Опухоли_студентам2010.ppt
- Количество слайдов: 62
ОБЩИЕ ВОПРОСЫ ОПУХОЛЕВОГО РОСТА профессор Агеева Т. А.
АКТУАЛЬНОСТЬ l l l ОПУХОЛИ уверенно занимают II место в структуре смертности от заболеваний в России и во всем мире имеется постоянная тенденция к росту показателей заболеваемости опухолевыми заболеваниями в последние десятилетия в ОНКОЛОГИИ достигнуты значительные успехи в понимании молекулярных механизмов опухолевого роста, что обусловило значительные успехи в лечении опухолевых заболеваний
Злокачественные новообразования в РФ (число больных с впервые выявленным диагнозом на 100 000 населения)
ОПУХОЛЬ (новообразование, тумор, бластома) патологический процесс, характеризующийся безудержным (бесконтрольным, автономным) ростом опухолевых клеток, в которых нарушение роста и дифференцировки связано с нарушениями в генетическом аппарате клеток
ОПУХОЛЬ - патологический процесс, характеризующийся безудержным ростом опухолевых клеток, в которых нарушение роста и дифференцировки связано с нарушениями в генетическом аппарате клеток
Нормальное клеточное деление Пролиферативный стимул Активация антионкогенов Остановка пролиферации Активация протоонкогенов Пролиферация Дифференцировка
Основные группы генов, участвующих в регуляции клеточного цикла (пролиферация и дифференцировка) l l Протоонкогены - нормальные гены клеток, регулирующие пролиферацию и дифференцировку клеток Антионкогены (гены-супрессоры опухолей) - ингибируют пролиферацию клеток Гены, регулирующие процесс апоптоза Гены, отвечающие за репарацию ДНК
Повреждения (мутации) протоонкогенов Мутация протоонкогена Активация онкогена Нарушение системы передачи сигналов Усиленная пролиферация клеток ( «преимущество пролиферации» )
Повреждения (мутации) антионкогенов Мутация антионкогена Инактивация антионкогена Нарушение системы передачи сигналов Утрата ограничивающих пролиферацию стимулов ( «преимущество пролиферации» )
АПОПТОЗ: l l Апоптоз (программируемая клеточная смерть) играет важную роль в нормальном развитии и гомеостазе Апоптоз инициируется двумя принципиальными путями: внешним и внутренним (intrinsic and extrinsic) Нормальные клетки «уходят» в апоптоз как ответ на стресс-индуцированные изменения в клетке, такие как DNA-повреждение Дисрегуляция процесса апоптоза является критическим моментом в процессе развития опухоли и выживании опухолевых клеток. Опухоль начинается с DNA-повреждения.
Роль апоптоза в канцерогенезе: Повреждение ДНК (мутации) Активация wр53 «Арест» клетки в G 1 1 Каскадная активация генов, ключевая роль - bax Апоптоз 2 Активация генов-репараторов ДНК Репарация ДНК
The Intrinsic Apoptosis Pathway Chemotherapy Radiotherapy DNA damage p 53 Cell-intrinsic pathway PUMA, NOXA BAX, BAK BCL 2, BCLXL, MCL 1 Mitochondria Caspase 9 Caspase 3, 6, 7 Apoptosis Cytochrome c APAF 1 SMAC/DIABLO IAP p 53 DNA damage Adapted from Ashkenazi A. Nat Rev Cancer 2002; 2: 420– 430. APAF 1, apoptotic protease activating factor-1; BAK, BCL 2 homologous antagonist/killer; BAX, BCL 2 -associated protein; BCL 2, B-cell chronic lymphocytic leukemia/lymphoma 2; BCLXL, BCL 2 -like 1; IAP, inhibitor of apoptosis protein; MCL 1, myeloid cell leukemia sequence 1 (BCL 2 -related); PUMA, p 53 -upregulated modulator of apoptosis; SMAC/DIABLO: second mitochondria-derived activator of caspase/direct IAP binding protein with low p. I.
Apoptosis is Carried out by Caspases Pro-apoptotic stimulus Initiator caspases Effector caspases Apoptosis Adapted from Thornberry NA, Lazebnik Y. Science 1998; 281: 1312– 1316. Caspase, cysteine aspartase. Caspase cascade
Роль апоптоза в канцерогенезе: Мутация wр53 mр53 «Арест» клетки в G 1 Мутация генов-репараторов ДНК Апоптоз Репарация ДНК
Основные типы генетических повреждений в канцерогенезе: l l l Амплификация (her-2 -neu) Транслокация (t(8; 14) - лимфома Беркитта) Инсерция (incertion - вставка) Делеция (del(13 q) - Rb) Точечные мутации (р53)
Нормальный уровень экспрессии гена c -erb-B 2/HER 2
Амплификация приводит к гиперэкспрессии HER 2
Гиперэкспрессия HER 2 приводит к пролиферации клеток опухоли
t(14; 18) Translokation Kromosom 18 q- Kromosom 14 q+ Фолликулярная лимфома
FISH: t(14; 18) Normal 18 14 14 18 t(14; 18)
Теории опухолевого роста: l l l Вирусно-генетическая Физико-химическая Полиэтиологическая Дизонтогенетическая ПОВРЕЖДЕНИЯ ГЕНОМА l
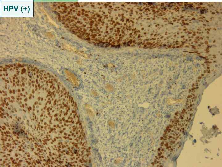
HPV (+)
Основные свойства опухолей: Автономный рост l Атипизм l Метастазирование l Прогрессирование l
АТИПИЗМ (atypicus (греч. ))структурные и функциональные признаки, отличающие опухолевую ткань от нормальной l l l Морфологический Биохимический Гистохимический Антигенный Функциональный
Морфологический атипизм: l Тканевой структурное несовершенство гистологического строения опухолевой ткани
Морфологический атипизм: l Клеточный – отличие в строении опухолевых клеток от нормальных аналогов
Морфологический атипизм: l Ультраструктурный - особенности субклеточного строения опухолевых клеток
l Гистохимический атипизм - отражает на гистологическом уровне особенности обмена опухолевых клеток l Антигенный атипизм появление особых антигенов (вирусных, канцерогенных, изоантигенов трансплантационного типа, онкофетальных, гетероорганных)
Влияние опухолей на организм: l l ОБЩЕЕ (изменение обмена, интоксикация, гормональная активность) МЕСТНОЕ (сдавливание органов, сосудов или нервов, врастание и разрушение тканей)
l l Для опухолевых клеток применяют термины: - малодифференцированная - недифференцированная - дедифференцированная - бластная Д. С. Саркисов: «Опухолевая клетка в своем развитии делает не шаг назад, а шаг в сторону» .
l ОПУХОЛИ возникают из любых клеток тканей организма, в любой локализации, любом возрасте. ОПУХОЛИ ДОБРОКАЧЕСТВЕННЫЕ ЗЛОКАЧЕСТВЕННЫЕ Основной принцип деления опухолей на доброкачественные и злокачественные – степень зрелости (дифференцировки) клеток
ПРИЗНАКИ ДОБРОКАЧЕСТВЕННЫЕ ЗЛОКАЧЕСТВЕННЫЕ Генетические повреждения Единичные Множественные Степень дифференцировки Зрелые, дифференцированные Незрелые, недифференцированные Атипизм Тканевой Все виды атипизма Тип роста Экспансивный Инфильтрирующий, аппозиционный Метастазирование Нет Есть Рецидивирование Есть, редко Есть, часто Скорость роста Медленно Быстро Влияние на организм Местное, общее у гормональноактивных Местное и общее Малигнизация Малигнизируются -
Я теперь уже точно знаю кто ты есть, но я пока еще не знаю, но скоро узнаю как тебя успокоить
Гистогенетическая классификация опухолей: l l l l Эпителиальные опухоли без специфической локализации (органонеспецифические) Эпителиальные опухоли экзо- и эндокринных желез (органонеспецифические) Мезенхимальные опухоли Опухоли меланинобразующей ткани Опухоли нервной ткани и оболочек мозга Опухоли системы крови Тератомы
Роль иммунной системы в канцерогенезе l l l В организме опухоленосителя обнаруживаются противоопухолевые антитела и цитотоксические лимфоцитыкиллеры. По периферии новообразования формируются скопления иммунокомпетентных клеток: лимфоцитов, макрофагов. Риск развития опухоли значительно повышается при иммунодефицитных состояниях
Роль иммунной системы в канцерогенезе Противоопухолевый иммунитет Клеточный иммунитет Гуморальный иммунитет
Роль иммунной системы в канцерогенезе Т-киллер Полиморфноклеточная опухоль
Роль иммунной системы в канцерогенезе Т-киллер Мономорфноклеточная опухоль
МЕТАСТАЗИРОВАНИЕ - распространение опухолевых клеток или их перенос в другие органы и ткани с образованием дочерних опухолевых узлов l l l Гематогенный путь Лимфогенный путь Контактный (имплантационный, «по продолжению» , «по соприкосновению» )
Способы метастазирования:
Сосудистая мимикрия в увеальной меланоме - необычный механизм кровоснабжения в опухоли Опухолевые клетки способны сами формировать сосуды без участия эндотелиальных клеток
Значение неоангиогенеза при злокачественных опухолях Высокая плотность микрососудов в опухоли l l Гиперэкспрессия VEGF в опухоли Прогностическая ценность плотности микрососудов и экспрессии VEGF в опухоли доказана при раке легкого, яичника, простаты, мочевого пузыря, пищевода, желудка, толстой кишки, меланоме Высокая плотность микрососудов и гиперэкспрессия VEGF сочетается с агрессивным течением болезни
Экспрессия VEGF предсказывает плохой прогноз при колоректальном раке вне зависимости от степени поражения лимфоузлов VEGF- VEGF+ р=0, 013
В канцерогенезе описаны два варианта развития злокачественных опухолей: l l «de novo» или «c места в карьер» через поэтапное развитие структурно-функциональных изменений в ткани, для чего был введен термин «дисплазия» (неоплазия)
Дисплазия -нарушение пролиферации и дифференцировки эпителиальных клеток, сопровождающееся появлением признаков морфологического атипизма. l l l Уже регистрируются единичные генетические перестройки, запускающие избыточную пролиферацию Формируется на основе фоновых болезней Расценивается как предопухолевое состояние Имеет 3 прогрессирующие степени: легкую, среднюю и тяжелую. На тяжелой стадии является необратимой Прогрессирует в carcinoma in situ.
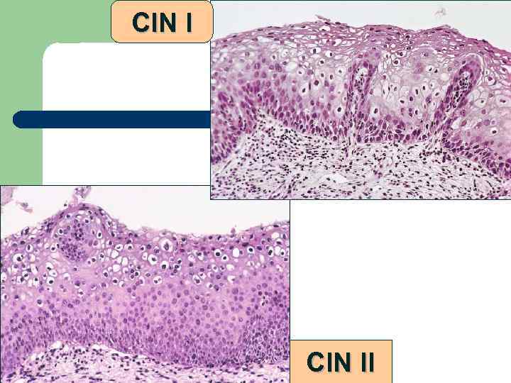
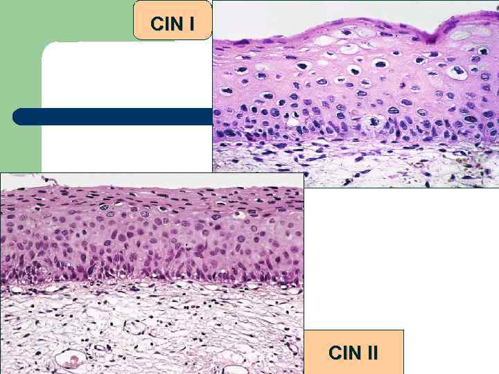
Предопухолевые процессы ФОНОВЫЕ БОЛЕЗНИ: l ФАКУЛЬТАТИВНЫЕ l l l хронический гастрит хронический бронхит хронический эндометрит хронический цистит железисто-кистозная гиперплазия эндометрия железисто-кистозная гиперплазия предст. железы эндоцервикоз Дисрегенерация Склероз, атрофия Гипертрофия, гиперплазия МЕТАПЛАЗИЯ ОБЛИГАТНЫЕ ДИСПЛАЗИЯ 1, 2, 3 ст. l l l врожденный полипоз толстой кишки нейрофиброматоз нейробластома сетчатки CIS Инвазивный рак
CIN II
CIN II
CIN III CIS
Плоский эпителий шейки матки, норма Базальные слои эпителия p 16 INK 4 a-негативны
Интраэпителиальная неоплазия, стадия 3 (CIN 3) Диффузно большое количество ярко p 16 INK 4 a-позитивных клеток до поверхностного слоя эпителиального пласта, наличие позитивного окрашивания в части клеток поверхностного слоя
Интраэпителиальная неоплазия, стадия 3 (carcinoma in situ) Высокая экспрессия онкопротеина p 16 INK 4 a диффузно во всем эпителиальном пласте
Предопухолевые процессы
Прогрессирование предопухолевых изменений
Патоморфогенез Фенотип норма Генотип фон мутация АРС гена дисплазия «ранняя» аденома мутация K-ras гена «средняя» аденома мутация DCC гена «поздняя» аденома мутация p 53 гена неоплазия дополнительные мутации метастазы C. B. Diep et al. , 2004 дополнительные мутации прогрессия
Рак кишечного типа D 1 S 191 нестабильность Мутации APC, p 53, K-ras Гиперметилирование ДНК Мутации p 53/LOH Экспрессии р27 C-erb. B 2 p. S 2 Кишечная метаплазия Норм. СО Аденома Ранний рак Инвазия метастазы Cохранение p. S 2 Хромос. 7 q LOH, 1 p 36 (p 73) LOH cyclin E, Генетическая нестабильность Редукция теломер Активация теломеразы, Абберантная экспрессия TERT транскрипция CD 44, гиперэкспрессия Cyclin E, CDC 25 B Экспрессия р27, nm 23 Ранний рак Норм. СО Р 53 мутация/LOH Кадгерин мутация/утрата Y. Wataru et al. , 1999 Экспрессия факторов роста Рак диффузного типа Инвазия метастазы К-sam, c-met
Я теперь уже не только точно знаю кто ты есть, но я уже хорошо представляю как, а иногда и могу тебя успокоить
Гиперэкспрессия HER 2 приводит к пролиферации клеток опухоли
® Герцептин связывает рецептор HER 2
БЛАГОДАРЮ ЗА ВНИМАНИЕ!
Опухоли_студентам2010.ppt