Лучевая диагностика патологии пищевода и желудка

























































ПРЕЗЕНТАЦИЯ КАРТИНКИ ЖЕЛУДОК.ppt
- Количество слайдов: 57
Лучевая диагностика патологии пищевода и желудка
Исследование пищевода: 1) Нормальная анатомия 2)2) Лучевые методы исследования 3)3) Патология пищевода 1. Инородные тела 2. Сужение локальное 3. Сужение диффузное 4. Расширение локальное 5. Расширение диффузное 6. 4) Пластика пищевода
В прямой проекции пищевод проецируется на сердечно-сосудистую тень,
в боковой находится позади сердечно-сосудистой тени
Аортальное сужение пищевода В пищеводе различают 3 отдела Шейный отдел пищевода Начинается на уровне нижнего края глотки Диафрагмальное и заканчивается у верхней апертуры сужение пищевода грудной клетки (Th 1). Длина составляет 5 -8 см. Диафрагма
Аортальное сужение В пищеводе различают 3 отдела пищевода Грудной отдел пищевода Диафрагмальное сужение Расположен в заднем средостении, пищевода начинается на уровне верхнего отверстия грудной клетки и продолжается до диафрагмы, длиной 16 -19 см. Диафрагма
Аортальное сужение В пищеводе различают 3 отдела пищевода Брюшной отдел пищевода Продолжается от уровня диафрагмы до Диафрагмальное дистального отверстия желудка, места сужение впадения в желудок. пищевода Длина этого отдела — 2, 5 -5 см. Диафрагма
Пищевод имеет вид полосы с почти параллельными контурами. Ширина ее зависит от наполнения органа: когда в пищеводе нет содержимого, при прохождении содержимого он спадается до размеров узкого тяжа расширяется до 2 -3 см в поперечнике.
В пищеводе вырисовываются 2 -4 узкие продольные, параллельно идущие складки слизистой, которые нигде не прерываются, ширина их не превышает 2 мм.
Физиологические сужения: 1) от перстневидно-глоточной мышцы 2) от дуги аорты Th 4 2 3) от левого главного бронха 4) на уроне диафрагмы Th 5 3
Пищевод впадает в желудок под острым углом (<90 0) —угол Гисса. Схема рентгенограммы. Угол Гисса.
Исследование пищевода: 1) Нормальная анатомия 2)2) Лучевые методы исследования 3)3) Патология пищевода 1. Инородные тела 2. Сужение локальное 3. Сужение диффузное 4. Расширение локальное 5. Расширение диффузное 6. 4) Пластика пищевода
Стадии контрастирования органов ЖКТ Двойное Рельеф Тугое заполнение контрастирование слизистой
Компьютерная томограмма грудной полости: 1 – дуга аорты; 2 – пищевод; 3 – трахея; 4 – верхняя полая вена; 5 – жировая клетчатка средостения.
Исследование пищевода: 1) Нормальная анатомия 2)2) Лучевые методы исследования 3)3) Патология пищевода 1. Инородные тела 2. Сужение локальное 3. Сужение диффузное 4. Расширение локальное 5. Расширение диффузное 6. 4) Пластика пищевода
Инородное тело в пищеводе
СИНДРОМЫ Диффузное сужение - ожог Локальное сужение - опухоль Диффузное расширение – ахалазия кардии Локальное расширение - дивертикулы
Исследование пищевода: 1) Нормальная анатомия 2)2) Лучевые методы исследования 3)3) Патология пищевода 1. Инородные тела 2. Сужение локальное 3. Сужение диффузное 4. Расширение локальное 5. Расширение диффузное 6. 4) Пластика пищевода
Лейомиома На рентгенограмме определяется дефект наполнения округлой формы, с четкими ровными контурами. Складки слизистой сохранены.
Эндофитная форма рака пищевода Супрастенотическое расширение Сужение пищевода, неровность, изъеденность контуров
Исследование пищевода: 1) Нормальная анатомия 2)2) Лучевые методы исследования 3)3) Патология пищевода 1. Инородные тела 2. Сужение локальное 3. Сужение диффузное 4. Расширение локальное 5. Расширение диффузное 6. 4) Пластика пищевода
Диффузное сужение - ожог Супрастенотическое расширение Стриктура Рубцовая стриктура в средней и нижней 1/3 пищевода с наличием супрастенотического расширения в верхней 1/3
Исследование пищевода: 1) Нормальная анатомия 2)2) Лучевые методы исследования 3)3) Патология пищевода 1. Инородные тела 2. Сужение локальное 3. Сужение диффузное 4. Расширение локальное 5. Расширение диффузное 6. 4) Пластика пищевода
Локальное расширение - дивертикулы Пульсионный Тракционный дивертикул дивертикул
Тракционный эпибронхиальный дивертикул на правой стенке пищевода
Первично тракционный дивертикул, постепенно превратившийся в пульсионный и ослож- нившийся эзофагомедиасти- нальным свищем
На рентгенограмме в верхней трети пищевода определяется локальное расширение просвета округлой формы с четкими ровными контурами, около двух сантиметров в диаметре, равномерно заполненное бариевой взвесью.
! Локальное расширение вследствие грыжи пищеводного отверстия диафрагмы
Исследование пищевода: 1) Нормальная анатомия 2)2) Лучевые методы исследования 3)3) Патология пищевода 1. Инородные тела 2. Сужение локальное 3. Сужение диффузное 4. Расширение локальное 5. Расширение диффузное 6. 4) Пластика пищевода
Обзорная рентгенограмма Контрастирование Ва Равномерное расширение срединной тени вправо чаще наблюдается у детей.
СИМПТОМЫ АХАЛАЗИИ: Р авномерное расширение тени пищевода на всем протяжении и его гипотония.
СИМПТОМЫ АХАЛАЗИИ: Отсутствие газового пузыря желудка.
Диффузное расширение – ахалазия кардии
Исследование пищевода: 1) Нормальная анатомия 2)2) Лучевые методы исследования 3)3) Патология пищевода 1. Инородные тела 2. Сужение локальное 3. Сужение диффузное 4. Расширение локальное 5. Расширение диффузное 6. 4) Пластика пищевода
Толстокишечная пластика пищевода. Загрудинное расположение трансплантанта На рентгенограмме в ретростер- нальном пространстве определя- ется тень полого органа, запол- ненного контрастом, имеющего характерную толстокишечную структуру.
Тонкокишечная пластика пищевода с характерным для тонкого кишечника перистым рельефом слизистой Загрудинное расположение трансплантата.
Тонкокишечная пластика пищевода с характерным для тонкого кишечника перистым рельефом слизистой.
Тонкокишечная подкожная пластика пищевода
Исследование желудка: 1) Нормальная анатомия 2)2) Лучевые методы исследования 3)3) Патология желудка 1. опухоли желудка 2. язвенная болезнь желудка
Рентгенологическая номенклатура отделов желудка. 1 – кардиальный отдел; 2 – свод желудка; 3 – тело желудка; 4 – синус; 5 – антральный отдел; 6 – привратник; 7 – луковица дпк; 8 – малая кривизна желудка; 9 – большая кривизна желудка; 10 –
Отделы двенадцатиперстной кишки: 1– луковица, 2 – верхняя горизонтальная часть, 3 – нисходящая часть, 4 – нижняя горизонтальная часть, 5 – восходящая часть, 6 – двенадцатиперстно- тощий изгиб.
Исследование желудка: 1) Нормальная анатомия 2)2) Лучевые методы исследования 3)3) Патология желудка 1. опухоли желудка 2. язвенная болезнь желудка
1 – печень, 2 – желудок, 3 – селезенка, 4 – толстая кишка
Складки слизистой оболочки при исследовании в естественных условиях (без наполнения желудка жидкостью).
Антральный отдел желудка после приема жидкости. Стрелками отмечена перистальтическая волна.
Исследование желудка: 1) Нормальная анатомия 2)2) Лучевые методы исследования 3)3) Патология желудка 1. опухоли желудка 2. язвенная болезнь желудка
1 2 Локальное сужение желудка: (I) эндофитный рак; (II) экзофитный рак.
Диффузное сужение желудка при инфильтративном раке: 1 – опухолевая инфильтрация стенки желудка, 2 – суженная полость;
1 2 Экзофитное образование в желудке: (I) аденоматозный полип: 1 – полость желудка, 2 – полип; (II) экзофитный рак: 1 – опухоль, 2 – полость желудка.
Исследование желудка: 1) Нормальная анатомия 2)2) Лучевые методы исследования 3)3) Патология желудка 1. опухоли желудка 2. язвенная болезнь желудка
Ниша на контуре
Ниша на контуре
Депо на рельефе
1 2 Ниши при язве желудка (продольное сечение): (I) острая язва; (II) хроническая каллезная язва: 1 – язвенный кратер; 2 – края язвы.
Осложнение ЯБЖ Диффузное расширение желудка вследствие рубцового стеноза привратника
Газ под куполом диафрагмы - перфорация полого органа
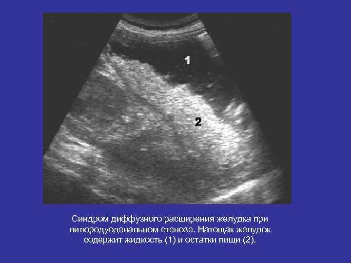
Синдром диффузного расширения желудка при пилородуоденальном стенозе. Натощак желудок содержит жидкость (1) и остатки пищи (2).

