2-1-2. Стом-12-13 Выделение 1203221015.ppt
- Количество слайдов: 191
Лекция № 2 -1 -1 Тема: Выделение Специальность: Стоматология 2012 / 2013 учебный год 10 сентября 2012 г.
Литература основная Физиология человека Под редакцией В. М. Покровского, Г. Ф. Коротько Медицина, 2003 (2007) г. С. 490– 522.
Мотивация • Организм человека – открытая система, в которой предусмотрен обмен веществами и энергией между внутренней средой организма и внешней средой. • Тема сегодняшней лекции - физиологические процессы, обеспечивающие выделение веществ из органзма во внешнюю среду. • Большое значение в медицине имеет выделение лекарственных веществ. Экскреция один из основных процессов, определяющих фармакокинетику препаратов.
Вопрос 1 Понятие «выделение» Физиология человека Под редакцией В. М. Покровского, Г. Ф. Коротько Медицина, 2003 (2007) г. Нет
Выделение • совокупность физиологических процессов, направленных на • освобождение организма от конечных продуктов обмена, • избытка воды, солей и органических соединений, поступивших с пищей или образовавшихся в ходе метаболизма, • чужеродных веществ.
Выделение • часть обмена веществ • неотъемлемый признак жизни
• Синоним термина «выделеяние» — экскреция. • Экскреция от лат. Excerno, excretum — отделять, выделять. • Англ. excretion [eks'kr(i: )ш(э)n] - выделение.
Реэкскреция • Вещества, попадающие в кишечник с жёлчью, могут всасываться (реабсорбироваться), а затем вновь выделяться (реэкскретироваться). • Реабсорбция + реэкскреция = рецикуляция • Рециркуляция продлевает (пролонгирует) пребывание веществ в организме. Примеры: • Рециркуляция жёлчные кислоты • Рециркуляция пероральных контрацептивов.
Экскреты • вещества подвергающиеся экскреции.
Типы экскретов • Конечные продукты метаболизма (мочевина …) • Излишки (вода, электролиты, …) • Ксенобиотики (яды, лекарства, …)
Вопрос 2 Органы выделения , система выделения Физиология человека Под редакцией В. М. Покровского, Г. Ф. Коротько Медицина, 2003 (2007) г. Страница 490.
Органы выделения • • Почки Кожа Легкие Пищеварительный тракт
Почки удаляют • избыток воды, неорганических и органических веществ, • конечные продукты обмена • чужеродные вещества.
Легкие выводят из организма • СO 2, • воду, • некоторые летучие вещества, например пары эфира и хлороформа при наркозе, • пары алкоголя при опьянении.
Слюнные и желудочные железы выделяют • тяжелые металлы, • ряд лекарственных препаратов (морфий, хинин, салицилаты) • чужеродные органические соединения.
• Экскреторную функцию выполняет печень, удаляя из крови ряд продуктов азотистого обмена. • Поджелудочная железа и кишечные железы экскретируют тяжелые металлы, лекарственные вещества.
Железы кожи • С потом из организма выводятся вода и соли, некоторые органические вещества, в частности мочевина, а при напряженной мышечной работе — молочная кислота (см. главу И). • Продукты выделения сальных и молочных желез — кожное сало и молоко имеют самостоятельное физиологическое значение — молоко как продукт питания для новорожденных, а кожное сало — для смазывания кожи.
Система выделения • Реализуемые органами выделения процессы строго координированы. Пример: При уменьшении экскреции азотистых соединений почками увеличивается их выделение через ЖКТ, легкие, кожу.
“Уремический иней” из кристаллов мочевины на коже
Вопрос 3 Почки и их функции Физиология человека Под редакцией В. М. Покровского, Г. Ф. Коротько Медицина, 2003 (2007) г. Страницы 490 -491.
К основным функциям почек относятся: • Экскреторная функция • Волюморегуляция (участие в регуляции объема крови и внеклеточной жидкости ) • Осморегуляция (концентрации осмотически активных веществ в крови и других жидкостях тела) • Ионная регуляция (регуляция ионного состава сыворотки крови и ионного баланса организма) • Регуляция кислотно-основного состояния (стабилизация р. Н крови) • Инкреторная функция (участие в регуляции артериального давления, эритропоэза, свертывания крови, модуляции действия гормонов) • Метаболическая функция (участие в обмене белков, липидов и углеводов)
Функциональные эквиваленты патологии почек
Функции почек • роль почки в организме не ограничивается только выделением конечных продуктов обмена и избытка неорганических и органических веществ. • Почка является гомеостатическим органом, участвующим в поддержании постоянства основных физико-химических констант жидкостей внутренней среды, в циркуляторном гомеостазе, стабилизации показателей обмена различных органических веществ.
Вопрос 4 Нефрон как морфофункциональная единица почки Физиология человека Под редакцией В. М. Покровского, Г. Ф. Коротько Медицина, 2003 (2007) г. Страницы 492 -494.
Нефрон • структурно-функциональная единица почки животного. • состоит из почечного тельца и системы канальцев
Нефрон (II вариант) – эпителиальная трубка, которая начинается капсулой Боумена. Шумлянского и заканчивается соединительной трубочкой, впадающей в собирательную трубочку.
Нефрон • от греческого νεφρός (нефрос) — почка
Схема строения нефрона (клубочек и часть проксимального канальца — на разрезе): 1 — приносящая клубочковая артериола; 2 — выносящая клубочковая артериола; 3 — клубочковая капиллярная сеть; 4 — внутренняя и наружная части капсулы почечного клубочка (Шумлянского—Боумена); 5 — просвет капсулы; 6 — проксимальный каналец; 7 — нисходящая часть петли Генле; 8 — восходящая часть петли Генле; 9 — дистальный каналец; 10 — собирательная трубка.
Типы нефронов • Кортикальные (85 %) – суперфициальные (поверхностные) – интракортикальные • Юкстамедуллярные (15 %). • Капсулы и извитые части всех нефронов расположены в коре, а прямые участки в мозговом слое почки. • (juxta – вблизи)
Строение нефрона • • В каждой почке у человека содержится около 1 млн функциональных единиц — нефронов, в которых происходит образование мочи (рис. 12. 2). Каждый нефрон начинается почечным, или мальпигиевым, тельцем — двустенной капсулой клубочка (капсула Шумлянского—Боумена), внутри которой находится клубочек капилляров. Внутренняя поверхность капсулы выстлана эпителиальными клетками; образующаяся полость между висцеральным и париетальным листками капсулы переходит в просвет проксимального извитого канальца. Особенностью клеток этого канальца является наличие щеточной каемки — большого количества микроворсинок, обращенных в просвет канальца. Следующий отдел нефрона — тонкая нисходящая часть петли нефрона (петли Генле). Ее стенка образована низкими, плоскими эпителиальными клетками. Нисходящая часть петли может опускаться глубоко в мозговое вещество, где каналец изгибается на 180°, и поворачивает в сторону коркового вещества почки, образуя восходящую часть петли нефрона. Она может включать тонкую и всегда имеет толстую восходящую часть, которая поднимается до уровня клубочка своего же нефрона, где
Фридрих Густав Якоб Генле • немецкий патологоанатом и физиолог, известен как открывший петлю Генле в нефроне почки. • 1809 – 1885
Мальпиги Марчелло • Malpighi Marcello • 1628 – 1694 • итальянский врач и естествоиспытатель, основоположник микроскопической анатомии.
• Строение нефрона. В каждой почке у человека содержится около 1 млн функциональных единиц — нефронов, в которых происходит образование мочи (рис. 12. 2). Каждый нефрон начинается почечным, или мальпигиевым, тельцем — двустенной капсулой клубочка (капсула Шумлянского—Боумена), внутри которой находится клубочек капилляров. Внутренняя поверхность капсулы выстлана эпителиальными клетками; образующаяся полость между висцеральным и париетальным листками капсулы переходит в просвет проксимального извитого канальца. Особенностью клеток этого канальца является наличие щеточной каемки — большого количества микроворсинок, обращенных в просвет канальца. Следующий отдел нефрона — тонкая нисходящая часть петли нефрона (петли Генле). Ее стенка образована низкими, плоскими эпителиальными клетками. Нисходящая часть петли может опускаться глубоко в мозговое вещество, где каналец изгибается на 180°, и поворачивает в сторону коркового вещества почки, образуя восходящую часть петли нефрона. Она может включать тонкую и всегда имеет толстую восходящую часть, которая поднимается до уровня клубочка своего же нефрона, где начинается дистальный извитой каналец. Этот отдел канальца обязательно прикасается к клубочку между приносящей и выносящей артериолами в области плотного пятна (см. рис. 12. 2). Клетки толстого восходящего отдела петли Генле и дистального извитого канальца лишены щеточной каемки, в них много митохондрий и увеличена поверхность базальной плазматической мембраны за счет складчатости. Конечный отдел нефрона — короткий связующий каналец, впадает в собирательную трубку 1. Начинаясь в корковом веществе почки, собирательные трубки проходят через мозговое вещество и открываются в полость почечной лоханки. Диаметр капсулы клубочка около 0, 2 мм, общая длина канальцев одного нефрона достигает 35— 50 мм. Исходя из особенностей структуры и функции почечных канальцев, различают следующие сегменты нефрона: 1) проксимальный, в состав которого входят извитая и прямая части проксимального канальца; 2) тонкий отдел петли нефрона, включающий нисходящую и тонкую восходящую части петли; 3) дистальный сегмент, образованный толстым восходящим отделом петли нефрона, дистальным извитым канальцем и связующим отделом. Канальцы нефрона соединены с собирательными трубками: в процессе эмбриогенеза они развиваются самостоятельно, но в сформировавшейся почке собирательные трубки функционально близки дистальному сегменту нефрона.
Вопрос 5 Кровообращение в почке, особенности его регуляции Физиология человека Под редакцией В. М. Покровского, Г. Ф. Коротько Медицина, 2003 (2007) г. Страницы 492 -494.
• • • • почечная артерия (a. renalis) сегментарные артерии междолевые артерии (а. а. interlobares) дуговые артерии (arteriае arciformes) междольковые артерии (arteriae interlobulares) прямые артериолы (arteriolae rectae) приносящие артерии (vasa afferentia) «чудесной сети" (rete mirabile) сосудистый клубочек. выносящие артериолы (vasa efferentia) артериальные капилляры венозные капилляры, звездчатые вены (v. stellatae), междольковые вены (v. v. interlobulares), дуговые вены (v. v. arcuatae), междолевые вены (v. v. mterlobares) почечная вена (v. renalis)
Строение и кровоснабжение нефрона. Мальпигиев клубочек. 1 - Приносящая артерия. 2 - Капсула. 3 - Полость капсулы. 4 - Капилляры. 5 - Выносящая артерия нефрона.
• Особенности кровоснабжения юкстамедуллярного нефрона заключаются в том, что эфферентная артериола не распадается на околоканальцевую капиллярную сеть, а образует прямые сосуды, спускающиеся в мозговое вещество почки. Эти сосуды обеспечивают кровоснабжение мозгового вещества почки.
Сравнение тканевого кровотока в разных органах
Доля МОК • В условиях физиологического покоя через обе почки, масса которых составляет лишь около 0, 43 % от массы тела здорового человека, проходит 19 % минутного объёма кровообращения (по некоторым данным от 20 – 25 %).
Зависимость почечного кровотока и скорости клубочковой фильтрации от артериального давления • Особенность почечного кровотока – высокий уровень саморегуляции кровотока, обеспечивающий стабильность почечного кровотока и гломерулярной фильтрации в широком диапазоне системного артериального давления (от 90 до 190 мм рт. ст. ).
Кратность увеличения кровотока в сосудах разных органов
Механизм саморегуляции почечного кровотока • Регуляция происходит за счет изменения сопротивления приносящих артериол. • Главную роль в саморегуляции почечного кровотока играет юкстагломерулярный аппарат и ренин-ангиотензиновая система.
Строение юкстагломерулярного аппарата почек • • • 1 - Дистальный каналец. 2 - V. afferens. 3 - Юкстагломерулярные клетки. 4 - Боуменова капсула. 5 - V. efferens.
Способы регуляции почкой регионарного и системного кровотока и артериального давления • Ренин синтезируется в гранулярных клетках юкстагломерулярного аппарата, которые окружают приносящую артериолу почечного клубочка. • Юкстагломерулярные клетки являются рецепторами растяжения стенки артериолы. • Снижение кровяного давления в приносящих артериолах служит сигналом секреции ренина в кровь.
Вопрос 6 Основные процессы мочеобразования Физиология человека Под редакцией В. М. Покровского, Г. Ф. Коротько Медицина, 2003 (2007) г. Страница 495.
Основные процессы мочеобразования F - клубочковая фильтрация R - канальцевая реабсорбция S , S, S - канальцевая секреция
Процессы, обеспечивающие функцию Функция Фильтрация Реабсорбция Секреция + синтез Экскреторная + + + - Инкреторная - - - + Волюморегулирующая + + - - Осморегулирующая + + - - Ионорегулирующая + + + - Регуляция КОС + + Метаболическая + + - +
Найдите ошибку !
Вопрос 7 Клубочковая фильтрация Физиология человека Под редакцией В. М. Покровского, Г. Ф. Коротько Медицина, 2003 (2007) г. Страница 495 -497.
Клубочковая фильтрация • начальный этап мочеобразования
Клубочковая фильтрация • Мысль о фильтрации воды и растворенных веществ как первом этапе мочеобразования была высказана в 1842 г. немецким физиологом К. Людвигом. • В 20 -х годах XX столетия американскиму физиологу А. Ричардсу в прямом эксперименте удалось подтвердить это предположение — с помощью микроманипулятора пунктировать микропипеткой клубочковую капсулу и извлечь из нее жидкость, действительно оказавшуюся ультрафильтратом плазмы крови.
Гломерулярный фильтр • Ультрафильтрация воды и низкомолекулярных компонентов из плазмы крови происходит через клубочковый фильтр (син. — фильтрующая мембрана, фильтрационный барьер).
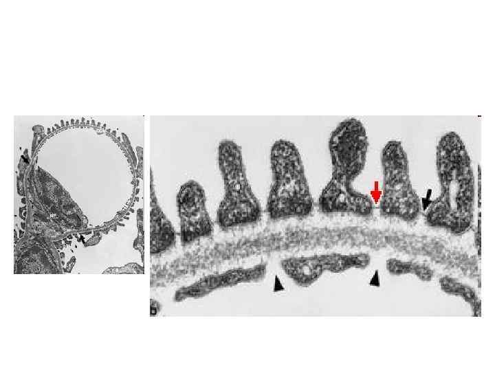
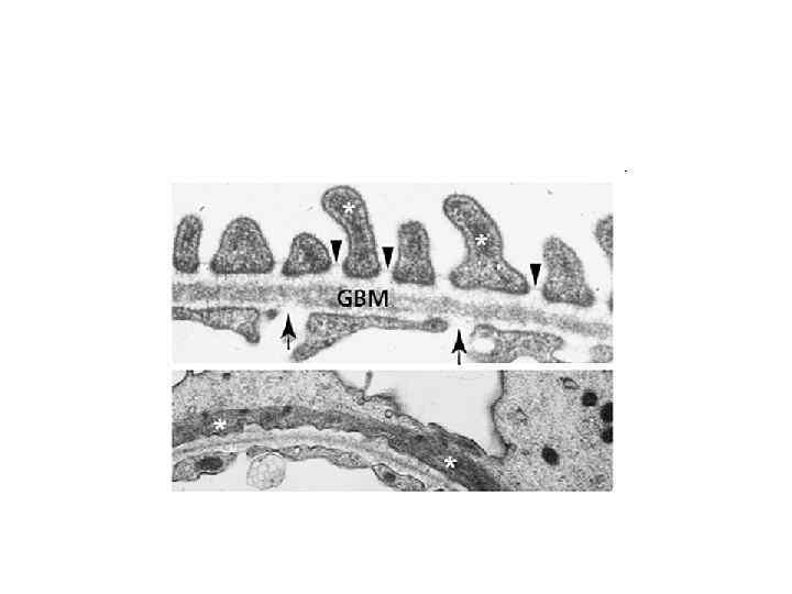
Клубочковый фильтр, состоит из трех слоев: • эндотелиальных клеток капилляров, • базальной мембраны • ножек эпителиальных клеток висцерального (внутреннего) листка капсулы — подоцитов.
Скорость клубочковой фильтрации (СКФ) • зависит от проницаемости мембраны, которую, характеризуюет коэффициент фильтрации (КФ) и эффективного фильтрационного давления (ЭФД): СКФ = КФ ЭФД
Эффективное фильтрационное давление (ЭФД) • определяется разностью между • гидростатическим давлением крови в капиллярах клубочка (Рг), • онкотическим давлением плазмы крови (Ронк ) • гидростатическим давлением в капсуле клубочка (Ркапс ). ЭФД = Рг – Ронк – Ркапс
Эффективное фильтрационное давление (ЭФД) Если Рг = 50 мм рт. ст. Ронк = 30 мм рт. ст. Ркапс = 10 мм рт. ст. ЭФД = 50 – 30 – 10 = 10 (мм рт. ст. )
Фильтруемая фракция вещества (f) • Отношение концентрации в первичной моче к концентрации этого вещества в плазме крови • Доля вещества, которая прошла через клубочковый фильтр.
Фильтруемая фракция вещества (f) • • • кальция - 0, 6 магния — 0, 75 белка – близка к 0 натрия – 0, 95 калия – 0, 95 инулина – 1, 00
NB!!! Различайте понятия • «фильтруемая фракция вещества» и • «фильтрационная фракция» как отношение СКФ/ЭПП.
Вопрос 8 Канальцевая реабсорбция Физиология человека Под редакцией В. М. Покровского, Г. Ф. Коротько Медицина, 2003 (2007) г. Страница 498 -503.
Ультраструктура отдельных клеток эпителия канальцев почек (по Дж. Родину) 1 - Клетка проксимального извитого канальца. 2 - Клетка проксимального прямого канальца. 3 - Клетка нисходящего тонкого колена петли Генле. 4 - Клетка толстого восходящего колена петли Генле. 5 - Клетка дистального извитого канальца. 6 - "темная" клетка связующего канальца и собирательной трубки. 7 - "светлая" клетка связующего канальца.
Реабсорбция – обратное всасывание веществ в канальцах, которое обеспечивается как активным, так и пассивным транспортом.
Реабсорбция • Первично-активный транспорт происходит за счет энергии АТФ. Например - транспорт Na+ при участии Na+/К+АТФазы • Вторично-активный транспорт происходит без энергии АТФ. Например, глюкоза и аминокислоты реабсорбируются с помощью специального переносчика, который обязательно должен присоединить ион Na+.
Локализация реабсорбции и секреции веществ в почечных канальцах. Направление стрелок указывает на фильтрацию, реабсорбцию и секрецию веществ.
Рис. 12. 7. Механизм реабсорбции натрия в клетке дистального канальца нефрона. Объяснение в тексте.
Вопрос 9 Канальцевая секреция Физиология человека Под редакцией В. М. Покровского, Г. Ф. Коротько Медицина, 2003 (2007) г. Страница 504 -506.
• В клинике и физиологии, к сожалению, термин «секреция» используют в разных значениях. • В одних случаях этим термином обозначают перенос вещества клетками в неизмененном виде, в частности, клетками нефрона из крови в просвет канальца, что обусловливает экскрецию этого вещества почкой. • В других случаях термин «секреция» означает синтез и секрецию клетками в почке биологически активных веществ (например, ренина, простагландинов) и их поступление в русло крови. • Наконец, процесс синтеза в клетках канальцев веществ, которые поступают в просвет канальца и экскретируются с мочой, также обозначают термином «секреция» .
Вопрос 10 Поворотно-противоточные системы почки (концентрирование мочи) Физиология человека Под редакцией В. М. Покровского, Г. Ф. Коротько Медицина, 2003 (2007) г. Страница 507 -512 ? .
• Мозговое вещество – уникальная область, характеризующаяся высоким перепадом осмолярности (в глубоких отделах мозговой части осмолярность в 5 раз выше осмолярности коры. • Перепад осмолярности – главная причина реабсорбции воды.
• Формальную модель, использующую принцип противоточного умножения предложили Кокко (Kokko) и Ректор (Rector).
Морфологическими элементами поворотнопротивоточной системы почки являются • петля Генле • прямые сосуды • собирательные трубки
Удобно выделить как минимум 2 ППС почки • ППС прямых сосудов мозгового вещества почек – классическая (поддерживающая осмолярность интерстиция) • ППС нефрона (петли Генле) – не классическая (создающая осмолярность интерстиция)
Поворотно-противоточная система нефрона
Поворотно-противоточная система нефрона
Вопрос 11 Описание процессов выделения
• Чаще при описании процессов выделения веществ из организма оценивают концентрацию экскретов в плазме.
• Такие тесты называют геморенальными пробами
Внешняя детекция
11. 1. «Порядок» процесса экскреции
«Порядок» процесса экскреции отражает характер связи скорости экскреции вещества (R) с его концентрацией (C) в очищаемом компартменте.
«Порядок» процесса экскреции
Кривые очищения при кинетике … - нулевого порядка (зелёная) - первого порядка (синяя)
«Порядок» процесса экскреции нулевого порядка первого порядка • скорость экскреции изменяется не изменяется, пропорционально несмотря на вещества концентрации изменение вещества концентрации вещества • Ra ~ C 0 • Ra ~ C 1
• Принято считать, что большинство веществ подвергаются процессам экскреции в соответствии с кинетикой первого порядка.
При кинетике первого порядка: • Время, за которое любая концентрация вещества уменьшается наполовину (на 50 %), всегда одинаково. • Можно рассчитать единый показатель — период полупребывания вещества в плазме (Т 1/2). • Более часто употребляется термин «Т 1/2 плазмы» .
11. 2. Кривые очищения (клиренсовые кривые)
Кривые очищения По оси абсцисс откладывается время (t), а по оси ординат — концентрация экскретируемого вещества в исследуемом компартменте (q). q 0 — начальная концентрация вещества, T 1/2 — период полувыведения.
Пример: Кривые очищения при исследовании функции почек у игуаны
Сравнение кривых очищения • T 1/2 А < T 1/2 В • значит экскреция вещества А более интенсивна.
Кривые очищения • Клиренсовые кривые часто характеризуют показателями, индексами сравнивающими амплитуды (значения кривой в разные моменты времени.
Показатель Винтера (Winter) • описывает очищение крови почками от гиппурана, меченного радиойодом.
• Часто вещество выводится не одним органом экскреции (например, печенью и почками). • В этом случае различают общий и раздельные клиренсы по этому веществу. где T 1/2 общ. — показатель общего клиренса, T 1/2 A и T 1/2 B — показатели раздельных клиренсов органа А и B соответственно.
11. 3. Клиренсовые методы оценки экскреторных процессов
• В основе клиренсовых методов лежит определение скорости очищения жидкостных компартментов от экретируемых (элиминируемых веществ).
• Показатель «клиренса» как объем крови, который за 1 мин очищается почкой от мочевины предложили Меллер, Мак. Интош и Ван Слайк (1929)
Dr Homer William Smith (January 2, 1895 – March 25, 1962) • В работах Г. Смита (1951, 1956) была показана возможность использования расчетов, основанных на принципе очищения, для характеристики главных процессов мочеобразования.
Клиренс (от какого-либо вещества) –виртуальный объем жидкостного компартмента организма (крови, плазмы) полностью очищаемый от экскрета выделительной системой за единицу времени. Единицами измерения клиренса служат объём очищаемой среды (например, плазмы) за единицу времени (мл/с, л/ч и т. п. ).
Вопрос 12 Оценка клубочковой фильтрации Физиология человека Под редакцией В. М. Покровского, Г. Ф. Коротько Медицина, 2003 (2007) г. Страница 497 -498.
12. 1. Принципы определения скорости клубочковой фильтрации
Основная характеристика процесса клубочковой фильтрации • скорость клубочковой фильтрации (СКФ) • англ. Glomerular filtration rate (GFR)
Скорость клубочковой фильтрации (СКФ) • объём жидкости (плазмы), прошедшей через гломерулярные фильтры почек за единицу времени. = объём первичной мочи, образовавшейся за единицу времени.
Для определения СКФ используют вещество (индикатор), имеющее следующие свойства: 1. Не секретирующийся в канальцах нефрона 2. Не реабсорбирующийся в канальцах нефрона 3. Свободно проходящий гломерулярный фильтр (фильтрующийся) (f=1).
Индикаторы, используемые для определения СКФ • инулин • маннитол • полиэтиленгликоль-400 • креатинин • ДТПА (диэтилентриаминпентоацетат) • ЭДТА (этилендиаминтетроацетат)
Инулин, (C 6 H 10 O 5)n полисахарид, полимер D-фруктозы Заменитель крахмала и сахара при сахарном диабете. Материал для промышленного получения фруктозы.
СКФ = клиренсу инулина (Сin) • Инулин, попавший с плазмой в полость капсулы Шумлянского-Боумену, в плазму не возвращается • Следовательно, плазма, попавшая в полость капсулы Шумлянского-Боумену, полностью освобождается от инулина. • Объём этой плазмы и будет представлять клиренс инулина (точнее клиренс плазмы от инулина).
12. 2. Проба Реберга-Тареева
Проба Реберга-Тареева • В 1926 г. датский физиолог П. Б. Реберг (Poul Brandt Rehberg) предложил определять СКФ по экзогенному креатинину. • В 1936 г. советский клиницист Е. М. Тареев предложил определять СКФ по эндогенному креатинину.
П. Б. Реберг • Poul Brandt Rehberg (1895 -1989)
Тареев Евгений Михайлович • 1895, Псков — 1986, Москва • выдающийся отечественный терапевт, академик Академии медицинских наук СССР (1948), Герой Социалистического Труда (1965), лауреат Сталинской (1946), Ленинской (1974), и Государственной премий СССР (1983), заслуженный деятель науки РСФСР (1948). • Один из основоположников советской нефрологии, гепатологии, ревматологии и паразитологии. Внес также вклад в развитие кардиологии и терапии.
Креатинин • конечный продукт обмена белков. • образуется в печени и затем выделяется в кровь. • участвует в энергетическом обмене мышечной и других тканей. • Выводится с мочой, поэтому креатинин — важный показатель деятельности почек.
Проба Реберга-Тареева • Подготовка : Избегать физических нагрузок, исключить крепкий чай , кофе, алкоголь, заранее обсудить с лечащим врачом условия проведения пробы. • Моча собирается в течение суток: первая утренняя порция мочи удаляется, все последующие порции мочи собираются в одну емкость, которая хранится в холодильнике (+4 +8 °С) в течение всего времени сбора. • После завершения сбора мочи содержимое емкости точно измерить, обязательно перемешать и сразу же отлить в стерильный контейнер, который необходимо заранее приобрести под залог в любом медицинском офисе лаборатории. • Этот контейнер принести в лабораторию для исследования. Всю мочу приносить не надо. • Нужно указать суточный объем мочи (диурез) в миллилитрах, например: «Диурез 1250 мл» , также написать рост и вес пациента. • Срок исполнения: 1 рабочий день. Данный анализ вы можете сдать в режиме CITO (результат за 2 часа) • Стоимость: 150 руб.
Проба Реберга-Тареева где • V(пл) - объем плазмы, фильтрующейся через почечный фильтр в минуту; • V(м) - объем мочи за данное время; • C(кр) - концентрация креатинина в плазме (сыворотке); • U(кр) - концентрация креатинина в моче; • Т - время сбора мочи в минутах.
Референсные значения (мл·мин-1· 1, 73 м-2) : Возраст < 1 года 1 - 30 лет 30 - 40 лет 40 - 50 лет 50 - 60 лет 60 - 70 лет > 70 лет Мужчины 65 - 100 88 - 146 82 - 140 75 - 133 68 - 126 61 - 120 55 - 113 Женщины 65 - 100 81 - 134 75 - 128 69 - 122 64 - 116 58 - 110 52 - 105
• У мужчин значения СКФ выше, чем у женщин.
Значения СКФ приводят к площади поверхности тела стандартного человека, равной 1, 73 м 2
12. 3. Определение СКФ при радионуклидных исследованиях
РФП (радиофармпрепараты), используемые для определения СКФ • 125 I-Инулин • 99 m. Tc-ДТПА • 113 m. In-ДТПА • 169 Yb-ДТПА • 51 Cr-ЭДТА • 125 I-йодталамат
РФП
• 99 m. Tc-ДТПА
Динамическая сцинтиграфия почек по 99 m. Tc-ДТПА
12. 3. Определение СКФ при магнитно-резонансной томографии
Препарат, используемый при магнитно-резонасной томографии (МРТ), в том числе и для определения СКФ • Gd-ДТПА
МРТ с Gd-ДТПА
Вопрос 13 Оценка канальцевой реабсорбции Физиология человека Под редакцией В. М. Покровского, Г. Ф. Коротько Медицина, 2003 (2007) г. Страница 503 -504.
13. 1. Определение реабсорбции воды (проба Реберга-Тареева)
Реабсорбция воды
13. 2. Определение реабсорбции глюкозы
Глюкозурия • • 1. 2. выделение сахара с мочой Зависит от трех факторов: концентрация сахара в крови количества профильтровавшейся через клубочки первичной мочи; 3. количества глюкозы, подвергшейся реабсорбции в почечных канальцах.
Глюкозурия • • 1. 2. выделение сахара с мочой Зависит от трех факторов: концентрация сахара в крови количества профильтровавшейся через клубочки первичной мочи; 3. количества глюкозы, подвергшейся реабсорбции в почечных канальцах.
Физиологическая глюкозурия возникает при : • • потреблении большого количества углеводов; стрессовых состояниях; болевых ощущениях (рефлекторно развивается гликогенолиз, в связи с выбросом катехоламинов); длительном голодании.
Патологическая глюкозурия Инсулярная (панкреатогенная) • сахарный диабет; • острый панкреатит; Экстраинсулярная (внепанкреатическая) центрального генеза • черепно-мозговые травмы; • опухоли головного мозга; • менингиты; • лихорадочные состояния; • отравления морфином, хлороформом, фосфором, стрихнином.
Почечный порог для глюкозы Значение у разных лиц составляет • от 6 до 15 ммоль/л. • Чаще от 8 до 10 ммоль/л. • Синонимы: сахарный порог
Максимальный канальцевый транспорт глюкозы • реабсорбция глюкозы при превышении почечного порога
Максимальный канальцевый транспорт глюкозы на 1, 73 м 2 • У мужчин значения выше, чем у женщин.
Позитронноэмиссионная томография (ПЭТ) по 18 F-ФДГ
КТ+ПЭТ
Вопрос 14 Оценка канальцевой секреции Физиология человека Под редакцией В. М. Покровского, Г. Ф. Коротько Медицина, 2003 (2007) г. Страница 506.
Максимальный канальцевый транспорт ПАГ • секреция ПАГ при превышении почечного порога • -1 у человека - 80 мг∙мин на 1, 73 м 2 поверхности тела.
Вопрос 15 Оценка почечного кровотока Физиология человека Под редакцией В. М. Покровского, Г. Ф. Коротько Медицина, 2003 (2007) г. Страница 503 -504.
15. 1. Определение эффективного почечного плазмотока (ЭППТ) Еffective renal plasma flow (ERPF)
Для определения ЭППТ используют вещество (индикатор), имеющее следующее свойство: Полностью удаляться из крови прохождении капилляров клубочка и канальцев путем фильтрации и секреции.
ЭППТ = клиренсу ПАГ (СPAG) • ПАГ, попавший с плазмой в капилляры почечного тельца и канальцев полностью удаляется из плазмы • Следовательно, плазма, полностью освобождается от ПАГ. • Объём этой плазмы и будет представлять клиренс ПАГ (точнее клиренс плазмы от ПАГ).
Норма • ЭППТ ≈ 655 мл ∙ мин-1 (на 1, 73 м 2 поверхности тела) • ЭПКТ ≈ 1200 мл ∙ мин-1 (на 1, 73 м 2 поверхности тела)
РФП , используемые для определения ЭППТ • 99 m. Tc-МАГ 3 • 123 I-гиппуран • 131 I-гиппуран • 125 I-гиппуран
Статическая сцинтиграфия почек по 99 m. Tc-ДМСК Изображение «функциональное» ?
Радионуклидная нефрография
Радионуклидная нефрография А – норма Б – замедленное поступление РФП в почку Г - замедленное поступление и выведение РФП из почки Д – повторный подъём кривой при пузырнолоханочном рефлюксе
15. 2. Определение эффективного почечного кровотока (ЭППК) Effective renal blood flow (ERBF)
• эритроциты не содержат ПАГ • поэтому , для расчета значения ЭПКТ можно использовать гематокрит — Ht
15. 3. Определение фильтрационной фракции (ФФ) эффективного почечного кровотока Filtration fraction (FF)
Фильтрационная фракция (ФФ)
Фильтрационная фракция (ФФ) • часть плазмы, которая прошла через гломерулярной мочи и образовала первичную мочу, из той плазмы, прошедшей капилляры почечного тельца.
• СКФ = Сin • ЭППП = СPAG
Выведение билирубина • В день выводится до 230 мг билирубина, который образуется в результате расщепления гемоглобина. • В плазме крови билирубин связан с альбумином (свободный, непрямой).
Выведение билирубина • В гепатоцитах при участии глюкуронилтрансферазы билирубин образует конъюгат с глюкуроновой кислотой (связанный, прямой). • Конъюгированный билирубин, значительно лучше растворим в воде • Конъюгированный билирубин выделяется в желчь и с ней попадает в толстый кишечник
Выведение билирубина. • В толстом кишечнике бактерии расщепляют конъюгат и превращают свободный билирубин в уробилиноген и стеркобилиноген • из уробилиногена и стеркобилиногена в результате окисления образуются уробилин и стеркобилин, придающие стулу коричневый цвет.
Выведение билирубина. • Около 85 % билирубина и его метаболитов выводится со стулом, • около 15 % вновь реабсорбируется (кишечно-печеночная циркуляция), • 2 % попадает через систему кровообращения в почки и выводится с мочой


