКГ 19/09/11 ЭКГ 19/09/11

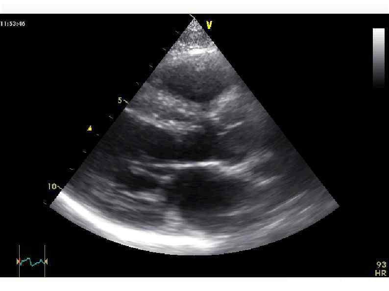
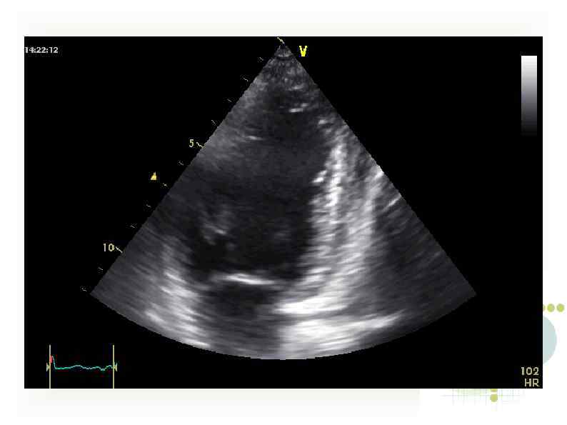
Эхо-КГ 19/09/11 Эхо-КГ 19/09/11

Проводилась оксигенотерапия, назначены диуретики, игибиторы АПФ, бета-блокаторы На фоне лечения – уменьшение одышки, в Проводилась оксигенотерапия, назначены диуретики, игибиторы АПФ, бета-блокаторы На фоне лечения – уменьшение одышки, в легких хрипов нет.

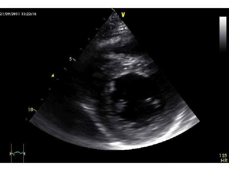
Эхо-КГ 21/09/11 Эхо-КГ 21/09/11

Спасибо за внимание! Спасибо за внимание!

Эхо-кг 2/10/11 При сравнении с предыдущим исследованием отмечается заметная положительная динамика в виде уменьшения Эхо-кг 2/10/11 При сравнении с предыдущим исследованием отмечается заметная положительная динамика в виде уменьшения размеров левого желудочка и улучшения сократительной функции