5889b948c5afdd6b9a1024a56f02b8f4.ppt
- Количество слайдов: 81
Pediatric Tuberculosis Ramona Sunderwirth, MD, MPH Global Health Fellowship Department of EM St Lukes/Roosevelt Hospital Center
Objectives Epidemiology Pathophysiology Clinical Presentations Diagnostic Challenges Treatment
Epidemiology TB in st 21 Century 1/3 of world population infected w/ TB 9. 4 M new cases & 1. 8 M deaths/ yr worldwide (2008) 15 -20% global TB disease burden: children < 15 yrs Indicates continued transmission in setting w/ poor epidemic control 4% reported cases, but 95% cases in <12 yr age are smear - 80% in 22 highest burden countries Increasing numbers developing world HIV epidemic (> 34% co- infected) Poverty, overcrowding, malnutrition. Travel MDR-TB and XDR-TB /Incomplete treatments Breakdown of TB control programs
Pediatric TB Recent transmission from infected adult Measure of TB control in community, rarely transmit TB Higher risk & more rapid progression to active disease 95% of children who develop TB, w/in 12 mos (1 ary infection) Reflection of immature immune system Innate (macrophages), DC (dendritic cells) & acquired T-cell (CD 4) immunity EPTB more common Infants: high morbidity and mortality Disseminated TB/meningitis: 10 -20% Pulmonary TB: 30 -40%
Pediatric TB stages Exposure Contact w/ infectious pulmonary TB Child asymptomatic TST -, CXR normal Infection (LTBI) Contact w/ infectious pulmonary TB (adult) Child asymptomatic TST +, CXR normal Disease Contact w/ infectious pulmonary TB TST+/ Child symptomatic or CXR positive for TB
Pediatric TB – Epi challenges Diagnosis TB childhood difficult clinical presentation variable & nonspecific confirmation by culture < 40% absence productive cough , paucibacillary disease contact investigation of adults w/ infectious pulmonary TB 60 -80% children infected when exposed to AFB + sputum 30 -40% children infected when exposed to AFB - sputum most efficient method dx children w/ TB
Factors influencing Ped Epi in USA Increasing rates of TB in foreign-born immigrants Worldwide HIV epidemic & MRTB Transmission of TB among undx individuals w/ limited access to health care, poor housing/nutrition 80 -87% childhood TB in USA among AA, Hispanics, Asians, Native Americans 1 out of 4 children w/ TB is foreign born Concentrated in cities w/ pop > 250, 000
TB in HIV + children Important factor contributing to persistence TB HIV adults horizontally transmit TB to children HIV exposed /infected children TB incidence 100 x higher (underestimation) HIV + children Weaker cell mediated immunity (CD 4+Tcells) Increased risk progressing from TB infection to TB disease Similar presentation but more severe/extensive/EPTB/CNS Higher recurrence/reinfection rates Higher TB mortality
Pathogenesis of Peds TB 1 st 2 months post infection Primary Complex: Ghon focus + adenopathy (usually hilar) Cell mediated response TST +, TB antibodies formed Febrile reaction w/ onset of delayed hypersensitivity Hematogenous/lymphatic seeded areas Massive dissemination 1 -3% cases (miliary/meningeal TB) 10 -15% live organisms persist (potential for reactivation)
Pathogenesis: Timetable Symptomatic lymphohematogenous , miliary/meningitis 2 -6 mos Endobronchial TB w/ segmental pul changes 4 -9 mos Significant bone/joint lesions 1 yr Renal lesions 5 -25 yrs Infants and young children Rapid progression: 1 st yr/5 yr post infection respectively Reactivation of Pul TB Function of age of primary infection Cavitation, lung/bone/joint/renal lesions HIV/measles/varicella co infection, malnutrition
Pregnancy & NN Congenital Infection Rare (risk higher if mother HIV+) Transplacental, hematogenous spead via UV/placenta Bacille: fetal liver (primary focus w/ periportal lymph nodes) or wide spread miliary disease. Bacille: liver to main circulation (1 ary focus in lung) active after birth. Aspiration/ingestion infected amniotic fluid in utero multiple 1 ary foci (lung, gut, middle ear) Postnatal infection by inhalation from TB + mother Breastfeeding not CI if mother on treatment NN needs treatment
Clinical Forms Peds TB Endothoracic Lymphohematogenous CNS Other Extrapulmonary Sites Adolescents Neonates
Clinical manifestations Most infected children asymptomatic Lymphadenopathy w/in 6 mos infection, ant cervical/submandibular Primary Pulmonary TB (PTB) Most common presentation Children > 10 yrs age more like adult disease Intra thoracic adenopathy & parenchymal changes Progressive Pulmonary disease Common in young children: TB broncho-pneumonia Chronic Pulmonary Disease/ reactivation Most common in adolescents (1 ary infection > 7 yrs age) Cavitation, typically upper lobe
Endothoracic Asymptomatic 80 -95% infected children, 40 -50% infected infants Pulmonary 1 ary pulmonary complex Progressive pulmonary disease Chronic pulmonary disease Pleural effusion Pericarditis
Endothoracic Pulmonary 1 ary pulmonary complex Adenopathy large w/ small parenchymal foci CXR hilar adenopathy, localized hyperaeration, atelectasis localized pleural effusion segmental infiltrate (foci) Signs/symptoms infrequent (except in infants) 1 ary complex: fever + cough Fever, cough, night sweats, FTT Localized wheeze, diminished BS Dysphagia, edema hand/arm
Hilar Adenopathy
Endothoracic: Progressive pulmonary disease Rare but serious CXR bronchopneumonia/lobar pneumonia w/ cavities Signs/symptoms significant Fever, night sweats, wt loss, cough Diminished BS, rales, dullness, egophony High fatality w/out treatment
Endothoracic: Chronic pulmonary disease “Adult reactivation” type/recent or reinfection 6 -7% pediatric patients (TB acquired > 7 yrs age) Most common pul sites original parenchymal focus, regional lymph nodes, or apical seedings Usually remains localized to lungs Identical to Adult pulmonary disease
Endothoracic: Pleural effusion Subpleural 1 ary pul focus /subpleural caseous lymph nodes Small, localized or generalized 4 -30% of TB cases in young adults, rare children Signs/symptoms abrupt Fever, chest pain, SOB, dull percussion, decreased BS Dx difficult Acid fast stain pleural fluid-/cult + 30% biopsies Prognosis good in treated children
Endothoracic Pericarditis Rare in children (0. 4 -4%) Direct invasion from subcarinal lymph nodes Can lead to constrictive pericarditis Signs/symptoms nonspecific Fever, malaise, fatigue, wt loss, chest pain friction rub distant HS/pulsus paradoxus Dx: acid fast stain -/cx + 30 -70% Pericardectomy
Lymphohematogenous Clinical course acute/indolent/prolonged Multiple organ involvement HSM & adenitis (superficial/deep), Pulmonary, Meningitis Papulonecrotic tuberculides Miliary Massive # organisms released, > 2 organs affected Early complication 1 ary infection (2 -6 mos) Common infants/children: explosive or insidious onset Fever, wt loss, anorexia, malaise, HSM, gen. lymphadenopathy, resp distress CXR: tubercules Dx difficult: TST -, liver/bone biopsy needed (33%+) Prognosis w/ treatment excellent , resolution slow
CNS Manifestations Rich focus, vessels infiltrated by exudate Inflamation/infarction Brain stem: CN III, VII dysfunction Basilar cisterns obstructed: hydrocephalus TB meningitis Children < 4 yrs age, most w/in 3 -6 mos of 1 ary infection Gradual onset, rapid in infants Hydrocephalus Tuberculomas (20 -37%) Mortality (<10% w/ Rx) Morbidity high (MR, Sz, hemiparesis) TST – in 40%, CXR nl 50% CSF: cell # 10 -100, glucose low, protein high Tuberculoma Most common in < 10 yrs age Infratentorial: headaches, Seizures, increased ICP
Tuberculomas
CN palsy 3, 6, 7
Fever of Unknown Origin Common in developing countries Few clinical findings Primary infection: cellular immune response Reactivation old/hidden focus
Other Extrapulmonary Sites More common, not infectious Infants HIV + children Scrofula Skeletal Vertebrae most common: Pott’s Disease Knee, hip, elbow, smaller joints Abdominal/peritoneal TB Adolescents Eye, middle ear, sinuses, kidneys, skin Rare in children
Osseous Clinical manifestations TB osteitis Synovitis/epiphysitis, destructive arthritis, fusion in deformed positions Abscesses may track through tissues (psoas) TB arthritis (Ponchet’s Disease) 1 -5% children if TB untreated Knee/hip/elbow/dacylitis Thick, inflammatory synovium, invades articular surface, w/ erosion and fibrosis joint
Pott’s Disease
TB osteitis
GI & GU Manifestations Abdominal/peritoneal TB Thickened gut, peritoneal lymph nodes Obstruction, fistula formation, ascitis, perforation, malapsorption Palpation doughy abdomen w/ masses of adherent lymph nodes R/o malignancy (laparoscopic biopsy) Poor prognosis, long term intestinal problems Renal TB Uncommon in children Sterile pyuria TB epididymitis and orchitis
GI TB
Adolescents Acquired as initial infection during adolescence Chronic pulmonary TB w/in 1 -3 yrs Acquired in early childhood Rare if acquired as infant More likely if acquired 1 ary infection from 7 -10 yrs age Propensity to progress to contagious TB Target group for TST & case finding
Neonates Clinical symptoms 2 -3 wk FTT, respiratory distress, fever, HSM, meningitis lymphadenopathy, sepsis, lethargy Dx difficult TST -, CXR nl or miliary AFB in gastric aspirate, urine, BM, liver biopsy, ear TB in mother Infants of + mother TB INH & BCG to newborn, treat mother /contacts Breastfeed if mother on Rx
Diagnosis TB in Children General Principles Triad TST+ History of recent exposure to adult w/ probable /definitive TB CXR abnormal Symptom based scoring systems Immunocompetent children Definitive diagnosis Acid fast smear of sputum/gastric secretions microscopy Isolation of TB Automated liquid culture systems (gold standard now)
Challenge of Childhood TB diagnosis Establishing accurate diagnosis Challenges collecting adequate sample for micro <15% of cases are sputum AFB smear + (paucibacillary) Mycobacterial cx yields: 30 -40% Case detection & contact tracing not routine Most individuals acquire infection childhood/adolescence CXR nl in significant proportion of children w/ confirmed pul TB Most new Dx not validated in children No widely available gold standard dx of TB in children
TST Hallmark of 1 ary TB infection Appears 3 wks-3 mos after initial infection, lasts yrs Infants less enduration, more anergy Sensitivity/Specificity 95% PPV – function of TB prevalence in community AAP/CDC recommendations in USA Screen w/ questionnaire TST only for high risk children BCG <50% infants TST + at 9 -12 mos post vaccination 80 -90% TST- by 3 -5 yrs post vaccination
TST + interpretation > 5 mm Persons w/ contact w/ infectious persons Persons w/ abnl CXR HIV infected/immunocompromised < 10 mm Infants Children in contact w/ adults at high risk Foreign born persons from hi prevalence countries, IVDU, residents prisons, institutions >15 mm No risk factors
Specimen collection Methods Sputum Induced Sputum Gastric aspirate Nasopharyngeal aspiration String Test BAL Urine/stool Blood/BM CSF Find needle aspiration adenitis
Diagnosis TB in Children Direct smears, acid fast stains & Cultures Sputum smears Sputum rarely produced <10 yrs age, paucibacillary TB Insufficient alone to dx or r/o TB Induced sputum w/ 5% saline neb, serial collections in infants Gastric washings (x 3): acid fast stains/cultures Sensitivity Cx: 30 -50% children, 70% infants Better than BAL Other body fluids/tissue specimens Sensitivity Cx: 30 -50% children, 70% infants Difficulty isolating TB in children should not greatly influence approach to therapy Attempt to isolate no source case, source case MDR TB, child has suspected extrathoracic TB
Diagnostics Traditional direct smear microscopy sputum Solid culture Chest radiography Tuberculin skin testing (TST)
Traditional Approaches to Diagnose TB in Children TB culture CXR Symptom-based TST
New diagnostic approaches Organism – based Colorimetric culture systems (TK-Medium) Phage-based tests (FASTPlaque-TB) Microscopic observation drug susceptibility (MODS) Assay PCR based test Antigen- based essays LAM detection assay Immune-based Antibody-based assays MPB-64 skin test T-cell assays T-Spot. TB (IGRA) Quanti. FERON-TB Gold Symptoms-based: Refined symptom based diagnosis
TB Research Movement initiated by the Stop TB Partnership & WHO engaging TB researchers, programme managers, & affected communities in a collaborative & concerted strategic effort to ↑ scope, scale, & speed of TB research across the continuum linking basic research development of new methods, & operational research
New Diagnostics since 2007 Liquid media for culture & DST Def of a new sputum-smearpositive TB case one acid fast bacilli in at least one sputum sample in countries ↓ of number of smears for diagnosis of pul TB WHO recommends the number ↓ from three to two Molecular line-probe assays for rapid screening pt at risk of MDR TB Same day dx by microscopy LED-based microscopy conventional fluorescence microscopy replaced by LED microscopy using auramine staining LED microscopy phased in as alternative for conventional Ziehl -Neelsen light microscopy Non-commercial culture DST methods Microscopically observed drug susceptibility Nitrate reductase assay, Colorimetric redox indicator methods
New Diagnostics 2009 Xpert MTB/RIF First automated molecular test for TB (NAAT assay) Excellent performance in Smear + & - pts Hi accuracy for determination rifampicin resistance Simple to use system Detects M tuberculosis directly from sputum in <2 hrs IGRAs (interferon-γ release assays) T-cell assays T-Spot. TB (IGRA) Quanti. FERON-TB Gold Blood test Results in 24 hr
TBDST: drug-susceptibility test MODS: microscopic observation drug susceptibility NRA: nitrate reductase assay CRI: colorimetric redox indicator assay LPA: line-probe assay NAAT: nucleic acid amplification test LED: light-emitting diode POC: point of care LTBI: latent tuberculosis infection
Dx Active TB Sputum-smear microscopy for pulmonary TB FM, conventional, LED FM • When serial sputum specimens are examined, the mean incremental yield and/or A same-day-diagnosis approach (microscopy of two consecutive spot-spot sputum specimens) NAATs for pulmonary & EPTB Serological antibody detection tests for pulmonary & EPTB ADA for TB pleuritis, pericarditis, peritonitis Measurement of ADA concentrations in pleural, pericardial, ascitic fluid Interferon γ for TB pleuritis Phage amplification assays for pulmonary TB Automated liquid cultures are more sensitive than are solid cultures time to detection is more rapid than for solid cultures.
Dx Latent TB TST for latent TB infection T-cell-based IGRAs for latent TB infection IGRAs have excellent specificity (higher than the TST), unaffected by previous BCG vaccination. IGRAs cannot distinguish between latent TB infection & active TB, &have no role for active TB dx in adults. IGRAs correlate well with markers of TB exposure in lowincidence countries IGRA sensitivity varies across populations & tends to be lower in high-endemic countries & in HIV-infected individuals
Dx Drug Resistant TB Phage amplification assays for rapid detection of rifampicin resistance Line-probe assays: INNO-Li. PA Rif & Geno. Type MTBDR assays for rapid detection of rifampicin resistance CRI methods and NRA for rapid detection of rifampicin & isoniazid resistance MODS for rapid detection of rifampicin & isoniazid resistance TLA for rapid detection of rifampicin & isoniazid resistance
Biomarkers Predication of durable (non-relapsing) TB cure Microbial markers in sputum 2 -month culture conversion Serial colony counts or time to culture positivitys Other microbial markers Urine M tuberculosis DNA, lipoarabinomannan 1 Volatile organic compounds Mycobactericidal activity Whole blood culture TB-specific T-cell function Interferon γ, interleukin 4δ 2 splice variant Macrophage activation markers Neopterin, procalcitonin, C-reactive protein soluble intercellular adhesion molecule soluble urokinase plasminogen activator receptor, monocyte CDllc Multiple host markers Proteomics Transcriptomics
Indication of reactivation risk & prediction of eradication of latent infection Tuberculosis-specific T-cell function Interferon γ Interferon-induced protein Interleukin 4δ 2 splice variant Skin test Macrophage activation Neopterin Procalcitonin
Prediction of vaccine efficacy Tuberculosis-specific T-cell function Interferon γ Polyfunctional T cells Mycobactericidal activity Whole blood culture Mononuclear cells
Treatment General Principles Short treatments: key - intensive initial therapy Most peds resistance is primary (paucibacillary TB) Higher rates of disseminated /meningitis TB Drugs that penetrate tissues/meninges well Pharmacokinetics different in children Young children w/ more severe disease, malnutrition experience more hepatotoxic reactions Formulations mainly for adults Crushing pills/suspensions Inadequate absorption, diarrhea
Treatment Anti TB drugs for Children First line drugs INH, RIF, PZA, Streptomycin, Ethambutol Second line drugs Ethionamide Kanamycin Cycloserine Para-amino salicylic acid Fluoroquinolones (cipro, levofloxacin)
Treatment Specific Regimes Exposure INH alone in children < 5 yrs age if exposed to potentially infectious adults w/ pul disease Regardless of TST result If HIV infected Exclude active TB treat as if TB infection, 6 -12 mos After 3 mos treatment, TST repeated If TST -: INH discontinued If TST +: treat for total 9 mos
Treatment Specific Regimes Infection w/out Disease TST + w/ known contact to infectious adult case Highest risk of developing disease: always Treat TST + w/out known contact to infectious adult case Treat if < 5 yrs age & adolescents WHO Min 6 mos with INH + regular follow up AAP/CDC 9 mos with INH Daily under self supervision or Twice weekly DOT Rifampicin If INH resistant TB
Treatment Specific Regimes Pulmonary Disease Most commonly used INH + RIF + PZA x 2 mos (daily) INH + RIF for total 6 mos DOT twice weekly When source case risk factors for MDR TB Add 4 th drug: ethambutol, streptomycin Continue 6 mos unless drug susceptibility available PZA stopped after 2 mos
Treatment Specific Regimes Extrapulmonary INH, RIF & PZA 6 mos Bone/Joint TB 9 -12 mos Meningitis/ disseminated TB INH, RIF, PZA & ethionamide or streptomycin x 2 mos INH & RIF x 9 -12 mos total
Treatment Specific Regimes MDR TB Patterns of resistance reflect those found among adults in same population Treatment regimes guided by drug susceptibility pattern of the isolate At least 2 bactericidal drugs to which susceptible Duration 9 -12 mos if INH or RIF can be used Duration 18 -24 mos if resistance to INH+RIF Usually 4 -7 drugs daily DOT
Treatment Specific Regimes HIV-related Tb Principles same as those for non HIV + children HIV+ children w/ exposure to TB Exclude active TB Treat as if infected w/ INH (or RIF if resistant) HIV+ children w/ INH susceptible TB 4 drugs (INH, RIF, PZA, ethambutol/strepto) x 2 mos INH & RIG for total 9 -12 mos (+pyridoxine) HAART-TB drug interactions Rifampicin CI w/ PI IRIS HIV + children w/MDR TB 4 -6 drugs for 24 mos Second line anti TB drugs HAART
Doses INH Faster elimination Requires higher body wt dose 10 mg/kg RMP 10 -20 mg/kg PZA 30 mg/kg EMB 20 mg/kg (15 -30 mg/kg) day 30 mg/kg given 3 x/wk
Drug formulations Individual & fixed drug combinations tabs With good bioavailabiltiy Liquids Easy to administer to young children Bulky More expensive Unacceptable toxicity INH syrup → diarrhea (sorbitol based solution)
Treatment Corticosteroids When host inflammatory reaction creating tissue damage/impairment in function Always used w/ anti TB drugs Meningitis Mediastinal lymph nodes Miliary disease Pericardial effusion Prednisone 1 -2 mg/kg x 4 -6 wk, taper 1 -2 wks
Monitoring responses Trend to lower cure rate w/ twice weekly regimens Symptomatic improvement, weight gain Regression of Radiographic findings Months/years F/u sputum examinations when possible
HIV and TB Optimal timing of HAART yet to be defined RMP lowers level of protease inhibitors (except ritonavir) By > 75% RMP lowers level of nevirapine By 35% RMP lowers level of efavirenz By 17% Doses for children <3 yrs not established Many physicians delay HAART until anti TB treatment completed or use higher dose Nevirapin Many other unknown factors impacting on antiretroviral blood levels Age, nutritional status, genetic polymophisms in cytochrome p 450 enzymes
New TB Drugs Fluoroquinolones TMC 207 OPC 67683 PA 824 Treatment of children laggs: Difficulty confirming active TB Concerns about ped specific adverse effects Uncertainties about appropriate time to involve children in drug dev Optimal trial designs for drug dev Complex regulatory requirements
Prevention MDG Improved living conditions Improved Dx, contact tracing, treatment TB/LTBI WHO guidelines for National TB programs International standards TB care: Symptom bases screening Global Drug Facility WHO Stop TB Strategy Stop TB Partnership’s Global Plan to Stop TB Treatment HIV/AIDS BCG CI in HIV + infants New vaccine development
Peds TB Cases
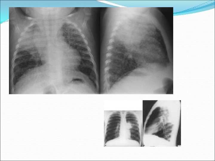
Meron 4 ½ months old Evaluated in adoption clinic, from Haiti Well appearing, Normal PE (wt in 10%) developmental screen. Screened for TB, Hepatitis, syphilis, HIV, parasites, lead Vision/hearing screening: high frequency hearing loss Received BCG at birth TST 12 mm enduration, HIV – Hx repeated respiratory infections in orphanage, treated w/ multiple antibiotics
Meron CXR 2 views Alert radiologist you are looking for TB
Meron Laboratory testing Microbiological testing Sputum, sputum induction (? ) BAL (? ) Gastric aspirates CBC, U/A & U/Cx, electrolytes & renal fct, LFT increased Treatment? How many drugs?
Meron Gastric aspirate positive Mtb on second aspirate Started on 4 drug regime by DOT Resistant to INH, RIF. Sensitive to PZA, EMB, SM MAC also grew on purity plates
Meron Use all first line drugs available (unless previously used & associated w/ failing regime) Use injectable drug (SM, amikacin, capreomycin, kanamycin) by Broviac Use fluroquinolone Use additional second line drugs to have 4 -6 drugs in the regime
Meron Treatment changed: aminoglycoside (by broviac x 4 mos), PZA, EMB, ethionamide and levofloxacin, Vit B 6 by DOT 2 negative gastric aspirates on therapy Gained many pounds CXR normalized Normal growth and development
Resources www. nationaltbcenter. edu Pediatric on line course WHO CDC
References Swaminathan, S. Tuberculosis in HIV infected children. Paed Resp reviews (2004) 5, 225 -30 Marais , B. New Approaches & emerging technologies in the diagnosis of childhood tuberculosis. Paed Resp Reviews (2007) 8, 124 -133 Lewinsohn, D. Tuberculosis immunology in children. Int J Tuberc Lung Dis 8 (5): 65874 Newton, S. Paediatric tuberculosis. Lancet Infect Dis 2008; 8: 498 -510 Pedrozo, C. Clinical scoring system for paediatric tubersulosis in HIV infected and non infected children in Rio de Janeiro. Int J Tuberc Lung Dis 13(3): 413 -15 Lonnroth, K. Tuberculosis Control & Elimination 2010=2050. Lancet (2010) 375: 1814 -29 Nakaoka, H. Risk for tuberculosis among children. Emerg Infect Dis. (2006) 12, 9: 138388 Marais, BJ. The burden of childhood tuberculosis: a public health perspective. Int J Tuberc Lung Dis 9(12): 1305 -13 Marais, BJ. Well defined symptoms are of value in the diagnosis of childhood pulmonary tuberculosis. Arch Dis Child (2005)90: 1162 -65 Marais, BJ. Diagnostic and management challenges for childhood tuberculosisi in the era of HIV. J of Infect Dis(2007); 196: s 76 -85 Starke, J. new concepts in childhood tuberculosis. Curr Opin Pediatr (2007)19: 306 -13 WHO. Guidance for national tuberculo 0 sis programmes on the management of tuberculosis in children. Int J Tuberc Lung Dis 10(2006)10(10)1091 -97 Harries, AD. Tuberculosis. Annals of Trop Medi & Parais (2006)100(5&6): 415 -31 Reichman and Hershfield’s Tuberculosis. 3 rd Part A Ed Raviglione, M (2006) Informa Health Care USA
5889b948c5afdd6b9a1024a56f02b8f4.ppt