Опухоли органов мочеполовой системы Рак мочевого пузыря Рак










































































































































































































































































































































































































21594-opuholi_organov_mps_394sl.st..ppt
- Количество слайдов: 394
Опухоли органов мочеполовой системы
Рак мочевого пузыря Рак мочевого пузыря - составляет, по данным ВОЗ, около 3% от всех злокачественных новообразований или 70% от всех опухолей мочевого тракта.
Актуальность Рак мочевого пузыря составляет 3 % рака всех локализаций или 70% от всех опухолей мочевого тракта. В группу риска попадают люди, организм которых подвергается воздействию ароматических аминов, а также страдающие хроническим циститом.
Рак мочевого пузыря представляет собой заболевание обусловленное возникновением в слизистой оболочке или в стенке мочевого пузыря злокачественных новообразований
Рак мочевого пузыря Составляет 3% рака всех локализаций. Риск заболевания выше у людей, работающих с ароматическими аминами, а также страдающих хроническим циститом. Наиболее часто встречается переходно-клеточный рак, реже плоскоклеточный и аденокарцинома. Болезнь может проявляться в виде папиллярных разрастании с малигнизацией или солидной, изъязвленной, инвазирующей опухоли. Различают рак мочевого пузыря in situ, поверхностный рак (Т1–2) и рак, инвазирующий мышечный слой и окружающие ткани (ТЗ-4). При папиллярной форме рака мочевого пузыря нередко наблюдается мультицентричный рост. Поверхностный рак мочевого пузыря редко образует метастазы. При дальнейшем развитии опухоли поражаются тазовые (N1–2), забрюшинные лимфатические узлы (N3–4), а также легкие, печень, кости.
Причины развития рака. Этиология опухолей мочевого пузыря до настоящего времени во многом не выявлена. Известны отдельные моменты, влияющие на возникновение рака. В частности доказано канцерогенное влияние производных ароматических аминов. Имеются сообщения о влиянии на развитие рака хронических воспалительных изменений в мочевом пузыре, таких как лейкоплакия, интерстициальный цистит, простая язва и др.
Интересный факт Рак мочевого пузыря чаще бывает у любителей мяса. Ученые не нашли никакой связи между развитием рака мочевого пузыря и потреблением гамбургеров, хот-догов или переработанного мяса. Бекон содержит химикалии, называемые нитрозаминами и гетероциклическими кислотами, которые способствуют возникновению рака.
Причины развития рака. Этиология опухолей мочевого пузыря до настоящего времени во многом не выявлена. Известны отдельные моменты, влияющие на возникновение рака. В частности доказано канцерогенное влияние производных ароматических аминов. Имеются сообщения о влиянии на развитие рака хронических воспалительных изменений в мочевом пузыре, таких как лейкоплакия, интерстициальный цистит, простая язва и др.
Классификация. делятся на доброкачественные (аденому, эндометриому, папиллому) злокачественные (папиллярный, солидный и железистые раки, хорионэпителиому, гипернефрому). Из доброкачественных эпителиальных опухолей мочевого пузыря наиболее часто встречаются папилломы ворсинчатого строения на длинной узкой ножке, исходят из слизистой оболочки мочевого пузыря, склонны к рецидивам. Атипичная папиллома на широком основании рассматривается как начальная стадия рака.
Классификация переходно-клеточный рак (развивающийся из переходного эпителия мочевых путей) плоскоклеточный рак аденокарцинома (опухоль, происходящая и построенная из железистого эпителия) папиллярные разрастания (нелинейные пристеночные включения) инвазирующая опухоль
Классификация переходно-клеточный рак (развивающийся из переходного эпителия мочевых путей) плоскоклеточный рак аденокарцинома (опухоль, происходящая и построенная из железистого эпителия) папиллярные разрастания (нелинейные пристеночные включения) инвазирующая опухоль
Рак мочевого пузыря Морфологическая градация (рекомендации ВОЗ 2004г.) Уротелиальная дисплазия Уротелиальная карцинома in situ Уротелиальная папиллома Уротелиальная папиллома инвертированный тип Папиллярная уротелиальная неоплазма низкого злокачественного потенциала Папиллярная уротелиальная карцинома низкой степени злокачественности Папиллярная уротелиальная карцинома высокой степени злокачественности
Симптомы. Клиническое течение заболевания во многом определяется стадией заболевания. Начальные стадии обычно протекают бессимптомно и не вызывают беспокойства у больного. Одним из первых признаков заболевания является гематурия (примесь крови в моче). По мере роста опухоли появляется дизурия, она может быть связана с присоединением инфекции, хронической задержкой мочи. Постепенно появляются боли над лоном.
Симптомы. Клиническое течение заболевания во многом определяется стадией заболевания. Начальные стадии обычно протекают бессимптомно и не вызывают беспокойства у больного. Одним из первых признаков заболевания является гематурия (примесь крови в моче). По мере роста опухоли появляется дизурия, она может быть связана с присоединением инфекции, хронической задержкой мочи. Постепенно появляются боли над лоном.
Симптомы появление крови в моче развитие острой задержки мочи частое болезненное мочеиспускание боли над лоном пиелонефрит хроническая почечная недостаточность
Метастазирование Рак мочевого пузыря метастазирует в основном по лимфатическим путям, а главное, склонен быстро распространяться на окружающие пузырь ткани. Поражаются - тазовые - забрюшинные лимфатические узлы. Отдаленные метастазы наблюдаются сравнительно редко, поражаются -легкие -печень -кости. Рецидивы опухоли возникают как после лучевого лечения, так и после хирургических вмешательств и подлежат паллиативному облучению или симптоматической терапии. Гематогенное метастазирование при раке мочевого пузыря
Первым симптомом болезни в 75% случаев является гематурия, причина которой должна быть установлена в каждом случае. Другие симптомы болезни -частое мочеиспускание, гидронефроз, воспалительные осложнения (цистит, пиепонефрит). Диагноз. Основное значение среди диагностических методов имеет цистоскопия с биопсией. Дополнительными диагностическими методами являются экскреторная урография, компьютерная томография, ультразвуковое исследование и т. д.
Диагностика. В распознавании новообразований мочевого пузыря основная роль принадлежит цистоскопии, УЗИ; прочие методы играют вспомогательную роль. Цитологическое исследование осадка мочи основано на биологических и морфологических особенностях раковых клеток, которые атипичны по форме, размерам и окраске. Биопсию производят при помощи операционного цистоскопа - резектосокпа. Это ценный метод, особенно при дифференциальной диагностике опухоли с трофической язвой пузыря, туберкулезом, лейкоплакией и другими поражениями. Рентгенологическое исследование следует начинать с экскреторной урографии, которая позволяет подтвердить наличие новообразования в пузыре, установить его отношение к мочеточниковом устью.
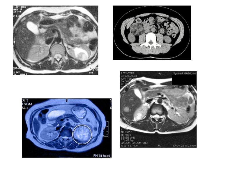
Диагностика. Для подтверждения опухолевой инфильтрации помогает КТ (компьютерная томография) и МРТ (магнитно-резонансная томография). Довольно часто при раке мочевого пузыря встречаются метастазы в печень, легкие. Поэтому обязательно необходимо исследовать эти органы (УЗИ, рентген органов грудной клетки). Для диагностики плоских эндоэпителиальных опухолей (рак in situ) применяется флюоресцентная диагностика. Она основана на избирательном накоплении протопорфирина IX в опухолевых клетках при внутрипузырном введении 5-аминолевуленовой кислоты. Флюоресценция возникает при освещении мочевого пузыря сине-фиолетовым свето
Диагностика. Для подтверждения опухолевой инфильтрации помогает КТ (компьютерная томография) и МРТ (магнитно-резонансная томография). Довольно часто при раке мочевого пузыря встречаются метастазы в печень, легкие. Поэтому обязательно необходимо исследовать эти органы (УЗИ, рентген органов грудной клетки). Для диагностики плоских эндоэпителиальных опухолей (рак in situ) применяется флюоресцентная диагностика. Она основана на избирательном накоплении протопорфирина IX в опухолевых клетках при внутрипузырном введении 5-аминолевуленовой кислоты. Флюоресценция возникает при освещении мочевого пузыря сине-фиолетовым свето
Диагностика. В распознавании новообразований мочевого пузыря основная роль принадлежит цистоскопии, УЗИ; прочие методы играют вспомогательную роль. Цитологическое исследование осадка мочи основано на биологических и морфологических особенностях раковых клеток, которые атипичны по форме, размерам и окраске. Биопсию производят при помощи операционного цистоскопа - резектосокпа. Это ценный метод, особенно при дифференциальной диагностике опухоли с трофической язвой пузыря, туберкулезом, лейкоплакией и другими поражениями. Рентгенологическое исследование следует начинать с экскреторной урографии, которая позволяет подтвердить наличие новообразования в пузыре, установить его отношение к мочеточниковом устью.
Диагностика Ультразвуковое исследование мочевого пузыря Цистоскопия Цистография Гистологические и цитологические методы диагностики рака Магнитно-ядерный резонанс и компьютерная томография
Методы диагностики Ультразвуковое исследование мочевого пузыря Цистоскопия
Методы диагностики Цистография Гистологические и цитологические методы диагностики рака
Клиника злокачественных.(у женщин) Боль в канале постоянного характера, после мочеиспускания отмечается жжение. Большие опухоли затрудняют акт мочеиспускания или вызывают недержание мочи. Изъязвленные формы рака сопровождаются кровомазанием или уретроррагией. В паховых областях увеличенные плотные лимфатические узлы.
Диагностика. УЗИ цистоскопия цистография Компьютерная магниторезонансная томография МРТ (магнитно-резонансная томограмма). Рак мочевого пузыря.
Опухоли мочевого пузыря Рак мочевого пузыря встречается чаще других опухолей этой области. Опухоль мочевого пузыря в области передней стенки.
Вид типичной фиброэпителомы или доброкачественной папилломы при цистоскопии ( из атласа А.П. Фрумкина). Ворсинчатый рак мочевого пузыря ( из атласа А.П. Фрумкина).
Лечение рака мочевого пузыря На современном этапе в лечении рака мочевого пузыря используется несколько основных методов: хирургическое лечение (удаление опухоли) химиотерапия (назначение противоопухолевых препаратов) радиотерапия (облучение опухоли источниками радиации)
Лечение включает различные оперативные вмешательства, лучевую и лекарственную терапию. При раке мочевого пузыря in situ и поверхностном раке стадии Т1 применяют трансуретральную резекцию мочевого пузыря, а в стадии Т2 — частичную резекцию мочевого пузыря. При инвазирующей опухоли значительных размеров (ТЗ) рекомендуется цистэктомия с тазовой лимфаденэктомией или без нее. Иногда проведению такой операции предпочитают химио- и лучевую терапию, а затем при необходимости производят операцию. При раке мочевого пузыря стадии Т4, вовлечении забрюшинных лимфатических узлов (МЗ), отдаленных метастазах основное значение имеет химиотерапия.
Повторная ТУР мочевого пузыря Повторная ТУР мочевого пузыря, выполненная через 2 - 8 недель после первой операции, позволяет выявить не удаленные при первой операции опухоли у 23 – 75% больных. ТУР-биопсия, произведенная с учетом «карты мочевого пузыря», составленной до первой операции, позволяет установить истинную стадию («Т») заболевания и определить дальнейшую тактику лечения
Показания к повторной ТУР мочевого пузыря Неполная первичная ТУР При первичной ТУР удалялись множественные или большие опухоли В удаленном материале отсутствует мышечный слой Опухоли Та-Т1 G3
Результаты рандомизированных исследований по адъювантной внутрипузырной химиотерапии профилактическая химиотерапия снижает частоту возникновения рецидивов; не отмечается влияния химиотерапии на частоту прогрессии; не отмечено положительного влияния ХТ на отдаленные результаты. ни один препарат не имеет преимущества перед другими
Лечение. Хирургическое лечение. Выбор хирургического лечения указанного новообразования целиком зависит от стадии заболевания. Все виды операций можно разделить на органосохраняющие и органоуносящие. К первым относятся трансуретральная резекция (ТУР) и открытое оперативное удаление части органа - резекция мочевого пузыря, ко вторым - цистэктомия. С точки зрения качества жизни больных, подлежащих радикальному оперативному лечению, безусловное преимущество имеют органосохраняющие операции. После них сохраняется самостоятельное мочеиспускание, потенция, операции технически проще, чем цистэктомия.
Лечение. Основным вопросом, который приходится решать после выполнения радикальной цистэктомии, является отведение мочи. На сегодняшний день можно выделить 3 варианта: 1.) Наружное отведение мочи (уретерокутанеостомия, кишечная пластика с формированием "сухих" и "влажных" уростом); 2.) Внутреннее отведение мочи в непрерывный кишечник (уретеросигмостомиия, операция Mainz-pouch II); 3.) Создание кишечных резервуаров, выполняющих функцию мочевого пузыря и обеспечивающих возможность самостоятельного контролируемого мочеиспускания (различные варианты конструирования ортотопического мочевого пузыря, анастомозируемого с уретрой).
Хирургическое лечение является основным методом лечения рака мочевого пузыря. Техника операции зависит от: конкретного вида рака степени поражения самого мочевого пузыря
Целью является полное удаление опухоли и получение полной информации о патоморфологической стадии опухоли, степени ее дифференцировки, а также оценка состояния макроскопически нормальной слизистой оболочки, окружающей опухоль и расположенной вдали от нее. Для этого берется биопсия стенки мочевого пузыря из нескольких удаленных от опухоли участков. Трансуретральная резекция мочевого пузыря
Резекция мочевого пузыря При раке мочевого пузыря в стадиях Т2-3 в условиях NХ; N0; N1 показана резекция, объем которой определяют в зависимости от стадии бластоматозного процесса и локализации опухоли, но обязательно соблюдая онкологический принцип максимального радикализма.
Лечение. • Иммунотерапия. Для этих целей применяют вакцину БЦЖ., которую вводят внутрипузырно. При этом происходит стимуляция иммунитета, повышается противопухолевая активность. • Химиотерапия. С внедрением в практику иммунотерапии, химиотерапия при поверхностном раке мочевого пузыря стала использоваться значительно реже. В основном применяется адьювантная внутрипузырная химиотерапия. Обычно ее назначают после оперативных вмешательств (ТУР), т.е. речь идет о лекарственной химиотерапии с целью профилактики рецидива.
Лечение рака мочевого пузыря На современном этапе в лечении рака мочевого пузыря используется несколько основных методов: хирургическое лечение (удаление опухоли) химиотерапия (назначение противоопухолевых препаратов) радиотерапия (облучение опухоли источниками радиации)
Хирургическое лечение является основным методом лечения рака мочевого пузыря. Техника операции зависит от: конкретного вида рака степени поражения самого мочевого пузыря
Если в ходе операции мочевой был полностью удален мочевой пузырь Проводится операция 1.по протезированию мочевого пузыря из сегмента кишечника 2.операция по отведению тока мочи в кишечник или через наружную стому
Лечение. Хирургическое лечение. Выбор хирургического лечения указанного новообразования целиком зависит от стадии заболевания. Все виды операций можно разделить на органосохраняющие и органоуносящие. К первым относятся трансуретральная резекция (ТУР) и открытое оперативное удаление части органа - резекция мочевого пузыря, ко вторым - цистэктомия. С точки зрения качества жизни больных, подлежащих радикальному оперативному лечению, безусловное преимущество имеют органосохраняющие операции. После них сохраняется самостоятельное мочеиспускание, потенция, операции технически проще, чем цистэктомия.
Лечение. Основным вопросом, который приходится решать после выполнения радикальной цистэктомии, является отведение мочи. На сегодняшний день можно выделить 3 варианта: 1.) Наружное отведение мочи (уретерокутанеостомия, кишечная пластика с формированием "сухих" и "влажных" уростом); 2.) Внутреннее отведение мочи в непрерывный кишечник (уретеросигмостомиия, операция Mainz-pouch II); 3.) Создание кишечных резервуаров, выполняющих функцию мочевого пузыря и обеспечивающих возможность самостоятельного контролируемого мочеиспускания (различные варианты конструирования ортотопического мочевого пузыря, анастомозируемого с уретрой).
КОНСЕРВАТИВНЫЕ МЕТОДЫ ЛЕЧЕНИЯ РАКА МОЧЕВОГО ПУЗЫРЯ Основным методом лечения поверхностных папиллярных опухолей (ТА, Т1) является оперативный в объеме ТУР или трансуретральной электрокоагуляции опухолей. Однако главным недостатком чисто хирургического подхода является высокая частота рецидивов заболевания, которая по данным ряда авторов достигает 90%. С увеличением числа рецидивов возрастает вероятность прогрессии опухоли, т.е. переход ее из поверхностной в инвазивную (прогрессия по Т) и/или увеличение степени анаплазии (прогрессия по G) опухолевых клеток. Проведение профилактической химиотерапии позволяет снизить частоту рецидивов после ТУР на 30-40%.
Лечение. • Иммунотерапия. Для этих целей применяют вакцину БЦЖ., которую вводят внутрипузырно. При этом происходит стимуляция иммунитета, повышается противопухолевая активность. • Химиотерапия. С внедрением в практику иммунотерапии, химиотерапия при поверхностном раке мочевого пузыря стала использоваться значительно реже. В основном применяется адьювантная внутрипузырная химиотерапия. Обычно ее назначают после оперативных вмешательств (ТУР), т.е. речь идет о лекарственной химиотерапии с целью профилактики рецидива.
Нередко внутрипузырная химиотерапия целесообразна также при ранних стадиях болезни в случаях мультицентрично растущего рака, при этом химиотерапию целесообразно проводить после операций. Химиотерапия включает внутрипузырное или системное введение цитостатических препаратов. Внутрипузырно (в 100 мл изотонического раствора натрия хлорида сроком на 1 ч) вводят один из следующих препаратов (цисплатин 60 мг или адриамицин 80 мг 1 раз в месяц; тиофосфамид 60 мг 1 раз в неделю, 3 дозы; митомицин С 40 мг 1 раз в 2 мес). Лечебный эффект достигается у 50–70% больных. Для системного лечения рекомендуется цисппатин (60–100 мг/м2 каждые 3 нед) или комбинации цисплатина, адриамицина и 5-фторурацила (циклофосфана). Пятилетняя выживаемость при стадиях Т 1–2 составляет 50–80%, стадиях ТЗ-4–20–30%.
Нередко внутрипузырная химиотерапия целесообразна также при ранних стадиях болезни в случаях мультицентрично растущего рака, при этом химиотерапию целесообразно проводить после операций. Химиотерапия включает внутрипузырное или системное введение цитостатических препаратов. Внутрипузырно (в 100 мл изотонического раствора натрия хлорида сроком на 1 ч) вводят один из следующих препаратов (цисплатин 60 мг или адриамицин 80 мг 1 раз в месяц; тиофосфамид 60 мг 1 раз в неделю, 3 дозы; митомицин С 40 мг 1 раз в 2 мес). Лечебный эффект достигается у 50–70% больных. Для системного лечения рекомендуется цисппатин (60–100 мг/м2 каждые 3 нед) или комбинации цисплатина, адриамицина и 5-фторурацила (циклофосфана). Пятилетняя выживаемость при стадиях Т 1–2 составляет 50–80%, стадиях ТЗ-4–20–30%.
ЭПИДЕМИОЛОГИЯ опухолей почек • Опухоли почки у взрослых составляют от 2 до 3 % среди всех раковых заболеваний, а среди всех злокачественных заболевание органов мочеполовой системы занимают 3 место, уступая по частоте раку простаты и мочевого пузыря. • болеют раком почки почти в 2 раза чаще, чем женщины. В России это соотношение составляет 8,3 и 4,3 на 100 тыс. взрослого населения. •Заболеваемость раком почки с каждым годом увеличивается: в 1989 г. в России было вновь выявлено 6702 больных, а в 1996 году уже 11413, т.е. на 70% больше. Это объясняется улучшением диагностики, в частности широким использованием УЗИ. • В то же время увеличилось число больных с запущенным заболеванием, когда опухоль выходит за пределы почки.
Классификация опухолей почки Опухоли почечной паренхимы А. Доброкачественные опухоли: аденома,фиброма, ангиома, миксома, лимфангиома. Б. Злокачественные опухоли: рак, мио-, липо-, ангиосаркома, опухоль Вильмса. В. Вторичные (метастатические) злокачественные опухоли почек. Опухоли почечной лоханки. А. Доброкачественные опухоли: папиллома, ангиома. Б. Злокачественные опухоли: папиллярный рак, плоскоклеточный рак, слизисто-железистый рак, саркома.
2. Опухоли почечной лоханки 2.1. Доброкачественные опухоли: папиллома, ангиома, лейомиома. 2.2. Злокачественные опухоли: переходно-клеточный рак, плоскоклеточный рак, слизисто-железистый рак, саркома.
Патологическая анатомия . Злокачественная опухоль почки может поражать любые ее сегменты. Величина опухоли почки может быть различной: от едва видимых простым глазом узелков до образований огромных размеров.
Гистологически по классификации опухолей и опухолеподобных образований почек различают: 1. Эпителиальные опухоли почечной паренхимы: 1) аденома;2) рак. 2. Эпителиальные опухоли почечной лоханки:1) переходно-клеточная папиллома;2) переходно-клеточный рак;3) плоскоклеточный рак;4) аденокарцинома. 3. Нефробластические опухоли:1) нефробластома:- типичная нефробластома;- эпителиальная нефробластома;- мезенхимальная нефробластома;2) мезобластическая нефрома. 4. Неэпителиальные опухоли:1) доброкачественные:ангиомиолипома;другие;2) злокачественные. 5. Смешанная группа:1) юкстагломерулярно-клеточная опухоль;2) нейробластома и ганглионеврома. 6. Вторичные опухоли. 7. Неклассифицируемые опухоли. 8. Опухолеподобные процессы:1) почечные дисгенезии;2) сосудистые пороки развития; 3) кисты;4) гиперплазия почечных канальцев;5) ксантогранулематозный пиелонефрит и малакоплакия;6) прочие.
Не прорастают в соседние ткани и органы, не метастазирают и редко вызывают нарушение функции органа. В большинстве случаев доброкачественные опухоли почки ничем себя не проявляют и обнаруживаются случайно при исследовании почек по совершенно другому поводу. Доброкачественные опухоли почек не требуют немедленного лечения. Доброкачественные опухоли почки
небольшого размера (диаметром от 0,1—0,2 до 1 см) встречаются обычно в виде одиночных, реже множественных округлых образований, расположенных в корковом веществе почки, плотная, с медленным ростом, протекает бессимптомно. Микроскопически выглядит похожей на низкодифференцированный рак почки. Причина образования аденомы почки неизвестна. по данным одного исследования, основанным на вскрытиях, она встречается в 7% - 22% случаев. В редких случаях, когда размеры опухоли достигают такой величины, что она начинает сдавливать кровеносные сосуды или мочевыводящие пути, появляются симптомы, схожие с симптомами рака почки. Аденома почки
Аденома почки
Протекает бессимптомно и может достигать огромных размеров, чаще встречается у мужчин. Под микроскопом клетки онкоцитомы почки выглядят как клетки при начальных стадиях рака почкии. Поэтому специалисты расценивают ее как предрак. Относительно патогномоничным для онкоцитомы признаком считается округлые, четко отграниченные коричневые или рыжевато-коричневые образования, присутствие рубца в центре опухоли Обычно эта опухоль выявляется случайно, при УЗИ, КТ или МРИ. Онкоцитома почки
При гистологическом исследовании определяются очаги клеток, кисты или тубулярные агрегаты, представленные полигональными клетками с гранулярной эозинофильной цитоплазмой. Митозы встречаются редко. При электронной микроскопии выявляют множество митохондрий. У онкоцитом имеется тенденция к инва-зивному росту в окружающие структуры и метастазированию. Онкоцитома почки
Онкоцитома почки
Ангиомиолипома почки это редкая доброкачественная опухоль почки, вызванная врожденной генетической мутацией. Она может встречаться изолировано, но чаще всего сочетается с генетическим заболеванием, которое называется туберозный склероз. Туберозный склероз характеризуется небольшими опухолями в кровеносных сосудах, приводя к появлению бугорков на коже, а также олигофренией, эпилептическими приступами, кистами в почках, печени и поджелудочной железе, и, в некоторых случаях, раком почки. Приблизительно у 80% людей, страдающих туберозным склерозом, выявляется ангиомиолипома почки.
•Вызвана врожденной генетической мутацией. • Это заболевание может встречаться изолированно, но чаще всего сочетается с такой редкой генетической патологией, как туберозный склероз. • При туберозном склерозе опухоли могут образовываться в коже, почках, головном мозге и других органах. Ангиомиолипома(гамартома) почки
У больных без туберозного склероза эта опухоль чаще всего встречается среди женщин среднего возраста. В большинстве случаев ангиомиолипома обнаруживается случайно, при УЗИ или КТ почек. Лечение ангиомиолипомы почки зависит от ее размеров и тяжести проявления симптомов. Если опухоль небольшая и не вызывает каких-либо проявлений, то лечения не требуется. В этом случае больным рекомендуется периодически наблюдаться у врача и проводить исследование почек – УЗИ. Больным с довольно большой ангиомиолипомой ввиду риска спонтанного разрыва рекомендуется оперативное вмешательство, например, частичная нефрэктомия или артериальная эмболизация.
Изолировано (без туберозного склероза) ангиомиолипома почки чаще встречается у женщин среднего возраста. В большинстве случаев ангиомиолипому почки находят при компьютерной томографии пациентов с болью в животе, неясной этиологии, страдающих желудочно-кишечными расстройствами или при внезапном кровотечении, которое может быть вызвано разрывом ангиомиолипомы почки. Пациенты, с ангиомиолипомой почки небольших размеров не вызывающей каких-либо симптомов, обычно находятся под наблюдением уролога и не требуют терапии. Вопрос об оперативном вмешательстве – удалении ангиомиолипомы почки рассматривают при наличии роста опухоли и появлении симптомов. Из-за риска спонтанного разрыва ангиомиолипомы и возникновения опасного для жизни кровотечения, больным с ангиомиолипомой почки большого размера показано хирургическое лечение – например, резекция почки или артериальная эмболизация.
Фиброма почки Это довольно редкий вид доброкачественных опухолей почек, который чаще встречается у женщин. Причины ее возникновения неизвестны. Клинически фиброма почки никак не проявляется. В основном она развивается на периферии почки . Хотя фиброма почки является доброкачественной опухолью, не существует специальных критериев, помогающих отличить ее от рака почки. При таких сомнениях в диагнозе большинство врачей выбирают хирургический метод лечения, как правило, резекцию почки или радикальную нефрэктомию.
Липома почки возникает из клеток жировой капсулы почек или окружающих ее тканей. Обычно встречается у женщин среднего возраста. Липома может достигать больших размеров и вызывать боль и гематурию. Рекомендуется ее оперативное удаление с помощью резекции почки или нефрэктомии.
Диагностика. При осмотре и пальпации обычно выявляют лишь далеко зашедшие опухоли почки. О большой опухоли почки может свидетельствовать деформация живота. Общие анализы крови: повышение СОЭ, анемию. Анализы мочи обнаруживают эритроцитурию. Могут наблюдаться протеинурия и лейкоцитурия, особенно при сочетании опухоли почки с пиелонефритом.
радиоизотопной диагностике опухолей почки. С этой целью применяют статическую нефросцинтиграфию (или сканирование почек). ультразвуковое сканирование для диагностики опухолей и кист почки. Метод безвреден, безопасен, не требует предварительной подготовки больного и обладает высокой диагностической информативностью.
Рентгенологическое обследование больного начинают с обзорной урографии, выявляющей изменения конфигурации почки- и ее положения, петрификаты в ткани опухоли. В ряде случаев, когда по обзорной рентгенограмме нельзя судить о контурах почки, прибегают к томографии или пневмо-ретроперитонеуму, с помощью которых получают более рельефное изображение тени почки. Экскреторная урография позволяет уточнить как функциональные, так и морфологические особенности почки, пораженной опухолью, и, кроме того, выявить состояние противоположной почки.
Эпидемиология Несмотря на огромное количество исследований, посвященных раку почки, этиология этой формы опухолей до сих пор не ясна. Однако выделено несколько групп факторов риска, способствующих развитию данного новообразования. Рак почки занимает 10 место по уровню заболеваемости среди злокачественных новообразований. С 1992 по 1998 гг. заболеваемость данным видом опухоли в России возросла с 6.6 до 9.0 на 100.000 населения. Данные о смертности при раке почки в нашей стране отсутствуют. В США в течение 1998 г. было зарегистрировано 30 000 новых случаев заболевания, при этом опухоль почки послужила причиной смерти 12 000 человек. Пол и возраст Заболеваемость почечно-клеточным раком зависит от возраста и достигает максимума к 70 годам. Мужчины страдают данной патологией в два раза чаще, чем женщины. Курение На сегодняшний день доказано, что курение табака является одним из наиболее значимых факторов риска развития различных злокачественных новообразований. Риск появления опухоли почки у курильщиков обеих половых групп возрастает с 30% до 60% по сравнению с некурящим населением. При отказе от курения вероятность развития заболевания снижается. По данным ряда когортных международных исследований, в течение 25 лет после отказа от курения риск появления рака почки снижается на 15%. Ожирение В большинстве исследований подтверждено неблагоприятное влияние чрезмерной массы тела на вероятность развития рака почки. Ожирение приводит к увеличению частоты заболеваемости почечно-клеточным раком на 20%. Колебания веса, а также значительное увеличение массы тела у взрослых являются независимыми факторами риска развития данной патологии. Механизм влияния ожирения на развитие рака почки до сих пор не ясен. Возможно, это связано с увеличением концентрации эндогенных эстрогенов и/или с биологической активностью инсулиноподобных факторов роста . Артериальная гипертензия В нескольких эпидемиологических исследованиях было отмечено увеличение риска развития рака почки у больных артериальной гипертензией на 20%. Остается открытым вопрос, является ли причиной развития почечно-клеточного рака собственно гипертензия или развитие опухоли потенцируется применением разнообразных гипотензивных препаратов .
Лекарственные препараты Многие авторы связывают появление почечно-клеточного рака с использованием диуретических препаратов. Риск развития данной патологии у больных, получавших мочегонные средства по различным показаниям, составляет более 30%. Было установлено, что препараты, содержащие амфетамин, в значительной степени увеличивают риск развития рака почки. В литературе имеются немногочисленные сообщения о том, что прием фенацетин-содержащих анальгетических препаратов увеличивает вероятность заболевания опухолью почки . Заболевания почек В больших эпидемиологических исследованиях не было выявлено достоверного увеличения частоты заболеваемости раком почки у больных мочекаменной болезнью и пациентов с кистами почек. Отмечен повышенный риск развития почечно-клеточного рака при терминальной стадии хронической почечной недостаточности. Сахарный диабет В ряде работ отмечено увеличение заболеваемости почечно-клеточным раком у больных, страдающих сахарным диабетом. Однако показатели смертности от рака почки в данной группе аналогичны таковым в популяции. Тесная взаимосвязь между сахарным диабетом, ожирением и гипертензией затрудняет оценку истинного влияния каждого из этих заболеваний на частоту развития опухолей почки. Репродуктивные и гормональные факторы Потенциальное патогенетическое значение гормональных факторов в развитии рака почки доказано на животных моделях. В здоровой и малигнизированной тканях почки животных моделей выявлены рецепторы половых гормонов. Получены данные о возможности развития эстроген-индуцированной аденомы и карциномы почки у хорьков. Питание В эпидемиологических исследованиях отмечена корреляция частоты возникновения рака почки с употреблением мяса, растительных продуктов, а также маргарина и масла. Однако достоверного влияния конкретных продуктов питания на заболеваемость почечно-клеточным раком не выявлено. Возможно, патогенетическое значение имеют не сами исходные продукты, а вещества, выделяющиеся при приготовлении пищи. Доказанным канцерогенным эффектом обладают пиролизисные составляющие, в частности, гетероциклические амины, вырабатывающиеся при высокотемпературной обработке мяса. Употребление овощей и фруктов, по данным большинства авторов, способствует снижению риска развития рака почки. Влияние употребления алкоголя, кофе и чая на заболеваемость опухолями почки не изучено. Профессия Почечно-клеточный рак не является профессиональным заболеванием. Однако опубликованы данные о повышенном риске развития данной патологии у лиц, занятых на ткацком, резиново-каучуковом, бумажном производстве, имеющих контакт с промышленными красителями, нефтью и её производными, промышленными ядохимикатами и солями тяжелых металлов
Классификация злокачественных опухолей МВП Первичные- наиболее часто встречается аденокарцинома вторичные - в результате гематогенного или лимфогенного распространения (рак, саркома, меланома, хорионэпителиома). (Смешанная опухоль — так называемая эмбриональная нефрома (опухоль Вильямса) — встречается у детей в почке)
Классификация ЗЛОКАЧЕСТВЕННЫХ ОПУХОЛЕЙ ПОЧКИ Морфологическая классификация. 1) светлоклеточный РП (классический гипернефроидный рак); 2)зернистоклеточный РП ( темноклеточный рак); 3)веретеноклеточный РП (полиморфноклеточный или солидно- тубулярный рак); 4)железистый РП. Чаще всего встречается первый вариант строения первичного РП. В последние годы в морфологическую характеристику внесена градация злокачественности (гистопатологическая градация): Gx - степень дифференциации не может быть определена; G1 - высокодифференцированная опухоль; G2 - умеренно дифференцированная опухоль; G3 - низкодифференцированная опухоль; G4 - недифференцированная опухоль.
Рак почки Рак почки - занимает 2-3% от всех злокачественных новообразований, а среди урологических опухолей занимает третье место.
Почечно-клеточный рак (аденокарциномой почки) встречается в 85% всех случаев типов рака почки. При почечно-клеточном раке опухоль развивается из клеток внутреннего слоя почечных трубочек. В большинстве случаев развивается одна опухоль, хотя может быть и несколько опухолей в одной и той же почке.
BHD=Birt-Hogg-Dubé; FH=fumarate hydratase; VHL=von Hippel-Lindau. Linehan WM et al. J Urol. 2003;170:2163-2172. Морфологические варианты РП Светло- клеточный 75% VHL Классификация ВОЗ 2004 г включает более 50 различных типов рака почки (Саркоматоидный вариант может сочетаться с разными типами) Недифференцированный тип и карцинома собирательных канальцев составляет 2 других типа РП, приведенных в классификации AJCC
Саркома почки это редкое опухолевое заболевание соединительной ткани почки, которое встречается в менее 1% случаев. Его проявления такие же, как и при почечно-клеточном раке: гематурия, боль в боку или пальпируемая опухоль в животе. В большинстве случаев различить рак почки от саркомы без инструментальных методов диагностики бывает очень трудно, поэтому точный диагноз обычно определяется после КТ или МРИ. Этот вид злокачественных опухолей может переходить на другие органы и ткани, кости и лимфоузлы, при отсутствии лечения. Единственным методом лечения саркомы почки является операция, обычно частичная или полная нефрэктомия, иногда в сочетании с лучевой терапией или химиотерапией.
Рак почек и мочеточников Рак почки может исходить из паренхимы почки (почечно-клеточный рак, гипернефрома) и из эпителия почечных лоханок (аденокарцинома). Рак почки почечно-кпеточный возникает чаще в возрасте после 50 лет. Опухоль может достигать больших размеров, прорастает капсулу почки, почечную и нижнюю полую вену, метастазирует в лимфатические узлы, легкие, кости, печень.
Переходно-клеточный рак встречается наиболее часто. Сосочки опухоли имеют широкое основание, часто изъязвляются и подвергаются некрозу. Для опухоли типично распространение на нижележащие мочевыделительные пути, прорастание стенки лоханки или мочеточника. Метастазирование происходит прежде всего в регионарные лимфатические узлы, которые для почки расположены вдоль аорты и нижней полой вены, начиная от почечных сосудов, до бифуркации аорты. По мере роста опухоли появляются отдаленные метастазы - в легкие, печень и кости.
Макроскопически раковая опухоль почки состоит из одного или нескольких узелков округлой или овальной формы. Поверхность почки чаще бугристая. На разрезе опухоль имеет характерный пестрый вид, в ее ткани встречаются участки желтовато-коричневого и красного цвета (вследствие кровоизлияний), оранжевого или желтого (от наличия липоидных веществ), серого (от распада мукоидов). Иногда отмечается петрификация паренхимы, в редких случаях — обызвествление всей опухоли. Опухоль может содержать очаги некроза, старые и свежие кровоизлияния. В очагах распада иногда образуются кистозные полости различной величины
Консистенция опухоли мягкоэластическая. Она растет в сторону фиброзной оболочки, растягивая ее и деформируя почку, но возможен и рост в сторону чашечно-лоханочной системы, когда опухоль частично или даже полностью заполняет ее.
Классификация опухолей почки по системе TMN: T – первичная опухоль: Tx – первичная опухоль не может быть оценена. To – нет признаков первичной опухоли. T1 – опухоль не больше 7 см в наибольшем измерении, ограниченная почкой. T2 – опухоль более 7 см в наибольшем измерении, ограниченная почкой. Т3 – опухоль распространяется в крупные вены либо инвазирует надпочечник или окружающие ткани, но не выходит за пределы фасции Герота. Т3а – опухолевая инвазия надпочечника или паранефральной клетчатки в пределах фасции Герота. Т3b – опухоль распространяется на почечную вену или нижнюю полую вену ниже диафрагмы. T3c – опухоль распространяется в нижнюю полую вену выше диафрагмы. N – регионарные лимфатические узлы: Nx – регионарные лимфатические узлы не могут быть оценены. No – нет метастазов в регионарных лимфатических узлов. N1 – метастаз в одном регионарном лимфатическом узле. N2 – метастаз более чем в одном регионареом лимфатическом узле. М – отдаленные метастазы: Мх – отдаленные метастазы не могут быть оценены. Мо – нет отдаленных метастазов. М1 – отдаленные метастазы. Р – гистологические категории, определяемые после операции (категории pT, pN, pM соответствуют категориям T, N и M)
4 стадии по системе TNM • Т1 — опухоль в пределах почечной капсулы; • Т2 — опухоль прорастает фиброзную капсулу почки; • Т3 — вовлечение в опухолевый процесс сосудистой ножки почки или околопочечной жировой капсулы; • Т4 — прорастание опухоли в соседние органы; • NХ — определить состояние регионарных лимфатических узлов до операции невозможно; • N1 — метастазы в регионарных лимфатических узлах определяются рентгенологическими или радиоизотопными методами исследования; • M0 — отдаленные метастазы не определяются; • М1 — одиночный отдаленный метастаз; • М2 — множественные отдаленные метастаз
Весьма характерно для рака почки прорастание в почечную и нижнюю полую вену в виде языка. Опухоли небольшого размера окружены четкой, видимой на глаз капсулой. Гистологическое строение аденокарциномы почки разнообразно, однако в типичном случае выявляют тяжи и скопления крупных полигональных клеток со светлой протоплазмой, содержащей гликоген и липоиды.
Классификация Морфологическая классификация. 1) светлоклеточный РП (классический гипернефроидный рак); 2)зернистоклеточный РП ( темноклеточный рак); 3)веретеноклеточный РП (полиморфноклеточный или солидно- тубулярный рак); 4)железистый РП. Чаще всего встречается первый вариант строения первичного РП. В последние годы в морфологическую характеристику внесена градация злокачественности (гистопатологическая градация): Gx - степень дифференциации не может быть определена; G1 - высокодифференцированная опухоль; G2 - умеренно дифференцированная опухоль; G3 - низкодифференцированная опухоль; G4 - недифференцированная опухоль.
Метастазирование Злокачественные опухоли почки метастазируют гематогенным и лимфогенным путем. Метастазы наблюдаются более чем у половины больных. На первом месте по частоте метастазирования рака почки стоят легкие, затем кости, печень, головной мозг. Эта закономерность обусловлена наличием тесной связи между венозной системой почки и магистральными сосудами грудной и брюшной полостей, а также венозной сетью скелета. Особенностью рака почки является сравнительно частое появление метастазов через много лет после удаления первичной опухоли. В то же время другая особенность этого вида рака состоит в том, что его легочные метастазы в некоторых случаях склонны к регрессии после удаления первичного очага.
Метастазы рака почки Рис. 14. Венокавограмма. Мужчина 48 лет. Гипернефроидный рак правой почки Сдавление и смещение опухолью нижней полой вены.
На втором месте по частоте среди отдаленных метастазов опухолевой почки стоят костные метастазы, которые чаще всего локализуются в костях таза, позвоночнике, ребрах, костях плечевого пояса, бедренных костях, своде черепа. Метастазы в печень отмечаются в поздних стадиях заболевания.
Нередко метастаз рака почки проявляется клинически раньше, чем первичный очаг заболевания. Особенностью рака почки является сравнительно частое появление метастазов через много лет (10—15 и даже 20) после удаления первичной опухоли. В тоже время другая особенность этого вида рака состоит в том, что его легочные метастазы в некоторых случаях склонны к регрессии после удаления первичного очага. На втором месте по частоте среди отдаленных метастазов опухолей почки стоят костные метастазы, которые чаще всего локализуются в костях таза, позвоночнике, ребрах, костях плечевого пояса, бедренных костях, своде черепа. Метастазы в печень отмечаются в поздних стадиях заболевания. Региональные метастазы рака почки поражают главным образом паракавальные и парааортальные лимфатические узлы.
Помимо отдаленных и региональных лимфатических метастазов, рак почки дает метастазы вне лимфатических узлов в околопочечную жировую клетчатку, мышцы брюшной стенки, подкожную жировую клетчатку, в послеоперационный рубец. При этом отмечается не прорастание опухоли, а наличие отдельных, четко отграниченных очагов метастазирования. Помимо метастазирования рака почки, нередко наблюдается распространение опухолевого тромба по почечной вене в нижнюю полую вену.
Опухоли почечной паренхимы Почечно-клеточный рак – это заболевание, при котором злокачественные (раковые) клетки образуются в канальцах почки.
Составляет более 90% среди опухолей паренхимы почки Наблюдается в возрасте 40-70 лет, почти в 2 раза чаще у мужчин, одинаково часто поражая правую и левую почку. Чаще локализуется в корковом веществе, в начальных стадиях развития имеет соединительнотканную капсулу. По мере роста опухоли капсула разрушается, инфильтруются паренхима почки и окружающая ее клетчатка.
Симптомы. Среди всех субъективных симптомов чаще всего встречается макрогематурия (визуально определяемая примесь крови в моче). Может быть повышение температуры тела, похудание, гипертензия. Нельзя забывать и о симптоматическом варикоцеле (см варикоцеле) на стороне поражения. При наличии метастазов в зависимости от их локализации картина дополняется кашлем, одышкой, желтухой и др. В общеклинических анализах крови чаще всего отмечается гипоальбуминемия, гиперглобулинемия, повышение СОЭ и уровня щелочной фосфатазы.
Симптоматика Гематурия Боль Пальпируемое образование Варикоцеле Артериальная гипертензия Гиперпирексия Интоксикация Ускорение СОЭ Анемия Полицетемия Печеночная дисфункция
Первым признаком болезни нередко становится массивная гематурия (у 40–70% больных). Гематурия в дальнейшем при неоперабельном раке почки становится значительным тяжелым проявлением болезни, приводит к резкой анемии. В период гематурии усиливается боль и появляются симптомы почечной колики. Другой ранний симптом — повышение температуры тела во второй половине дня до 38–39 (С. Все эпизоды гематурии должны быть тщательно анализированы путем подробного обследования. В каждом случае необъясненного повышения температуры с вечерними подъемами следует помнить о возможности развития рака почки. Такой подход врача к первому эпизоду массивной гематурии, к сохраняющейся более 1 мес температурной реакции- реальный путь к более раннему обнаружению рака почки. Среди других симптомов — обнаружение опухоли при пальпации, варикоцеле справа, являющееся признаком прорастания опухолью венозных сосудов, увеличенная СОЭ, иногда (в 2% случаев) повышение числа эритроцитов и гемоглобина в связи с секрецией опухолью эритропоэтина.
Клинические проявления рака почки весьма разнообразны. Выделяют ренальные и экстраренальные симптомы. Классическая триада ренальных симптомов рака почки — гематурия, пальпируемая опухоль и боль — встречается у 10 % больных и свидетельствует о далеко зашедшем процессе — около половины этих больных в момент диагностики имеют отдаленные метастазы. Чаще встречаются один или два симптома из триады. Одним из наиболее частых симптомов является гематурия, наблюдаемая у 50—60 % больных, причем у половины из них этот симптом является первым признаком болезни. Гематурия всегда тотальная, возникает внезапно, на фоне полного здоровья, часто не сопровождается болями. Возникновение острых болей после интенсивной гематурии характерно для опухолевого поражения почек и связано с обтурацией мочеточника кровяными сгустками. При неопухолевых заболеваниях, также сопровождающихся гематурией (почечнокаменная болезнь, гидронефроз), боль обычно предшествует гематурии. Еще одна характерная особенность гематурии при раке почки — ее интермиттирующий характер с тенденцией к укорочению интервалов между повторными кровотечениями. Строгой зависимости между размерами опухоли и интенсивностью гематурии нет. Опухоль небольших размеров может быть источником массивной гематурии.
Вторым по частоте симптомом является боль в поясничной области, встречающаяся у 50 % больных. Характер болей может быть весьма разнообразным, причем возникновение тупых интенсивных болей радикулярного характера является неблагоприятным прогностическим признаком. Пальпируемая опухоль определяется у 30—40 % больных, причем этот симптом редко бывает единственным и обычно сочетается с другими жалобами. Из экстраренальных симптомов чаще встречается лихорадка, которая у 4—6 % пациентов может быть единственным проявлением болезни. Среди общих симптомов опухоли почки важное значение имеет ухудшение общего состояния в результате интоксикации организма продуктами обмена в опухолевой ткани. При этом отмечается общая слабость, потеря аппетита, похудание. Больных с подобными жалобами длительно лечат по поводу самых различных предполагаемых заболеваний, прежде чем возникает мысль о необходимости урологического обследования.
Похудание как проявление опухолевого процесса является следствием токсического воздействия продуктов распада опухоли на организм. Интоксикация ведет к снижению аппетита, что в свою очередь обусловливает потерю массы тела. Похудание чаще всего является признаком далеко зашедшего бластоматозного процесса. Важным симптомом опухоли почки общего характера является повышение температуры тела. Этот симптом наблюдается у 20—30 % больных раком почки. Иногда повышение температуры тела оказывается единственным проявлением заболевания. Температура тела чаще бывает около 37 °С, однако иногда достигает 38—39 °С, сопровождается ознобом, имитируя острое инфекционное заболевание.
Токсическое воздействие опухоли почки на костный мозг приводит к угнетению его функции, возникновению анемии, что является свидетельством далеко зашедшего опухолевого процесса. Проялением опухоли почки может быть полицитемия или вторичный эритроцитоз. Этот процесс объясняют повышенной продукцией эритропоэтина тканью опухоли почки. Наиболее частым из общих признаков опухоли почки является повышение СОЭ, которое может быть первым и единственным проявлением заболевания. У 5—10 % больных злокачественными новообразованиями почки заболевание проявляется артериальной гипертензией.
Важным местным признаком опухоли почки служит варикоцеле. Причинами его при злокачественной опухоли почки могут быть: 1) сдавление левой почечной вены или ее прорастание опухолью; 2) перегиб левой почечной вены в результате смещения почки книзу; 3) сдавление нижней полой вены или непосредственно одной из яичковых вен опухолью либо пакетами пораженных метастазами лимфоузлов; 4) тромбоз нижней полой вены.
Симптомы метастазов опухоли почки разнообразны. Метастазы рака почки в легкие рентгенологически чаще имеют округлую форму. Иногда метастаз рака почки в легкое, особенно при солитарной опухоли, длительно прогрессирует и клинически не проявляется. Такая ситуация удобна для оперативного его удаления. Первым клиническим проявлением метастазов опухоли почки в легкое является кровохарканье. Метастазы солитарной опухоли рентгенологически часто маскируются под бронхогенный рак, а множественные метастазы могут напоминать картину пневмонии или туберкулеза легких.
Метастазы опухоли почки в кости клинически чаще всего проявляются болями, нередко весьма интенсивными и упорными, не стихающими даже от наркотических средств. Иногда такие боли расценивают как симптом радикулита, межреберной невралгии и т.п. При метастазировании в позвоночник могут развиться нижняя параплегия, нарушение функции тазовых органов. Первым симптомом заболевания может явиться патологический перелом на месте метастаза. Наиболее характерной локализацией костных метастазов являются диафизы трубчатых костей (плечо, бедро), а также плоские кости — ребра, лопатка, череп. Характерным рентгенологическим признаком метастазов гипернефроидного рака в кости является остеолитический тип патологического процесса. К особенностям РП относится появление в некоторых случаях метастазов через много лет после удаления первичного очага.
Диагностика. Общепризнанным скриннинг-тестом в выявлении обьемных образований почки является УЗИ. Если при УЗИ выявляется образование в почке, проводится расширенное обследование, которое включает исследование крови и мочи, КТ с "усилением", выделительная урография, остеосцинтиграфия, УЗИ органов брюшной полости, ангиография (по показаниям).
Диагностика рака почки бор анамнеза стандартное физикальное обследование клинические анализы мочи и крови, биохимический анализ крови, включая определение активности АЛаТ, АСаТ, ЩФ УЗИ органов брюшной полости и забрюшинного пространства рентгенологическое исследование легких экскреторная урография КТ органов брюшной полости и забрюшинного пространства с внутривенным контрастированием или магнитно-резонансная томография ангиография, каваграфия пораженной почки (при подозрении на тромбоз почечной и нижней полой вены, а также при больших размерах опухоли, сдавливающей магистральные сосуды) радиоизотопное исследование функции почек при малых размерах опухоли, возможной доброкачественной природе новообразовании показана пункционная биопсия опухоли почки с последующим гистологическим исследованием
Диагностика. При осмотре и пальпации обычно выявляют лишь далеко зашедшие опухоли почки. При осмотре можно обнаружить варикоцеле, а при обструкции нижней полой вены — расширение вен передней брюшной стенки, отечность нижних конечностей. Пальпация почки — степень подвижности опухоли или почки при пальпации в известной степени служит показателем операбельности. К методам лабораторной диагностики относятся общие анализы крови и мочи, биохимические и иммунологические исследования. Общие анализы крови выявляют изменения, специфические не только для рака почки: повышение СОЭ, анемию. Анализы мочи обнаруживают эритроцитурию. Могут наблюдаться протеинурия и лейкоцитурия, особенно при сочетании опухоли почки с пиелонефритом.
Из биохимических методов исследования наиболее широко применяют исследование ферментов, белка и белковых фракций, определение содержания кальция в сыворотке, реакцию Данилина. Характерными неспецифическими для первичного рака почки признаками являются повышение активности щелочной фосфатазы и ряда других ферментов в сыворотке крови, повышение уровня альфа2-глобулина (синдром Штауффера). В последнее время для диагностики рака почки применяют иммунологические методы. Используя классические методы иммунодиффузного анализа (реакция радиальной иммунодиффузии, иммуноэлектрофорез, встречный иммунофорез, двойная иммунодиффузия по Оухтерлони и др.), можно выявить глубокие нарушения метаболизма сывороточных белков; ферритина, трасферрина, альбумина и др.
Установлено, что опухолевая ткань почки избирательно накапливает ферритин. Этот белок находится в опухолевой ткани в 10—220 раз более высокой концентрации, чем в нормальных почках и раковых опухолях других органов. Уровень другого железосодержащего белка — трансферрина — в опухолевой ткани почки повышен в 3 раза. Указанные характерные изменения происходят в белковом спектре крови у 80 % больных. После нефрэктомии у больных отмечена тенденция к нормализации указанных показателей, что является доказательством патогномоничности описанных выше изменений сывороточных белков для рака почки. Учитывая полученные данные, следует считать, что иммунологическое обследование при подозрении на опухоль почки должно являться обязательным этапом комплексного обследования больного. В последние годы большое внимание уделяют радиоизотопной диагностике опухолей почки. С этой целью применяют статическую нефросцинтиграфию (или сканирование почек). Широкое применение в онкоурологии находит ультразвуковое сканирование для диагностики опухолей и кист почки. Метод безвреден, безопасен, не требует предварительной подготовки больного и обладает высокой диагностической информативностью.
Почечно-клеточный рак
Диагностика УЗИ
КТ
Несмотря на внедрение в клиническую практику указанных выше методов, заключительным этапом диагностики опухоли почки является рентгенологическое исследование. В распознавании опухолевого процесса почки применяют различные рентгенологические методы. Рентгенологическое обследование больного начинают с обзорной урографии, выявляющей изменения конфигурации почки и ее положения, петрификаты в ткани опухоли. В ряде случаев, когда по обзорной рентгенограмме нельзя судить о контурах почки, прибегают к томографии или пневморетроперитонеуму, с помощью которых получают более рельефное изображение тени почки. Экскреторная урография позволяет уточнить как функциональные, так и морфологические особенности почки, пораженной опухолью, и, кроме того, выявить состояние противоположной почки. Функция пораженной опухолью почки в начальных стадиях заболевания остается вполне удовлетворительной. Отсутствие функции свидетельствует о далеко зашедшем бластоматозном процессе, значительном замещении паренхимы почки опухолевой тканью либо инфильтрации почечной ножки или сдавлении ее пакетами лимфатических узлов, пораженных метастазами.
Диагноз устанавливают при внутривенной и ретроградной пиелографии, ультразвуковой и компьютерной томографии. Однако главное значение в диагностике имеет селективная почечная ангиография. Степень распространения болезни устанавливают при рентгенографии и сцинтиграфии легких и костей скелета. Лечение. При локализованном почечно-клеточном раке почки производят нефрэктомию, после которой 5-летняя выживаемость составляет 40–70%. Нефрэктомию проводят и при наличии метастазов в легких, а иногда и в кости.
Брюшная аортография должна быть первым этапом почечной ангиографии, на котором определяют тип васкуляризации пораженной почки (одиночная, удвоенная или добавочная артерия), распознают опухоль, характер ее роста (в глубь органа или кнаружи), ее взаимоотношения с окружающими органами, наличие метастазов в противоположной почке, печени. Особенно информативна в этом отношении серийная аортография. Признаками опухоли являются: расширение просвета магистральной почечной артерии, беспорядочная патологическая васкуляризация в опухолевой массе (паутинообразная сетка в зоне опухоли и скопление рентгеноконтрастного вещества в виде «озер», «лужиц», преждевременная сегментарная нефрограмма или изображение почечной вены в ранней артериальной фазе, усиление тени опухолевой массы, наличие просвечивающихся лакун и негомогенность тени массы (некроз опухоли) и т.д.
Ангиография (Диф.диагностика)
Дифференциальная диагностика. Наиболее часто приходится дифференцировать опухоль от солитарной кисты почки нефротомография, при которой опухоль почки контрастируется, а киста отличается пониженной контрастностью. Более точное дифференцирование опухоли и кисты почки может быть проведено с помощью почечной артериографии. В последние годы с этой целью используют пункционную кистографию и ультразвуковое сканирование, компьютерную томографию.
КТ
Для оценки степени распространенности опухолевого процесса рекомендуется проведение: КТ легких (при наличии опухолевого поражения почки в сочетании с опухолевым тромбозом нижней полой вены); МРТ брюшной полости - для оценки степени протяженности тромба при наличии опухолевого поражения почки в сочетании с опухолевым тромбозом нижней полой вены; Остеосцинтиграфия.
Показанием к операции в такой ситуации может быть возможность удаления большой опухоли, избавление больного от тягостных симптомов (гематурия, боль). Лекарственная терапия иногда эффективна. Применяют фторбензотэф — 40 мг в/в 3 раза в неделю в течение 2–3 нед; тамоксифен — 20 мг/сут длительно. Установлена эффективность реаферона (интерферона (2 ) (3 000 000 ЕД в/м ежедневно, 10 дней, интервал — 3 нед) при метастазах в легкие. Регрессия опухоли или длительная стабилизация болезни наступает у 40% больных при небольших размерах легочных метастазов. Поэтому после нефрэктомии следует вести тщательное динамическое наблюдение за больными с рентгенографией легких каждые 3 мес в течение 2 лет. При раннем выявлении метастазов можно в большей степени рассчитывать на успех лечения.
Экскреторная урография Признаки рентгенологического изображения опухолей почек (схема по Trzetrzewinski, Mazurek). 1 — полициклический контур почки; 2 — изменение направления длинной оси почки; 3 — смещение мочеточника; 4 — изгиб мочеточника; 5 — смещение чашечек; 6 — неровность контуров чашечек и лоханки; 7 — ампутация чашечки; 8 — удлиненная чашечка; 9 — расширение малых чашечек; 10 — перекрещивание чашечек; 11 — значительное смещение больших чашечек; 12 — очаги в виде серых пятен; 13 — “немые почечные поля”; 14—изменение контура поясничной мышцы; 15 — очаги обызвествления.
Лечение. Основным методом лечения этого заболевания являются различные методики оперативных вмешательств (радикальная нефрэктомия, расширенная нефрэктомия). Расширенная нефрэктомия - вмешательство помимо радикальности требует удаления какого-либо вовлеченного в опухолевый процесс органа или его части (удаление тромба из нижней полой вены, спленэктомия, лобэктомия, резекция сигмовидной кишки и т.д.). Органосохраняющие операции (сегментарная, клиновидная резекция) выполняются в случае отсутствия контрлатеральной почки, рака обеих почек, почечной недостаточности, связанной с нарушением функции контрлатеральной почки. По данным большинства авторов успехи химиотерапии, гормонотерапии и иммунотерапии до настоящего времени остаются довольно скромными. Наметился прогресс в лечении больных раком почки с метастазами, такими препаратами, как интерфероны, интерлейкины
Лечебная тактика при локализованном РП Радикальная нефрэктомия: открытая лапароскопическая Органо-сохраняющая операция (резекция почки): открытая лапароскопическая Малоинвазивные нефрон-сберегающие методы лечения: радиочастотная термоаблация криоаблация HIFU-терапия лазерная деструкция Динамическое наблюдение
Парааортальная лимфаденэктомия у больных локализованным раком почки
Оперативное лечение Удаление органа Резекция Паллиативные операции
Современные методы лечения К новым методам лечения рака почки можно отнести опухолевые вакцины, генную терапию, трансплантацию стволовых клеток
Эмболизация почечной артерии Применяют с целью уменьшения кровотечения во время операции нефрэктомии. По мнению А.С. Переверзева. эмболизация показана перед нефрэктомией при опухолях больших размеров и исходящих из верхнею полюса почки, при увеличении паравазальных лимфатических узлов, прорастании опухоли в ворота почки и нижнюю полую вену, а также в качестве паллиативного вмешательства при кровоточащих опухолях у неоперабельных больных. Нецелесообразно применять эмболизацию при опухолях Т1 и Т2, легко смещаемых, локализующихся в нижнем полюсе почки, а также папиллярных новообразованиях лоханки и опухолях Вильмса.
Эмболизация сегментарной верхней артерии левой почки
НЕФРОБЛАСТОМА (ОПУХОЛЬ ВИЛЬМСА) Связана с нарушением эмбриогенеза почки, ключевая роль в патогенезе отведена генетическим нарущениям. За развитие ОВ ответственны нарушения в нескольких генах – WT1,WT2,WT3. Роль гненетических факторов в развитии ОВ подтверждает также ее частое сочетание с пороками развития других органов и систем: аномалии МВП, аниридия,врожденная гемигипертрофия, синдром Беквитта-Видеманна. При указанных аномалиях рекомендуется проводить УЗИ почек каждые 3 мес до достижения 7-летнего возраста.
Нефробласто́ма (опухоль Вильмса) — высокозлокачественная эмбриональная опухоль, происходящая из развивающихся тканей почек. Заболевание является наиболее частым злокачественным новообразованием мочеполового тракта у детей. Наиболее часто встречается в возрасте до 5 лет с одинаковой частотой у мальчиков и девочек. Опухоль Вильмса часто сочетается и с врождёнными аномалиями развития.
Свое название опухоль Вильмса получила в честь немецкого хирурга Макса Вильмса (1867—1918), предложившего в 1899 г. в своей монографии обзор литературы по опухолям почек у детей и обосновавшего гистогенез опухоли.
Наиболее часто опухоль Вильмса встречается у детей с некоторыми врожденными отклонениями развития: Аниридия – аномалия, при которой отсутствует радужная оболочка глаза. Она отвечает за изменение размера зрачка и придает глазам цвет. Гемигипертрофия – эта патология характеризуется тем, что одна сторона тела у ребенка развита сильнее, чем другая. Крипторхизм – неопущение яичка или яичек в мошонку. Гипоспадия – аномалия уретры, при которой на определенном протяжении отсутствует ее задняя стенка. Синдром Денис-Драш – включает в себя опухоль Вильмса и мужской псевдогермафродитизм, при котором отмечаются недоразвитие половых органов и крипторхизм. Синдром Беквита-Видемана – включает в себя омфалоцеле (пупочную грыжу), макроглоссию (увеличение языка) и увеличение внутренних органов
Классификация ОВ по стадиям заболевания. Стадия I – Опухоль не распространяется за пределы почки. Капсула почки интактна. Сосуды почечного синуса интактны. Метастазов нет. Стадия II – Опухоль распространяется за пределы почки, но остается подвижной, возможность полного удаления опухоли сохранена. Могут быть: 1. Прорастание опухоли сквозь капсулу почки в околопочечную клетчатку или незначительная инвазия опухоли в ренальный синус. 2. Инфильтрация или опухолевые тромбы в почечных сосудах. Стадия III – Помимо признаков стадии II могут быть: 1. Метастазы в лимфатических узлах ворота почки, паракавальных или парааортальных лимфатических узлах. 2. Диффузия перитонеальная диссеминация опухоли. Стадия IV – Определяется наличием отдаленных метастазов в легких, печени, костях, мозге. Стадия V – Опухоль поражает обе почки (двусторонняя опухоль).
КЛАССИФИКАЦИЯ ОВ по стадиям заболевания 1 стадия. Опухоль не распространяется за пределы почки. Капсула почки интактна. Сосуды почечного синуса интактны, Метастазов нет. 2 стадия. Опухоль распространяется за пределы почки, но остаеться подвижной, возможность полного удаления опухоли сохранена. Могут быть: А. Прорастание опухоли сквозь капсулупочки в околопочечную клетчатку или незначительная инвазия опухоли в ренальный синус Б. Инфильтрация или опухолевые тромьы в почечных сосудах. 3 стадия. Помимо признаков 2 стадии могут быть: А. Метастазы в л/у ворот почки, паракавальные, парааортальные л/у. Б. Диффузная перитонеальная диссеминация опухоли. 4 стадия. Отдаленные метастазы в костях, легких, печени, мозге. 5 стадия. Опухоль поражает обе почки.
ГИСТОЛОГИЧЕСКАЯ КЛАССИФИКАЦИЯ 1. Опухоль с благоприятной гистологией (БГ) 2. Опухоль с неблагоприятной гистологией (НБГ): а) анапластическая; б) саркоматозная.
СИМПТОМАТИКА Клиническая картина ОВ зависит от стадии заболевания, наличия метастазов и возраста пациента. На ранних стадиях заболевания клинические проявления опухоли скудные и чаще всего выражаются в слабости, недомогании, похудании, снижении аппетита, периодическом субфебрилитете, умеренной анемии, повышении СОЭ. На поздних стадиях ОВ наиболее специфическим признаком является пальпируемое объемное образование в животе. Иногда оно выявляется матерью или врачом при обычном осмотре ребенка, не предъявляющего никаких жалоб и хорошо себя чувствующего. При пальпации опухоль чаще всего плотная и гладкая, реже бугристая. Опухоль может фиксироваться к окружающим структурам и не смещаться при пальпации.
Боли не характерны для ОВ, отмечаются обычно у детей с большой опухолью. Причиной болей служат либо давление на окружающие органы, либо прорастание опухоли в диафрагму, печень или забрюшинную клетчатку. Гематурия не является частым симптомом ОВ. Макрогематурия имеет место примерно у 10-12% детей с ОВ. Микрогематурия наблюдается несколько чаще. Умеренное повышение АД отмечали у 60% больных. При этом систолическое давление обычно находится в пределах 110-140 мм рт ст, а дистолическое – 90-100 мм рт ст. Метастазирование ОВ происходит гематогенным и лимфогенным путем. Наиболее частая локализация метастазов – легкие, затем печень, головной мозг, кости, противоположная почка.
Лечение опухоли Вильмса Лечение опухоли Вильмса нужно начинать сразу посте того, как установлен диагноз. Наилучшие результаты показывает комбинированная терапия, то есть сочетание хирургического вмешательства с лучевой и химиотерапией. Операция при опухоли Вильмса заключается в удалении первичного опухолевого очага. С этой целью проводится либо резекция почки, либо ее удаление (нефрэктомия). Одновременно с этими вмешательствами производится удаление одиночных метастазов (при их наличии): резекцию печени или легкого. Лучевая терапия при опухоли Вильмса проводится по различным схемам. Она применяется как до операции, так и после нее, а также и во время операции. Кроме того, лучевая терапия используется и при поздних стадиях опухоли, когда далеко процесс защел слишком далеко и выполнить операцию представляется невозможным.
Диагностика опухолей почек УЗИ РАДИОИЗОТОПНЫЕ МЕТОДЫ РЕНТГЕНОЛОГИЧЕСКОЕ ИССЛЕДОВАНИЕ
Диагностика Основывается на данных клинического, ультразвукового исследований, компьютерной и магнитно-резонансной томографии, лабораторной диагностики.
При исследовании мочи нередко выявляют эритроцитурию, протеинурию, лейкоцитурию. Общий анализ крови – повышение СОЭ, снижение гемоглобина, содержания моноцитов, эозинофилов, нейтрофилов, лимфоцитов. УЗИ – удаётся определить размеры почки, неоднородную плотность паренхимы, деформацию чашечно-лоханочной системы, локализацию узла.
Лечение Оперативное вмешательство: Рдикальная нефрэктомия Резекция почки ИММУНОТЕРАПИЯ ХИМИОТЕРАПИЯ ГОРМОНАЛЬНАЯ ТЕРАПИЯ РАДИОТЕРАПИЯ
Рак почечных лоханок составляет 7% всех опухолей почек. Папилпярная аденокарцинома лоханки характеризуется морфологической гетерогенностью, в чем проявляет сходство с раком мочевого пузыря. Диагноз нередко труден. Основные симптомы — гематурия, незначительная или массивная, приступы почечной колики. Общие признаки заболевания, столь часто встречающиеся при почечно-клеточном раке, при раке лоханки встречаются реже.
Опухоли почечной лоханки Встречаются значительно реже, чем опухоли паренхимы почки, составляя примерно 5–10 % всех новообразований почки. Чаще имеют эпителиальное происхождение — папиллярный, переходно-клеточный, эпидермоидный, плоскоклеточный рак. Заболевание наблюдается главным образом в возрасте 40–60 лет, значительно чаще у мужчин.
Плоскоклеточный рак почечной лоханки составляет 15-20% от всех опухолей, протекает более злокачественно по сравнению с переходно-клеточным раком, быстро прорастает в стенку и дает метастазы в отдаленные органы (легкие, печень, кости). Плоскоклеточный рак мочеточника инфильтрирует стенку, изъязвляется, также быстро прорастает ее, рано дает метастазы и часто вызывает сужение просвета мочеточника с вытекающими из этого последствиями.
Переходно-клеточный рак встречается наиболее часто. Сосочки опухоли имеют широкое основание, часто изъязвляются и подвергаются некрозу. Для опухоли типично распространение на нижележащие мочевыделительные пути, прорастание стенки лоханки или мочеточника. Метастазирование происходит прежде всего в регионарные лимфатические узлы, которые для почки расположены вдоль аорты и нижней полой вены, начиная от почечных сосудов, до бифуркации аорты. По мере роста опухоли появляются отдаленные метастазы - в легкие, печень и кости.
Опухоли лоханки и мочеточников При локализации новообразований в мочеточнике чаще поражается нижняя треть органа - более чем в 60% наблюдений; около 20-25% опухолей локализуется в средней трети и до 15% - в верхней . Более 90% опухолей ВМП представлены переходноклеточным раком.
Симптоматика и клиническое течение. Как и при опухолях паренхимы почки, ведущими симптомами заболевания являются гематурия, боли и прощупываемая опухоль. Однако при опухолях лоханки и особенно мочеточника гематурия реже бывает безболевой.
Причиной тупых болей в области почки является нарушение оттока мочи, вызванное опухолью. Приступообразные боли типа почечной колики чаще возникают после начала гематурии вследствие окклюзии мочевого тракта кровяным сгустком. Увеличение почки, определяемое при пальпации, встречается редко, только в случае развития вторичного гидронефроза
Диагноз. Лабораторные методы исследования выявляют следующие изменения в моче: протеинурию, эритроцитурию, при вторичном пиелонефрите — лейкоцитурию и бактериурию. Важную роль в диагностике играет цистоскопия. В момент гематурии она позволяет установить источник кровотечения, выделение крови из устья одного из мочеточников. При опухоли интрамурального отдела мочеточника можно увидеть выступающие из устья ворсины опухоли. При расположении папиллярных опухолей в мочевом пузыре в окружности устья мочеточника всегда следует предполагать вторичный характер их, т, е. наличие первичной опухоли в мочеточнике или лоханке.
Для диагностики применяют внутривенную и ретроградную пиелографию, которая выявляет дефект наполнения в лоханке, а также ультразвуковое исследование и компьютерную рентгеновскую томографию. Ангиография малоинформативна. Дифференциальный диагноз проводят с туберкулезом, мочекаменной болезнью, пиелитом. Обнаружение при рентгенологическом исследовании дефекта наполнения в лоханке у больного в возрасте 60–70 лет, прежде не страдавшего почечнокаменной болезнью и имевшего первый эпизод гематурии, даст основание предположить рак лоханки почки.
При опухоли лоханки на ретроградной пиелограмме виден дефект наполнения с нечеткими контурами, вызванный вдающейся в просвет лоханки ворсинчатой опухолью, причем в область ее основания рентгеноконтрастное вещество не затекает. Весьма характерна картина опухоли мочеточника на ретроградной уретеропиелограмме — с обеих сторон от дефекта наполнения мочеточника, обусловленного опухолью, затекают языки рентгеноконтрастного вещества, напоминающие жало змеи.
Дифференциальная диагностика. Опухоли лоханки наиболее часто приходится дифференцировать от рентгенонегативных камней лоханки, поскольку оба заболевания проявляются дефектом наполнения лоханки на ретроградных пиелограммах. Однако при камне просветление в середине лоханки имеет ровные контуры, со всех сторон окружено ободком тени рентгеноконтрастного вещества, тогда как при опухоли очертания дефекта наполнения чаще бывают неровными, а в области основания опухоли рентгеноконтрастное вещество ее не окружает.
Рак мочеточника по морфологическому строению напоминает структуру рака мочевого пузыря. Более часто поражает нижнюю треть, проявляется болью в пояснице и гематурией. Приводит к закупорке мочеточника с развитием атрофии или гидронефроза почки. Инфильтрирует подслизистый и мышечный слой, при этом возникают лимфогенные и гематогенные метастазы.
При катетеризации мочеточника обнаруживают весьма характерный признак опухоли мочеточника — выделение крови из катетера и мимо него из устья мочеточника в момент преодоления препятствия в мочеточнике и выделение чистой мочи по катетеру после проведения его выше препятствия в мочеточнике (симптом Шевассю).
Существенную помощь в диагностике, особенно непосредственно после инструментальных манипуляций, может оказать цитологическое исследование мочи, позволяющее обнаружить в ней отдельные атипические клетки или их комплексы.
Диагноз устанавливают при рентгенологическом (в том числе компьютерной томографии), эндоскопическом и ультразвуковом исследовании. Рак лоханки и мочеточников относится к очень агрессивно метастазирующим опухолям (метастазирует в печень, лимфатические узлы, легкие, головной мозг, кости и другие органы). Лечение в ранних стадиях хирургическое. Обязательно удаление почки с мочеточником. При диссеминации процесса возможно использование препаратов широкого спектра действия-цисплатина, адриамицина, винкристина, блеомицина, фторурацила.
Основную роль в установлении диагноза и локализации поражения играет рентгенологическое исследование. На экскреторных урограммах выявляют расширение лоханки или мочеточника выше опухоли и дефект наполнения, обусловленный ею. При нечетких экскреторных урограммах вследствие снижения функции почки приходится прибегать к ретроградной пиелографии, хотя травмирование опухоли катетером нежелательно.
Лечение Единственным радикальным методом лечения опухолей лоханки и мочеточника является оперативное вмешательство. При опухоли лоханки оно должно заключаться в удалении почки и мочеточника на всем протяжении (радикальная нефроуретерэктомия) с резекцией мочевого пузыря в окружности устья мочеточника. Такая расширенная операция необходима в связи с возможностью распространения опухоли к моменту операции на нижележащие отделы мочевого тракта.
При первичной опухоли тазового отдела мочеточника, когда полностью исключено опухолевое поражение вышележащих мочевых путей, оперативное лечение может быть органосохраняющим, поскольку обратного распространения опухолевого процесса по мочеточнику (снизу вверх) не бывает. Производят резекцию пузыря и мочеточника. Центральный конец мочеточника в случае резекции небольшого его участка непосредственно соединяют с мочевым пузырем (уретероцистоанастомоз), а при образовании более обширного дефекта мочеточника выполняют уретероцисто-анастомоз по Боари. Лучевое лечение и химиотерапия при опухолях лоханки и мочеточника существенного значения не имеют ввиду резистентности этих опухолей к данным методам лечения.
Прогноз. После радикального оперативного лечения прогноз благоприятный. Непременным правилом является регулярный цистоскопический контроль за такими больными (не реже 2 раз в год в течение всей жизни) ввиду возможности позднего проявления имплантационных метастазов удаленной опухоли в мочевом пузыре.
Опухоли полового члена Доброкачественные опухоли полового члена (ДОПЧ): - эпителиальные (вирусные папилломы, остоконечные кондиломы, невирусные папилломы, лейкоплакия, эритроплазия) - неэпителиальные (гемангиома, ангиофиброма, лимфангиома, фибромиксома, нейрофиброма и др.) *Злокачественные опухоли полового члена(ЗОПЧ) - эпителиальные (рак полового члена) - неэпителиальные (ангио, фибро, мио, нейросаркома, меланосаркома)
Доброкачественные опухоли полового члена *Вирусные папилломы: сначала едва заметные единичные, через 2-3 недели - множественные бородавчатые, обычно безболезненные разрастания в области головки, внутреннего листка крайней плоти, ладьевидной ямки Невирусные папилломы: начальная стадия рака полового члена, локализуются вблизи венечной бороздки на головке полового члена или внутреннем листке крайней плоти Опухоль Бушке-Левинштейна (гигантская кондилома) – обусловлена вирусом папилломы человека, обладает эрозивной инвазией в окружающие ткани Бовеноидный папулез – папулоподобное образование, вызываемое вирусом папилломы человека Лейкоплакия – белесоватые пятна с развивающимися трещинам и изъязвлениями, заживающими грубым рубцом, деформи рующим головку Эритроплазия Кейра (болезнь Боуэна, карцинома in situ) – безболевая бляшка, слегка возвышающаяся над поверхность головки ярко-красного цвета, с четкими краями, с неровной, бархатистой поверхностью: вызывает зуд и чувство жжения
Остроконечные кондиломы Остроконечные кондиломы – это разрастания эпителия, которые формируются на наружных половых органах и коже промежности (перианальной области) в результате инфицирования вирусом папилломы человека (ВПЧ).
ВПЧ
Клиника и диагностика ОПЧ Скудные полиморфные проявления заболеваний При фимозе и ОПЧ: обильные выделения иногда кровянистые, характерный запах, присущий деструктивном у процессу, очаговое уплотнение, сосочковый вырост, язва Для исключения поражения лимфоузлов – УЗИ, КТ живота и таза Решающее значение в диагностике – результаты цитологии и биопсии
Рак полового члена (РПЧ) РПЧ в 95% - плоскоклеточный рак с различной степенью ороговения. Этиология – застой смегмы, хронические воспалительные процессы, лейкоплакия, эритроплазии Кейра, остроконечные кондиломы, бовеноидный папулез, Опухоль Бушке-Левинштейна, кожные рога.
Рак полового члена — это злокачественная опухоль, развивающаяся из тканей полового члена, обладающая способностью к метастазированию. встречается с частотой 0,1-7,9 на 100 000 мужского населения. мужчины старше 60 лет.
Данные: Принято считать, что рак полового члена относится к редким опухолям в структуре онкологических заболеваний. Однако это утверждение справедливо лишь для Северной Америки и Европы, где рак этой локализаций встречается в 0,5% - 2,2 от всех раковых заболеваний у мужчин. Для стран Мусульманской Азии и Израиля, где рак полового члена практически не встречается. Тогда как в Латинской Америке, Юго-Восточной Азии и Африке это не редкое заболевание. И частота рака полового члена достигает 15% от злокачественных заболеваний у мужчин.
Этиология и патогенез: Не найдено какой либо одной причины рака полового члена. Заболевание, как и другие онкологические, принято рассматривать как полиэтилологическое. При изучении причин развития рака полового члена основное место отводится смегме и продуктам её распада.
Факторы риска - Фимоз; - Хронические воспалительные состояния головки полового члена и крайней плоти. - Вирусы папилломы человека 16 и 18 типов, 6 и 11 типов. - Кожный рог; - Склерозирующий лихен. - Эритроплазия Кейра; - Болезнь Боуена.
Что такое смегма? Смегма (Sebum praeputii — препуциальный жир)- мазевидное вещество белого цвета, которое образуется в препуциальном мешке и, при узкой крайней плоти, в больших количествах накапливается там и разлагается. Смегма представляет собой довольно сложный субстрат, главным её компонентом являются жиры. Основную роль в образований смегмы играют, во-первых: сальные /Тизоновы/ железы, расположенные вблизи уздечки и, во-вторых: процесс образования в препуциальном мешке эпителиальных выступов из неороговевших зернистых клеток, их жировой дистрофии и отторжения.
В чём причина? Канцерогенным действием обладает не сам физиологический субстрат, продуцируемый здоровым организмом, а те вещества, которые появляются в смегме в результате биохимических процессов при её длительном застое. В процессе биотрансформации важную роль играет бактериальная флора смегмы (Mycobacterium smegmatis) и длительное сужение крайней плоти, создающее условия для застоя и накопления смегмы в препуциальном мешке.
В чём причина? Застою и накоплению смегмы в препуциальном мешке способствует фимоз. Замечено, что рак этой локализации чаще развивается, у мужчин проживающих в ряде стран Азии /Индия, Вьетнам Китай/, Африки /Уганда, Кения/, Латинской Америки. Это связано не столько с особенностями климатических условий и низком уровнем культуры и гигиены населения, сколько с поздним разъединением крайней плоти полового члена с головкой и частых врожденных фимозом в этих этнических группах. В тоже время после циркумцизии в младенческом возрасте рак полового члена практически не встречается. Дело не в том, что при обрезании крайней плоти удаляется ткань, где происходит возникновение рака, а в том, что устраняется источник канцерогенных влияний и те условия, в которых он может осуществляться.
Классификация предраковых заболеваний: Облигатные Факультативные Эндофитные Экзофитные Экзофитные - лейкоплакия - папилломы - вирусная папиллома. - эритроплазия - кожный рог Кейра - болезни Боуена - болезнь Педжета Формы роста: папиллярная, язвенная и узловатая.
Невирусная папиллома. Развивается внутри закрытого препуциального мешка, точнее в отделах наиболее удаленых при фимозе от внешней среды. Локализуются на венечной борозде, вблизи её на головке полового члена и на внутреннем листе крайней плоти. Папилломы имеют широкое подвижное основание, ворсинчатую поверхность, или бывают грибовидной формы. Инфильтрация подлежащего участка кожи определяется при присоединении инфекции или при малигнизации.
Ложный рог. Это вырост ороговевшего эпителия на головке полового члена, с возможным выкрашиванием ороговевших участков. Заболевание возникает при склонности организма к кератозам, возможно развитие из длительно существующих остроконечных кондилом. В основе этого заболевания лежит гиперплазия и метаплазия сосочкового слоя кожи с избыточным ороговением. Эпителиальные тяжи клеток могут врастать в подлежащую ткань, малигнизироваться.
Лейкоплакия. Представляет собой белесоватые участки с гладкой поверхностью, чуть возвышающиеся над поверхностью кожи и строго очерченными границами, которые появляются на головке полового члена, вокруг наружного отверстия мочеиспускательного канала. Возникает из-за очагового гиперкератоза. На поверхности, пораженной лейкоплакией ,нередко появляются трещины, изъязвления, которые, рубцуясь, приводят к сужению наружного отверстия уретры. Признаками малигнизации являются: увеличение размеров, «внезапное» изъязвление, кровоточивость, усиленное ороговение. При гистологии: хроническое воспаление, гиперкератоз, васкуляризация подлежащих тканей, лимфоцитарная инфильтрация.
Эритроплазия Кейера. Заболевание начинается с появления на головке полового члена ярко-красной, с чёткими границами, болезненной бляшки, со слегка шероховатой, бархатистой поверхностью. Бляшка слегка приподнимается над поверхностью кожи. Формы и размеры образования долго не меняются. Малигнизация начинается с изъязвления папилломатозных пролифераций. При гистологии – рак in situ, атипизм и полиморфизм клеток, гипоплазия зернистого и роговых слоев и васкуляризация подлежащей ткани. Эпителиальные клетки имеют веретенообразную, или овальную форму.
Болезнь Боуэна. Имеет вид отдельных бляшек желтовато-коричневого цвета с экзематозной или папиллярной поверхностью, располагающихся на головке полевого члена или внутреннем листке крайней плоти. Гистологически: дискератоз с наличием атипичных клеток /рак in situ/.
Болезнь Педжета. Это постепенно увеличивающаяся экзематозная поверх-ность, покрытая корками и чешуйками, которая располагается на коже головки полового члена и внутреннем листке крайней плоти. Гистологически - атипичный эпителий с округлыми светлыми клетками со слабоокрашенными ядрами (клетки Педжета).
Вирусные папилломы (остроконечные кондиломы). Это, как правиле, множественные, безболезненные образования, локализующиеся преимущественно на внутреннем листке крайней плоти, чаще на дорсальной её поверхности, на венечной борозде. Гистологически: утолщенный эпителий, гиперкератоз, умеренное развитие соединительно-тканой стромы, большое количество расширенных сосудов, вакуолизация клеток мальпигиева слоя и явления спонгиоза, паракератоз. В условиях длительного существования, рецидивирующего течения, неправильного (неаблатического) лечения может произойти переход в предраковое состояние. Одновременно возможно усиление пролиферации клеток на ворсинах, избыточное ороговение с образованием толстого рогового слоя, сглаживающего ворсины.
Лечение вирусных папиллом (ВП) * Изолированные ВП небольших размеров – консервативное лечение: подофиллином или раствором трихлоруксусной кислоты, рекомбинантный альфа-интерферон или его индукторы, 5% мазь 5 фторурацила При расположении, ВП в уретре лечение 5-фторурациловым кремом Иссечение с помощью электроножа Круговое иссечение крайней плоти обязательным гистологическим исследованием удаленного матнриала Лазерное лечениеs - Nd: YА G j CO2- лазеры
Лечение других доброкачественных опухолей полового члена (ДОПЧ) Лечение в основном – хирургическое: электроэксцизия опухоли в пределах здоровых тканей. При расположении опухоли на крайней плоти – круговое иссечение ее При внутрикожной или подкожной локализации опухоли – ее иссечение При избыточном роговом покрове на поверхности лейкоплакии, наличии эритроплазии Кейра - лучевая терапия Одиночные остроконечные кондилломы: аппликации 0,5% раствором подофиллотоксина (кондилин), в уретре - ТУР При распространенном поражении остроконечными кондилломами - лазерное или хирургическое удаление образованийкондилломами, а при обширном поражении – круговое иссечение крайней плоти При распространенном или колцеобразном поражении уретры – ежедневные инстилляции 5-фторурацилового крема (7 дней)
Патоморфология В 95% представлены плоскоклеточным раком. Частота мезенхимальных едва достигает 3% Описаны случаи метастазирования рака мочевого пузыря, простаты, почки и прямой кишки в половой член.
Рак полового члена Относительно редкое заболевание. Может развиться на фоне предопухолевых заболеваний (лейкоплакия, эритроплазия Кейра и др.). Почти во всех случаях развивается плоскоклеточный рак с высокой степенью дифференцировки. Обычно поражается тело полового члена, уретра вовлекается исключительно редко. Метастазы образуются с обеих сторон в паховых, тазовых и забрюшинных лимфатических узлах, легких. Опухолевые разрастания имеют медленное развитие, затем наступают изъязвление, кровоточивость, воспалительные осложнения, возникает фимоз.
Классификация злокачественных новообразований полового члена C60 Злокачественное новообразование полового члена C60.0 ЗНО крайней плоти полового члена C60.1 ЗНО головки полового члена C60.2 ЗНО тела полового члена C60.8 Поражение полового члена,выходящее за пределы вышеуказан.локализаций C60.9 ЗНО полового члена неуточненной локализации
Рак полового члена Рак полового члена – злокачественные новообразования полового члена. Возникают на 60-80% чаще у пациентов, у которых не проводилось обрезание. Этиология – смегма обладает канцерогенным действием, её длительное присутствие в препуциальном мешке создает условие для развития рака полового члена. .
Факторы риска возникновения злокачественных новообразований полового члена Вирус папилломы человека Фимоз (сужение крайне плоти) Курение Лечение псориаза СПИД (синдром приобретенного иммунодефицита) Лейкоплакия Бовеноидный папулез
Клиническая картина злокачественных новообразований полового члена Основным симптомом рака пениса является наличие опухоли. Различают экзофитную и эндофитную формы роста рака. Опухоль постепенно увеличивается в размерах, может переходить с головки полового члена на кавернозные тела. На ранних этапах заболевания клинические проявления не выражены, особенно в случае фимоза. Боль не является характерным симптомом заболевания. Метастазы опухолей в первую очередь поражают паховые лимфатические узлы, увеличение которых при пальпации выявляют у 40-80% пациентов с раком полового члена
Как проявляется рак полового члена? небольшого измененного участка кожи; язвочки, эрозий; разрастаниями в виде «цветной капусты»; болей в области изменений, увеличение паховых лимфатических узлов, появлением примеси крови в моче, болями при мочеиспускании.
типы плоско-клеточного рака классический, базалиоидный, веррукозный, бородавчатый, веррукозная карцинома, папиллярная карцинома, смешанная карцинома, саркоматоидный, аденосквамозный.
варианты роста плоско-клеточного рака поверхностно-распространяющийся, узловой или с вертикальным ростом, веррукозный. высокодифференцированный G1, умереннодифференцированный G2, низкодифференцированный G3 рак полового члена.
Эндофитный рак головки полового члена
Локализация на головке полового члена (48%) и крайней плоти (21%), реже поражается тело полового члена. Рак полового члена метастазирует лимфогенно, в 3% случаев, и являются результатом гематогенного распространения опухоли. Диссеминация опухолевого процесса развивается постепенно. При этом в первую очередь поражаются паховые, затем – тазовые лимфоузлы, и лишь после этого появляются отдаленные метастазы.
Стадийность заболевания: I стадия -локализованная опухоль без метастазов. Высокоэффективно удаление опухоли в пределах здоровых тканей или лучевая терапия. После облучения могут развиться сужение уретры, кожные изменения, атрофия. Рецидив болезни появляется редко. Через 5 лет здоровы 90% больных. Стадия II отличается наличием метастазов в лимфатических узлах. Лечение аналогичное, дополнительно на паховые и тазовые лимфатические узлы проводят лучевую терапию. В дальнейшем местный рецидив появляется редко, но метастазы могут развиваться. Пятилетняя выживаемость — 30%. Стадия II!-IV — неоперабельная первичная опухоль с метастазами в лимфатические и другие органы и ткани или без них. Паллиативное значение имеет удаление полового члена, лучевая терапия и химиотерапия (режимы лечения аналогичны используемым при распространенном раке кожи).
Классификация рака полового члена *По системе TNM, Клиническая классификация (Трапезникова М.Ф. и соавт, 1989): 1 стадия – опухоль диаметром до 2 см ограничена кожей головки полового члена, N=0 2а,б стадия – опухоль более 2см в диаметре, инфильтрирующая пещеристые тела, N=0 или N+ 3 а, б стадия - опухоль разрушает пещеристые тела, прорастает в уретру, N=0 или N+ 4 а,б стадия – опухоль более занимает более ½ полового члена, разрушает пещеристые тела, прорастает в уретру, N=0 или N+ ; М=0 или М+
Метастазирование: При инвазии рака полового члена в кавернозные тела, опухоль захватывает не сами синусы и щели, а соединительнотканные перегородки между ними. При этом кавернозные пространства сдавливаются, отток крови из них затруднён, что является одной из причин редкого гематогенного метастазирования. Метастазирование рака полового члена происходит, в подавляющем большинстве случаев, по лимфатическим путям. Чаще всего метастазы в регионарных лимфатических узлах определяются при узловатой форме рака. Наиболее редко - при папиллярной. Отдалённые метастазы рака полового члена редки. Возможны метастазы в печень, лёгкие, кожу живота.
Клиника рака: Средний возраст больных- 37-42 года. Чаще у национальностей, не производящих циркумцизм в младенчестве! Фимоз? (врождённый или приобретённый) У больных без врождённого сужения КП появляются первоначально внезапные изменения на половом члене. Уплотнение и гноетечение из-под КП. В запущенных формах - расстройство мочеиспускания, приапизм, напряженное мочеиспускние, узость струи, разбрызгивание ее, зуд, жжение, неприятные ощущения во время мочеиспускания, длительную эрекцию. В редких случаях мужчины обращаются впервые с жалобами на увеличение паховой железы.
Клиника рака полового члена (РПЧ) *РПЧ локализуется преимущественно на головке ПЧ, внутреннем листке крайней плоти * РПЧ часто протекает бессимптомно при закрытой полости крайней плоти *При присоединении воспаления возникает боль, жжение, зуд, гиперемия и отек крайней плоти *Различают экзофитную ( папиллярную, грибовидную) и эндофитную (узловатую, язвенную) формы РПЧ * 1-й поражающийся лимфоузел («сторожевой» сентинелевый) располагается у лонного бугорка и поверхностной эпигастральной вены
методы диагностики рака полового члена -осмотр -цитологическое исследование и биопсия - ультразвуковое исследование полового члена, - магниторезонансная томография полового члена, -компьютерная томография органов малого таза, -определение уровня кальция крови.
Диагностика: Несвоевременна часто. В начале заболевания – мало признаков. Часто путают с воспалительными и венерическими заболеваниями. Ориентировка - анамнез, клиника, такие методы исследования как анализ крови,УЗИ, лимфоаденография. Цитология (но не в период воспаления!) Биопсия (с достаточным или глубоким иссечением участка).
Диагностика злокачественных новообразований полового члена Диагностика в поздних стадиях обычно не представляет трудностей, , при начальных проявлениях требуется проведение дифференциальной диагностики с предраковыми заболеваниями, сифилисом, туберкулезом и язвенным баланопоститом Биопсии новообразования с последующим гистологическим исследованием Кавернозография Компьютерная томография Магнитно-резонансная томография
Диагноз рака полового члена устанавливают при цитологическом исследовании отпечатков или пунктата из опухоли, а также в результате гистологического исследования при биопсии. Диагноз часто ставят с большой задержкой из-за поздней обращаемости больного, в связи с чем чрезвычайно важны информация о возможности излечения рака полового члена в ранних стадиях и профилактические осмотры.
Диагноз устанавливают при цитологическом исследовании отпечатков или пунктата из опухоли, а также в результате гистологического исследования при биопсии. Диагноз часто ставят с большой задержкой из-за поздней обращаемости больного, в связи с чем чрезвычайно важны информация о возможности излечения рака полового члена в ранних стадиях и профилактические осмотры.
TNM Первичный очаг: Tx – первичный очаг не может быть выявлен, T0 – нет доказанного первичного очага, Tis – In situ, Ta – не инвазивная бородавчатая карцинома, T1 – опухоль с прорастанием в подэпителиальную соединительную ткань, T2 – опухоль с прорастанием в кавернозное или губчатое тело, T3 – опухоль с прорастанием в уретру или простату, T4 – опухоль с прорастанием в смежные органы. Лимфатические узлы: Nx – региональные лимфоузлы не могут быть оценены, N0 – нет доказанных метастазов в региональных лимфоузлах, N1 – единичный метaстаз в паховый лифоузел, N2 – метастазирование нескольких лимфоузлов с одной стороны или единичные с обеих сторон, N3 – метастазирование глубоких паховых и тазовых лимфоузлов. Отдаленные метастазы: Mx – отдаленные метастаирование не может быть оценено, M0 – нет доказанных отдаленных метастазов, М1 – наличие отдаленных метастазов.
Стадийность заболевания: I стадия -локализованная опухоль без метастазов. Высокоэффективно удаление опухоли в пределах здоровых тканей или лучевая терапия. После облучения могут развиться сужение уретры, кожные изменения, атрофия. Рецидив болезни появляется редко. Через 5 лет здоровы 90% больных. Стадия II отличается наличием метастазов в лимфатических узлах. Лечение аналогичное, дополнительно на паховые и тазовые лимфатические узлы проводят лучевую терапию. В дальнейшем местный рецидив появляется редко, но метастазы могут развиваться. Пятилетняя выживаемость — 30%. Стадия II!-IV — неоперабельная первичная опухоль с метастазами в лимфатические и другие органы и ткани или без них. Паллиативное значение имеет удаление полового члена, лучевая терапия и химиотерапия (режимы лечения аналогичны используемым при распространенном раке кожи).
Дифференцировать с: баланопоститом сифилисом остроконечной кандиломой мягким шанкром туберкулёзом
Лечение рака полового члена Методом выбора – удаление первичной опухоли в пределах здоровых тканей Циркумцизия Чаще показана комбинированная терапия: сочетание хирургического лечения и лдучевой или полихимиотерапии Частичная ампутация ПЧ с последующей пластикой Тотальная пенэктомия Радикальная лимфаденэктомия При эритроплазии Кейра, болезни Боуэна м.б. использовано иссеченрие, фульгурация(разрушениеп) образования, лучевая или местная терапия с примененим 5-фторурацила При комбинированном лечении РПЧ 5-летняя выжываемость достигает 60-70% больных
Какие методы лечения рака полового члена? Консервативными методами лечения: - лучевая терапией и брахитерапия - лазерная терапия - криотерапия - местная терапия - химиотерапия
Лечение: хирургическое лучевая терапия химиотерапевтический (цисплатин, винбластин) комбинированный методы При фимозе на первом этапе лечения необходимо производить циркумцизию и лишь затем облучение. В поздних, запущенных стадиях, лучевая терапия применяется как паллиативное пособие.
Лечение злокачественных новообразований полового члена Золотым правилом при лечении пациентов с раком полового члена является парциальная или тотальная пенэктомия. Лучевая и химиотерапия позволяют улучшить результаты хирургического лечения.
Операции при злокачественных новообразованиях полового члена К наиболее распространенным операциям при злокачественных новообразованиях полового члена относятся: частичная ампутация, скальпирование, полная ампутация и эмаскуляция. У ряда больных применяют два или все три метода лечения. Последние годы все чаще используют микрохирургическую технику и лазер, что позволяет добиться хороших лечебных и косметических результатов.
оперативные методы лечения, которые включают в себя удаление первичного очага, удаление паховых и тазовых лимфоузлов, а также более агрессивных методик с удалением части костей малого таза.
Лечение: частичная ампутация ампутация на уровне лонного сочлененияс промежностной уретростомией эмаскуляция скальпирование при метастазах в регионарные лимфатические узлы, операция Дюкена.
Операции при злокачественных новообразованиях полового члена Частичная ампутация Полная ампутация
Операции при злокачественных новообразованиях полового члена Скальпирование Эмаскуляция
реконструкции полового члена микрохирургические методики тотального или частичного восстановления полового члена, восстановлением мочеиспускательного канала, чувствительности, плотности полового члена, достаточной для совершения полового акта. протезирование вновь созданного полового члена (неофаллоса) современными фаллопротезами.
Опухоли мочеиспускательного канала * Опухоли: доброкачественные (чаще у мужчин в возрасте 20-30 лет), злокачественные (чаще у женщин) * Этиология и патогенез: - химическая теория (метаболиты ароматических аминов, в том числе и эндогенные метаболиты: скатол, индол и т.п.), - хронический воспалительный процесс и рецидивирующий уретрит (у мужчин - длительное раздражение уретры слизисто-гнойным отделяемым при стриктурах и травмах ее , в том числе инфицированной смегмой и гноем при фимозе и баланопостите), - вирусная теория ( остроконечные кондиломы)
Доброкачественные опухоли уретры (ДОУ) * Опухоли уретры развиваются: • из слизистой мочеиспускательного канала и его желез (папилломы,полипы, карункулы,кондиломы) • из соединительной ткани, мышечной оболочки мочеиспускательного канала (фибромы, миомы, фибромиомы) • из нервной и сосудистой тканей (нейрофибромы, ангиомы)
Характеристика ДОУ *Папилломы уретры: одиночные или множественные сосочковые образования на широком основании или длинной ножке, розового или темно-красного цвета, мягко-эластической консистенции. Чаще они располагаются вокруг меатуса, у мужчин - в области ладьевидной ямки, по ходу уретры *Полипы: опухолевидные образования на ножке, мягкой консистенции, светло-розового цвета; располагаются проксимально или дистально от наружного отверстия уретры, иногда закрывает ее просвет. Возможна малигнизация опухоли * Кондиломы: располагаются как на покровах наружных половых органах, так и на слизистой оболочке дистальной части уретры. Возможны тотальное поражение уретры, малигнизация опухоли *Карункул: опухоль мягкой консистенции, ярко-красного цвета, поверхность ее бархатистая, легко кровоточит * Фиброма, миома, фибромиома: округлой или овальной формы, растут медленно, иногда достигают больших размеров, вызывая нарушение мочеиспускания * Ангиомы: сосудистое образование темно-синего цвета, располагается чаще у наружного отверстия уретры *
Клиника ДОУ *Клиническая картина зависит от локализации - опухоли, располагающиеся в области меатуса, ладьевидной ямки не вызывают субъективных расстройств - опухоли, локализующиеся по ходу уретры, сопровождаются уретроррагией, гноетечением с примесью крови, при обширном поражении – нарушениями акта мочеиспускания - опухоли задней части уретры характеризуются выраженным нарушением мочеиспускания, гемоспермией, преждевременным семяизвержением, беспричинными эрпекциями, редко приапизмом, снижением либидо
Диагностика ДОУ Жалобы, анамнез Клинические проявления Осмотр, пальпация Пальпация двуручным приемом мембранозной и бульбозной уретры: осуществляется указательным пальцем руки в перчатке, введенным в анальное отверстие, и большим пальцем со стороны промежности Ультразвуковое исследование Ретроградная уретрография Уретроскопия Биопсия МСКТ, КТ
Лечение ДОУ Электрокоагуляция опухолей, располагающихся в области меатуса, ладьевидной ямки Резекция участка пораженного канала Эндоскопическая электрокоагуляция опухолей, локализующиеся по ходу уретры (через уретроскоп) Оперативное лечение по методу И.П.Шевцова и Н.С.Левковского (1986) при множественных кондиломах и значительной протяженности поражения уретры: продольное рассечение вентральной поверхности уретры, сшивание краев ее с кожей, ис сечение новообразования с коагуляцией его основания. При отсутствии рецидива в течение года -пластика уретры местными тканями ТУР при одиночных опухолях в глубоких отделах уретры Многоэтапные операции при обширном поражении уретры: резекция уретры+эпицистостомия, формирование мочеиспускательного канала, восстановление его непрерывности
Злокачественные опухоли уретры (ЗОУ) * Средний возраст заболевших ЗОУ – около 50 лет. * ЗОУ чаще встречаются у женщин , выявляются внутри дивертикула уретры * У мужчин ЗОУ располагаются в 60% случаев в бульбомембранозной части уретры, в 30% - в висячем отделе, в 10% - в простатическом, редко встречается аденокарцинома куперовых желез Из эпителия мочеиспускательного канала растут плоскоклеточный ороговевающий и неороговевающий рак, из парауретральных протоков и желез – аденокарциномы Крайне редко встречаются ЗОУ неэпителиального происхождения (меланосаркома,мелкоклеточная и веретенообразная саркома, рабдомиосаркома ), располагающиеся в основном в задней уретре
Морфологическая структура ЗОУ *При гистологическом исследовании у 80% больных диагностируется плоскоклеточный рак (сквамозно-клеточная карцинома), у 15% – переходно-клеточный, у 5% — аденокарцинома, меланома или недифференцированные опухоли уретры. Макроскопические формы рака мужской уретры: ворсинчатая и инфильтрирующая. Рак прорастает в спонгиозное тело полового члена, в окружающие ткани промежности. Метастазирование:гематогеннно и лимфогенно (опухоли передней уретры – в поверхностные и глубокие паховые лимфоузлы; задней уретры – в наружные подвздошные, запирательные, подчревные лимфоузлы Переходноклеточный рак мочевого пузыря дает имплантационные метастазы в зону задней уретры
Международная классификация рака уретры по TNM (1997) Т – первичная опухоль Тх – первичная опухоль не может быть оценена; Т0 – нет данных о первичной опухоли; Та – неинвазивная папиллярная, полиповидная или бородавчатая карцинома; T1 – опухоль распространяется на субэпителиальную соединительную ткань; Т2 – опухолевая инвазия следующих структур: губчатого тела, простаты, периуретральцых мышц; Т3 – опухолевая инвазия следующих структур: пещеристого тела, простаты, тканей за простатической капсулой, передней стенки влагалища, шейки мочевого пузыря; Т4 – опухоль распространяется на другие смежные органы;
Международная классификация рака уретры по TNM (1997) N — регионарные лимфатические узлы (паховые и тазовые); Nx — регионарные лимфатические узлы не могут быть оценены; N0 — нет метастазов в регионарных лимфатических узлах; N1 — метастаз в одном регионарном лимфатическом узле не более 2 см в наибольшем измерении; N2 — метастаз в одном регионарном лимфатическом узле более 2 см в наибольшем измерении или во многих лимфатических узлах; М — отдаленные метастазы; Мх — отдаленные метастазы не могут быть оценены; М0 — нет отдаленных метастазов; М1 — отдаленные метастазы.
Степень гистологической градации (G) Gx — степень дифференцировки не может быть оценена; G1 — высокодифференцированная опухоль; G2 — умеренно дифференцированная опухоль; G3 — низкодифференцированная опухоль; G4 — недифференцированная опухоль.
Симптоматика ЗОУ у мужчин *В ранних стадиях: незначительные нарушения акта мочеиспускания, микрогематурии, приапизм * ОЗУ на основании этих жалоб не выявляют в течение 12-18 месяцев, диагностируя стриктуру уретры, заболевания простаты и многие другие болезни * В более поздних стадиях: дизурия и инициальная гематурия; боли в уретре промежности и/или при половом акте (диспареуния), серозно-сукровичные, слизисто-гнойные выделения из уретры; мучительные эрекции, острая задержка мочеиспускания, при инфильтрирующем росте - отек мошонки и полового члена за счет лимфо- и флебостаза, парауретральные абсцессы и свищи; увеличение лимфатических узлов, образование бугристого инфильтрата на промежности У 20-30% больных пальпируются увеличенные паховые лимфоузлы
Симптоматика и клиническое течение рака уретры у мужчин Опухоль может поражать любые отделы мочеиспускательного канала у мужчин. Но данным сводной статистики, приводимой Л. Я. Дунаевским и соавт., первичный рак уретры у мужчин чаще располагается в бульбарно-мембранозном отделе (59%), реже — в висячем (34%), и еще реже — в простатическом отделе уретры (7%). Рак в ладьевидной ямке мочеиспускательного канала у мужчин встречается крайне редко. В противоположность раку, ладьевидная ямка является самым частым местом обнаружения меланомы.
Симптоматика и клиническое течение рака уретры у мужчин При злокачественной меланоме мужской уретры больные предъявляют жалобы на: уретроррагию; гематурию; дизурию; затрудненное мочеиспускание; увеличение паховых лимфатических узлов; меланурию. Одним из симптомов меланомы уретры у мужчин считают пигментные пятна на головке полового члена и полагают, что при локализации меланомы в области наружного отверстия уретры или в ладьевидной ямке она первично исходит из головки полового члена.
Диагностика рака уретры Расспрос больного позволяет лишь заподозрить опухоль мочеиспускательного канала как у мужчин, так и у женщин. Обращают внимание на наличие инициальной гематурии, которая является важным симптомом заболевания, а также на кровянистые выделения из уретре (уретроррагию), «контактные» кровотечения из мочеиспускательного канала у женщин, затрудненное мочеиспускание, сужение и разбрызгивание струи. Опухоль уретры следует подозревать и при беспричинном появлении свища промежности у пожилого мужчины. Некоторые авторы подчеркивают определенное диагностическое значение таких симптомов, как образование абсцесса в области парауретральных тканей, отек мошонки или полового члена, появление мучительных эрекций.
Диагностика рака уретры у мужчин Жалобы: в 47%, наблюдаются ухудшение акта мочеиспускания, обструкция нижних мочевых путей, в 31% - парауретральный абсцесс, в 22% - инициальная гематурия, гнойные выделения из наружного отверстия мочеиспускательного канала, в 20% - свищи промежности. (V. Srinivas и соавт.,1988), Анамнез (более 50% разрвитию болезни предшествовала стриктура бульбомембранозного отдела уретры, почти 50% - ранее перенесли венерические заболевания) Осмотр, пальпация (в том числе двуручным приемом мембранозной и бульбозной уретры: опухоль определяется в 79% случаев). Ультразвуковое исследование Цитологическое исследование клеточного материала из уретры ( соскоб, мазок, промывные воды) Ретроградная уретрография Уретроскопия Биопсия МСКТ, КТ,МРТ
Цитологическое исследование Цитологическое исследование мазков-отпечатков из мочеиспускательного канала является вспомогательным методом распознавания опухолей уретры. Некоторые урологи для цитодиагностики предлагали делать соскоб подозрительных участков с помощью кольцевидной кюретки. Признаком опухоли мочеиспускательного канала является присутствие в мазках-отпечатках, соскобах или аспираци-онном материале одиночных опухолевых клеток или их комплексов. Для рака уретры характерно наличие крупных клеток, их полиморфизм, различные размеры, изменения ядер. Однако отрицательные результаты подобного исследования еще не означают отсутствия опухоли.
Лечение ЗОУ *При опухоли, захватывающей только слизистую оболочку, расположенной в области меатуса и ладьевидной ямки, показана меатотомия с резекцией канала, отступя от опухоли не менее 2см. + лучевая терапия *При локализации опухоли в пенильной части уретры – частичная ампутация полового члена в пределах здоровых тканей *При опухолях бульбокавернозной части уретры –полная ампутация полового члена в сочетании с пред- и послеоперационной лучевой терапией *При распространенных формах – эмаскуляция с промежностной уретрокутанеостомией Удаление опухоли сочетается с удалением регионарных лимфатических узлов В литературе описаны и «сверхрадикальные» операции: простатуретроэктомия, эмаскуляция и проксимальная корпорэктомия, цистэктомия, резекция лонных костей
Уретроскопия При осмотре уретры определяют: расположение опухоли; ее размеры; цвет; характер поверхности; наличие или отсутствие ножки; состояние слизистой оболочки уретры вокруг опухоли.
Цистоуретроскопия:опухоли мочевого пузыря и задней уретры
Уретрография Рак шейки мочевого пузыря. Дефект наполнения с фестончатыми контурами в области шейки мочевого пузыря (а). Удлинена pars retrocollicularis (б), скопление контрастного вещества в области семенного бугорка (в).
Уретрография При раке мочеиспускательного канала на уретрограмме определяется дефект наполнения с неровными изъеденными контурами. Метод позволяет выявить локализацию опухоли, ее размеры, протяженность. На нисходящей уретрограмме может быть расширение уретры выше места расположения опухоли.
Гистологическая верификация Биопсия нередко приобретает решающее значение в диагностике опухолей мочеиспускательного канала. Биопсию многие урологи рекомендуют выполнять для уточнения диагноза и дифференциальной диагностики злокачественных и доброкачественных опухолей уретры. При гистологическом исследовании ткани опухоли мочеиспускательного канала, полученной путем биопсии, можно не только поставить диагноз, но и определить степень малигнизации, правильно выбрать метод лечения и оценить прогноз заболевания.
Лечение больных раком уретры Выбор метода лечения больных, страдающих раком уретры, зависит от расположения опухоли, степени дифференцировки раковых клеток и распространенности опухоли. Лечение всех больных, страдающих раком мочеиспускательного канала, должно быть комбинированным. В настоящее время установлено, что применение у больных злокачественными опухолями уретры противоопухолевых препаратов и лучевой терапии улучшает результаты операции, но не является самостоятельным методом лечения.
Оперативное лечение у мужчин Оперативное лечение рака мочеиспускательного канала в зависимости от локализации, величины и распространения опухоли может включать следующие вмешательства: 1) трансуретральную электрорезекцию (эксцизию) опухоли на первой стадии рака; 2) открытую резекцию уретры вместе с опухолью в пределах здоровых тканей на I и II стадиях опухоли, расположенной в губчатом отделе мочеиспускательного канала;
Оперативное лечение у мужчин 3) частичную ампутацию полового члена при локализации рака в переднем отделе уретры, когда опухоль прорастает в кавернозные тела; 4) полную ампутацию полового члена, которую выполняют при локализации опухоли в заднем отделе уретры; это вмешательство может сочетаться с удалением мошонки и ее органов при прорастании опухоли в простату и мочевой пузырь (простатовезикулэктомия и цистэктомия).
Оперативное лечение у мужчин Трансуретральную резекцию рака мочеиспускательного канала В.Н. Ticho соавт (1988) считают показанной только при небольшой опухоли Т4. Иногда трансуретральную резекцию злокачественной опухоли сочетают с введением в уретру противоопухолевых препаратов в течение 4-6 мес. Многие авторы в послеоперационном периоде назначают луевую терапию.
Оперативное лечение у мужчин Открытую сегментарную резекцию уретры у мужчин на расстоянии не менее 2 см от края опухоли рекомендуют выполнять на I и II стадия заболевания. Однако М. И. Гойхберг и В. В. Михайличенко считают, что при локализации злокачественной опухоли у мужчин в дистальном отделе мочеиспускательного канала показана не сегментарная резекция уретры, а частичная ампутация полового члена. Ампутацию производят на расстоянии не менее 2 см проксимальнее от видимого или пальпируемого края опухоли в пределах здоровых тканей.
Оперативное лечение у мужчин При опухолях заднего отдела мочеиспускательного канала производят полную ампутацию полового члена в сочетании с пред- и послеоперационной лучевой терапией. При поражении бульбомембранозной части уретры с распространением опухоли на мошонку, но без вовлечения в процесс лобковых костей, показана эмаскуляция (удаление полового члена, мошонки и ее органов) с промежностной уретрокутанеостомией.
Оперативное лечение у мужчин Большинство урологов считают необходимым при ампутации полового члена удалять и регионарные лимфатические узлы. Лимфаденэктомию у мужчин можно выполнить одновременно с пенэктомией или после заживления раны. Общепризнанным методом пахово-бедренной лимфаденэктомии является операция, предложенная в 1934 г. Дюкеном и носящая его имя.
Оперативное лечение у мужчин При прорастании опухоли заднего отдела уретры в простату или в мочевой пузырь одновременно с амутацией полового члена вьполняют и цистэктомию. При инвазивной злокачественной опухоли задней уретры с вовлечением в процесс костей некоторые хирурги считают необходимой после предоперационного облучения резекцию нижних ветвей лобковых костей с частичной или полной симфизэктомией, простатэктомией и цистэктомией. Однако после этого вмешательства высока послеоперационная летальность, а рецидивы заболевания в течение первого месяца после операции состовляют 42%.
Оперативное лечение у мужчин Все оперативные вмешательства выполняемые по поводу рака мочеиспускательного канала у мужчин, проводятся в сочетании с лучевой терапией. Большинство урологов считают, что проведение лучевого лечения без удаления самой опухоли не может быть эффёктивным. Химиотерапия применяется только при метастазах рака уретры. Обычно назначают цисплатин, винбластин, адриамицин.
Прогноз при злокачественных опухолях уретры более благоприятен после своевременного комплексного лечения. Общая пятилетняя выживаемость больных раком уретры после оперативного лечения составляет около 30%. При локализации опухоли в переднем отделе уретры пятилетняя выживаемость значительно выше (60%), чем при локализации заднем отделе (14%).
Аденома предстательной железы ( лат. adenoma prostatae), по современной терминологии доброкачественная гиперплазия предстательной железы (ДГПЖ) – доброкачественное новообразование, развивающееся из железистого эпителия простаты. При этом в простате образуется маленький узелок (или узелки), который растет и постепенно сдавливает мочеиспускательный канал. Вследствие такого сдавления возникает нарушение мочеиспускания. ДГПЖ имеет доброкачественный рост, то есть не дает метастазов. Это коренным образом отличает ДГПЖ от рака предстательной железы, основным ориентиром начала злокачественного перерождения предстательной железы является показатель простата-симптом антигена.
Нормальная (слева) и увеличенная (справа) предстательная железа МКБ-10N40.МКБ-9600DiseasesDB10797eMedicinemed/1919 MeSHD011470
Эпидемиология По статистике, половина мужчин старше 50 лет обращаются к врачу по поводу ДГПЖ. В редких случаях аденома предстательной железы развивается у мужчин более молодого возраста. С увеличением возраста мужчины риск заболевания значительно увеличивается. Считается, что со временем она развивается у 85 % мужчин. У 15-20% мужчин пожилиго и старческого возраста вместо ДПГЖ наблюдается увеличение железы в разной степени или ее атрофия. ДГПЖ является самым распространенным урологическим заболеванием.
Патогенез Чаще всего аденома простаты развивается в центральной части железы, захватывая и её боковые доли, ее рост связан с аденоматозным разрастанием парауретральных желез, что ведет к смещению собственной ткани железы кнаружи и образованию как бы капсулы аденомы. Аденома разрастается как в сторону мочевого пузыря так и в сторону прямой кишки, при этом происходит смещение внутреннего отверстия мочевого пузыря кверху и удлиннение задней части мочеиспускательного канала. По типу роста различают: подпузырную форму (опухоль растёт в сторону прямой кишки), внутрипузырную форму (опухоль растёт в сторону мочевого пузыря), ретротригональную форму при которой опухоль расположена под треугольником мочевого пузыря. Нередко наблюдается многоочаговый рост опухоли.
Клиника Клинические проявления зависят от локализации опухоли, её размеров и темпов роста, степени нарушения сократительной функции мочевого пузыря. Выделяют 3 стадии заболевания 1 стадия -Компенсированная - проявляется задержкой начала мочеиспускания - струя мочи вялая, частыми позывами и учащенным мочеиспусканием, особенно по ночам. Железа увеличена, плотноэластической консистенции, границы ее четко очерчены, срединная борозда хорошо пальпируется, пальпация железы безболезненная. Мочевой пузырь опорожняется полностью - остаточной мочи нет. Первая стадия длится 1–3 года. 2 стадия - Субкомпенсированная- по мере развития сдавления мочеиспускательного канала мочевой пузырь уже не способен адекватно функционировать и полностью изгонять мочу - появляется остаточная моча, ощущается неполнота опорожнения мочевого пузыря, cтенки мочевого пузыря значительно утолщаются; больные мочатся малыми порциями, а затем моча начинает выделяться непроизвольно вследствие переполнения мочевого пузыря (пародоксальная ишурия); иногда моча мутная или с примесью крови, наблюдается острая задержка мочи, присоединяются симптомы хронической почечной недостаточности.
3 стадия - Декомпенсированная - из-за большого количества остаточной мочи, пузырь сильно растянут, моча выделяется по каплям, она мутная или с примесью крови. Ухудшение оттока мочи из почек, ведет к нарушению функции почек (почечной недостаточности); из общих симптомов наблюдаются слабость, похудание, сухость во рту, запах мочи в выдыхаемом воздухе, плохой аппетит, анемия, запоры.
Диагностика Основана на характерных жалобах мужчины (для их стандартизации используют Международную шкалу оценки простатических симптомов — I-PSS), клиническом осмотре больного и таких методах исследования как: Пальцевое (пальпаторное) ректальное исследование предстательной железы Метод дает представление о величине и консистенции предстательной железы, болезненности, наличие бороздки между долями простаты (в норме она должна быть). Лабораторные исследования Включают общий анализ мочи, биохимический анализ крови, определение уровня ПСА (простатспецифического антигена) в крови.
Инструментальные методы исследования Ультразвуковое исследование Позволяет дать представление о размерах каждой доли предстательной железы, состоянии ее паренхимы (наличие узловых образований, камней), наличие остаточной мочи. Модификацией УЗИ предстательной железы является трансректальное УЗИ (ТрУЗИ). Урофлоуметрия Объективно оценивает скорость мочеиспускания. Рентгенологические методы исследования Методы обзорной рентгенографии (без контраста) и экскреторная урография (с применением контраста) позволяют определить наличие осложнений течения аденомы простаты: камни в почках и мочевом пузыре, расширение чашечно-лоханочной системы почек и дивертикулы.
УЗИ: ДГПЖ
Опухоль простаты (субтригональный рост)
Опухоль простаты (эндоскопическая картина Аденоматозные узлы, удаленные во время операции
. Вентральная перфорация простаты при форсированном проведении инструмента в мочевой пузырь
Открытая перфорация простаты. Путь распространения ирригационной жидкости (стрелка) в парапростатическое (паравезикальное) пространство.
Медикаментозное лечение Разделяются на два типа: Препараты первого типа снижают тонус гладкой мускулатуры шейки мочевого пузыря и предстательной железы. Из-за этого давление на мочеиспускательный канал ослабевает, и ток мочи по уретре облегчается. 1 тип - альфа-адреноблокаторы короткого и пролонгированного действия (теразозин, доксазозин и тамсулозин) Препараты второго типа блокируют переход тестостерона в его активную форму дигидротестостерон тем самым уменьшают объем предстательной железы, что также облегчает давление на канал. 2 тип - блокаторы 5-альфа-редуктазы (финастерид)
Фитотерапия Фитолечение пользуется популярностью, для лечения применяются фитопрепараты из: плодов американской карликовой вееролистной пальмы (пальма Сабаля)- (ПростаСабаль), пальмы ползучей (Пермиксон, Простамол – Уно, Простоплант), коры сливы африканской (Трианол, Таденан), экстракта пыльцы растений (Цернилтон), экстракта цветков опунции (растение из семейства кактусовых), эктракт корней крапивы (Проставерн-Уртика, Уртирон и др.), масла семян тыквы (Пепонен, Тыквеол и др). Также используются рецепты народной медицины: водный экстракт из кожуры семян каштана конского, настой из травы кипрея мелкоцветкового, лещина обыкновенная (отвар листьев, экстракт скорлупы орехов); лук репчатый (свежие луковицы, настой луковиц); льнянка обыкновенная (настой травы), омела белая (настойка листьев и молодых побегов); осина обыкновенная (отвар почек и коры, настой коры, почек, листьев); спаржа лекарственная (отвар корневищ с корнями, настой травы и плодов), лопух большой (отвар корней); мед и др. Следует учитывать что фитолечение не дает быстрый эффект а лишь замедляет патологический процесс.
Оперативные методы лечения В тяжелых случаях, как правило, прибегают к хирургическому вмешательству, оно заключается в иссечении аденомы - аденомэктомии. При этом существуют два вида операций: 1.Открытые (трансвезикальная аденомэктомия) - с доступом через стенку мочевого пузыря. Применяются в запущенных случаях, они более травматичны, но обеспечивают полное излечение от заболевания. 2.Малоинвазивные операции (с минимальным объемом хирургического вмешательства) — без разреза, через мочеиспускательный канал, с использованием современной видеоэндоскопической техники: Трансуретральная резекция предстательной железы (ТУРП или ТУР) аденомы простаты. Трансуретральная электровапоризация предстательной железы Трансуретральная инцизия предстательной железы Осложнения операций По степени распространенности: недержание мочи, стриктура уретры (сращение мочеиспускательного канала), импотенция, ретроградная эякуляция (заброс спермы в мочевой пузырь).
Неоперативные методы К неоперативным методам лечения относятся: Баллонная дилатация предстательной железы (расширение суженного участка с помощью раздувания баллона, вводимого в мочеиспускательный канал); Установка простатических стентов в область сужения; Метод термотерапии или микроволновой коагуляции простаты; Фокусированный ультразвук высокой интенсивности; Трансуретральная игольчатая абляция; Криодеструкция.
Рак предстательной железы По частоте возникновения стоит на одном из первых мест у мужчин. Наиболее часто диагностируется в возрасте старше 60 лет. Представляет собой аденокарциному различной дифференцировки. Опухоль секретирует муцинсодержащую сиаловую кислоту и содержит кислую фосфатазуи (-глюкуронидазу. Дифференциальный диагноз проводят с аденомой предстательной железы. Аденома имеет четкие контуры, незначительную плотность, отличается медленным ростом.
Рак простаты – одна из самых актуальных медицинских проблем во всем мире Около 15% среди всех новообразований регистрируемых в развитых странах (Heidenreich A., 2007 г) В 2006 г. в Европе заболеваемость раком простаты составил 24 % среди всех новообразований у мужчин и занял 1 место и явился причиной смертности у 11% мужчин (Ferlay J., 2007)
Актуальность: В России рак предстательной железы (РПЖ) занимает 4-е место после рака легкого, желудка и кожи, а по величине прироста - 2-е место после меланомы кожи. Скрытое течение болезни, отсутствие патогномоничных симптомов ранних стадий заболевания приводит к запоздалому обращению к врачам мужчин, в 70%у которых РПЖ впервые выявляется в 3-4-й стадии (Д.Ю.Пушкарь,2003). В связи с поздней диагностикой смертность от РПЖ за последние 20 лет в России увеличилась на 54%, при этом летальность на первом году после установления диагноза составляет около 30%. В современных экономических условиях снижена роль активного выявления РПЖ у лиц старше 50 лет в связи с затруднениями в проведени как диспансеризации здорового населения, так и целенаправленных профилактических осмотров групп повышенного онкологического риска. Это связано с необходимостью для ранней диагностики РПЖ соблюдения последовательности исследований: определение простатспецифического антигена (PSA), ультразвукового и пальцевого ректального исследований (УЗИ, ПРИ) предстательной железы. Окончательный диагноз устанавливается по результатам гистологии биопсийного материала
Рак предстательной железы По частоте возникновения стоит на одном из первых мест у мужчин. Наиболее часто диагностируется в возрасте старше 60 лет. Представляет собой аденокарциному различной дифференцировки. Опухоль секретирует муцинсодержащую сиаловую кислоту и содержит кислую фосфатазуи (-глюкуронидазу. Дифференциальный диагноз проводят с аденомой предстательной железы. Аденома имеет четкие контуры, незначительную плотность, отличается медленным ростом.
Этиология - генетическую предрасположенность, прогрессирующую гиперплазию предстательной железы и влияние канцерогенных факторов. - раком предстательной железы гораздо чаще болеют европейцы и американцы, нежели народы азиатского континента. - отмечено ингибирующее влияние соевой и рисовой диеты, а также регулярный длительный прием витамина Е (а-токоферола). - низкое содержание некоторых микроэлементов (селен, цинк) повышает риск заболевания рака предстательной железы.
Этиология. Причина возникновения рака предстательной железы до настоящего времени окончательно не выяснена. Заболевание нередко выявляют в возрасте после 45—50 лет, к 80 годам его частота возрастает. Экспериментальные и клинические исследования канцерогенеза однозначно указывают на связь обмена мужских половых гормонов (андрогенов) с возникновением рака предстательной железы, что свидетельствует о его гормональной зависимости. Известно резкое прогрессирование опухоли при экзогенном поступлении препаратов тестостерона.
Патогенез Определяется функцией половых желез и концентрацией мужских половых гормонов (андрогенов) в сыворотке крови. Андрогены являются стимуляторами роста, развития и функциональной активности железы в норме. С возрастом у мужчин в предстательной железе увеличивается выработка фермента 5-а-редуктазы, отвечающего за перевод тестостерона в дигидротестостерон, что приводит к нарастанию уровня последнего в тканях железы. Дигидротестостерон в свою очередь индуцирует в простатических клетках синтез инсулиноподобного фактора роста. Образовавшиеся в достаточном количестве дигидротестостерон и инсулиноподобный фактор роста действуют аутокринно на стромальную клетку, а также паракринным путем достигают эпителиальные клетки предстательной железы, усиливая в них синтез РНК белков. Таким образом, повышенное содержание дигидротестостерона в простате вполне может быть одним из пусковых механизмов как доброкачественных, так и злокачественных гиперпластических процессов. С открытием гена НРС 1 (наследственный рак предстательной железы 1) на хромосоме 1 доказана предрасположенность человека, носящего этот ген, к раку предстательной железы.
Рак простаты 86% новых случаев - локализованные 5-летняя выживаемость ● локализованный рак – почти 100% ● метастатический рак – 33,5% ACS, 2005
Стадии рака простаты
Рак предстательной железы (карцинома, рак простаты).
Пути лимфооттока при РПЖ Обтураторные лимфатические узлы Гипогастральные лимфатические узлы Наружные подвздошные лимфатические узлы Общие подвздошные лимфатические узлы Пресакральные лимфатические узлы
Пути лимфооттока от предстательной железы
Клинические признаки неспецифичны. Отмечаются учащенные позывы к мочеиспусканию, особенно ночью; трудности начала мочеиспускания, кровь в моче, болевые ощущения и т.д. Диагноз устанавливают при биопсии. Однако предположение о диагнозе может быть сделано на основании пальпации железы при ректальном исследовании и ультразвуковой томографии.
Симптоматика. Клиника . В начальной стадии рака предстательной железы клинические проявления отсутствуют. Распространение рака предстательной железы от ее периферийных отделов к просвету мочеиспускательного канала может рано вызывать боли в промежности, учащение мочеиспускания, микро- и макрогематурию, гемоспермию и лишь при его сдавлении — симптомы инфравезикальной обструкции. Метастазы рака предстательной железы могут возникать очень рано и быть единственным клиническим проявлением заболевания. Боли в костях позвоночника, таза, тазобедренных суставов метастатической природы могут быть первыми, но уже поздними признаками заболевания. Это делает необходимым внимательно относиться к жалобам на боли в позвоночнике и суставах у мужчин в возрасте после 45 лет.
Стадия I: клинических проявлений нет, диагноз устанавливают случайно при морфологическом исследовании удаленных аденом. Стадия II: нарушения мочеиспускания и других признаков болезни нет; при ректальном исследовании обнаруживают плотный узел в железе; диагноз устанавливают при биопсии; метастазы в этой стадии редки. Стадия III: частое мочеиспускание, гематурия, другие симптомы; опухоль прорастает семенные пузырьки, основание мочевого пузыря и боковых стенок таза; биопсия подтверждает диагноз; в половине случаев находят метастазы в тазовые и забрюшинные лимфатические узлы, Стадия IV: чаще опухоль больших размеров с выраженными дизурическими расстройствами; основной характерный признак этой стадии — наличие метастазов в кости и/или другие органы. В сыворотке в 70% случаев обнаруживается высокий уровень кислой фосфатазы.
Диагностика РПЖ До настоящего времени самым лучшим методом диагностики данного заболевания остается пальцевое ректальное исследование предстательной железы. Каждый мужчина после 45 лет ежегодно должен подвергаться ректальной пальпации предстательной железы. Выявление очаговых уплотнений в предстательной железе хрящевидной консистенции требует уточнения диагноза. Используют трансректальную аспирационную биопсию предстательной железы, трансперинеальную биопсию. Ультразвуковое исследование позволяет выявлять изменения акустической плотности тканей предстательной железы и более точно определить распространенность опухоли. Более высокой разрешающей способностью отличается трансректальное ультразвуковое исследование предстательной железы.
Лабораторные методы Лабораторные приемы диагностики : при помощи радиоиммунологического и иммуноферментного исследования можно выявить активность кислой фосфатазы в крови больных раком предстательной железы. Повышение активности кислой фосфатазы сопровождает распространение рака предстательной железы за пределы ее истинной капсулы и может указывать на наличие костной деструкции метастатической природы и определять прогноз заболевания. Важно отметить, что повышение активности кислой фосфатазы возникает за несколько месяцев до того, как костные метастазы могут быть выявлены рентгено-радиологическими методами. В настоящее время доказано важное значение повышенного содержания в крови ПСА.
Простат-спеиифический антиген представляет собой гликопротеин, вырабатываемый секреторным эпителием простаты и обеспечивающий разжижение эякулята. Определение уровня ПСА является скрининговым методом диагностики рака простаты – это означает, что тест проводят всем мужчинам, у которых имеется повышенный риск развития рака предстательной железы.
Значимость ПСА в диагностике На данный момент наиболее ценным опухолевым маркером, исследование которого в сыворотке крови необходимо для диагностики и наблюдения за течением гиперплазии и рака предстательной железы является простат-специфический антиген. Начиная с 1987 г. ПСА широко используется в диагностике рака простаты, установлении стадии процесса, оценке эффективности лечения. Параметры, оцениваемые этим тестом, показывают чувствительность до 70% и положительную прогностическую ценность от 26 до 52%. Ценность этого метода заключается в его простоте, объективности, воспроизводимости, малой инвазивности и низкой стоимости по сравнению с ультразвуковым исследованием. Определение ПСА увеличило частоту выявления рака простаты на ранних стадиях, при которых возможно радикальное излечение. Простат-спеиифический антиген представляет собой гликопротеин, вырабатываемый секреторным эпителием простаты и обеспечивающий разжижение эякулята. Основное количество белка по протокам ацинусов попадает в задний отдел уретры. Концентрация ПСА в эякуляте равна примерно 1 млн мкг/мл, тогда как в сыворотке крови в отсутствии заболеваний предстательной железы — не более 4 нг/мл. Известно, что причиной повышения уровня ПСА при наличии инфекции или воспаления является увеличение проницаемости и разрушение барьеров, а не повышение продукции ПСА эпителиальными клетками.
Рак простаты - скрининг Нормы ПСА: 40 – 49 лет 0,7 нг/мл 50 – 59 лет 0,9 нг/мл более 60 лет 1,4 нг/мл Если ПСА > возрастной нормы – интенсивный скрининг Catalona, AUA 2005 На сегодняшний день пороговый уровень ПСА, который может свидетельствовать о наличии РПЖ, остается неясным, однако наиболее часто пороговым для мужчин в возрасте до 60 лет считают уровень 2,5—3 нг/мл. Guidelines EUA 2008
Скорость прироста ПСА – ПСА V ПСА V > 0,75 нг/мл в год при общем ПСА ≤ 4 нг/мл – показание к биопсии простаты ПСА V > 0,5 нг/мл в год при общем ПСА > 4 нг/мл – показание к биопсии простаты Berger, J Urol 2005
Лучевые методы Рентгенологические методы диагностики используются для оценки состояния костей скелета, выявления характерных остеобластических и смешанных (остеобластических с элементами остеолизиса) костных метастазов, метастатического поражения легких, анатомо-функционального исследования почек и мочевых путей. При более поздних стадиях рака предстательной железы характерна приподнятость дна мочевого пузыря, неровный его контур в этой зоне, возможно выявление волнистого дефекта наполнения холмовидной формы. Рентгеновская компьютерная томография выявляет местное распространение рака предстательной железы, состояние забрюшинных лимфатических узлов и печени.
ЛУЧЕВЫЕ МЕТОДЫ ДИАГНОСТИКИ: КТ, МРТ
ЛУЧЕВЫЕ МЕТОДЫ ДИАГНОСТИКИ: УЗИ чувствительность ТРУЗИ в диагностике Т3 не превышает 60%
Опухоли простаты (рак простаты)
Опухоли простаты (рак простаты)
Магнитно-резонансная томография
Еще одной новейшей разновидностью УЗИ является эластография, позволяющая картировать минимальные различия в плотности ткани исследуемого органа (рис. 2). В урологии данная высокоточная методика нашла применение в диагностике рака ПЖ. В ряде зарубежных учреждений биопсию ПЖ выполняют под контролем трансректальной эластографии, что резко повысило верификацию заболевания
Радиологические методы Из числа радиологических методов исследования наибольшее клиническое значение имеют гамма-сцинтиграфия скелета (для диагностики костных метастазов) и непрямая лимфоангиоаденография (для распознавания метастатического поражения лимфатической системы). Основополагающим для установления диагноза РПЖ является заключение цитологического и гистологического исследования пунктата, биоптата органа или удаленных в ходе операции тканей.
Частота внутриорганной локализации рака в предстательной железе Центральная зона (8%) Транзиторная зона (24%) Периферическая зона (68%) Наружний сфинктер уретры
Типы метастазов в кости ОСТЕОЛИТИЧЕСКИЕ - избыточная резорбция кости остеокластами Рак почки Рак молочной железы Множественная миелома ОСТЕОБЛАСТИЧЕСКИЕ – формация измененной костной ткани остеобластами Рак предстательной железы Метастазы также могут иметь и СМЕШАННЫЙ характер
Остеосцинтиграфия При обследовании через посредством инъекции внутривенно вводится слабое радиоактивное вещество (изотоп). Количество радиоактивного облучения при обследовании очень мало и безопасно как для обследуемого человека, так и для тех, кто находится рядом. Это вещество распространяется по всему организму обследуемого человека, но в основном изотопы избирательно накапливаются в тканях, наиболее к ним чувствительным, то есть там, где имеются метастазы.
Частота метастатического поражения костей скелета Кости черепа-44% Шейный отдел позвоночника-26% Лопатка/ключица -10% Проксимальный отдел плечевой кости-14% Ребра-62% Грудной отдел позвоночника-72% Поясничный отдел позвоночника-68% Кости таза-66% Проксимальный отдел бедренной кости-44%
Биопсия Биопсия проводится двумя способами: трансперинеальный (промежностный) и трансректальный. В последнее время биопсия простаты, в основном, делается вторым, трансректальным, способом. При проведении такого исследования уролог через анальное отверстие вводит в простату длинную, тонкую иглу , и забирает кусочек ткани простаты из участка, который выглядит подозрительно. Это делается под наблюдением УЗИ. Ультрозвуковое исследование (УЗИ) – это исследование с помощью ультразвуковых волн, при котором на экране отображаются внутренности простаты и её границы.
БИОПСИЯ ПРЕДСТАТЕЛЬНОЙ ЖЕЛЕЗЫ 12 – 30% первичных секстантных биопсий не выявляют существующий рак малый объём опухоли мультифокальность рак транзиторной зоны недостаточное количество биоптатов при стандартной технике трудности при гистологическом исследовании
Радикальная простатэктомия – основной метод лечения, т.к хирургическая тактика позволяет выполнить радикальное вмешательство данный вид лечения в настоящее время считается относительно безопасным (смертность <0,5%) только оперативное лечение позволяет точно установить патоморфологический диагноз и более точно прогнозировать исход заболевания
Радикальная промежностная простатэктомия Преимущества: - меньшая степень кровопотери - меньшее время госпитализации - лучшая визуализация везико-уретрального анастомоза Недостатки: - более частая травма прямой кишки - затруднена нерво-сберегающая техника - невозможность оценки состояния лимфатических узлов
Радикальная простатэктомия Хирургические методы лечения, Радикальная простатэктомия - удаление предстательной железы, применяются, если еще нет метастазов. После такой операции пациент в большинстве случаев полностью выздоравливает.
Радиотерапия, или облучение является одним из методов лечения рака предстательной железы, который уничтожает раковые клетки, либо препятствует распространению рака на окружающие ткани. Радиотерапия может использоваться как самостоятельный метод лечения рака предстательной железы, либо в сочетании с хирургическим или гормональным лечением. Брахитерапия является одним из вариантов лучевого лечения рака простаты и заключается в избирательном облучении предстательной железы. Брахитерапия подразумевает введение в простату специальных радиоактивных имплантов, которые препятствуют росту опухоли. Радиоактивные импланты водятся в простату с помощью иглы. Как правило, процедура введения имлантов осуществляется после обезболивания.
Лекарственное лечение рака простаты подразумевает прием гормональных лекарств, а также химиотерапевтических средств, которые препятствую росту опухоли. Основные гормональные препараты, которые используются в лечении рака предстательной железы: Гозерелин (Золадекс), Бусерелин (Этиламид), Леупролид и др. Эти лекарства подавляют выработку в яичках гормона тестостерона, который стимулирует рост опухоли. Как правило, вышеперечисленные гормональные препараты вводятся каждые 3-4 месяца, либо один раз в год на протяжении всей жизни. Побочными эффектами гормонального лечения рака простаты являются: приливы жара, остеопороз (вымывание кальция из костей), снижение мышечной массы, снижение полового влечения, импотенция, увеличение грудных желез (гинекомастия) и др. Химиотерапия рака простаты включает лечение такими лекарствами, как Митоксантрон (Новантрон), Таксотере, Эстрамустин и др. Эти препараты подавляют рост опухоли и помогают продлить жизнь больных раком предстательной железы.
Методы гормонотерапии РПЖ 1. Хирургическая кастрация (двусторонняя орхидэктомия) 2. Эстрогенотерапия 3. Медикаментозная кастрация (агонисты ЛГРГ) 4. Монотерапия антиандрогенами 5. Максимальная (комбинированная) андрогенная блокада
Гормонотерапия РПЖ Методы: Кастрация Химическая: аналог ЛГРГ Хирургическая: орхидэктомия Монотерапия антиандрогенами МАБ Женские половые гормоны (синэстрол, эстрадиол, микрофоллин и т.п.)- исторический интерес? Но возможен ренессанс.
Лечение. Излечение возможно только при небольших локализованных опухолях. В остальных случаях современное лечение обеспечивает уменьшение или снятие клинических признаков заболевания, временный объективный эффект у 60–80% больных; 5-летняя выживаемость при I-II стадии составляет 85%, III стадии -50%, IV стадии — 20%. Это диктует необходимость раннего выявления заболевания, чему способствует профилактическое (1 раз в год) ректальное исследование, которое необходимо проводить каждому мужчине старше 40 лет. При локализованной опухоли применяют радикальную простатэктомию. При обнаружении I стадии в удаленной аденоме дополнительная простатэктомия, как правило, необязательна.
Кастрация Хирургическая Преимущества: дешевизна, независимость от степени финансирования лечения, надежность. Недостатки: физическая и психологическая травма. Медикаментозная Преимущества: отсутствие физической и психологической травмы Недостатки: дороговизна лечения и прямая зависимость от финансирования лечения (Androgen deprivation falls as orchiectomy rates rise after changes in reimbursement in the U.S. Medicare population. Weight CJ, Klein EA, and Jones JS. Cancer 112(10):2195-201, 2008 May 15)
Кастрация Химическая: а – ЛГРГ (золадекс -3,6мг и 10,8мг, бусерелин-депо, люкрин, диферелин и т.п.) Хирургическая: орхидэктомия 457 больных - орхидэктомия + а – ЛГРГ – 20 чел (4 – 8 тыс без пользы) орхидэктомия + а – ЛГРГ+Бикалутамид (касодекс) 150 - 8 чел (15-20 тыс) орхидэктомия + бикалутамид (касодекс) 150 – 15 чел (5-6 тыс) а – ЛГРГ+Бикалутамид (касодекс) 150 – 10 чел (5-6 тыс) орхидэктомия + а – ЛГРГ+Бикалутамид (касодекс) 150 + зомета – 2 чел (35-40 тыс руб каждый месяц, из них 15 тыс бесполезно!).
Дополнительное гормональное лечение при I-II стадии не назначают. При III-IV стадии рекомендуется орхэктомия в сочетании с гормонотерапией экстрогенами или без нее. Назначение экстрогенов (синэстрол, фосфэстрол, диэтилстильбэстрол, хлортрианизен и др. ), которые не увеличивают выживаемость и в то же время (при приеме высоких доз и длительном применении) обусловливают возрастание частоты сердечно-сосудистых осложнений (инсульт мозга, инфаркт миокарда, тромбэмболия, недостаточность кровообращения), целесообразно только при выраженных расстройствах мочеиспускания, интенсивных болях в костях и т. п. Для длительного применения рекомендуют диэтилстильбэстрол по 5 мг/сут (хлортрианизен — 48–72 мг/сут) иногда в сочетании с преднизолоном -10 мг/сут. Паллиативное значение имеет лучевая терапия на область предстательной железы, а также на зоны метастатического поражения костей при резком болевом синдроме и угрозе компрессии. Как метод эндокринного лечения применяют облучение гипофиза с целью выключения его функции.
Лечение местно-распространённого и диссеминированного РПЖ
Опухоли яичка (ОЯ) ОЯ составляют около 2% в структуре заболеваемости опухолями, в 2-% - процесс двусторонний ОЯ являются одной из основных причин смерти от рака мужчин молодого возраста 90-95% рака яичка составляют герминогенные опухоли (из эпителия зародышевых клеток): - семинома, сперматоцитарная семинома, эмбриональный рак, опухоль желточного мешка, полиэмбриома,хорионэпителиома, тератома( зрелая, незрелая, со злокачественной трансформацией)
Опухоли яичка Опухоли яичка - встречаются довольно редко. По данным различных клиник на их долю приходится от 1 до 3 % от всех злокачественных образований. Преимущественно это заболевание проявляется у мужчин в молодом возрасте 20-40 лет.
Морфологическая классификация. Яичко- орган сложного строения, состоящий из герминативного эпителия, сертолиевых и лейдиговых клеток, соединительной ткани, сосудов и нервов. Поэтому общепринято разделять опухоли яичка на две большие группы: герминативные (или герминогенные), развивающиеся из семенного эпителия негерминогенные, исходящие из стромы яичка . Герминативные опухоли составляют примерно 95% от всех новообразований яичка, которые многими авторами подразделяется на четыре формы: семинома, тератобластома, эмбриональный рак и хоринэпителиома.
Факторы способствующие к возникновению опухоли яичка. Как показывают клинические наблюдения, экспериментальные и биохимические исследования, к факторам, предрасполагающим к возникновению опухолей яичка относят: крипторхизм, травма яичка, гипоплазия или атрофия семенных канальцев, нарушение гормонального обмена.
Рак яичка Составляют около 1 % всех опухолей у мужчин. Встречаются с частотой 20- 25 на 1 млн мужчин, наиболее часто — в возрасте 20–35 лет. Факторы, предрасполагающие к возникновению опухолей,-крипторхизм, позднее низведение яичка (после 6 лет), травмы. Различают герминогенные опухоли (95%), исходящие из семенного эпителия, и негерминогенные, исходящие из клеток, продуцирующих гормоны, и из стромы (5%). Герминогенные опухоли-семиномы (40%) и несеминомы (эмбриональный рак, тератома, хорионэпителиома, опухоль желточного мешка). Несеминомные опухоли часто носят смешанный характер, состоят из разных компонентов, в том числе и семиномы. Семиномы чаще обнаруживают у лиц старше 30 лет, несеминомы — от 20 до 36 лет.
Опухоли яичка Опухоли яичка - встречаются довольно редко. По данным различных клиник на их долю приходится от 1 до 3 % от всех злокачественных образований. Преимущественно это заболевание проявляется у мужчин в молодом возрасте 20-40 лет.
Клиника опухолей яичка Ранние симптомы – неспецифичны У 70-80% мужчин наблюдается безболезненное увеличение и уплотнение яичка При крипторхизме, эктопии яичка опухоль симулирует картину острого живота, новообразования в брюшной полости Для опухолей, развивающихся из клеток Лейдига, - лейдигоме: характерно преждевременное половое созревание детей, у взрослых – гинекомастия, снижение либидо, потенции Для опухолей, развивающихся из клеток Сертоли – феминизация, гинекомастия
Симптомы. Опухоль яичка может длительное время развиваться бессимптомно. Чаще всего больной отмечает увеличение яичка в размере сопровождающееся незначительной болезненностью. Возможно, первым проявлением заболевания будет безболезненное уплотнение яичка. Температурная реакция, симптомы интоксикации наблюдаются в случае распространения опухоли за пределы яичка и появления метастазов. К общим симптомам первичной опухоли можно отнести некоторые признаки гормонального нарушения в организме, которые проявляются снижением половой функции и (или) гинекомастии (припухлость и болезненность молочных желез).
Опухоль яичка Очаговое уплотнение в форме узла Одностороннее увеличение размеров яичка, изменение его формы Безболезненно Увеличение периферических лимфоузлов, Боли в животе, спине, грудной клетки, затруднение дыхания, признаки илеофеморального тромбоза. Изменение вторичных половых признаков
Факторы способствующие к возникновению опухоли яичка. Как показывают клинические наблюдения, экспериментальные и биохимические исследования, к факторам, предрасполагающим к возникновению опухолей яичка относят: крипторхизм, травма яичка, гипоплазия или атрофия семенных канальцев, нарушение гормонального обмена.
Морфологическая классификация. Яичко- орган сложного строения, состоящий из герминативного эпителия, сертолиевых и лейдиговых клеток, соединительной ткани, сосудов и нервов. Поэтому общепринято разделять опухоли яичка на две большие группы: герминативные (или герминогенные), развивающиеся из семенного эпителия негерминогенные, исходящие из стромы яичка . Герминативные опухоли составляют примерно 95% от всех новообразований яичка, которые многими авторами подразделяется на четыре формы: семинома, тератобластома, эмбриональный рак и хоринэпителиома.
Опухоли яичка
Раннее метастазировние 90% - строение первичной опухоли 10% - отличается от первичной опухоли (неадекватное гистологическое исследование) Основной – лимфогенный (кроме хорионкарциномы) Чаще всего – забрюшинные лимфатические узлы Ипсилатеральные Возможно перекрестное и билатеральное поражение Легкие, печень, медиастинальные лимфатические узлы, головные мозг, почки (по мере уменьшения частоты) Метастазирование
Локализация забрюшинных метастазов при опухолях яичка
Симптомы опухолей яичка — безболезненное, постепенно увеличивающееся уплотнение. Основная симптоматика связана с метастазированием в забрюшинные лимфатические узлы (у больных возникает мучительная боль в пояснице) и легкие, что приводит к появлению кашля, кровохарканья. Нередко наблюдается гинекомастия. При биохимическом исследовании крови при несеминомных опухолях обнаруживают а-фетопротеин. При хорионэпителиоме яичка в моче повышается содержание хорионического гонадотропина. Внутривенная урография, ультразвуковое исследование забрюшинного пространства, компьютерная томография, ангиография позволяют установить метастазы в забрюшинном пространстве.
Диагностика. Осмотр и пальпация. Даже при небольших опухолях обращает на себя внимание асимметрия мошонки. При пальпации опухоль имеет плотную консистенцию, гладкую бугристую поверхность.
Опухоль яичка
Лабораторные методы исследования. Показатели общеклинического исследования крови длительное время могут оставаться в норме. Большое практическое значение имеет определение хорионического гонадотропина (ХГ) и фетопротеина. Как правило, при хорионэпителиоме всегда отмечается повышение ХГ.
Цитологическое исследование и биопсия. Главной задачей цитологического исследования пунктата яичка - дать заключение имеется опухоль у больного или нет. В редких случаях, для подтверждения диагноза выполняется биопсия яичка. Основными методами диагностики метастазов опухоли яичка являются экскреторная урография, кавография, компьютерная томография и ультразвуковое исследование.
Лечение. В настоящее время при всех видах опухолей яичка наиболее эффективной признана комбинированная терапия. Лечение начинают с операции - орхифуникулэктомии. После получения гистологического заключения определяется дальнейший план лечения.
Диагностика Диафаноскопия. УЗИ яичка и периферических л/у. Радикальная паховая орхэктомия, т.к. биопсия может стимулировать диссеминацию процесса. КТ, МРТ.
Лечение опухолей яичка В возможности их радикального удаленияКомбинированное: высокая гемикастрация до уровня глубокого пахового кольца- орхофуникулэктомия+ операция Шевасю, последующая химиотерапия или облучение При наличии больших размеров метастазов в лимфоузлы и отсутствии уверенности в радикальности их удаления проводят предопеорационную лучевую терапию или химиотерапию
Лечение. В настоящее время при всех видах опухолей яичка наиболее эффективной признана комбинированная терапия. Лечение начинают с операции - орхифуникулэктомии. После получения гистологического заключения определяется дальнейший план лечения.
Лечение больных начинают с выполнения орхофуникупэктомии. После гистологического исследования опухоли тактика лечения может быть различной. При семиноме без метастазов можно ограничиться удалением первичного очага опухоли. При наличии забрюшинных метастазов проводят лучевую терапию по радикальной программе. При выявлении метастазов в легких или других органах показана химиотерапия (сарколизин, циклофосфан, цисплатин, винбластин). У больных с несеминомными опухолями в случае подозрения после проведения орхофуникупэктомии на забрюшинные метастазы производят их оперативное чрезбрюшинное удаление с обеих сторон, после чего назначают химиотерапию (цисплатин, блеомицин и винбластин, дактиномицин, адриамицин, оливомицин). При невозможности удаления забрюшинных метастазов проводят 5–6 курсов химиотерапии по указанной выше схеме. Если после химиотерапии у больного сохраняются метастазы, их удаляют оперативным путем. Указанное лечение позволяет излечить 70–80% больных. Негерминогенные опухоли менее злокачественны, лечат их в основном хирургическим способом.
Pак яичника Наиболее часто встречаются серозные, муцинозные и эндометриоидные злокачественные опухоли яичника. Серозный рак развивается обычно из цилиоэпителиальной кистомы, характеризуется накоплением серозной жидкости внутри малигнизированных кистозных образований. При прорастании капсулы и метастазировании образуется асцит. Муцинозный рак проявляется развитием опухолевых образований, содержащих слизь; при прорыве в брюшную полость развивается псевдомиксома брюшины.
Эндометриоидный рак представляет собой плотную опухоль, которая по морфологической структуре является железистым раком с очагами плоского эпителия. Серозный рак встречается чаще в возрасте 40–60 лет, муцинозный — после 60 пет, эндометриоидный-до 30 лет. В 40–70% случаев злокачественная опухоль поражает оба яичника. Метастазирование указанных форм рака яичника происходит в брюшной полости (по брюшине, в сальник). Может развиваться метастатический асцит, плеврит. Относительно редко возникают метастазы в печень, легкие, другие органы. Рецидив рака яичника чаще локализуется в области малого таза.
Диагноз. Своевременная диагностика в значительной мере определяет успех современного лечения при раке яичника. К сожалению, до настоящего времени у 60–80% больных диагноз устанавливают в стадии диссеминации опухоли. Важное значение имеют регулярные осмотры гинеколога. При таком обследовании может быть найдена округлая, часто подвижная опухоль яичника с тенденцией к росту
Данные осмотра могут быть уточнены при ультразвуковой томографии. Вопрос о наличии доброкачественной или злокачественной опухоли остается обычно неясным, но показания к хирургическому вмешательству в таких случаях очевидны. При более поздних стадиях болезни имеется диссеминация по брюшине, плевре, развивается асцит и плеврит. Диагностическое значение имеет лапароскопия с биопсией для морфологического анализа, а также цитологическое изучение экссудата. Клиническое обследование в таких случаях предполагает исключение метастазирования в яичники и брюшную полость опухолей других локализаций (из желудка, кишечника, поджелудочной железы).
Для лечения рака яичника используют хирургическое вмешательство и химиотерапию. При локализованной форме заболевания производят удаление матки с придатками и резекцию большого сальника. При диссеминированном раке яичника применяют паллиативную операцию, цель которой — уменьшение массы опухоли перед химиотерапией.
Применение химиотерапии при раке яичников, улучшающее результаты лечения при локализованной форме болезни, занимает ведущее место при диссеминированном характере опухоли. Химиотерапия может быть применена также в предоперационном периоде с целью уменьшения проявлений болезни и увеличения объема последующей операции. Наиболее эффективна комбинация цисплатина с циклофосфаном и адриамицином; ослабленным больным назначают циклофосфан или тиофосфамид. Интервалы между курсами не должны превышать 3–4 нед. При отсутствии клинических проявлений болезни на фоне послеоперационной химиотерапии производят лапароскопию (через 6–12 мес)для установления полноты ремиссии. Только при достижении полной ремиссии и сроке химиотерапии не менее 12 мес может быть решен вопрос о прекращении лечения.
Рак внешних половых органов Встречается у женщин в возрасте от 60 до 70 лет и старше. Развитию рака этой локализации часто предшествуют предраковые заболевания — лейкоплакия и крауроз. При лейкоплакии на слизистой оболочке половых губ, в окружности клитора видны белые пятна, которые в дальнейшем превращаются в бляшки, сливающиеся друг с другом, со склонностью к изъязвлению. При краурозе наблюдается атрофия и сморщивание слизистой оболочки и кожи.
Среди клинических симптомов при лейкоплакии и краурозе наиболее часто отмечаются зуд и жжение в области наружных половых органов. Рак наружных половых органов проявляется плотным узелком или изъязвлением, легко кровоточащим. Опухоль располагается в области больших или малых половых губ, клитора, в дальнейшем в процесс вовлекаются влагалище, уретра и промежность. Метастазы в регионарные паховые, бедренные и подвздошные лимфатические узлы возникают быстро, могут появиться метастазы в легкие и другие органы.
Среди клинических симптомов рака: зуд, жжение, серозное отделяемое с примесью крови, боль. Диагноз уточняется при цитологическом и гистологическом исследовании. Чаще обнаруживается плоскоклеточный рак различной степени дифференцировки.
Лечение - радикальная вульвэктомия с удалением паховых лимфатических узлов. 75% больных после такой операции живут более 5 лет. Лучевую терапию применяют как самостоятельный метод или в предоперационном периоде. Химиотерапию используют в сочетании с лучевой терапией или самостоятельно при запущенной болезни (блеомицетин, метотрексат, цисплатин и др. ). Рак влагалища проявляется изъязвлением, бугристыми сосочковыми разрастаниями или подслизистым инфильтратом.
Опухоль легко кровоточит. Метастазирует в подвздошные, паховые лимфатические узлы. При прогрессирующем росте прорастает в мочевой пузырь, уретру, прямую кишку. Клинические симптомы: кровянистые выделения, боль. Диагноз устанавливают при биопсии (плоскоклеточный рак). Дифференциальный диагноз проводят с раком шейки матки с переходом на влагалище, метастазами рака тела матки. Основной метод лечения рака влагалища — лучевая терапия (сочетание наружного и внутриполостного облучения).
Рак тела матки В 75% случаев диагностируется у женщин в менопаузе, еще у 18% в период пред-менопаузы, в 7% — в возрасте до 40 лет. Факторы риска — ожирение, диабет, гипертоническая болезнь.
Основной симптом рака тела матки —нарушение влагалищных кровотечений (либо во время менопаузы, либо не в сроки менструаций). Боль в тазу и зловонные выделения — признаки поздних стадий болезни. Главный метод диагностики — раздельное выскабливание шеечного канала и полости матки и последующее гистологическое исследование. Цитологический метод диагностики менее надежен, также как гистерография и гистероскопическое исследование. Аденокарцинома — основной морфологический вариант (до 70%), встречаются также аденоакантомы и железисто-плоскоклеточные раки.
Различают три степени дифференцировки опухоли (высокодифференцированные, умереннодифференцированные и недифференцированные) и 4 стадии ее развития: 1 стадия -расположение опухоли в теле матки, II стадия — поражение тела и шейки матки, III стадия- распространение на параметральную клетчатку или метастазы во влагалище, IV стадия — распространение за пределы таза, прорастание мочевого пузыря или прямой кишки.
Лечение в основном хирургическое (экстирпация матки с придатками и иногда удаление лимфатических узлов таза). Возможно комбинированное лечение — операция, а затем дистанционное облучение на область культи влагалища, внутриполостная гамма-терапия. Проводится и предоперационная лучевая терапия главным образом при III стадии. Лучевая терапия как самостоятельный метод применяется при местном распространении опухолевого процесса, при противопоказаниях к операции. Прогестины (оксипрогестерона капронат, провера, депо провера, медроксипрогестерона ацетат) эффективны при высокодифференцированных опухолях, в III и IV стадиях болезни. Из противоопухолевых препаратов в метастатических фазах могут использоваться адриабластин, фторурацил, метотрексат, ТиоТЭФ.
Профилактика - своевременное лечение хронических заболеваний эндометрия. Рак шейки матки возникает чаще из плоского эпителия, реже из железистого эпителия шеечного канала. Развитию рака предшествуют три степени эпидермоидной дисплазии (легкая, умеренная и глубокая) и карцинома in situ, при которой раковые клетки расположены между клетками плоского эпителия и не проникают за базальную мембрану. Регулярные осмотры и цитологическое исследование (один раз в 2 года) способствуют выявлению предопухолевых заболеваний, а их лечение-профилактике рака.
Симптомы рака шейки матки: жалобы на бели водянистого характера, контактные или межменструальные кровянистые выделения из половых путей, боль. При осмотре шейки матки в зеркалах или при бимануальном исследовании обнаруживают экзофитную опухоль (при прикосновении к ней может возникнуть кровотечение) или эндофитную форму заболевания с изъязвлением в области наружного зева. Решающее диагностическое значение имеет биопсия.
При раке III и IV стадий выделения из половых путей носят гнилостный характер. Лечение зависит от стадии заболевания. При 1А стадии (микроинвазивный рак) производят экстирпацию матки с придатками. При стадии 1В (рак ограничен шейкой матки) показано дистанционное или внутриполостное облучение с последующей расширенной экстирпацией матки с придатками, или, наоборот, вначале производят операцию, а затем дистанционную гамматерапию. Во II стадии (вовлечение верхней части влагалища, возможен переход на тело матки и инфильтрация параметрия без перехода на стенки таза) основным методом лечения является лучевой.
Хирургическое вмешательство применяют редко. При III стадии (переход на нижнюю часть влагалища, инфильтрация параметрия с переходом на кости таза) показано лучевое лечение. При IV стадии (переход на мочевой пузырь, прямую кишку или отдаленное метастазирование) применяют лишь паллиативное облучение. В поздних стадиях возможно применение химиотерапевтического лечения (цисплатин, фторурацил, митомицин С, блеомицин, спиробромин).
Хорионэпителиома матки - злокачественная опухоль трофобласта, возникающая при беременности или после аборта. Учитывая широкое распространение абортов, хорионэпителиома матки является нередким заболеванием. В 50% случаев хорионэпителиоме матки предшествует беременность, в 25% — спонтанный аборт, в 25% случаев — искусственный аборт. Дифференциальный диагноз проводят с пузырным заносом, который встречается значительно чаще. Пузырный занос в 5–7% случаев трансформируется в инвазивный пузырный занос, в 3–5% — в хорионэпителиому. Если после удаления пузырного заноса уровень (-хорионического гонадотропина ((-ХГ) не нормализуется в течение 2 мес, устанавливается наличие рецидивирующего пузырного заноса, при этом риск развития хорионэпителиомы возрастает до 50%.
Клинические признаки хорионэпителиомы матки: влагалищные или маточные кровотечения, очень высокий уровень (-ХГ. В диагностике имеют значение характеристика клинических симптомов, цитологические анализы, ультразвуковая томография. Течение заболевания агрессивное. Быстрорастущие метастазы выявляются в легких, влагалище, печени и других органах. Ранний диагноз важен для прогноза лечения. При благоприятных прогностических характеристиках удается добиться полного излечения и сохранить возможность иметь беременность и роды в будущем.
Необходим морфологический анализ удаляемых тканей трофобласта и обязательный контроль (-ХГ до его нормализации в случаях выявленного пузырного заноса или при появлении признаков кровотечения после аборта или беременности в ближайшие месяцы.
Неметастатическая Хорионэпителиома матки характеризуется отсутствием метастазов и распространения опухоли за пределы матки. Излечение при этом наступает более чем у 90% больных без гистерэктомии. В отношении прогноза лечения метастатическая Хорионэпителиома может иметь благоприятные характеристики (метастазы только в область таза и/или легкие; титр ХГ в моче менее 100 000 МЕ/сут; лечение начато в течение 4 мес от начала болезни) и неблагоприятные (метастазы локализуются в области таза, легких, а также в печени, костях, головном мозге; ХГ более 100 000 МЕ/сут; лечение начато позже 4 мес после установления диагноза).
При локализованной хорионэпителиоме матки применяют химиотерапию (метотрексат- 15–20 мг в/м или в/в ежедневно в течение 5 дней с интервалами 2–4 нед до полной ремиссии, которая подтверждается 3 нормальными еженедельными анализами (-ХГ). Если содержание (-ХГ сохраняется на высоком уровне или увеличивается, проводят сочетанную химиотерапию, при отсутствии полного эффекта показана гистерэктомия. Аналогичную тактику используют при метастатической хорионэпителиоме с благоприятными прогностическими признаками. Кроме метотрексата, самостоятельное лечебное значение имеет дактиномицин (10 мгк/кгв/в ежедневно в течение 5 дней с интервалами 2–3 нед).
Более сложным является лечение больных с запущенными проявлениями хорионэпителиомы матки. Применяют комбинации метотрексата с дактиномицином, рубомицином или адриамицином; в резистентных случаях- комбинацию цисплати-на с винбпастином и блеомицетином. Применение одного лекарственного средства, низких доз препаратов, большие интервалы между их введениями способствуют появлению резистентных случаев болезни. При метастазах в головной мозг применяют лучевую терапию. Химиотерапию метотрексатом используют и при пузырном заносе в случае повышения титра ХГ через 8 нед после удаления матки.

