37-38. ЛД очаговых пораж.печени.ppt
- Количество слайдов: 76
ЛЕКЦИЯ 37 -38 Лучевая диагностика очаговых поражений печени
АКТУАЛЬНЫЕ ВОПРОСЫ РЕНТГЕНОЛОГИИ ЛУЧЕВАЯ ДИАГНОСТИКА ОЧАГОВЫХ ПОРАЖЕНИЙ ПЕЧЕНИ Классификация очаговых поражений печени: I. Доброкачественные 1. Доброкачественные опухоли а) кавернозная гемангиома б) аденома в) узловая гиперплазия II. Злокачественные 1. Гепатоцеллюлярный рак (гепатома) 2. Метастазы злокачественных опухолей
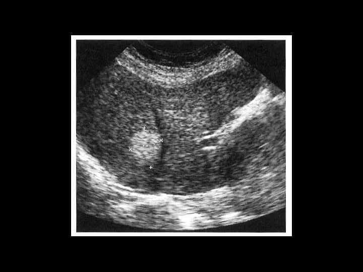
АКТУАЛЬНЫЕ ВОПРОСЫ РЕНТГЕНОЛОГИИ ЛУЧЕВАЯ ДИАГНОСТИКА ОЧАГОВЫХ ПОРАЖЕНИЙ ПЕЧЕНИ КАВЕРНОЗНАЯ ГЕМАНГИОМА Ультразвуковая семиотика: - гиперэхогенное образование округлой или овальной формы - с четкими контурами - однородной структурой
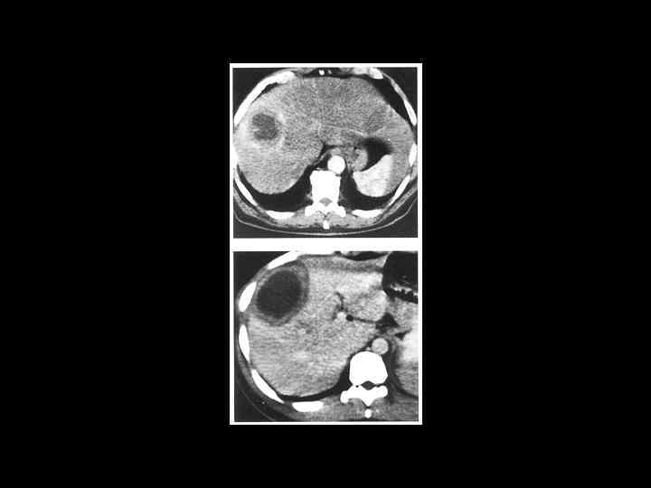
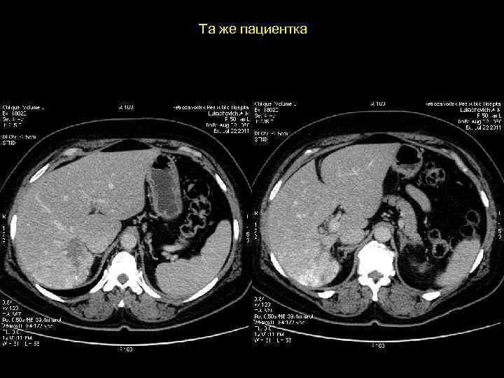
АКТУАЛЬНЫЕ ВОПРОСЫ РЕНТГЕНОЛОГИИ ЛУЧЕВАЯ ДИАГНОСТИКА ОЧАГОВЫХ ПОРАЖЕНИЙ ПЕЧЕНИ КАВЕРНОЗНАЯ ГЕМАНГИОМА Компьютерно-томографическая семиотика: - ограниченный участок пониженой плотности (до 50 -30 ед Н) - границы могут быть ровными, но нечеткими - после введения РКВ - характерный феномен усиления плотности от периферии к центру в течении нескольких минут после внутривенного введения РКВ
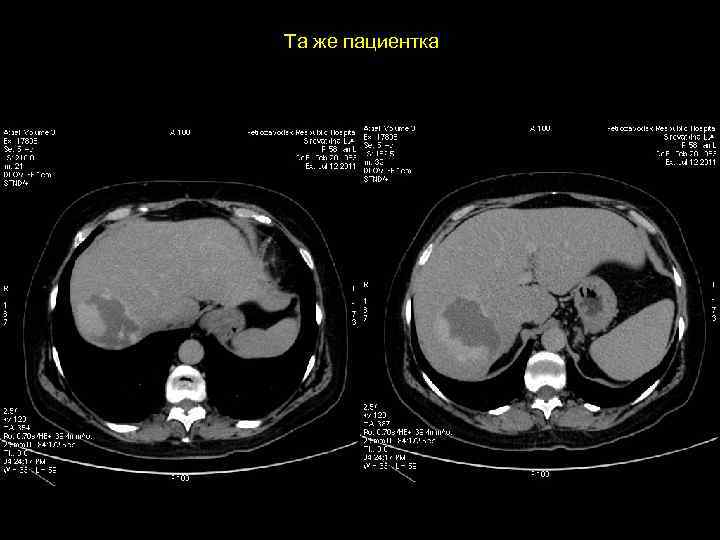
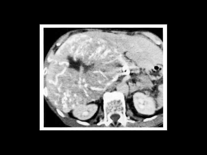
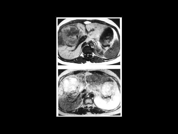
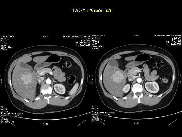
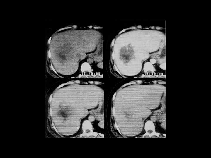
Клиническое наблюдение. Пациентка С. , 1953 г. р.
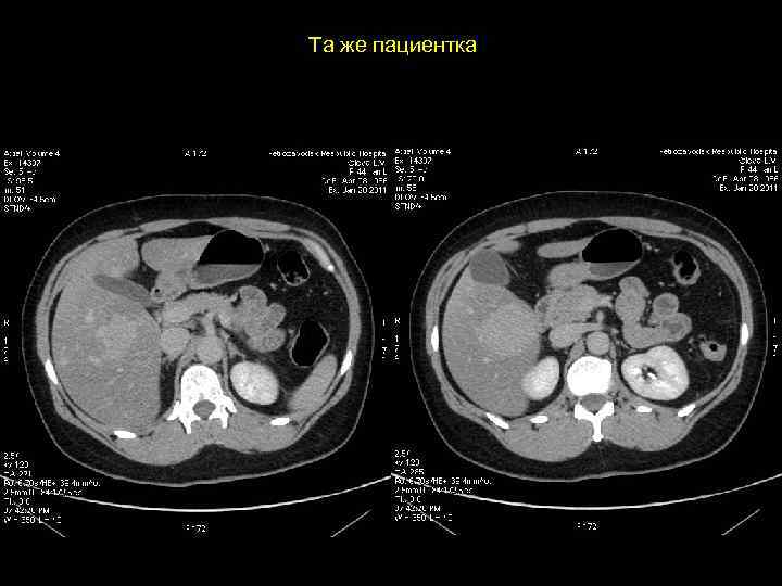
Та же пациентка
Та же пациентка
АКТУАЛЬНЫЕ ВОПРОСЫ РЕНТГЕНОЛОГИИ ЛУЧЕВАЯ ДИАГНОСТИКА ОЧАГОВЫХ ПОРАЖЕНИЙ ПЕЧЕНИ Кавернозная гемангиома печени МР- семиотика: - образование с гиперинтенсивным сигналом на Т-2 взвешенном изображении -после введения контрастного вещества- динамика изменений такая же, как при КТ
АКТУАЛЬНЫЕ ВОПРОСЫ РЕНТГЕНОЛОГИИ ЛУЧЕВАЯ ДИАГНОСТИКА ОЧАГОВЫХ ПОРАЖЕНИЙ ПЕЧЕНИ КАВЕРНОЗНАЯ ГЕМАНГИОМА ПЕЧЕНИ Ангиографическая семиотика: - вид сосудистой опухоли - сетчатой структуры - с четкими ровными границами
АКТУАЛЬНЫЕ ВОПРОСЫ РЕНТГЕНОЛОГИИ ЛУЧЕВАЯ ДИАГНОСТИКА ОЧАГОВЫХ ПОРАЖЕНИЙ ПЕЧЕНИ АДЕНОМА ПЕЧЕНИ Ультразвуковая семиотика: - образование округлой формы - небольших размеров - гипо- или изоэхогенной структуры (мало чем отличается от неизмененной паренхимы) - имеет капсулу
АКТУАЛЬНЫЕ ВОПРОСЫ РЕНТГЕНОЛОГИИ ЛУЧЕВАЯ ДИАГНОСТИКА ОЧАГОВЫХ ПОРАЖЕНИЙ ПЕЧЕНИ АДЕНОМА ПЕЧЕНИ Компьютерно-томографическая семиотика: - низкоплотностное образование - после болюсного введения РКВ (ч/з 3 -10’) активное накопление контраста с ободком зоны не накапливающей РКВ (капсула)
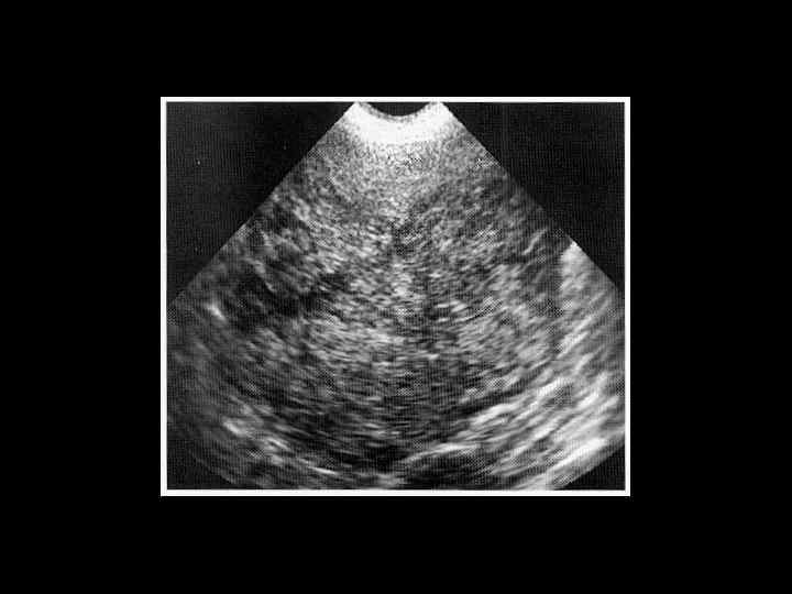
АКТУАЛЬНЫЕ ВОПРОСЫ РЕНТГЕНОЛОГИИ ЛУЧЕВАЯ ДИАГНОСТИКА ОЧАГОВЫХ ПОРАЖЕНИЙ ПЕЧЕНИ ФОКУСНАЯ (УЗЛОВАЯ) ГИПЕРПЛАЗИЯ ПЕЧЕНИ Ультразвуковая семиотика: - образование небольших размеров - без капсулы - слегка гипоэхогенно (мало чем отличается от неизмененной паренхимы)
АКТУАЛЬНЫЕ ВОПРОСЫ РЕНТГЕНОЛОГИИ ЛУЧЕВАЯ ДИАГНОСТИКА ОЧАГОВЫХ ПОРАЖЕНИЙ ПЕЧЕНИ ФОКУСНАЯ (УЗЛОВАЯ) ГИПЕРПЛАЗИЯ ПЕЧЕНИ Компьютерно-томографическая семиотика: - низкоплотностное образование ( до 30 ед Н ) - без капсулы - при болюсном введении РКВ очень быстро накапливают (в течении 1 -2’) и очень быстро выводят РКВ, вновь становясь низкоплотностными образованиями
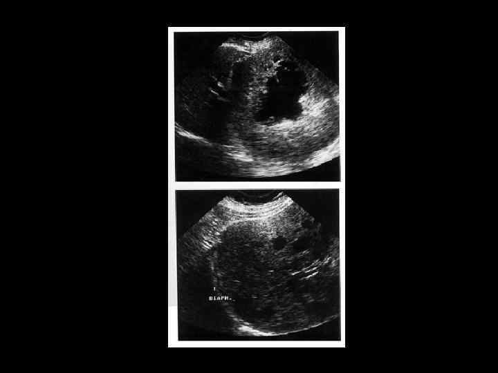
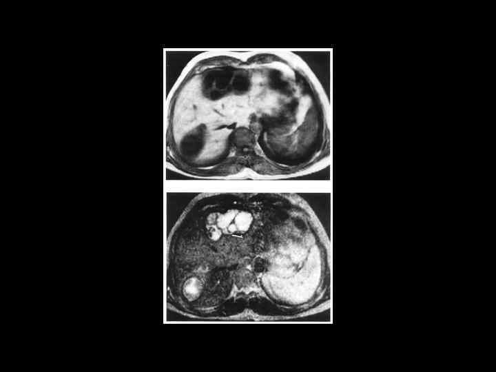
Клиническое наблюдение. Пациентка К, 1966 г. р.
Та же пациентка
Та же пациентка
Та же пациентка
АКТУАЛЬНЫЕ ВОПРОСЫ РЕНТГЕНОЛОГИИ ЛУЧЕВАЯ ДИАГНОСТИКА ОЧАГОВЫХ ПОРАЖЕНИЙ ПЕЧЕНИ ФОКУСНАЯ (УЗЛОВАЯ) ГИПЕРПЛАЗИЯ ПЕЧЕНИ Магнитно-резонансная семиотика: - образование с гипоинтенсивным сигналом на Т 1 взвешенных изображениях с ободком - образование с гиперинтенсивным сигналом на Т 2 взвешенных изображениях
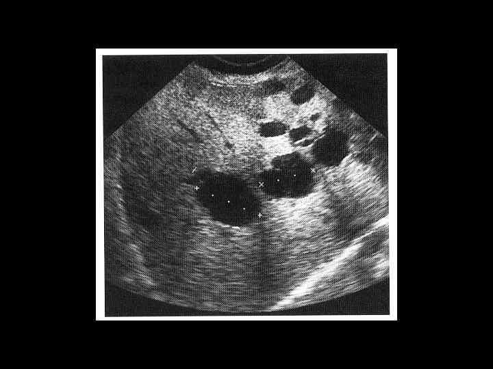
АКТУАЛЬНЫЕ ВОПРОСЫ РЕНТГЕНОЛОГИИ ЛУЧЕВАЯ ДИАГНОСТИКА ОЧАГОВЫХ ПОРАЖЕНИЙ ПЕЧЕНИ КИСТЫ ПЕЧЕНИ Ультразвуковая семиотика: - эхонегативное образование - четкая граница - тонкие стенки - периферическое усиление эхосигнала
АКТУАЛЬНЫЕ ВОПРОСЫ РЕНТГЕНОЛОГИИ ЛУЧЕВАЯ ДИАГНОСТИКА ОЧАГОВЫХ ПОРАЖЕНИЙ ПЕЧЕНИ КИСТЫ ПЕЧЕНИ Компьютерно-томографическая семиотика: - образования низкоплотностные (близкие к плотности воды) - округлой формы - с четкими, ровными, дугообразными контурами - не отмечается усиление стенок и содержимого после контрастирования
АКТУАЛЬНЫЕ ВОПРОСЫ РЕНТГЕНОЛОГИИ ЛУЧЕВАЯ ДИАГНОСТИКА ОЧАГОВЫХ ПОРАЖЕНИЙ ПЕЧЕНИ КИСТЫ ПЕЧЕНИ МР семиотика: - образования с гиперинтенсивным сигналом, четкими, ровными контурами
АКТУАЛЬНЫЕ ВОПРОСЫ РЕНТГЕНОЛОГИИ ЛУЧЕВАЯ ДИАГНОСТИКА ОЧАГОВЫХ ПОРАЖЕНИЙ ПЕЧЕНИ ЭХИНОКОККОВЫЕ КИСТЫ УЗИ: краевые кольцевидные обызвествления КТ: низкоплотностные образования с перегородками и четкими контурами МРТ: образования дающие гиперинтенсивный сигнал на Т 2 взвешенных изображениях
АКТУАЛЬНЫЕ ВОПРОСЫ РЕНТГЕНОЛОГИИ ЛУЧЕВАЯ ДИАГНОСТИКА ОЧАГОВЫХ ПОРАЖЕНИЙ ПЕЧЕНИ АБСЦЕСС ПЕЧЕНИ Причины: - инфекционные заболевания - амебное происхождение - септический очаг - послеоперационные осложнения
АКТУАЛЬНЫЕ ВОПРОСЫ РЕНТГЕНОЛОГИИ ЛУЧЕВАЯ ДИАГНОСТИКА ОЧАГОВЫХ ПОРАЖЕНИЙ ПЕЧЕНИ АБСЦЕСС ПЕЧЕНИ Ультразвуковая семиотика: - гипоэхогенное образование - округлой формы - неоднородной структуры - прослеживаются внутренние стенки - контуры менее ровные, чем у кисты - вокруг полости - изменения паренхимы
АКТУАЛЬНЫЕ ВОПРОСЫ РЕНТГЕНОЛОГИИ ЛУЧЕВАЯ ДИАГНОСТИКА ОЧАГОВЫХ ПОРАЖЕНИЙ ПЕЧЕНИ АБСЦЕСС ПЕЧЕНИ Компьютерно-томографическая семиотика: - образование низкой плотности (20 -30 ед. Н) - видна капсула с нечетким внутренним контуром - вокруг полости ободок измененной паренхимы - при введении РКВ - усиление изображения стенок
АКТУАЛЬНЫЕ ВОПРОСЫ РЕНТГЕНОЛОГИИ ЛУЧЕВАЯ ДИАГНОСТИКА ОЧАГОВЫХ ПОРАЖЕНИЙ ПЕЧЕНИ АБСЦЕСС ПЕЧЕНИ МР семиотика: - на Т 2 взвешенных изображениях - образования с усиленным сигналом - при контрастном усилении - картина та же, что и при КТ
АКТУАЛЬНЫЕ ВОПРОСЫ РЕНТГЕНОЛОГИИ ЛУЧЕВАЯ ДИАГНОСТИКА ОЧАГОВЫХ ПОРАЖЕНИЙ ПЕЧЕНИ ЗЛОКАЧЕСТВЕННЫЕ ОПУХОЛИ ПЕЧЕНИ Гепатоцеллюлярный рак (гепатома) Ультразвуковая семиотика: - участок неровномерной плотности (чередование гипо- и гиперэхогенной структуры) - с неровными контурами - распад в опухоли (в центре) выглядит как эхонегативная зона - отек вокруг опухоли - расплывчатый ободок эхонегативной зоны
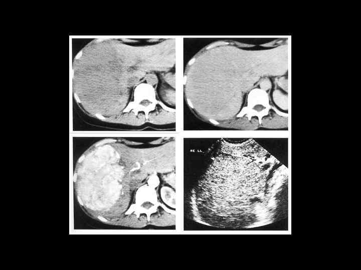
АКТУАЛЬНЫЕ ВОПРОСЫ РЕНТГЕНОЛОГИИ ЛУЧЕВАЯ ДИАГНОСТИКА ОЧАГОВЫХ ПОРАЖЕНИЙ ПЕЧЕНИ ЗЛОКАЧЕСТВЕННЫЕ ОПУХОЛИ ПЕЧЕНИ Гепатоцеллюлярный рак (гепатома) Компьютерно-томографическая семиотика: - дефект неправильной формы - с неровными, недостаточно четкими контурами - плотность равна или чуть ниже плотности неизмененной паренхимы - после контрастного усиления выраженная неравномерность структуры - часто присутствует инвазия в систему портальной или печеночной вены
АКТУАЛЬНЫЕ ВОПРОСЫ РЕНТГЕНОЛОГИИ ЛУЧЕВАЯ ДИАГНОСТИКА ОЧАГОВЫХ ПОРАЖЕНИЙ ПЕЧЕНИ ЗЛОКАЧЕСТВЕННЫЕ ОПУХОЛИ ПЕЧЕНИ Гепатоцеллюлярный рак (гепатома) МР семиотика: Т 1 взвешенные изображения: - слабо-, изо- или слегка гиперинтенсивный сигнал - повышение сигнала - при богато васкуляризированной опухоли или жировом гепатозе - может визуализироваться ободок капсулы Т 2 взвешенные изображения - повышение интенсивности сигнала и четче видна граница с непораженной тканью После контрастного усиления опухоль видна более отчетливо
АКТУАЛЬНЫЕ ВОПРОСЫ РЕНТГЕНОЛОГИИ ЛУЧЕВАЯ ДИАГНОСТИКА ОЧАГОВЫХ ПОРАЖЕНИЙ ПЕЧЕНИ Выявляемость опухолей печени с помощью МРТ 1. Гемангиомы 2. Карциномы около 3 см свыше 2 см меньше 2 см 95% 90 -97% 30 -35%
АКТУАЛЬНЫЕ ВОПРОСЫ РЕНТГЕНОЛОГИИ ЛУЧЕВАЯ ДИАГНОСТИКА ОЧАГОВЫХ ПОРАЖЕНИЙ ПЕЧЕНИ ЗЛОКАЧЕСТВЕННЫЕ ОПУХОЛИ ПЕЧЕНИ Гепатоцеллюлярный рак (гепатома) Ангиографическая семиотика: - питающий опухоль сосуд расширен - сосуды опухоли: узурированы разрушены замещены кровяными каналами артеривенозное шунтирование - в паренхиматозную фазу - усиление тени злокачественной опухоли
АКТУАЛЬНЫЕ ВОПРОСЫ РЕНТГЕНОЛОГИИ ЛУЧЕВАЯ ДИАГНОСТИКА ОЧАГОВЫХ ПОРАЖЕНИЙ ПЕЧЕНИ Диапевтические мероприятия во время ангиографии при злокачественных опухолях печени: 1. Эмболизация и химиоэмболизация 2. Инфузия цитостатических препаратов в сосуды опухоли
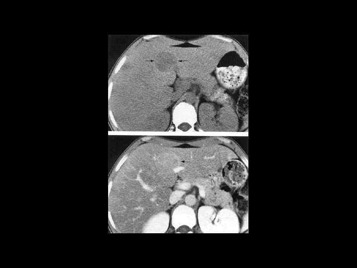
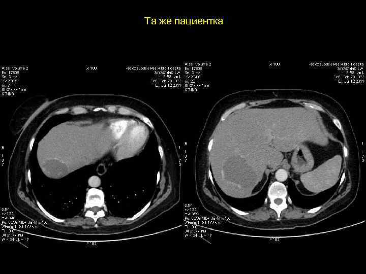
Клиническое наблюдение. Пациентка Л, 1960 г. р.
Та же пациентка
Та же пациентка
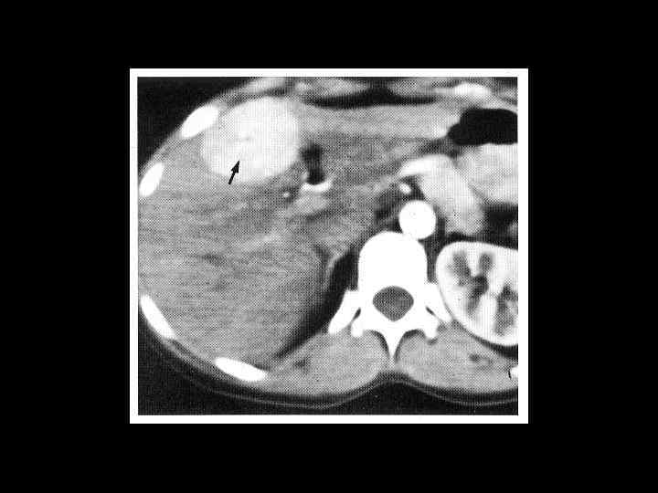
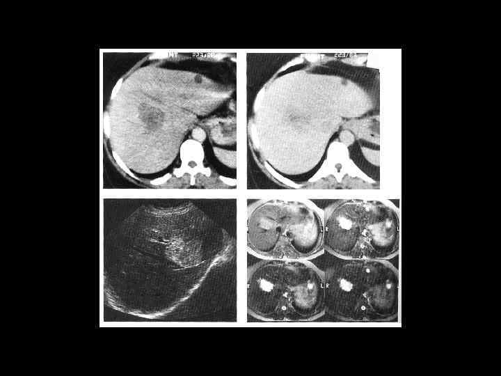
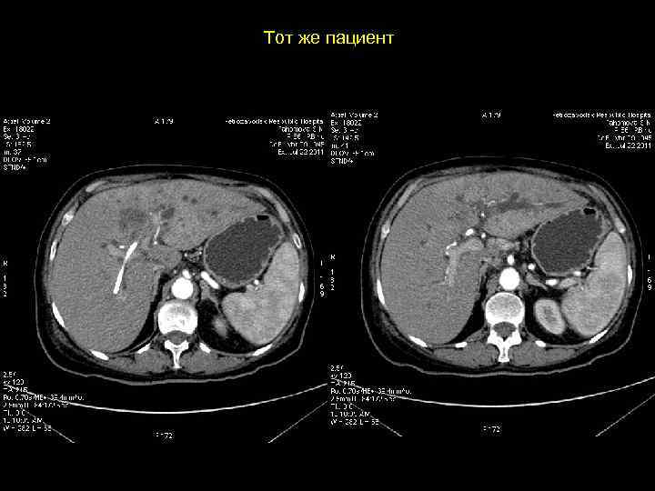
Пациент П. , 1945 г. р. С
Тот же пациент
Тот же пациент
Тот же пациент
Тот же пациент
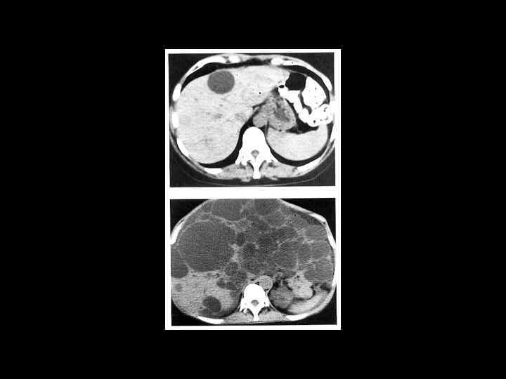
АКТУАЛЬНЫЕ ВОПРОСЫ РЕНТГЕНОЛОГИИ ЛУЧЕВАЯ ДИАГНОСТИКА ОЧАГОВЫХ ПОРАЖЕНИЙ ПЕЧЕНИ МЕТАСТАТИЧЕСКОЕ ПОРАЖЕНИЕ ПЕЧЕНИ Ультразвуковая семиотика: - множественные округлые гипер- или гипоэхогенные участки, нередко неоднородной эхоструктуры на фоне неизмененной паренхимы печени
АКТУАЛЬНЫЕ ВОПРОСЫ РЕНТГЕНОЛОГИИ ЛУЧЕВАЯ ДИАГНОСТИКА ОЧАГОВЫХ ПОРАЖЕНИЙ ПЕЧЕНИ МЕТАСТАТИЧЕСКОЕ ПОРАЖЕНИЕ ПЕЧЕНИ Компьютерно-томографическая семиотика: - образования имеющие как правило низкую плотность (30 -50 ед Н), которая мало изменяется или вовсе не изменяется после введения РКВ (наибольшее усиление дают метастазы гипернефромы)
АКТУАЛЬНЫЕ ВОПРОСЫ РЕНТГЕНОЛОГИИ ЛУЧЕВАЯ ДИАГНОСТИКА ОЧАГОВЫХ ПОРАЖЕНИЙ ПЕЧЕНИ Диагностическая информативность КТ в выявлении метастатического поражения печени Чувствительность Специфичность Точность 85 -90%
АКТУАЛЬНЫЕ ВОПРОСЫ РЕНТГЕНОЛОГИИ ЛУЧЕВАЯ ДИАГНОСТИКА ОЧАГОВЫХ ПОРАЖЕНИЙ ПЕЧЕНИ МЕТАСТАТИЧЕСКОЕ ПОРАЖЕНИЕ ПЕЧЕНИ МР семиотика: Т 1 взвешенные изображения - множественные участки со слабым сигналом Т 2 взвешенные изображения - яркий сигнал от метастазов
АКТУАЛЬНЫЕ ВОПРОСЫ РЕНТГЕНОЛОГИИ ЛУЧЕВАЯ ДИАГНОСТИКА ОЧАГОВЫХ ПОРАЖЕНИЙ ПЕЧЕНИ МЕТАСТАТИЧЕСКОЕ ПОРАЖЕНИЕ ПЕЧЕНИ Ангиографическая семиотика: 2 типа метастазов: - гиперваскулярные (теже признаки, что и при гепатоме) - гиповаскулярные Чувствительность ангиографии в выявлении метастазов - 80 -90%


