2013 Острый нефритический синдром.ppt
- Количество слайдов: 33
ОСТРЫЙ ГЛОМЕРУЛОНЕФРИТ (диффузный генерализованный эксудативнопролиферативный) С. Боровой, 2013
У 15 -летнего школьника внезапно появились отеки под глазами, а моча стала темнобурой. За две недели до этого перенес ОРВИ, сопровождавшееся першением и болью в горле. Была невысокая температура, три дня не ходил в школу. При осмотре: одутловатое лицо, небольшая гиперемия миндалин. АД 150/105 мм рт. ст. В моче: белок 0, 66 г/л, эритр. 60 -80, лейк 15 -20 в п. зр. , ед. эритроцитарные цилиндры отношение белок/креатинин 1, 1 В крови: креатинин 0, 19 ммоль/л мочевина 10, 4 ммоль/л белок 58 г/л, альбумин 35 г/л
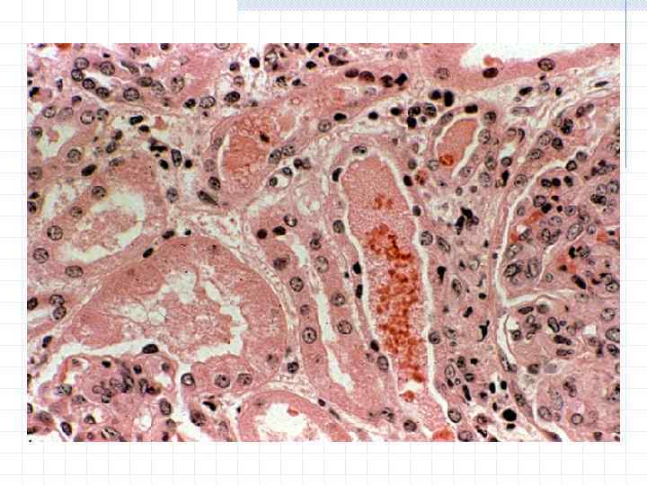
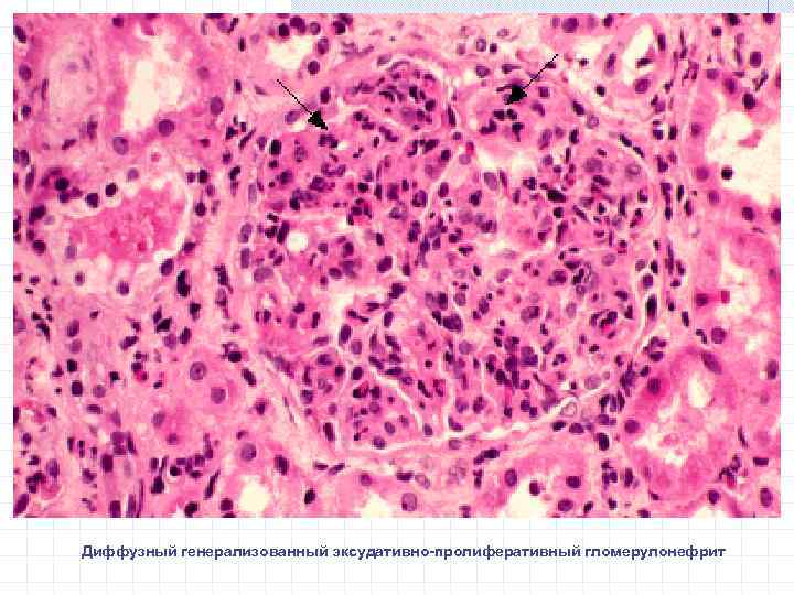
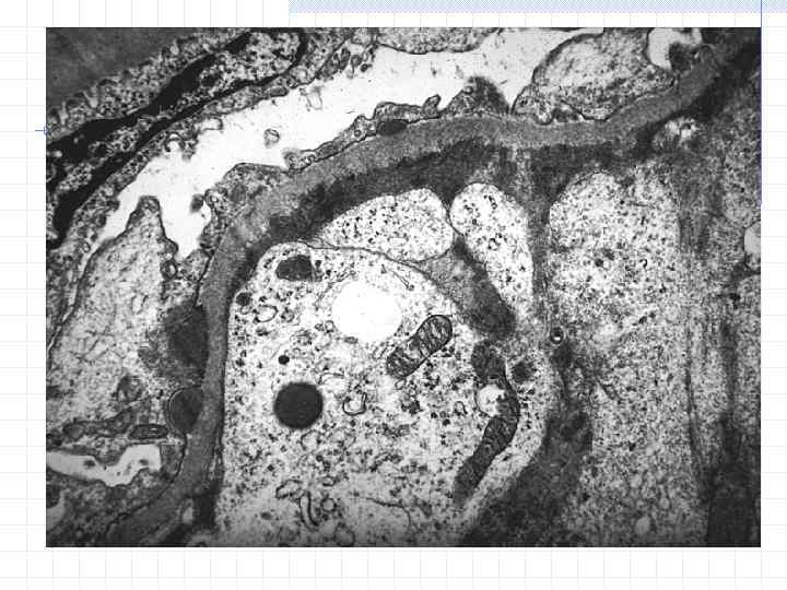
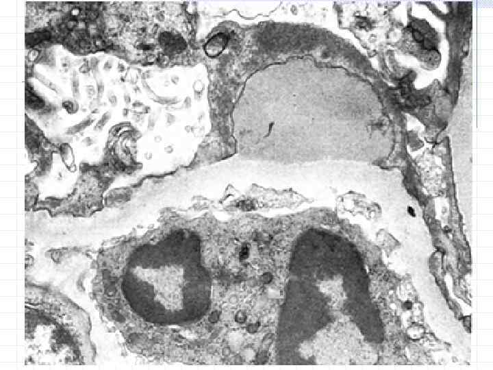
Диффузный генерализованный эксудативно-пролиферативный гломерулонефрит
Диффузный генерализованный эксудативно-пролиферативный гломерулонефрит
RB C US CL RBC Plt
Иммуноморфологические варианты острого гломерулонефрита (after Sorger) - тип звездного неба - гирляндный тип - мезангиальный тип
Диффузный генерализованный эксудативно-пролиферативный гломерулонефрит, гранулярные отложения С 3 в клубочке (картина «звездного неба» )
Диффузный генерализованный эксудативно-пролиферативный гломерулонефрит, гранулярные отложения С 3 в мезангии, в меньшей степени на периферии
Диффузный генерализованный эксудативно-пролиферативный гломерулонефрит, гранулярные отложения С 3 в клубочке ( «гирляндный» тип)
Диффузный генерализованный эксудативно-пролиферативный гломерулонефрит, гранулярные отложения С 3 в клубочке ( «гирляндный» тип)
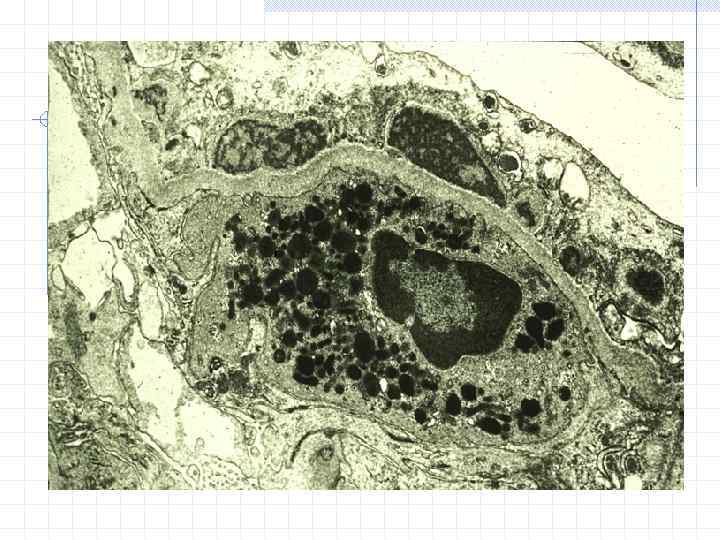
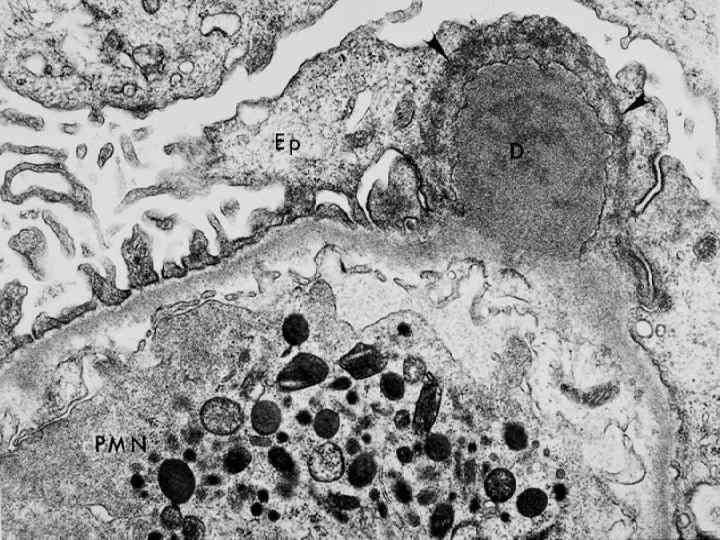
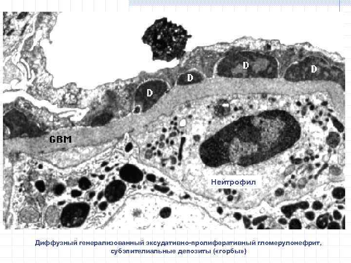
Нейтрофил Диффузный генерализованный эксудативно-пролиферативный гломерулонефрит, субэпителиальные депозиты ( «горбы» )
ОСТРЫЙ ПОСТСТРЕПТОКОККОВЫЙ ГЛОМЕРУЛОНЕФРИТ: СХЕМА РАЗВИТИЯ Бета-гемолизирующий стрептококк группы А Тип 12 Тип 49 Фарингит 6 – 20 дней Импетиго 14 – 28 дней ОСТРЫЙ ГЛОМЕРУЛОНЕФРИТ
Дни после инъекции антигена Антиген Комплемент Антитело Иммунные комплексы Нефрит. артрит, кардит
Иммунокомплексный гломерулонефрит комплекс Ag-Ab Антиген Антитело
ОСТРЫЙ ПОСТСТРЕПТОКОККОВЫЙ ГЛОМЕРУЛОНЕФРИТ: ДИАГНОСТИЧЕСКИЕ КРИТЕРИИ Клинические: ОСТРЫЙ НЕФРИТИЧЕСКИЙ СИНДРОМ, ассоциированный с инфекцией: макрогематурия, отеки, артериальная гипертензия Лабораторные: ТРАНЗИТОРНАЯ ГИПОКОМПЛЕМЕНТЕМИЯ – снижение уровня C 3 или СН-50 ПРИЗНАКИ СТРЕПТОКОККОВОЙ ИНФЕКЦИИ – повышение титра ASO или AH Морфологические: ДИФФУЗНЫЙ ГЕНЕРАЛИЗОВАННЫЙ ЭКСУДАТИВНО-ПРОЛИФЕРАТИВНЫЙ ГЛОМЕРУЛОНЕФРИТ
ПРИЧИНЫ ОСТРОГО НЕФРИТИЧЕСКОГО СИНДРОМА Ассоциированный с инфекцией Не связанный с инфекцией острый постстрептококковый гломерулонефрит мембрано-пролиферативный гломерулонефрит при инфекционном эндокардите, висцеральных абсцессах, шунт-нефрит системная красная волчанка гломерулонефрит, вызванный пневмококком, менингококком, микоплазмой, вирусом Epstein -Barr и др. узелковый полиартериит гранулематоз Вегенера гиперчувствительный васкулит микроскопический полиартериит геморрагический васкулит
ПРИЧИНЫ И ЧАСТОТА ГИПОКОМПЛЕМЕНТЕМИИ Системная красная волчанка – 80– 90% Постинфекционный гломерулонефрит (постстрептококковый, при бактериальном эндокардите или шунтовом нефрите) – 90% Криоглобулинемия – 85% МПГН (тип I 50– 80%, тип II 80– 90% Холестериновая эмболия – 25– 70%
ТАКТИКА ВЕДЕНИЯ БОЛЬНОГО С ОСТРЫМ НЕФРИТИЧЕСКИМ СИНДРОМОМ профилактика гипертензивной энцефалопатии и острой сердечной недостаточности (антигипертензивные средства, кровопускание) установить (или исключить) связь с какой-либо инфекцией диагностическая нефробиопсия может не производиться: n n при быстром и полном разрешении нефритического синдрома у детей при достоверной связи со стрептококковой инфекцией антибактериальная терапия проводится только при наличии явного очага инфекции лечение: ограничение поваренной соли, диуретики, профилактика тромбозов по исключении острого гломерулонефрита – лечение в соответствии с вариантом гломерулонефрита
1914 1918
2013 Острый нефритический синдром.ppt