УЗ-анатомия малого таза.ppt
- Количество слайдов: 68
Матка n матка занимает в полости малого таза центральное положение. Кпереди от нее располагается мочевой пузырь, сзади – прямая кишка n состоит из дна, тела и шейки n в матке различают переднюю пузырную поверхность, заднюю прямокишечную и две боковые поверхности, образующие края матки
Слои матки - наружный – серозный (периметрий) - средний – мышечный (миометрий) - внутренний – слизистый (субмукозный)
Постнатальный период n матка располагается в брюшной полости n в положении невыраженной антеверсии n длина матки 25± 3 мм n передне-задний размер 8— 10 мм n эндометрий под влиянием гормонов матери
Предпубертатный период n располагается у входа в малый таз n длина 2, 5 -3 см n передне-задний размер 1, 5 -1, 6 см n эндометрий 2 -3 мм или не визуализируется
Подростковый период n матка приобретает грушевидную форму n четко определяется угол между телом матки и шейкой матки n эндометрий 8 -10 мм
Соотношение длины тела и шейки матки в зависимости от возраста в 1 год 1 : 2 в 4 года — 1 : 1, 7 в 6— 8 лет — 1: 1, 4 в 9 лет — уже 1: 1 менструальный возраст 2 : 1
Анатомия шейки матки Внутренний зев Наружный зев Канал ШМ Влагалищная часть Надвлагалищная часть Передняя губа Задняя губа Прередняя стенка Задняя стенка Эктоцервикс Эндоцервикс
Строение цервикального канала 1. цервикальный канал 2. крипты шейки матки 3. стенка шейки матки 4. секреторные клетки 1 2 2 3 1 3 4
Яичники у новорожденных n размеры в среднем 15 х5 х3 мм n располагаются в брюшной полости n содержат около 500 000 – 700 000 овоцитов первого порядка, дифференцировка которых заканчивается к концу первого года жизни
Предпубертатный период Яичники к 5— 6 годам достигают малого таза. Развитие фолликулов имеет ациклический и беспорядочный ановуляторный характер n К 7 - 8 годам яичники увеличиваются в размерах до 18 -27 мм. Происходит формирование обратной яичниковогипофизарно-гипоталомической связи n
Подростковый период n завершается развитие репродуктивной системы n Циклические изменения в яичниках
Маточная труба В ней различают воронку - дистальный конец, заканчивающийся фимбриями, ампулу, составляющую 23 длины трубы, узкий участок трубы – перешеек и интрамуральный отдел трубы, прободающий стенку матки
Кровоснабжение матки и яичников ВПА - внутренняя подвздошная артерия МА - маточная артерия ВА - влагалищная ветвь маточной артерии ША - шеечная ветвь маточной артерии ЯА - яичниковая артерия
Гипофизарная зона гипоталамуса Кора головного мозга, гиппокамп, миндалевидное тело Гормонозависимые органы Передняя доля гипофиза Яичники
Морфологические изменения Эндометрия n I фаза: - десквамации и регенерации (1 -3 -4 дни) - пролиферации (4 -14 дни) n II фаза: секреции (15 -28 дни)
Методы УЗИ органов малого таза n Трансабдоминальное сканирование n Внутриполостное сканирование n ЦДК, ЭДК, допплерография n Режим тканевой гармоники n УЗ-гистеросальпингография n Функциональная проба ( с окситоцином) n 3 D-УЗИ
УЗИ огрганов малого таза n Трансабдоминальное сканирование (ТА) n Внутриполостное сканирование- трансвагинальное или трансректральное (TV/TR)
Показания к УЗИ органов малого таза n n n n Наличие объемных образований в полости малого таза Маточные кровотечения Асцит Аменорея Нарушения менструального цикла Бесплодие Боли в животе
Подготовка к исследованию: -в течение трех дней перед исследованием исключение газообразующих продуктов (черный хлеб, овощи, фрукты) -прием ферментных препаратов после каждого приема пищи (холензим по 1 -2 таблетки) -перед транабдоминальным исследованием за час выпить 300 мл жидкости и не мочиться
n Возраст n День менструального цикла или продолжительность менопаузы n Жалобы n Гинекологический анамнез
При проведении УЗИ органов малого таза необходимо оценить: n Топографические особенности органов n Контуры n Размеры n Структуру n Васкуляризацию n Наличие патологических изменений
Трансабдоминальное сканирование n n n Конвексный датчик 3, 5 -5 МГц Проводится при наполненном мочевом пузыре Позволяет оценить анатомические и топографические особенности органов малого таза Возможность визуализации крупных образований в малом тазу, а также высоко расположенных образований Минус-невозможность детальной оценки интересующих объектов
Трансабдоминальное продольное сканирование
Трансабдоминальное продольное сканирование
Трансабдоминальное продольное сканирование
Варианты расположения матки
Трансабдоминальное поперечное сканирование
Трансабдоминальное поперечное сканирование
Трансабдоминальное поперечное сканирование
Трансвагинальное исследование n Полостной датчик 5 -9 МГц n Проводится после опорожнения мочевого пузыря n Значительно увеличивается разрешающая способность исследования n Практически не имеет противопоказаний
Размеры тела матки n Среднестатистические размеры тела матки у девочки, регулярно менструирующей в течение 2 лет, следующие: длина — 42, 4± 1, 4 мм, переднезадний размер — 28, 3± 0, 8 мм. В период менопаузы отмечается инволюция матки.
n Увеличение размеров матки происходит в результате: n Двух или более родов n Беременности n Миоме матки n Диффузных изменениях миометрия матки
n Уменьшение размеров матки или отсутствие ее изображения: n Аномалии развития n Менопауза n Оперативные вмешательства
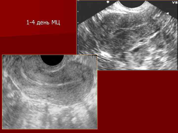
Первая фаза менструального цикла Влияние эстрогенов n М-эхо представлено тремя гиперэхогенными линиями n Эндометрий гипоэхогенный n Увеличение толщины М-эхо n
1 -4 день МЦ
5 -13 день МЦ
14 -16 день МЦ (периовуляторный период)
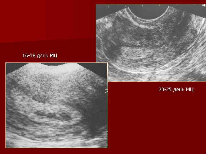
Вторая фаза менструального цикла Влияние прогестинов n Эндометрий гиперэхогенный n К 24 -27 дню толщина эндометрия постепенно снижается до 12 мм n
16 -18 день МЦ 20 -25 день МЦ
Постменопауза М-эхо представлено гиперэхогенной полоской в первые 5 лет менопаузы шириной до 5 мм, в последующем- до 2 мм
Циклические изменения в яичниках ( с 5 по 7 день МЦ) n 5 -10 антральных фолликулов диаметром 2 -6 мм, расположенных преимущественно по периферии яичника
Циклические изменения в яичниках( с 8 по 11 день МЦ) n доминантный фолликул 12 -15 мм в диаметре
Циклические изменения в яичниках ( с 8 по 11 день МЦ)
Циклические изменения в яичниках ( овуляция) n Доминантный фолликул 18 -25 мм ЭДК
Циклические изменения в яичниках (18 -25 день МЦ) - формирование желтого тела ЦДК
УЗ-изображение неизмененной шейки матки -Размеры: Длина до 30 мм Передне-задний размер и ширина до 40 мм -Структура однородная -Эхогенность сопоставима с эхогенностью миометрия -Контуры четкие, ровные -Симметричность шейки матки -ЦДК и ЭДК
М-эхо шейки матки представляет собой изображение цервикального канала (в сомкнутом виде) и эндоцервикса, который является суммарным изображением слизистой оболочки ЦК и подэпителиальных отделов шейки матки, визуализация которых зависит от возрастных особенностей.
Репродуктивный возраст 15 -й день МЦ 18 -й день МЦ
Постменоапуза постменопауза более 5 лет постменопауза менее 5 лет
Кисты эндоцервикса
I фаза менструального цикла Кровоток в маточной артерии n ИР 0, 9 n
II фаза менструального цикла Кровоток в маточной артерии n ИР 0, 8 n
II фаза менструального цикла Кровоток в яичниковой артерии после овуляции
Методы лучевой диагностики -УЗИ: (ТА, TV (TR), ЦДК, УЗИгистероскопия, УЗИ с функциональными пробами, 3 D-УЗИ) -МРТ -КТ -ГСГ
МНОГОСЛОЙНАЯ СПИРАЛЬНАЯ КОМПЬЮТЕРНАЯ ТОМОГРАФИЯ
МНОГОСЛОЙНАЯ СПИРАЛЬНАЯ КОМПЬЮТЕРНАЯ ТОМОГРАФИЯ
МАНИТНО-РЕЗОНАНСНАЯ ТОМОГРАФИЯ
ГИСТЕРАСАЛЬПИНГОНРАФИЯ


