Менструальный цикл Don_O_V_206l.pptx
- Количество слайдов: 32
Менструальный цикл
Сутки v v 1 -ые сутки цикла- это ПЕРВЫЙ день МАТОЧНОГО (или, МЕНСТРУАЛЬНОГО ) кровотечения. 4 -ые сутки – это ПОСЛЕДНИЙ день кровотечения. 14 -ые сутки – это ОВУЛЯЦИЯ. 28–ые сутки- соответствуют ишемии и некрозу функционального слоя
Фазы v Первая фаза цикла – МЕНСТРУАЛЬНАЯ фаза (фаза ДЕСКВАМАЦИИ) – с 1 -ых до 4 -ых суток. v Вторая фаза – ПОСТМЕНСТРУАЛЬНАЯ фаза (фаза ПРОЛИФЕРАЦИИ)- с 5 -ых до 14 -ых суток. v Третья фаза – ПРЕДМЕНСТРУАЛЬНАЯ фаза (фаза СЕКРЕЦИИ)- с 15 -ых до 28 -ых суток.
Менструальная фаза
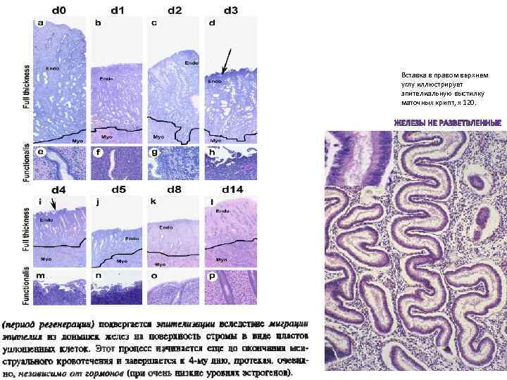
Вставка в правом верхнем углу иллюстрирует эпителиальную выстилку маточных крипт, х 120.
Фаза пролиферации
Эпителий из низко призматического стал высоко призматическим
1 - железы эндометрия (собственной пластинки слизистой оболочки) 2 - строма эндометрия (соединительная ткань собственной пластинки слизистой оболочки)
1 - слизистая оболочка (эндометрий) 2 - мышечная оболочка (миометрий) 3 - серозная оболочка (периметрий) 4 - функциональный слой эндометрия 5 - базальный слой эндометрия 6 - кровеносные сосуды 7 - железы эндометрия (собственной пластинки слизистой оболочки) 8 - строма эндометрия (соединительная ткань собственной пластинки слизистой оболочки) 9 - эпителий эндометрия
Фаза секреции
Средняя фаза
Схематическое изображение матки, маточных труб и яичников (вид сзади; правая половина матки, маточная труба и яичник вскрыты): 1 — дно матки; 2 — полость матки; 3 — круглая связка матки; 4 — маточная артерия; 5 — наружный маточный зев (отверстие матки); 6 — влагалище; 7 — шейка матки; 8 — канал шейки матки; 9 — внутренний маточный зев (перешеек матки); 10 — широкая связка матки; 11 — яичник; 12 — воронка маточной трубы; 13 — ампула маточной трубы; 14 — собственная связка яичника; 15 — перешеек маточной трубы.
Эндометриальная стромальная саркома — макропрепарат. Лейомиосаркома матки — микропрепарат (выраженный ядерный и клеточный полиморфизм)
1 - железы эндометрия (собственной пластинки слизистой оболочки) 2 - строма эндометрия (соединительная ткань собственной пластинки слизистой оболочки)
МАТКА (фаза секреции - начальная стадия) Окраска гематоксилин-эозином 1 - железы эндометрия (собственной пластинки слизистой оболочки) 2 - строма эндометрия (соединительная ткань собственной пластинки слизистой оболочки)
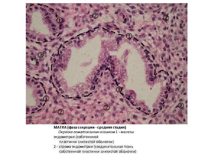
МАТКА (фаза секреции - средняя стадия) Окраска гематоксилин-эозином 1 - железы эндометрия (собственной пластинки слизистой оболочки) 2 - строма эндометрия (соединительная ткань собственной пластинки слизистой оболочки)
МАТКА (фаза секреции - конец средней стадии) Окраска гематоксилин-эозином 1 - железы эндометрия (собственной пластинки слизистой оболочки) 2 - строма эндометрия (соединительная ткань собственной пластинки слизистой оболочки)
МАТКА (фаза секреции - поздняя стадия) Окраска гематоксилин-эозином 1 - железы эндометрия (собственной пластинки слизистой оболочки) 2 - строма эндометрия (соединительная ткань собственной пластинки слизистой оболочки)
МАТКА (фаза секреции - поздняя стадия) Окраска гематоксилин-эозином Децидуальные клетки в строме эндометрия (обозначены стрелками)
Изменения:
Гистологические:
Эндометриальная стромальная саркома — микропрепарат
Микропрепарат рака тела матки: высокодифференцированная аденокарцинома
Возрастные: Новорожденная До менструации Менструальный период
Соотношение размеров тела и шейки матки в различные периоды онтогенеза


