Опухоли ЦНС 1 •



















































































Опухоли ЦНС 1
• Опухоли головного мозга 1, 5 % среди всех видов опухолей – гетерогенная группа различных в/ч образований – вследствие запуска процесса аномального неконтролируемого деления клеток, которые в прошлом являлись нормальными составляющими самой ткани мозга – нейроны, глиальные клетки, астроциты, олигодендроциты, эпендимальные клетки • лимфатическая ткань, кровеносные сосуды мозга, ЧН, мозговые оболочки, череп, железистые образования мозга (гипофиза, эпифиза) • вследствие метастазирования первичной опухоли, находящейся в другом органе • Тип опухоли определяется клетками, её формирующими • Симптоматика заболевания – локализация и гистологическоий вариант 2
• Этиология опухолевого процесса полиэтиологична – мутационная теория • результат мутаций в хромосомах соматических клеток • процесс деления клеток поддерживают гены регуляторы • под влиянием мутагенных факторов – процесс деления клеток неуправляем, что приводит к возникновению опухоли • Мутагенные факторы : – Физические: » ионизирующие и ультрафиолетовое излучения – Химические: » некоторые медикаменты, вещества бытовой химии, гормоны » с гормонами связывают медуллобластомы мальчиков 3
• Вирусная теория ( Л. А. Зильбер в эксперименте) – вирусы обнаружены в опухолях – не доказана причинно следственные связи • Дизэмбриологическая теория – группа клеток мозга в эмбриональном периоде прекращают делиться - остаются многие годы • получив толчок начинают бурно, безудержно делиться • опухоль из незрелых клеток – злокачественная – остановка в делении клеток • в местах расщепления, смыкания и отшнуровывания эмбриона – база для опухолевого • посттравматические / воспалительные пролиферации • Наследственная теория • наследственныйм нейрофиброматоз Рекленгаузена – поражающая опухолями нервы черепа (VIIIп. ), тела • по аутосомнодоминантному типу • на коже «кофейные" пятна 4
Классификация (Л. О. Бадалян 1984 г. ) • I. Новообразования • 2) менингиомы, арахноидэндотелиомы, • 1. Первичные: гемангиомы, • 1) глиомы: – ангиоретикулемы, ангиоретикулосаркомы • а) астроцитомы, астробластомы, глиобластомы • 3) невриномы, множественные – мультиформные и униполярные нейрофибромы • 4) врожденные опухоли – • б) олигодендроцитомы, краниофарингиомы, дермоиды, олигодендробластомы тератомы • в) эпендимомы, • 5) опухоли гипофиза – эпендимобластомы, аденомы, фибромы, ангиомы, – хориоидкарциномы, саркомы хориоидпапилломы • 6) опухоли шишковидной • г) медуллобластомы железы – пинеаломы, • д) ганглионевромы, пинеобластомы – ганглиоастроцитомы, невробластомы • 7) глиомы зрительного нерва 5
Классификация (Л. О. Бадалян 1984 г. ) • 2. Метастатические: • III. Воспалительные • 1) карциномы поражения мозга • 2) саркомы • 1. Туберкулемы • II. Паразитарные • 2. Сифиломы кисты и гранулемы • 3. Кистозный • 1. Эхинококкоз арахноидит • 2. Цистицеркоз • 4. Абсцесс мозга 6
Аденома гипофиза Астроцитома Глиобластома мультиформная Эпендимома Менингиома 7
• По характеру роста опухоли – экспансивно: • краниофарингиомы, эпендимомы, невриномы, менингиомы – инфильтративно – глиомы – Доброкачественные относительно • глиальные опухоли растут медленно в основном оттесняют мозг – атсроцитома, олигодендроглиома • поэтому имеют более или менее четкие границы с ним, – Злокачественные • глиомы медуллобластома, спонгиобластома • растут быстро • захватывают большие территории • не имеют четких границ 8
• По характеру роста опухоли – О. с обширными кистами: • астроцитомы , астроцитомы мозжечка • краниофарингиома Астроцитома мозжечка – Быстрый рост злокачественных опухолей • несовершенство их сосудов – не позволяет обеспечивать кровью всю опухоль в достаточной степени • некротизируются в глубине • кровоизлияния в опухоль глиобластома 9
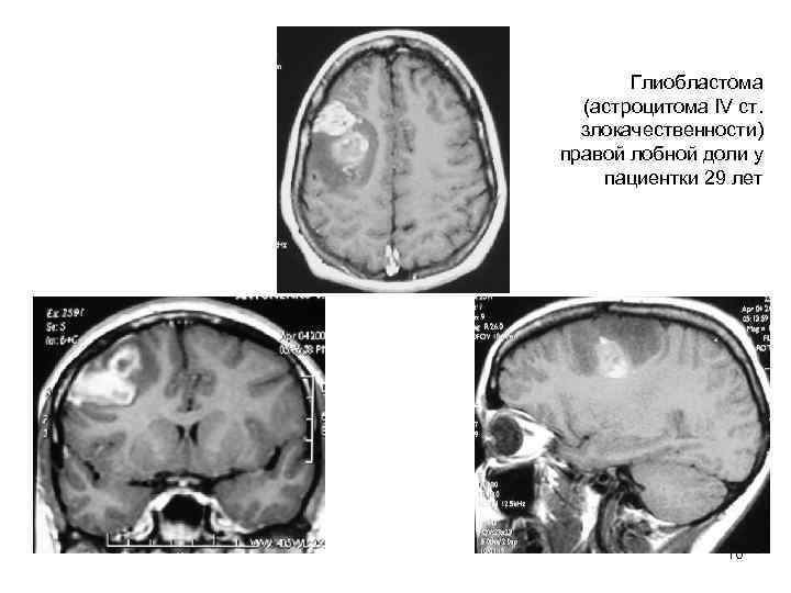
Глиобластома (астроцитома IV ст. злокачественности) правой лобной доли у пациентки 29 лет 10
МРТ с контрастированием пациента с глиобластомой левой височной доли до операции, Т 1 -взвешанное изображение 11
МРТ, Т 1 взвешенное изображениес контрастным усилением. Парасагитальная менингиома с большим гиперостозом и интракраниальным узлом, синус полностью проращен опухолью МРТ, Т 1 взвешанное МРТ, Т 2 взвешанное изображение с изображение. контрастным Конвекситальная усилением. Базальная менингиома правой менингиома (крыла лобно теменной основной кости) области. 12
Источники метастатического поражения головного мозга: • Рак легкого 50%. • Рак молочной железы – 25% 30 КТ, МРТ Метастаз аденокарц иномы в левую теменную долю 13
МРТ с контрастированием у пациента с метастазом рака почки в левую лобную долю 14
• Течение опухоли ГМ: – Локализация – гистологическая структура • степень злокачественности – наличие кисты / кровоизлияния в опухоль • Опухоли ГМ не метастазируют в другие органы – медуллобластома отсевы по ликворным путям • метастазы в желудочках мозга, в субарахноидальном МЕТАСТАЗЫ MEDULLOBLASTOMЫ ВНИЗ В пространстве СМ ПОДПАУТИННОЕ ПРОСТРАНСТВО – см корешки СМЕЖНЫЕ СО СМ 15
• Реакция мозговой ткани на опухоль: – О. ограничивает в/ч пространство • затрудняется отток крови – в капиллярах нарушается равновесие • между выходом плазмы в артериальной системе и возвращением в венозную • фильтрация превышает резорбцию • жидкость скапливается в интерстиции – перифокальный отек мозга • в финале заболевания становится общим – Увеличившийся объем мозга • затрудняет отток крови и усугубляет отек порочный круг 16
Опухоли в полости черепа по локализации - относительно мозжечкового намета • Супратенториальные • полушарные • опухоли шишковидной железы и III желудочка • опухоли гипофиза, краниофарингиомы • таламуса, базальных ганглиев • новообразования среднего мозга • Субтенториальные – новообразования мозжечка, мозгового ствола, IV желудочка 17
Супратенториальные: Инфратенториальные: – У взрослых • Шваннома * пары • Полушарные опухоли • Метастазы – Метастатические • Менингиома – Менингиома • Гемангиобластома – Глиома • Злокачественная астроцитома • Опухоли СМ • Глиобластома – Экстрадуральные • Олигодендроглиома • метастазы – Интрадуральные • Срединные опухоли • Экстрамедуллярные – менингиома – Опухоли гипофиза – шваннома – Области шишковидного тела • Интрамедуллярные – Каниофарингиомы – эпендимома – астроцитома 18
dura next to the falx – meningioma; superior parasagittal location 19
ependymoma arising from the ependymal Ependymoma rosette pattern with lining of the fourth ventricle the cells arranged about a central vascular space medulloblastoma с маленькими круглыми синими клетками 20
astrocytoma of the cerebellum in a child cerebellopontine angle schwannom glioma of the cerebral hemisphere 21
glioblastoma multiforme quite vascular metastasis from a lung carcinoma with prominent areas of necrosis and hemorrhage 22
Клиника • 3 группы признаков опухоли мозга – общемозговые • увеличение объема мозга и ↑ ВЧГ – локальные • локализация опухоли – дислокационные • в финале заболевания – предельно увеличенный в объеме мозг (опухоль + отек) – дислокация со сдавливлением ствол мозга – летальный исход 23
Клиника • общемозговые симптомы: 1. головная боль после сна • затруднение оттока крови и ликвора из черепа в горизонтальном положении – В норме "избытки ликвора и крови" в резервных пространствах черепа и мозга: – ликвор в желудочках и цистернах мозга, субарахноидальных пространствах – кровь в расширенных венах – при опухоли мозга • резервные пространства заняты увеличенным мозгом • в горизонтальном положении конфликт ↑ ВЧГ боль • со временем головная боль становится постоянной – усиливается в горизонтальном положении 24
Клиника • общемозговые симптомы: 2. Рвота на высоте головной боли • признак ↑ ВЧГ • не приносит облегчения и не связана с приемом пищи. • рефлекторный характер 3. Застойные диски ЗН • симптом ВЧГ • венозный застой и на глазничные вены – 1 этап вены глазного дна расширены, потемнели, извиты – затруднение оттока крови из ЗН на глазном дне – дисбаланс фильтрации и резорбции в капиллярах нерва – задержка жидкости в интерстиции отек ЗН – расширены капилляры диск гйперемированы – увеличивается в диаметре, контуры неотчетливы, "смазанны» • Субъективно "мушки" в полях зрения, туман, пелена 25
4. Изменение психики – при поражении лобной доли • эйфория, навязчивость, он становится "душою общества « 5. Эпилептические припадки 6. Вынужденное положение головы – при опухолях желудочков мозга с частичной блокадой ликворных путей • Нарушение ликвороциркуляции – окклюзионная гидроцефалия – признаки ВЧГ – ГБ с криком • потерей сознания • тоническими судорогами в разгибателях туловища и конечностей по типу децеребрационной регидности • нарушения дыхание и сердечная деятельность • 1902 г. Брунс у ребенка с пузырьком цистицерка в IV желудочке • Очаговые симптомы – зависят они от локализации опухоли 26
Опухоль мозжечка - червя с распространением на полушария • Гистологически медуллобластома 3 6 меся цев • Астроцитома одно из полушарий мозжечка 1 1, 5 2 г. – нарушением координации движении на стороне поражения • Клиника • нарушение статики и походки – спотыкается и падает, не ходит, предпочитает сидеть, позже – лежать – дезорганизация работы мышц на стороне поражения • антогонистов – сгибателей и разгибателей при пальценосовой и пяточно коленной пробах, неустойчивостью в позе Ромберга. – пронаторов и супинаторов – адиадохокинез – отводящих и приводящих мышц глаз – нистагм • речь скандированная • тонус и при поражении диффузно снижается. • ↓ сухожильных рефлексов – нарушение ликвороциркуляции • рано при злокачественных опухолях, позже при доброкачественных • окклюзия IV желудочка расширение сильвиева водопровода, III , боковых желудочков 27
midline of the cerebellum and extending medulloblastoma with small round into the fourth ventricle above the blue cells brainstem is a medulloblastoma 28
The mass lesion here is arising in the acoustic (eighth cranial) nerve at the cerebellopontine angle. This is a schwannoma. Patients may present with hearing loss. These benign neoplasms can be removed cystic so called "juvenile astrocytomas" 29
Опухоль ствола головного мозга • Субтенториальные опухоли ЗЧЯ – Клиника • половины ствола мозга альтернирующие синдромы – процесс распространяется и на другую половину ствола • двустороннее поражение ядер ЧН и тетрапарез • Опухоли ствола мозга – часто доброкачественные – ликворные пути свободны – нет гидроцефалии, ВЧГ 30
glioma of the brainstem 31
Опухоль полушарий ГМ • Супратенториальные - – астроцитомы и олигодендроглиомы • При поражении полюса лобной доли – психические расстройства • беспричинная веселость, навязчивость, болтливость. – на премоторную зону адверсивные припадки – на прецентральную извилину • центральный гемипарез контралатерально – из прецентральной извилины • с двигательных расстройств – Поражение базальных отделов • обонятельный тракт и зрительный нерв – гипо / аносмия – атрофия ЗН амавроз 32
gliomas glioma at the left shows greater cellularity and pleomorphism than adjacent brain at the right 33
GBM demonstrates marked cellularity with marked hyperchromatism and pleomorphism prominent vascularity as well as the area of necrosis at the left with neoplastic cells palisading around it glioblastoma multiforme (GBM). These neoplasms are quite vascular with prominent areas of necrosis and hemorrhage crossed the midline to the opposite hemisphere 34
• Поражение затылочной доли – гомонимная гемианопсия на противоположной опухоли стороне • Опухоль височной доли – эпилептические припадки – доминантного полушария • сенсорная и амнестическая афазия 35
• Краниофарингиома доброкачественная и медленно растущая опухоль – 3 фазы эндокринные расстройства, хиазмальный синдром, обызвествление опухоли – 1 фаза 2, 5 4, 5 г. внутри турецкого седла эндокринные расстройства: • карликовый рост – нанизм • ожирение внизу туловища и на бедрах • исхудание до кахексии • недостаточность гипофиза – гипопитуитаризм – замедляется развитие вторичных половых признаков – снижается артериальное давление, то есть отчетлива 36
Краниофарингиома – II фаза из турецкого седла - сдавление ЗН и хиазмы • Атрофия ЗН амблиопия • Сдавление хиазмы битемпоральной гемианопсии – III фаза – вверх сдавливает гипоталамус дно III желудочка • затруднение оттока ликвора из бокрвых желудочков гидроцефально расширяются • ↑ объем мозга – ВЧГ • На краниограммах – расширение турецкого седла , обызвествление в ткань опухоли 37
ДИСЛОКАЦИОННЫЕ СИНДРОМЫ • В финале болезни – увеличенный в объеме мозг = опухоль+перифокальный отек резервные пространства черепа • смещаясь – в щели и отверстия – дислокация мозга • Виды дислокации: – Височно-тенториальное • смещение миндалин мозжечка в большое затылочное отверстие – дислокация миндалин мозжечка – страдает ствол ГМ – нарушение витальных функций: дыхание и сердцебиение 38
ДИСЛОКАЦИОННЫЕ СИНДРОМЫ • Височно-тенториальный синдром – Гипокамповая извилина височной доли • в промежуток тенториума и ножкой ствола мозга – Общий отек мозга • двухстороннее вклинивание • прогрессирование процесса • ухудшение состояние больного – страдает кровообращение во всех структурах ствола 39
• Сдавление ствола мозга на уровне тенториального отверстия • нарушение функции сильвиева водопровода – затруднение оттока ликвора • переполнение III и боковых желудочков ↑ ВЧД • усиление ГБ, тошнота и рвота – нарушение кровообращения • нарушение обменных процессов • на стороне поражения – недостаточность III п. : – мидриаз, птоз верхнего века – отклонение глазного яблока кнаружи, отсутствие фотореакции 40
Сдавление ствола мозга на уровне тенториального отверстия • Гипоксия в ядрах РФ – ослабление / прекращение активирующего влияния на кору ГМ • угнетение сознания: оглушение, сопор, кома – Ослабление активирующего влияния по нисходящим путям СМ • мышечная дистония ↑ тонус разгибателей конечностей и туловища – • менингиальный синдром • в финале полная атония 41
Сдавление ствола мозга на уровне тенториального отверстия • Сдавление четверохолмия над сильвиевым водопроводом – на раннем этапе • парез взора вверх (верхние ядра) • снижение слуха (нижние ядра) – продолжение давление на ствол мозга • противоположная половина прижата к краю тенториального отверстия • мидриаз на другой стороне • дыхательные расстройства – нарушения ритма и амплитуды – дыхание по типу Чейн Стокса, Биота, Кусмауля – дыхательные паузы • мышечная дистония – атония • падение сердечной деятельности смерть 42
• Дислокация миндалин мозжечка в большое затылочное отверстие – Затруднение ликворооттока сдавление выхода из IV желудочка • усиление ГБ в шейно затылочной области • рвота – Гипоксия в ядрах каудальной группы (IХ Х Х 1 ХII) и чувствительном ядре V п. • нарушение глотания, дизартрия • парез возвратного нерва – диз и афония • отсутствие корнеального рефлекса • гипестезией на половине лица 43
Дислокация миндалин мозжечка – Сознание сохраняется долго – гипоксия в ядрах РФ • мышечная дистония • повысится тонус в разгибателях шеи лежа с запрокинутой головой – поражение сосудодвигательного центра • гиперемия лица, шеи и верхней, части туловища – расстройства дыхания, сердца • Смерть – ЛР противопоказана • остановка дыхания и сердцебиения в момент пункции 44
Патофизиология метастазов в ГМ ØЗлокачественные новообразования Øв органе удаленном от ЦНС (молочной железе) Øрастет, развивает сосудистую системы ØКлон злокачественных клеток с метастатическим потенциалом : Ø→ крови (А) → лимфатические сосуды(B) → венозное кровообращение 45
Патофизиология метастазов в ГМ ØЗлокачественные клетки → в правые отделы сердца (С) Ø → легочную артерию в легкие (D) Ø→ открытое овальное окно (E) в системный кровоток ØЗлокачественные клоны из легочного венозного кровообращения Ø → левые отделы сердца Ø→ большой круг кровообращения(F) Ø 15 до 20% сердечного выброса → ЦНС ØОпухолевые клетки → в мозг Ø→ капилляры /венулы Ø→ стенки сосуда, Ø→ рост в пределах мозга 46
Симптомы метастазов в ГМ Sign or Symptom % of Patients Headache 24 Hemiparesis 20 Cognitive and behavioral 14 disturbances Seizures (focal or 12 generalized) Ataxia 7 Other 16 No symptoms 7 47
Неврологические онкологические осложнения Метастазы 1. Интракраниальные (usually to brain) 2. Спинальные (usually epidural) 3. Лептоменингеальные (base of brain and cauda equina) 4. Краниальные нервы (usually from base of skull lesions) 5. Периферические нервы (brachial or lumbosacral plexus) Не метастатические 1. Осложнения лечения (radiation, chemotherapy) 2. Сосудистые расстройства (hemorrhage, infarcts) 3. Метаболические расстройства 4. Перанеопластический синдром 5. Инфекции 48
Неврологические онкологические осложнения Site Usual Causes Typical Symptoms and Signs ГМ Метастазы Головная боль Лептоменингеальные mts заторможенность Mетаболическая/токсическая гемипарез энцефалопатия Инфекционные судороги Менингит, абсцесс Радиационная энцефалопатия атаксия Церебральная геморрагия, инфаркт СМ и конский Эпидуральные метастазы Back pain хвост Лептоменингеальные mts Paraparesis Интрамедуллярные mts Sensory level Эпидуральный абсцесс / гематома Incontinence Радиационная миелопатия Миелопатия после химиотерапии Паранеоплатическая миелопатия 49
Site Usual Causes Typical Symptoms and Signs Черепные и Сдавление Локальная боль периферические нервы Гематома Чувствительные нарушения Инфильтрация опухолью Мышечная слабость Медикаментозная интоксикация Гипорефлексия, полинейропатия Опоясывающий лишай Лучевая плексопатия Паранеопластическая нейропатия Нервно Лекарства (аминогликозиды) Мыш. слабость без мышечные соед чувствительных нарушений я Паранеопластический синдром Дыхательные нарушения (Eaton Lambert myasthenic syndrome, myasthenia gravis) мышцы метастазы Проксимальная мыш. слабость Стероидная миопатия Мыш. слабость без чувствительных нарушений 50
Диагностика • КТ и МРТ • 1. Обзорная краниография в 2 х проекциях – истончение костей свода черепа • усиление пальцевых вдавлений – расхождение швов, обызвествление опухоли • олигодендроглиома, краниофарингиома – расширение и углубление турецкого седла • 2. Офтальмолог – снижение остроты зрения • не корригируется линзами атрофия ЗН – глазное дно • застойные диски / атрофия • нарушения полей зрения 51
• З. Эхолокация – асимметрия полушарий • Смещение III желудочка > 2 мм. • 4. Электроэнцефалограмма • зона угнетения / усиления сигналов патологический очаг – объемный процесс субтенториальной локализации • изоэлектрическая линия при лобно затылочной локации – опухоли в глубинных отделах полушария ГМ • очаговые изменения электрической активности • низкоамплитудных колебаний по нескольким областям коры 52
• 5. Компьютерная томография рентгеновское изображение мозга – степень плотности головного мозга • опухоль мозга – повышенная / неравномерная плотность • опухолевая киста зона пониженной плотности • дислокация характер и степень смещения мозга • отек перифокальный / общий вокруг опухоли • МРТ 53
ЛЕЧЕНИЕ ОПУХОЛЕЙ ГМ • Принципы: 1. Противоотечная терапия • кортикостероиды –признаки вклинения, ↑ВЧД • осмотические диуретики манитол, лазикс 2. Оперативный метод • наиболее эффективный 54
ЛЕЧЕНИЕ ОПУХОЛЕЙ ГМ • Принципы: 1. Противоотечная терапия • кортикостероиды –признаки вклинения, ↑ВЧД • осмотические диуретики манитол, лазикс 2. Оперативный метод • наиболее эффективный 55
ЛЕЧЕНИЕ ОПУХОЛЕЙ ГМ • Оперативный метод – радикальная операция – полное удаление • костнопластическая трепанация черепа – в ЗЧЯ – резекционная • герметичное зашиванием ТМО • укладывание костного лоскута на место • послойное зашивание раны (надкостницы, апоневроза, кожи) – при декомпрессивной (резекционной) • сохраненная надкостница в ЗЧЯ • регенерация кости через 1 2 года – костный дефект исчезает – При злокачественных О • полное удаление опухоли + лучевая терапия 56
ЛЕЧЕНИЕ ОПУХОЛЕЙ ГМ – При злокачественных О • полное удаление опухоли + лучевая терапия • химиотерапия – препараты через ГЭБ ломустин, нидран – комбинированное наиболее эффективно • Паллиативные операции – при труднодоступных опухолях • опухоли Ш желудочка, краниофарингиомы, опухоли ствола мозга – купирование ВЧГ • отведение ликвора из расширенных боковых желудочков • клапанная система → в брюшную полость → всасывается брюшиной – движение ликвора от головы при определенном повышенном давлении – под кожей в клетчатке 57
После нормализации состояния • на консультацию: • в Институт нейрохирургия Н. Н. Бурденко РАМН (Москва) • Институт нейрохирургии А. Я. Поленов (С. Петербург) 58
1 2 3 Метастатический мелкоклеточный рак легких до и после лучевой терапии 1. T 1 перед излучения 2 метастаза 2. Т 2 до излучения гиперинтенсивным 4 отек окружающих тканей 3, 4 МРТ после лучевой показать хороший ответ на лучевую терапию; небольшое количество опухолей остается 59
Опухоли спинного мозга – реже опухолей ГМ – в любом возрасте крайне редко до 10 и после 60 • Классификация: – Первичные – • из ткани СМ, корешков, оболочек – Вторичные — метастатические – Интрамедуллярные • из вещества СМ внутри спинного мозга, – Экстрамедуллярные - чаще • из оболочек, корешков вне спинного мозга • отношение к ТМО: – субдуральные подоболочечные – эпидуральные – надоболочечные 60
Опухоли спинного мозга • Первичные частые опухоли – Невриномы • из клеток шванновской оболочки СМ корешков • отграничены от окружающих тканей • доступны для радикального удаления – Арахноидэндотелиомы • из эндотелия паутинной оболочки • доброкачественны – Глиомы • основная масса интрамедуллярных опухолей • недоступны для удаления 61
• Патогенез – Механизм развития расположение опухоли 1. уровень локализации опухоли – отделы СМ МРТ – отношение опухоли к экстрамедул. веществу СМ интра / опухоль экстрамедуллярная менингиома 2. какая поверхность СМ Th 4 Th 5, – боковая, задняя /передняя перекрывает 3/4 3. отношение к оболочкам позвоночного мозга канала, 4. доброкачественная / сдавливая злокачественная СМ 62
• Патогенез – Механизм развития расположение опухоли 1. уровень локализации опухоли – отделы СМ МРТ – отношение опухоли к экстрамедул. веществу СМ интра / опухоль экстрамедуллярная менингиома 2. какая поверхность СМ Th 4 Th 5, – боковая, задняя /передняя перекрывает 3/4 3. отношение к оболочкам позвоночного мозга канала, 4. доброкачественная / сдавливая злокачественная СМ 63
Опухоли спинного мозга • Патогенез – механическое воздействие сдавление СМ, корешков • функционально динамические нарушения • парабиоз с блокадой нервных импульсов – микроструктурные изменения • обратимые → необратимые изменения – дегенерация клеток и волокон на уровне опухоли » валлеровская дегенерация дистального отрезка волокна – сосудов корешковых и СМ » аноксия, набухание, отек нервной ткани 64
Опухоли спинного мозга • Клиника – общие симптомы • медленное, неуклонное прогрессирование • проводниковые расстройства – сдавление компрессия СМ » поражение поперечника » конского хвоста 65
• Кроме механического фактора играет роль и ишемический, – так как опухолью сдавливаются питающие спинной мозг сосуды. – Уровень проводниковых расстройств зависит от расположения опухоли. – Наряду с проводниковыми нарушениями возникают и сегментарные расстройства функций • в тех зонах, которые соответствуют пораженным сегментам серого вещества спинного мозга. – Т. о. у больных с опухолями спинного мозга постепенно нарастают • двигательные, чувствительные расстройства, нарушается мочеиспускание и дефекация, • в поздних стадиях заболевания развиваются пролежни. • Сдавление спинного мозга опухолью сопровождается сужением субарахноидального пространства до полного его закрытия. – Наступает блокада субарахноидального пространства, являющаяся общим и почти специфическим симптомом опухолей спинного мозга, – для выявления используют или контрастную рентгенографию или ЛП • обращают внимание на исходное давление спинномозговой жидкости и производят ликвородинамические пробы. – Проба Квекенштедта: во время поясничной пункции надавливают пальцами на яремные вены (в течение 10— 1. 5 с), в результате чего нарушается венозный отток от головы и давление спинномозговой жидкости повышается (определяется прибором для измерения давления спинномозговой жидкости или по скорости истечения спинномозговой жидкости из пункционной иглы). • При наличии блокады субарахноидального пространства давление спинномозговой жидкости при надавливании на яремные вены не повышается. – Проба Стуккея глубокое сдавление на уровне пупка (в течение 20— 25 с) вен брюшной полости во время пункции, что также вызывает повышение давления спинномозговой жидкости в связи с затруднением оттока крови из венозной системы нижних отделов спинного мозга. При пробе Стуккея ускоряется ликвороток и в случае блокады субарахноидального пространства. – Имеет значение также измерение остаточного давления спинномозговой жидкости после проб и извлечения 2— 3 мл спинномозговой жидкости для анализа. – При хорошей проходимости субарахноидального пространства давление спинномозговой жидкости почти не изменяется. – При блокаде субарахноидального пространства оно может упасть до 0. – изменения спинномозговой жидкости - белково клеточная диссоциация и иногда в ксантохромии. • Количество белка нарастает по мере развития блокады субарахноидального пространства до 300— 500— 800 мг/л, а иногда и более белок выделяется на поверхности опухоли, 66 • имеет значение также повышение проницаемости сдавленных опухолью сосудов.
• Очаговые симптомы, опухолей спинного мозга вызываются – повреждением опухолью спинномозговых корешков и сегментов спинного мозга на уровне ее расположения. • При локализации опухоли в области верхних шейных сегментов наблюдается – спастическая тетраплегия, иногда в сочетании с вялым парезом мышц шеи. – Боль локализуется в шее, надплечьях, ключице, – расстройство чувствительности (проводникового типа) начинается с соответствующего уровня. • При опухолях в области сегментов C 5—C 8 и Th 1 (шейного утолщения) развиваются – вялые параличи рук и спастические— ног. – Локализация боли и уровень проводниковых расстройств чувствительности зависят от расположения опухоли. – Может быть синдром Бернара—Горнера. – Расстройства функции тазовых органов при опухолях шейного отдела длительное время отсутствуют, при появлении носят характер периодического недержания мочи или императивных позывов. • Опухоли грудного отдела характеризуются – опоясывающей болью, проводниковыми расстройствами чувствительности, спастическими параличами нижних конечностей, расстройством мочеиспускания по центральному типу. • При локализации опухоли в поясничном отделе развивается – корешковая боль, проводниковые расстройства чувствительности и параличи, носящие признаки как вялых (чаще), так и спастических. Рано нарушается функция тазовых органов. • При опухолях крестцовых сегментов – боль локализуется в стопе, по задней поверхности бедра и в аногенитальной области, развиваются параличи мышц, сгибающих стопу, голень и бедро, расстройства чувствительности имеют вид “штанов наездника”. – Рано и грубо страдают функции тазовых органов, развивается истинное недержание или задержка мочи и кала, импотенция. В крестцовой области возникают обширные пролежни. • Опухоли конского хвоста характеризуются – жестокой болью в нижних конечностях и в наружных половых органах. – Сравнительно рано утрачиваются рефлексы, расстройства чувствительности и параличи возникают поздно. 67 – Часто развиваются пролежни и нарушения мочеиспускания (задержка).
Симптомы и синдромы сдавления СМ 213 Patients at MSKCC Первые симптомы Синдромы диагноза No. (%) боль 201 (94) 207 (97) Мыш. слабость 7 (3) 157 (74) Вегетативные 0 (0) 111 (52) нарушения Чувствительные 1 (0. 5) 112 (53) расстройства атаксия 2 (0. 9) 8 (4) 68
• Течение опухолей спинного мозга прогрессирующее. – Темп развития симптомов зависит главным образом от злокачественного или доброкачественного характера опухоли. • В развитии экстрамедуллярных опухолей различают три стадии. – Невралгическая (корешковая) стадия характеризуется • усиливающейся болью, которая сопровождается парестезиями (онемение, чувство “ползания мурашек” и т. п. ). • В этой стадии иногда удается обнаружить корешковые расстройства чувствительности снижаются рефлексы, если их дуги проходят через поврежденные корешки. • Следствием сдавления передних корешков могут быть парезы мышц. – Стадия Броуна — Секара заключается • по мере роста опухоль начинает сдавливать прилежащую к ни сторону спинного мозга. • Если она располагается на боковой поверхности спинного мозга, возникает картина поперечного его поражения (синдром Броуна — Секара). – стадия парапареза и параплегии развивается при постепенном сдавлении опухолью поперечника спинного мозга. • Вследствие сдавления на уровне опухоли проводников спинного мозга возникают двусторонние нарушения двигательных и чувствительных функций тазовых органов. • Развитие интрамедуллярных опухолей сопровождается появлением – сначала сегментарных расстройств двигательной, чувствительной и вегетативной функций. • Парезы при этом имеют периферический характер, сегментарные расстройства чувствительности бывают диссоциированными (нарушается болевая и температурная чувствительность при сохранении тактильной и глубокой). – В дальнейшем, в результате сдавления проводящих путей спинного мозга, развиваются • спастические параличи нижележащих конечностей и проводниковые нарушения всех видов чувствительности, • нарушаются функции тазовых органов, возникают пролежни. 69
MRI сдавление СМ метастазом рака простаты. A. Опухоль в теле позвонка сжатие СМ и смещение влево B. после лечения радиотерапией разрешение сжатия и сокращение массы опухоли; остаточная опухоль 70
Патофизиология leptomeningeal метастазов • A. Механизмы входа опухолевой клетки в спинное подпаутинное пространство – в тело позвонка (1 a) – вдоль позвоночных вен (1 b) – подпаутинное пространство (1 c) – в периферийные нервы /корни нерва вне позвоночного канала (2 a) – вдоль нерва в спинной канал (2 b) – в кровеносные сосуды вне CNS (3 a) – в поперечные подпаутинные вены в пространство (3 b) 71
Патофизиология leptomeningeal метастазов • В. Механизмы входа опухолевой клетки в мозговое подпаутинное пространство – через метастазы • к черепу • к мозгу • к diploic венам черепа • непосредственно от подпаутинообразных вен • Сосудистая оболочка 72
MRI с гадолинием leptomeningeal метастазы рака легких Положительная цитология CSF для злокач. клеток 73
Метастатическая нейропатия ЧН Lesion Site Findings Comments глаз амблиопия; отслойка Боль, экзофтальм, сетчатки диплопия реже; рак легких орбита Боль, экзофтальм, Опухоль диплопия; амблиопия гр. клетки, простаты, позже лимфома; Парацеллюлярные Нтальная ГБ, парез III, IV, lymphoma common опухоли VI), потеря чувствительности Vп. 1 74
Lesion Site Findings Comments глаз амблиопия; отслойка Боль, экзофтальм, сетчатки диплопия реже; рак легких орбита Боль, экзофтальм, Опухоль диплопия; амблиопия гр. клетки, простаты, позже лимфома; Парацеллюлярные фронтальная ГБ, парез III, lymphoma common опухоли кавернозного IV, VI), потеря синуса чувствительности Vп. 1 Ср. черепная ямка Гипестезия лицевая trigeminal neuralgia (Vп. 2, 3), паралич VI сдавление опухоью Jugular foramen осиплость, дисфагия, Отек ДЗН сдавление боль в глотке (IX, X), jugular vein sternocleido mastoid парез (XI), парез языка (XII) Glossopharyngeal neuralgia is uncommon. Occipital condyle Unilateral occipital pain and Pain may radiate to neck stiffness, unilateral forehead. tongue weakness (XII) Mandible Unilateral numb chin and Also results from meningeal gum (“mental neuropathy”) or skull base metastases; 75 breast cancer and
Lesion Site Findings Comments Eye Decreased visual acuity; Choroidal lesions are more retinal detachment common than retinal; pain, proptosis, and diplopia are rare; breast and lung cancer are common causes. Orbit Pain, proptosis, diplopia; Equally as common as sensory loss V 1; decreased choroidal metastases; visual acuity in one third of breast and prostate cancer cases, usually late and lymphoma and neuroblastoma are common causes Parasellar Unilateral frontal headache, Vision rarely affected, no oculomotor palsies (III, IV, proptosis; lymphoma VI), sensory loss V 1 common Sella Diabetes insipidus Anterior pituitary insufficiency and visual loss are rare; when present, they suggest a primary pituitary tumor; breast common 76 Middle cranial fossa Facial numbness (V , V ), Lightninglike facial pains
СМЖ-маркеры опухоли CSF Tumor Marker Comments CEA > 1% of serum CEA* при карциноме ЖКТ и легких β HCG хориокарцинома α FP тератокарцинома β 2 microglobulin Above 2. 0 mg/L. * при инфекциях β glucuronidase Above 80 m. U/m. L* (не специфично) LDH Isoenzyme 5 >10% of total LDH* (не специфично) CEA = карциноэмбриональный а/г; HCG = человеч. хориоидальный гонадотропин; α FP = a фотопротеин; LDH = лактат дегидрогеназа. * 77
• Диагноз опухоли спинного мозга ставится на основании – клинических данных о постепенном нарастании признаков сдавления поперечника спинного мозга. – В пользу экстрамедуллярной опухоли при этом свидетельствует наличие стадии корешковой боли, сменяющейся синдромом поражения поперечника спинного мозга. – О наличии интрамедуллярной опухоли говорят сегментарные расстройства спинномозговых функций с постепенно присоединяющимися проводниковыми нарушениями. • При подозрении на опухоль обязательна – спинномозговая пункция с ликвородинамическими пробами, • которые выявляют наличие блокады подпаутинного пространства. – Изменения состава спинномозговой жидкости, • свидетельствующие в пользу опухоли спинного мозга, • выражаются в белково клеточной диссоциации и иногда ксантохромии. • Дополнительными методами исследования являются рентгенографические. – На рентгенограммах позвоночного столба при опухолях спинного мозга бывают изменены корни дуг позвонков: • изменяются их овальная форма и размеры, увеличивается расстояние между ними. • Эти изменения наблюдаются на уровне расположения опухоли. • МРТ спинного мозга. • Лечение. Единственным эффективным методом лечения опухоли спинного мозга является хирургический. – Хирургическое лечение доброкачественных опухолей дает благоприятные результаты, у большинства больных восстанавливается трудоспособность. – Прогноз хирургического вмешательства в значительной степени определяется своевременной и правильной диагностикой. • При злокачественных опухолях также делается попытка радикального удаления опухоли с последующей рентгенотерапией. – Рентгенотерапия может задержать рост опухоли и вызвать уменьшение ряда невропатологических симптомов. – Показанием к ее применению является также боль, не поддающаяся медикаментозному лечению. 78
• Сходную с опухолями клиническую картину можно наблюдать при солитарном туберкулезе, кистозном арахноидите, сифилитической гумме, эхинококкозе и цистицеркозе, абсцессе мозга и других заболеваниях. – Первое клиническое знакомство с больным часто не дает возможности для точного диагноза. – “внутричерепной объемный процесс” заболевания, • которые в дальнейшем диагностируются как опухоли головного мозга, цистицеркоз, абсцесс и т. д. – Ликворологическими признаками, • отличающими церебральный цистицеркоз от зхинококкоза, является: • лимфоцитарно-моноцитарный плеоцитоз 79
• Абсцесс головного мозга — это ограниченный капсулой гнойный воспалительный очаг в головном мозге. • Этиология. – Абсцесс мозга чаще всего развивается при наличии какого нибудь гнойного воспалительного очага в организме, • носит вторичный характер. – Одной из самых частых причин абсцесса мозга • гнойный отит, менее частых — гнойное воспаление придаточных полостей носа. – травматические абсцессы, • в ранний и поздний период открытых проникающих черепно мозговых травм. – развитие абсцесса и вследствие закрытой травмы головного мозга • в результате проникновения в мозг инфекции из расположенных по соседству воспалительных очагов (ухо, придаточные полости носа). – Источником абсцесса мозга могут быть • гнойные воспалительные заболевания легких и других органов: – бронхоэктатическая болезнь, абсцесс легкого, остеомиелит, гнойный периметрит и т. п. – Среди возбудителей абсцесса мозга • стрептококки, стафилококки, пневмококки, кишечная палочка и микробные ассоциаций (при открытой черепно мозговой травме). – Инфекция проникает в мозг • путем соприкосновения или гематогенно, • проникновения по периневральным щелям зрительного, лицевого, слухового и других черепных нервов. – Абсцессы головного мозга могут быть единичными и множественными. 80
• Пагоморфология. – Абсцесс мозга характеризуется • ограниченным гнойным воспалением вещества мозга с исходом в некроз. – Вокруг некротического участка • формируется капсула из глиальной и соединительной ткани. – Если абсцесс прорывается • в подпаутинное пространство или желудочковую систему, • возникает картина вторичного гнойного менингита • Прорыв абсцесса в ликворные пути – Можно диагностировать на основании появления у больного » мутной спинномозговой жидкости при пункции. • Клиника. Клиническая картина абсцесса головного мозга слагается из трех групп симптомов: общеинфекционных, общемозговых и очаговых. 81
• Общеинфекционные симптомы соответствуют начальной стадии развития абсцесса и проявляются – гипертермией, общей слабостью, отсутствием аппетита, появлением лейкоцитоза в крови со сдвигом формулы влево и нарастанием СОЭ. – Через несколько дней состояние больного может улучшиться (латентная стадия развития абсцесса), – а затем появляется общемозговая и очаговая симптоматика с новым подъемом температуры (явная стадия). • Общемозговые симптомы формируются за счет повышения внутричерепного давления вследствие отека мозга (гипертензионный синдром): – головная боль, тошнота, рвота, сонливость, застойные диски зрительных нервов. 82
• Очаговая симптоматика зависит от локализации абсцесса: мозжечковая атаксия, гемипарез, афатические расстройства и пр. – Конечная стадия развития абсцесса • с нарастанием гипертензионных и очаговых симптомов • может осложниться прорывом абсцесса в подпаутинное пространство или желудочковую систему. – появляются озноб, резкий подъем температуры и грубые менингеальные симптомы. – Возможность развития вторичного гнойного менингита • осложняет прогноз абсцесса мозга. • Для диагностики абсцесса головного мозга наиболее информатиным методом является: • МРТ – Лечение единичных абсцессов мозга • всегда хирургическое (при множественных абсцессах оно не показано). • Рекомендуется удалять абсцесс вместе с капсулой. – В противном случае • производятся вскрытие абсцесса • повторные пункции его с удалением гноя и введением в его полость антибиотиков. – Наряду с оперативным лечением применяются • антибиотики в комбинации с сульфаниламидными препаратами, 83 • дегидратационная терапия, анальгетики.

