Скачать презентацию Metastatic cancer of Unknown Origin in the Stomach Скачать презентацию Metastatic cancer of Unknown Origin in the Stomach

be655667de13ca1d940924507185e910.ppt

  • Количество слайдов: 16

Metastatic cancer of Unknown Origin in the Stomach Asan Medical Center Ahn Ji Yong Metastatic cancer of Unknown Origin in the Stomach Asan Medical Center Ahn Ji Yong

Present Illness • 56 year-old male • 20 days ago : RUQ discomfort Large Present Illness • 56 year-old male • 20 days ago : RUQ discomfort Large liver mass on the CT and US • Transfer to ASAN hospital Past Medical History 20 YA : medication due to pulmonary tuberculosis Family History / Social History None

Review of Systems Physical Examination General weakness(+) HEENT Wt. loss(+) : 4 kg / Review of Systems Physical Examination General weakness(+) HEENT Wt. loss(+) : 4 kg / 2 months Icteric sclerae Respiratory Dyspnea(+) Gastrointestinal Dyspepsia(-) Anorexia(+) Nausea(+) Vomiting(+) Abdomen Palpable mass (+) : RUQ Back & Extremities Both pretibial pitting edema (+)

Initial Lab Data CBC 4600 /mm 3 - 12. 9 g/d. L - 201 Initial Lab Data CBC 4600 /mm 3 - 12. 9 g/d. L - 201 K /mm 3 Electrolyte 134 – 4. 3 – 103 m. Eq/L PT 75. 4 % (1. 17 INR) a. PTT 35. 7 sec BUN 23 mg/d. L Cr 1. 0 mg/d. L Protein 5. 3 g/d. L Albumin 2. 5 g/d. L AST/ALT 82/91 IU/L ALP/r. GT 256/296 IU/L TB/DB 3. 1/1. 6 mg/d. L AFP : 1. 9 ng/ml PIVKA II : 36 m. AU/m. L HBV/HCV (-/-)

Initial Problem List / Plan #1. Liver mass r/o HCC w/u #2. Nausea/Vomiting EGD Initial Problem List / Plan #1. Liver mass r/o HCC w/u #2. Nausea/Vomiting EGD

AP-CT & Chest CT AP-CT & Chest CT

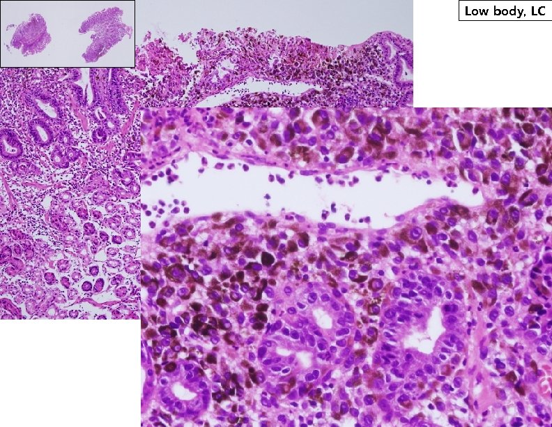
EGD EGD

Low body, LC Low body, LC

S 100 HMB 45 Malignant neoplasm producing melanin pigments suggestive of Malignant Melanoma S 100 HMB 45 Malignant neoplasm producing melanin pigments suggestive of Malignant Melanoma

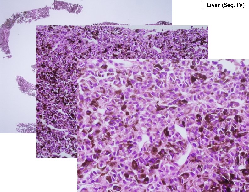
HD #4 US-guided liver biopsy HD #4 US-guided liver biopsy

Liver (Seg. IV) Liver (Seg. IV)

HD #2 – HD #10 Metastatic melanoma from unknown primary site Stage IV (Tx. HD #2 – HD #10 Metastatic melanoma from unknown primary site Stage IV (Tx. Nx. M 1, liver, stomach, lung) Conservative management

Conclusion Metastatic melanoma from unknown primary site Stage IV (Tx. Nx. M 1, liver, Conclusion Metastatic melanoma from unknown primary site Stage IV (Tx. Nx. M 1, liver, stomach, lung)

Brief review Metastatic Melanoma of Stomach Brief review Metastatic Melanoma of Stomach

Melanoma • Metastatic melanoma of unknown primary : histologically confirm LN, visceral site & Melanoma • Metastatic melanoma of unknown primary : histologically confirm LN, visceral site & other unusual site without history or evidence of primary cutaneous, mucosal or ocular melanoma : 2 -5% of all melanoma : 22% in autopsy (high tropism for GI tract)

Melanoma • Metastatic > Primary : multifocality of the lesion, umbilicated appearance of polyps, Melanoma • Metastatic > Primary : multifocality of the lesion, umbilicated appearance of polyps, absence of pagetoid & in situ change in the overlying epithelium • No systemic therapies & Poor prognosis : median survival of 6 months