d90ad56b917aaf2f7f97fe91ecbccbca.ppt
- Количество слайдов: 32
LE CHOLESTÉATOME DE L’APEX PÉTREUX I. LAABIDI, H. ZAGHOUANI, W. KARMANI, A. BERRICHE, N. EZZAIRI, TH. RZIGA, L. BEN CHRIFA, S. MAJDOUB, BOUZOUITA, D. BAKIR, CH. KRAIEM Service d’imagerie médicale CHU Farhat Hached Service ORL CHU Farhat hached
Introduction
Le cholestéatome de l'apex pétreux est le plus souvent la conséquence d’un processus situé initialement au niveau de l’oreille moyenne. Il peut se présenter comme une lésion primitive. Le diagnostic est apporté par la tomodensitométrie (TDM) et l’imagerie magnétique (IRM). par résonance
Il pose, essentiellement, le problème de choix de la technique d'exérèse qui est fonction de l'étendue de la lésion, de l'atteinte du nerf facial et de l'état auditif. Cette exérèse peut être complexe nécessitant la combinaison de plusieurs voies d'abords.
observation
ØPatiente âgée de 32 ans. ØAntécédents: d'otorrhée fétide gauche depuis 15 ans avec hypoacousie homolatérale progressive. ØElle a présenté depuis 3 mois une paralysie faciale périphérique totale homolatérale associée à des vertiges rotatoires.
ØL'examen sous microscope de l’oreille gauche a trouvé un cholestéatome attical avec atticotomie spontanée. ØLe signe de la fistule était positif. ØL’examen de l’oreille controlatérale était normal. Les autres paires crâniennes ont été intactes.
ØL'audiométrie tonale a montré une surdité mixte unilatérale gauche à prédominance transmissionnelle avec un Rinne moyen de 30 d. B. ØL'exploration chirurgicale trouvait un cholestéatome étendu occupant les cellules intersinuso-faciales, inter-sinusoméningées et les cellules rétrolabyrinthiques supérieures et inférieures. .
ØLe cholestéatome dénudait le sinus latéral jusqu’au golfe de la jugulaire et dénudait les méninges. Le nerf facial était atrophique au niveau de sa 2ème portion. ØL‘intervention était interrompue
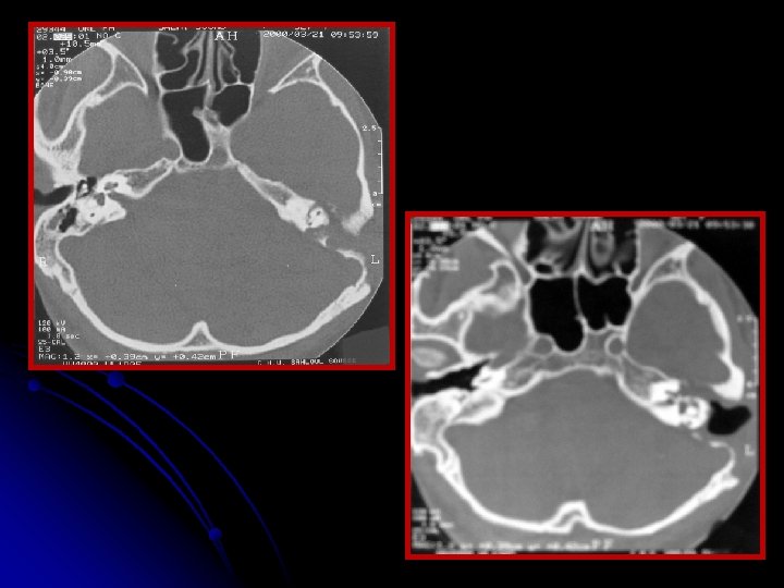
ØLe scanner des rochers montrait un cholestéatome qui contourne le labyrinthe et s'étend jusqu‘au CAI et au golfe de la jugulaire. ØLa patiente a eu dans un 2ème temps opératoire, une voie transcochléaire avec comblement de la cavité par de la graisse abdominale a été réalisée. ØLes suites opératoires étaient simples. ØRecul sans récidive : 4 ans.
Extension sus labyrinthique Extension sous labyrinthique
Les modalités d’extension du cholestéatome vers l’apex pétreux
Fig 1 : Les traînées cellulaires de l’apex Le cholestéatome se propage vers l’apex pétreux, à partir de l’oreille moyenne, en suivant les traînées cellulaires péri et translabyrinthiques.
Ganglion géniculé A. Carotide interne Nerf facial a b VJI Fig 2 : -a : Cholestéatome à extension supra-labyrinthique. -b : Cholestéatome à extension infra-labyrinthique. c -c : Cholestéatome à extension supra et infra-labyrinthique.
commentaire
Clinique : Le diagnostic est suspecté devant l’association de : • Vertiges • Une atteinte de la motricité faciale, • Une hypoesthésie trigéminale • Une surdité mixte fortement labyrintisé
Imagerie : diagnostic positif+++ • La TDM en coupes millimétrées en incidences axiale et coronale permet une appréciation précise de la destruction osseuse. • Cette destruction peut être due à une érosion de l’os par effet de pression entraînant une ischémie, à une hyperactivité ostéoclastique.
• La TDM objective une lacune polycyclique à contours arrondis, de nature avasculaire. • Elle précise l'extension et apprécie les refoulements dure-mériens. • Elle permet également de faire le diagnostic différentiel avec d’autres processus pathologiques intrapétreux
• L'IRM: permet d’apprécier l’ extension en dehors du rocher et d’éliminer d’autres lésions intra-pétreuses ou de l’angle ponto-cérébelleux générer une PF. susceptibles de
• les séquences réalisées: - T 1 SE/T 2 SE -T 1 + Gado avec double acquisition: immédiate et tardive(entre 30 et 45 minutes) - Diffusion (DW): facteur de diffusion = B 800 ou B 1000.
• Les lésions ont un isosignal T 1, un hypersignal T 2/DW et un rehaussement après injection de gadolinium important au temps tardif. plus
• Les séquences de diffusion ont un grand intérêt dans le diagnostic des cholestéatomes diagnostic secondaires différentiel et entre le le cholestéatome résiduel et les lésions non cholestéatomateuses mastoïdectomie conservatrice. après
• Les séquences injectées aux temps tardifs permettent de détecter les cholestéatomes résiduels. • L’IRM permet de poser le diagnostic différentiel essentiellement avec le kyste cholestérolique cholestérine). (granulome à
Traitement : La chirurgie des cholestéatomes de l'apex pétreux n'est pas facile. La matrice adhère très étroitement aux structures sous-jacentes, os, méninges, nerfs et vaisseaux.
Le labyrinthe peut être largement fistulisé mais encore fonctionnel, en équilibre instable avec la cholestéatomateuse provoquera la masse dont l'ablation destruction cochléo- vestibulaire si elle n'a pas déjà été réalisée par le cholestéatome nécessité par la voie d'abord. ou
La voie d'abord utilisée pour atteindre l'apex pétreux dépend du siège, de l'extension du cholestéatome, de l'atteinte ou non du nerf facial et de l'état auditif pré-opératoire.
La voie sus-pétreuse convient aux lésions de la moitié supérieure de l'apex avec une paralysie faciale. Elle permet un bon repérage du VII dans le CAI et au niveau du ganglion géniculé(1ère portion). Elle permet de réaliser dans certains cas une reconstruction du nerf VII.
-La voie infra-temporale convient aux lésions prédominant au niveau de la face inférieure du rocher, au voisinage des gros vaisseaux. La 2ème et 3ème portions du nerf facial sont déroutées. Cette voie est indiquée en d'absence d'atteinte du nerf facial cas
-La voie trans-labyrinthique est indiquée en cas de cholestéatome étendu au labyrinthe postérieur avec une cophose. - La voie trans-cochléaire de House est indiquée en cas de lésion étendue avec cophose et homolatérales. paralysie faciale
Conclusion
Le cholestéatome de l'apex pétreux est une lésion rare. Il est le plus souvent acquis, étendu à partir des cavités de l'oreille moyenne. Le diagnostic est suspecté cliniquement mais confirmé par l'imagerie. Le traitement chirurgical est difficile réalisé au prix de séquelles fonctionnelles importantes.
d90ad56b917aaf2f7f97fe91ecbccbca.ppt