Митральные пороки сердца.ppt
- Количество слайдов: 49
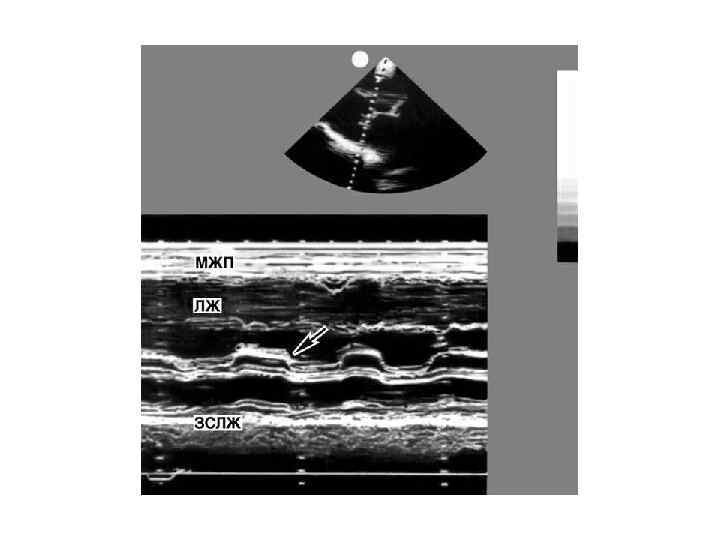
Митральный стеноз (стеноз левого атриовентрикулярного отверстия) Митральный стеноз – порок сердца, при котором суженное митральное отверстие служит препятствием для изгнания крови из левого предсердия в левый желудочек.
Этиология 1. Хроническая ревматическая болезнь сердца. 2. Кальцификации митрального кольца с поражением створок клапана. 3. Заболевания соединительной ткани. 4. Миксома левого предсердия.
Механизмы компенсации 1. Повышается давление в полости левого предсердия (от 5 мм рт. ст. в норме до 20– 25 мм рт. ст. ); увеличивается разность (градиент ) давления левого предсердия — левого желудочка, что облегчает прохождение крови через суженное атриовентрикулярное отверстие. 2. Удлиняетс я систола левого предсердия; кровь в левый желудочек поступает в течение более длительного времени. 3. Гипертрофия мышцы левого предсердия — является следствием длительной перегрузки предсердия давлением. 4. Прогрессирующее уменьшение площади левого атриовентрикулярного отверстия вызывает дальнейший рост давления в левом предсердии, что приводит к ретроградному повышению давления в легочных венах и капиллярах. Повышается давление в легочной артерии, развивается пассивная, ретроградная, венозная, посткапиллярная легочная гипертензия. Давление в легочной артерии 30– 60 мм рт. ст. (в норме до 25 мм рт. ст. ). Развивается гипертензия правого желудочка. 5. Дальнейший рост давления в левом предсердии и легочных венах вследствие раздражения барорецепторов вызывает рефлекторное сужение артериол (рефлекс Китаева). Это ведет к значительному повышению давления в легочной артерии (60– 200 мм рт. ст. ), развивается активная, артериальная, прекапиллярная гипертензия. Рефлекс Китаева выполняет защитную роль, предохраняя легочные капилляры от чрезмерного повышения давления и выпотевания жидкой части крови в полости альвеол.
Течение митрального стеноза I стадия — одышки нет в покое и при нагрузке, больные полностью компенсированы. II стади я — при знаки нарушения кровообращения в малом круге, выявляющиеся только при физической нагрузке. III стадия — в малом круге выраженные признаки нарушения кровообращения; в большом круге — начальные признаки застоя. IV стадия — выраженные признаки застоя в малом и большом кругах кровообращения. V стадия — дистрофическая.
Замена митрального клапана криоконсервантом
Биопротез Митрального Клапана HANCOCK
Недостаточность митрального клапана Insufficientia valvulae bicuspidalis (mitralis) — возникает в тех случаях, когда митральный клапан во время систолы левого желудочка не закрывает полностью левое атриовентрикулярное отверстие, вследствие чего происходит обратный ток (регургитация) крови из левого желудочка в левое предсердие.
Этиология – Миксоматозная дегенерация митрального клапана. – Хроническая ревматическая болезнь сердца. – Кальциноз митрального кольца. – Дисфункция папиллярных мышц при ИБС. – Инфекционный эндокардит. – Врожденные болезни соединительной ткани (синдром Марфана).


