Paraproteinemicheskie_leykozy.pptx-71593439.pptx
- Количество слайдов: 33
Парапротеинемические лейкозы Выполнила студентка 1. 4. 13. группы Углова Александра
По традиции - определение! ПАРАПРОТЕИНЕМИЧЕСКИЕ ЛЕЙКОЗЫ — группа заболеваний, относящихся к лимфоцитарным лейкозам. Парапротеинемические лейкозы также называются злокачественными иммунопролиферативными заболеваниями.
К этой группе относятся: • 1) Миеломная болезнь (болезнь Рустицкого. Калера) • 2) Первичная макроглобулинемия Вальденстрема • 3) Болезнь тяжелых цепей Франклина
Патогенез (на примере миеломной болезни)
Что же общего? • 1. Способность опухолевых клеток синтезировать иммуноглобулины или их фрагменты — парапротеины • 2. Амилоидоз (AL-амилоидоз) • 3. Парапротеинемический отек (миокард, почки, легкие) – парапротеиноз миокарда, легких, парапротеинемический нефроз. • 4. Синдром повышенной вязкости крови – парапротеинемическая кома.
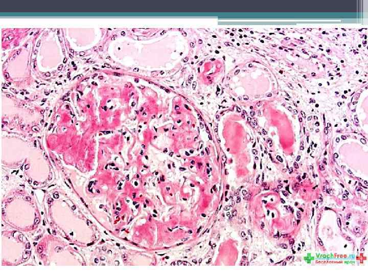
Миеломная болезнь (Болезнь Рустицкого-Калера, множественная миелома, генерализованная плазмоцитома).
Длительно протекает бессимптомно! В первой фазе заболевание сопровождается незначительным подъёмом СОЭ, лишь во второй фазе появляется характерная симптоматика: 1. Боли в костях. 2. Ухудшение сопротивляемости организма. 3. Гипохромная анемия. 4. Повышение вязкости крови. 5. Неселективная протеинурия.
Рентгенограмма, демонстрирующая множественные очаги деструкции в костях, обусловленные миеломной болезнью. Патологический перелом локтевой кости.
Диагностика миеломной болезни. • Плазмоцитоз костного мозга (более 10%). • Сывороточный или мочевой М-градиент. • Остеолитические повреждения. • Диагноз можно считать достоверным при выявлении двух первых признаков.
М-градиент
На секции: • • • Бледность кожи и слизистых оболочек. Резкая ломкость и хрупкость костей. Почки увеличенные, бледные, гладкие. Костный мозг серовато-красный, сочный. Разрастание миеломных клеток в селезёнке, лимфатических узлах, печени, реже – по ходу ЖКТ.
Причины смерти. 1. Уремия как следствие миеломной нефропатии с амилоидозом. 2. Пневмонии – результат иммунодефицита и пропитывания альвеол парапротеином. 3. Сердечно-лёгочная недостаточность. 4. Кровоизлияния в головной мозг в связи с повышенной вязкостью крови.
Макроглобулинемия Вальденстрёма • Характеризуется высокой продукцией иммуноглобулина М. • Это достаточно редкая патология, встречающаяся раз в десять реже, чем множественная миелома. Чаще она возникает у мужчин в возрасте около шестидесяти лет, у лиц моложе сорока практически не встречается.
Клиническая картина. • 1) общие симптомы ( слабость, потливость, утомляемость, артралгии, субфебрилитет, снижение массы тела); • 2) гиперпластический синдром, встречающийся значительно чаще, чем при МБ (лимфаденопатия, гепатои спленомегалия выявляются у 50% больных ); • 3) геморрагический синдром, его развитие обусловлено гиперпротеинемией, повышенной вязкостью и функциональными нарушениями тромбоцитов; • 4) синдром повышенной вязкости, встречающийся у 60% пациентов и выраженный значительно более резко, чем при ММ; наиболее грозное его проявление парапротеинемическая кома, которая связана с нарушением кровообращения в мелких сосудах головного мозга.
Трепанобиоптат костного мозга.
Отличия от миеломной болезни. • Практически не выявляются поражения костей. • Редкое развития хронической почечной недостаточности, несмотря на нередкое наличие в моче белка Бенс-Джонса. Из-за больших размеров Ig. M не проникают в мочу – протеинурия редка.
Продолжение… • Доминирует синдром гипервязкости крови. • Ig. M взаимодействует с миелиновой оболочкой, поэтому часты неврологические симптомы: нейропатия, снижение зрения, парезы.
Лабораторная диагностика. • • Анемия. Абсолютный лимфоцитоз Ускорение СОЭ до 50 -75 мм/час В миелограмме и трепанобиоптате выявляется лимфоплазмоцитарная инфильтрация. В сыворотке крови гиперпротеинемия, повышение вязкости, высокий уровень иммуноглобулина М (диагностическое значение имеют цифры выше 20 г/л).
Причины смерти. • Присоединяющиеся инфекционные заболевания. • Почечная недостаточность.
На секции: • Умеренное увеличение лимфатических узлов, селезёнки, печени. • Костный мозг тёмно-красный, сочный. • Диффузная инфильтрация лимфоплазмацитарными клетками костного мозга плоских костей, селезёнки, лимфатических узлов, печени, почек, ткани лёгких, иногда – миокарда.
Болезни тяжёлых цепей. • Заболевание встречается очень редко: имеется лишь около 200 -300 достоверных описаний БТЦ. • 1. Болезнь гамма тяжелых цепей (болезнь Франклина) • 2. Болезнь альфа тяжелых цепей (болезнь Селигманна) • 3. Болезнь MU тяжелых цепей • 4. Болезнь дельта тяжелых цепей
Болезнь Франклина. • Характеризуется лимфаденопатией, лихорадкой, анемией, недомоганием, гепатоспленомегалией, слабостью; отек неба может быть результатом поражения лимфатического кольца Вальдейера; обычно наблюдается быстрое ухудшение течения болезни с летальным исходом от инфекции.
Болезнь альфа тяжелых цепей (болезнь Селигманна) • Наиболее частое из болезней тяжелых цепей; лимфоплазмоцитарная инфильтрация lamina propria тонкой кишки вызывает диарею, мальабсорбцию, снижение массы тела, мезентериальную и парааортальную аденопатии.
Болезнь MU тяжелых цепей • Проявляется как редкая разновидность хронического лимфоцитарного лейкоза; опухолевые клетки могут иметь дефект в соединении тяжелых и легких цепей.
Среди болезней тяжелых цепей описан единственный случай болезни тяжелых дельта- цепей. • Описан случай заболевания с развитием ХПН, поражением костей и характерной для миеломной болезни картиной поражения костного мозга. При электрофорезе сыворотки между фракциями гамма- и бетаглобулинов обнаруживается белок, который связывается с антителами к тяжелым дельтацепям, но не связывается с антителами к легким цепям иммуноглобулинов.
Клиническая картина. • –Анемия, увеличение лимфатических узлов, гепатоспленомегалия, слабость, недомогание, отек мягкого неба. • –Диагноз ставится по уровню парапротеина. • –Снижение иммунной активности провоцирует присоединение инфекционных осложнений.


