sindromy_OGK.pptx
- Количество слайдов: 99
Основные синдромы патологии органов дыхания Кафедра лучевой диагностики и лучевой терапии. Доцент Шульга О. С.
Основные синдромы патологии органов дыхания: 1. Синдром затемнения 2. Синдром просветления 3. Синдром деформации легочного рисунка 4. Синдром патологии корня легкого
СИНДРОМ ЗАТЕМНЕНИЯ
Характеристика затемнения 1. Локализация – правое, левое легкое (поля, зоны, ребра, доли, сегменты). 2. Протяженность: тотальное - обширное, субтотальное – ограниченное, круглая тень, кольцевидная тень, очаги, диссеминации. 3. Интенсивность: высокая, средняя, низкая; (эталон: сосуды или ребра) 4. Структура: однородная, неоднородная. 5. Форма: округлая, треугольная и т. п. 6. Величина (размеры). 7. Характер контуров: четкие, нечеткие, бугристые, полицикличные… 8. Границы затемнения.
Причины затемнения 1. воспалительные заболевания легких (пневмония, туберкулез) 2. жидкость в плевральной полости; 3. новообразование, ателектаз; 4. фиброторакс после удаления легкого; 5. альвеолярный отек; 6. цирроз; Морфологический субстрат: 1. Жидкость в альвеолах (экссудат, транссудат, кровь, лимфа). 2. Жидкость в плевральной полости, уплотнение листков плевры (экссудат, транссудат, гной, кровь, лимфа). 3. Замещение воздушной легочной ткани безвоздушным образованием. 4. Спадение стенок альвеол (отсутствие сурфактанта, обтурация бронха).
2. Протяженность : тотальное - обширное, субтотальное – ограниченное, круглая тень, кольцевидная тень, очаги, диссеминации. Тотальное, обширное затемнение - не менее 2/3 или все 3 легочных поля. Субтотальное, ограниченное затемнение -1 или 2 легочных поля, доля, сегменты.
Тотальное и субтотальное затемнение Гидроторакс Пневмония 1. 2. 3. 4. 5. 6. Причины: воспалительные заболевания легких (пневмония, туберкулез); жидкость в плевральной полости; ателектаз; фиброторакс после удаления легкого; альвеолярный отек; Ателектаз цирроз;
Закономерности рентгенодиагностики пневмоний 1. Локализация – правое, левое легкое (поля, зоны, ребра, доли, сегменты). 2. Протяженност ь: субтотальное – ограниченное. 3. Интенсивност ь: высокая 4. Структура: однородная 5. Форма: треугольная 6. Границы затемнения.
Субтотальное затемнение: пневмония Протяженность: верхняя доля справа (S 1, S 2). Интенсивность (высокая, средняя, низкая – эталон: сосуды или ребра) Структура (однородная, неоднородная).
Тотальное и субтотальное затемнение Правосторонняя нижнедолевая пневмония. Правосторонняя среднедолевая пневмония, плеврит. Правосторонняя верхнедолевая пневмония, плеврит.
СУБТОТАЛЬНОЕ ЗАТЕМНЕНИЕ: Протяженность Интенсивность Однородность Контуры Левосторонняя нижнедолевая пневмония в динамике через 8 дней противовоспалительной терапии.
Структура тотального (обширного) затемнения неоднородна – деструктивная пневмония.
Структура субтотальное затемнения неоднородна : гангрена правого легкого.
Структура субтотальное затемнения неоднородна : инфильтративный туберкулез легких Инфильтративный туберкулез. Полисегментарное поражение, множественные каверны, диссеминация.
Компьютерная томограмма. Синдром затемнения Затемнение интенсивное Контуры (четкие, нечеткие). Структура (однородная, неоднородная).
Казеозная пневмония. Интенсивное затемнение. Контуры (нечеткие). Структура (неоднородная).
Вторичный туберкулез. Казеозная пневмония. Лобарная, множественные полости распада с обеих сторон. Объективно: состояние тяжелое, выражен интоксикационный синдром, t=39, 5, прогрессирующая дыхательная недостаточность, слабость, потливость, боли в груди, акроцианоз. Мокрота с примесью крови.
Субтотальное затемнение. Локализация. Левосторонняя полисегментарная пневмония (? ). Туберкулез(? )
Плевральный выпот: типичные признаки. Линия Дамуазо Ø Ø Ø Затемнение по протяженности от ограниченного до тотального. Интенсивность – высокая. Однородность. Верхняя граница в виде вогнутой линии (Дамуазо). Смещение органов средостения в противоположную сторону при свободном выпоте.
Субтотальное затемнение: плеврит. Плевральный выпот: типичные признаки. Гидроторакс слева (тотальное, интенсивное затемнение). Гидроторакс слева, после плевральной пункции – удалено 1, 5 литра выпота (субтотальное, интенсивное затемнение ограничено линией Дамуазо).
Субтотальное затемнение: плеврит. Плевральный выпот: типичные признаки.
Субтотальное затемнение: сочетание плеврального выпота и ателектаза.
Динамика выпота после проведения плевральной пункции
КТ картина плеврального выпота. Перемещение свободной жидкости в положении «на спине» .
Осумкование по локализации: § Пристеночный (паракостальный); § Верхушечный выпот (апикальный); § Диафрагмальный (базальный); § Междолевые; § Парамедиастинальный. Осумкованные организованные выпоты. Предрасполагающие факторы: -положение больного в течение суток, -характер выпота, -функция диафрагмы и пр.
Ограниченные затемнения Очаговая тень Округлая тень Кольцевидная тень
Ограниченные затемнения • Очаговая тень • Округлая тень ЧАСТЫЕ ПРИЧИНЫ: - туберкулез (очаговый, диссеминированный) - очаговая пневмония - опухоль (первичная, вторичная) РЕДКИЕ ПРИЧИНЫ: - дольковые отеки - кровоизлияния - саркоидоз - продукты накопления • Кольцевидная тень
Размеры очаговых теней до 2 мм - милиарные - 2 - 4 мм - мелкие - 4 - 8 мм - средние - 8 - 12 -15 - крупные
Очаговый туберкулез легких
Очаговый туберкулез легких
Очаговая пневмония (бронхопневмония)
Очаговая пневмония (бронхопневмония)
Очаговая пневмония (бронхопневмония) ü Очаги и небольшие инфильтраты располагаются перибронхиально. Требует дифференциальной диагностики с инфильтративным туберкулезом.
Ограниченные затемнения ПРИЧИНЫ: -опухоль (периферический рак, МТС) - туберкулема - абсцесс - киста РАЗМЕРЫ: от 1. 5 до 6 -12 см и больше • Очаговая тень • Округлая тень • Кольцевидная тень
Ситуационная задача: синдром круглой тени в S 4 левого легкого. Периферический рак ПРИЧИНЫ: опухоль (периферический рак, МТС); - туберкулема; - абсцесс; - киста…. 1. 2. 3. 4. Локализация – правое, левое легкое (поля, зоны, ребра, доли, сегменты). Протяженность: субтотальное – ограниченное. Интенсивность: высокая Структура: однородная
Периферический рак Периферическое новообразование левого легкого отличается по размерам, интенсивности, форме, четкости контуров.
Периферический рак
Периферический рак 1. 2. 3. 4. Локализация – правое, левое легкое (поля, зоны, ребра, доли, сегменты). Протяженность: субтотальное – ограниченное. Интенсивность: высокая Структура: однородная 38
Периферический рак Периферическое новообразование S 3 правого легкого 39
Дифференциальный диагноз периферического рака: Туберкулемы 40
Круглая тень: -Опухоль (периферический рак, МТС); - туберкулема; - абсцесс; - киста. Эхинококковая киста S 6 левого легкого. Верификация: оперативное лечение
Компьютерная томограмма. Синдром очаговой и круглой тени.
Периферический рак 43
Ограниченные затемнения Очаговая тень Округлая тень • Кольцевидная тень - ТЕНЬ В ФОРМЕ КОЛЬЦА ЗАМКНУТЫМИ КОНТУРАМИ (ОБОДКА) С ПРИЧИНЫ: - воздушная киста - каверна - дренированный абсцесс -распадающийся периферический рак легкого Эластическая каверна без признаков активности процесса.
Кольцевидная тень На обзорной рентгенограмме ОГК видна кольцевидная тень в проекции верхушки правого лёгкого. На линейной Т-гр правой верхушки отчётливо видны форма, контуры, строение стенки, состояние окружающей легочной ткани, связь кольцевидной тени с корнем лёгкого.
Инфильтративный туберкулез легких 46
Инфильтративный туберкулез легких Инфильтративный туберкулез. Полисегментарные инфильтраты в S 1 -2 справа, распад с образованием каверны, ограниченная диссеминация 47
Вторичный туберкулез. Кавернозный туберкулез легких Гранулирующая каверна – прогрессирование при нарушении дренажной функции бронха, увеличивается в размерах с истончением стенки.
Кавернозный туберкулез легких Воздушная киста в левом легком
Абсцесс: круглая, неоднородная тень с просветлением в центре, ограниченным горизонтальным уровнем. Периферический рак: неправильноокруглая, неоднородная тень, с бугристыми контурами, с просветлением в центре.
ДИССЕМИНАЦИЯ ОЧАГОВЫХ ТЕНЕЙ Рассеяние очаговых теней на протяжении одного или нескольких легочных полей: - ОГРАНИЧЕННАЯ ЧАСТЫЕ ПРИЧИНЫ: - диссеминированный туберкулез легких, - метастазы, - пневмония при сепсисе РЕДКИЕ ПРИЧИНЫ: - пневмокониозы - ацинозно-дольковый отек - гемосидероз - саркоидоз - альвеолиты - РАСПРОСТРАНЕННАЯ
Острый диссеминированный туберкулез легких Рентгенологическая картина: Ø Ø Диффузное понижение прозрачности легочных полей. Нечеткость элементов легочного рисунка. Мелкоячеистая деформация легочного рисунка. Появление милиарной и/или мелкоочаговой диссеминации на 10 -14 день. Очаги малой интенсивности, с нечеткими контурами, цепочкой вдоль сосудов.
Диссеминированный туберкулез легких Гематогенно-лимфогенная генерализация процесса
Хронический диссеминированный туберкулез легких
Пневмония при сепсисе
Сепсис. Септическая метастатическая пневмония.
Диссеминированный туберкулез легких. Дифференциальный диагноз – саркоидоз легких
Диссеминированный туберкулез легких. Дифференциальный диагноз – метастатическое поражение легких, карциноматоз
Диссеминированный туберкулез легких. Дифференциальный диагноз – метастатическое поражение легких, карциноматоз
Диссеминированный туберкулез легких. Дифференциальный диагноз – отек легких, ХПН, динамика процесса.
Диссеминированный туберкулез легких. Дифференциальный диагноз – силикотуберкулез.
Компьютерная томограмма. Синдром диссеминации.
Синдром обширного просветления. Причины: 1. пневмоторакс 2. эмфизема легких - клапанная - компенсаторная - центрилобулярная 3. гипоплазия (стеноз) легочной артерии 4. крупная воздушная полость Компьютерная томограмма. Синдром просветления
Пневмоторакс газ в плевральной полости Рентгеносемиотика: - просветление без легочного рисунка - виден край колабированного легкого Гидропневмоторакс - сочетание воздуха и жидкости в плевральной полости Жидкость - затемнение с горизонтальной верхней границей
Травматический пневмоторакс:
Синдром ограниченного просветления: полость, киста, каверна, абсцесс.
Бронхообструктивный синдром. Эмфизема легких. Рентгеносемиотика: 1. Бочкообразная деформация грудной клетки; 2. Повышение прозрачности легких; 3. Уплощение куполов диафрагмы; 4. Уменьшение тени сердца в поперечнике
ЭМФИЗЕМА ЛЕГКИХ, БРОНХООБСТРУКТИВНЫЙ СИНДРОМ, ХОБЛ.
ХОБЛ Н-в 65 л. ØПоявление ограниченных участков сверхвысокой прозрачности, соответствующих крупным эмфизематозным буллам,
СИМПТОМ ОГРАНИЧЕННОГО ПРОСВЕТЛЕНИЯ КОЛЬЦЕВИДНАЯ ТЕНЬ
Кольцевидная тень
Синдром деформации легочного рисунка -обогащение легочного рисунка, -деформация и неструктурность легочного рисунка, -обеднение легочного рисунка
Критерии структурности легочного рисунка 1. Радиальное расхождение; 2. Дихотомическое деление; 3. Сужение к периферии; 4. Четкие, ровные контуры.
Обогащение легочного рисунка увеличение элементов легочного рисунка на единицу площади Причина обогащения 1. фаза выдоха 2. нарушение гемодинамики: а) при врожденных и приобретенных пороках сердца б) при нарушении сократительной функции левого желудочка
Изменение гемодинамики малого круга – ЛВГ, ЛАГ, интерстициальный отек
Изменение гемодинамики малого круга – ЛВГ, ЛАГ, интерстициальный отек По прямой рентгенограмме оцениваем: - конфигурацию сердца, -размеры сердечно-сосудистой тени, - гемодинамику малого круга кровообращения.
Изменение гемодинамики малого круга – ЛВГ По прямой рентгенограмме оцениваем: - конфигурацию сердца, -размеры сердечно-сосудистой тени, - гемодинамику малого круга кровообращения.
Изменение гемодинамики малого круга – ЛВГ, ЛАГ, интерстициальный отек По прямой рентгенограмме оцениваем: - конфигурацию сердца, -размеры сердечно-сосудистой тени, - гемодинамику малого круга кровообращения.
Изменение гемодинамики малого круга – ЛВГ, ЛАГ К-ва 82 г. ХИБС, ОДН. Снижение пневматизации легочных полей из-за перераспределения и усиления легочного рисунка за счет венозного застоя, интерстициального отека легких.
Изменение гемодинамики малого круга – ЛВГ, ЛАГ, альвеолярный отек
Изменение гемодинамики малого круга – ЛВГ, ЛАГ По прямой рентгенограмме оцениваем: - конфигурацию сердца, -размеры сердечно-сосудистой тени, - гемодинамику малого круга кровообращения.
Изменение гемодинамики малого круга – ЛВГ
Причина деформации и неструктурности легочного рисунка: - нарушение гемодинамики, - интерстициальный отек, - пневмофиброз. Деформация и неструктурность легочного рисунка – отсутствие четкости наружного контура элементов легочного рисунка, нарушение обычной архитектоники легочного рисунка
КТ. Синдром деформации легочного рисунка.
Обеднение легочного рисунка уменьшение элементов легочного рисунка на единицу площади Причины обеднения: Ø фаза глубокого вдоха Ø эмфизема (все виды) Ø стеноз или гипоплазия легочной артерии
Синдром патологии корня легкого неструктурность и расширение корня легкого Причины патологии корня -увеличение лимфатических узлов – лимфаденопатия, -нарушение гемодинамики – -ЛВГ и ЛАГ
СИНДРОМ ПАТОЛОГИИ КОРНЯ ЛЕГКОГО НЕСТРУКТУРНОСТЬ И РАСШИРЕНИЕ КОРНЯ ЛЕГКОГО
Критерии структурности корня легкого 1. Ширина легочной артерии – до 15 мм; 2. Визуализация промежуточного бронха (10 мм); 3. Сужение к периферии легочной артерии; 4. Четкие, ровные контуры легочной артерии.
Критерии структурности корня легкого 1. Четкие, ровные контуры легочной артерии. 2. Ширина легочной артерии – до 15 мм; 3. Визуализация промежуточного бронха (10 мм); 4. Сужение к периферии легочной артерии;
Синдром патологии корня легкого неструктурность и расширение корня легкого Причины патологии корня -увеличение лимфатических узлов – лимфаденопатия, - нарушение гемодинамики – ЛВГ и ЛАГ
Причины патологии корня -увеличение лимфатических узлов
Расширение легочной артерии
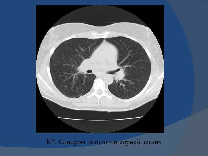
КТ. Синдром патологии корней легких


