Основні симптоми та синдроми при пневмонії та плевриті.

























































Лекция-6_Пневмонии.ppt
- Количество слайдов: 57
Основні симптоми та синдроми при пневмонії та плевриті. Клінічні, інструментальні та лабораторні ознаки синдромів ущільнення легеневої тканини, накопичення рідини в плевральній порожнині та дихальної недостатності Лектор – доцент Мошковська Ю. О.
Пневмонія - гостре, поліетіологічне, вогнищеве, інфекційно- запальне(переважно бактеріальної природи) захворювання легень із залученням в патологічний процес респіраторних відділів (респіраторні бронхіоли і альвеоли) і обов”язковою наявністю внутрішньоальвеолярної запальної ексудації.
Етіологія І. Бактеріальна інфекція: - Гр+ флора (пневмокок, стрептокок, стафілокок) - Гр- флора (гемофільна паличка, ентеробактерії, паличка Фрідлендера, кишкова паличка, протей, псевдомонас. Легіонела, хламідії). ІІ. Мікоплазма ІІІ. Вірусна інфекція (віруси грипу, парагрипу, герпесу). ІV. Грибкова інфекція.
Етіологічна структура пневмоній Збудник Бак посів Пневмокок (Streptococcus pneum. ) 34 -51% Мікоплазма (Mycoplasma pneum. ) 4 -18% 3 -6% Гемофільна паличка (Haemophilus influenzae) Вірус грипу А 6 -7% 2 -3% Хламідії (Chlamidia psittaci) 1 -2% Легіонела (Legionella pneumophila) 1 -2% Золотистий стафілокок 1 -2% Гемолітичний стрептокок 1 -2% Клебсієла 22 -33% Збудник не визначений
Клінічні ситуації з можливими збудниками пневмоній Клінічна ситуація Можливий збудник Вік молодше 25 р. Пневмокок, мікоплазма, хламідії Вік старше 25 Пневмокок, гемофільна паличка Хронічний бронхіт, паління Пневмокок, гемофільна паличка Сімейна ГРВІ Віруси, мікоплазма, хламідії Алкоголізм Клебсієла, пневмокок, мікобактерії туберкульозу Аспірація, торакоабдомінальне втручання Грам- палички, анаероби Коми, пролежні, черепномозкові травми Грам- палички, стафілококи ВІЛ-інфекція Грам- палички, мікобактерії туберкульозу, пневмоцисти
Класифікація пневмоній За етіологією: бактеріальні, вірусні, орнітозні, риккетсіозні, мікоплазменні, грибкові, змішані, алергічні, з невстановленною етіологією За патогенезом: первинні, вторинні(гіпоста тичні, контактні, аспіраційні, травматичні, післяопераційні, на фоні загострення ХНЗЛ, приінфекційних захвореннях, токсичні, термічні) За клініко-морфологічними ознаками: паренхіматозні (великі та вогнищеві), інтерстиційні За локалізацією та протяжністю: Односторонні (ліво- та правосторонні), серед них тотальні часткові, сегментарні, часточкові, двосторонні-також з указуваням тривалості процесу За тяжкістю процесу: в край тяжкі, середньої важкості, легкі та абортивні форми За плином: гострі, затяжні.
Типи вторинних пневмоній Найменування пневмонії Первинний процес Гіпостатична пневмонія Гіповентиляція, фіксова не положення Параканкрозна лежачи Післяопераційна Рак легені Посттравматична Хірургічне втручання Променева Травма грудної клітини Період розпалу променевої хвороби.
Типи вторинних пневмоній Найменування пневмонії Первинний процес Ателкатаз-пневмонія Абтурація бронха, колапс Аспіраційна долі Аспірація їжею, Токсигенна чужерідними предметами, vomitus Інгаляційна Опік парами бензину, хлору Інгаляція отруйних димів, аерозолей Інфаркт-пневмонія Інфаркт легені
Класифікація пневмоній Американської легеневої асоціації n Залежно від особливостей інфікування: - Негоспітальна (домашня, комунальна) - Внутрішньогоспітальна (нозокоміальна) – виникає через 48 год і пізніше після госпіталізації, при відсутності інф. захв. в інкубаційному періоді на час госпіталізації. - Аспіраційна - П. у осіб з важкими дефектами імунітету (ятрогенна імуносупресія, ВІЛ-
Категорії позагоспітальних пневмоній 1 категорія - ПП у хворих до 60 р. без супутньої патології 2 категорія - ПП у хворих із супутньою патологією у віці 60 р. і більше при можливості амбулаторного лікування 3 категорія - ПП, що потребує госпіталізації без застосування інтенсивної терапії 4 категорія - важка ПП необхідне проведення інтенсивної терапії в стаціонарі
Внутрішньогоспітальна пневмонія n 1 -а група (А) – хв. без фактору ризику легк. або сер. ступеню важкості пневм. , що розвинулась в будь-який термін госпіталізації, або важк. пневм. з раннім розвитком (до 5 діб госп. ) n 2 -а (Б) – хв. зі специфічними факторами ризику з пневмонією легкого або середнього ступеню, що розвинулась в будь-який термін госпіталізації, або важкою із раннім розвитком (до 5 діб госп. ) n 3 -а (В) – хв. з пневмонією ваажкого ступеню за наявності факторів ризику або пневмонією, що розвинулась в певні терміни (більше ніж 5 діб пісмля госпіталізації)
Фактори ризику позагоспітальних пневмоній n Похилий вік n Паління n Супутніхронічні захворювання n Попередньо перенесена пневмонія n Професійні шкідливості n Імуносупресивний стан n Неврологічні захворювання
Для розвитку пневмонії, окрім збудника, необхідні супутні умови: n Порушення імунних реакцій, що спостерігаються: - При переохолодженні; - У хворих на алкоголізм; - У пацієнтів похилого та старечого віку; - У пацієнтів з важкими захворюваннями нирок, серця; - При тривалому прийомі імунодепресантів.
Патогенез пневмонії n Пневмонічне вогнище – легеневий інфільтрат, що має всі ознаки запалення з обов’язковим накопиченням ексудату в просвіті уражених альвеол. Розвиток інфільтрату має 3 стадії, при сприятливому перебігу повністю розсмоктується.
В залежності від величини та локалізації ураження легені пневмонічним вогнищем розрізняють такі варіанти пневмоній: - Крупозна (часткова) - Вогнищева (сегментарна, полісегментарна бронхопневмонія) - Інтерстиціальна (особливий різновид легеневої інфільтрації)
Основні патогенетичні ланки розвитку пневмонії: n 1. Проникнення збудника в легеневу тканину. n 2. Зміни місцевого бронхолегеневого захисту. n 3. Розвиток локального запального процесу, його поширення по легеневій тканині. n 4. Сенсибілізація до інфекційних агентів, розвиток алергічних реакцій, формування імунних комплексів (взаємод. з комплементом), виділення медіаторів запалення. n 5. Підвищення агрегації тромбоцитів. n 6. Нервово-трофічні порушення бронхів, легень. n 7. Посилення окислення ліпідів клітинних мембран, активація фосфоліпаз, зниження впливу антиоксидантів – порушення функцій мембран клітин.
Крупозна пневмонія - характеризується ураженням однієї чи декількох часток легені з втягненням у запальний процес плеври (плевропневмонія). Збудники – різні види пневмококів, іноді – стафілокок, паличка Фрідлендера.
Рентгенограма легень хворого з масивною, тотальною
Патогенетичні стадії крупозної пневмонії n В стадії приливу відбувається поступове швидке одночасне заповнення просвіту альвеол запальним фібринозним ексудатом, в якому містяться збудники. При відсутності лікування через 3 -4 доби стадія приливу переходить у стадію гепатизації. n В стадії гепатизації в ексудаті спочатку з’являються еритроцити з невеликою домішкою нейтрофілів (стадія червоної гепатизації), потім – велика кількість лейкоцитів, що фагоцитують бактерії (стадія сірої гепатизації). n Стадія розрішання - розсмоктування ексудату та відновлення структуру легеневої паренхіми або корніфікація чи абсцес.
Клінічні прояви n СКАРГИ - Різке підвищення температури (39 -40*С). Тип лихоманки постійний, з ознобами. - Важкий інтоксикаційний синдром, головний біль, безсоння, марення. - Кашель. Спочатку сухий, потім з харкотиння, яке швидко стає слизово-гнійним, часто містить домішки крові та фібрину (іржаве). - У відповідній частині грудної клітки може виникнути біль, який підсилюється при диханні (плевральний синдром).
огляд 1. Дихання часте, поверхневе, за допомогою додаткових м’язів. 2. Вимушене положення – лежачи, на стороні запалення. 3. Обличчя гіперемоване, можуть бути герпетичні висипи з боку ураженої легені, інколи субіктеричність шкіри, слизових оболонок. При динамічному огляді: з ураженої сторони рухливість грудної клітини знижена, відстає у акті дихання.
Пальпація грудної клітини n 1. Болісністьна стороні ураження. n 2. Голосове тремтіння посилене на стороні ураження.
Перкуторні та аускультативні дані крупозної пневмонії Перкуторно визначають вкорочення звуку (притуплення), часто з тимпанічним відтінком. Аускультативно: послаблення везикулярного дихання, крепітація (crepitatio indux) – в І стадії. В стадії гепатизації перкуторний звук – тупий, дихання – бронхіальне, посилена бронхофонія, іноді – звучні дрібнопухирцеві хрипи, може вислуховуватись шум тертя плеври. Розрішання пневмонії супроводжується тими ж ознаками, що присутні при стадії приливу (послаблення везикулярного дихання), а також crepitatio redux. При видужанні – везикулярне дихання, зникає
Лабораторні та інструментальні методи дослідження n Лабораторні дані У крові: нейтрофільний лейкоцитоз, ядерний зсув вліво, збільшення ШОЕ, підвищений рівень альфа-2 - і гамма-глобулінів. Харкотиння: багате на білки, еритроцити, лейкоцити. Рентгенологічне обстеження - щільний гомогенний інфільтрат у відповідній частці.
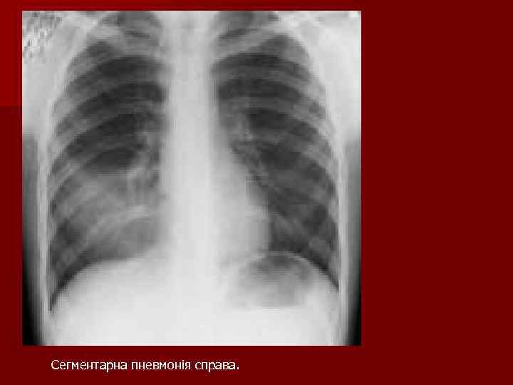
Вогнищева пневмонія (бронхопневмонія) характеризується розвитком інфекційного процесу в легеневій паренхімі та в суміжних бронхах. Уражається один чи декілька сегментів легені (сегментарна, полісегментарна пневмонія).
Сегментарна пневмонія справа.
Правостороння полісегментарна пневмонія.
Етіологія, патогенез - Причини – збудники: паличка Пфайффера, стафілокок, пневмокок. - Хронічний бронхіт та бронхоектатичні зміни бронхів, хронічні хвороби серця та застої крові (мале коло), цукровий діабет, травми. - Запалення верхніх дихальних шляхів.
Клінічні прояви n Поступовий початок після перенесеного грипу, застуди. n Підвищення температури тіла n Кашель (з невеликою кількістю слизово- гнійного харкотиння) n В області вогнища посилення голосового тремтіння, притуплення перкуторного тону. Жорсткий відтінок везикулярного дихання, вологі дрібнопухирчасті звучні хрипи.
n При глибокій локалізації вогнища перкуторні ознаки відсутні. n Кров: помірний лейкоцитоз з незначним ядерним зсувом влейкоцитарній формулі вліво. n Рентгенологічно: сегментарні / полісегментарні затінення гомогенного характеру.
Особливості причин розвитку внутрішньогоспітальної пневмонії n Інфекційне ураження легень, яке виникає під час перебування хворих в стаціонарі з іншого приводу протягом 48 год після госпіталізації n Вентилятор-асоційована пневмонія – через 48 год і більше після проведення штучної вентиляції легень. n Внутрішньолікарняне інфікування при інтубації трахеї, тривалому лікуванні антибіотиками, оперативних втручаннях.
n Домінуючий фактор нозокоміальної (ВГ) пневмонії – стафілокок, Гр- мікроорг. (протей, клебсієлла, ентеробактерії, псевдомонас, кишкова паличка), грибкова флора n Джерела інфікування: повітря (аспергілли), вода (легіонелли), мед персонал, мед інструменти та устаткування.
Внутрішньогоспітальна пневмонія. Клінічні прояви n Гострий початок – підвищення температури до 38*С n Частий зв’язок захворювання з простудним фактором, грипом, парагрипом n Фізикальні критерії синдрому ущільнення легеневої тканини: вкорочення перкуторного звуку, звучні дрібно-, середньопухирчасті хрипи, бронхіальне дихання, крепітація
Лабораторні критерії n Наявність запального процесу: лейкоцитоз, паличкоядерний зсув вліво, підвищення ШОЕ. Збільшення рівня гама, альфа-1 глобулінів, сіалових кислот, фібрину, поява С-реактивного білка.
Рентгенологічні критерії n Вогнища запальної інфільтрації (І, ІІІ, V сегм. ) – нерівномірне плямисте нечітко окреслене затемнення
Малі критерії n ЧД – 30 за хв і більше, порушення свідомості, сатурація кисню менш ніж 92%, р02 менше 60 мм рт. ст. , систолічний АТ менше 90 мм рт. ст. Ознаки розпаду, плевральний випіт.
Великі критерії n Потреба у вентиляції легень, прогресування вогнищево- інфільтративних змін, септичний шок, гостра ниркова недостатність за відсутності ХНН.
Особливості клінічної діагностики та перебігу окремих форм пневмоній n 1. Стафілококова пневмонія Деструктивне ураження легень, утворення окремих порожнин (булл) - Первинна - Метастатична деструкція легень - Абсцедуюча - Легенево-плевральна - Інфільтративно-бульозна Різке підвищення температури, гнійне або кров’янисте харкотиння, задишка, ціаноз
n Кандидозна пневмонія Повільний початок. Загальна слабкість. Субфебрильна температура. Перкуторно – притуплення. Вологі звучні хрипи, крепітація. n Легіонельозна пневмонія Важкий перебіг, інтоксикація, набряк легень. Ускладнення: абсцедування, спонтанний піопневмоторакс, парапневмонічний плеврит. 4 -кратне зростання титру АТ до легіонели.
n Клебсієла-пневмонія - Гостра - Затяжна Озноб, кашель із тягучим харкотинням, хвилеподібна чи періодична температура тіла Притуплення перкуторного тону, дихання бронхіальне, вологі звучні хрипи. Рентгенологічно: затемнення Бактеріологічне дослідження харкотиння – підтвердження діагнозу.
n Аспергільозна Початок гострий. Гектична температура тіла, біль в грудях, кашель з мокротинням, схуднення, анемії. - Затяжний процес асперігільозної пневмонії: n Більше 4 -х тижнів n На рентгенограмі – вогнищева та перибронхіальна інфільтрація сегментарної локалізації протягом 4 -х тижнів n Бронхоскопічно – локальний сегментарний бронхіт n Лабораторні ознаки запального процесу (лейкоцитоз. Підвищ ШОЕ, сіалових кислот, серомукоїду) n Імунологічні порушення (підвищення Ig. A, зниження Ig. M, C 4, C 5, С 9 – компонентів) n Обов’язкове одужання від 3 -х місяців до 1 року
Характер рентгенологічних змін у залежності від етіології пневмонії Дольова, багатодольова інфільтрація Бактерії, гриби Вогнищево-зливна двостороння інф. Вірус грипу, пневмокок, стафілокок, легаонела Негомогенна вогнищева та багатовогнищева Віруси, мікоплазма, стафі лококи Інтерстиціальні зміни Сальмонела, гриби, мікобактерії Інфільтр. +інтерстиц. зміни Віруси, мікоплазми, пневмоцити Інтерстиц. зміни у вигляді сітки Хламідії, пневмоцити, віруси Інфільтр. +інтерстиц. зміни+ лімфоаденопатія Мікоплазми, хламідії, вірус кору Множинні перибронхіальні легкодренажні абсцеси Стафілокок Однакові крупні абсцеси легень Клебсієла
Плеврит - запалення плевральних листків з утворенням на їх поверхні фібрину (сухий) або накопичення в плевральній порожнині ексудату різного характеру (ексудативний)
Етіолгія n Інфекційні - Бактерії - Мікобактерії туберкульозу - Віруси, рикетсії, мікоплазми - Гриби - Збудники сифілісу, бруцельозу, черевного та поворотного тифу, туляремії
n Неінфекційні причини - Пухлини - Васкуліти, системні захворювання сполучної тканини - Травми, оперативні втручання - Тромбоемболія легеневої артерії, інфаркт легень - Інші причини (лейкози, панкреатитферментний плеврит, геморагічні діатези)
Патогенетичні ланки плевритів n Безпосереднє ураження плеври збудником n Підвищення проникності судин під впливом токсичних продуктів n Порушення циркуляції лімфи внаслідок блокади її відтоку n Місцеві та загальні алергічні реакції n Імунологічні порушення
Класифікація плевритів n По етіології - Інфекційні а) пневмококовий, б) стафілококовий, в) стрептококовий, г) іншої бактеріальної природи, д) вірусний, е) грибковий - Неінфекційні а) карциноматозний, б) ревматичний, в) панкреатичний, г) при емболії легеневої артерії, д) при паразитарних захворюваннях, е) алергічний
n По перебігу - Гострий - Підгострий - Хронічний За локалізацією випоту: - Дифузний - Осумкований А) верхівковий, б) пристінковий, в) костодіафрагмальний, г)діафрагмальний, е) міждольовий
Клініка госторого сухого плевриту n Біль в грудній клітці, що посилюється при кашлі. При діафрагмальному плевриті – ірадіює у верхню половину живота, по ходу діафрагмального нерва (в ділянку шиї). n Температура субфебрильна n Симптом Штернберга і Потенджера – болісність при пальпації трапецевидного та великого грудного м’язів.
n Аускультативно: шум тертя плеври. n Дихальна рухомість обмежена n Рентгенологічно: Не розпізнається n Позитивні реакції на запальний процес: збільшення ШОЕ, лейкоцитоз, підвищений вміст фібрину, серомукоїду, сіалових кислот.
Ексудативний плеврит. Патогенетичні чинники. - Рідина в плевральній порожнині стискає легеню => задишка. - Накопичення великої кількості рідини супроводжується розгладжуванням міжреберних проміжків, вип’ячуванням ураженої половини грудної клітки, відставання її при акті дихання. - Голосове тремтіння над рідиною не визначається або різко ослаблене.
Скарги та огляд хворих при ексудативному плевриті n Кашель сухий n Задишка n Відчуття тяжкості в грудній клітині n Підвищена температура тіла n Загальна слабкість Огляд: 1. Вимушене положення хворого на ураженій стороні. 2. Часте дихання. 3. Блідість шкіряних покривів. 4. Відставання при диханні грудної клітини та її вибухання в зоні ексудату, вибухання міжреберних проміжків.
Пальпація та перкусія при ексудативному плевриті n 1. Голосове тремтіння відсутнє в зоні ексудату. n Голосове тремтіння посилене над компресійним ателектазом (трикутник Гарлянда) - Порівняльна: в зоні ексудату – абсолютна тупість, над ексудатом, де трик. Гарлянда – притуплений тимпаніт. - Топографічна перкусія: верхня межа ексудату розміщується по лінії Соколова-Еліса Дамуазо.
Топографічні орієнтири n Знизу трикутник Гарлянда (а) обмежений верхньою межею тупості над ексудатом, збоку – хребтом, зверху – перпендикуляром до хребта, що проведений від найвищої точки верхньої межі тупості. n Трикутник Рауфаса
Аускультативні зміни при ексудативному плевриті 1. Дихання над зоною ексудату – ослаблене везикулярне або зовсім відсутнє. 2. Над трикутником Гарлянда – ослаблене, бронхіальне дихання, крепітація. 3. Бронхофонія над зоною ексудату -над ексудатом відсутня. 4. Над компресійним ателектазом (Гарлянда) – посилене.
n Рентгенограма легень при правосторонньому ексудативному плевриті.
Рентгенологічно: n Дифузне накопичення рідини в плевральній порожнині 2 проекції – визначення осумкованої рідини Плевральна пункція n Проба Рівальта (білка більше 3%) n Бактеріологічне дослідження n Цитологічне дослідження (цитопатологія) n УЗД – показує шар рідини n Лабораторно: реакції на запальний процес - Збільшення ШОЕ - Ядерний зсув вліво - Підвищення вмісту фібрину, серомукоїду, сіалових кислот, фібрину.

