bac30dba14cd72591131d04e8691869a.ppt
- Количество слайдов: 83
Основные положения теории диагноза
• Диагноз – медицинское заключение о патологическом состоянии здоровья обследуемого, об имеющемся заболевании (травме) или о причине смерти, выраженное в терминах , предусмотренных принятыми классификациями и номенклатурой болезней. Содержанием диагноза могут быть также особые физиологические состояния организма, например, беременность, климакс, а также заключение об эпидемическом очаге.
• Полноценный клинический диагноз должен способствовать: • преемственному комплексному лечению и вторичной профилактике; • своевременному проведению противоэпидемических мероприятий; • медицинской реабилитации; • медицинскому прогнозированию; • экспертизе трудоспособности, профессиональному отбору и врачебному контролю в спорте; • экспертизе годности к военной службе, юридической дееспособности; • статистическому учету заболеваемости и смертности; • обучению клиническому мышлению и его совершенствованию; • научному анализу вопросов клиники, диагностики, терапии и патоморфоза болезней
• Полноценное заключение патологоанатома способствует: • объективному установлению характера, сущности и происхождения патологических процессов, состояний и заболеваний, определению давности и последовательности их возникновения и формы, а также степени развития и связи между ними; • определению причины и механизма смерти больного; • уточнению статистики смертности населения в соответствии с Международной классификацией болезней; • контролю качества клинической диагностики и лечебного процесса; • своевременному проведению противоэпидемических мероприятий; • обучению и совершенствованию врачебного мышления; • научному анализу вопросов этиологии, патогенеза, патологической анатомии, патоморфоза заболеваний
Принципы формулирования диагноза: þ нозологический; þ соответствие Международной классификации болезней; þ дополнительная интранозологическая характеристика: клинико-анатомическая форма (синдромы), тип течения, степень активности, стадия, функциональные нарушения; þ патогенетический; þ структурность с унифицированными рубриками; þ фактическая, логическая обоснованность и достоверность; þ своевременность и динамизм
Нозологическая форма – это совокупность клинических, лабораторных и инструментальных диагностических признаков, позволяющих идентифицировать заболевание (отравление, травму, физиологическое состояние) и отнести его к группе состояний с общей этиологией и патогенезом, клиническими проявлениями, общими подходами к лечению и коррекции состояния. (ОСТ ТО № 91500. 01. 0005 -2001 «Термины и определения системы стандартизации в здравоохранении» - введен приказом МЗ РФ от 22. 01. 201 № 12)
Синдром – это состояние, развившееся как следствие заболевания и определяющееся совокупностью клинических, лабораторных и инструментальных диагностических признаков, позволяющих идентифицировать его и отнести к группе состояний с различной этиологией, но общим патогенезом, клиническими проявлениями, общими подходами к лечению, зависящими вместе с тем и от заболеваний, лежащих в основе синдрома. (ОСТ ТО № 91500. 01. 0005 -2001 «Термины и определения системы стандартизации в здравоохранении» )
• Неопределённые диагнозы или симптомы? • Если к концу эпизода медицинской помощи точный диагноз не установлен, то следует зарегистрировать ту информацию , которая позволяет составить наиболее правильное и точное представление о состоянии, по поводу которого проводилось лечение или обследование. Это следует делать путем записи симптома, отклонения от нормы или проблемы, а не путем такой формулировки диагноза, как «возможный» , «сомнительный» , «предполагаемый» , в случае, когда он подразумевается, но окончательно не установлен. (МКБ-10, ВОЗ. Женева, 1995, том 2, с. 108)
Во главу клинического и патологоанатомического диагнозов должна быть поставлена нозологическая форма с её номенклатурным терминологическим обозначением. Это обеспечивает важное требование медицинской информации – однозначность языка.
При формулировании диагноза следует отказаться от терминов, отражающих родовую (групповую) принадлежность выявленной патологии – ревматические, аллергические болезни, лекарственная болезнь, побочное действие лекарственных средств, ятрогения, а также ишемическая болезнь сердца, цереброваскулярная болезнь и т. д.
Международная классификация болезней (МКБ-10) должна с большой осторожностью применяться в качестве руководства при написании диагноза, так как в своих классах она содержит не только перечень нозологических единиц, но и состояний, синдромов и даже отдельных болезненных проявлений.
Клинические, клиникоанатомические классификации болезней должны иметь соподчиненный с МКБ характер и применяться для интранозологической характеристики, для перевода формально-абстрактного диагноза в «диагноз больного» .
При оформлении диагноза должны чётко соблюдаться причинно-следственные отношения при отражении симптомов и синдромов, характеризующие особенности болезни в каждом конкретном случае (патогенетический принцип).
• Основное заболевание – нозологическая единица, имеющая в данный момент наиболее выраженные проявления, угрожающие здоровью и жизни больного, по поводу которого проводится лечение
• Осложнение основного заболевания – это такой патологический процесс, который патогенетически и/или этиологически связан с основным заболеванием и существенно утяжеляет его течение, становясь нередко причиной смертельного исхода
• Непосредственная причина смерти (ведущий фактор танатогенеза) – это структурно- функциональные или метаболические повреждения в организме, вызвавшие нарушения гомеостаза, которые привели к летальному исходу. Обычно, это главное осложнение основного заболевания.
• Сопутствующее заболевание – это нозологическая единица, которая этиологически и патогенетически не связана с основным заболеванием и его осложнениями и не оказало на их течение и развитие неблагоприятное влияние и не способствовало наступлению смерти.
• Комбинированное основное заболевание отражает сочетание двух ведущих страданий у больного. Эти болезни вызывают новое патологическое состояние и, взаимодействуя между собой, приводят к смерти (бикаузальный генез заболевания и смерти). При этом две нозологические единицы могут находиться в различной патогенетической и танатологической связи.
• Конкурирующие заболевания – две одновременно имеющиеся у больного нозологические единицы, каждая из которых в отдельности могла бы привести к смерти; как правило, они не поддаются разделению из-за общности клиникоморфологических проявлений и танатогенеза.
• Сочетанные заболевания – две нозологические единицы, случайно совпавшие во времени и топике, каждая из которых в отдельности в данных условиях не могла привести к смерти, но в совокупности они взаимно утяжеляют течение друга и становятся причиной смерти.
• Фоновое заболевание играет существенную роль в возникновении и развитии основного заболевания, хотя этиология у него иная; взаимодействие основной нозологической единицы с фоновым заболеванием ускоряет и утяжеляет танатогенез.
Первоначальная (основная) причина смерти – это: «а) болезнь или травма, вызвавшая цепь болезненных процессов, непосредственно приведших к смерти; б) обстоятельства несчастного случая или акта насилия, которые вызвали смертельную травму» (МКБ-10)
При монокаузальном генезе болезни и смерти основное заболевание и первоначальная причина смерти выступают как однозначные понятия. В комбинированном основном заболевании и в полипатии (семействе, ассоциации болезней) к первоначальной причине смерти относят нозологическую единицу, записанную в первой строке диагноза. Эта же болезнь шифруется с указанием рубрики МКБ-10.
Бикаузальный генез смерти • • ОСНОВНОЕ и Фоновое заболевания (I 61. 0 доп. I 10) Внутримозговое кровоизлияние по типу гематомы с локализацией в левых теменной и височной областях и распространением на подкорковые ядра, с прорывом крови в субарахноидальное пространство при гипертонической болезни: гипертрофия миокарда – толщина миокарда левого желудочка 1. 4 см, масса сердца 310 г, артериолосклеротический нефросклероз, системный артериологиалиноз; атеросклероз церебральных артерий 2 ст. , коронарных артерий 4 ст. , сетчатый кардиосклероз, атеросклероз аорты 2 ст. 3 ст. ОСЛОЖНЕНИЯ. (I 50. 0) Хроническая сердечная недостаточность: «мускатная» печень, цианотическая индурация селезенки и почек. (G 93. 6) Отек головного мозга. НЕПОСРЕДСТВЕННАЯ ПРИЧИНА СМЕРТИ. Отек головного мозга. СОПУТСТВУЮЩИЕ ЗАБОЛЕВАНИЯ. (D 25) Субсерозная фибромиома тела матки.
• • • Примеры диагноза при монокаузальном генезе заболевания и смерти ОСНОВНОЕ заболевание (I 21. 2) Острый трансмуральный инфаркт миокарда в области задней стенки левого желудочка и межжелудочковой перегородки в стадии некроза (давностью 36 часов), объем поражения 28% при стенозирующем атеросклерозе коронарных артерий 4 ст. , 5 ст. , кровоизлияние в атеросклеротическую бляшку правой коронарной артерии. Атеросклероз аорты 3 ст. , 4 ст. , церебральных артерий 2 ст. , 4 ст. ОСЛОЖНЕНИЯ. (R 57. 0) Кардиогенный шок: пустые полости сердца, жидкое состояние крови в просветах крупных сосудов, неравномерное полнокровие внутренних органов с депонированием крови в сосудах микроциркуляторного русла, отек легких, отек головного мозга. НЕПОСРЕДСТВЕННАЯ ПРИЧИНА СМЕРТИ: Кардиогенный шок.
Примеры диагноза при монокаузальном генезе заболевания и смерти • • • ОСНОВНОЕ заболевание: (В 20. 6) ВИЧ-инфекция (положительный иммуноблот № 22987, дата) IVВ стадии, фаза прогрессирования, с двусторонней тотальной пневмоцистной пневмонией; фолликулярная инволюция с лимфоидным истощением в лимфатических узлах, атрофия лимфоидной ткани селезенки, трансформированнные макрофаги в ткани лимфоузлов, кахексия. ОСЛОЖНЕНИЯ: (А 41. 9) Инфекционно-токсический шок: жидкое состояние крови в полостях сердца и просветах крупных сосудов, депонирование крови в сосудах микроциркуляторного русла, респираторный дистресс-синром взрослых, некронефроз, миелоидная гиперплазия селезенки. (G 93. 6) Отек головного мозга. НЕПОСРЕДСТВЕННАЯ ПРИЧИНА СМЕРТИ: Отек головного мозга.
Примеры диагноза при бикаузальном генезе заболевания и смерти Комбинированное основное заболевание • ОСНОВНОЕ заболевание: (N 11. 0) Хронический правосторонний пиелонефрит в фазе выраженной активности, с формированием пионефроза, развитием абсцедирующего паранефрита (бактериологически – рост Staphylococcus aureus). • ФОНОВОЕ заболевание: (Е 10. 1) Сахарный диабет 1 типа, впервые выявленный, с кетоацидозом: атрофия островкового аппарата поджелудочной железы, диабетический интракапиллярный гломерулосклероз, жировой гепатоз, атеросклероз аорты и коронарных артерий 4 ст. 3 ст. • ОСЛОЖНЕНИЯ: (А 41. 0) Септикопиемия: множественные эмболические гнойные очаги в легких, реактивный гепатит, миелоидная гиперплазия селезенки, отек головного мозга. (К 76. 7) Полиорганная недостаточность. • НЕПОСРЕДСТВЕННАЯ ПРИЧИНА СМЕРТИ: Полиорганная недостаточность.
• • Примеры диагноза при бикаузальном генезе заболевания и смерти ОСНОВНОЕ заболевание: (I 22. 8) Повторный трансмуральный инфаркт миокарда в области задне-боковой стенки левого желудочка, стадия некроза (давностью 24 часа), объем поражения 38% при атеросклерозе коронарных артерий 4 ст. 5 ст; крупноочаговый кардиосклероз (объём поражения 12%) в области межжелудочковой перегородки (ОИМ в 1993 г. ). КОНКУРИРУЮЩЕЕ заболевание: (I 72. 0) Атеросклеротическая влажная гангрена левой нижней конечности: стенозирующий атеросклероз артерий нижних конечностей 4 стд. , 5 ст. ; тромбоз левой подколенной артерии. ОСЛОЖНЕНИЯ: (R 57. 8) Шок смешанного генеза (кардиогенный, инфекционно-токсический). (I 23. 0) Разрыв стенки левого желудочка сердца с гемоперикардом (300 мл крови в полости перикарда). НЕПОСРЕДСТВЕННАЯ ПРИЧИНА СМЕРТИ: Гемоперикард.
• • • Примеры диагноза при мультикаузальном генезе заболевания и смерти 1 ОСНОВНОЕ заболевание: (I 71. 6) Атеросклеротическая расслаивающая аневризма аорты (восходящего отдела, дуги, грудной и брюшной аорты) со сдавлением просвета. Атеросклероз аорты 4 ст. 5 ст. 2 ОСНОВНОЕ заболевание: (I 25. 0) Атеросклеротический кардиосклероз при стенозирующем атеросклерозе коронарных артерий 4 ст. 5 ст. , нарушение проводимости сердца по типу полной блокады левой ножки пучка Гиса. 3 ОСНОВНОЕ заболевание: (I 08. 0) Ревматический сочетанный митрально-аортальный порок – комбинированный порок митрального клапана с преобладанием стеноза, недостаточность створок аортального клапана.
• • • Примеры диагноза при мультикаузальном генезе заболевания и смерти ОСЛОЖНЕНИЯ: (I 50. 0) Хроническая сердечная недостаточность: дилатация полостей сердца, гемосидероз легких, «мускатная» печень, цианотическая индурация почек и селезенки. (I 50. 1) Острая сердечно-сосудистая недостаточность: отек легких, отек головного мозга, геморрагические эрозии слизистых оболочек желудка, тонкого и толстого кишечника. НЕПОСРЕДСТВЕННАЯ ПРИЧИНА СМЕРТИ: Острая сердечнососудистая недостаточность. СОПУТСТВУЮЩЕЕ заболевание: (В 90. 9) Отдаленные последствия туберкулеза легких в виде малых остаточных изменений.
Ключевым моментом в проведении клиникоанатомического анализа является сопоставление заключительного клинического и патологоанатомического диагнозов с целью выявления ошибок клинической диагностики. Причем эти сопоставления должны проводиться на многофакторной основе – по всем рубрикам диагнозов с установлением причин и условий формирования дефектов диагностики, их влияния на лечебную тактику и исход заболевания.
Категории оценок при сличении клинического и патологоанатомического диагнозов: þ совпадение диагнозов по основному заболеванию; þ расхождение диагнозов по важнейшим осложнениям, существенно изменившим течение или имеющих характер непосредственной причины смерти (эта оценка вводится при совпадении диагнозов по основному заболеванию) þ расхождение диагнозов по важнейшим сопутствующим заболеваниям (эта оценка вводится при совпадении диагнозов по основному заболеванию и его важнейшим осложнениям).
К расхождению клинического и патологоанатомического диагнозов по основному заболеванию относятся несовпадение диагнозов по: þ нозологическому принципу; þ этиологии патологического процесса; þ локализации поражения (в том числе при отсутствии в заключительном клиническом диагнозе указаний на топику процесса).
К расхождению клинического и патологоанатомического диагнозов по основному заболеванию относятся: þ случаи ошибочной трактовки основного заболевания в качестве сопутствующего; þ нераспознание одного из заболеваний, входящих в состав комбинированного основного заболевания (поскольку при этом главные лечебные мероприятия направлены на заболевание, неправильно оцененное как основное); þ нераспознание одной из нозологических единиц, входящих в состав полипатии
Категории расхождения заключительного клинического и патологоанатомического диагнозов по основному заболеванию утверждены приказом Минздрава СССР от 04. 1983 № 375.
• Категории расхождения заключительного клинического и патологоанатомического диагнозов: • I категория – заболевание не было распознано на предыдущих этапах диагностики и лечения, а в данном лечебном учреждении установление правильного диагноза было невозможно изза объективных трудностей (коматозное состояние больного, кратковременность его пребывания в больнице, смерть в приемном покое и пр. ).
• Категории расхождения заключительного клинического и патологоанатомического диагнозов: • II категория – заболевание не было распознано в данном лечебном учреждении, при этом правильная диагностика в связи с необратимостью изменений в организме не оказала бы решающего влияния на исход заболевания; однако правильный диагноз мог и должен был быть установлен.
• Категории расхождения заключительного клинического и патологоанатомического диагнозов: • III категория – заболевание не было распознано в данном лечебном учреждении, неправильная диагностика повлекла за собой ошибочную лечебную тактику, что сыграло решающую роль в смертельном исходе.
Причины расхождения диагнозов могут быть субъективными и объективными. При этом патологоанатом из их перечня выбирает для статистического учёта лишь одну. Объективные причины: þ кратковременность пребывания больного в стационаре (при ургентной патологии клинический диагноз должен быть поставлен незамедлительно, в остальных случаях – не позднее первых трёх суток – В. В. Серв и соавт. , 1987; Д. С. Саркисов и соавт. , 1988); þ трудность или невозможность обследования больного из-за тяжести состояния; þ атипичность развития и течения процесса, недостаточная изученность заболевания, а также его редкость; þ недостаточность материально-технической базы учреждения здравоохранения.
Субъективные причины: þ недостаточное клиническое обследование невнимание к анамнезу, недостаточное применение параклинических методов и т. п. ); (включая þ неправильная интерпретация клинических данных; þ недооценка или переоценка результатов лабораторных, инструментальных, рентгенологических, цитологических и других методов обследования; þ переоценка заключения консультантов; þ неправильное оформление и построение клинического диагноза (логические ошибки); þ прочие субъективные причины.
Расхождения диагнозов по основному заболеванию при вскрытиях умерших в 2006 г в Челябинской области в стационаре(дома): всего - 25, 6% (24, 3%) со следующим распределением по категориям: I – 5, 5% (6%); II – 17, 9% (16, 6%) III – 2, 2% (1, 6% ) Расхождения диагнозов по объективным причинам – 11, 7% (4, 9%) по субъективным - 13, 9% (19, 5%)
Расхождение диагнозов по основному заболеванию по материалам аутопсий умерших взрослых в стационарах Учреждения здравоохранения Всего вскрыти й Всего расхождений Процент Обслуживаемые ЧОПАБ государственные и муниципальные УЗ 327 161 49, 7% УЗ Челябинска 964 243 25, 2% УЗ Магнитогорска 444 101 22, 7% УЗ городских и сельских муниципальных округов 2458 569 23, 1% В целом 4191 1074 25, 6%
Ятрогенная патология при патологоанатомических вскрытиях в целом по области распознана в 6, 15% (5, 8%) аутопсийных исследований. В качестве основного заболевания (первоначальной причины смерти) ятрогенная патология выступила в 2, 2% (2, 1%) случаев, на втором месте в комбинированном диагнозе – в 2, 7%, как сопутствующее заболевание – в 1, 1% Наиболее высоким этот показатель был в специализированном стационаре – ООД, где ятрогенная патология была выявлена в 24 из 45 аутопсийных исследований (53%). В другом специализированном стационаре преимущественно хирургического профиля – ОПТД – случаи ятрогенной патологии не распознаны ни в одном из 118 аутопсийных исследований.
Другие дефекты диагностики 2006 (2005) гг. выявлены в 18% (12, 5%) аутопсийных исследований со следующим распределением: - запоздалая диагностика основного заболевания – 2, 6% (1, 9%); - запоздалая диагностика ведущего осложнения - 1, 3% (0, 9%); - поздняя госпитализация – 3. 9% (3, 3%); - отсутствие амбулаторного наблюдения - 3, 9% (1, 4%; ) - отсутствие клинического диагноза – 3, 9% (2, 8%, ) - прочие – 1, 7% (2, 2%. )
Врачами-патологоанатомами ЧОПАБ в 2006 г. проведено 73 клинико-патологоанатомических конференции (7, 8% к числу вскрытий); на КИЛИ и ЛКК разобраны все случаи смерти. Областные показатели КПАК – 198 (3, 7%) ЛКК – 415 (7, 9%), КИЛИ – 652 (12, 4%) Случаи расхождения диагнозов и случаи с ятрогенной патологией обсуждены коллегиально на разных уровнях (КИЛИ, ЛКК и КПАК) в целом по области – в 92, 7%.
Случай смерти мужчины 35 лет Заключительный клинический диагноз Основное заболевание. Грипп, осложненный двухсторонней полисегментарной пневмонией, тяжелое течение. Осложнения основного Полиорганная недостаточность (печеночная, почечная, сердечная, дыхательная). ДВС-синдром (геморрагии на коже, в желудке, бронхах, мозг? ) Сопутствующие заболевания. ВПС: дефект МПП (операция в 1989 г. ), брадикардия. Вирусный гепатит. (1995 г. ) Хронический алкоголизм.
Макроскопические находки 1) Легкие: масса 2730 г (норма – 1050 г); - «большое пестрое гриппозное легкое» ; - признаки отека; - серозно-геморрагический катаральный трахеобронхит; - в плевральных полостях по 150 мл розовой прозрачной жидкости. 2) Шоковые почки.
Легкие
Почки
4) Селезенка - 260 г (норма – 150 г), рисунок белой пульпы не определяется. 5) Кровоизлияния в слизистые оболочки, кожу, серозные покровы , клетчатку средостения и малого таза, полушария большого мозга, геморрагическое пропитывание щитовидной железы. 7) Тромбы в венах клетчатки малого таза, сосудах легких. 8) Пустые камеры сердца и крупных сосудов. 9) Сердце: 470 г, миокард дряблый, толщина ЛЖ 1, 5 см ПЖ 0, 4 см
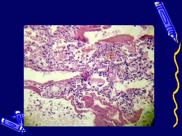
Легкие (смешанная пневмония)
Легкие (гиалиновые мембраны)
Легкие (трансформированные альвеолоциты)
Легкие (тромбы в сосудах, геморрагический инфаркт)
Почки (нефронекроз)
Кровоизлияние в головной мозг
Тромбоз вен клетчатки таза
Печень (проявления гепатита)
Селезенка (лимфоидное истощение, накопление клеток типа макрофагов)
Лимфатический узел (лимфоидное истощение, накопление клеток типа макрофагов в синусах)
Патологоанатомический диагноз: Основное заболевание (J 10. 0) Грипп А H 1 N 1 c пневмонией: геморрагический трахеобронхит, двухсторонняя полисегментарная серозно-геморрагическая пневмония, положительное вирусологическое исследование материала бронхов методом ПЦР ; отрицательное бактериологическое исследование легких ; пролиферация и накопление клеток типа макрофагов в синусах трахеобронхиальных и мезентериальных лимфатических узлов, красной пульпе селезенки, костном мозге, альвеолах; лимфоидное истощение селезенки, серозногеморрагический катаральный гастроэнтероколит.
Осложнения (R 57. 8) Инфекционно-токсический шок: клинические данные, нефронекроз с развитием острой почечной недостаточности; респираторный дистресс-синдром взрослых, диссеминированное внутрисосудистое свертывание (точечные кровоизлияния в белом веществе полушарий большого мозга, в слизистые оболочки желудочно-кишечного тракта, мочеточников, мочевой пузырь,
в серозные оболочки грудной и брюшной полости, кожу, забрюшинную и медиастинальную клетчатку, геморрагическое пропитывание щитовидной железы, тромбоз вен тазовой клетчатки, рецидивирующая тромбоэмболия мелких ветвей легочной артерии.
Реанимационные мероприятия и интенсивная терапия: искусственная вентиляция легких с 06. 11. 2009 г. , катетеризация центральных вен, бедренной артерии, сеанс гемодиализа, непрямой массаж сердца. Непосредственная причина смерти. Инфекционнотоксический шок. Сопутствующие заболевания. (В 18. 2) Хронический порто-лобулярный вирусный гепатит С малой степени активности, фиброз I степени. (F 10. 1) Пагубное употребление алкоголя: данные анамнеза, фиброз поджелудочной железы и мягких мозговых оболочек. (Q 20. 8) Врожденный порок сердца: дефект межпредсердной перегородки, операция пластики дефекта межпредсердной перегородки в 1989 г.
Общее с другими исследованными случаями • Молодой возраст (17 -35 лет) • Наличие фоновых состояний: в данном случае - алкогольная болезнь, хронический вирусный гепатит С • В начале заболевания при объективном наличии одышки субъективно состояние было удовлетворительным • Внезапное молниеносное развитие инфекционно -токсического шока, респираторного дистресссиндрома взрослых • Явления тромбо-геморрагического синдрома
Женщина 27 лет Заключительный клинический диагноз (внесен в протокол с лицевой стороны истории родов) Диагноз заключительный Своевременные оперативные роды I в 37 нед при сочетанном гестозе (нефропатия л/ст на фоне гестац. анемии л/ст эндокринопатии (АКО I ст) Осложнения в родах, после родов ОРВИ. Двухсторонняя внебольничная вируснобактериальная пневмония. Инфекционнотоксический шок. ДВСК РДС взрослых. Полиорганная недостаточность Название операций и пособий Нижнесрединная лапаротомия кесарево сечение в нижнем маточном сегменте. Продленная ИВЛ.
Макроскопические находки 1) Легкие: масса 1800 г (норма – 1050 г); - «большое пестрое гриппозное легкое» ; - признаки отека; - серозно-геморрагический катаральный трахеобронхит. 2) Шоковые почки. 3) Пустые камеры сердца и крупных сосудов, жидкое состояние крови.
4) Селезенка - 220 г (норма – 150 г), в соскобе кровь. 5) Серозно-геморрагический катаральный гастроэнтерит. 6) Кровоизлияния в клетчатку средостения и малого таза. 7) Сердце: - миокард дряблый; - толщина стенки левого желудочка 1, 4 см (норма 1, 1 см).
Легкие
Трахея
Селезенка
• Патологоанатомический диагноз: • Основное заболевание • (0. 99. 5 / J 10. 0) Грипп А H 1 N 1 c пневмонией при беременности 37 недель: положительное вирусологическое исследование материала бронхов и легких методом ПЦР отрицательное бактериологическое исследование легких серозногеморрагический трахеобронхит, двухсторонняя полисегментарная серозно-геморрагическая пневмония, вирусная трансформация альвеолоцитов, очаговый лимфоцитарный эпинефрит, накопление клеток типа макрофагов в красной пульпе селезенки, альвеолах; лимфоидное истощение селезенки. Операция кесарево сечение в нижнем маточном сегменте. Послеродовый период 3 сутки.
• Осложнения • (О 75. 1 / R 57. 8) Инфекционно-токсический шок: клинические данные, респираторный дистресс-синдром взрослых (гиалиновые мембраны в легких), кортикальный нефронекроз. • Непосредственная причина смерти. Инфекционно-токсический шок • Сопутствующие заболевания • (О 12. 2) Вызванные беременностью отеки и протеинурия (протеинурия 0, 027 г/л); эндосклероз миометриальных сегментов маточно-плацентарных артерий. • (О 99. 2 / Е 66. 0) Экзогенно-конституциональное ожирение I степени (индекс массы тела 30, индекс Брока 127 %).
Г. А. ПАШИНЯН, Г. М. ХАРИН ОФОРМЛЕНИЕ «ЗАКЛЮЧЕНИЯ ЭКСПЕРТА» (ЭКСПЕРТИЗА ТРУПА) Рекомендовано Учебно-методическим объединением по медицинскому и фармацевтическому образованию ВУЗов России в качестве учебного пособия для последипломного образования по специальности «Судебная медицина» Москва Медицинская книга 2006
Пример 1 Судебно-медицинский диагноз: 1. Комбинированное основное заболевание: а) основное острый трансмуральный инфаркт передней стенки левого желудочка сердца вследствие тромбоэмболии передней нисходящей ветви левой коронарной артерии; б) фоновое острый ревматический эндокардит митрального клапана с пристеночным тромбозом. 2. Миомаляция и разрыв передней стенки левого желудочка сердца, гемоперикард (450 мл крови со сгустками), гемотампонада сердца. 3. Хронический атрофический гастрит. "Медицинское свидетельство о смерти": I. а) Гемотампонада сердца. б) Разрыв сердечной мышцы, гемоперикард. в) Острый трансмуральный инфаркт миокарда. II. Острый ревматический эндокардит. Шифр I 21. 0
Выводы судебно-медицинского эксперта: 1. Смерть наступила в результате острого трансмурального инфаркта миокарда левого желудочка сердца, осложнившегося миомаляцией и разрывом передней стенки левого желудочка с истечением крови в околосердечную сумку и гемотампонадой сердца, что подтверждается морфологическими проявлениями и результатами судебно гистологического исследования (Акт №, дата). 2. Обнаружены морфологические проявления фонового заболевания острого ревматического эндокардита митрального клапана с пристеночным тромбозом, который способствовал наступлению летального исхода. 3. При экспертизе трупа выявлено сопутствующее заболевание в виде хронического атрофического гастрита. Данная патология в причинной связи со смертью не находится. 4. Каких либо телесных повреждений, а также признаков отравления этиловым и другими алифатическими спиртми при экспертизе трупа не выявлено. Коментарии: в данном случае нарушены требования МКБ 10, патогенетический принцип построения диагноза. Основным заболеванием является острый ревматический эндокардит (код I 01. 1).
Пример 3 Судебно-медицинский диагноз: 1. Тромбофлебит глубоких вен правой нижней конечности. 2. Трофическая язва нижней трети правой голени. Тромбоэмболия обеих ветвей легочной артерий. Множественные геморрагические инфаркты обоих легких. 3. Ожирение 3 степени. "Медицинское свидетельство о смерти ": I. а) Тромбоэмболия обеих ветвей легочной артерии. б) _______ в) Тромбофлебит глубоких вен правой нижней конечности. Шифр I 80. 2
Выводы: 1. Причиной смерти следует считать тромбофлебит глубоких вен правой нижней конечности, осложнившийся трофической язвой нижней трети правой голени и тромбоэмболией обеих ветвей легочной артерии с развитием геморрагических инфарктов обоих легких. Данный вывод подтверждается обнаружением в просвете начального отдела обеих ветвей легочной артерии свободно лежащего красного тромба, наличием очагов геморрагического инфаркта в легких и морфологическими проявлениями основного заболевания (Акт суд. гист. исс я №, дата). 2. Каких либо телесных повреждений на трупе не выявлено. 3. При экспертизе трупа выявлено прижизненное заболевание в виде ожирения 3 степени, которое в причинной связи со смертью не находится. 4. При судебно химическом анализе крови и мочи трупа (Акт №, дата) этиловый и другие алифатические спирты не обнаружены.
Пример 19 Судебно-медицинский диагноз: 1. Перфорация задней стенки ампулярного отдела прямой кишки в ходе медицинской манипуляции постановки очистительной клизмы. 2. Разлитой фибринозно гнойный перитонит. Флегмона тазовой клетчатки. 3. Состояние после операции (дата) герниопластика по Лихтенштейну в связи с правосторонней паховой грыжей. "Медицинское свидетельство о смерти ": I. а) Разлитой фибринозно гнойный перитонит. б)_______ в) Перфорация задней стенки прямой кишки в ходе медицинской манипуляции. Шифр Т 81. 2 г) Случайное нанесение вреда пациенту во время терапевтической процедуры. Шифр Y 60. 7 П. Состояние после операции герниопластики по поводу паховой грыжи.
Выводы: 1. Смерть наступила в результате перфорации задней стенки прямой кишки при выполнении медицинской манипуляции (очистительной клизмы), осложнившейся разлитым фибринозно гнойным перитонитом и флегмоной тазовой клетчатки, что подтверждается результатами секционного и судебно гистологического исследований (Акт №, дата). 2. Выявленная перфорация прямой кишки могла возникнуть в результате усиленного давления на стенку кишки тупым предметом с ограниченной контактирующей поверхностью, что привело к ее растяжению и разрыву. От меченный механизм причинения повреждения мог иметь место при постановке очистительной клизмы, процедура выполнения которой отражена в представленной на экспертизу медицинской карте стационарного больного (дата). 3. С момента перфорации стенки кишки до смерти прошло не менее 2 суток, что подтверждается степенью выраженности реактивных изменений в области повреждения и характером воспалительной реакции в брюшной полости. 4. Отмеченное повреждение и его осложнения причинили тяжкий вред здоровью по признаку опасности для жизни (развитие угрожающего жизни состояния) и находятся в прямой причинной связи со смертью.
БЛАГОДАРЮ ЗА ВНИМАНИЕ!


