Болезни сердца и сосудов.ppt
- Количество слайдов: 52
n n n VK http: //vk. com/id 219884738 Лекционный материал: http: //vk. com/club 79314131 Группа «Эффективность и развитие» : http: //vk. com/club 79318413
Самые знаменитые убийцы n n n Андрей Чикатило 53 жертвы Гэри Риджуэй 48 жертв Тед Банди 100 жертв
Главный убийца атеросклероз n По оценкам ВОЗ, ежегодно в мире от сердечно сосудистых заболеваний умирают более 17 млн человек, из них от ИБС – более 7 млн.
Атеросклероз. Эссенциальная артериальная гипертензия. Ишемическая болезнь сердца. Кардиомиопатии.
АТЕРОСКЛЕРОЗ (болезнь Маршана - Аничкова) хронический патологический процесс, характеризующийся поражением артерий эластического и мышечноэластического типа в виде очагового отложения в их интиме липидов и белков с последующим реактивным перифокальным склерозом, возникающий в результате нарушения преимущественно жирового и белкового видов обмена. n n
n Патогенез атеросклероза связан с атерогенной дислипопротеинемией, которая совместно с действием факторов, способствующих повышению уровня липопротеидов низкой плотности (ЛПНП) и очень низкой плотности (ЛПОНП), а также факторов влияющих на проницаемость мембран стенок артерий, приводит к повреждению эндотелия, накоплению плазменных модифицированных ЛПНП и ЛПОНП в интиме сосудов.
фазы морфогенеза атеросклероза: 1. Долипидная часто обратимая стадия, характеризующаяся лишь повышением проницаемости с последующей деструкцией эндотелия и базальных мембран интимы, а также накоплением в последней кислых гликозаминогликанов. n 2. Липоидоз необратимый процесс очаговой инфильтрации интимы продуктами нарушенного обмена с формированием видимых глазом жировых пятен и полос. n
n n 3. Липосклероз сопряженный с предыдущим процесс реактивного разрастания соединительной ткани, заканчивающийся формированием бляшковидных утолщений белого и желтого цвета, выступающих над поверхностью интимы. 4. Атероматоз распад липидных масс, составляющих центральную часть фиброзной бляшки, а также прилежащих коллагеновых и эластических волокон с образованием мелкозернистой аморфной массы.
n n 5. Изъязвление образование атерома тозной язвы с неровными подрытыми краями, дно ее образовано мышечным, а иногда наружным слоем стенки сосуда. При этом атероматозный детрит бляшек выкрашивается в просвет сосуда и уносится током крови или же при малом калибре сосуда закрывает его просвет. Поверхность атероматозной язвы часто закрыта тромботическими наложениями. 6. Атерокальциноз дистрофическое обызвествление в виде осаждения фосфата кальция в патологически измененных структурах.
n n n n клинико морфологическая классификация атеросклероз аорты, атеросклероз коронарных артерий, атеросклероз церебральных артерий, атеросклероз ренальных артерий, атеросклероз мезентериальных артерий, атеросклероз сосудов нижних конечностей.
n Ишемическая болезнь сердца (ИБС) группа патологических состояний, развивающихся в результате несоответствия между метаболическими потребностями миокарда и количеством притекающей к нему крови. Иными словами, ИБС обусловлена абсолютной или относительной недостаточностью коронарного кровообращения, поэтому это прежде всего коронарная болезнь сердца, связанная с атеросклеротическим поражением венечных артерий.
n n Этиологические факторы ИБС общие: психоэмоциональное перенапряжение, ведущее к ангионевротическим нарушениям; местные: длительный спазм, тромбоз или эмболия венечных артерий сердца. Все этиологические факторы развития атеросклероза можно считать причинами возникновения ИБС.
n n n n n Патогенез ИБС механизмы в клинике рассматриваются как факторы риска возникновения заболевания. Среди них главными считаются: генетическая предрасположенность; гиперлипидемия; избыточная масса тела; артериальная гипертензия; малоподвижный образ жизни; нарушение толерантности к углеводам; принадлежность к мужскому полу (болеют чаще мужчины после 40 лет).
n n n n Согласно общепризнанной классификации ВОЗ в понятие ИБС включаются: 1. Внезапная коронарная смерть. 2. Стенокардии. 3. Мелкоочаговый диффузный (атеросклеротический) кардиосклероз. 4. Инфаркт миокарда. 5. Крупноочаговый постинфарктный кардиосклероз. 6. Аритмии. 7. Острая сердечная недостаточность.
n Внезапная коронарная смерть – смерть, наступившая мгновенно или в первые 6 часов от начала болевого приступа. На аутопсии не находят изменений сердечной мышцы, встречающихся при других формах ИБС (за исключением атеросклероза коронарных артерий). Внезапная коронарная смерть в большинстве случаев развивается в результате электрической нестабильности миокарда, обусловленной гипоксией сердечной мышцы. n Стенокардия ("грудная жаба") клинический болевой синдром, обусловленный несоответствием метаболических потребностей миокарда возможностям его кровоснабжения.
n n n Инфаркт миокарда самое тяжелое проявление, относящееся к так называемой острой ишемической болезни сердца. Инфаркты миокарда (ИМ) в зависимости от распространенности различают мелкоочаговые и крупноочаговые. В патоморфологии отдельно выделяется понятие трансмурального ИМ, когда некроз распространяется на все слои стенки сердца, в клинике этот вид ИМ отождествляется с крупноочаговым. Клинически выделяют два периода в течении ИМ: первые 10 суток острый, далее подострый.
n n n ИМ чаще локализуется в левом желудочке в бассейне наиболее "функционально отягощенной" передней нисходящей ветви левой коронарной артерии (в основном это передняя стенка левого желудочка, верхушка сердца). Размеры и локализация ИМ определяются: типом кровоснабжения сердца (левый, правый); степенью и местом стенозирования коронарной артерии атеросклеротической бляшкой (закрытия тромбом, эмболом); возможностями коллатерального кровотока; наличием и степенью тяжести фоновых заболеваний (гипертоническая болезнь, сахарный диабет и др. )
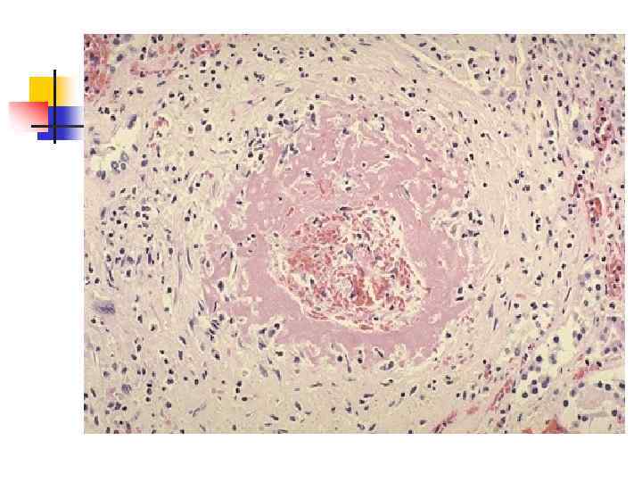
n n Морфогенез ИМ складывается из двух последовательных стадий: некротической, когда идет собственно некроз и наблюдаются наиболее яркие клинические проявления, через 4 8 часов появляются ЭКГ признаки ИМ в виде изменений зубца R и смещения интервала ST, возникновения патологического Q. К концу первых суток отмечаются первые параклинические признаки (лейкоцитоз, изменения аминотрасфераз и т. д. ). Начало ферментемии совпадает по времени с моментом формирования отчетливо определяющегося участка ИМ в виде серо желтого участка с геморрагическим венчиком. Следующая стадия организации, начинается сразу же вслед за появлением некроза. На месте ИМ формируется грануляционная ткань, которая затем созревает в грубоволокнистую рубцовую. При организации ИМ на его месте образуется плотный рубец (четвертая форма ИБС крупноочаговый постинфарктный кардиосклероз).
n n Осложнения инфаркта миокарда наиболее частыми осложнениями (и причинами смерти) пациентов в остром периоде являются фибрилляция желудочков, кардиогенный шок, в подостром периоде разрывы сердечной мышцы с последующей гемотампонадой перикарда.
n n ИМ, который развивается позднее 8 недель от начала первого ИМ считается повторным. Как правило изменения локализуются по периферии сформированного рубца. Крупноочаговый постинфарктный кардиосклероз благоприятный исход инфаркта миокарда, морфологический субстрат хронической прогрессирующей недостаточности кровообращения. Маркером перехода субкомпенсированной недостаточности кровообращения в декомпенсированную служит чаще всего накопление жидкости (транссудата) в полостях тела.
n Аритмии (так же как и стенокардия) чаще всего наблюдаются при атеросклеротическом или постинфарктном кардиосклерозе в результате расположения очагов рубцовой ткани в местах прохождения пучка Гиса и его ветвей. Соответственно характер аритмии определяется локализацией рубцовых изменений. Наиболее грозными формами аритмии являются мерцание и фибрилляция желудочков сердца.
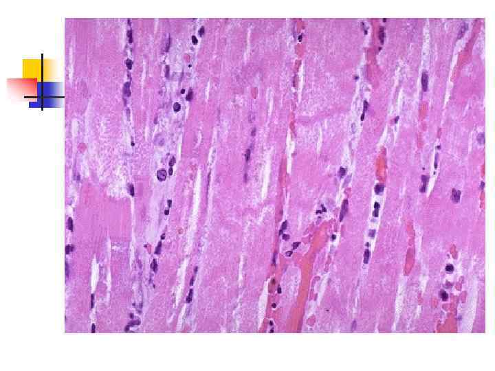
n Острая сердечная недостаточность развивается, после относительно кратковременных эпизодов коронарного криза, вызывающих ишемическую дистрофию миокарда в результате освобождения катехоламинов, потери магния, калия и фосфора, накопления натрия, кальция и воды ультраструктурами миокарда. У умерших пациентов на секции сердце дряблое. Очаг некроза не определяется, однако миокард в участках ишемии пестрый, отечный. Нередко в коронарной артерии обнаруживается свежий тромб.
n Эссенциальная гипертензия хроническое заболевание, основным клиническим признаком которого является длительное и стойкое повышение артериального давления (гипертензия) выше 140/90 мм. рт. ст.
n n n симптоматические артериальные гипертензии основные группы: церебральные (опухоли и травмы мозга, энцефалит); эндокринные (опухоли надпочечников, параганглиев и гипофиза), возникающие вследствие гиперсекреции глюкокортикоидов и минералокортикоидов; ренальные (гломерулонефрит, пиелонефрит, диабетическая нефропатия и так далее); сосудистые (атеросклероз дуги и коарктация аорты на разных уровнях, сужение крупных артерий, реноваскулярная гипертензия); лекарственные (например, вследствие применения контрацептивных средств).
n n Основными патогенетическими механизмами АГ считаются: нервный, рефлекторный и гормональный: психоэмоциональное перенапряжение, ведущее к истощению центров сосудистой регуляции с выключением депрессорных влияний каротидного синуса, дуги аорты и активации симпатической нервной системы, а так же усилению прессорных влияний гипофизарно диэнцефальной области, катехоламинов и ренин ангиотензивной системы; почечный ("переключение почки"); наследственный.
Стадии гипертонической болезни С морфологических позиций выделяют три стадии гипертонической болезни: 1) транзиторную (доклиническую) стадию 2) стадию распространенных изменений артерий 3) стадию органных изменений
Транзиторная стадия клинически характеризуется периодическими подъемами артериального давления. Они обусловлены спазмом артериол, во время которого стенка самого сосуда испытывает кислородное голодание, вызывающее в ней дистрофические изменения. Спазм сменяется параличом артериол, кровь в которых застаивается, и гипоксия стенок сохраняется. В результате повышается проницаемость стенок артериол. Они пропитываются плазмой крови (плазморрагия), которая выходит и за пределы сосудов, обуславливая периваскулярный отек.
Стадия распространенных изменений артерий клинически характеризуется стойким повышением артериального давления. Повторяющиеся с нарастающей частотой спазмы артериол, усиливающаяся плазморрагия и возрастающее количество преципитированных белковых масс в их стенках приводят к гиалинозу или артериолосклерозу. Стенки артериол уплотняются, теряют эластичность, значительно увеличивается их толщина и соответственно уменьшается просвет сосудов.
Постоянное высокое артериальное давление увеличивает нагрузку и на крупные артерии эластического и мышечно эластического типа, в результате чего атрофируются мышечные клетки, стенки сосудов теряют эластичность. В сочетании с изменениями биохимического состава крови, накоплением в ней холестерина и крупномолекулярных белков создаются предпосылки для развития атеросклеротического поражения крупных артерий.
Стадия органных изменений. Изменения в органах носят вторичный характер. Их выраженность, а так же клинические проявления зависят от степени повреждения артериол и осложнений, связанных с этими изменениями сосудов. В основе хронических изменений органов лежат нарушение их кровоснабжения, нарастающее кислородное голодание и обусловленный им склероз органа со снижением функции. Осложнения гипертонической болезни, проявляющиеся спазмом, тромбозом артериол и артерий или их разрывом, приводят к инфарктам или кровоизлияниям.
n n Морфология артериального криза длительный спазм артериол, проявляющийся гофрированностью и деструкцией базальных мембран эндотелия, своеобразным расположением его в виде "частокола", приводит к плазматическому пропитыванию и фибриноидному некрозу стенки, присоединению тромбоза.
n наиболее частыми причинами смерти при любом варианте течения артериальной гипертензии являются: острая левожелудочковая сердечная недостаточность, кровоизлияния в головной мозг, инфаркт миокарда.
n n Кардиомиопатии (от греч. kardia сердце, myos мышца, pathos болезнь) группа заболеваний, характеризующихся первичными дистрофическими изменениями миокарда. Среди клинических проявлений кардиомиопатий доминирующее положение занимает недостаточность сократительной функции миокарда в связи с дистрофическими изменениями в нем, ведущая к формированию хронической недостаточности кровообращения, венозному застою в органах прежде всего большого круга кровообращения (мускатная печень, цианотическая индурация почек и селезенки, отеки, накопление транссудата в полостях тела).
КЛАССИФИКАЦИЯ 1. Первичные (идиопатические) кардиомиопатии: гипертрофическая (констриктивная); дилятационная (конгестивная); рестриктивная (эндомиокардиальный фиброз); 2. Вторичные кардиомиопатии: интоксикационные (алкоголь, этиленгликоль, соли тяжелых метал лов, уремия и др. ); инфекционные (вирусные инфекции, тифы, трипаносомоз, трихи неллез и др. ); обменные (нарушения обмена: наследственные гликогеноз, кардиопатический амилоидоз; приобретенные подагра, гиперпаратиреоз, авитаминоз и др. ); при болезнях органов пищеварения (синдром нарушенного всасывания, цирроз печени, панкреатит и др. ). n n n n n
n n Констриктивная кардиомиопатия имеет наследственный характер и может проявляться в виде двух разновидностей: идиопатической гипертрофии миокарда (диффузная кардиомипатия) и идиопатического гипертрофического субаортального стеноза (локальная кардиомиопатия). Рестриктивная кардиомиопатия характеризуется главным образом нарушением процесса наполнения желудочков в результате утолщения эндокарда до 3 5 см.


