Скачать презентацию Научно-исследовательский проект по генетике на тему Динамические мутации Скачать презентацию Научно-исследовательский проект по генетике на тему Динамические мутации

Научно-исследовательский проект по.pptx

  • Количество слайдов: 25

Научно-исследовательский проект по генетике на тему: Динамические мутации. Хорея Гентингтона Научный руководитель : Бондаренко Научно-исследовательский проект по генетике на тему: Динамические мутации. Хорея Гентингтона Научный руководитель : Бондаренко Е. В. Работу выполнила : Бурмистр Я. Гр. 1126 Кишинев, 2012 год

План работы: Общие сведения о патологии Генетика Патогенез Симптомы Диагностика Лечение Выводы Литература План работы: Общие сведения о патологии Генетика Патогенез Симптомы Диагностика Лечение Выводы Литература

Хорея Гентингтона (Huntington's disease, болезнь Хантингтона) – это аутосомно-доминантное, наследственное, хроническипрогрессирующее заболевание с экстрапирамидными Хорея Гентингтона (Huntington's disease, болезнь Хантингтона) – это аутосомно-доминантное, наследственное, хроническипрогрессирующее заболевание с экстрапирамидными расстройствами нервной системы и нарушением психики.

Удлинение определенного триплетного кода Патологический белок в нервных клетках Нарушение внутриклеточного метаболизма , биохимические Удлинение определенного триплетного кода Патологический белок в нервных клетках Нарушение внутриклеточного метаболизма , биохимические изменения в ГМ

Ген HTT Кодирует белок хантингтин Локус - 4 p 16. 3 Состоит из трех Ген HTT Кодирует белок хантингтин Локус - 4 p 16. 3 Состоит из трех азотистых оснований CAG кодирует АК – глутамин Белок – полиглутаминовый тракт

Заболевание вызывается умножением кодона CAG в гене IT-15 Этот ген кодирует 350 -k. Da Заболевание вызывается умножением кодона CAG в гене IT-15 Этот ген кодирует 350 -k. Da белок хантингтин Разное кол-во повторов обуславливает патологическое или нормальное состояние

 В норме длина этого повтора варьирует у разных индивидуумов от 11 до 34 В норме длина этого повтора варьирует у разных индивидуумов от 11 до 34 триплетов У больных его длина колеблется от 37 до более чем 100 кодонов

При этом генотип больных: Аа АА При этом генотип больных: Аа АА

Фенотип: Фенотип:

Функции гена HTT На молекулярном уровне На клеточном уровне На организменном уровне • Кодирует Функции гена HTT На молекулярном уровне На клеточном уровне На организменном уровне • Кодирует белок HTT • Участвует в транскрипции, внутриклеточном транспорте • Играет важную роль в развитии эмбриона и связан с гибелью эмбриона при отсутствии белка

Белок Htt Контролирует образование нейротрофического фактора мозга Содержится в головном мозге, яичках, меньше в Белок Htt Контролирует образование нейротрофического фактора мозга Содержится в головном мозге, яичках, меньше в печени, сердце, легких Механизм действия до конца не ясен

Белок m. Htt Удлинение полиглутаминовой последовательности Образование внутриклеточных включений Нарушения во внутриклеточном транспорте Влияние Белок m. Htt Удлинение полиглутаминовой последовательности Образование внутриклеточных включений Нарушения во внутриклеточном транспорте Влияние на белкишапероны

Белок m. Htt Белок RASD 2 -Суммоляция -Образование сгустков Дезагрегация Белок m. Htt Белок RASD 2 -Суммоляция -Образование сгустков Дезагрегация

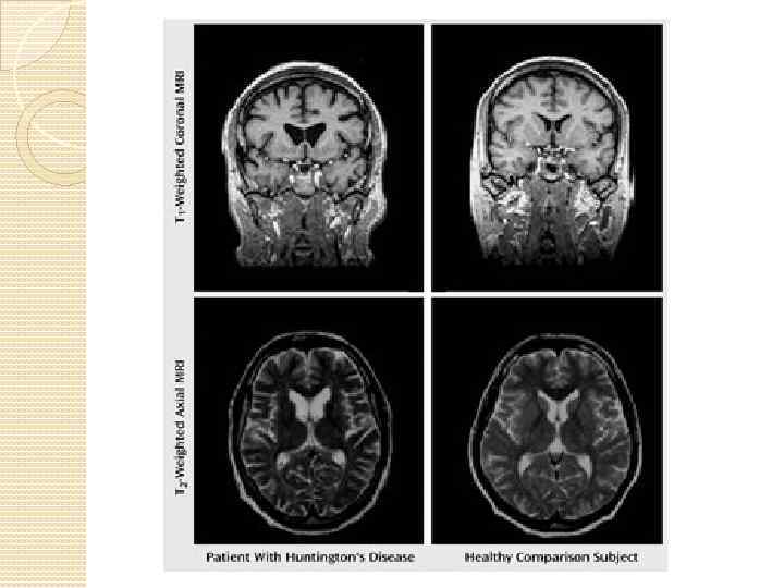
Поражения на клеточном и организменном уровне: Поражает стриатум, кору ГМ, гиппокапм, клетки Пуркинье в Поражения на клеточном и организменном уровне: Поражает стриатум, кору ГМ, гиппокапм, клетки Пуркинье в мозжечке

Повреждение базальных ганглиев ведет к : Затруднению начала движения Непроизвольной инициации движений Беспорядочным движениям Повреждение базальных ганглиев ведет к : Затруднению начала движения Непроизвольной инициации движений Беспорядочным движениям

Симптомы интеллектуальные расстройства эндокринные и нейротрофические расстройства хореоатетоз хореические гиперкинезы Симптомы интеллектуальные расстройства эндокринные и нейротрофические расстройства хореоатетоз хореические гиперкинезы

Диагностика. ПЦРанализ Удлиненный фрагмент ДНК – подтверждает диагноз Диагностика. ПЦРанализ Удлиненный фрагмент ДНК – подтверждает диагноз

Лечение: Болезнь Хантингтона неизлечима, но существует лечение, способное облегчить некоторые симптомы Лечение: Болезнь Хантингтона неизлечима, но существует лечение, способное облегчить некоторые симптомы

Используют: Тетробеназин Нейролептики Бензодиазепины Амантодин Ремацемид Вальпроевая кислота Используют: Тетробеназин Нейролептики Бензодиазепины Амантодин Ремацемид Вальпроевая кислота

Прогноз: Смерть обычно происходит не из-за болезни Хантингтона, а изза сопутствующих ей осложнений, включая Прогноз: Смерть обычно происходит не из-за болезни Хантингтона, а изза сопутствующих ей осложнений, включая пневмонию, заболевания сердца и травмы. Также частой причиной смерти является суицид

Будьте здоровы! Будьте здоровы!