Скачать презентацию Nonmissile Penetrating Head Injuries Surgical Management and Review Скачать презентацию Nonmissile Penetrating Head Injuries Surgical Management and Review

a59a8f90d1653c00005987037729ab7e.ppt

  • Количество слайдов: 15

Nonmissile Penetrating Head Injuries: Surgical Management and Review of the Literature Xi-Sheng Li, Jun Nonmissile Penetrating Head Injuries: Surgical Management and Review of the Literature Xi-Sheng Li, Jun Yan, Chang Liu, Yu Luo, Xing-Sheng Liao, Liang Yu, Shao-Wen Xiao World Neurosurgery Volume 98, Pages 873. e 9 -873. e 25 (February 2017) DOI: 10. 1016/j. wneu. 2016. 11. 125 Copyright © 2016 The Author(s) Terms and Conditions

Figure 1 World Neurosurgery 2017 98, 873. e 9 -873. e 25 DOI: (10. Figure 1 World Neurosurgery 2017 98, 873. e 9 -873. e 25 DOI: (10. 1016/j. wneu. 2016. 11. 125) Copyright © 2016 The Author(s) Terms and Conditions

Figure 2 World Neurosurgery 2017 98, 873. e 9 -873. e 25 DOI: (10. Figure 2 World Neurosurgery 2017 98, 873. e 9 -873. e 25 DOI: (10. 1016/j. wneu. 2016. 11. 125) Copyright © 2016 The Author(s) Terms and Conditions

Figure 3 World Neurosurgery 2017 98, 873. e 9 -873. e 25 DOI: (10. Figure 3 World Neurosurgery 2017 98, 873. e 9 -873. e 25 DOI: (10. 1016/j. wneu. 2016. 11. 125) Copyright © 2016 The Author(s) Terms and Conditions

Figure 4 World Neurosurgery 2017 98, 873. e 9 -873. e 25 DOI: (10. Figure 4 World Neurosurgery 2017 98, 873. e 9 -873. e 25 DOI: (10. 1016/j. wneu. 2016. 11. 125) Copyright © 2016 The Author(s) Terms and Conditions

Figure 5 World Neurosurgery 2017 98, 873. e 9 -873. e 25 DOI: (10. Figure 5 World Neurosurgery 2017 98, 873. e 9 -873. e 25 DOI: (10. 1016/j. wneu. 2016. 11. 125) Copyright © 2016 The Author(s) Terms and Conditions

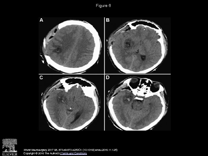
Figure 6 World Neurosurgery 2017 98, 873. e 9 -873. e 25 DOI: (10. Figure 6 World Neurosurgery 2017 98, 873. e 9 -873. e 25 DOI: (10. 1016/j. wneu. 2016. 11. 125) Copyright © 2016 The Author(s) Terms and Conditions

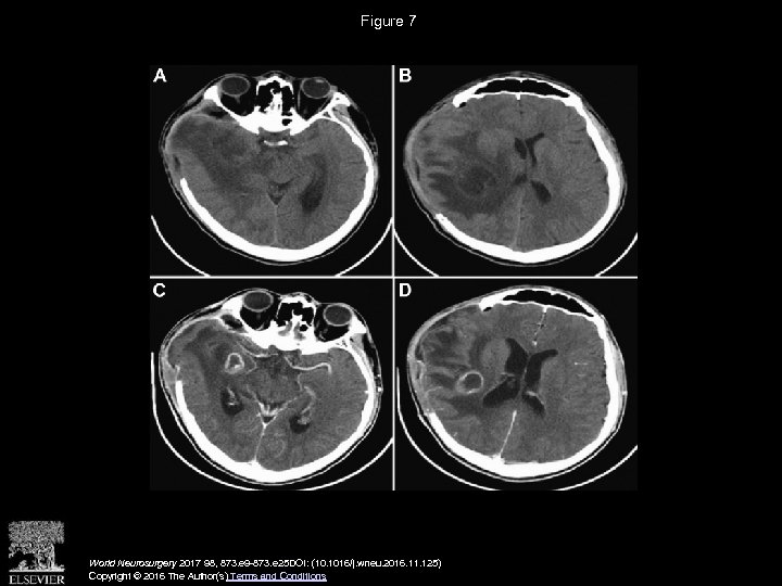
Figure 7 World Neurosurgery 2017 98, 873. e 9 -873. e 25 DOI: (10. Figure 7 World Neurosurgery 2017 98, 873. e 9 -873. e 25 DOI: (10. 1016/j. wneu. 2016. 11. 125) Copyright © 2016 The Author(s) Terms and Conditions

Figure 8 World Neurosurgery 2017 98, 873. e 9 -873. e 25 DOI: (10. Figure 8 World Neurosurgery 2017 98, 873. e 9 -873. e 25 DOI: (10. 1016/j. wneu. 2016. 11. 125) Copyright © 2016 The Author(s) Terms and Conditions

Figure 9 World Neurosurgery 2017 98, 873. e 9 -873. e 25 DOI: (10. Figure 9 World Neurosurgery 2017 98, 873. e 9 -873. e 25 DOI: (10. 1016/j. wneu. 2016. 11. 125) Copyright © 2016 The Author(s) Terms and Conditions

Figure 10 World Neurosurgery 2017 98, 873. e 9 -873. e 25 DOI: (10. Figure 10 World Neurosurgery 2017 98, 873. e 9 -873. e 25 DOI: (10. 1016/j. wneu. 2016. 11. 125) Copyright © 2016 The Author(s) Terms and Conditions

Figure 11 World Neurosurgery 2017 98, 873. e 9 -873. e 25 DOI: (10. Figure 11 World Neurosurgery 2017 98, 873. e 9 -873. e 25 DOI: (10. 1016/j. wneu. 2016. 11. 125) Copyright © 2016 The Author(s) Terms and Conditions

Figure 12 World Neurosurgery 2017 98, 873. e 9 -873. e 25 DOI: (10. Figure 12 World Neurosurgery 2017 98, 873. e 9 -873. e 25 DOI: (10. 1016/j. wneu. 2016. 11. 125) Copyright © 2016 The Author(s) Terms and Conditions

Figure 13 World Neurosurgery 2017 98, 873. e 9 -873. e 25 DOI: (10. Figure 13 World Neurosurgery 2017 98, 873. e 9 -873. e 25 DOI: (10. 1016/j. wneu. 2016. 11. 125) Copyright © 2016 The Author(s) Terms and Conditions

Figure 14 World Neurosurgery 2017 98, 873. e 9 -873. e 25 DOI: (10. Figure 14 World Neurosurgery 2017 98, 873. e 9 -873. e 25 DOI: (10. 1016/j. wneu. 2016. 11. 125) Copyright © 2016 The Author(s) Terms and Conditions