ФСГС лекция 2008.ppt
- Количество слайдов: 79
ОЧАГОВЫЙ ГЛОМЕРУЛОСКЛЕРОЗ 2008
Термины, характеризующие распространенность морфологических изменений в почке диффузные очаговые (фокальные) генерализованные (глобальные) сегментарные
Термин очаговый гломерулосклероз (фокальный сегментарный гломерулосклероз, ФСГС), как и многие другие в медицине, имеет не одно значение. Во-первых, это морфологический феномен, обнаруживаемый при исследовании почечной ткани больных с различными гломерулонефропатиями. Во-вторых, в клинике он часто употребляется в качестве наименования конкретного почечного заболевания. Неразличение этих двух пониманий одного термина, борьба за «чистоту» медицинской терминологии приводит к неоправданным дискуссиям (см. статью Б. И. Шулутко).
Исторические аспекты ФСГС Первое описание принадлежит Теодору Фарру (1925)
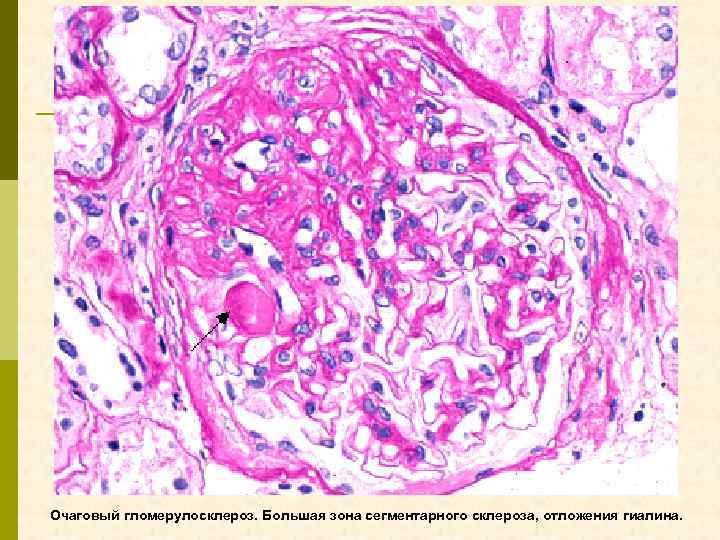
Очаговый гломерулосклероз. Большая зона сегментарного склероза, отложения гиалина.
Очаговый гломерулосклероз. Неспецифические отложения Ig. М в зоне склероза на верхушке клубочка.
Первое детальное описание ФСГС Rich AR. A hitherto undescribed vulnerability of the juxtamedullary glomeruli in lipoid nephrosis. Bull Johns Hopkins Hosp 1957; 100: 173 -86. Арнольд Рич, морфолог, описал гистологические изменения почек 20 детей, страдавших липоидным нефрозом (т. е. нефротическим синдромом). Исследования, выполненные на аутопсийных гистотопографических срезах почки, позволили сделать важное заключение о локальном или преимущественном поражении юкстагломерулярных клубочков. Эта статья не привлекла должного внимания клиницистов.
В 1970 г. была опубликована работа группы патологов (Чарг, Абиб, Уайт), выполненная в рамках Международного исследования болезней почек у детей (ISKDC) на материале нефробиопсий 1966 -69 г. г. Данные о высокой частоте ФСГС у детей-нефротиков привлекли внимание клиницистов. Эта ключевая статья совпала с широким распространением нефробиопсии у детей и почти сразу ФСГС вошел в перечень диагнозов, который стали узнавать и ставить не только детям, но и взрослым больным с нефротическим синдромом. Вначале это состояние называлось как «scarring» фокальный пролиферативный гломерулонефрит.
КЛИНИКО-МОРФОЛОГИЧЕСКИЕ ВАРИАНТЫ ФСГС 1. Идиопатический (первичный) 2. Вторичный 3. Сегментарное гломерулярное сморщивание (рубцевание как исход различных гломерулопатий)
КЛАССИФИКАЦИЯ ФОКАЛЬНОГО СЕГМЕНТАРНОГО ГЛОМЕРУЛОСКЛЕРОЗА l Первичный (идиопатический) ФСГС, иногда семейный - самостоятельное заболевание ВИЧ- или героин-ассоциированный ФСГС l Вторичный ФСГС - морфологический феномен l А. С уменьшенной почечной массы Олигомеганефрония Односторонняя агенезия почки Почечная дисплазия Рефлюксная нефропатия Субтотальная нефрэктомия Недостаточность почечного трансплантата Любая прогрессирующая болезнь почек Литиевая нефропатия Б. С первично нормальной почечной массой Сахарный диабет Гипертензия Ожирение Пре- и эклампсия беременных Цианотическая врожденная сердечная недостаточность Болезни лизосомального накопления (болезнь Фабри, сиалидоз) Болезнь Charcot-Marie-Tooth
Факторы, обсуждаемые в патогенезе ФСГС 1. Иммунологический 2. Токсические или другие системные факторы 3. Мезангиальная дисфункция 4. Коагуляция 5. Гемодинамические 6. Старение
Kidney International, Vol. 7 (1975), p. 111 -122 Focal glomerular sclerosis in nephrotic patients: An electron microscopic study of glomerular podocytes EDITH GRISHMAN and JACOB CHURG Division of Renal Pathology, Department of Pathology, Mount Sinai School of Medicine of the City University of New York, New York Fig. 5. Patient 11: Glomerular capillary wall showing fragmentation of podocyte (FP). I. = capillary lumen (x 15, 250).
Стадии развития очагового гломерулосклероза (male hypertensive Fawn-hooded rats) W. Kriz et al. , AJN, 1998, 9, 3, 381 1 2 1. Нормальный клубочек 2. Дилатация и прилипание капилляра к ГБМ 3. Расширение зоны адгезии, коллапс и гиалиноз капилляров 3 4 4. Развернутая стадия гломерулосклероза
Морфологические варианты ФСГС p Клеточный вариант (диффузная мезангиальная пролиферация) p Tip-lesion (очаговый склероз в области верхушки клубочка со спайкой в начале проксимального канальца) p Коллаптоидная форма
I. Клеточный вариант первичного ФСГС Очаговый гломерулосклероз, ранняя стадия. Сегментарный коллапс капилляров в зонах повреждения подоцитов.
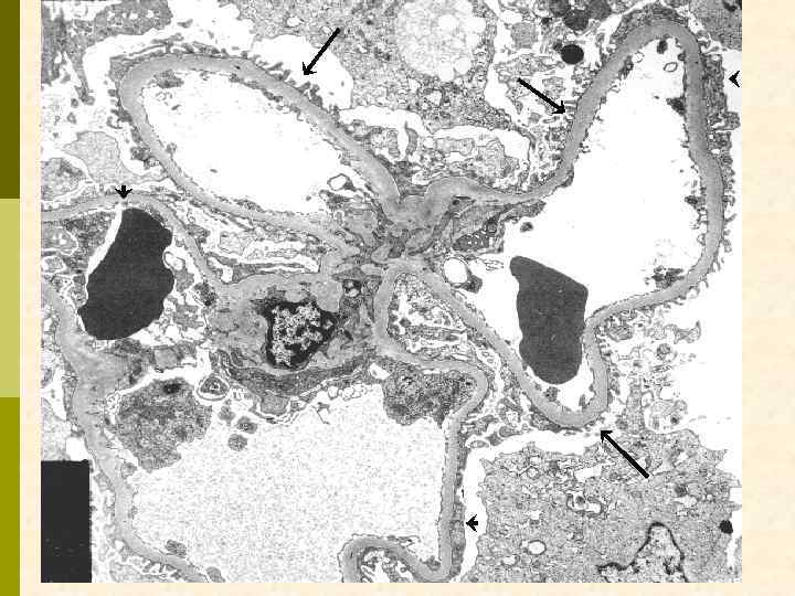
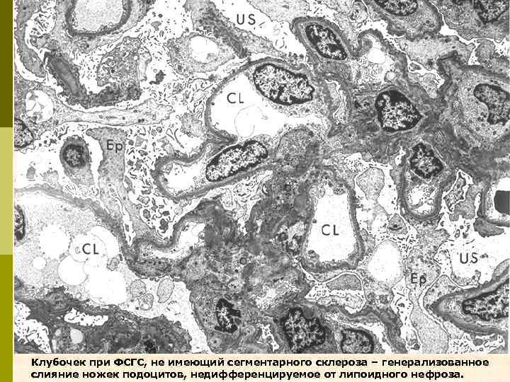
Клубочек при ФСГС, не имеющий сегментарного склероза – генерализованное слияние ножек подоцитов, недифференцируемое от липоидного нефроза.
Очаговый гломерулосклероз. Слияние ножек подоцитов, оголение базальной мембраны. Массивные субэндотелиальные гиалиновые депозиты (плазматическое пропитывание).
II. Tip-LESION
Очаговый гломерулосклероз (tip lesion), ранняя стадия. Скопление пенистых клеток в области верхушки клубочка.
III. КОЛЛАПТОИДНАЯ ГЛОМЕРУЛОНЕФРОПАТИЯ
Очаговый гломерулосклероз, коллаптоидная форма. В зонах склероза просветы капилляров исчезают. Скопления вакуолизированных подоцитов.
Коллаптоидная гломерулопатия. Глобальный коллапс капилляров, пролиферация (? ) подоцитов с вакуолизацией их цитоплазмы
Коллаптоидная гломерулопатия. Коллапс двух капилляров с выраженными изменениями подоцитов, ножки у которых не распознаются.
Коллаптоидная гломерулопатия. Белковые гранулы в цитоплазме подоцитов (PAS).
альбумин Коллаптоидная гломерулопатия, ИФ. Гранулы, содержащие альбумин, в цитоплазме подоцитов.
ВИЧ-ассоциированный ФСГС
Выраженная эхогенность почечной ткани Эхо. Г здорового человека Нефропатия (очаговый гломерулосклероз), ассоциированная с ВИЧ-инфекцией NEJM, 1997, 337, 11, 754
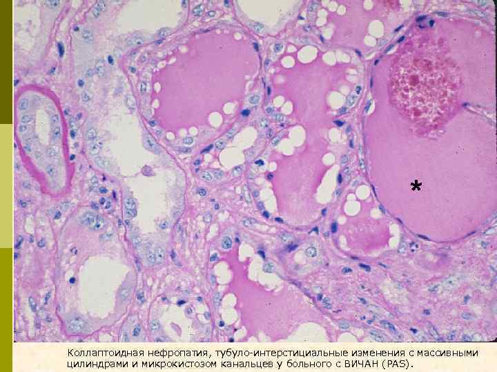
* Коллаптоидная нефропатия, тубуло-интерстициальные изменения с массивными цилиндрами и микрокистозом канальцев у больного с ВИЧАН (PAS).
ВИЧ-ассоциированная нефропатия А. Дилатированные канальцы с цилиндрами, в клубочке сегментарный коллапс петель Б. Сегментарный склероз и коллапс петель, гипертрофия и вакуолизация подоцитов
Коллаптоидная нефропатия у больного с ВИЧ. Тубуло-ретикулярные включения в эндотелиоцитах при еще сохранных ножках подоцитов в данном участке ГБМ.
подокаликсин эзрин подопланин синаптоподин нефрин IL-4 R 2
Врожденные варианты ФСГС Аутосомно-рецессивные формы: 1. Мутация гена NPHS 1: нарушение синтеза нефрина, основного компонента щелевидной диафрагмы подоцитов (врожденный нефротический синдром, финский тип) 2. Мутация гена NPHS 2: нарушение синтеза подоцина, основного компонента подоцитов (стероидорезистентный нефротический синдром) Аутосомно-доминантная форма: Мутация гена ACTN 4, определяющего синтез -актинина, другого компонента подоцитов (семейный фокальный гломерулосклероз)
Врожденный нефротический синдром, финский тип p p p Аутосомно-рецессивное заболевание с массивной протеинурией и нефротическим синдромом in utero вследствие мутации гена NPHS 1 на 19 хромосоме NPHS 1 кодирует нефрин, Ig-подобный трансмембранный протеин – основной компонент щелевидной диафрагмы Морфология: склероз клубочков, микрокистозная дилатация канальцев, интерстициальный фиброз, изменения подоцитов и отсутствие щелевидной диафрагмы при ЭМ Лечение: ранняя нефрэктомия, диализ и трансплантация После трансплантации в отдельных случаях возникает рецидив нефротического синдрома , возможно из-за реакции на нефрин в аллографте
Стероидорезистентный нефротический синдром p p p Аутосомно-рецессивное заболевание, развивающимся в раннем детстве вследствие мутации гена NPHS 2 на 1 хромосоме NPHS 2 кодирует белок из семейства стоматинов, названный подоцином. Подоцин в комплексе с нефрином является составной частью щелевидной диафрагмы. Стероидорезистентный нефротический синдром проявляется протеинурией через несколько месяцев или лет после рождения и прогрессирует до терминальной ХПН. Диагностируется среди «идиопатического» стероидорезистентного нефротического синдрома Гистология: ФСГС с изменениями подоцитов при ЭМ
Семейный фокальный гломерулосклероз p Аутосомно-доминантное заболевание, при котором несколько членов семьи имеют бессимптомную протеинурию, нефротический синдром и/или почечную недостаточность в молодом или зрелом возрасте, вследствие мутации ACTN 4 на 19 хромосоме p ACTN 4 кодирует альфа-актинин, подоцитарный белок, связанный с актином p Существуют и другие варианты семейного фокального гломерулосклероза, генная природа которых пока не определена
ВТОРИЧНЫЕ ФОРМЫ ФОКАЛЬНОГО СЕГМЕНТАРНОГО ГЛОМЕРУЛОСКЛЕРОЗА
II. Вторичный ФСГС как реакция на снижение числа функционирующих нефронов Состояния с первичной потерей функционирующих нефронов с последующей адаптацией q Односторонняя почечная агенезия q Сегментарная гипоплазия и олигомеганефрония q Односторонняя дисплазия
Когда глобальный склероз можно считать нормальным? До 10% клубочков у больных моложе 40 лет (Возраст больного /2) – 10
II. Вторичный ФСГС как реакция на снижение числа функционирующих нефронов q Атероэмболическая болезнь q Артерио- и артериолосклероз и другие васкулопатии q Реноваскулярная гипертензия, ФСГС в «незащищенной» почке q Реципиенты почечного трансплантата; детская почка у взрослого реципиента q Кистозные болезни q Рефлюксная нефропатия, хронический пиелонефрит, аналгетическая нефропатия, другие первичные интерстициальные болезни q Большинство первичных гломерулопатий q Частичный кортикальный некроз, ГУС, преэклампсия q Серповидноклеточная болезнь
II. Вторичный ФСГС как реакция на снижение числа функционирующих нефронов Состояния без первоначальной потери нефронов, но с функциональными адаптациями: q Диабетическая нефропатия q Семейная дисавтономия q Протеинурия, ассоциированная с ожирением, with or without sleep apnea q q Болезнь накопления гликогена
Клинический случай. ФСГС при односторонней агенезии почки. У больного медленно нарастающая протеинурия, достигшая нефротического уровня, но еще не сопровождаемая гипоальбуминемией и отеками.
Клинический случай Рефлюксная нефропатия, хронический пиелонефрит и вторичный ФСГС Изменения не дифференцируются с другими формами ФСГС, особенно если не выполняется ЭМ или игнорируются клинические данные (PAS).
Хроническая атрофия коркового слоя с его «тиреоидизацией» . Фиброз сосочка
Клинический случай Медуллярная кистозная болезнь со вторичным ФСГС Выраженная атрофия канальцев и интерстициальный фиброз. Клубочки с фокальным глобальным и сегментарным склерозом (PAS).
Медуллярная кистозная болезнь со вторичным ФСГС
Медуллярная кистозная болезнь со вторичным ФСГС. Кисты расположены во внутреннем мозговом слое.
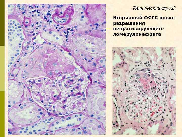
Клинический случай Вторичный ФСГС после разрешения некротизирующего ломерулонефрита
III. Фокальное и сегментарное гломерулярное рубцевание ФСГС, вторичный к разрешившемуся гломерулиту: q Ig. A нефропатия/ геморрагический васкулит q Различные васкулиты в ранней фазе q Ранняя стадия идиопатического экстракапиллярного гломерулонефрита, включая синдром Гудпасчера q Иммунокомплексные болезни q Волчаночный нефрит, WHO класс III q Постинфекционный гломерулонефрит
Фактоы, прогнозирующие течение первичного ФСГС Уровень и селективность протеинурии Функциональные показатели почек Раса (хуже у афроамериканцев) Ответ на кортикостероиды АД Возраст при установлении диагноза Данные нефробиопсии
ОЧАГОВЫЙ ГЛОМЕРУЛОСКЛЕРОЗ: ЛЕЧЕНИЕ p От 40 до 60% больных стероидочувствительны, ремиссия может быть полной (протеинурия <200 мг/сут) или неполной (<2 г/сут). p Лучше отвечают на терапию больные с «glomerular tip lesion» (80% против 33%) Beaman et al. , Clin Nephrol 1987, 27: 217 p Циклофосфамид (или азатиоприн) в монотерапии или в сочетании со стероидами могут быть эффективны в начале терапии. p Чем выше протеинурия, тем хуже прогноз. p 5 - и 10 -летняя выживаемость больных с нефротическим синдромом составляет в среднем 60 -90% и 30 -55%, соответственно.
Южная Корея
Нефротический синдром – протеинурия >40 мг/м 2 ч при альбумине сыворотки<25 г/л игенерализованных отеках. Бессимптомная протеинурия – протеинурия нефротического уровня при альбумине >25 г/л и отсутствии отеков. Лечение: преднизолон 60 мг/м 2 (maximum 60 mg/day), разделенный на три дозы, в течение 4 -6 нед. , далее 4 -6 нед. в той же дозе по альтернирующей схеме с дальнейшим постепенным снижением. При стероидонечувствительности: 1) Метилпреднизолон 30 мг/кг (макс. 1 г) 6 доз через день, 8 доз 1 раз в неделю, 4 дозы 1 раз 2 нед. , 9 доз – 1 раз в месяц. 2)Циклоспорин А – 30 мг/кг (конц. 120 -150 gn/ml)
J Am Soc Nephrol 15: 2169… 2177, 2004 Focal Segmental Glomerulosclerosis in Nephrotic Adults: Presentation, Prognosis, and Response to Therapy of the Histologic Variants MICKY J. CHUN, * STEPHEN M. KORBET, * MELVIN M. SCHWARTZЃ, and EDMUND J. LEWIS* Departments of *Medicine, and ЃPathology, Rush University Medical Center, Chicago, Illinois Ретроспективный анализ течения первичного ФСГС у 87 взрослых больных (36 – классический вариант, 40 – коллаптоидный, 11 – tip lesion). Клинические группы отличались мало (при коллаптоидном варианте протеинурия была выше, больные с tip lesion были старше). Ответ на стероиды – 63% (53% - 64% - 78%). 10 -летняя почечная выживаемость выше у ответивших на стероиды (92% против 33%; P 0. 0001). 10 -летняя почечная выживаемость среди групп не отличалась (100% - 80% - 100%). 10 -летняя почечная выживаемость у не ответивших на стероиды значительно хуже (49% - 25% - 21%). Заключение: прогноз у больных, вошедших в ремиссию хороший и не зависит от гистологического варианта ФСГС. Ответ на терапию не может быть спрогнозирован только на основании морфологических данных. Нефротические больные с первичным ФСГС должны получать терапию вне зависимости от гистологического варианта.
Циклоспорин – ингибитор кальциневрина – рекомендуется для лечения стероидорезистентных первичных гломерулонефропатий – липоидного нефроза, ФСГС и мембранозной. Разработаны алгоритмы терапии для взрослых и детей. Длительность приема циклоспорина при стероидорезистентном ФСГС – не менее чем на 12 мес. Основной критерий эффекта – снижение протеинурии. Хотя циклоспорин в большинстве случаев переносится хорошо, необходим контроль за уровнем креатинина – при его повышении он отменяется. Cattran DC et al. (2007) Cyclosporin in idiopathic glomerular disease associated with the nephrotic syndrome: workshop recommendations. Kidney Int
Стероиды, и. АПФ и б. РА, эритропоэтин имеют как системные эффекты, так и прямые – непосредственно на подоциты Стероиды «защищают» подоциты от апоптоза Wada T, Pippin JW, Marshall CB et al. Dexamethasone prevents podocyte apoptosis induced by puromycin aminonucleoside: role of p 53 and Bcl-2 related family proteins. J Am Soc Nephrol 2005; 16: 2615… 2625. Ингибиторы АПФ уменьшают гипертрофию подоцитов и проявляют антиапоптотические свойства Hoffmann S, Podlich D, Haehnel B et al. Angiotensin II type 1 receptor overexpression in podocytes induces glomerulosclerosis in transgenic rats. J Am Soc Nephrol 2004; 15: 1475… 1487. Подоциты имеют рецепторы к эритропоэтину. Лечение дарбэпоэтином альфа защищает подоциты от апоптоза при пуромициновой нефропатии. Logar CM, Brinkkoetter PT, Krofft RD et al. Darbepoetin alfa protects podocytes from apoptosis in vitro and in vivo. Kidney Int 2007; 72: 489… 498.
Поддерживающая терапия при ФСГС Установка: протеинурии и гиперлипидемии замедляет прогрессирование к ХПН 1. Ингибиторы ангиотензин-превращающего фермента (и. АПФ) и блокаторы рецепторов к ангиотензину (б. РА) • антипротеинурический эффект без АД • контролировать сывороточный K+ при СКФ< 70 ml 2. Статины • Эффективные препараты с редкими и обратимыми побочными эффектами
Эффективность плазмафереза при первичном ФСГС. Динамика протеинурии у 6 больных, ранее резистентных к терапии. Наблюдение в среднем 18 мес. У других 5 больных такого ответа не было. (Mitvalli, NDT 1998, 13: 1524)
Удаление циркулирующего фактора на адсорбционной колонке при рецидиве первичного ФСГС в трансплантате приводит к временному снижению протеинурии. (Dantal et al. , NEJM 1994, 330: 7)
Первичный ФСГС – болезнь подоцитов Podocyte injury Повреждение подоцитов (генетическая мутация, апоптоз, перегрузка белков и др. ) Фокальная отслойка подоцитов и образование синехий Капиллярный коллапс (сегментарный склероз) и гиалиноз
Заключение Фокальный сегментарный гломерулосклероз (ФСГС) – морфологический феномен, который при определенных клинико-морфологических ассоциациях (протеинурия/нефротический синдром, повреждение и отслойка подоцитов от ГБМ, их апоптоз, гломерулосклероз) приобретает черты нозологической единицы. Последняя при детальном исследовании оказывается большой группой болезней и сохраняет за собой право оставаться только клинико-морфологическим синдромом.


