Занятие 3 Смешанные дистрофии. Нарушения обмена нуклеопротеидов, хромопротеидов
Дистальная и мезиальная окклюзия. Этиология, клиника, диагностика и
Дистальный прикус. Этиология, клиника, диагностика, лечение. Выполнил: студент
ДОФА-зависимая дистония Выполнено: Шумейко А.П. студенткой МБФ 406
Методы дистанционного взаимодействия с учащимися при подготовке к
История XVIII — середины XIX века: поиск исторической
Порядок обучения в Институте дистанционного обучения НОУ ВПО
Вегето – сосудистая дистония Российский Государственный Университет Физической
Дистрибуция Канал распределения совокупность организаций и связей между
Дистрибутивный анализ Выполнила Швецова Анастасия гр. 13482 Словарь
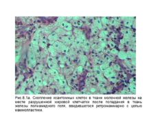
Рис.8.1а. Скопление ксантомных клеток в ткани молочной железы
Рис.34.1. Механизм развития набухания митохондрий при зернистой дистрофии.
Дистрибутивное поведение. дистрибутивное (распределительное) поведение отражает в своих
