5. Практикум перелом плеча, предплечья.ppt
- Количество слайдов: 93
Переломы плечевой кости, переломы предплечья Практикум для врачей интернов и ординаторов
Универсальная классификация переломов
Диафизарные переломы
Простой перелом А • Косой перелом дистальной трети диафиза лучевой кости со смещением отломков по ширине на 1/3 Д кости кнаружи. • Полный вывих в дистальном лучелоктевом суставе Перелом с наличием одиночной циркулярной линии излома. Малыми осколками кортикала, составляющими менее 10% периметра кости можно пренебречь
Клиновидный перелом В Перелом с одним или более промежуточными фрагментами, при котором после репозиции имеется некоторый контакт между отломками. Клин от скручивания или сгибания может быть интактным или фрагментированным __________________ Многооскольчатый винтообразный перелом средней и дистальной третей диафиза плечевой кости со смещением отломков по ширине на ½ Д кости кнаружи
Клиновидный перелом В • Винтообразный, многооскольчатый перелом средней трети диафиза большеберцовой кости со смещением отломков по ширине на 1/4 Д кости кпереди
Сложный перелом С • Оскольчатый перелом диафиза с одним или более промежуточными фрагментами, при котором после репозиции отсутствует контакт между отломками • Многооскольчатый перелом проксимальной трети диафиза плечевой кости со смещением отломков по ширине на 1/2 Д кости кнаружи
Метаэпифизарные переломы
Околосуставной перелом А • Околосуставной (надмыщелковый) не распространяется на суставную поверхность, хотя может быть внутрикапсульным. Может быть связан с апофизом или метафизом __________ Поперечный перелом проксимального метафиза плечевой кости со смещением отломков по ширине на 1/4 Д кости медиально и под углом 30 гр. , открытым кнаружи
Неполный внутрисуставной перелом В • Распространяется на часть суставной поверхности, в то время как оставшаяся часть остается соединенной с диафизом ___________
Полный внутрисуставной перелом С • Суставная поверхность расколота и полностью отделена от диафиза __________ Внутрисуставной многооскольчатый перелом проксимального метаэпифиза большеберцовой кости с умеренным смещением отломков по ширине, с внутрисуставным повреждением средней зоны суставной поверхности большеберцовой кости, с отрывом межмыщелковых возвышений. Отрыв костного фрагмента наружного мыщелка бедренной кости с его перемещением кнаружи
Полный внутрисуставной перелом С • Суставная поверхность расколота и полностью отделена от диафиза ______________ Многооскольчатый внутрисуставной перелом дистального метаэпифиза большеберцовой кости со значительным смещением отломков по ширине кнаружи и под углом, открытым латерально. Отмечается выраженная деформация суставной поверхности большеберцовой кости, преимущественно наружных ее отделов за счет смещения осколков. Подвывих в голеностопном суставе. Чрезсиндесмозный перелом наружной ложыжки. Поперечный оскольчатый перелом дистальной трети диафиза малоберцовой кости
Плечевая кость 1
Рентгенография плечевого сустава в прямой проекции • Переломы и вывихи, заболевания плечевого сустава и проксимальных отделов плечевой кости
Рентгенография плечевого сустава в прямой проекции • При отсутствии ротации плеча бугорки не выходят на контур, при супинации на контуре большой бугорок, при пронации - малый
Рентгенография плечевого сустава в косой проекции
Рентгенография плечевого сустава в косой проекции • Края суставной впадины лопатки наслаиваются. Определяется рентгеновская суставная щель
Аксиальная проекция плечевого сустава ( «боковая» ) • Переломы и вывихи, заболевания плечевого сустава и проксимальных отделов плечевой кости
Рентгенография плечевого сустава в боковой проекции через грудную клетку • Переломы и вывихи
Переломы плечевой кости (классификация 1) • Три типа переломов шейки плеча. • 1 - контузионный переломтерщина; • 2 - вколоченный аддукционный перелом; • 3 - вколоченный абдукционный перелом.
Классификации • 1. Кохер 1896 • Анатомическая шейка • Хирургическая шейка • Чрезбугорковый • 2. Кодман 1934 • 3. Нир 1970
Универсальная классификация переломов
Плечевая кость проксимальный сегмент 11 -
Проксимальный сегмент 11 - А 1. А – околосуставной 1 – бугорка ________ Отрыв большого бугорка правой плечевой кости без смещения костного фрагмента
Проксимальный сегмент 11 - А 1. • Полный внесуставной перелом проксимального метафиза плечевой кости (хирургическая шейка) без существенного смещения отломков, подвывих в плечевом суставе
Проксимальный сегмент 11 - А 1. А- околосуставной 1 - бугорка __________ • Оскольчатый отрывной перелом большого бугорка левой плечевой кости со смещением костных фрагментов, полный передний вывих в плечевом суставе
Проксимальный сегмент 11 - А 2. А- Околосуставной унифокальный 2 -вколоченный _________ Перелом - эпифизеолиз шейки правой плечевой кости со смещением отломков по ширине на ½ Д кости кнаружи
Проксимальный сегмент 11 - А 3. А- околосуставной унифокальный 3 - невколоченный _________ Перелом шейки правой плечевой кости со смещением отломков по ширине на Д кости медииально, по длине с захождением и под углом, открытым кнаружи
Проксимальный сегмент 11. В 1 В- околосуставной бифокальный метафизарный, 1 - вколоченный метафиз __________ • Перелом шейки плечевой кости с отрывом большого бугорка без существенного смещения отломков.
Проксимальный сегмент 11. В 2. В- околосуставной бифокальный перелом, метафизарный, 2 - невколоченным __________ • Перелом шейки плечевой кости с отрывом большого бугорка со смещением отломков по ширине на 1/3 Д кости медиально.
Проксимальный сегмент 11. В 3. В- околосуставной бифокальный, 3 - с вывихом в плечевом суставе _________ __ • Перелом шейки плечевой кости с отрывом большого бугорка, со смещением отломков по ширине на 1/2 Д кости медиально. Передний вывих в плечевом суставе.
Диафизарный сегмент 12 -А 1. • А- Простой, • 1 - спиральный ____________ Винтообразный перелом средней трети диафиза левой плечевой кости со смещением отломков под углом, открытым медиально
Диафизарный сегмент 12 -А 2. • А- Простой, • 2 - косой ____________ Косой перелом средней на границе средней и дистальной третей диафиза правой плечевой кости со смещением отломков под углом, открытым медиально
Диафизарный сегмент 12 -А 3. • А- Простой, • 3 - поперечный __________
Диафизарный сегмент12 -В 1. • В- клиновидный • 1 - спиральный клин __________
Диафизарный сегмент12 -В 2. • В- клиновидный • 2 - клин от сгибания __________
Диафизарный сегмент 12 -В 3. • В- Клиновидный, • 3 - фрагментированный клин ____________ Винтообразный перелом дистальной трети диафиза левой плечевой кости со смещением отломков по ширине на ½ Д кости кнаружи и по длине с образованием диастаза до 1, 5 см
Диафизарный сегмент 12 -С 1. С -сложный перелом с отсутствием контакта, 1 - спиральный ___________ Многосокольчаты перелом дистального метадиафиза левой плечевой кости со смешением отломков по ширине на Д кости латерально и под углом, открытым медиально
Диафизарный сегмент 12 -С 2 С -сложный с отсутствием контакта 2 – сегментарный ________________ Двойной многооскольчатый перелом проксимальной трети диафиза и метадиафизарной области с умеренным смещение отломков по ширине кнаружи
Диафизарный сегмент 12 -С 3. С – сложный перелом 3 - иррегулярный _____________ Многооскольчатый перелом проксимальной трети диафиза плечевой кости со сммещением отломков по ширине на 2/3 Д кости кнаружи
Дистальный сегмент 13 плечевой кости С
Дистальный сегмент 13 -А 1. А-околосуставной перелом 1 -аповизарный ____________ Отрывной перелом медиального надмыщелка плечевой кости со смещением костного фрагмента дистально и медиально
Дистальный сегмент 13 -А 2. А- околосуставной 2 - метафизарный, простой ___________ Поперченый перелом дистального метафиза плечевой кости со смещением отломков по ширине на 1/3 Д кости кнаружи
Дистальный сегмент 13 -А 3. А-околосуставной 3 -метафизарный, оскольчатый ___________ Косой оскольчатый перелом дистального метафиза плечевой кости со смещением отломков по ширине на 1/3 Д кнаружи и под углом, открытым медиально
Дистальный сегмент 13 -В 1. В - неполный внутрисуставной 1 -латеральный мыщелок _____________ Внутрисуставной перелом наружного мыщелка плечевой кости без смещения отломков, с умеренной деформацией суставной поверхности
Дистальный сегмент 13 -В 2. В - неполный внутрисуставной 2 - медиального мыщелка ______________ Оскольчатый, внутрисуставной перелом медиального мыщелка плечевой кости со смещением отломков по длине и со значительной деформацией суставной поверхности плечевой кости
Дистальный сегмент 13 -В 3. В - неполный внутрисуставной 3 - фронтальный ___________ Внутрисуставной перелом наружно-переднего края дистального метаэпифиза плечевой кости со смещением костного фрагмента кпереди
Дистальный сегмент 13 -С 1. • С –полный внутрисуставной • 1 - простой суставной, простой метафизарный __________ Внутрисуставной, Т-образный перелом дистального метаэпифиза плечевой кости со смещением отломков по ширине на ¼ Д кости медиально, без существенной деформации суставной поверхности плечевой кости
Дистальный сегмент 13 -С 2. • С-полный внутрисуставной • 2 - метафизарный оскольчатый
Дистальный сегмент 13 -С 2. • С-полный внутрисуставной • 2 - суставной оскольчатый • 2 - фрагментированный клин
Вывих в локтевом суставе
Вывих в локтевом суставе
Переломы предплечья • Перелом локтевого отростка без смещения отломков
Переломы предплечья • Многооскольчатый перелом проксимального метаэпифиза локтевой кости
Переломы предплечья • Оскольчатый внутрисуставной перелом основания локтевого отростка
Переломы предплечья • Перелом основания локтевого отростка локтевой кости, неполный перелом головки лучевой кости
Переломы предплечья • Перелом венечного отростка локтевой кости
Переломы предплечья • Подголовчатый перелом лучевой кости
Переломы предплечья • Неполный перелом головки лучевой кости без смещения отломков
Переломы предплечья • Перелом Монтеджа
Переломы предплечья • Перелом Галиаци
Переломы предплечья • Перелом Галиаци
Переломы предплечья • Перелом обеих костей предплечья со смещением отломков по ширине, по длине с захождением и под углом
Переломы предплечья • Диафизарный перелом лучевой кости
Переломы предплечья • Диафизарный перелом локтевой кости
Переломы предплечья • Диафизарный перелом локтевой кости
Примерные описания
74
• На рентгенограмме области правого плечевого сустава в задней проекции определяется: полный передний вывих в плечевом суставе. 75
76
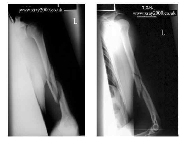
• На рентгенограммах левого предплечья в двух проекциях определяется: косой перелом дистальной трети диафиза лучевой кости со смещением отломков по ширине на 1/3 диаметра кости кнаружи и кпереди, полный вывих в дистальном лучелоктевом суставе к тылу. 77
15. 78
• На рентгенограммах левой плечевой кости в двух проекциях определяется спиральный перелом средней трети диафиза плечевой кости со смещением отломков под углом, открытым медиально на 25 гр. и кпереди на 10 гр. 79
80
• На рентгенограммах дистальных отделов правого предплечья в двух проекциях определяется: косопоперечный перелом дистальной трети диафиза лучевой кости со смещением отломков по ширине медиально на диаметр кости, кзади на 1/3 диаметра и по длине с захождением отломков на 2 см. , отрыв шиловидного отростка локтевой кости 81
82
• На рентгенограммах левой плечевой кости в двух атипичных, вынужденных проекциях определяется: оскольчатый, косопоперечный перелом средней трети диафиза плечевой кости со смещением отломков по ширине на диаметр кости медиально, по длине с захождением отломков на 1, 0 -1, 5 см и под углом, открытым кзади на 45 гр. и кнаружи на 7 -10 гр. 83
84
• На рентгенограмме правого локтевого сустава в задней проекции определяется: косой, оскольчатый, внутрисуставной, неполный перелом медиального края дистального метаэпифиза плечевой кости со смещением отломков по длине, с выраженной деформацией суставной поверхности плеча 85
86
• На рентгенограмме левой плечевой кости в задней атипичной проекции определяется: спиралевидный оскольчатый перелом на границе средней и нижней третей диафиза плечевой кости со смещением отломков по ширине на 1/3 диаметра кости кнаружи, с образованием крупного клиновидной формы осколка 87
88
• На рентгенограмме области левого плечевого сустава в задней проекции определяется: полный передний вывих в плечевом суставе 89
90
• На рентгенограммах левой плечевой кости в задней и боковой атипичной проекциях определяется: оскольчатый спиральный перелом средней трети диафиза плечевой кости со смещением отломков по ширине на ½ диаметра кости кнаружи и под углом 10 -15 гр. , открытым кзади. • (Клин от кручения) 91
92
• На рентгенограммах правой плечевой кости в задней и боковой проекциях определяется: старый, с признаками частичной консолидации косой перелом на границе средней и нижней трети диафиза со смещением отломков по ширине на диаметр кости кпереди, по длине с захождением на 3, 0 см и под углом, открытым кпереди и кнаружи на 15 -20 гр. В области краев отломков отмечаются признаки частичного формирования избыточной по объему периостальной костной мозоли в виде неправильной формы обызвествлений. 93


