2МОРФОЛОГИЯ БАКТЕРИЙ.ppt
- Количество слайдов: 47
МОРФОЛОГИЯ БАКТЕРИЙ Бойченко М. Н.
Антонио ван Левенгук (1632 -1723)
Луи Пастер (1822 -1895)
Роберт Кох (1843 -1910)
И. И. Мечников(1846 -1916)
Ø По приказу хана Золотой Орды Тохтамыша в 1346 году в колодцы и другие источники воды в осажденной Генуэзской крепости Каффу (нынешняя Феодосия, Крым) забрасывались трупы людей и животных, погибших от бубонной чумы. В итоге Каффа сдалась, но отсюда чума распространилась по всей Европе. Вызвав страшную эпидемию, унесшую жизнь25 миллионов человек или около 10% населения тогдашнего мира. .
Ø При колонизации Америки, в 1763 г, среди индейских племен неоднократно распространялась оспа с помощью зараженных одеял, которые вероломно передались им в знак дружбы белыми колонистами , что привело к гибели миллионов индейцев, не имевших иммунитет к этому заболеванию
МИР МИКРОБОВ Ø КЛЕТОЧНЫЕ : грибы, простейшие, бактерии Ø НЕКЛЕТОЧНЫЕ : вирусы, вироиды, прионы
КЛЕТОЧНЫЕ ФОРМЫ Ø Домен Bacteria – прокариоты (истинные бактерии) Ø Домен Archaea –прокариоты (археи) Ø Домен Eukarya - царство Fungi, (грибов) Ø -царство Protozoa, (простейших), Ø -царство Chromista
признак Наличие истинного ядра, отделенного от цитоплазмы мембраной, наличие ядрышка и гистонов Вторичные мембранные образования Стеролы в мембране рибосомы Пептидогликан в Эукариотическая клетка Прокариотическая клетка + Нуклеоид с гаплоидным набором генов + - + 80 S - ( за исключением микоплазм) 70 S +
Домен Bacteria Ø Бактерии – прокариоты, представленные в виде единичных клеток или их скоплений, размером 0, 2 -10 мкм
таксономические единицы Ø 1. Домен 2. Тип Ø 3. класс Ø 4. порядок Ø 5. семейство Ø 6. род Ø 7. вид
Бактерии Ø Домен Bacteria 23 типа Ø С тонкой клеточной стенкой: Ø Proteobacteria, Spirocaetes, Bacteroides, Chlamidiae Ø С толстой клеточной стенкой: Ø Firmicutes, Actinobacteria Ø Без клеточной стенки: Ø Tenericutes Ø
ВИД Ø Вид- совокупность особей, имеющих единое происхождение и генотип, объединенных по близким свойствам, отличных от других представителей рода Ø Corynebacterium diphtheriae Ø C. diphtheriae
Морфологические формы бактерий Ø 1. кокки Ø 2. палочки Ø 3. извитые Ø 4. ветвящиеся
Структура бактериальной клетки Основные Ø 1. клеточная стенка Ø 2. цитоплазматическая мембрана Ø 3. цитоплазма с включениями и нуклеоидом Ø Дополнительные Ø 1. капсула Ø 2. жгутики Ø 3. пили Ø 4. спора Ø
Окраска по Граму
Схема строения пептидогликана
Строение пептидогликана у г- и г+ бактерий
Клеточная стенка у г+ и гбактерий
Клеточная стенка грамотрицательных бактерий
Кислотоустойчивые бактерии метод Циль-Нильсена
Зерна волютина
Капсула(окраска по Бурри-Гинсу)
Жгутики 1. спиралевидная нить Ø 2. крюк Ø 3. базальное тельце с дисками Ø
Спора Ø Род Bacillus Ø Род Clostridium
Расположение спор у бактерий
Строение споры у бактерий
Спирохеты
Структура спирохет
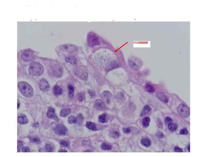
Хламидии (репликативный цикл)
Риккетсии
Актиномицеты
СТРЕПТОМИЦЕТЫ Ø Порядок Actinobacteria род. Streptomyces Ø Грамположительные почвенные бактериим Ø Способные к сложной дифференцировке, состоящей из 2 фаз: Ø 1. рост в виде вегетативного мицелия в оптимальных условиях существования Ø 2. рост в виде воздушного мицелия при голодании
Streptomyces
Стрептомицеты Ø 1. На концах гифов воздушного мицелия образуются компартменты, содержащие 1 копию генома Ø 2. Компартменты дифференцируются с имзменением формы и толщины клеточной стенки, превращаясь в зрелые споры с гидрофобной поверхностью
Стрептомицеты Ø Образуемые у бактерий рода Streptomyces споры являются экзоспорами, они устойчивы к высушиванию, но чувствительны к температуре
Стрептомицеиты Ø При дефиците питательных веществ, вызывающих дифференцировку стрептомицет, образуются вторичные метаболиты, к которым относятся антибиотики
MUCOR
ASPERGILLUS
PENICILLIUM
2МОРФОЛОГИЯ БАКТЕРИЙ.ppt