18 - 2014 МезПГН и ИгА-нефропатия.ppt
- Количество слайдов: 72
Мезангиопролиферативный гломерулонефрит С. Боровой, 2014
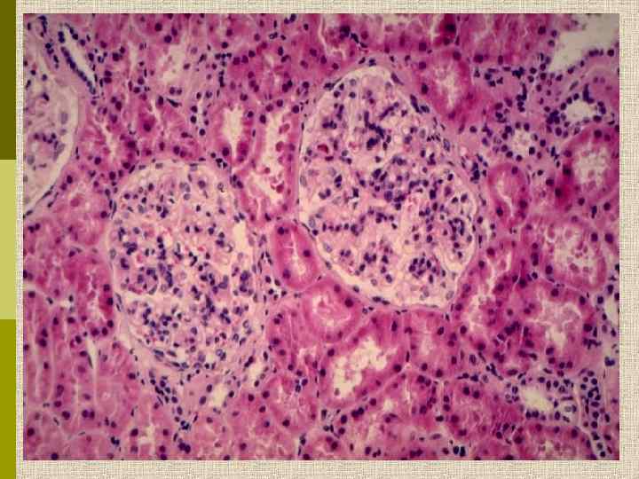
Мезангиопролиферативный гломерулонефрит (расширение мезангия + пролиферация мезангиоцитов)
Мезангиопролиферативный гломерулонефрит (депозиты Ig. А в мезангии)
Мезангиопролиферативный гломерулонефрит (депозиты C 3 в мезангии)
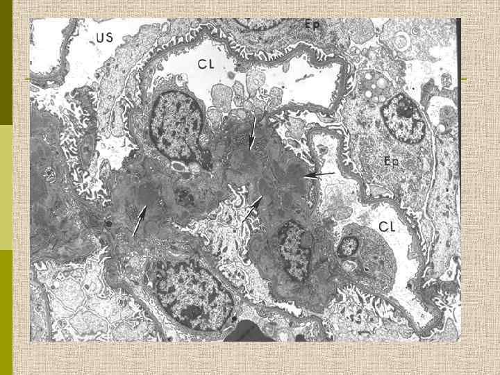
Мезангиопролиферативный гломерулонефрит (электронноплотные депозиты в мезангии)
Мезангиопролиферативный гломерулонефрит Как морфологический феномен встречается при: - Ig. A – нефропатии - идиопатическом мезангиопролиферативном гломерулонефрите - разрешении постинфекционного гломерулонефрита - волчаночном нефрите II класса - других иммунокомплексных болезнях - некоторых болезнях отложения депозитов
Ig. A-нефропатия С. Боровой, 2014
ОСОБЫЕ ФОРМЫ МЕЗАНГИОПРОЛИФЕРАТИВНОГО ГЛОМЕРУЛОНЕФРИТА p Болезнь Берже – первичная Ig. A-нефропатия Синонимы – первичная Ig. A–Ig. G нефропатия – фокальный сегментарный Ig. A-нефрит Клинический эквивалент – гематурический нефрит преимущественно доброкачественного течения p Ig. M–мезангиальная нефропатия Клинические особенности – высокая частота стероидорезистентного нефротического синдрома с плохим прогнозом; гематурия улучшает прогноз(!).
Морфология Ig. А-нефропатии q Определяющий симптом – диффузные отложения Ig. A в мезангии, коррелирующие с электронноплотными депозитами в мезангии при электронной микроскопии q Могут наблюдаться депозиты С 3, Ig. G, реже Ig. M, а также Ig. A в капиллярной стенке q При световой микроскопии – от минимальных изменений до сегментарной или диффузной мезангиальной гиперцеллюлярности, с развитием фокального сегментарного склероза, атрофии канальцев и интерстициального фиброза q При электронной микроскопии – высокая частота фокального истончения ГБМ
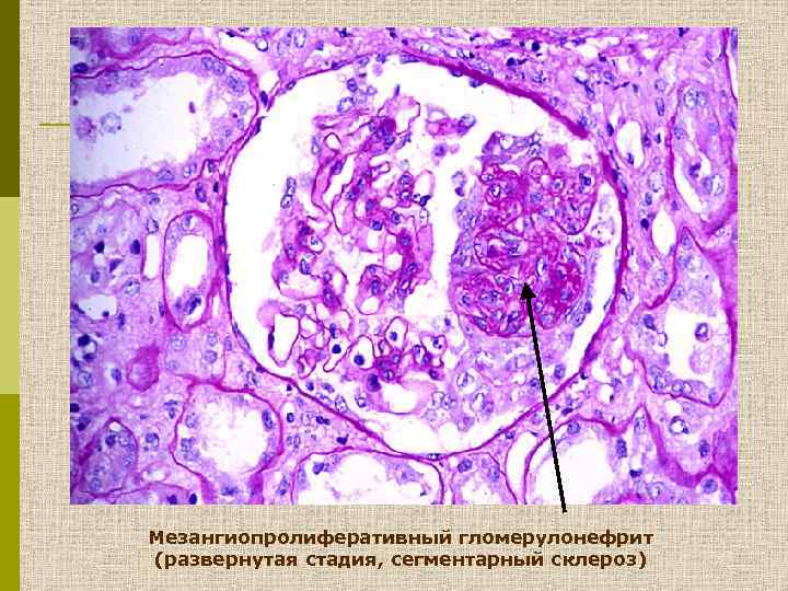
Мезангиопролиферативный гломерулонефрит (развернутая стадия, сегментарный склероз)
Jean Berger, французский морфолог 1930 - 22. 05. 2011
Распространенность Ig. А-нефропатии в мире Ig. А-мезангиопролиферативный гломерулонефрит самый распространенный вариант гломерулонефрита
Ig. А-иммунная система p Мономерный Ig. A может образовывать димеры и более крупные полимеры с помощью J-цепи. p У здоровых людей в крови циркулирует преимущественно мономерный Ig. A 1 костномозгового происхождения (90%). p В иммунной системе слизистых оболочек продуцируются полимерные Ig. A и Ig. A, которые присоединяют SC и транспортируются через эпителий посредством рецептора полимерного Ig и входит в состав их секрета.
Схема Ig. А 1 Рецепторы, распознающие Ig. А 1 1) Ig. A Fc (Fc R 1 или CD 89) 2) p. Ig. R - полимериммуноглобулиноый рецептор Шарнирная область 3) ASGPR асиалогликопротеиновый рецептор 4) Fc / R 5) Tf. R (CD 71) - трансферриновый рецептор
Характеристика гломерулярного Ig. А p Депозиты Ig. A в клубочках являются преимущественно полимерным Ig. A 1 p Гломерулярный Ig. A более анионный, чем циркулирующий Ig. A, и проявляет избыток легких цепей p In vitro Ig. A- легче связывается с мезангиоцитами по сравнению с Ig. A- Lai et al. , Kidney Int. 1996: 49, 839 -845
Природа “гломерулофильного” Ig. А-1 p В эксперименте дегликолизированный в шарнирной области нейраминидазой или бета-галактозидазой Ig. А-1 человека откладывается в клубочках у крыс, тогда как нативный Ig. A-1 – нет. p Энзиматически дегликолизированный Ig. А-1 полимеризуется, приобретает сродство к внеклеточным белкам – фибронектину, ламинину, коллагену IV типа. Его отложения в клубочке сопровождаются инфильтрацией клубочка нейтрофилами. Sano et al. , NDT 2002, 17, 1, 50 -56
Факторы, обсуждаемые в патогенезе Ig. A-нефропатии p Избыточное поступление антигенов к слизистым p Избыточная проницаемость слизистых для антигенов p Избыточный антительный ответ на антигены, контактирующие со слизистыми p Отложение Ig. A в клубочках способствуют нарушению их структуры (напр. , анормальное гликозилирование снижение галактозы, стимулирующее полимеризацию Ig. A в циркуляции) p Снижение клиренса анормального Ig. A (нарушение связи с рецепторами и/или увеличение его афинности к мезангиальному матриксу p Не исключают и некоторую роль комплемента
Патогенез Ig. A-нефропатии p Полимерный Ig. A индуцирует продукцию MIF (фактор торможения миграции макрофагов) и TNF- мезангиальными клетками. p MIF играет ключевую роль в провоспалительном каскаде и иммунном ответе. p IL-1, MIF и TNF- регулируют активность ядерного фактора B (NF- B), влияющего на рост клеток, апоптоз и иммунный ответ. MIF индуцирует продукцию TNF- и интерферона- макрофагами. (J. C. K. Leung, et al. , NDT 2003; 18: 36 -45) p Имеется связь Ig. A нефропатии с хромосомой 6 q 22 -23 (Gharavi et al. , Nat Genet 2000; 26; 354 -7)
Клинические проявления Ig. А нефропатии p Ведущий симптом – бессимптомная микрогематурия, изолированная или сопровождаемая протеинурией p У 40 – 50% больных – кратковременные эпизоды макрогематурии, провоцируемые респираторной или кишечной инфекцией, или физической нагрузкой p Частота нефротического синдрома – не более 5%
Ig. A нефропатия проявляется большим спектром морфологических изменений 1) Нормальные или почти нормальные клубочки 2) Очаговая/сегментарная мезангиальная пролиферация 3) Диффузная мезангиальная пролиферация 4) Очаговый гломерулонефрит
Редкие варианты Ig. А-нефропатии p Ig. A-экстракапиллярный гломерулонефрит (ОПН, развиваюшаяся на фоне макрогематурии, является показанием к нефробиопсии) p с-м Гудпасчера с линейными отложениями Ig. A p Ig. A-нефропатия (геморрагический васкулит) с ANCA p Ig. A-нефропатия с признаками микроскопического полиангиита или гранулематоза Вегенера, ассоциированная с Ig. G ANCA p Ig. A-нефропатия, сочетающаяся с минимальными изменениями или с диабетическим гломерулосклерозом
Диагностика Ig. А нефропатии p Концентрация Ig. А в сыворотке 3, 15 г/л является диагностическим критерием Ig. А нефропатии (!!? ? ) Tomino et al. , J Clin Lab Anal 2000, 14: 220 -223 p Диагноз Ig. A нефропатии требует выполнения диагностической нефробиопсии(!!!) p Микрогематурия с протеинурией <1 г/сут может рассматриваться как «неопасный» мочевой синдром p Нефробиопсия (как правило!) выполняется при стабильной протеинурии более 1 г/сут.
Причины «доброкачественной» рецидивирующей гломерулярной гематурии • Ig. A нефропатия • Болезнь Берже • Ig. G мезангиальный гломерулонефрит • Ig. M мезангиальный гломерулонефрит • Врожденные нефропатии • Синдром Альпорта • Синдром тонкой базальной мембраны
Структура Ig. A-нефропатии
Ig. A-нефропатия, сочетающаяся с хроническими болезнями печени – основная причина вторичной Ig. A нефропатии p В печени имеется два пути метаболизма Ig. A: n гепатоциты экспрессируют асиалогликопротеиновый рецептор, который присоединяет Ig. A в месте десиализированных терминальных гликанов, затем - эндоцитоз и деградация Ig. A в лизосомах n купферовские клетки имеют Fc рецептор для Ig. A (Fc R), он же присутствует на циркулирующих моноцитах
Болезни, спорадически ассоциированные с отложением Ig. A в мезангии p Болезни соединительной ткани – анкилозирующий спондилит, ревматоидный артрит, смешанное заболевание соединительной ткани, постинфекционный артрит p Болезни кишечника – целиакальная спру, язвенный колит, региональный энтерит p Кожные болезни – герпетиформный дерматит, псориаз p Опухоли – карциномы (бронхогенные, ларингеальные, муцин-секретирующие), Ig. A-гаммапатия, фунгиоидный микоз, неходжкинская лимфома p Болезни крови – циклическая нейтропения, Ig. А моноклональная гаммапатия, смешанная криоглобулинемия, иммунная тромбоцитопения, полицитемия p Другие болезни – идиопатический легочный гемосидероз, ретроперитонеальный фиброз, саркоидоз, амилоидоз, миастения, ВИЧ-инфекция, синдром тонкой базальной мембраны, лепра (John H. Galla, 1995, KI, 47, 2, 377 -87, Cincinnati, Ohio, USA)
Ig. A нефропатия – болезнь людей молодого и среднего возраста 90 80 мужчины 70 женщины число больных 60 50 40 30 20 10 20 30 40 50 возраст 60 70 80
Начальные проявления мезангиальной Ig. A нефропатии % • макрогематурия боль в пояснице • микрогематурия протеинурия (непост. ) • протеинурия + микрогематурия • гипертензия • злокачественная гипертензия • ХПН • ОПН • нефротический синдром • острый нефрит • геморрагический васкулит 30 8 24 8 3 10 2 3 2 10
Частота снижения функции почек при болезни Берже Через 2 - 5 лет Через 20 лет Schena, 1990; Lee et al. , 1982
Классификация Ig. A нефропатии Haas, 1997 I II Минимальная мезангиальная гиперцеллюлярность без зон склероза Фокальный и сегментарный гломерулосклероз, без активной клеточной пролиферации полулуний III Фокальный пролиферативный гломерулонефрит (< 50% клубочков); эндокапиллярный и/или мезангиальный и/или с полулуниями, обычно сегментарный IV Диффузный пролиферативный гломерулонефрит (> 50% клубочков), сегментарный или глобальный, с полулуниями или без них V Развернутый хронический гломерулонефрит (> 40% клубочков глобально склерозированы или > 40% канальцев склерозированы или атрофированы)
Прогноз лучше при эпизодах макрогематурии
Прогноз Ig. A нефропатии F Признаки плохого прогноза F F F F артериальная гипертензия семейный характер артериальной гипертензии креатинин плазмы > 0, 120 ммоль/л высокий холестерин протеинурия > 1 г/сут поздние гистологические стадии Независимые предикторы почечной недостаточности F F отн. риск артериальная гипертензия семейный анамнез артериальной гипертензии креатинин плазмы > 0, 120 ммоль/л каждая следующая гистологическая стадия 9, 6 1, 56 15, 38 5, 93 167 больных, средний срок наблюдения 7, 5 г. Philip K. T. Li et al. , NDT 2002, 17: 64 -69 (Hong Kong, China)
Прогностические факторы Ig. A нефропатии Благоприятный исход 70% Неблагоприятный исход 30% Клинические данные Пароксизмальная гематурия в Хроническая бессимптомная сочетании с неспецифической гематурия инфекцией Нормальное АД Артериальная гипертензия Нормальная СКФ Снижение СКФ Отсутствие протеинурии Персистирующая бессимптомная протеинурия Биопсионные данные Мезангиальные депозиты Мезангиальная пролиферация Ig. A без пролиферации Эндо- и/или экстракапиллярная пролиферация Гломерулярный склероз, спайки Тубуло-интерстициальный фиброз
Прогноз Ig. A нефропатии F Признаки плохого прогноза F F F F креатинин плазмы > 0, 120 ммоль/л протеинурия > 1 г/сут систолическое АД 160 мм рт. ст. диастолическое АД 90 мм рт. ст. альбумин плазмы менее 35 г/л зернистые цилиндры в моче возраст старше 60 лет Независимые предикторы почечной недостаточности F F повышенный креатинин плазмы гипоальбуминемия молодой возраст тубуло-интерстициальный компонент 273 больных, средний срок наблюдения 34, 8 мес. . B. E. Vikse et al. , NDT 2002, 17: 1603 -13 (Norway)
Основные принципы лечения первичной Ig. A нефропатии F Длительное благоприятное течение болезни Берже у большинства больных обосновывает нетоксические методы терапии F Глюкокортикоиды и цитостатики применяются при очаговом пролиферативном гломерулонефрите с полулуниями, диффузном пролиферативном гломерулонефрите, а также у больных с явным прогрессированием болезни
Алгоритм выбора терапии Ig. A-нефропатии ПРОТЕИНУРИЯ < 1 г/сут 1 - 3 г/сут > 3 г/сут Наблюдение СКФ >70 мл СКФ > 70 мл Почечная недостаточность Наблюдение Рыбий жир Преднизолон СКФ <70 мл Рыбий жир L. Nolin, M. Courrteau, KI 1999, V. 55, S. 70, pp. 56 -62
Уровни доказательной медицины 1. Рандомизированное, контролированное исследование (РКИ), показывающее статистически значимое различие по крайней мере по одному конечному показателю (напр. , по выживанию) 2. РКИ, не удовлетворяющее критериям 1 -го уровня 3. Нерандомизированное контролированное исследование 4. Ретроспективное контролированное исследование 5. Серия больных (не менее 10), без контроля 6. Описание отдельных случаев (менее 10 больных)
Рекомендации по лечению Ig. A нефропатии (на основе доказательной медицины) Рекомендация 1. При наличии умеренных гистологических изменений, протеинурии > 3 г/сут и сохраненной функции почек (СКФ > 70 мл/мин) – преднизолон в течение 4 – 6 мес. Начальная доза 1 мг/кг/сут, альтернирующий прием, постепенное снижение дозы через 8 нед. у пациентов-ответчиков. Стероиды снижают протеинурию (В) и стабилизируют функцию почек (С). Рекомендация 2. Не должны применяться комбинация циклофосфамида, курантила и варфарина (А), а также циклоспорин (В). Рекомендация 3. У больных с медленным снижением СКФ (<70 мл/мин) следует применять рыбий жир (В). Рекомендация 4. Нет оснований для комбинированного применения азатиоприна и преднизолона. Рекомендация 5. Нет данных по ведению больных Ig. A нефропатией с быстропрогрессирующим течением. Рекомендация 6. Тонзиллэктомия может улучшить течение Ig. A нефропатии у больных с рецидивирующим тонзиллитом (D). Рекомендация 7. Артериальная гипертензия должна сразу, если возможно, корригироваться и. АПФ.
Лечение первичной Ig. A нефропатии: антитромбоцитарные препараты p 1988 – 1973 больных Ig. A нефропатией, 150 мг дипиридамола 2 р/сут в течение 6 мес. Суточная протеинурия снизилась с 2, 29 г до 1, 64 г (р<0, 01). Дипиридамол был эффективным в 70, 2% случаев (в плацебо-группе – 33, 8%, р<0, 01). Наибольший эффект, включая улучшение почечных функций, наблюдался в группе больных с активными пролиферативными изменениями в клубочках (S. Tojo, Heart & Circulation, 1988, 3, 3, 14 - Ибараки, Япония) p 1988 – 34 больных первичным Мез. ПГН. 16 больных в течение года получали дипиридамол 100 мг/сут и аспирин 500 мг b. d. У 8 больных клиренс креатинина возрос на 20%, у других оставался стабильным. В плацебо-группе функция почек была стабильной или ухудшалась, 2 больных начали лечение диализом. Среди 6 больных с ХПН КФ возросла от 49 до 60 мл/мин в первые 6 мес. и далее оставалась стабильной. (G. Millet, Heart & Circulation, 1988, 3, 3, 14 - Мадрид, Испания)
Лечение первичной Ig. A нефропатии: рыбий жир (полиненасыщенные -3 жирные кислоты) p 1994 – 106 больных, рандомизированное, плацебоконтролированное исследование длительностью 2 года. Рыбий жир снизил риск 50% увеличения креатинина сыворотки на 82%, риск т. ХПН или смерти на 67%. Снижение клиренса креатинина – 0, 3 мл/мин/1, 73 м 2/год против 7, 1 мл/мин/1, 73 м 2/год в плацебо-группе. Эти данные были подтверждены и через 6, 4 г. дальнейшего наблюдения. JV. Donadio, New Engl J Med, 1994, 331, 1194 -1199 - Mayo Clinic JV. Donadio, J Am Soc Nephrol, 19994, 10, 1772 -1777 - Mayo Clinic
Ненасыщенные жирные кислоты Линоленовая к-та (растительные масла) ώ– 6 триеновые простагландины (тромбоксан А 3) α-Линоленовая к-та (морские рыбы) ώ– 3 эйкозопентаеновая к-та докозогексаеновая к-та
Эффект ω-3 жирных кислот на клетку лиганд ω-3 жирная к-та рецептор фосфолипиды Липидный бислой жирные к-ты гидролиз жирных кислот эйкозаноиды активация протеинкиназы изменение клеточных сигналов регуляция клеточного роста, освобождение цитокинов, агрегация NDT, 17, 1, 11
Тонзиллэктомия оказывает благоприятный эффект на почечную выживаемость при Ig. A нефропатии преимущественно у больных с умеренными клиническими и морфологическими проявлениями. Kidney International, Vol. 63 (2003), #5, pp. 1861 – 1867
Методы лечения первичной Ig. A нефропатии, не подтвержденные «доказательной» медициной p Фенитоин (снижает уровень Ig. A в плазме) p Антитромбоцитарные препараты p Урокиназа p Даназол p Ограничение глютеновых пищевых продуктов p Диета с низким содержанием антигенов p В/в введение иммуноглобулина p и. АПФ. Эффект замечен при DD-генотипе r. Ang. II.
Первичная Ig. A нефропатия: вариант стратегии лечения q При недавнем анамнезе отбор больных на активную терапию по клиническим и морфологическим признакам активности и плохого прогноза. Назначение глюкокортикоидов и/или ЦФ на срок не менее 6 мес. , первые 2 мес. в полной дозе. q Далее, а также при отсутствии признаков активности, антитромбоцитарная терапия – курантил 250 мг/сут + аспирин 100 мг/сут на длительный срок – до 2, 5 г. q Далее, а также если протеинурия не уменьшается и/или присутствует артериальная гипертензия – ингибиторы АПФ.
Бессимптомная гематурия (протеинурия) Гематурия или протеинурия (персистирующая микрогематурия) Обычно нормальная функция почек (в начале болезни) Обычно нет гипертензии и отеков
Бессимптомная гематурия/протеинурия Эти состояния характеризуются морфологически либо фокальным некротизирующим, и/или воспалительными изменениями клубочков или аномалиями базальной мембраны, которые результируются в большой капиллярный полом.
Основные морфологические изменения гломерулы 1. Болезнь подоцитов (болезнь минимальных изменений) 2. Фокальный сегментарный гломерулосклероз 3. Мембранозная нефропатия 4. Диффузный пролиферативный гломерулонефрит 5. Мембранопролиферативный гломерулонефрит 6. Гломерулонефрит с полулуниями 7. Фокальный пролиферативный и некротизирующий гломерулонефрит 8. Мезангиальный пролиферативный гломерулонефрит 9. Нарушения базальной мембраны 10. Фокальный глобальный гломерулосклероз
Мезангиопролиферативный гломерулонефрит. Выраженная мезангиальная пролиферация и расширение мезангиального матрикса ( PAS)
Ig. A
Ig. A
КЛИНИЧЕСКИЕ СОСТОЯНИЯ, АССОЦИИРОВАННЫЕ С НАРУШЕНИЯМИ ГЛОМЕРУЛЯРНОЙ БАЗАЛЬНОЙ МЕМБРАНЫ Врожденный нефрит: Классический синдром Альпорта Аутосомно-рецессивный наследственный нефрит Аутосомно-доминанатный наследственный нефрит Болезнь тонкой базальной мембраны (TBMD) Синдром ногти-надколенник (врожденная остеоониходисплазия) Дефицит лецитин-холестерол-ацилтрансферазы Разрешающийся иммунокомплексный ГН
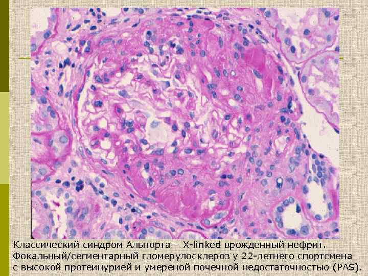
Классический синдром Альпорта – X-linked врожденный нефрит. Фокальный/сегментарный гломерулосклероз у 22 -летнего спортсмена с высокой протеинурией и умереной почечной недостаточностью (PAS).
Классический синдром Альпорта – X-linked врожденный нефрит. Пенистые клетки в интерстиции часто являются ключевыми в диагнозе у больных без гиперлипидемиии.
Классический синдром Альпорта – X-linked врожденный нефрит. Отчетливое lamination и fraying ГБМ. Плотная пластина не прослеживается. distortion и слияние ножек подоцитов на верхушке капилляра.
Синдром Альпорта. Отдельные участки ГБМ имеют фрагментированы с видом «баскетбольной корзины» .
Thin basement membrane disease. The glomerulus is slightly hypertrophied but is otherwise free of pathological lesions (PAS). Measurements of the GBM at the EM level are essential.
А. ГБМ нормальной толщины. Б. Тонкая ГБМ.
Тонкая базальная мембрана – в 2 раза тоньше обычной. Заметно усиление lamina densa. Отдельные участки базальной мембраны имеют начальные признаки «basket weave changes» - маркеры прогрессирования болезни.
Иммунологические нарушения в слизистых и костном мозге у больных с первичной Ig. A нефропатией Слизистые Увеличенное число Ig. A-продуцирующих клеток в тонзиллах Abnormal продукция Ig. A PWM-стимулированными тонзиллярными мононуклеарами Высокая концентрация Ig. A в фарингеальном и назальном секретах и в слюне Избыточная интестинальная проницаемость у некоторых больных с первичной Ig. A нефропатией Высокие уровни Ig. A антител против глиадина и других пищевых белков Костный мозг Увеличенный процент плазматических клеток, содержащих Ig. A 1 Увеличенный синтез Ig. A 1 после противогриппозных вакцин PWM, pokeweed митоген Clinical Nephrology on CD-ROM (Copyrights © 1997, OUP) - Chapter 3. 7, Table 7:
18 - 2014 МезПГН и ИгА-нефропатия.ppt