Кости.ppt
- Количество слайдов: 128
МОСКОВСКИЙ ГОСУДАРСТВЕННЫЙ МЕДИКО-СТОМАТОЛОГИЧЕСКИЙ УНИВЕРСИТЕТ Кафедра лучевой диагностики РЕНТГЕНОДИАГНОСТИКА В ОСТЕОЛОГИИ к. м. н. , ассистент кафедры Кулюшина Елена Анатольевна 1
Несколько слов … По прочности и упругости кости соперничают с железобетоном Кость в 30 раз твёрже кирпича в 2, 5 раза твёрже гранита Большеберцовая кость выдерживает вес в 1, 5 тонны 2
Изменение состава костей с возрастом, % Младенчество Зрелый возраст Старость Неорганические вещества 25 -30 50 -55 67 -72 Органические вещества 50 -55 25 -30 12 -17 20 20 13 -18 Вода 3
Особенности роста кости Рост и формирование скелета в разном возрасте происходят неравномерно Интенсивный рост в первые 2 года жизни сменяется замедлением в 6 -8 лет Затем снова активный рост – пубертатная фаза в 12 -16 лет Особенно интенсивно растут трубчатые кости Самая активная зона – кости коленного сустава 4
Волшебство … Костная ткань по сравнению с другими тканями обладает уникальной особенностью – в ней даже серьёзные и обширные дефекты могут быть восстановлены полностью Источником формирования новой ткани являются стволовые клетки-предшественницы, локализованные главным образом в костном мозге и кроветворных органах, а также остеогенные клетки, выстилающие внутренний слой надкостницы В месте перелома клетки дифференцируются, получают узкую специализацию и начинают развиваться, смыкая края отломков 5
6
7
8
Часть I. Методы лучевой диагностики заболеваний костно-суставной системы 9
МЕТОДЫ ЛУЧЕВОЙ ДИАГНОСТИКИ Термография Радионуклидные исследования Магнитно-резонансная томография Ультразвуковое сканирование Рентгенологические исследования 10
ТЕРМОГРАФИЯ Артроз правого коленного сустава Подагрический артрит стопы 11
РАДИОНУКЛИДНЫЙ МЕТОД 12
УЛЬТРАЗВУКОВОЙ МЕТОД Ушиб мышцы Препателлярный бурсит 13
Магнитно-резонансная томография 14
РЕНТГЕНОЛОГИЧЕСКИЙ МЕТОД Рентгенография, рентгеноскопия Томография Методики с контрастированием (ангиография, артрография, фистулография и др. ) Электрорентгенография Микрофокусная рентгенография Рентгеновская компьютерная томография 15
Рентгенография (рентгеноскопия) 16
Рентгеновская линейная томография 17
Методики с контрастированием üАртрография (пневмоартрография) üАнгиография (артерио-, вено-, лимфография) üФистулография и т. д. 18
Электрорентгенография 19
Микрофокусная рентгенография 20
Рентгеновская компьютерная томография 21
Рентгеновская компьютерная томография 22
РКТ МРТ 23
РКТ Рентгенография МРТ Сцинтиграфия 24
Часть II Рентгенологическая семиотика изменений костно-суставной системы 25
Знание некоторых принципов легко возмещает незнание некоторых фактов … Гельвеций 26
1. Рентгеносемиотика изменений кости 2. Рентгеносемиотика изменений надкостницы 3. Рентгеносемиотика изменений суставов 27
Рентгеновская семиотика изменений кости Изменение формы и величины кости Изменение контуров кости Изменение костной структуры 28
1. Изменение формы и величины кости § § § Изменение длины кости: • Удлинение • Укорочение Искривления кости Изменения объема кости • Утолщение • Истончение • Вздутие 29
Удлинение костей Искривление кости Укорочение костей 30
Утолщение кости (гиперостоз) n Функциональный гиперостоз n n n рабочая гипертрофия, заместительная (компенсаторная) гипертрофия Патологический гиперостоз n n первичный (идиопатический)- при врожденном гигантизме вторичный: n Воспалительный n Травматический n Гормональный n Токсический n прочие 31
Гиперостоз 32
Истончение кости - истинная костная атрофия Врожденный процесс – гипоплазия Приобретенный процесс: Функциональная (от бездеятельности) Нейротрофическая Гормональная Атрофия от давления Старческая Формы костной атрофии: - эксцентрическая (рассасывание со стороны периоста и эндоста); - концентрическая (рассасывание со стороны периоста, наслоение со стороны эндоста). 33
Истончение кости (костная атрофия) эксцентрическая атрофия концентрическая атрофия 34
Вздутие кости Объем кости увеличивается, но количество костной ткани уменьшено (вследствие замещения костной ткани каким-либо патологическим образованием, расширяющим кость изнутри) 35
2. Изменение контуров кости Гладкость (ровность) контуров – форма той линии, которой отграничено изображение кости Четкость контуров резкость, контраст между тенью кости и окружающими ее мягкими тканями 36
3. Изменение костной структуры ОСТЕОПОРОЗ - вид патологической перестройки костной ткани, при котором имеется уменьшение количества костных балок на единицу объема кости. Общий объем кости и форма остаются без изменений. Классификация: ØМестный остеопороз ØРегионарный остеопороз (анатомическая область) ØРаспространенный остеопороз (конечность) ØСистемный (весь скелет) По характеру рисунка: Øдиффузный (равномерный) Øпятнистый 37
Рентгенологическая картина остеопороза: повышение прозрачности костной ткани n истончение и разволокнение коркового слоя n крупнопетлистый рисунок губчатой кости n увеличение просвета костномозгового пространства n подчеркнутость контура кости * Гипертрофический остеопороз n 38
ОСТЕОСКЛЕРОЗ – вид патологической перестройки костной ткани, которая сопровождается увеличением количества костных балок в единицу объема кости и уменьшением межбалочных костно-мозговых пространств Ø Ø Ø Виды остеосклероза: Физиологический (функциональный) - в зонах роста кости, повышенной нагрузки, в суставных впадинах Посттравматический (репаративный) Воспалительный (хронический остеомиелит, сифилис и др. ) Реактивный (дистрофические, опухолевые процессы) Токсический (хронические отравления мышьяком, фосфором) Идиопатический (аномалии дифференцировки скелета – мраморная болезнь, остеопойкилия, мелореостоз) 39
Рентгенологическая картина остеосклероза: - мелкопетлистая структура губчатого вещества - утолщение кортикального слоя - сужение просвета костномозгового пространства с возможным полным закрытием его (эбурнеация) - повышение плотности костной ткани 40
ДЕСТРУКЦИЯ – постепенно возникающее разрушение кости с замещением ее какой-либо другой патологической тканью Виды деструкции: Ø Ø Воспалительная деструкция § Неспецифическая (замещение кости гноем и воспалительными грануляциями) § Специфическая (замещение костной ткани специфической гранулемой – туберкулез, сифилис, бруцеллез, актиномикоз и др. ) Опухолевая деструкция Дегенеративно-дистрофическая д. (замещение фиброзной, фиброретикулярной или неполноценной остеоидной тканью) Деструкция от вытеснения 41
воспалительная специфическая воспалительная неспецифическая опухолевая 42
Рентгенологические типы локальных структурных изменений костной ткани литический бластический ячеисто-трабекулярный смешанный с наличием включений 43
ОСТЕОЛИЗ – полное рассасывание кости без замещения ее другой тканью с образованием на месте исчезнувшей кости фиброзной рубцовой соединительной ткани Возникает в результате глубокого нарушения нейрогуморальных трофических процессов Наблюдается в периферических отделах кости, ногтевых фалангах при следующих состояниях: Øзаболевания ЦНС (сирингомиелия, табес) Øповреждения периферических нервов Øотморожения Øожоги Øэндартериит Øболезнь Рейно Øсклеродермия Øчешуйчатый лишай Øпроказа 44
ОСТЕОНЕКРОЗ – омертвение участка кости вследствие недостаточного питания или полного его прекращения. (асептические и септические) Причины асептических некрозов: Ø прямая травма Ø микротравмы Ø остеохондропатии Ø тромбозы, эмболии (кессонщики, водолазы, высотники) Причины септических некрозов: Ø воспалительные заболевания кости или надкостницы 45
Рентгенологическая картина остеонекроза • повышенная интенсивность тени • перерыв костных балок на границе уплотненного участка • полоса просветления разной ширины, отделяющая этот участок от неизмененной кости (зона остеолиза) 46
остеонекроз остеосклероз 47
Исходы остеонекроза : Полное рассасывание Замещение фиброзной или жировой тканью Замещение гноем и грануляциями Разжижение (колликвационный некроз) Вживление Отторжение СЕКВЕСТРАЦИЯ – постепенное отторжение омертвевшего участка кости Виды секвестров: - губчатые - корковые (циркулярные и сегментарные, периферические и центральные) По отношению к секвестральной полости: - внутри полости - пенетрирующие - вне полости 48
Секвестрация 49
Рентгеновская семиотика изменений надкостницы • Периостоз • Периостит (ответная реакция кости на то или иное раздражение) Виды периоститов: Асептически воспалительные периоститы (при травме) Инфекционно-воспалительные периоститы (при остеомиелите, туберкулезе, сифилисе и др. ) Ирритативно-токсические п. (при опухолях, изменениях в соседних мягких тканях, системных заболеваниях) Функционально-адаптационные Ø Острые периоститы (гнойные, серозные) Ø Хронические (альбуминозный, фиброзный и оссифицирующий) 50
Рисунок периостальных наслоений Линейный (отслоенный) периостит Слоистый (луковичный) периостит Бахромчатый (разорванный) периостит Кружевной (гребневидный) периостит Игольчатый (спикулообразный) периостит Периостит в виде козырька ( «козырек Кодмена» ) Оссифицирующий ассимилированный периостит 51
52
Рентгеновская семиотика изменений суставов Заболевания суставов: 1. Травматические 2. Воспалительные 3. Дистрофические 4. Опухолевые Воспалительные заболевания: Артриты – все воспалительные асептические и инфекционные процессы как специфического, так и неспецифического характера Дистрофические заболевания: артрозы и артропатии Артрозы: А- первичные (первично-хрящевые, первично- костные) Б- вторичные, исходная стадия артритов (артрито-артрозы, вторичный деформирующий артроз) Артропатии – неврогенные поражения суставов при заболеваниях ЦНС и ПНС 53
54
Рентгенологические симптомы патологии сустава 1. Изменение рентгеновской суставной щели Сужение (снижение высоты) Расширение Равномерное Неравномерное 2. Изменение субхондральных пластинок 3. Изменение суставной капсулы 4. Деформация суставных концов и суставных поверхностей 5. Нарушение нормальных соотношений в суставе 6. Дополнительные внутри- и внесуставные образования 55
56
57
Костный анкилоз Отсутствие рентгеновской суставной щели n Переход костных балок с одной кости на другую n Отсутствие компактных замыкательных пластин n 58
59
Нарушение нормальных соотношений в суставе, изменение высоты рентгеновской суставной щели подвывих 60
Стадии развития деформирующего артроза: 1. Начальная: незначительное снижение высоты рентгеновской суставной щели, могут быть незначительные краевые костные разрастания в области суставной впадины; 2. Выраженных изменений: значительное снижение высоты рентгеновской суставной щели (на ½), выраженные краевые костные разрастания, субхондральный остеосклероз; 3. Резковыраженных изменений: снижение высоты рентгеновской суставной щели вплоть до ее отсутствия, выраженные краевые костные разрастания, остеосклероз, деформация костей, нарушение двигательных функций сустава. 61
Хондроматоз сустава 62
Паростоз обызвествление мягких тканей предплечья 63
Часть III Рентгенодиагностика некоторых заболеваний опорно-двигательной системы 64
Травматические повреждения костей и суставов 65
Травмы конечностей Переломы n Вывихи n Повреждения сухожильно-связочного аппарата n Травмы сосудов n Травмы нервов n 66
В структуре травматизма n 7% вывихов n 2, 5 % переломов 67
Частота переломов отдельных костей плечевой кости 2, 2 -7% n предплечья 15, 2 -17, 7% n кисти 5, 4 -8, 9% n бедренной кости 2, 5 -2, 7% n голени 34, 2 -37, 3% n стопы 25 -30% n 68
Травмы военного времени огнестрельные (пулевые, осколочные, дробь, шарики) n взрывная n минно-взрывная n неогнестрельная n 69
Перелом - повреждение целости кости с разрушением ее в результате механического воздействия (травматические и патологические) Классификация: Клинически: открытые, закрытые По виду плоскости перелома: поперечные, косые, винтообразные, Т- и V- образные Со смещением и без смещения отломков § Виды смещения: поперечное (кпереди, кзади, кнутри, кнаружи), угловое, ротационное, с расхожденеим по длине с образованием диастаза, с захождением по длине, вколоченные переломы. По локализации: диафизарные, метафизарные, эпифизарные; внутри- и внесуставные и т. д. 70
Классификация переломов Закрытые n Открытые n Огнестрельные n Полные n Неполные -трещина -дырчатый -краевой -авульсионный n Эпифизеолиз n n n Единичные Множественные Травматические Патологические 71
По направлению линии перелома Поперечные n Косые n Винтообразные n Продольные n V и Т образные n Раздробленные n С первичным дефектом кости n 72
Со смещением отломков По ширине n По длине -с расхождением -с захождением -вколоченные n Под углом n По периферии- ротация n 73
По отношению к суставу n внесуставные n внутрисуставные 74
Тактика рентгенологического исследования 1. 2. 3. 4. После поступления в приемный покой Сразу после репозиции и иммобилизации конечности гипсовой повязкой Через 7 -14 дней для определения вторичного смещения отломков (для выявления костной мозоли повязку необходимо снимать) После снятия гипса 75
Рентгенологическое исследование – основное в диагностике травм конечностей. Особенности его проведения: n n n после удаления средств иммобилизации получение изображения сегмента минимум в двух проекциях с захватом смежных суставов сразу после репозиции через 10 -12 дней после репозиции после снятия гипсовой повязки согласно срокам срастания различных костей 76
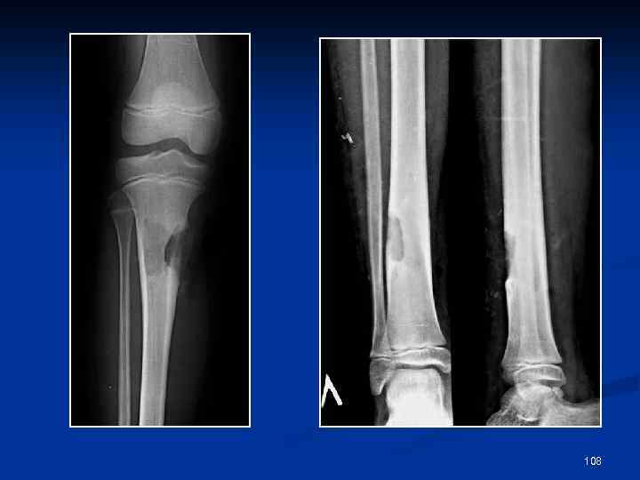
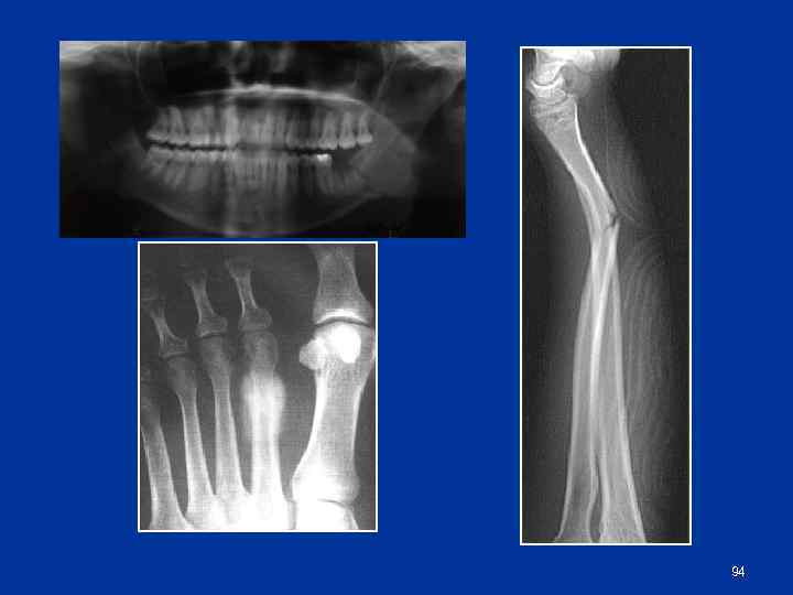
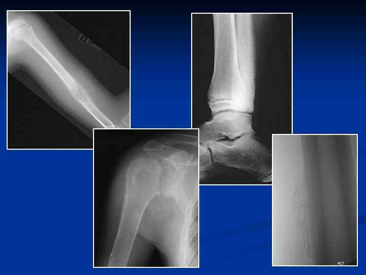
Перелом надколенника 77
Перелом ладьевидной кости 78
Перелом средней фаланги первого пальца стопы 79
Огнестрельная травма голени 80
Перелом костей предплечья 81
Дополнительные методы диагностики травм конечностей КТ n МРТ n УЗИ n Доплерография n Артрография с двойным контрастированием n Микрофокусная рентгенография n 82
n n УЗИ повреждения сухожильносвязочного аппарата, мышц выявление гематом и абсцессов в мышцах, межмышечных пространствах и полостях суставов Коленный сустав в норме. Поднадколенниковая область, сагиттальная проекция; 1(+) — собственная связка надколенника, 2 — поднадколенниковое жировое тело, 3 — поднадколенниковая синовиальная складка, 4(+) — передняя крестовидная связка 83
Доплерография n n n Исследование кровотока в сосудах Выявление травматических аневризм, патологических артериовенозных соустий Определение усиления местного кровотока в поврежденных тканях как признака постравматического воспалительного процесса 84
МРТ n n n Повреждения сухожильносвязочного аппарата, суставного хряща, мышц, менисков изменения костного мозга повреждения костей без рентгенологических и Кт- признаков переломов авульсионные переломы ранняя диагностика воспалительных осложнений переломов костей МР косой корональный срез левого плечевого сустава (протонная плотность). Частичное повреждение сухожилия надостной мышцы с гофрированием верхнего края надостной мышцы (стрелка). 85
Компьютерная Томография n n Подозрение на наличие внутрисуставных или краевых переломов при несовпадении клинической и рентгенологической картины ( плато большеберцовой кости, внутренней лодыжки) переломы костей предплюсны Для детализации расположения мелких отломков при многооскольчатых переломах ( при планировании остеосинтеза) Повреждение суставных поверхностей 86
Микрофокусная рентгенография Получение дополнительных диагностических данных: n о характере и степени смещения отломков, n локализации мелких костных фрагментов, инородных тел n о патологической перестройке структуры костной ткани. n визуализируются ранние признаки остеомиелита, ложного сустава, посттравматического остеоартроза. 87
Повреждения сосудов конечностей при колото-резанных ранах 65% n закрытых повреждениях 30% n огнестрельных ранах 14% n 88
Методы лучевого исследования сосудов конечностей Рентгеновская ангиография а) серийная б) одномоментная n n КТ ангиография n МР ангиография Дуплексное сканирование а) прямая визуализация сосудов в В режиме б) доплерометрический анализ n n Радионуклидный метод 89
Показания к лучевому исследованию сосудов: до операции n закрытые травмы с невыраженной клиникой ишемии n переломы длинных трубчатых костей с подозрением на повреждение магистральных сосудов n подозрение на травму магистрального сосуда, не сопровождающуюся наружным кровотечением при наличии периферического пульса n множественные ранения n сложности в локализации и объеме повреждения сосуда 90
во время операции n ОР с массивным повреждением тканей n Неубедительный ретроградный кровоток ниже травмы артерии После операции n Отсутствие периферического пульса n Прогрессирующая ишемия n Определение проходимости артерии n Диагностика раннего тромбоза 91
Рентгенологические признаки перелома Линия перелома (нарушение целости костной ткани в виде прерывания структуры) Свежий перелом – линия перелома имеет неровные края с резко прерванными костными структурами Через 5 -10 дней после травмы линия перелома хорошо видна (происходит рассасывание краев костных отломков) Смещение отломков Расхождение костных отломков Участки уплотнения костной структуры (вклинивание или захождение отломков) Деформация и перерыв коркового слоя 92
Особенности переломов у детей n n n Эпифизеолиз Поднадкостничные переломы Переломы по типу «зеленой веточки» 93
94
95
96
Сращение переломов 1 фаза - 2 - 3 недели после травмы: образование соединительно-тканной мозоли 2 фаза - 10 дней: образование остеоидной мозоли 3 фаза – 10 -12 дней: образование костной мозоли (появление на рентгенограммах тени периостальной мозоли) 4 фаза – 10 -15 дней: функциональная перестройка костной мозоли, восстановление обычной костной структуры 97
Морфологически выделяют 3 вида мозоли: эндостальная, периостальная, интермедиарная Ø Ø При полной неподвижности (металлоостеосинтез) сращение проходит 2 стадии: соединительнотканную и костную. Костная мозоль образуется между кортикальными слоями (интермедиарная костная мозоль) При значительной подвижности возникает вторичный вариант сращения в 3 стадии (соединительно-тканная, хрящевая, костная). В этом случае выражены периостальная и эндостальная костные мозоли 98
99
100
101
102
Патологическое заживление переломов Неправильно сросшиеся переломы Посттравматические синостозы Избыточная костная мозоль Асептический некроз (в т. ч. болезнь Кюммеляпосттравматический некроз тела позвонка) Несросшийся перелом Ложный сустав Неоартроз 103
104
105
ВОСПАЛИТЕЛЬНЫЕ ЗАБОЛЕВАНИЯ КОСТЕЙ 106
ОСТРЫЙ ГЕМАТОГЕННЫЙ ОСТЕОМИЕЛИТ ü ü ü ü Рентгенологические симптомы появляются к концу 2 -й недели после острого начала болезни (у детей- к концу 1 -й недели) Поражение метафиза, распространение на диафиз кости Локальный остеопороз Очаги деструкции костной ткани (сначала с расплывчатыми неровными контурами) Периостальные наслоения (линейные, слоистые, бахромчатые) Секвестры (корковые) Образование свищей 107
108
109
ПАНАРИЦИЙ ü ü Костно-суставной панариций Остеопороз костной фаланги (через 5 -8 дней) Мелкие деструктивные очаги Поражение межфалангового сустава Очаги деструкции на другой суставной поверхности 110
Рентгенологические признаки гнойного артрита n n n Неравномерное и быстропрогрессирующее сужение рентгеновской суставной щели Деструктивные очаги в суставных поверхностях Регионарный остеопороз Увеличение объема сустава 111
ТУБЕРКУЛЕЗ КОСТЕЙ ü ü ü Поражение эпифиза, характерно распространение процесса на сустав Очаг деструкции овальной формы с неровными краями Остеопороз Отсутствие выраженных периостальных наслоений Образование секвестров губчатой структуры Натечники 112
Дегенеративнодистрофические заболевания позвоночника 113
Деформирующий спондилез ü ü Картина развития клювовидных остеофитов, обрамляющих переднебоковую поверхность позвонков, начинающихся в местах прикрепления продольной связки. ü ü Системность поражения Беспорядочность и неравномерность поражения Поражение каудальной и краниальной половин позвонков Слияние остеофитов Высота дисков не снижена (при «чистых» формах) Тела позвонков не поротичны 114
Межпозвонковый остеохондроз ü ü ü ДДЗП : деформирующий спондилез, межпозвонковый остеохондроз деформирующий артроз. ü Сужение межпозвонковой щели Образование небольших компактных остеофитов Краевой склероз (истинный склероз подхрящевого слоя губчатого вещества тел позвонков) Развитие анкилоза (только в грудном отделе позвоночника) Смещения тел позвонков Образование хрящевых грыж тел позвонков 115
Доброкачественные новообразования костей 116
Доброкачественные опухоли Из костной ткани (остеомы: губчатые, компактные, смешанные) Из соединительной ткани (фибромы) Из хряща (хондромы) Из хряща и костной ткани (остеохондромы) Из сосудов (гемангиомы, лимфангиомы) 117
Хондромы 118
Фиброма 119
Костная киста 120
Остеобластокластома 3 стадии: - доброкачественная - активная - злокачественная 121
Злокачественные новообразования костей 122
Злокачественные опухоли Остеогенная саркома Хондросаркома Периостальная фибросаркома Ретикулосаркома Опухоль Юинга Миеломная болезнь 123
Остеогенная саркома 124
Миеломная болезнь - множественно-очаговая форма - диффузно-поротическая форма - одиночный очаг деструкции (литический) - склеротическая форма 125
Метастазы карциномы почки 126
БЛАГОДАРЮ ЗА ВНИМАНИЕ! 128


