029bcae2818208afeee587ccaa498025.ppt
- Количество слайдов: 61
Перинатальные поражения ЦНС Кафедра детских болезней и поликлинической педиатрии № 2 ГОУ ВПО Чел. ГМА Доцент Миночкин П. И.
Схема развития нервной системы Нейроэктодермальная индукция 3 неделя ГВ Нейруляция С 3 до конца 4 недели Прозэнцефалическое и гемисферическое формирование 5 -10 недель Нейрональная пролиферация 10 -20 недель Нейрональная миграция 12 -24 Запрограммированная нейрональная клеточная смерть 28 -41 Нейрогенез 15 -20? до месяцев и лет Синаптогенез 20 до пубертатного периода Глиогенез 20 до ? лет Миелинизация 36 -38 до 2 -3 лет Ангиогенез 5 -10 до ? лет ГВ – гестационный возраст
Миграция
Мозг в 30 недель ГВ
Синаптогенез
Основные понятия • Очаг некроза – клетки не спасти • Пенумбра – тень, клетки которые могут выжить • Эксайтотоксичность • Апоптоз
2 модели Церебральной ишемии
Прекондиционирование – нейпротективное действие • Фактор индуцируемый гипоксией-1 (HIF 1) – модулирует транспорт глюкозы и гликолиз • Факторы роста • Оксид азота
Церебральная ишемия • • Диффузные церебральные поражения Очаговые поражения Парасагитальные поражения Паравентрикулярные поражения Статус мраморатус ВЖК ПИВК Постгеморрагическая прогрессирующая гидроцефалия
Диффузные церебральные поражения • Кома, судороги, отек мозга, ПОН – необходимость интенсивной терапии, ИВЛ: Тяжелая церебральная ишемия • Угнетение, судороги (обязательный компонент, даже при отсутствии угнетения): Среднетяжелая церебральная ишемия • Гипервозбудимость: Легкая церебральная ишемия
Шкала активности НС новорожденного в цикле «сон/бодрствование» по Prechtl • 1 уровень – отсутствие колебаний ЧСС в ответ на осмотр, моторика отсутствует • 2 уровень – вялая моторика • 3 уровень – в ответ на осмотр реагирует спонтанной моторикой, глаза закрыты • 4 уровень – в ответ на осмотр реагирует спонтанной моторикой, гримасой, глаза открыты, крика нет • 5 уровень – в ответ на осмотр реагирует криком, гримасой, спонтанной моторикой
Дифдиагностика тяжести ЦИ • Уровень физиологической активности НС • Рефлекс акустического мигания • Рефлекс Моро • Сосательный рефлекс • Судороги • Гипертония+брадикардия=синдром Кохера-Кушинга
Шкала Сарната по стадиям Церебральной ишемии Признак Стадия 1 Стадия 2 Стадия 3 Уровень активности Активен Сонливость Кома Мышечный тонус Норма или гипертония Гипотония Атония Сухожильные рефлексы Повышены Снижены или отсутствуют Миоклонус Да Да Нет Судороги Нет Да Да Сосание Активное Слабое Отсутствует Моро Повышен Неполный Отсутствует Хватательный Нормальный или повышенный Повышенный Отсутвтует Кукольных глаз Нормальный Черезмерно активный Снижен или отсуттвует Зрачки Расширены, реактивны Сужены, реактивны Вариабельны или фиксированы Дыхание регулярное Вариабельно или периодическое Атаксичноее или апноэ ЧСС Норма или тахикардия Брадикардия ЭЭГ Норма Низкий вольтаж периодическая пароксизмальная активность Периодическая или изоэлектрическая Сложные рефлексы Автономные функции
Очаговая симптоматика • Глазная симптоматика: рефлекс кукольных глаз, нистагм, парезы взора, девиация глазных яблок, анизокория • Асимметрия лица • Поперхивания при глотании, невозможность глотания, гиперсаливация, склонность к аспирационному синдрому, срыгивания через нос при кормлении • Гемипарез: больной смотрит на очаг, паралич противоположной стороны, рефлекс перекрестного отдергивания помогает дифференцировать гемипарез от асимметричного шейно-тонического рефлекса • С-м Дежерина Клюмпке – «тюленьи лапки» или «когтистая лапа» , Дюшена-Эрба – «рука официанта просящего на чай» , с-м Бернара-Сулье – «птоз, миоз, энофтальм» , с-м Керера, с-м Кофферата • С-м Литтля – тотальный паралич
Нормальная ЭЭГ
Паттерн «Вспышка-подавление»
Амплитуд-интегрированная ЭЭГ «Вспышка-подавление»
Вызванные потенциалы
ЯМРТ
Лечение • АВС (реанимация – ИТ) • Максимально охранительный режим • Избегать гипероксии, гипоксемии, гиперкапнии и гипокапнии, контроль КОС и электролитов • Лечение отека мозга (кома, очаговость, судороги): Нормовентил. , нормоволем. , осмодиур. , салур. • Профилактика и лечение гипогликемии, избегать гипергликемии • Противосудорожная терапия • Своевременное нейрохирургическое вмешательство – вентрикуло-субгалеальное шунтирование • Оптимальное питание • Нейропротективные стратегии • Профилактика синдрома Внезапной Младенческой Смерти: полисомнография, ЭЭГмониторинг с видеонаблюдением, Холтер-мониторинг, метаболический мониторинг – профилактическое лечение. • Длительная нейрореабилитация
Регенерация мозга
Использование медицинских стратегий на практике • Нельзя использовать стратегии без достаточной доказательной базы: • Обязательные доклинические испытания • Метанализ, РКИ, критерии включения, исключения, методы рандомизации, слепые методы, первичные и отдаленные исходы • Все исследования должны соответствовать критериям Всемирной Медицинской Ассоциации.
Незамедлительные нейропротективные стратегии • Сульфат магнезии (антагонист NMDA) – исследования продолжаются • Аллопуринол (скавенджер кислородных радикалов) – исследования продолжаются • Краниоцеребральная и/или соматическая гипотермия – исследования продолжаются
Первич ная нейропротекция Направление Группа препаратов Представители Состояние изучения Нимодипин Эффективность не доказана Дародипин Эффективность не доказана Исрадипин Грубые побочные эффекты Флунаризин Эффективность не доказана Цереброкраст Эффективность не доказана Дизлоцилин Грубые побочные эффекты Декстрорфан Грубые побочные эффекты Неконкурентные Декстрометорфан Грубые побочные эффекты Церестат Грубые побочные эффекты Ремацемид Продолжение исследований Магнезия* Продолжение исследований Конкурентные Селфотел Грубые побочные эффекты Элипродил Эффективность не доказана GV-150526 A Продолжение исследований ACEA-1021 Эффективность не доказана NBQX Грубые побочные эффекты ZK 200775 Грубые побочные эффекты BW-619 C 89 Грубые побочные эффекты Пропентофиллин Грубые побочные эффекты Фенитоин Эффективность не доказана фос-Фенитоин Эффективность не доказана Лубелузол Продолжение исследований Антагонисты потен - циал зависимых каналов Дигидропеиридины Антагонисты NMDA рецепторов Антагонисты глутаматных рецепторов Селективные: полиаминового сайта глицинового сайта Антагонисты AMPA рецепторов Ингибиторы синтеза и пресинаптического высвобождения глутамата Агонисты ГАМК Клометиазол Продолжение исследований Глицин Продолжение исследований
Репаративная терапия Направление Группа препаратов Представители Состояние изучения Стимуляция сукцинат дегидрогеназной активности ГАМК еаргические Пирацетам Изучается Предшественники нейромедиаторов и фосфолипидов Фосфатидилхолина Витамины Карнитин Стимуляторы роста, ветвления отростков нейронов и синаптогенеза 927 больных, улучшение исходов и снижения летальности не доказано. Мультцентровое исследование Herrschaft H. Med Klin 1988; 83: 667 -577. Kartin P. , Povse M. , Skondia V. Acta Therap 1979; 5: 235 -243. Platt D. , Horn J. , Summa J. D. Die Med Welt 1992; 43(2): 181 -190) В монографии академика Российской АМН ДМН, завед. Каф неврологии и нейрохирургии Росс гос мед университета, председателя Всерос сийского общества неврологов Евгения Ивановича Гусева "Ишемия мозга" изданной М. "медицина" в 2001 году. Цитоколин Продолжение исследований Глиатилин Продолжение исследований Аплегин Продолжение исследований Амфетамин Доклинические испытания Ростовые фосфопротеины Доклинические испытания
Препараты используемые в клинике – негативный список • • • Актовегин – опасность прионовой болезни Кортексин – опасность прионовой болезни Глиатилин – увеличение концентрации ацетилхолина Ноотропил - ГАМК Пирацетам - ГАМК Церебролизин – смесь аминоксилот Пантогам (гопантотенат кальция) - ГАМК Церепро – центральный холиномиметик Семакс – нейропептид АКТГ Ацетазоламид (Диакарб) - ингибитор карбоангидразы, не предотвращает инвалидность и не снижает смертность • Кавинтон – антагонист кальция, безопасность не доказана
Стратегии оказывающие проапоптозное нейродегенеративное действие на мозг • • Препараты блокирующие NMDA Активирующие ГАМКА-А рецепторы Ингибиторы натриевых каналов Кислород в дозировках превышающих физиологические
Препараты разрешенные в неонатологии для воздействия на нервную систему, согласно электронного справочника neofax. • • • Ацетаминофен (Парацетамол)- в Российском стандарте Ибупрофен Панадол Сахароза 24% и 50% (подсластитель для уменьшения поведенческой реакции на боль) Морфий Фентанил* Долофин (Метадон) Налоксон Наркан (опиатный антагонист) Метадон Пентобарбитал (седативный, гипнотик) Мидазолам (седативный, гипнотик для индукции анестезии, для лечения рефрактерных судорог) • • • Флумазенил (антагонист бенздиазепинов) Небутал (седативный, гипнотик) Ноктек (седативный, гипнотик) Мивакрон (миорелаксант для эндотрахеальной интубации)* Мивакурониум* • • • • • Векурониум* Норкурон (миорелаксант, при ИВЛ)* Панкурониум* Павулон (миорелаксант) Ативан (Лоразипан) Лоразепам* Ромазикон (антагонист бензодиазепинов) Хлорал гидрат Фенобарбитал* Фенитоин* Церебикс (Фосфенитоин) Фосфенитоин* Дилантин (Фенитоин)* Лидокаин* Лигнокаин Неостигмин (ингибитор АХЭ, при миастении, в т. ч. транзиторной) Простигмин (ингибитор АХЭ, при миастении)
Пороки развития НС • Аномалии развития нервной трубки и прозэнцефалического формирования : • • Тотальный краниорахисшиз Анэнцефалия Миелошизис Энцефалоцеле Миеломенингоцеле Оккультные дизрафические состояния Голопрозэнцефалия и агенезия мозолистого тела Синдром Дэнди-Уокера • Аномалии нейрональной пролиферации • • • Микроцефалия Микролизэнцефалия Мегалэнцефалия • Аномалии нейрональной миграции • • • Х - сцепленная перивентрикулярная гетеротопия I тип лизэнцефалии и тромбоцит-активирующий фактор (LIS 1 –ацетилгидролаза- PAF-Ca-блок миграции) Синдром двойной коры (мутации DCX и LIS 1) Синдром Zellweger (аутосомно-рецессивное отсутствие пероксисом) Средовые факторы поражающие миграцию
Окципитальное энцефалоцеле
Люмбальное миеломенингоцеле с дистальным смещением ствола и мозжечка, и ассоциированной гидроцефалией
Голопрозэнцефалия с агенезией мозолистого тела
Септо-оптическая дисплазия с агенезией мозолистого тела и прозрачной перегородки
С-м Дэнди-Уокера. Агенезия червя(черная стрелочка А) с увеличением задней черепной ямки, подъем тенториума (жирная стрелочка В) и гидроцефалия (тонкая стрелочка В)
Микроцефалия, радиальный микромозг
Лизэнцефалия 1 типа. С-м Miller-Dieker
Алкогольный с-м плода. Нейрональная эктопия
Перивентрикулярная лейкомаляция
Схема множественной теории патогенеза ПВЛМ
Схема потенциальных клеточных и молекулярных путей выделения глутамата и провоспалительных цитокинов поражающих белое вещество • AMPA - α-амино 3 -гидрокси-5 метилизоксазол 4 -пропионовая кислота • КА – каиновая кислота • NMDA - N-метилd-аспартат • oligo(s) – олигодендроглио цит • rec - рецепторы
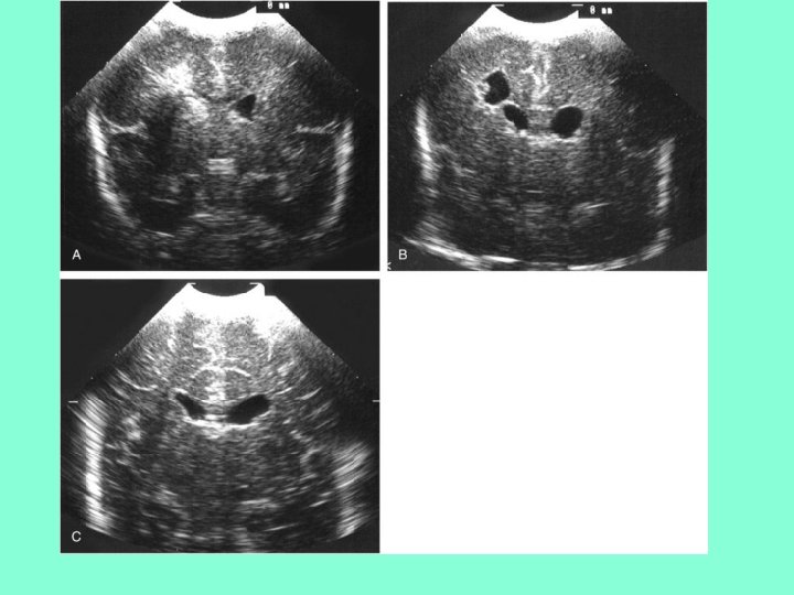
Классификация ПВЛМ From De. Vries L et al: The spectrum of leukomalacia using cranial ultrasound. Behav Brain Res 49: 1, 1992. • 1 степень – транзиторное перивентрикулярное увеличение эхоплотности в первые 7 дней жизни • 2 степени –локальные лобно-височные кисты • 3 степени - распространенные перивентрикулярные кисты • 4 степень – распространенные перивентрикулярные и субкортикальные кисты
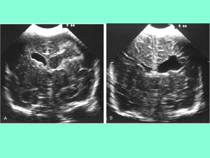
• А – нормальный ребенок в 31 неделю ГВ • В и С - бивентрикулярные кисты
25 недель ГВ, БЛД • А – высокоинтенсивный сигнал в центральном белом веществе • В – сигнал низкой интенсивности в центральном белом веществе характеризующий диффузное поражение белого вещества
ВЖК
Прогноз • Предикторы смертности и инвалидности • Исходы
Предикторы • Очень низкие оценки по Апгар • Изучение р. Н пуповинной крови • Формализованная оценка тяжести состояния SNAPPE • Время восстановления спонтанного дыхания • Неонатальное неврологическое исследование • Изучение структурных дефектов (НСГ, ЯМРТ) • ЭЭГ или амплитудно-интегрированное ЭЭГ • Вызванные потенциалы
Неблагоприятные исходы (Смерть и инвалидность) согласно степени ЦИ Исследования N Пропорция неблагоприятных или летальных случаев (%) легкая средняя тяжелая Длительно сть реабилита ции (годы) Sarnat 21 - 25 100 1 Finer et al 89 0 15 92 3. 5 Robertson and Finer 200 0 27 100 3. 5 Low et al 42 - 27 50 1 Levene et al 122 - 25 75 2. 5
029bcae2818208afeee587ccaa498025.ppt