5ce164c61056fefdf3533b9e0d300b7c.ppt
- Количество слайдов: 55
Meningiome, médulloblatome ependydome DES ONCOLOGIE LE 5/02/15
MEDULLOBLASTOME
Généralité tumeurs rares avec une incidence est de 0, 05 à 0, 1/100 000 habitants/an ce qui représente 1% des cas de tumeurs cérébrales. âge médian au diagnostic: 25 à 30 ans avec une prédominance masculine (sex ratio de 1, 5). 40% en zone sus tentorielle et 60% en sous tentorielle Rémission prolongée avec les traitements: 50% à 5 ans Pas de clinique spécifique
Prédisposition syndrome Gène clinique Gorlin PTCH 1 nombreux carcinomes baso-cellulaires, kératokystes odontogéniques , mâchoires, hyperkératose palmo-plantaire, anomalies du squelette, calcifications ectopiques intracrâniennes et une dysmorphie faciale Délétion SUFU Turcot APC polypose adénomateuse familiale Rubinstein Taybri anomalies congénitales (microcéphalie, faciès caractéristique, pouces et hallux larges, retard de croissance), déficit intellectuel et comportement atypique Li Fraumeni Accumulation de tumeurs
Examen Faire IRM cérébrale et spinale+ cytologie du LCR Biopsie mais préférer la Chirurgie d’exèrese En post chirurgie: -IRM post opératoire à 72 h -IRM spinale et cytologie LCR à 14 jours (Chang 1989)
Examen
Classification chang Médulloblastome standart: T 1 à T 2 (60%) Médulloblatome à haut risque: T 2 à M 4 (40%)
Classification histologique OMS La forme dite classique, 70 % des cas La forme desmoplastique, de meilleur pronostic, 15 % des cas
Classification histologique OMS La forme à nodularité extensive La forme anaplasique La forme dite à grandes cellules Lamont, Clinical Cancer Research, 2004
Classification moléculaire [1] Groupe 1 Avec activation du WNT (famille de glycoprotéines intervenant dans l'embryogenèse et le cancer) 10 % des cas Filles ou garçons De bon pronostic Groupe 2 Avec activation de la voie de signalisation SHH (Sonic Hedgehog) qui exerce une régulation majeure sur la prolifération des précurseurs des neurones à grains 30 % des cas et rarement associé à des métastases Plus souvent les garçons De pronostic intermédiaire
Classification moléculaire Groupe 3 Avec amplification de MYC (Thompson E ou 3) 25 % des cas avec métastases précoces Plus souvent les garçons De pronostic sombre Groupe 4 Avec gain de 17 q (Thomson A et C ou 4) 35 % des cas Plus souvent les garçons De pronostic intermédiaire
Classification Pronostique Bas risque: variante desmoplasique Risque standard: exérèse complète ou subtotale/pas de métastase Haut risque: résidu post opérationnel sup à 1, 5 cm 2/ envahissement du LCR/ présence de métastases Très haut risque: variante à grandes cellules/ amplification C-myc
Traitement Risque standard (T 1, T 2): -essai+++ -chirurgie la plus complète possible - Grill, Lancet Oncology, 2005
Traitement Radiothérapie crânio-spinale conventionnelle à la dose de 30 à 36 Gy en 15 à 18 fractions avec un complément jusqu'à 54 Gy sur la fosse cérébrale postérieure. ( max 90 j post chir) Devant les risques de séquelles neurologiques, pas de différence significative sur la PFS pour la majorité des études à utiliser la radiothérapie dose diminuée[2 3] Pas de différence significative entre la radiothérapie conventionnelle et hyperfractionnée (2 fois par jour à 8 h d’intervalle)
Traitement Essai PTEN 4 Lannering B, JCO, 2012
Traitement Un seul essai a montré l’intérêt de la chimio chez les risques standard SIOP PNET 3 qui a évalue 217 patients avec âge médian de 7, 67 ans
Traitement Risque élevé: -radiothérapie (même schéma) -chimiothérapie: • carboplatine (ou cisplatine) + étoposide, • CCNU + vincristine • 8 cycles de cisplatine, lomustine, et vincristine. avec vinscritine pendant la radiothérapie [4 5]
Traitement Packer RJ, JCO , 2006 Event-free survival from study entry by treatment regimen. CCNU, lomustine; CDDP, cisplatin; VCR, vincristine; CPM, cyclophosphamide
Traitement Chimiothérapie sandwich: (essai SFOP TC 94) [6] -2 cures VP/Carboplatine -RT Fosse postérieure : 55 Gys axe : 36 Gys sus tentoriel : 30 - 36 Gys Boost sur les métastases -Chimiothérapie d’entretien : 4 cures. VP/ Carboplatine
Traitement Brandes Int J Cancer 2006
Récidive Taux de récidive 45% Chirurgie si possible proposer les essais car pas de consensus. SFCE –metro 01: chimiothérapie métronomique associant celecoxib-methotrexate-vinblastine-cyclophosphamide TOTEM 2: topotecan + temozolomide HR MB-5 (IGR): place de l’autogreffe IHC SFRP 1: Temozolomide 200 mg/m 2 5/28 + GDC 0449 150 mg par jour
Blum S, Margol AS, Sposto R, Kennedy RJ, Robinson NJ, Vali M, Hung LT, Muthugounder S, Finlay JL, Erdreich-Epstein A, Gilles FH, Judkins AR, Krieger MD, Dhall G, Nelson MD, Asgharzadeh S. Molecular subgroups of medulloblastoma identification using noninvasive magnetic resonance spectroscopy. Neuro Onco 2016 Jan; 18(1) [1] Jacques Grill, Christian Sainte-Rose, Anne Jouvet, Jean-Claude Gentet, Odile Lejars, Didier Frappaz, François Doz, Xavier Rialland, Fabienne Pichon, Anne-Isabelle Bertozzi, Pascal Chastagner, Dominique Couanet, Jean-Louis Habrand, Marie-Anne Raquin, Marie-Cécile Le Deley, Chantal Kalifa, on behalf of the French Society of Paediatric Oncology (SFOP). Treatment of medulloblastoma with postoperative chemotherapy alone: an SFOP prospective trial in young children. Lancet Oncol 2005; 6: 573– 80 Lannering B et al Hyperfractionated versus conventional radiotherapy followed by chemotherapy in standard-risk medulloblastoma: results from the randomized multicenter HIT-SIOP PNET 4 trial [2] Thomas PR, Deutsch M, Kepner JL, Boyett JM, Krischer J, Aronin P, et al. Low-stage medulloblastoma : final analysis of trial comparing standard-dose with reduced-dose neuraxis irradiation. J Clin Oncol 2000 [3] Packer, Rj, Gajjar A, Vezina G, Rorke Adams L, Burger PC, Robertson PL, Bayer L, Lafond D, Donaue BR, Maymont MH, Murasko K, Langston J, Sposoto. Phase III study of craniospinal radiation therapy followed by adjuvant chemotherapy for newly diagnosed average-risk medulloblastoma. J Clin Oncol 2006 Sep 1 [4] Greenberg HS, Chamberlain MC, Glantz MJ, Wang S. Adult medulloblastoma: multiagent chemotherapy. Neuro Oncol, 2001 jan; 3 (1) [5] Brandes AA, Ermani M, Amista P, Basso U et al. The treatment of adults with medulloblastoma: a prospective study. Int J Cancer 2003; 57: 755761[6]
EPENDYMOME
Généralité Tumeur peu fréquente (3% des tumeurs cérébrales) Plus fréquent chez l’enfant et adolescent Pronostic sombre avec une fréquence de 39% de récidive Le plus souvent médullaire
Histologie Dérivent des cellules épendymaires, Aspect de rosette périvasculaire
classification WHO Les épendymomes myxopapillaires Les subépendymomes Les épendymomes anaplasiques
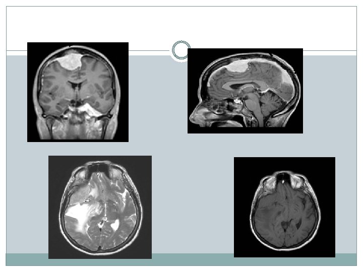
Examen IRM spinale et encéphalique: Séquences T 1, T 1 gado 3 D, FLAIR, T 2 en coupe sagittale et axial Cytologie du LCR Recher des signes d’extension méningée
Examen T 1 coupe axial
Examen
Facteurs pronostic Moléculaire [1] -gain d’ 1 q, délétion homozygote de CDKN 2 A seraient associés à mauvais pronostic. -gains de chromosomes 9, 15 q, et 18 et perte du chromosome 6 sont associés à bon pronostic • Études contradictoires sur les facteur prédictifs [2 3]
Facteurs prédictifs Reni, cancer 2004
Facteurs prédictifs Amstrong, Neuro onco 2010
Traitement Chirurgie la plus complète possible ave IRM dans les 72 h Radiothérapie volume cible quand chirurgie incomplète ou dissémination (grade 3) : dose de 54 Gy en 30 fractions de 1, 8 Gy (PTV 1), avec un complément de 5, 4 à 6 Gy sur le volume résiduel post-op (PTV 2). Le complément peut être réalisé en RT en conditions stéréotaxiques hypofractionnée et délivré selon une technique du boost.
Traitement Courbe de Kaplan meyer: OS chez enfant irradié et non irradié Timmermann, JCO 2006
Traitement Chimiothérapie non recommandée dans les guidelines en première intention Utilisée en récidive: cyclophosphamide, cisplatine, étoposide, PCV, carbo/ VP 16, Témozolomide ou si radiothérapie est impossible
Traitement une étude retrospective de 25 patients pour évaluer le : témozolomide TMZ: 25 patients tous en récidive, tous traités par chirurgie, RT et platine [4] Chamberlan, cancer 2009
Traitement Étude de green sur la place de l’avastin seul ou associé à une chimiothérapie (Irinotecan ou carbo)en récidive: SSP médiane: 6, 4 mois, SG médiane: 9, 4 mois [5] Étude de 1996 qui a évalué la place de l’autogreffe conditionnée par thiotepa et busulfan : réponse de 7 mois avec toxicité importante++ [6]
CAT Épendydome grade 2: si exerese complete: surveillance Si exerese incomplete: reprise chirurgicale et RT Ependydome grade 3: Si exerese complete RT puis surveillance Si exerese incomplète: reprise chirurgicale Radio chimio
Bibliographie Korshunov A, Witt H, Hielscher T, et all. Molecular staging of intracranial ependyoma in children and adults. J Clin Oncol 2010. [1] Robertson PL, Zelter PM, Bovett JM et al. Survival and pronostic factors following radiation therapy and chemotherapy for ependumomas in children: a report of children’s Cancer Group. J Neurosurg 1998 [2] Timmermann B, Kortmann RD, Kuhl J et al. Combined postoperative irradiation and chemotherapy for anaplasic ependymomas in childhood: results of German prospective trial HIT 91. Int Radiat Oncol Biol Phy 2000 [3] Armstrong TS, Vera Bolanos E, Bekele BN et al. Adult ependymal tumors: prognosis and the M. D Anderson Cancer Center experience. Neuro Oncol 2010 Reni M, Brandes AA, Vavassori V, et al. A multicenter study of the prognosis and treatment of adult brain ependymal tumors. Cancer. 2004 Chamberlain MC, Johnston SK. Temozolomide for recurrent intracranial supratentorial platinum-refractory ependymoma. Cancer 2009 oct 15. [4] R M Green, T F Cloughesy, R Stupp, L M Deangelis, EA Woyshner, D E Ney and A B Lassman. Bevacizumab for recurrent ependymoma Neurology. 2009 Nov 17 [5] Grill J, Kalifa C, Doz F, et al. A high dose busulfan-thiotepa combination followed by autologous bone marrow transplantation in childhood recurrent ependymoma. A phase 2 study. Pediatr Neurosurg. 1996 [6]
MENINGIOME
Généralité Les méningiomes: tumeurs extraparenchymateuses développées à partir de la crête neurale. 20 % des tumeurs primitives cérébrales Le sex-ratio est de 2 femmes/1 homme. Age moyen: 50 ans
Facteurs prédisposant Gène NF 2 Récepteur à la progestérone [1] Radiation +++ [2]
Classification OMS Grade 1: méningothélial, fibroblastique, transitionnel (ou mixte), psammomateux, angiomateux, microkystique, sécrétoire, riche en lympho-plasmocytes, métaplasique Grade 2: chordoïde, à cellules claires, atypique Grade 3: Papillaire, rhabdoïde, anaplasique
Classification Inédéquation entre la classification et le risque de récidive: Utilisation de Ki 67 [3] Grade 1: index MIB-1/Ki 67 moyen à 3, 8 %. Grade 2: index MIB-1/Ki 67 moyen à 7, 2 Grade 3: index MIB-1/Ki 67 moyen à 14, 7 %.
Traitement Chirurgie est le traitement de référence+++ L’exerèse doit être la plus complète avec si possible une marge de sécurité autour de la tumeur, en zone de duremère saine Macmullen, Current Treatment Options in Oncology 2004
Traitement Si chirurgie complète, le taux de récidive plus faible qu’en cas d’exérèse partielle (17% contre 87%)[5]
Traitement Radiothérapie externe : a privilégier pour - le sinus caverneux ou nerf optique - Grade 2 ou 3 [6] - Exerèse incomplète Radiothérapie fractionnelle conventionnelle: 54 Gy en 30 fractions de 1, 8 Gy, 5 j/7, pour les grades I 54 Gy en 27 fractions de 2 Gy, 5 j/7, pour les grades II 60 Gy en 30 fractions de 2 Gy, 5 j/7 Aucun essai randomisé Pas de consensus pour la chimiothérapie
Traitement Seul le genre et taille de la tumeur sont significatifs Mendenhall M. D, Cancer 2004
Traitement patient Dose Gy devenir p Goldsmit h 23 Inf à 53 Sup à 53 SSR 17% SSR 67% 0, 01 Milosevic 59 Inf à 50 Sup à 50 SSR 42% 0, 01 Hug 15 Inf à 60 Sup à 60 Contrôle à 0, 025 5 ans 90%
Traitement Radiothérapie par protonthérapie (200 MEV) montre de bons résultats: à 3 ans PFS: 91, 7 % et SG à 92, 7% [7] Radiothérapie par hypofractionnement : 5 fractions stéréotaxie fractionnée en conditions stéréotaxiques (surtout pour méningiome base du crane) Radiochirurgie, à dose unique: exérèse incomplète, inaccessibles chirurgicalement, récidivants ou anaplasiques
Traitement Place de l’hydréa dans les rechutes après avoir eu chirurgie et radiothérapie: 20 mg /kg/j [8] Interferon Muhr, Clin Cancer Res 2001
Traitement Petites séries, pas d’essai randomisé -Mifepristone: résultats négatifs [9] - Chimiothérapie: cyclophosphamide, l’adriamycine, et la vincristine [9]: diminution du volume tumoral Essai en cours: Imatinib/ VEGF/Erlotinib et geftinib
Bibliographie Verheijen FM, Donker GH, Viera CS, et al. : Progesterone receptor, bc 1 -2, and bax expression in meningiomas. J Neurooncol 2002, 56: 35– 41. [1] l Mefty O, Topsakal C, Pravdenkova S, et al. : Radiationinduced meningiomas: clinical, pathological, cytokinetic, and cytogenetic characteristics. J Neurosurg 2004, [2] Bruna, J. , et al. , Ki-67 proliferative index predicts clinical outcome in patients with atypical or anaplastic meningioma. Neuropathology, 2007. [3] Mc. Mullen KP, Stieber VW Meningioma: Current treatment options and future directions. Curr Treat Options Oncol 2004 [4] Modha, A. and P. H. Gutin, Diagnosis and treatment of atypical and anaplastic meningiomas: a review. Neurosurgery, 2005 [5] Weber, D. C. Adjuvant postoperative high-dose radiotherapy for atypical and malignant meningioma: a Phase-II and observation study. 2006 [6] Mendenhall WM, Morris CG, Amdur RJ, et al. : Radiotherapy alone or after subtotal resection for benign skull base meningiomas. Cancer 2003 Weber, D. C. , et al. , Spot-scanning proton radiation therapy for recurrent, residual or untreated intracranial meningiomas. Radiother Oncol, 2004[7] Newton, H. B. , S. R. Scott, and C. Volpi, Hydroxyurea chemotherapy for meningiomas: enlarged cohort with extended follow-up. Br J Neurosurg, 2004 [8] Modha, A. and P. H. Gutin, Diagnosis and treatment of atypical and anaplastic meningiomas: a review. Neurosurgery, 2005 [9]
5ce164c61056fefdf3533b9e0d300b7c.ppt