ЛУЧЕВАЯ СЕМИОТИКА ЗАБОЛЕВАНИЙ ЖЕЛУДОЧНО-КИШЕЧНОГО ТРАКТА И ГЕПАТОБИЛИАРНОЙ СИСТЕМЫ
ЛУЧЕВАЯ СЕМИОТИКА ЗАБОЛЕВАНИЙ ЖЕЛУДОЧНО-КИШЕЧНОГО ТРАКТА И ГЕПАТОБИЛИАРНОЙ СИСТЕМЫ Доц. Оборнев А.Л. Кафедра радиологии 2011 Донецкий Национальный медицинский университет
Актуальность: научные исследования свидетельствуют о том, что рак органов пищеварения всегда возникает на патологической основе, на почве предшествующих заболеваний, имеющих обычно воспалительных характер. Поэтому его профилактика должна основываться на ранней диагностике, диспансеризации и эффективном лечении тех состояний, которые можно рассматривать как предопухолевые. Что влечет раннюю инвалидизацию и смертность Цель: определение лучевой семиотики патологии ЖКТ и ГБС и выбор оптимального лучевого метода исследования для ее диагностики.
Методы для исследования ЖКТ. Обзорная рентгенография ОБП. Рентгеноскопия и рентгенография пищевода, желудка, 12-перстной кишки в условиях искусственного контрастирования. Ирригоскопия (ирригография) –толстая кишка. Рентгеноскопия (ирригоскопия) условия двойного контрастирования – для определения эластичности стенки. КТ, МРТ, УЗИ - состояние стенки органа, вовлечение окружающих структур .
Рентген- семиотика заболеваний пищеварительной системы в условиях естественного контрастирования Локализация участков поражения, их количество, структура, характер тенеобразования (тень, просветление) форма, размеры, интенсивность, контуры. ВС – интенсивная тень в проекции ПК. МС – инородное тело
ВС – полукруглые просветления с горизонтальными уровнями тени под ними (чаши Клойбера). МС – переполнение кишки газом и жидкостью при кишечной непроходимости.
ВС – серповидное просветление под куполом диафрагмы МС – свободный газ в брюшной полости при прободении полого органа
ВС - Просветление в проекции желчных путей. МС - Газ при внутренних свищах .
Рентген-семиотика - искусственное контрастирование ВС: общее увеличение тени органа. МС: престенотическое расширение органа, нарушение иннервации. Ахалазия пищевода Мегаколон обтурация опухолью выходного отдела желудка
ВС: ограниченное увеличение тени органа. МС: выпячивание стенки органа - дивертикул Дивертикул 12-перстной кишки
ВС: ограниченное увеличение тени органа. МС: Язва слизистой оболочки – «ниша», грыжа
ВС: изменение рельефа слизистой оболочки : -стойкое контрастное пятно - «ниша» на рельефе -обрыв складок-конвергенция складок МС:- язва слизистой оболочки - рубцевание язвы - опухоль или воспалительная инфильтрация
ВС: общее уменьшение тени органа. МС:- опухолевая инфильтрация; -рубцовые изменения; -гипертонус; -состояние после резекции Рубцовое сужение пищевода после ожога Опухолевая инфильтрация
ВС: ограниченное уменьшение тени органа – дефект наполнения. МС: -опухолевый узел: -инородное тело; - варикозное расширение вен пищевода. Рак пищевода Рак желудка смещение пищевода (указано стрелкой) при праволежащей дуге аорты
ВС: Ограниченное уменьшение тени органа – дефект наполнения Инородное тело- вишня Фиброваскулярный полип Варикозное расширение вен пищевода Диффузный рак пищевода – концентрическое сужение
ВС: Ограниченное уменьшение тени органа – дефект наполнения Циркулярный рак прямой кишки Рак ректосигмоидального перехода
УЗ-диагностика опухоли желудка Сонограмма желудка, поперечный срез. Опухоль желудка – утолщение стенки.
Рентгенологические методы исследования ГБС. Обзорная рентгенография Оральная холецистография В\в холецистография –холеграфия Операционная холангиография Фистулография Чрезкожная чрезпеченочная холецистохолангиография Эндоскопическая ретроградная холангиография Целиакография Портография КТ
ВС – интенсивная тень в проекции ЖП МС – кальцийсодержащий (рентгенпозитивный конкремент). ВС-интенсивная тень в проекции паренхимы печени. МС – обызвествление в паренхиме, в опухоли, эхинококковая киста.
Рентген-семиотика - искусственное контрастирование ВС –ограниченнон уменьшение тени ЖП \ протоков -дефект наполнения (круглый, циркулярный, линейный, неправильной формы) МС- рентгеннегативный камень, объемное образование, стриктура, Разрастание патологической ткани. холецистография холеграфия
В\в холангиохолецистография. ВС –отсутствие тени желчного пузыря МС – агенезия, холецистэктомия , нефункционирующий ЖП. Эндоскопическая ретроградная холангиография
ВС –дислокация тени ЖП. МС – аномалия развития ВС –деформация тени ЖП. МС – аномалия формы Спайки при хроническом холецистите, перихолецистите ВС – общее увеличение тени ЖП. МС – водянка ЖП
Рентген- семиотика - искусственное контрастирование Чрезкожная чрезпеченочная холангиография Конкремент в общем желчном протоке. Дефект наполнения круглой формы.
КТ-семиотика Форма, размеры, положение, контуры печени. Локализация участков поражения, их количество, денсивность (изо-, гипо-, гипер-, гетеро-), форма, размеры, контуры, структура, состояние окружающих органов.
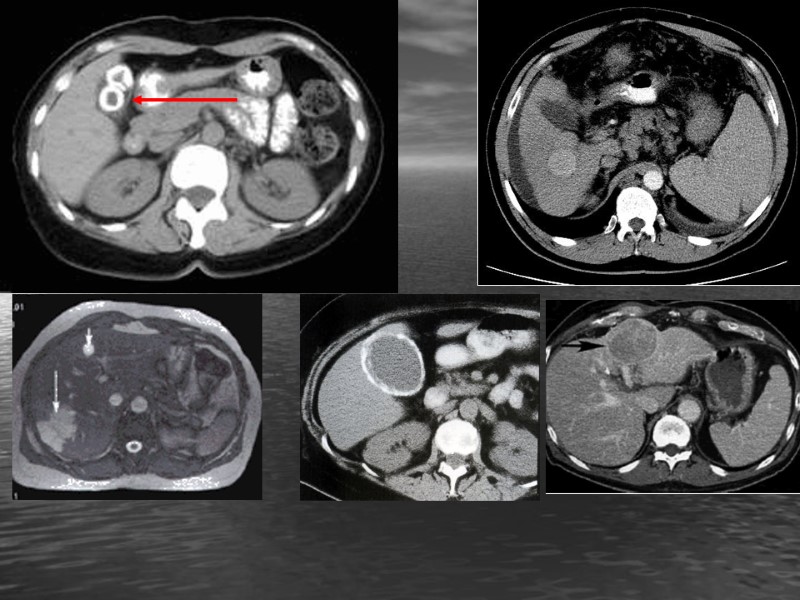
КТ- семиотика ВС – гиперденсивный очаг в проекции печени и или ЖП МС – опухоль, камень (рентгенпозитивный конкремент), метастазы, обызвествление
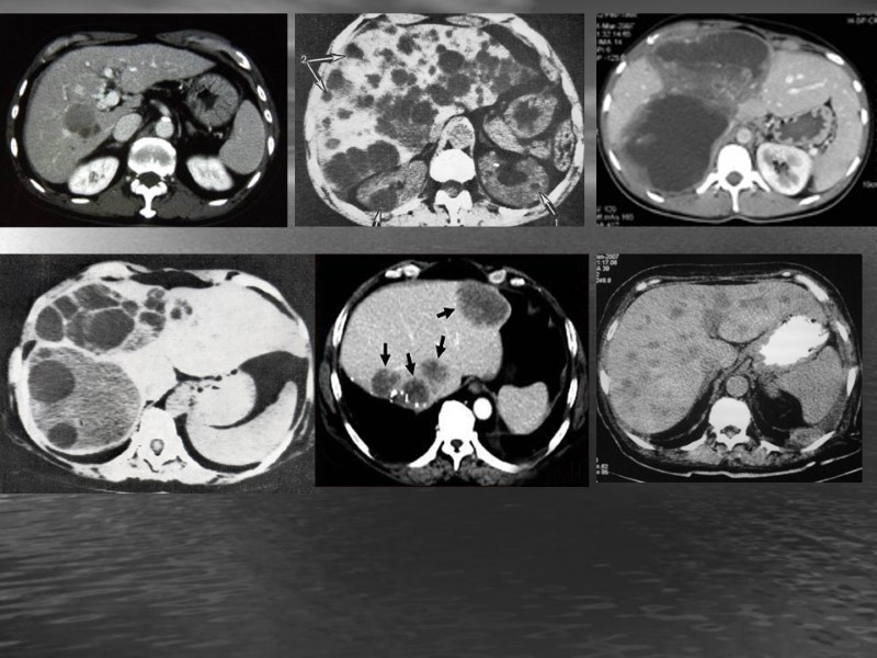
ВС: Гиподенсивный участок в паренхиме или в ЖП МС: опухоль, киста, паразиты (альвеококк, эхинокок), метастазы
Абсцесс печени Круглая или неправильная форма, неоднородная структура, Гиподенсивный очаг(10-20 ед. Н.). После в\в усиления при КТ и МРТ контраст накапливается в области капсулы и около абсцесса.
ВС- увеличение печени МС – воспалительная инфильтрация, жировая дегенерация, гиперплазия
ВС- у м е н ь ш е н и е печени МС – гипоплазия, атрофия , склерозирование паренхимы Уменьшение размеров печени Деформация печени Относительное увеличение размера хвостатой доли Неровность поверхности Плотность паренхимы неоднородна Увеличение селезенки Увеличение диаметра воротной и селезеночной вен Свободная жидкость в брюшной полости
Цирроз - рак Опухоль небольших размеров нечетко дифференцируется п о с л е контрастного усиления НАТИВНАЯ ФАЗА ОТСРОЧЕННАЯ ФАЗА
МРТ-семиотика Форма, размеры, положение, контуры печени. Локализация участков поражения, их количество, интенсивность сигнала (изо-, гипо-, гипер-, гетеро-), структура, форма, размеры, контуры, состояние окружающих органов и тканей.
МРТ-картина печени в норме При Т2 ВИ печень имеет сигнал низкой интенсивности. Печень имеет самое короткое Т1 (время короткой релаксации) среди абдоминальных органов, за счет этого выглядит более яркой (с интенсивностью сигнала выше скелетных мышц и селезенки). Селезенка при Т2 ВИ имеет более высокую интенсивность сигнала относительно печеночной паренхимы. Т2 Уровень кавальных ворот Уровень портальных ворот НПВ ВВ ЖП ПВ
Киста. Т2 и Т1-В/И. Овальное образование с ровными четкими контурами, высоким МР-сигналом в Т2 и низким в Т1-В/И. Т2 ВС: Гипо- или гиперинтенсивный участок в паренхиме МС: Жидкостное образование (абсцесс, киста), разрастание патологической ткани
ВС: Гетероинтенсивный участок в паренхиме МС: опухоль, mts, эхинококковая киста Т2 Эхинококковая киста. Т2 и Т1-В/И. Многокамерная киста с неоднородным содержимым и по контуру – участки отсутствия сигнала
МРТ- Очаговые поражения Аденома печени Образование с пониженным МР-сигналом в Т1-ВИ, повышенным в Т2-В/И и наличием капсулы. Т1 Т2-В/И
МРТ -Очаговые поражения Гепатоцеллюлярный рак Б. Т1-В/И - в/в контраст магневист. Визуализируются внутри-опухолевые перегородки (септы) А.Т1-В/И. Образование правой доли печени с участками некроза.
МРТ -Очаговые поражения Цирроз-рак Гепатоцеллюлярный рак при циррозе. МРТ: Т2, Т1-В/И. КТ
Т1 Диффузное увеличение печени, неоднородность паренхимы, повышение интенсивности сигнала от ткани печени. Т2 ВС: Увеличение печени - МС: Диффузное поражение, гиперплазия, объемное образование ВС: Уменьшение печени - МС: Гипоплазия, атрофия, склерозирование
Т2 Т1 МР-ангиография . Портальная гипертензия. Цирроз печени. Спленомегалия, желудочный варикоз. Цирроз печени Деформация печени, увеличение размеров хвостатой доли, снижение интенсивности сигнала от паренхимы. Спленомегалия. МРТ- диффузные поражения Цирроз печени
Методы лучевой диагностики ГБС. Ультрозвуковые методы исследования. Сонография Цветное допплеровское картирование Энергетическое картирование Импульсная допплерография Уз-ангиография 3Д виртуальная эхоангиография. УЗ- с е м и о т и к а. Форма, размеры, положение, контуры печени, желчного пузыря. Локализация участков поражения, их количество, эхогенность (изо-, гипо-, гипер, ан-, гетеро-), структура, форма, размеры, контуры, эффект дорожки (эхопозитивная, эхонегативная).
ВС- Анэхогенный участок в паренхиме МС – жидкостное образование (киста, абсцесс) Киста печени Абсцесс Многокамерная киста печени
ВС: Нарушение эхоархитектоники печени (гипер-, гипо-, гетеро- эхогенных участков в паренхиме). МС: опухоль, Метастазы, эхиноккоковая киста. Метастазы Гемангиомы Злокачественная опухоль Эхинококковая киста
ВС: Диффузное поражение печени МС: Жировое перерождение ,воспаление, отек паренхимы, разрастание соединительной ткани Острый гепатит Неравномерное понижение эхогенности паренхимы, слабо выраженная неоднородность структуры. Хронический гепатит. Неравномерное повышение эхогенности паренхимы, зернистость структуры, обеднение сосудистого рисунка, без существенного ослабления в глубоких отделах правой доли печени.
УЗ-диагностика портальной гипертензии . Декомпенсированная портальная гипертензия при циррозе печени. Расширение воротной вены. Расширение селезеночной вены. Косое сканирвоание в эпигастральной области. Порто-кавальные анастомозы в воротах печени. Косое сканирование вдоль реберной дуги.
ВС: Гиперэхогенный участок в паренхиме печени, полости желчного пузыря, протоков с эффектом эхонегативной дорожки. МС –Конкремент, обызвествление. . Конкремент ЖП и протоке Обызвествление в паренхиме Опухоль желчного пузыря
ВС: Утолщение стенок ЖП, протоков МС: Склерозрование, отек, опухоль Острый холецистит ВС: Изменение размеров и формы ЖП, протоков МС: Аномалии, воспаление, опухоль
Радионуклидная семиотика заболеваний печени Г е п а т о с ц и н т и г р а ф и я (ГСГ) с 99м Тс –коллоидом . Положение, форма, размеры, контуры печени, селезенки локализация участка (-ов) поражения, их количество, форма, размеры, контуры , степень накопления РФП (обычная, повышенная, пониженная), характер накопления РФП (структура). Норма.
ВС: изменение положения печени МС –дистопия (ненормальное положение печени)
ВС: очаговое снижение накопления РФП - «холодный очаг» (очаги) МС - очаговая патология печени с деструкцией паренхимы –объемное образование (опухоль, метастаз, киста).
Метастазы ВС: очаговое повышение накопления РФП - «горячий очаг» (очаги) МС - очаговая патология печени – объемное образование (опухоль, метастаз, киста, абсцесс).
Полипозиционная гепатосцинтиграмма. Хронический г е п а т и т. Увеличение печени, неоднородность включения РФП. ВС: диффузное поражение печени повышение накопления РФП - «горячий очаг» . МС: воспалительная инфильтрация паренхимы; жировая дегенерация, отек
ВС –диффузное поражение печени со снижением включения РФП, спленомегалия. МС – воспалительная инфильтрация паренхимы; атрофия и склероз паренхимы, активизация МФС селезенки, спленомегалия . Цирроз печени Повышение накопления РФП селезенке, визуализация костей скелета.Деформация печени. Неоднородность включения РФП в печени.
ВС: отсутствие изображения ЖП. МС: нефункционирующий ЖП; аплазия; врожденное отсутствие ЖП; холецистэктомия. ГБСГ. Афункциональная кривая над зоной желчного пузыря (стрелка).
Выбор наиболее информативных методов лучевого исследования пациентов с патологией ГБС Сонография,КТ,МРТ Гепатосцинтиграфия (ГСГ) Гепатобилисцинтиграфия (ГБСГ) УЗД,ГСГ УЗД,холеграфия Холеграфия,сонография, ГБСГ ЧЧХХГ,МР-ХХГ Целиакография портография, контрастная МР-ангиография оценка морфологии органов оценка функции МФС печени желчевыделительная функция печени диагностика диффузных поражений печени диагностика ЖКБ, аномалия развития ЖП оценка моторики ЖП оценка расширенных ЖП оценка системы печеночных сосудов
Во всем надо знать меру! Спасибо за внимание !
9762-obornev_r_semiotics_digestive_system_disease_(1).ppt
- Количество слайдов: 57

