7cfb9319e0157b63cc3d68d87901e46f.ppt
- Количество слайдов: 52
Опухоли мочевыделительной системы Лектор: Проф. В. И. ыжак Др
РАК ПОЧКИ Эпидемиология. В структуре онкологической заболеваемости рак почки занимает 10 рейтинговое место и составляет 2 -3 % среди всех злокачественных опухолей. В Украине ежегодно диагностируется приблизительно 4000 случаев рака почки. В Тернопольськой области за прошлый год заболело 127 человек (67 мужчин и 60 женщин, тоесть соотношение прибл. 1: 1) Показатель заболеваемости составил 12, 0 случаев на 100 тыс. населения. За последние годы наблюдается значительный рост заболеваемости на рак почки, причем мужчины болеют в 2 раза чаще от женщин. Средний возраст больных около 60 лет. Вызывает обеспокоенность уровнем ранней своевременной диагностики рака почки в Украине, так, как смертность до года со времени установления диагноза складывает 28, 5 % (2010 год). Приятно заметить, что процент больных, которые получили спецлечение в области в 2012 году составило 85, 4 %, что есть найлучшим показателем в Украине.
Процентное соотношение основных 10 нозологическних форм ЗН в структуре заболеваемости ЗН населения Украины в 2011 году (мужчины), %
Процентное соотношение основных 10 нозологическних форм ЗН в структуре зсмертности ЗН населения Украины в 2011 году (мужчины), %
Этиология Причины возникновения рака почки не выяснены. Считается, что на развитие этого заболевания существенно влияют следующие факторы: • Генетические • Гормональные • Иммунологические • Другие факторы: курение табака (риск возникновения опухоли почек у курильщиков растет с 30 до 60 %), ожирения, которые связывают с гормональным дисбалансом, в частности, излишком эстрогенов. Полученные научные данные о возможности индукции этого заболевания химическими веществами-канцерогенами (некоторые промышленные красители, нефтепродукты, ядохимикаты, соли тяжелых металлов). • генетическая склонность (2 -4 %). В частности, рак почки диагностируется в 24 -45 % пациентов с синдромом фон Гиппель-Линдау (von Hippel - Lindau VHL). В основе синдрома лежит зародышевая мутация в одноименном гене, который размещен на хромосоме 3 р25. было выявлено, что ген VHL принимает участие в адаптации клетки к условиям гипоксии. При его инактивации клетка запускает реакции адаптации к гипоксии даже в том случае, когда оксигенация тканей сохраняется на нормальном уровне. В результате наблюдается аномальная гиперпродукция многих факторов роста, в т. о. таких, которые способствуют усиленному ангиогенезу.
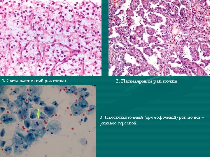
Патоморфология Современные классификации злокачественных опухолей почки учитывают данные морфологических, цитогенетических и молекулярных исследований и выделяют пять видов: • • • Світлоклеточный - 60 -70 %; рак Папиллярный - 7 -14 %; рак Плоскоклеточный - 4 -10 %; рак Онкоцитарный - 2 -5 %; раков Рак сборных протоков 1 -2 %. Рак почки метастазирует гематогенным и лимфогенным путем. Лимфогенные метастазы локализуются преимущественно в паракавальних и парааортальных лимфатических узлах. Отдаленные метастазы чаще всего поражают легкие, плоские кости и позвоночник, печень, надпочечники, головной мозг.
1. Светлоклеточный рак почки 2. Папилярный рак почки 3. Плоскоклеточный (хромофобный) рак почки – указано стрелкой.
• • • Т-первичная опухоль Класифікація раку нирки Тх-недостаточно данных для за системою ТNМ-6 (2002 р. ) оценки первичной опухоли Т 0 -первичная опухоль не определяется Т 1 -опухоль от 7 см в наибольшем измерении, ограниченная почкой Т 2 -опухоль от 7 см до 10 см в наибольшем измерении, ограниченная почкой Т 3 -опухоль распространяется на большие вены или надпочечники, или околопочечные ткани, но в пределах фасции Герота Т 3 а-опухолевая инвазия надпочечника или паранефральной клетчатки в пределах фасции Герота Т 3 в-опухоль распространяется на почечную или нижнюю полую вену ниже от диафрагмы Т 3 с-опухоль распространяется на нижнюю полую вену выше от диафрагмы Т 4 -опухоль распространяется за пределы фасции Герота
• • • N 0–немає ознак ураження регіонарних лімфатичних вузлів N 1–метастаз раку в одному регіонарному лімфатичному вузлі М–віддалені метастази Мх–недостатньо даних для визначення віддалених метастазів М 0–віддалені метастази не визначаються М 1–наявні віддалені метастази
Группирование по стадиях Стадия І Т 1 N 0 М 0 Стадия ІІ Т 2 N 0 М 0 Стадия ІІІ Т 1 N 1 М 0 Т 2 N 1 М 0 Т 3 N 0 -1 М 0 Т 4 N 0 -1 М 0 Любое Т N 2 М 0 Любое Т Любое N М 1 Стадия ІV СТУПЕНЬ ДИФФЕРЕНЦИАЦИИ ОПУХОЛИ G – гистопатологическая градация G 1 – высокодифференцированная опухоль G 2 – умеренно дифференцированная опухоль G 3 – низкодифференцированная опухоль G 4 – недифференцированная опухоль
КЛИНИЧЕСКИЕ ПРОЯВЛЕНИЯ РАКА ПОЧКИ МЕСТНЫЕ СИМПТОМЫ • Боль в пояснице • Опухоль, что пальпируется • Гематурия • Варикоцэле • • ОБЩИЕ СИМПТОМЫ • Анемия • Высокие показатели СОЕ • Утрата аппетита • Потеря веса • Слабость • Артериальная гипертензия Особенное место в клинической картине рака почки занимают симптомы, предопределенные развитием метастазов. При метастатическом поражении легких возникают кашель и кровохарканье. Костные метастазы проявляются болью, патологическим переломом, компрессией спинного мозга. Поражение головного мозга сопровождается внезапно появлением и стремительным нарастанием неврологической симптоматики.
Диагностика МЕТОДЫ ДИАГНОСТИКИ РАКА ПОЧКИ ЛАБОРАТОРНЫЕ • Определение уровня гемоглобина (обычно более низкий за счет гематурии) • Определение уровня ШОЕ (обычно высокое); • Определение уровня креатинина и мочевины (функциональное состояние почек), щелочной фосфатазы (метастазы в печень, кости); • Определение показателя уровней онкомаркеров Tu M 2 - PK, SCC, CA 125 ИНСТРУМЕНТАЛЬНЫЕ • Рентгенологические исследования: - обзорная рентгенография - екскреторная урография - ретроградная пиелография - КТ ОБП (с контрастированием) - ренография. • УЗИ почек; • Тонкоигловая пункционная биопсия под контролем УЗИ; • Сцинтиграфия почек из 99 m. Тс-ДМСА; • Вазография НПВ и аорты (исключение тромба).
Справа предоставлено вниманию компьютерные томограммы с визуализацией опухолей левой почки
МЕТОДЫ ЛЕЧЕНИЯ РАКА ПОЧКИ ХИРУРГИЧЕСКИЙ Операция: - радикальная нефрэктомия; -лапароскопическая нефрэктомия; - резекция почки (одного из полюсов); - энуклеация опухолевого узла (при условии наличия капсулы) - лимфаденэктомия при условии поражения лимфоузлов; - криоабляция; - радиочастотная термоабляция. ХИМИОТЕРАПИЯ Эффективная лишь у 6% случаев. Применяют карбоплатин или цисплатин в дозе 75 -100 мг/м 2 в 1 -й день и гемцитабин в дозе 1000 -1250 мг/м 2 в 1 -й и 8 -й дни. ИММУНОТЕРАПИЯ ТАРГЕТНАЯ ТЕРАПИЯ Интерферон- Сорафениб "НЕКСАВАР" (ингибитор Raf -киназы, которая играет ведущую роль в стимуляции ангиогенеза). Суточная доза 400 мг (1 таблетка [капсула]× 2 раза на сутки). Применяют в дозе 3 -12 млн Од трижды в неделю подкожно или внутримышечно в течение длительного времени (к полной регрессии заболевания или прогресса). Интерлейкин-2 Применяют в дозе 18 млн Од ежедневно в течение 5 -ти дней внутривенно капельно, потом по схеме 18 -9 млн Од в течение 3 -х недель. Сунитиниб (ингибитор тирозинкиназы, который подавляет опухолевый ангиогенез), Бевацизумаб (моноклональные антитела к фактору роста эндотелия сосудов), Ерлотиниб (ингибитор тирозинкиназы рецепторов эпидермального фактора роста), Инфликсимаб (моноклональные антитела к фактору некроза опухоли) и другие.
Слайд 15 На сегодняшний день активно изучаются возможности таргетной терапии, направленной на блокирование роста и развития опухоли на молекулярном уровне. К таргетным препаратам относятся сорафениб (ингибитор Raf-киназы, которая играет ведущую роль в стимуляции ангиогенеза), доза – 400 мг (1 таблеткакапсула разав сутки). [ ]× 2
РАК ПРЕДСТАТЕЛЬНОЙ ЖЕЛЕЗЫ Следует отметить, что за последние годы отмечен существенный рост заболеваемости на рак предстательной железы. В 2011 году за рак простаты заболело 7048 лиц, из них - 152 на Тернопольщине. • Эпидемиология. Показатель заболеваемости на рак предстательной железы на 100 тыс. населения в Украине представляет 13 -14 случаев, а в расчете на мужское население - 29 -30 случаев на 100 тыс. населения (26, 4 на Тернопольщине). В структуре онкологической заболеваемости мужчин он занимает 10 -12 %. Показатель смертности от рака предстательной железы меньше показателя заболеваемости 19, 4, что аналогично общеукраинскому показателю (в 2010 г. ) •
• О неудовлетворительном состоянии диагностики рака предстательной железы свидетельствует тот факт, что свыше 50 % больных оказываются в ІІІ-ІV ст. болезни, а 19 % из них умирают до 1 года со времени установления диагноза рака. Чаще всего рак предстательной железы встречается у мужчин старшего возраста. Средний возраст больных представляет 6570 лет. • Для улучшения диагностики и профилактики рака предстательной железы в ранних стадиях следует ввести в обязательную практику фізикальне (ректальное) обследование в мужских обзорных кабинетах Центров ПМСД и ЦРЛ и своевременное определение уровней специфических онкомаркерів (ПСА) у контингентов диспансерного учета из ДГПЗ.
ЭТИОЛОГИЯ • Причины развития рака предстательной железы точно неизвестны. Однако известно, что гиперплазия железы и появление в ней опухоли предопределены гормональной стимуляцией. В плазме крови таких больных выявляют повышенное содержание андрогенов, а кастрация и лечение естрогенами дают позитивный лечебный эффект. У экспериментальных животных кастрация и лечение естрогенами также вызывали задержку роста и регресс опухоли предстательной железы. • В литературе есть сведения отдельных авторов об этиологической роли вирусов в возникновении рака предстательной железы у экспериментальных животных.
Макроскопически рак предстательной железы появляется в виде плотной холмистой опухоли, размещенной преимущественно в задней части железы, которая удается в просвет прямой кишки. При дальнейшем росте опухоль может занимать всю предстательную железу и распространяться на прилегающие ткани
ПАТОЛОГИЧЕСКАЯ АНАТОМИЯ 1. Аденокарциномы %: - 70 а) тубулярная (светлоклеточная, темноклеточная 53 %; )б) слизепродуцирующая - 2 %; в) персневидный - 1 %; рак г) криброформный %. - 10 2. Переходноклеточный - 1 %. рак 3. Плоскоклеточный рак - 2 %. 4. Недифференцированный рак - 16 %. 5. Неклассифицированный рак - 2 %. Переходноклеточный, плоскоклеточный и слизепродуцирующий рак не чувствительные к гормонотерапии. Слизепродуцирующий и криброформный рак характеризуются неблагоприятным течением, быстро метастазируют. Напротив, для тубулярной аденокарциномы характерный благоприятный клинический ход и прогноз. К регионарным относятся лимфатические узлы малого таза, размещенные ниже от бифуркации общих подвздошных артерий.
Гистологические формы рака предстательной железы
Класификация рака предстательной железы по системе ТNМ-6 (2002 г. ) ТNM – клиническая класификация Т–первичная опухоль Тх–недостаточно данных для оценки первичной опухоли Т 0–первичная опухоль не определяется Т 1–клинически бессимптомная опухоль, которая не пальпируется и не визуализируется инструментальными методами Т 1 а–опухоль выявлена случайно при гистологическом исследовании; она занимает не более чем 5 % резецированной ткани Т 1 в–опухоль выявлена случайно при гистологическом исследовании; она занимает свыше 5 % резецированной ткани Т 1 с–опухоль выявлена при пункционной биопсии (например, в случае повышенного уровня ПСА) Т 2–опухоль ограничена предстательной железой Т 2 а–опухоль поражает половину части или меньше Т 2 в–опухоль поражает больше половины одной части Т 2 с–опухоль поражает обе части Т 3–опухоль распространяется за пределы капсулы железы Т 3 а–экстракапсулярное распространение Т 3 в–опухоль распространяется на семенные пузырьки Т 4 –опухоль неподвижна или распространяется на смежные структуры
Категории NМ Т
Метастазирование N -регионарные лимфатические узлы Nх -недостаточно данных для оценки состояния регионарных лимфатических узлов N 0 -нет признаков поражения регионарных лимфатических узлов N 1 - есть метастазы в регионарных лимфоузлах М-отдаленные метастазы Мх-недостаточно данных для определения отдаленных метастазов М 0 -отдаленные метастазы не определяются М 1 -имеющиеся отдаленные метастазы
Пути лимфогенного метастазирования в лимфоузлы полости малого таза (выделено зеленым цветом)
Частота виявления на стадии внутрижелезистого очага составляет до 10 %
Клинические проявления рака предстательной железы Общие симптоми Нарушение мочеиспускания Патофизиологические проявления Боль. Локализация боли в участке лона, промежности, с иррадиацией в паховые участки, прямую кишку. Характер боли разнообразен, однако в основном тупой ноющий, при мочеиспускании иногда жгучий. Температура. Проявление воспаления как в самой простате, так и присоединение инфекции в мочевом пузыре. Разнообразные дизурические проявления: • вялая струя мочи; • учащение мочеиспускания, никтурия; • выделение мочи каплями (Ischuria Paradoxa); • задержка мочи, вплоть до острой задержки мочи; • Кровь в моче, примеси слизи и детрита при застойных явлениях в мочевом пузыре. Боль в участке почек, общая слабость, сухость в рту, жажда (проявления почечной недостаточности). В таких случаях присоединяется воспалительный процесс мочевыделительных путей (цистит, пиелонефрит). Затрудненная дефекация за счет препятствия прохождению кала в участке сжатия прямой кишки опухолью извне. Боль в крестцовом отделе позвоночника, поясницы, что предопределено метастатическим поражением костей.
МЕТОДЫ ДИАГНОСТИКИ РАКА ПРОСТАТЫ Физикальный Лабораторные Инструментальные Цато-, гистологические • Осмотр, пальпация живота и мочевого пузыря. • Пальцевое исследование железы через прямую кишку (опухоль определяется как плотные узлы небольших размеров), в поздних стадиях железа плотной консистенции, холмистая, в виде конгломерата. Простатспецифи ческий антиген (ПСА), который оказывается в 90 % больных метастатическим раком простаты. На сегодня пересмотрены нормальные показатели ПСА : • 2, 5 нг/мл - в возрасте до 65 лет, • 3, 5 нг/мл - до 69 лет, • 5 нг/мл - от 70 до 79 лет. • КТ и МРТ : При стадии Т 3 и Т 4 на компьютерных томограммах оказывается деформация железы, распространения опухоли на навколоппростатичес кую клетчатку, семенные пузырьки. • Цистоскопия Цистопростатография • Урография, которые выявляют деформацию мочевого пузыря, увеличенную предстательную железу, расширение мочеточников, гидронефроз. Широко применяется пункционная биопсия опухоли трансректальним или промежностным доступом. Эффективным в диагностике рака предстательной железы является трансректальное УЗИ железы. Биопсия берется из 12 -ти точек железы (по 6 на правую и левую доли) для подтверждения диагноза.
Методика проведения пункции простаты • * * * Методика проведения пункции простаты Подготовка больного к биопсии: Очистительная клизма; Назначение антибактериальных средств ( ципрофлоксацин мг дважды на 500 сутки в течение 3 -х дней); * Использование местных анестетиков (введение в прямую кишку или лидокаина перипростатическая блокада лидокаином ); * Для выполнения трансректального УЗИ наиболее часто используют ректальный датчик с частотой 5 -8, 5 Мгц. Стандартная биопсийная игла имеет диаметр 18 G и позволяет забирать столбик ткани, длиной 15 -20 мм. Следует уточнить, что исследование адекватно, когда материал взято из 1824 точек железы, что обусловленно объемом железы и возможности взятия материала в переходных и периферических зонах (минимально - 6 секстантная биопсия, кроме того + биопсия из гипоэхогенных образований).
МЕТОДЫ ЛЕЧЕНИЯ РАКА ПРОСТАТЫ ХИРУРГИЧЕСКОЕ ТРАНСУРЕТРАЛЬНАЯ РЕЗЕКЦИЯ ПРОСТАТЫ (ТУР) - РАДИКАЛЬНА ПРОСТАТЭКТОМИЯ - ХИРУРГИЧЕСКАЯ КАСТРАЦИЯ: ОРХИФУНИКУЛЭКТОМИЯ ЛУЧЕВАЯ ТЕРАПІЯ ВНУТРИТКАНЕВАЯ БРАХИТЕРАПИЯ: • НИЗКОДОЗНАЯ • ВЫСОКОДОЗНАЯ Для І-125 доза ОБЛУЧЕНИЯ СОСТАВЛЯЕТ 140160 Гр, а для Рd-103 115 -120 Гр. Курс вместе с ДГТ 45 Гр. ХИМИОТЕРАПИЯ ГОРМОНОТЕРАПИЯ При условии гормонорезистентного рака простаты используют: -- АНТИАНДРОГЕНы: 1. СТЕРОИДНЫЕ 2. НЕСТЕРОИДНЫЕ - МЕТОТРЕКСАТ - ЦИСПЛАТИН - 5 -ФТОРУРАЦИЛ - ДОКСОРУБИЦИН - ЦИКЛОФОСФАН Стероидные: ЦИПРОТЕРОН Нестероидные: ФЛУТАМИД, КАЛУМИД. -- Агонисты гонадотропин рилизин-гормона: ГОЗЕРЕЛИН ТРИПТОРЕЛИН БУСЕРЕЛИН ДИФЕРЕЛИН -- Эстрогены: Диетилстильбестрол
РАК МОЧЕВОГО ПУЗЫРЯ
Эпидемиология • Заболеваемость на рак мочевого пузыря продолжает непрестанно расти и складывает 11, 5 -12, 0 на 100 тыс. населения. Мужчины болеют в 2, 5 -6 раз чаще от женщин. Пик заболеваемости приходится на возрастную группу 65 -75 лет. В Тернопольской области 2011 года на РСМ заболело 95 лиц (88 из них мужчины!!!). 25% составила летальность до года.
Этиология Экзогенные и эндогенные (генетические) факторы риска развития рака мочевого пузыря. • К экзогенным факторам риска принадлежат: • влияние производственных шкідливостей; • курение; • хронический цистит. • Установленная повышенная заболеваемость у работников анілінофарбових производств, которые постоянно контактируют с химическими канцерогенами - ароматическими аминами и их производными (бензидин, β-нафтиламін, нітрозоаміни). • Курение является одной из основных причин возникновения рака мочевого пузыря, влияние которого значительно выросло в последние годы. Риск развития рака мочевого пузыря у курильщиков в 20 -30 раз выше, чем в тех, кто не жжет. Это предопределено хроническим влиянием ароматических аминов и полициклических углеводородов, которые входят в состав табачного дыма. • Хроническое воспаление мочевого пузыря также является фактором риска возникновения рака. Много из условно патогенных бактерий, которые активизируются в результате хронического цистита, способные синтезировать нітрозосполуки - мощные канцерогены. Эндогенные генетические факторы риска включают наследственные раковые синдромы (неполіпозний рак толстой кишки) и вариации генетических последовательностей генные поліморфізми, что предопределяют недостаточность траснфераз, инактивирующих ароматические амины. • ШИСТОСОМОЗ
Курение – это безусловный фактор риска развития рака мочевого пузыря, а вот шистосомоз – благоприятный фон для развития заболевания.
Предрак В большинстве случаев рак мочевого пузыря развивается на фоне предраковых процессов (атипичная гиперплазия, дисплазия слизистой оболочки) и доброкачественных опухолей (папиллома).
Патогистологические варианты рака мочевого пузыря Патоморфология. 1. 2. 3. Переходноклеточная (паппилярная) карцинома – 90 -95 % Плоскоклеточный рак – 3 -5 % Аденокарцинома – 2 %
КЛИЧЕСКОЕ ТЕЧЕНИЕ Клинические проявления рака мочевого пуыря Расстройства мочеиспускания Разнообразные дизурические проявления: • учащение мочеиспускания, никтурия, императивные позывы, боль при мочеиспускании; • Кровь в моче - гематурия, порой интенсивная макрогематурия приводит к свертыванию крови и тампонады мочевого пузыря сгустками. Патофизиологические проявления На поздних стадиях рака при наличии продуктов распада опухоли, кровяных сгустков, свищей, развивается цистит. Появление боли над лобком, в промежности или крестцах свидетельствует об экстраорганном распространении опухолевого инфильтрата.
• • • Диагностика Стандартным методом диагностики опухолей есть цистоскопия и биопсия опухоли. Цистоскопия Биопсия ткани опухоли мочевого пузыря Цитологическое исследование осадка мочи Сложные методы диагностики (комп’ютерная томография, УЗИ) Процедура проведения цистоскопии
Контрастная экскреторная цистография мочевого пузыря. Умеренный дефект наполнения боковой стенки. Признак роста опухоли в просвет пузыря.
Контрастная цистография, и пиелогафия. Стрелками указано местонахождения опухоли. Супрастенотическое расширение левого мочеточника, (вероятно проростание устья левого мочеточника), гидронефроз левой почки.
На фотографии слева: сгустки крови из опухоли. Справа показаны нежные сосочковые разростания экзофитного процесса. Карцинома.
Ультрасонография: желтыми метками указаны продольный и поперечные диаметры опухоли: 2, 68 на 2, 2 см.
Лечение • • Определяющим при выборе метода лечения рака мочевого пузыря является разделение опухолей на поверхностные (Тіs, I, Т 1) и инвазивные. Применяют хирургический, лучевой и цитостатический методы. Оптимальным методом лечения поверхностного рака является трансуретральная резекция (ТУР) мочевого пузыря. При наличии 1 -3 мелких поверхностных опухолей возможное выполнение трансуретральной электрокоагуляции измененных участков слизистой. Частота рецидивов поверхностного рака мочевого пузыря, даже после адекватного лечения, очень высокая и достигает 30 -80 %. Потому во всех случаях непосредственно после ТУР мочевого пузыря показана внутрипузырная химиотерапия, которая снижает риск развития рецидива на 50 %. Препаратом выбора для проведения внутрипузырной химиотерапии является митомицин С. С целью профилактика рецидива применяет также внутрипузырную БЦЖ-терапию, в основе которой лежит индукция местного иммунного ответа (активация макрофагов, Тлимфоцитов, цитокинов). Радикальной операцией при инвазивном раке мочевого пузыря (распространение на мышечный слой) есть цистэктомия с пересадкой мочеточников в кишку или на кожу. По мере травматичности такого вмешательства и ухудшение качества жизни эта операция применяется редко. В большинстве случаев используется системная полихимиотерапия (метотрексат + винбластин + доксорубицин + цисплатин), а также дистанционная гамматерапия.
иммунотерапия – “золотой стандарт” FПри остаточной опухоли посля эндоскопической резекции FДля предотвращения рецидива опухоли, а также carcinoma in situ
Клітки рака мочевого пузыря, меченные с БЦЖ – комплексами (зеленым цветом). Еффективный метод лечения на ранних стадиях заболевания.
Спасибо за внимание!


