Аттилио Сантуччи - Мини-инвазивный метод хирургических операций при травмах у спортсменов.ppt
- Количество слайдов: 58
МИНИ-ИНВАЗИВНЫЙ МЕТОД ХИРУРГИЧЕСКИХ ОПЕРАЦИЙ ПРИ ТРАВМАХ У СПРОТСМЕНОВ НАШ ОПЫТ Аттилио Сантуччи, Ph. D АНДРЕА СТАНКАТИ, MD Эрнесто Дамьано Пагано, MD Сильвио Джаннетти, MD Casa di Cura Villa Stuart, Roma
МИНИ-ИНВАЗИВНЫЙ МЕТОД • За последние 10 лет многое изменилось в современном мире • Пациенты стали более требовательными (особенно к периоду восстановления после травм и уменьшения осложнений во время лечения) • Технологический прогресс МИНИ-ИНВАЗИВНЫЙ МЕТОД • Уменьшение хирургической травмы • Уменьшение смертности • Уменьшение периода восстановления после травмы • Результаты лечения одинкаовы или лучше по сравнению с традициональными методиками • Уменьшение расходов здравоохранения на лечение
МИНИ-ИНВАЗИВНЫЙ МЕТОД ОСНОВЫ МЕТОДА Технологическое оснащение: инструментарий, предметы остеозинтеза и трансплантанты, рентгенологическое оснащение (РТ-скопия, УЗИ), видеоскопия, изображения в 3 D Базовые знания: топографической анантомии, опыт работы беcкровным методом , традиционный опыт работы
Колено и нога Клинический случай (колено и нога) Мужчина 56 лет Травма нижней конечности на мотоцикле Использования изображения в 3 D
Колено и нога Множественный эпифизо-мета-диафизарный перелом проксимального отдела большеберцовой кости со смещением
Колено и нога Множественный эпифизо-мета-диафизарный перелом проксимального отдела большеберцовой кости со смещением Изображение в 3 D (масштаб 1: 1) Использование изображения в 3 D способствует изучению перелома, его анализа в 3 хмерном измерении, для оптимальной подготовки к операции. Изображение в 3 D при сложных суставных переломах. Возожность реконструкции в 3 D позволяет изучить перелом. Настоящей революцией является то, что врач и пациент имеют возможность потрогать рукой пораженную часть кости во время исследования .
Колено и нога Множественный эпифизо-мета-диафизарный перелом проксимального отдела большеберцовой кости со смещением В 3 D во время операции Мы провели 20 операций по поводу перелома плато большеберцовой кости мини-инвазивным методом с использованеим модели в 3 D. Это позволило сократить время хирургической операции, рентгеноскопии и кровопотери по сравнению с операцией с применением остеосинеза миниинвазивным методом без модели в 3 D.
Колено и нога Множественный эпифизо-мета-диафизарный перелом проксимального отдела большеберцовой кости со смещением (Shatzer 6) Мини-инвазивный остеосинтез ( пластины и винты)
Колено и нога Множественный эпифизо-мета-диафизарный перелом проксимального отдела большеберцовой кости со смещением Мини-инвазивный остеосинтез ( пластины и винты)
Колено и нога Множественный эпифизо-мета-диафизарный перелом проксимального отдела большеберцовой кости со смещением Мини-инвазивный остеосинтез ( пластины и винты)
Колено и нога Множественный эпифизо-мета-диафизарный перелом проксимального отдела большеберцовой кости со смещением Мини-инвазивный остеосинтез ( пластины и винты)
Колено и нога Множественный эпифизо-мета-диафизарный перелом проксимального отдела большеберцовой кости со смещением Мини-инвазивный остеосинтез (пластины и винты)
Колено и нога Множественный эпифизо-мета-диафизарный перелом проксимального отдела большеберцовой кости со смещением Мини-инвазивный остеосинтез (пластины и винты)
Колено и нога Множественный эпифизо-мета-диафизарный перелом проксимального отдела большеберцовой кости со смещением Мини-инвазивный остеосинтез (пластины и винты)
Колено и нога Множественный эпифизо-мета-диафизарный перелом проксимального отдела большеберцовой кости со смещением Мини-инвазивный остеосинтез (пластины и винты)
Колено и нога Множественный эпифизо-мета-диафизарный перелом проксимального отдела большеберцовой кости со смещением Мини-инвазивный остеосинтез (пластины и винты)
Колено и нога Множественный эпифизо-мета-диафизарный перелом проксимального отдела большеберцовой кости со смещением Мини-инвазивный остеосинтез (пластины и винты)
Колено и нога Множественный эпифизо-мета-диафизарный перелом проксимального отдела большеберцовой кости со смещением Мини-инвазивный остеосинтез (пластины и винты)
Колено и нога Множественный эпифизо-мета-диафизарный перелом проксимального отдела большеберцовой кости со смещением Мини-инвазивный остеосинтез (пластины и винты)
Колено и нога Множественный эпифизо-мета-диафизарный перелом проксимального отдела большеберцовой кости со смещением Мини-инвазивный остеосинтез (пластины и винты)
Колено и нога Множественный эпифизо-мета-диафизарный перелом проксимального отдела большеберцовой кости со смещением Мини-инвазивный остеосинтез (пластины и винты)
Колено и нога Множественный эпифизо-мета-диафизарный перелом проксимального отдела большеберцовой кости со смещением Мини-инвазивный остеосинтез (пластины и винты)
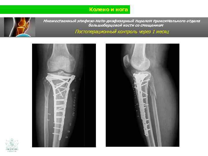
Колено и нога Множественный эпифизо-мета-диафизарный перелом проксимального отдела большеберцовой кости со смещением Постоперационный контроль через 1 месяц
Колено и нога Множественный эпифизо-мета-диафизарный перелом проксимального отдела большеберцовой кости со смещением Контроль после удаления предметов остеосинтеза (1 год)
Большеберцовая и малоберцовая кости Клинический случай (большеберцовая и малоберцовая кости) Мужчина 60 ти лет Травма нижней конечности (авария на мотоцикле)
Большеберцовая и малоберцовая кости Эпифизо-мета-диафизарный перелом дистального отдела большеберцовой кости
Большеберцовая и малоберцовая кости Эпифизо-мета-диафизарный перелом дистального отдела большеберцовой кости
Большеберцовая и малоберцовая кости Эпифизо-мета-диафизарный перелом дистального отдела большеберцовой кости Мини-инфазивный остеосинтез (пластины и винты)
Кисть Клинический случай (кисть) Мужчина 35 лет Падение на ладонь (при защитной реакции)
Кисть Перелом ладьевидной кости запястья без смещения
Кисть Перелом ладьевидной кости запястья без смещения Мини-инвазивный остеосинтез с канулярным винтом (Twin-Fix)
Кисть Перелом ладьевидной кости запястья без смещения Мини-инвазивный остеосинтез с канулярным винтом (Twin-Fix)
Кисть Перелом ладьевидной кости запястья без смещения Мини-инвазивный остеосинтез с канулярным винтом (Twin-Fix)
Кисть Перелом ладьевидной кости запястья без смещения Мини-инвазивный остеосинтез с канулярным винтом (Twin-Fix)
Кисть Перелом ладьевидной кости запястья без смещения Мини-инвазивный остеосинтез с канулярным винтом (Twin-Fix)
Кисть Перелом ладьевидной кости запястья без смещения Клинический постоперационный контроль через 1 неделю
Локоть Клинический случай (локоть) Молодой человек 26 лет Падение на ладонь (при защитной реакции)
Локоть Перелом со смещением радиальной головки
Локоть Перелом со смещением радиальной головки Реконструкция К/Т в 3 D
Локоть Перелом со смещением радиальной головки Мини-инвазивный остеосинтез (итрамедулярные металлические нити)
Локоть Перелом со смещением радиальной головки Мини-инвазивный остеосинтез (итрамедулярные металлические нити)
Локоть Перелом со смещением радиальной головки Мини-инвазивный остеосинтез (итрамедулярные металлические нити)
Локоть Перелом со смещением радиальной головки Мини-инвазивный остеосинтез (итрамедулярные металлические нити)
Локоть Перелом со смещением радиальной головки Мини-инвазивный остеосинтез (итрамедулярные металлические нити)
Локоть Перелом со смещением радиальной головки Мини-инвазивный остеосинтез (итрамедулярные металлические нити)
Локоть Перелом со смещением радиальной головки Постоперационный контроль через 1 месяц
Локоть Перелом со смещением радиальной головки Контроль после удаления предметов остеосинтеза
Стопа и голеностоп Клинический случай (стопа и голеностоп) Гимнаст 17 лет Наружный вывих во время спортивных соревнований
Стопа и голеностоп Клинический случай (стопа и голеностоп)
Стопа и голеностоп Суставной перелом таранной кости и лодыжки со смещением
Стопа и голеностоп Суставной перелом таранной кости и лодыжки со смещением Мини-инвазивный остеосинтез (канулярный винт)
Стопа и голеностоп Суставной перелом таранной кости и лодыжки со смещением Постоперационный контроль через 3 месяца
Стопа и голеностоп Суставной перелом таранной кости и лодыжки со смещением Постоперационный контроль через 8 месяцев
Стопа и голеностоп Суставной перелом таранной кости и лодыжки со смещением Возвращение в спорт (10 месяцев)
МИНИ-ИНВАЗИВНЫЙ МЕТОД ЗАКЛЮЧЕНИЕ Мини-инвазивный метод, используя технологический прогресс настоящего времени, позволил сократить время лечения и восстановления при травмах костей скелета. Но несмотря на это, физиологическое время и время заживления не возможно сократить.
МИНИИНВАЗИВНЫЙ МЕТОД ЗАКЛЮЧЕНИЕ ВАЖНО Постоянное сотрудничество узких специалистов , таких как травматолог, рентгенолог, физиатр, инструктор ЛФК и тренер по физвоспитанию Это важно как для психологического покоя пациента, так и для ежедневного контроля восстановления с целью достижения оптимальных результатов
Grazie


