43910e9eb0224b6a0898390f4d28235c.ppt
- Количество слайдов: 41
НЕДОНОШЕННЫЕ ДЕТИ: терминология, этиология, выхаживание, патология Лекция семинар для студентов 5 курса Доцент Овсянников Д. Ю.
Срок гестации • 22 37 недель – недоношенные • 38 42 неделя – доношенные • 42 недели и более – переношенные • Частота недоношенности – 5 10% • Шкала оценки ГВ по морфологической и нейромышечной зрелости Болларда Новака
ММТ (<2500 г) • НМТ – 1500 2499 г • ОНМТ – 1000 1499 г • ЭНМТ – 500 999 г
Новорожденные • Маленькие к гестационному возрасту (ЗВУР) • Соответствующие гестационному возрасту • Большие к гестационному возрасту
Новорожденные • Недоношенность • ЗВУР • Морфо функциональная незрелость
Причины недоношенности • Плод: гипоксия, многоплодие, ГБН, неиммунная водянка, ВПР • Плацента: плацентарная недостаточность, предлежание, плацента • Матка: порок (двурогая), истмико цервикальная недостаточность, преждевременный разрыв околоплодных оболочек, многоводие • Мать: гестоз, хронические болезни (сердца, почек), инфекция (листериоз, стрептококк гр. В, ИМВП, бактериальный вагиноз, хорионамнионит), курение, наркомания, травма, тератогенные факторы
Выхаживание недоношенных детей • Температурный режим (34 37°С) • Охранительный режим и развивающий уход (физиологическая флексия – «гнезда валики» , контакт «кожа к коже» «кенгуру» , минимизация боли, снижение сенсорной нагрузки – свет, шум) • Уход за кожей (избегать попадания спирта, йода; смягчающие средства – ланолин) • Профилактика инфекций
Питание • Энтеральное • Парентеральное + «трофическое» энтеральное • Парентеральное
Питание • Масса более 2000 г – грудное молоко • 1500 2000 г, г. в. 30 33 нед. – пробное кормление из бутылочки, зондовое кормление • Г. в. менее 30 нед. – зондовое питание: порционное (7 10 раз/сут) или длительное с помоью инфузомата
Энтеральное питание • Грудное молоко • При смешанном вскармливании и глубоконедоношенным детям – смеси фортификаторы: Пре Сэмп, FM 8, BFM фортификатор • Смеси для недоношенных детей
Смеси для недоношенных детей • • • «Пре НАН» Швейцария. «Пре Нутрилак» Россия. «Пре Нутрилон» Голландия. «Хумана 0 ГА» Германия. «Фрисо Пре» Голландия. Содержание белка от 2, 0 2. 2 г/100 мл
Парентеральное питание • Абсолютные показания: НЭК, нефункционирующий ЖКТ • Относительные показания: РДС, риск НЭК, ЭНМТ
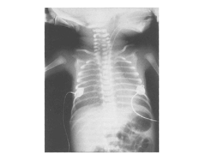
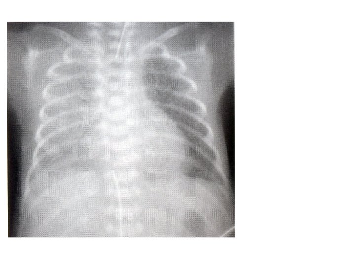
РДС новорожденных • тяжелое расстройство дыхания у недоношенных новорожденных, обусловленное незрелостью легких и первичным дефицитом сурфактанта • Частота: г. в. до 30 нед. 65%, 30 34 нед. – 25% • Синтез сурфактанта: метилтрансферазный путь (до 35 нед. ), фосфохолинтрансферазный путь (после 35 нед. )
РДС новорожденных, фазы • Рассеянные ателектазы • Отечно геморрагический синдром • Болезнь гиалиновых мембран
Шкала Сильвермана Стадия 0 Стадия II Верхняя часть грудной клетки (при положении ребенка на спине) и передняя брюшная стенка синхронно участвуют в акте дыхания Отсутствие синхронности или минимальное опущение верхней части грудной клетки при подъеме передней брюшной стенки на вдохе Заметное западение верхней части грудной клетки во время подъема передней брюшной стенки на вдохе Отсутствие втяжения меж реберий на вдохе Легкое втяжение межреберных промежутков на вдохе Заметное втяжение межреберных промежутков на вдохе Отсутствие втяжения мечевидного отростка грудины на вдохе Небольшое втяжение мечевидного отростка грудины на вдохе Заметное западание мечевидного отростка грудины на вдохе Отсутствие движения подбородка при дыхании Опускание подбородка на вдохе, рот закрыт вдохе, рот открыт Отсутствие шумов на выдохе Экспираторные шумы ( «экспираторное хрюканье» ) слышны при аускультации грудной клетки Экспираторные шумы ( «экспираторное хрюканье» ) слышны при поднесении фонендоскопа ко рту или даже без фонендоскопа
СУВ • ИЭЛ • Пневмоторакс • пневмомедиастинум
Бронхолегочная дисплазия (БЛД): • хроническое заболевание легких детей первых двух лет жизни, • возникающее в перинатальном периоде, • преимущественно у глубоко недоношенных детей, получающих респираторную терапию в неонатальном периоде, • протекающее с поражением бронхиол и паренхимы легких, развитием эмфиземы, фиброза и/или нарушением репликации альвеол, • проявляющееся кислородозависимостью в возрасте 28 суток жизни и старше, дыхательной недостаточностью, бронхообструктивным синдромом, рентгенографическими изменениями, • характеризующееся регрессом клинических проявлений по мере роста ребенка.
Критерии диагноза БЛД: • искусственная вентиляция легких в течение как минимум 3 суток на первой неделе жизни и/или проведение респираторной терапии с постоянным положительным давлением в дыхательных путях через носовые катетеры (n. CPAP), • потребность в терапии кислородом более 21% в возрасте 28 дней жизни и старше, • симптомы дыхательной недостаточности, бронхиальной обструкции в возрасте 28 дней жизни, • рентгенографические изменения (вздутие легких, повышение прозрачности/буллы, фиброз и/или интерстициальный отек)
Патогенез БЛД Основные причины Незрелость легких Инфекционые процессы Инфузионная терапия ИВЛ (кислород) Структурные изменения в легких Воздухопроводящий компартмент метаплазия, гиперплазия эпителия, десквамация Респираторный компартмент отёк, длительный ателектаз, дистрофия и некроз альвеолоцитов, ↑ кол-ва эласт. и коллаген волокон Сосудистый компартмент деэндотелизация, мускуларизация, уменьшение просвета Основные патологические процессы Воздухопроводящий компартмент нарушение мукоцилиарного клиренса Респираторный компартмент снижение проницаемости аэрогематического барьера склероз Сосудистый компартмент повышение сосудистого сопротивления Основные клинические синдромы синдром персистирующей фетальной гипертензии хроническая недостаточность легких бронхообструктивный синдром
24 с. ж. Гиперинфляция, деформация сосудистого рисунка, летнообразные уплотнения, мелкоочаговые просветления – начинающийся фиброз (БЛД III-IV стадия)
50 с. ж. Легочная ткань не вздута, «диффузная неотчетливость» , нет участков уплотнения (фиброза), локального повышения прозрачности
Профилактика и лечение БЛД § Дексаметазон 0, 05 0, 2 мг/кг/сут не ранее 14 сут. жизни § «Щадящая» ИВЛ: высокочастотная струйная вентиляция (HIJV), высокочастотная осцилляторная вентиляция (HFOV) § Мониторирование сатурации (не выше 92%, при ЛГ – 94 96%) § Симптоматические средства: диуретики, бронходилятаторы
ХЗЛ младенцев→ХОБЛ? Preterm BPD Old New Childhood CLDI p RDS CLDP FT BPD CLD Adolescence BРD- бронхолёгочная дисплазия; p. RDS-постреспираторный дистресс синдром недоношенного; CLDP-хроническое заболевание лёгких недоношенного; CLDI-хроническое заболевание лёгких младенцев; FT BLD-бронхолёгочная дисплазия доношенного;
Апноэ недоношенных • Остановки дыхания более, чем на 20 сек или на 10 сек (+брадикардия), сопровождаются цианозом и бледностью • Апноэ: центральные, периферические, смешанные • Диагностика: кардиореспираторный монитор, полисомнография • Терапия и профилактика: кислородотерапия, тактильная стимуляция, теофиллин 5 мг/кг/сут, кофеин 20 мг/кг/сут • Прогноз: риск СВМС
РН • вазопролиферативная ретинопатия, возникает при нарушении нормальной васкуляризации сетчатки у глубоко недоношенных детей • У детей с ЭНМТ частота РН – 88 95% • В развитии заболевания выделяют 5 фаз, по локализации процесса 3 зоны
Стадии РН • 1 – «демаркационная линия» на границе сосудистой и бессосудистой сетчатки р2 • 2 – «вал» , или «гребень» на месте демаркационной линии р4 • 3 – участки экстраретинальной фиброваскулярной пролиферации из области «вала» с проникновением в стекловидное тело р5 • 4 – частичная экссудативно тракционная отслойка сетчатки рн 8 • 5 – «воронкообразная» тотальная отслойка сетчатки р9
Профилактика и терапия РН • Дозированная кислородотерапия • Хиругическое лечение: лазеркоагуляция аваскулярной сетчатки, при 4 5 ст. – удаление хрусталика и/или стекловидного тела
ВЖК • 1 ст. – субэпендимальное • 2 ст. – субэпендимальное+ перивентрикулярное • 3 ст. – субэпендимальное+ перивентрикулярное+ интравентрикулярное • (4 ст. по Volpe) паренхиматозное
• Схематическое изображение желудочковых кровоизлияний
Исходы ВЖК • ДЦП • Задержка психомоторного развития • Нарушения слуха
Анемия недоношенных • Ранняя – первые 2 мес. • Поздняя – после 2 мес. ЖДА
Ранняя АН, причины: • Интенсивный рост в первые мес. жизни • Больше уровень фетального гемоглобина • Нечувствительность эритроцитарных предшественников к эритропоэтину • Дефицит железа, фолиевой кислоты, вит. В 12, вит. Е
Ранняя АН, клиника: • Компенсация: бледность, вялость, мышечная гипотония, снижение аппетита, низкие прибавки веса • Декомпенсация: тахикардия, тахипноэ, одышка, апноэ, отеки, кардиомегалия
Ранняя АН, терапия: • Рекомбинантный эритропоэтин • Препараты железа, фолиевой кислоты, вит. В 12, вит. Е (у ряда детей) • Переливание эритроцитарной массы, показания – гемоглобин 65 70 г/л, гематокрит менее 0, 3 или более высокие цифры (80 90 г/л) при декомпенсации клинически или зависимости от кислорода
Иммунитет • • Иммунодефицит Врожденные инфекции Нозокомиальные инфекции Сепсис (чаще гипоэргический вариант у детей с ЭНМТ, гиперэргический – с ОНМТ, НМТ)
Динамика уровня различных классов иммуног лобулинов в детском возрасте. Материнский Ig. G, прошедший через плацентарный барьер, постепенно разрушается и исчезает из организма ребёнка к шестому месяцу жизни. Результатом этого является «физиологический провал» в уровне Ig. G, наблюдаемый между 3 и 6 месяцами жизни ребёнка. По мере синтеза собственных Ig. G уровень данного иммуноглобулина начинает медленно увеличиваться
Особенности пневмонии у недоношенных детей • Доминирование в клинике симптомов токсикоза, ДН (апноэ), метаболических нарушений • Интерстициальные пневмонии • Редкий кашель • Гипотермия • Выше частота осложнений, в т. ч. БЛД • Чаще аспирационные пневмонии • Последовательность: СДР – пневмония – сепсис


