ЭХО-КГ-занятия.pptx
- Количество слайдов: 74
Методика проведения эхокардиографии Кафедра внутренних болезней № 3
ЭХО КГ возможности Эхокардиография это неинвазивный метод исследования структуры и функции сердца, основанный на регистрации отраженных импульсных сигналов ультразвука, генерируемых эхо кардиографическим датчиком с частотой 3, 5 МГц. • Неинвазивность • Информативность • Безопасность • Воспроизводимость • Мобильность • Стоимость исследования • Доступность • Перспективность
Виды эхокардиографии • Трансторакальная ЭХО КГ • Чреспищеводная ЭХО КГ • Стресс ЭХО КГ • Контрастная ЭХО КГ • Интраоперационная ЭХО КГ • Внутрисосудистая ЭХО КГ
Методика проведения ЭХО КГ Специальной подготовки пациента к проведению эхокардиографического исследования не требуется, противопоказания отсутствуют. Для кардиологического исследования у взрослых (одномерные и двухмерные Эхо. КГ) обычно применяются ультразвуковые датчики с частотой 3, 5 МГц. При таких частотах обеспечивается хорошая фокусировка ультразвукового луча и оптимальное отражение от исследуемых структур. У взрослых пациентов желательная глуби на сканирования составляет 16— 20 см. Исследование может быть осуществлено в любом положении больного, при котором обеспечивается наиболее четкое изображение исследуемых структур. Чаще всего пациент находит сяв горизонтальном положении на спине с приподнятым изголовьем или на левом боку. Для лучшей визуализации сосудистого пучка из супрастернального доступа под плечи пациента подкладывается валик, а голова запрокидывается назад. Исследование выполняется при свободном дыхании пациента либо при неглубоком выдохе. Для улучшения контакта датчика с телом пациента используют специальный гель.
Ультразвуковая анатомия сердца В эхокардиографии используют ряд доступов к сердцу и магистральным сосудам: • Левый парастернальный • Апикальный • Субкостальный • Супрастернальный • Правый парастернальный
Нормативы стандартных измерений в парастернальной позиции 1. Диаметр правого желудочка в конце диастолы 25 38 мм (обычно менее 28 мм). 2. Диаметр LVOT или аортального фиброзного кольца 16 26 мм. 3. Диаметр аорты на уровне синусов Вальсальвы – 24 39 мм. 4. Аорта в области синотубулярного сужения 21 34 мм. 5. Левое предсердие 25 38 мм (в конце систолы). 6. Диаметр левого желудочка в конце диастолы и в конце систолы 37 53 мм (менее 56 мм), 23 36 мм. 7. Диаметр стенки правого желудочка в конце диастолы менее 5 мм. 8. Диаметр межжелудочковой перегородки в конце диастолы менее 12 мм. 9. Диаметр задней стенки левого желудочка в конце диастолы менее 11 мм.
Масса миокарда левого желудочка, г Женщины 67 162 (незначительное 163 186, умеренное 187 210, значительное >211) Мужчины 88 224 г (225 258, 259 292, >293) Отношение левого желудочка к площади поверхности тела, г/м 2 Женщины 43 95 (96 108, 109 121, >122) Мужчины 49 115 (116 131, 132 148, >149)
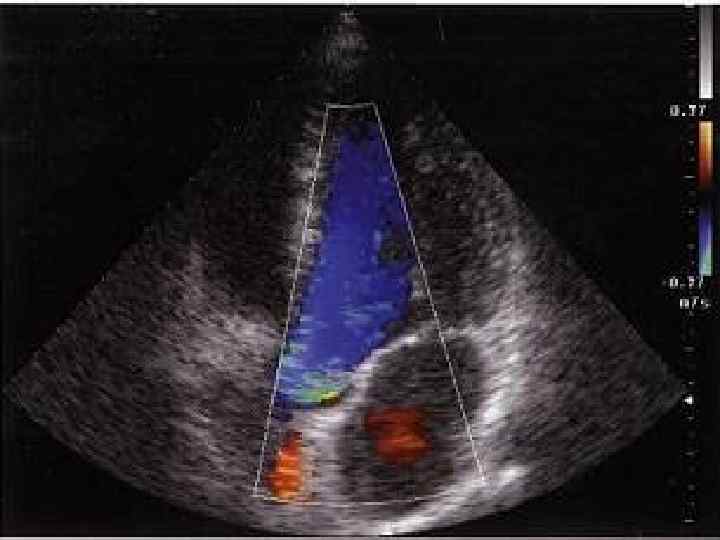
Измерения в режиме импульсно волнового допплера AT (acceleration time) время ускорения потока, то есть время от щелчка открытия митрального кла пана до пика скорости потока (в м/с); DT (deceleration time) время замедления потока, то есть время от пика скорости до базовой линии; ЕТ (ejection time) время выброса, то есть время от щелчка открытия до щелчка закрытия клапана; Vmax максимальная скорость потока (в м/с или см/с); IVRT (isovolumic relaxation time) время изоволю метрического расслабления; IVCT (isovolumic contractility time) время изово люметрического сокращения.
Максимальные скорости кровотока (в м/с) в норме (Hatle L. , Angelsen В. , 1982) Трансмитральный диастолический поток Дети 1, 0 (0, 8 1, 3) Взрослые 0, 90 (0, 6 1, 3) Транстрикуспидальный диастолический поток Дети 0, 6 (0, 5 0, 8) Взрослые 0, 50 (0, 3 0, 7) Легочная артерия Дети 0, 90(0, 7 1, 1) Взрослые 0, 75 (0, 6 0, 9) Выносящий тракт левого желудочка Дети 1, 0 (0, 7 1, 2) Взрослые 0, 9 (0, 7 1, 1) Аорта Дети 1, 50(1, 2 1, 8) Взрослые 1, 35(1, 0 1, 7)
ОЦЕНКА СИСТОЛИЧЕСКОЙ ФУНКЦИИ ЛЕВОГО ЖЕЛУДОЧКА Систолическая функция ЛЖ оценивается по нескольким показателям, центральное место среди которых занимает ударный объем (УО) и фракция выброса (ФВ). Метод Teicholz. До последнего времени расчет УО, ФВ и других гемодинамических показа телей проводился на основании измерений М модальной эхокардиограммы, зарегистрирован ной из левого парастернального доступа. Для расчета учитывается степень передне заднего укорочения ЛЖ, то есть отношения КДР и KCР Расчет проводится по формуле L. Teicholz (где V объем ЛЖ (КСО или КДО) и D переднезадний размер ЛЖ в систолу или диасто лу. УО определяется как разница КДО и КСО, а ФВ — как отношение УО к КДО):
Систолическая функция ЛЖ Метод дисков (модифицированный метод Simpson). Основан на планиметрическом определении и суммировании площадей 20 дисков, представляющих собой своеобразные поперечные срезы ЛЖ на разных уровнях. Для расчета систолических и диастолических объемов ЛЖ получают два взаимоперпендикулярных двух мерныхизображения сердца из верхушечного доступа в позициях двухкамерного и четырехкамерного сердца. После выделения курсором в обеих проекциях внутреннего контура ЛЖ последний автоматически делится на 20 дисков (а, и Ь, ) одинаковой высоты и вычисляется их площадь (S; )
Систолическая функция ЛЖ Для расчета объема ЛЖ (V) площади 20 дисков суммируются, и сумма умножается на вы соту каждого диска. ЛЖ (L/20): где L — длина ЛЖ. Так получают значения КДО и КСО.
Систолическая функция ЛЖ Метод «площадь-длина» . При отсутствии региональных нарушений сократимости может быть использован еще один простой метод определения УО с помощью двухмерной эхокардиографии. На эхокардиограмме четырехкамерного или двухкамерного сердца, зарегис трированной из верхушечного доступа, планиметрически определяют площадь полости ЛЖ (А) и его длину (L). Объем ЛЖ (V) определяют по формуле:
Систолическая функция ЛЖ
Систолическая функция ЛЖ Метод допплер-Эхо. КГ Определение УО, ФВ и других гемодинамических показателей с по мощью допплер Эхо. КГ основано на измерении величины объемного кровотока через аорталь ный клапан. С этой целью из верхушечного доступа в позициях двухкамерного или пятикамерного сердца проводят допплер локацию выходного отдела ЛЖ в импульсном режиме и получают систолический спектр линейной скоро сти кровотока в выходном отделе ЛЖ. После этого в режиме двухмерной Эхо. КГ, зарегистрированной из парастернального досту па по длинной оси ЛЖ, в середине систолы измеряют внутренний диаметр фиброзного кольца аортального клапана (D), автоматически рассчитывая площадь поперечного сечения корня аорты.
Показатели систолической функции ЛЖ • КДО 97 216 мл • КСО 29 91 мл • УО 75 100 мл • МО 5, 5 8, 0 л • ФВ 55 70% • Фракция укорочения (∆S) 28 43%
Диастолическая функция ЛЖ Диастолическую функцию ЛЖ оценивают по результатам исследования трансмитраль ногодиастолического кровотока в импульсном допплеровском режиме. Определяют: 1) максимальную скорость раннего пика диастолического наполнения (Vmax Peak E); 2) максимальную скорость трансмитрального кровотока во время систолы левого предсердия 1 (Vmax Peak A); 3) площадь под кривой (интеграл скорости) раннего диастолического наполне ния (MVVTI Peak E) 4) предсердной систолы (MV VTI Peak A); 5) отношение максимальных скоростей (или интегралов скорости) раннего и позднего наполнения (Е/А); 6) время изоволюмического расслабления ЛЖ — IVRT (измеряется при одновременной регистрации аортального и трансмитрального кровотока в постоянно волновом режиме из апикального доступа); 7) время замедления раннего диастолического наполнения (DT).
Vmax Peak E Vmax Peak A Е/А IVRT DT 0, 62 м/с 0, 35 м/с 1, 5 -1, 6 70 -75 м/с 200 мс
ОЦЕНКА НАРУШЕНИЙ РЕГИОНАЛЬНОЙ СОКРАТИМОСТИ ЛЕВОГО ЖЕЛУДОЧКА Выявление локальных нарушений сократимости ЛЖ с помощью двухмерной эхокардиографии имеет важное значение для диагностики ИБС. Исследование обычно проводится из верхушечного доступа по длинной оси в проекции двух и четырехкамерного сердца, а также из ле вого парастернального доступа подлинной и короткой осям. В соответствии с рекомендациями Американской ассоциации эхокардиографии ЛЖ при этом условно делится на 16 сегментов, располагающихся в плоскости трех поперечных сечений сердца, зарегистрированных из левого парастернального доступа по короткой оси. Изображение 6 ти базальных сегментов — переднего (А), переднеперегородочного (AS), задне перегородочного (IS), заднего (I), заднебокового (IL) и переднебокового (AL), — получают при локации на уровне створок митрального клапана (SAX MV), а средних частей тех же 6 ти сегмен тов — на уровне тапиллярных мышц (SAX PL). Изображения 4 верхушечных сегментов перед него (А), перегородочного (S), заднего (I) и бокового (L), — получают при локации из парастер нальногодоступа на уровне верхушки сердца (SAX АР).
Локальная сократимость ЛЖ Нарушения локальной сократимости отдельных сегментов ЛЖ у больных ИБС принято описывать по пятибалльной шкале: 1 балл — нормальная сократимость; 2 балла — умеренная гипокинезия (незначительное снижение амплитуды систолического движения и утолщения в исследуемой области); 3 балла — выраженная гипокинезия; 4 балла — акинезия (отсутствие движения и утолщения миокарда); 5 баллов дискинезия (систолическое движение миокарда исследуемого сегмента проис ходит в направлении, противоположном нормальному). Важное прогностическое значение имеет расчет так называемого индекса локальной сократимости (ИЛС), который представляет собой сумму балльной оценки сократимости каж дого сегмента (2 S), деленную на общее число исследованных сегментов ЛЖ (п):
ЭХО-КГ-занятия.pptx