39. ЛД заболеваний ЖВС.ppt
- Количество слайдов: 25
ЛЕКЦИЯ 39 Лучевая диагностика заболеваний желчевыделительной системы.
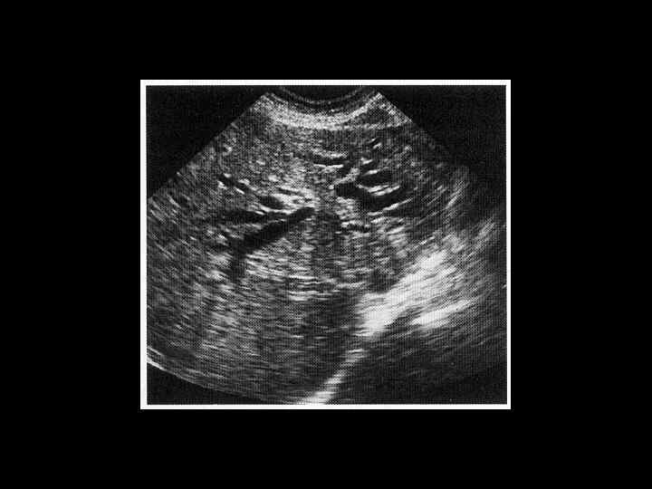
АКТУАЛЬНЫЕ ВОПРОСЫ РЕНТГЕНОЛОГИИ ЛУЧЕВАЯ ДИАГНОСТИКА ЗАБОЛЕВАНИЙ ЖЕЛЧЕВЫДЕЛИТЕЛЬНОЙ СИСТЕМЫ Желчекаменная болезнь УЗ семиотика
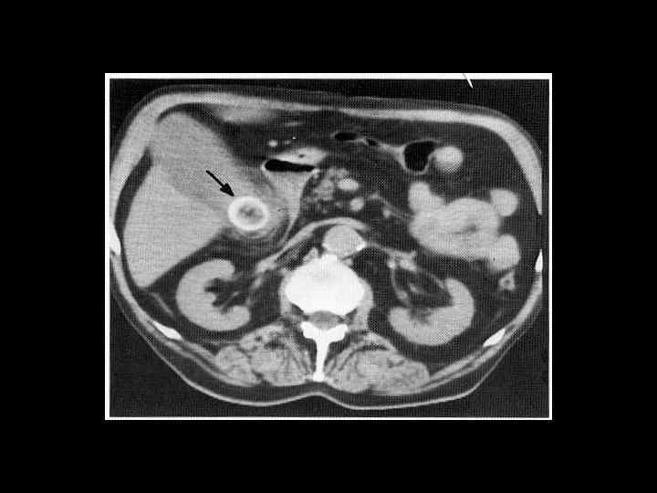
АКТУАЛЬНЫЕ ВОПРОСЫ РЕНТГЕНОЛОГИИ ЛУЧЕВАЯ ДИАГНОСТИКА ЗАБОЛЕВАНИЙ ЖЕЛЧЕВЫДЕЛИТЕЛЬНОЙ СИСТЕМЫ Желчекаменная болезнь КТ семиотика
АКТУАЛЬНЫЕ ВОПРОСЫ РЕНТГЕНОЛОГИИ ЛУЧЕВАЯ ДИАГНОСТИКА ЗАБОЛЕВАНИЙ ЖЕЛЧЕВЫДЕЛИТЕЛЬНОЙ СИСТЕМЫ Желчекаменная болезнь МР семиотика
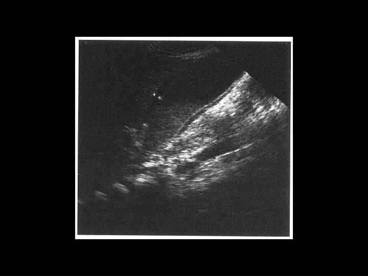
АКТУАЛЬНЫЕ ВОПРОСЫ РЕНТГЕНОЛОГИИ ЛУЧЕВАЯ ДИАГНОСТИКА ЗАБОЛЕВАНИЙ ЖЕЛЧЕВЫДЕЛИТЕЛЬНОЙ СИСТЕМЫ Острый и хронический холецистит УЗ семиотика
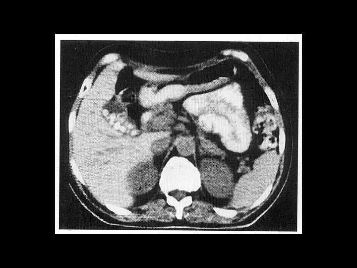
АКТУАЛЬНЫЕ ВОПРОСЫ РЕНТГЕНОЛОГИИ ЛУЧЕВАЯ ДИАГНОСТИКА ЗАБОЛЕВАНИЙ ЖЕЛЧЕВЫДЕЛИТЕЛЬНОЙ СИСТЕМЫ Острый и хронический холецистит КТ семиотика
АКТУАЛЬНЫЕ ВОПРОСЫ РЕНТГЕНОЛОГИИ ЛУЧЕВАЯ ДИАГНОСТИКА ЗАБОЛЕВАНИЙ ЖЕЛЧЕВЫДЕЛИТЕЛЬНОЙ СИСТЕМЫ Гиперпластические холецистозы УЗ семиотика
АКТУАЛЬНЫЕ ВОПРОСЫ РЕНТГЕНОЛОГИИ ЛУЧЕВАЯ ДИАГНОСТИКА ЗАБОЛЕВАНИЙ ЖЕЛЧЕВЫДЕЛИТЕЛЬНОЙ СИСТЕМЫ Карциномы желчного пузыря и желчного протока УЗ семиотика
АКТУАЛЬНЫЕ ВОПРОСЫ РЕНТГЕНОЛОГИИ ЛУЧЕВАЯ ДИАГНОСТИКА ЗАБОЛЕВАНИЙ ЖЕЛЧЕВЫДЕЛИТЕЛЬНОЙ СИСТЕМЫ Карциномы желчного пузыря и желчного протока КТ семиотика
39. ЛД заболеваний ЖВС.ppt