048eb7fd7af97cecd80bdc270da207fc.ppt
- Количество слайдов: 85
LES INFECTIONS OPPORTUNISTES DR Hélène BUKURU/Pédiatre 1
ANECCA African Network for the Care of Children Affected by AIDS Unité 1 Infections Courantes
ANECCA African Network for the Care of Children Affected by AIDS Introduction Les infections qui compliquent la maladie à VIH chez les enfants comprennent Infections couramment observées chez les enfants noninfectés par le VIH Infections opportunistes Rares chez les enfants séronégatifs Plus fréquentes avec la progression du déficit immunitaire. 3
ANECCA African Network for the Care of Children Affected by AIDS Infections Courantes chez les Enfants Infectés et non Infectés par le VIH Pneumonie Paludisme Otite moyenne IVRS(angines) Septicémies Meningites Diarrhée Rougeole Infections cutanées (impetigo, cellulites, abcès, mycoses) 4
ANECCA African Network for the Care of Children Affected by AIDS Characteristiques des infections chez les enfants infectés par le VIH Infections chez les enfants infectés par le VIH sont: Essentiellement causées par les mêmes germes qui sont à l’ origine des infections chez les enfants non infectés par le VIH Recurrentes Plus sévères de Longue durée d’ évolution Ont une Mortalité élevée 5
ANECCA African Network for the Care of Children Affected by AIDS Infections Courantes chez les enfants infectés par le VIH: Infections réspiratoires Les infections respiratoires sont les causes les plus courantes d’hospitalisations Etiologies fréquentes de la pneumonie S. pneumoniae, H. influenzae, Salmonella non-typhique et S. aureus Ces maladies sont aussi les causes courantes de bactérémies et méningites chez les enfants infectés par le VIH. Le traitement est le même que chez les enfants séronégatifs mais la durée pourrait être plus longue Prévention Cotrimoxazole (CTX) Vaccination (Hi. B, Pneumocoque 6
ANECCA African Network for the Care of Children Affected by AIDS Infections Courantes chez les enfants infectés par le VIH: diarrhées La diarrhée aigue, persistante et chronique est une cause importante de morbidité chez les enfants vivant avec le VIH Etiologies comprennent les germes courament observés chez les enfants sans VIH ainsi que les pathogènes opportunistes Rotavirus E coli Salmonelle Candidose Cryptosporidies Microsporidies Cytomégalovirus (CMV) Virus d’Herpès simplex (HSV) Diarrhée souvent compliquée de malnutrition Prise en charge doit suivre les directives de la PCIME Prévention comporte l’ usage de l’ eau propre et du CTX en prophylacxie 7
ANECCA African Network for the Care of Children Affected by AIDS Rougeole La rougeole est une maladie grave chez les enfants infectés par le VIH, particulièrement ceux qui ont une immunodéficience avancée Peut survenir au cours de la première enfance avant la période habituelle de vaccination Peut se présenter sans le rash typique et peut être compliquée de pneumonie ou d’encéphalite. Taux élevé de mortalité , elle devrait être traitée à l’hôpital. La prévention par la vaccination 8
ANECCA African Network for the Care of Children Affected by AIDS Septicémie et Méningite Fièvre peut être l’unique sypmtôme d’appel d’une infection bactérienne sévère Enfants infectés par le VIH avec fièvre nécessitent évaluation attentive clinique et biologique pour identifier la cause de la fièvre , et un suivi serré Traitement devrait suivre les directives locales Echec de traitement plus fréquents. Prevention: vaccination (Hib, pneumocoque) 9
ANECCA African Network for the Care of Children Affected by AIDS Infections de la peau Bacteriennes - impetigo, cellulites, abcès. Infections mycosiques cutanées sont plus fréquentes , extensives et plus difficiles à traiter que chez les enfants sans déficit immunitaire. Virale - molluscum contagiosum. Parasites - gales 10
ANECCA African Network for the Care of Children Affected by AIDS Abcès multiples de la peau Photo courtesy of Israel Kalyesubula 11
ANECCA African Network for the Care of Children Affected by AIDS Molluscum contagiosum sévère recouvrant les yeux Photo courtesy of Israel Kalyesubula 12
ANECCA African Network for the Care of Children Affected by AIDS RESUME Caracteristiques des infections courantes de l’ enfance chez les enfants infectés par le VIH: Même Pathogènes que pour les enfants non infectés par le VIH Maladie Sévère Récurrence Taux de mortalité plus élevé 13
ANECCA African Network for the Care of Children Affected by AIDS INFECTIONS OPPORTUNISTES 14
Infection Opportunistes Définition: Ce sont des infections causées par des microorganismes qui n’auraient pas causé d’infections chez des personnes immuno compétentes Les personnes vivant avec le VIH sont particulièrement scusceptibles aux IOs dues à: • Suppression de leur système immunitaire • Stress Psychologique, qui peut influencer le système immunitaire • Déterioration de l’état nutritionnel 15
Infection Opportunistes La prévalence et la gravité des infections opportunistes augmentent avec la progression de la maladie à VIH Sont souvent de localisation occulte Sont dues aux organismes inhabituels Sont de Présentation inhabituelle 16
Infections Opportunistes Respiratoire Tuberculose Pneumonie à Pneumocystis jirovecii (carinii) SNC Méningite à Cryptocoque Toxoplasma gondii, virus de l’ Herpes simplex Cytomégalovirus peau, tissus mous et membranes Candidose Orale Virus de l’ Herpes simplex Zona 17
TB: Epidemiologie La TB et le VIH coexistent en général; 12 - 60 % d’enfants avec un diagnostic de tuberculose ont aussi une infection à VIH Les enfants infectés par le VIH ont entre 5 -10 fois plus de probabilité de développer la tuberculose Les enfants ayant une double infection de TB et VIH ont 4 fois plus de probabilité de mourir que ceux ayant la TB seulement 18
TB: Pathogénie Chez les enfants, la tuberculose est souvent une TB primaire La maladie réactivée/post-primaire pourrait survenir chez les enfants âgés Les formes graves et la maladie disséminée sont plus courantes surtout chez les enfants <5 ans VIH-1 augmente la probabilité de passage de l’ infection à la maladie tuberculeuse Réactions immunitaires spécifiques inadéquates Déficits en CD 4, production de cytokine et fonction macrophage. 19
TB: Diagnostic de la tuberculose chez les enfants difficile car la forme la plus courante présente un frottis négatif pour la tuberculose Enfants < 8 ans toussent rarement jusqu’au crachat Sauf si elle est faite par aspiration gastrique, la bactériologie souvent impossible Critères de diagnostic utiles Maladie > 4 semaines (pas de réaction aux antibiotiques à large spectre) Perte de poids (en dépit du soutien nutritionnel) Histoire familiale de tuberculose pulmonaire à crachat positif pour le BK Histoire familiale d’infection à VIH Test de Mantoux positif 20
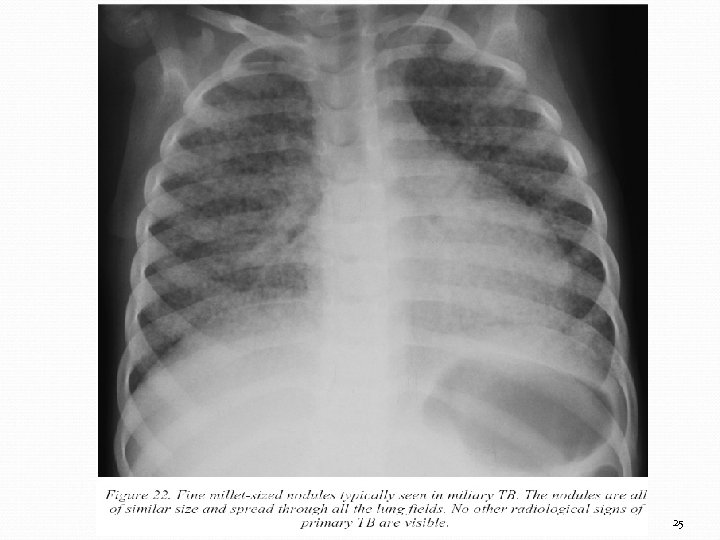
Diagnostic Test à la tuberculine (positif dans 0 -30%) Radiographie utile dans les cas de suspicion de TB pulmonaire ou miliaire Diagnostic microbiologique Frottis d’aspirations gastriques, crachat induit, LCR ou autres liquides corporels (immunofluorescence plus sensible) Cultures (milieu L-J, système bactec ~ 2 semaines) Diagnostic histologique Techniques moléculaires (PCR, Sérologie) 21
ANECCA African Network for the Care of Children Affected by AIDS crachat coloré au Z-N montrant de nombreux BAAR 22
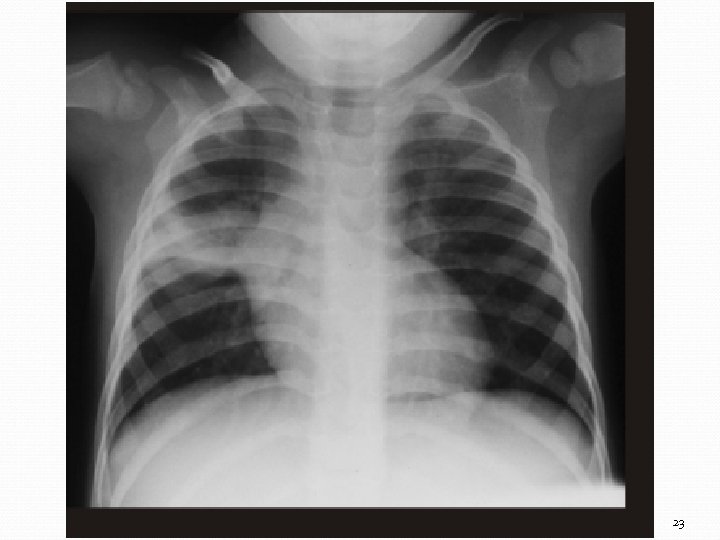
Complexe primaire avec une consolidation- atéletasie ségmentaire au sommet du lobe supérieur droit 23
24
25
Diagnostic Différentiel Diagnostic différentiel Pneumonie bactérienne PPC LIP Maladies chroniques des voies de respiration inférieures Asthme Bronchectasies 26
Traitement CFR DIR NAT TTT TB AU BDI. Ajouter prednisone (2 mg/kg/1 F/j x 2 - 4 semaines) dans TB Méningée, TB miliare, pleuresie massive et péricardite 27
Chimioprophylaxie TB VOIR DIR NAT TTT TB AU BDI. 28
Pneumonie à Pneumocystis
Pneumonie à Pneumocystis Causée par un champignon, Pneumocystis jiroveci*, trouvé couramment dans l’environnement L’infection primaire survient dans l’enfance; 90% séropositifs vers l’ age de 4 ans Survenue au cours de la période pré-SIDA, chez les prématurés; les enfants débilités, ceux ayant un déficit immunitaire congénital; enfants sous immunosuppresseurs Cause majeure de morbidité et de mortalité chez les enfants infectés par le VIH Plus courante en-dessous de l’ age de 1 an et chez les enfants gravement immunodéprimés 30
Pneumonie à Pneumocystis Présentation clinique: Généralement moins de 1 année Tachypnée Dyspnée Fièvre modérée ou sans fièvre Toux Hypoxémie (pa. O 2 < 90%) 31
Investigations Diagnostic habituellement fait sur suspicion clinique Les supports diagnostiques comportent : Radio: hyperaération, infiltrats diffus ou peut être normale Induction de crachat avec aspirations nasopharyngées, coloré à l’argent ou en immunofluorescence Lavage bronchoalvéolaire coloré comme ci-haut 32
Pneumonie à Pneumocystis jirovecii Coloration en nitrate d’argent Coloration en Immunofluorescence 33
Prise en charge De soutien oxygène/ventilation artificielle Maintenir et surveiller la réhydratation Soutien nutritionnel Continuer le traitement contre la pneumonie d’origine bactérienne 34
PCP - Specific Traitement Cotrimoxazole Pentamidine Dapsone Durée: 2 -3 semaines Ajouter prednisone 2 mg/kg pendant 7 -14 jours chez les enfants gravement malades 35
Prophylaxie PCP Qui devrait reçevoir la prophylaxie ? Tous les enfants nés de mères infectées par le VIH à partir de 4 -6 semaines d’ age (jusqu’à ce que le VIH soit exclu) TOUS les enfants infectés par le VIH sans considération du statut immunologique ou de l’âge 36
Traitement Prophylactique Cotrimoxazole OU Dapsone 37
RESUME Prophylaxie est recommendée dans les cas suivants: Tous les nourrissons exposés jusqu’à ce que l’infection à VIH soit exclue TOUS les enfants infectés par le VIH Tous les enfants avec un diagnostic présumé d’infection à VIH jusqu’à ce que l’infection à VIH soit exclue 38
Candidose La candidose orale est prédictive de l’infection à VIH Si observée après la période néonatale sans traitement antibiotique préalable Si elle dure pendant plus de 30 jours Si elle est récurrente. La candidose oropharyngée est associée aux difficultés d’alimentation ou des douleurs au cours de la déglutition La candidose de l’œsophage est diagnostiquée par endoscopie, culture ou au moyen de la déglutition de la baryte 39
ANECCA African Network for the Care of Children Affected by AIDS Candidose oropharyngée sévère Photo courtesy of Israel Kalyesubula 40
Candidose de l’oesophage provoque une dysphagie douloureuse Il en résulte des apports par voie oral inadéquats, avec comme conséquence: Déshydratation, malnutrition et décès Traitement: Traitements locaux Fluconazole Ketoconazole 41
Cryptocoque Il est moins fréquent chez les enfants que chez les adultes Est un indicateur d’une immunodéficience sévère Il se présente comme une méningoencephalite lentement évolutive avec fièvre, céphalées , convulsions et altération de l’ état mental 42
méningite à Cryptocoque cellule de levure bourgeonnante à la coloration de l’ encre de chine du LCR 43
Diagnostic Coloration du LCR à l’encre de Chine. Recherche des antigènes de cryptocoques (CRAG) dans le LCR et le sang 44
Méningite à Cryptocoque - Traitement initial Amphotéricine B 0. 7 -1 mg/kg durant 14 jours après, Fluconazole 3 -6 mg/kg en 1 F/J X 8 semaines Traitement de maintenance (prophylaxie secondaire) Fluconazole 3 mg/kg 1 F/j pour toute la vie 45
Méningite à Criptoccoque Même s’il n’y a pas de recommandations spécifiques pour la prophylaxie, les enfants ayant une histoire de cryptoccoque devraient bénéficier d’une chimioprophylaxie à vie pour prévenir la récurrence. Chez les adultes avec une restauration immunitaire, il est possible d’arrêter la prophylaxie. Il n’y a pas d’études sur lesquelles se baser pour arrêter la prophylaxie secondaire chez les enfants ayant une restauration immunitaire. 46
Toxoplasmose Il se présente sous 2 formes majeures: Toxoplasmose congénitale – typiquement maladie diffuse Toxoplasmose cérébrale acquise. Est rare et est similaire à l’ adulte 47
Toxoplasmose Congenitale Similaire cliniquement à la toxoplasmose chez les enfants non-infectés par le VIH Hépatosplénomégalie Fièvre Choriorétinite convulsions Calcifications périventriculaire Lésions hypodenses avec agrandissement de l’anneau 48
toxoplasmose cérébrale acquise Signes neurologiques récents signes neurologiques localisés La presentation initiale est plus diffuse que localisée Fièvre convulsions. 49
Diagnostic Anticorps anti toxoplasme (Ig. M) Image cerveau (des lésions s’élargissant en anneau sur IRM) La réaction au traitement empirique est le moyen le plus pratique de faire un diagnostic 50
Toxoplasmose Tomodensitométrie cérébrale montrant des lésions marquées en forme d’anneau dans le 51
Toxoplasmose - Traitement Fansidar Pyrimethamine 2 mg/Kg/jour; durant 2 jours maximum 25 mg, après 1 mg/kg en 1 F trois fois par semaine jusque 1 -2 semaines après résolution des syptômes. Sulphadiazine 50 mg/kg toutes les 12 h durant 6 semaines plus acide folinique 5 -20 mg 3 fois par semaine 52
Toxoplasmose: prophylaxie Qui devrait reçevoir la prophylaxie? Tous les enfants infectés par le VIH devraient être sous cotrimoxazole prophylactique qui couvre efficacement T. gondii Régime prophylactique Cotrimoxazole (triméthoprime sulphaméthoxazole) 53
Virus de l’Herpes Simplex Types 1 & 2 Infection néonatale habituellement disséminée avec un taux de fatalité élevé SNC Peau Infection oro-labiale (gingivostomatite) se présente avec fièvre, irritabilité, ulcérations superficielles douloureuses de la peau et muqueuses. Chez les enfants infectés par le VIH, elle est extensive pouvant atteindre la muqueuse oesophagienne provoquant des difficultés pour avaler. Encéphalite (>95% type 1) Récurrence fréquente Gastrointestinal 54
Diagnostic de VHS Diagnostic clinique basé sur l’ aspect typique des vésicules et des ulcérations buccales Isolement du virus (culture/PCR) Augmentation dans le sérum des titres d’anticorps du VHS et augmentation de la concentration d’anticorps de VHS dans le LCR par rapport au sérum Coloration en immunofluorescence des fluides 55
ANECCA African Network for the Care of Children Affected by AIDS Les ulcérations dues à Herpes simplex sur la langue et les lèvres Photo courtesy of Israel 56
ANECCA Fillette de 5 ans avec Herpes African Network for the Care of Children Affected by AIDS simplex vulvaire extensive (génitale) Photo courtesy of Israel Kalyesubula 57
HSV Types 1 & 2 Traitement Acyclovir IV 58
Virus de la Varicelle-Zona Varicelle Peut être létale chez les enfants infectés par le VIH La durée est plus longue que chez les autres enfants Zona Distribution dermatologique typique de l’ éruption Chez les enfants infectés par le VIH, l’éruption peut s’étaler plus loin que les limites du dermatome, bilaterale ou généralisé. Peut causer une maladie disséminée Encéphalite comme complication la plus probable 59
Varicelle Sévère Photo courtesy of Israel Kalyesubula 60
ANECCA Zona à droite sur les dermatomes T 12, L 1, L 2 African Network for the Care of Children Affected by AIDS Photo courtesy of Israel Kalyesubula 61
Traitement du Zona Acyclovir IV Soulager la douleur, Prévention des surinfections 62
Zona – prévention(suite) Les enfants ayant été exposés à la varicelle peuvent bénéficier d’une prophylaxie utilisant les immunoglobulines durant les 48 -96 heures de l’exposition 63
Prévention des Infections Opportunistes Strategies Générales pour la prévention des IOs. Chimioprophylaxie CTX pour PCP, toxoplasmose, autres infections INH pour la tuberculose Vaccination Moustiquaires imprégnées d’insecticides (MII) Eau propre et l’ hygiène de base à la maison 64
Vaccination Donner la vaccination selon le programme national de vaccination Rougeole – 1ère dose à 6 mois puis répéter à 12 mois syptomatique ou non Vaccins BCG et Fièvre Jaune sont contre indiqués en cas de SIDA Administrer vaccin anti pneumocoque Autres vaccins recommendés Hépatite A Eviter les occasions manquées de vacciner pour les enfants malades infectés par le VIH 65
Chimioprophylaxie L’objectif de la chimioprophylaxie contre les agents opportunistes comporte: Prévention primaire : prévention du premier épisode EX. CTX pour PCP Prévention sécondaire : prévention des rechutes après un premièr épisode d’une infection opportuniste Ex. CTX pour PCP, toxoplasmose, Fluconazole pour Cryptocoque. 66
Résumé Infections opportunistes chez les enfants infectés par le VIH: Présentation occulte avec des signes nonlocalisants Présentation atypique Organismes inhabituels Souvent difficile et cher à traiter La chimioprophylaxie réduit la morbidité et la mortalité 67
Pneumonie Interstitielle Lymphoïde Une maladie inflammatoire chronique du poumon Souvent associée à une parotidite bilatérale Courant chez les grands enfants qui sont des progresseurs lents Peut être confondue avec la TB pulmonaire Se présente avec une toux chronique, épisodes de détresse respiratoire, cyanose, hippocratisme digital et radio anormale 68
Pneumonie Interstitielle Lymphoïde Traitement: ARVs Pour ceux qui se présentent avec une détresse respiratoire, ajouter des corticoides pour 1 -2 mois et Bronchodilateurs 69
Aspect Rx du poumon dans LIP 70
Gros doigts avec hippocratisme digital dans LIP Photo courtesy of Israel Kalyesubula 71
Grosses glandes parotides bilaterales non douloureux Photo courtesy of Israel Kalyesubula 72
Grosse parotide Habituellement bilaterale Courant chez les enfants qui progressent lentement Peut être associée à la pneumonie interstitielle lymphoïde (LIP) Une sur-infection demande des antibiotiques et des analgésiques Chirurgie non indispensable 73
Sarcome de Kaposi Rare chez les enfants Peut se présenter précocemnt, au cours du premier mois de la vie Se présente comme une lymphadénopathie généralisée et / ou des lésions cutanéomuqueuses noir- pourpre (peau, oeil, bouche) Peut être disséminée atteignant des organes viscérauxls ( poumonx , cerveau, tractus gastrointestinal) Diagnostic par biopsie Traitement: Chimiothérapie + ARVs 74
Photo courtesy of Israel Kalyesubula Sarcome de Kaposi disseminé avec lymphoedeme diffuse 75
ANECCA African Network for the Care of Children Affected by AIDS Lesions sarcomateuses de Kaposi de la peau, palais et conjonctive Photo courtesy of Israel Kalyesubula 76
Encéphalopathie à VIH Survient dans ~20% Se présente comme un retard /régression des acquisitions pyschomotrices Le diagnostic est clinique (au moins 2 de ce qui suit) Echec à atteindre ou perte des acquisitions défaut de croissance du cerveau ou microcéphalie acquise Déficits moteurs symétriques acquis La prise en charge de soutien 77
Manifestations de la Peau Les manifesations de la peau les plus courantes du VIH/SIDA chez les enfants sont : Une dermatite généralisée prurigineuse nonspécifique. Molluscum contagiosum Verrues planes Traitements selon les recommandations locales 78
dermatite non-spécifique Avec surinfection Photo courtesy of Israel Kalyesubula 79
Lesions de verrues planesverruca plana Lesions of Photo courtesy of Israel Kalyesubula 80
Problèmes Hématologiques L’anémie est une maladie courante chez les enfants infectés par le VIH et contribue de façon significative à la morbidité. La prévalence de l’anémie chez les nourrissons infectés par le VIH est déterminée par la prévalence d’autres maladies qui causent l’anémie malnutrition, malaria et infections helminthiques La thrombocytopénie peut survenir avec des tendances au saignement Traitement: nutritionnel, vitamines, produits antianémiques et le sang selon les besoins 81
ANECCA African Network for the Care of Children Affected by AIDS Co-infection VIH-Hépatite. B Causé par le virus de l’hépatite B Son marquer sérologique est Ag HBs Evolue sous forme chronique peu asymptomatique Risque de cirrhose et de cancer du foie après plusieurs années d’évolution Contamination survient à la naissance ou cours de la petite enfance chez les enfants non vaccinés vivant dans l’entourage d’un porteur chronique Même mode de transmission que le VIH La co-infection aggrave le pronostic de l’HB 82
ANECCA African Network for the Care of Children Affected by AIDS Diagnostic Mise en évidence de l’Ag. HBs dans le sang de l’enfant Hépatite aigue: fièvre, ictère, nausées Hépatite chronique: asymptomatique Biologie: aug des transaminases lors de la phase aigue Dans les formes chronique: l’augmentation des transa traduit une réaction immunitaire contre le VHBdonc une évolution vers l’hépatite active 83
ANECCA African Network for the Care of Children Affected by AIDS PEC Prévention: dépistage chez la mère, vaccination du bébé à la naissance dans les 24 h après la naissance couplée au gammaglobulines Traitement: Ø 3 TC et TDF, Ø ARV § Surveillance : transa 1 à 2 fois par an 84
Conclusion La prévention des infections opportunistes est une composante cruciale de la prise en charge 85
048eb7fd7af97cecd80bdc270da207fc.ppt