15c5b0532b942f03b7a33b002d706360.ppt
- Количество слайдов: 47
L’ENDOMÉTRIOSE FMC JEUDI 23 FÉVRIER 2017 DR LACORRE AYMELINE GO CH AUXERRE
INTRODUCTION L’endométriose, définie par l’ectopie de l’endomètre endehors de la cavité utérine est connue sur le plan clinique depuis 4000 ans: • • 1ère description en Egypte en - 1855 Bien décryptée par le Corpus hippocratique Confondue avec l’hystérie au Moyen-Age Retrouve sa place organique au XIXème siècle grâce à l’école anatomopathologique française • Histologiquement décrite par Rokitanski en 1860.
DÉFINITION • L’endométriose: présence de tissu endométrial comportant à la fois des glandes et du stroma en dehors de la cavité utérine • Plusieurs formes: • Formes superficielles intra péritonéales à type d’implants relativement limités, • Kyste endométriosique uni ou bilatéral (fertilité), • Endométriose profonde sous péritonéale (antérieure / postérieure difficultés chirurgicales parfois majeures) • Endométriose interne localisée à la paroi utérine: adénomyose. • La présence de lésions histologiques n’est pas synonyme de l’existence d’une maladie clinique.
EPIDÉMIOLOGIE • Pathologie bénigne, fréquente mais chronique • Touche 10 à 15% des femmes en âge de procréer, soit par extrapolation environ 4 millions de femmes en France. • Peut dans 40% des cas affecter la fertilité et c’est la première cause d’infertilité puisqu’incriminée dans 40 à 50% des cas. • Impact sur la fertilité mais surtout sur la vie quotidienne sociale, psychologique, sexuelle (douleurs chroniques) • Véritable problème de santé publique: 33 jours d’arrêt de travail par an en moyenne par femme atteinte.
PHYSIOPATHOLOGIE: 3 GRANDES THÉORIES • Théorie de la métaplasie cœlomique: • • Le revêtement épithélial de la cavité cœlomique aurait un potentiel de métaplasie en tissu endométrial: émis en 1870 par Waldeyer, travaux récents (Minh) retrouvent une similitude structurale entre le mésothélium germinatif de l’ovaire et le tissu endométrial. • Endométriose: métaplasie mullérienne du mésothélium péritonéal par induction liée aux substances de dégradation présentes dans le sang menstruel régurgité. Théorie de la dissémination suivie de greffes: • • Théorie de la transplantation de Sampson (1927): dissémination par voie tubaire des cellules endométriales viables dans le liquide menstruel puis greffe secondaire au niveau du pelvis. Expérimentalement, les cellules endométriales peuvent s’implanter, se développer et répondre aux stimulis hormonaux. Distribution anatomique liée pour Jenkins aux rapports avec les pavillons et le liquide péritonéal. Metzger: • • Distribution lymphatique (endométriose ombilicale ou ganglionnaire) Distribution vasculaires (endométriose pulmonaire, musculaires, cutanées…) Dissémination iatrogénique (cicatrices) Théorie embryonnaire: • Résidu de cellules embryonnaires d’origine wolfienne ou mullérienne dans la cavité abdominale.
Théories physiopathologiques Théorie de Sampson: reflux tubaire suivi de greffe Sampson: Théories métaplasiques et embryonnaires En faveur En défaveur • Localisation majoritairement pelvienne des Toutes les femmes présentant un reflux ne implants. développent pas une endométriose --> rôle de • Fragments endométriaux viables dans le liquide facteurs associés: génétiques, hormonaux et menstruel et péritonéal. immunologiques • Fréquence du reflux menstruel Exceptionnelle endométriose de l'homme sous Distributions anatomiques de certaines oestrogénothérapie ou de l'adolescente, association lésions, absence d'augmentation de la de lésions endométriosiques avec des aspects fréquence de la maladie avec l'âge évocateurs d'une duplication du système mullérien Localisations ganglionnaires (urinaire, Métastases par voie lymphatique, hématogène, pulmonaires, atteinte neurologique), lésions sur contamination iatrogène ou extension de voisinage cicatrices utérines / épisiotomie / cervicales, endométriose sous péritonéale N'explique les localisations rares
PHYSIOPATHOLOGIE: FACTEURS FAVORISANTS • Pathologie chronique inflammatoire et progressive. • Reflux menstruel / obstruction à l’écoulement vaginal menstruel / augmentation du flux menstruel (PR < 11 ans, cycles < 27 j, durée > 8 jours) • Environnement hormonal: LUF syndrome serait favorisant. • Facteurs génétiques: caractère souvent familial, mais gène de l’endométriose non identifié; la probabilité de présenter une endométriose est de 3 à 10 fois plus élevée chez les apparentés de premier degré des femmes présentant cette pathologie vs témoin. • Facteurs immunologiques: • Incapacité des mécanismes immunitaires à détruire les tissus ectopiques. • Différenciation anormale du tissu endométriosique. Anomalie « stroma-cellule » avec anomalie de l’immunité humorale , de l’immunité cellulaire, associée à une hausse de la production d’œstrogènes et de prostaglandines, conjointement avec une résistance à la progestérone. Association probable de ces différentes hypothèses
PHYSIOPATHOLOGIE • La compréhension actuelle des mécanismes moléculaires de l’endométriose constitue la base de l’approche thérapeutique: • La survie, la croissance cellulaire et l’inflammation: à l’origine des symptômes cliniques d’infertilité et de douleur. • L’inflammation est caractérisée par une surproduction de cytokines, prostaglandines et autres qui médient la douleur et sont associés à l’hypofertilité. • Les œstrogènes soutiennent la survie et la persistance des lésions endométriales, comme les processus immunitaires et inflammatoires altérés. • !!!! Un nombre non négligeable de femmes sont porteuses de lésions endométriosiques typiques sans conséquences en terme de douleur ni en terme de fertilité.
DIAGNOSTIC • Délai séparant le début des troubles et le premier diagnostic est long: entre 7 et 12 ans ! • Symptomatologie très variable selon les femmes. • L’anamnèse est le premier pas pour suspecter l’endométriose: • Dysménorrhée (surtout si responsable d’un absentéisme scolaire et/ou professionnel): présente dans 64% des cas d’endométriose profonde. • Dyspareunie profonde: présente dans 37% des cas d’endométriose profonde. • Dyschésie • Dysurie • Douleurs pelviennes chroniques (douleur pelvienne et abdominale non cyclique d’une durée d’au moins 6 mois): présente dans 44% des cas d’endométriose profonde. • Dysfertilité • Présentations atypiques: • Sciatique cyclique (atteinte nerveuse) • Rectorragie / hématurie cycliques • Dyspnée cyclique (pneumothorax cataménial)
DIAGNOSTIC (2) • Examen clinique: • Insuffisamment sensible: pas de corrélation anatomo-clinique et maladie très hétérogène, peut être normal. • Intérêt: écarter autres pathologies notamment aigues. • Évaluation taille, position et mobilité utérines: utérus fixe rétroversé peut évoquer des adhérences. • Examen au spéculum: parfois visualisation de nodules violacés vaginaux / CDS / rétro cervicaux. • Examen recto vaginal: ligaments utérosacrés, cloison recto vaginale, recherche de masses annexielles (endométriomes). • +++ si examen pendant les règles: améliore les chances de détection de nodules infiltrants, rehausse la qualité de l’évaluation de la douleur. • Échelles d’intensité subjective de la douleur pour évaluation de la sévérité des symptômes douloureux.
DIAGNOSTIC (3) • Formes cliniques: • Atteinte annexielle: kyste endométriosique, asymptomatique sauf si hémorragie intra kystique, rupture ou taille > 10 cm. Réserve ovarienne affectée si kyste > 6 cm, concerne 20 à 40% des patientes. • Atteinte tubaire par adhérences: hématosalpinx, hydrosalpinx infertilité. • Atteinte péritonéale superficielle: micro implants millimétriques, algie cyclique ou chronique +- dyspareunie profonde, prédomine dans le douglas ou les ligaments larges. • Endométriose profonde: infiltration au-delà de 5 mm en profondeur sous le péritoine ou atteinte des structures musculaires lisses, concerne 20% des patientes. • ESSP: • LUS: 57% • Torus utérin et recto sigmoïde: 16% • 1/3 sup paroi vaginale post: 18, 5% • ESSA: vessie / uretères. • Associées à d’autres lésions pelviennes dans 50 à 75% des cas. • Atteinte vésicale chez 9% des patientes. • Adénomyose: atteinte utérine, responsable de dysménorrhée et ménorragies, 70% des cas.
CULLEN 1919
BILAN D’EXTENSION • Tous les examens d’imagerie nécessitent des opérateurs entraînés. • Objectifs: • • Permettre le diagnostic positif. Evaluer l’extension de la maladie pour prise en charge thérapeutique optimale. La cartographie est essentielle pour déterminer la stratégie chirurgicale. Classification de l’AFS: mais utilité limitée car le stade de la maladie peut ne pas être en corrélation avec les symptômes de la patiente.
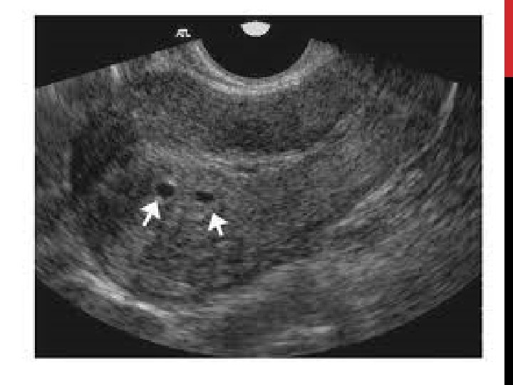
ECHOGRAPHIE PELVIENNE PAR VOIE ENDOVAGINALE: Examen de 1ère intention: • Signes directs: • Kyste endométriosique. • Nodules sous péritonéaux antérieurs et postérieurs. • Adénomyose: éléments anéchogènes au sein du myomètre. • Image hypo échogène, discrètement hétérogène. • Signes indirects: • Pseudo kyste péritonéal: trouble de résorption du liquide péritonéal (adhérences). • Hydro/hématosalpinx: obturation tubaire complète. • « kissings ovaries » : infiltration rétractante et adhérentielle des nodules des LUS. + échographie rénale à la recherche d’une hydronéphrose, surtout si présence d’un nodule de l’espace antérieur.
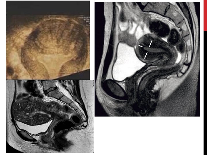
IRM PELVIENNE • Permet une cartographie des lésions d’endométriose profonde. • Intérêt dans le bilan pré opératoire: • Compartiment ant • Compartiment post • Non recommandée à titre systématique • Oui si suspicion d’endométriose profonde • Non pour le diagnostic des endométriomes en dehors de situations particulières
BIOLOGIE • Ca 125: • Peut être élevé dans l’endométriose. • Dosage à visée diagnostique et pronostique non recommandé.
BILAN COMPARTIMENT ANTÉRIEUR • Vessie / uretères. • • Associées à d’autres lésions pelviennes dans 50 à 75% des cas. Atteinte vésicale chez 9% des patientes. • EEV: • • Taille et extension en profondeur dans le détrusor. + échographie rénale. • IRM: • SE 88%, Spé 99%, précision pour le diagnostic 98%. • Cystoscopie pendant les règles: • • • Lésions congestionnées et œdémateuses. Mais aspect des lésions changent au cours du cycle des résultats négatifs ne signifient pas l’absence d’endométriose vésicale. Pas systématique selon les équipes
BILAN COMPARTIMENT MOYEN • Concerne l’utérus, les annexes, les ligaments ronds, larges et le vagin. • Ovaires: 20 -40%. • Informations majeures: • Présence d’endométriome. • Perméabilité tubaire. • EEV: seul examen nécessaire dans la majorité des atteintes. • Se 89%, Spé 91%, VPP 84%, VPN 94, 5%. • Évaluation de la réserve ovarienne (CFA) • Recherche dilatation tubaire. • IRM: • Pour éliminer une EPP associée ou pour diagnostic différentiel kyste ovarien. • Se 90%, Spé 98%, précision 96%. • CR: nombre, taille endométriomes, recherche dilatation urétérale, rapport avec les organes voisins, recherche de salpinx, éliminer EPP. • HSG: • Évaluation de la distension et perméabilité tubaire • Limites: invasif, risque de FN (spasme tubaire), risques infectieux. • gold standard: cœlioscopie + test de perméabilité tubaire.
BILAN COMPARTIMENT POSTÉRIEUR • Recherche: • Adénomyose externe • Lésion intestinale: nombre, taille, infiltration et sténose, distance // marge anale • Envahissement vaginal postérieur • EEV: • Atteinte LUS, vaginale et cloison recto vaginale: Se 81%/50%/11%, Spé 75%/96%/100%. • IRM: • Atteinte LUS, vaginale et recto vaginale: Se 76%/80%, Spé 83%/95%/98%. • Bonne corrélation avec le siège de la lésion et l’évaluation // marge anale. • Mais ne précise pas l’extension dans la paroi intestinale (séreuse et/ou musculeuse) et Se moyenne pour atteinte vagin et cloison RV. • opacification rectale et vaginale par gel pour diminuer ces limites. • EER: distance // marge anale, en cas de doute ou discordance (moins performante pour atteinte sous muqueuse rectale). • Colo scanner: • Identification lésions intestinales: Se 98, 7%, Spé 100%, VPP 100%, VPN 95, 7%. • Meilleure Se que EEV dans le dépistage des lésions rectales + degré d’infiltration. • Autres: • Coloscopie: NON • Colo. TDM à l’air: complète les données de l’IRM, l’EEV et l’EER. • Entéro IRM: pour lésions au dessus de la jonction recto sigmoïdienne.
BILAN AUTRES LOCALISATIONS • Endométriose diaphragmatique: • Douleur cataméniale pulmonaire et de l’épaule, plutôt droite, irradiant au cou et/ou bras. • TDM thoracique sans IV. • IRM centrée sur coupoles. • Endométriose pariétale: • Cicatricielle ou post chirurgicale (césarienne ++), rarement inaugurale. • Échographie +++ • IRM / TDM si doute diagnostic (lipome, tumeurs desmoides, lymphangiomes, hémangiomes)
CŒLIOSCOPIE DIAGNOSTIQUE • • Examen diagnostique de référence. • • Peut méconnaitre des lésions surtout les lésions d’ESPP. Mais n’est pas requis avant la mise en œuvre du ttt chez toutes les patientes ! CRO: • Taille • Aspect macroscopique • Localisation • Infiltration • Adhérences • Un examen histologique est recommandé mais une histologie négative n’exclut pas la maladie. • En cas d’infertilité associée: • Si examens paracliniques normaux: probable endométriose minime ttt chirurgical améliore la fertilité. • Si découverte d’ESPP avec risques de complications chirurgicales: recours à la FIV sans chirurgie.
PRISE EN CHARGE D’UNE ENDOMÉTRIOSE DOULOUREUSE • Analgésiques: AINS ou opioïdes • CHC par OP: • Ttt de 1ère intention • En continu: meilleur soulagement de la douleur • Progestatifs anti gonadotropes seuls: • • Rationnel: les œstrogènes stimulent la croissance endométriotique. Acétate de chlormadinone (Lutéran 10 mg /j) Acétate de nomégestrol (Lutényl 5 mg/j 20 j/ mois) Médrogestone (Colprone 1 à 3 cp/j 20 j/ mois ou continu) Promégestone (Surgestone 1 cp/j 20 j/ mois). Acétate de cyprotérone (Androcur) Acétate de médroxyprogestérone (Dépoprodasone 250): efficace sur les douleurs, pas d’effet sur l’infertilité SIU au Lévonorgestrel: • Effet sur la douleur (effet anti-oestrogénique puissant sur l’endomètre) • Mais risques d’expulsion, IGH, augmentation endométriomes. • Danazol: androgène oral. • Efficace sur la douleur • EI +++: gain pondéral, hirsutisme, acné, virilisme…. • Agonistes de la Gn. RH: • • • Ttt de 2ème intention. Peut être prolongé jusqu’à 6 mois. Associé à hormonothérapie oestroprogestative de substitution à partir du 3ème mois de ttt (!!! Perte de DMO). Pas recommandé de réaliser une 2ème cure. Relais par progestatifs anti-gonadotropes.
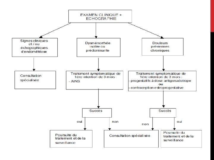
SCHÉMA THÉRAPEUTIQUE • Douleur avec suspicion clinique d’endométriose peu évoluée, échographie normale: • Douleurs cycliques en-dehors d’un besoin de contraception: AINS • Autres situations: COP ou progestatifs. • Succès au bout de 3 mois: poursuite du même ttt. • Echec: consultation spécialisée • Endométriose profonde en-dehors d’une infertilité: • Ttt médical anti-gonadotrope / agoniste Gn. RH • Si efficacité au bout des 3 mois de ttt: consultation spécialisée. • Ttt chirurgical; • Préparation de l’intervention par agoniste Gn. RH seuls pendant 3 mois. • Discuter un ttt médical post opératoire en fonction de la qualité de la chirurgie (progestatifs anti-gonadotropes)
CAT ENDOMÉTRIOME • RPC AFSSAPS 2005: • Si > 30 mm: ttt chirurgical • • • Si < 30 mm et symptomatique: ttt médical par progestatif. Consultation spécialisée en cas d’échec. Si < 30 mm et non symptomatique: pas de ttt, surveillance clinique et échographique RPC CNGOF 2013: • • Si exérèse totale des lésions associées: pas de ttt post opératoire. Si exérèse subtotale des lésions et si absence de désir de grossesse: ttt postopératoire par progestatifs recommandé. Pas de recommandation de PEC si isolé asymptomatique. Si associé à des douleurs: pas de recommandations sur le type de ttt médical. Si associé à une infertilité: chirurgie pas plus efficace que abstention ou ttt médical. Pas d’argument pour déterminer une taille pour privilégier le ttt chirurgical. Ttt médical par agoniste permet une réduction du volume mais pas de bénéfice per ou postopératoire: pas recommandé en systématique. Ttt postopératoire par progestatifs ou COP pendant 6 mois diminue le risque de récidive recommandé si absence de désir de grossesse. Traitement chirurgical: kystectomie intra péritonéale par cœlioscopie.
INFERTILITÉ • • Bilan étiologique recommandé avant de décider d’une stratégie: • Courbe de température. • Test de Huhner. • Contrôle de la perméabilité tubaire (HSG ou cœlioscopie). • Dosages hormonaux. • Spermogramme. Absence d’efficacité des ttt médicaux seuls pour améliorer la fertilité de ces femmes. Endométriose stades I et II AFS: • ttt chirurgical. • En cas de chirurgie satisfaisante, une tentative de grossesse spontanée est possible > 6 mois avant PEC en AMP. • +- AMP en fonction de l’étiologie de l’infertilité. Endométriose stade III et IV AFS: • Intérêt pré opératoire des agonistes. • Augmentation des taux de grossesse par agonistes post opératoires avant AMP.
TRAITEMENT CHIRURGICAL • Peut être: • Radical (femmes ménopausées ou projet parental accompli) • Conservateur • Nécessité de prise en charge par des équipes expérimentées. • Indications: • Si douleurs pelviennes: • • • Échec ou CI au traitement médical. Incident annexiel aigu (torsion / rupture de kyste) Endométriose sous péritonéale profonde (atteinte digestive / urologique / nerveuse) • Endométriome: • • En cas de symptomatologie reliée au kyste. Associée à une infertilité (? )
TRAITEMENT CHIRURGICAL (2) • Évaluation pré opératoire minutieuse (cf bilan d’extension). • Privilégier la cœlioscopie. • Approche multidisciplinaire (gynécologue / urologue / chirurgien digestif). • Objectif: • • Exérèse de toutes lésions d’endométriose. • Améliorer la qualité de vie et les symptômes. • Limiter le risque de récidive. • Restaurer une anatomie « normale » . Traitement conservateur: • • Shaving rectal ou résection digestive. • Colpectomie. • Adhésiolyse. • Cystectomie partielle. • Réimplantation urétérale / Urétérolyse. • Interruption des LUS. • Neurolyse … Traitement radical: • • Exérèse de toutes lésions visibles + annexectomie bilatérale en vue d’instaurer une ménopause +- hystérectomie associée Hystérectomie seule non recommandée: risque élevé d’échec sur la douleur
TRAITEMENT CHIRURGICAL (3) • Résultats: • Amélioration de la qualité de vie. • Amélioration des symptômes douloureux. • Complications: • 0, 1 à 15% en fonction du stade de la maladie. • Dépendent de la chirurgie: • • • Risque de stomie provisoire. Fistule recto vaginale. Sténose colique / rectale. Fistules urétérale / dysurie / sténose urétérale. Abcès post opératoires….
AUTRES PRISES EN CHARGE • Approche multidisciplinaire de la douleur: consultation spécialisée centre antidouleur. • Prise en charge psychologique: • Des facteurs psychologiques peuvent influencer sur l’importance de la douleur chez la patiente endométriosique. • La douleur de l’endométriose peut entrainer des altérations de la personnalité. • La prise en charge psychologique améliore les résultats du traitement. • Consultation en centre AMP en cas d’infertilité associée.
ADÉNOMYOSE • Définition: présence de glandes et de stroma endométriaux dans le myomètre. • Fréquemment asymptomatique. • Si symptomatique: • • Douleurs pelviennes cycliques. Ménorragies (50 -60%) score de Higham. Infertilité Associé à endométriose. • Diagnostic clinique difficile, diagnostic souvent histologique (80%). • Incidence entre 35 et 50 ans.
ADÉNOMYOSE (2) • Diagnostic clinique: • • • Examen normal dans 65% des cas. TV: utérus augmenté de volume, dur, fibreux, à contours réguliers, +- sensible pendant les règles. Diagnostic radiologique: • Echographie endovaginale: Se 82, 5%, Spé 84, 6% • • • IRM pelvienne: Se 77, 5%, Spé 92%, VPN 88, 5%, VPP 92% • • Utérus volumineux non expliqué par la présence de fibromes. Asymétrie des parois myométriales antérieure ou postérieure. Aspect strié du myomètre. Zone hétérogène myométriale, lacunes hypo échogènes myométriales, nodules hyperéchogènes. Épaississement ZJ en T 2 > 12 mm. Présences de zones focales hypo intenses. Spots hyper. T 2 myométriaux. Echographie 3 D: • • • Anomalie de la ZJ avec zones hyperéchogènes. Perte de l’aspect triangulaire de la cavité en coupe coronale. Vascularisation en peigne.
ADÉNOMYOSE (3) • Traitements: • Médicaux: • • • Progestatifs: effet anti-oestrogénique (atrophie endomètre). Danazol. Agoniste Gn. RH. Diu lévonorgestrel. Antalgiques. • Chirurgicaux: • • Conservateurs: • Résection hystéroscopique (endométrectomie). • Destruction par énergie / chaleur: Novasure / thermachoice. • Adénomyomectomie: difficile, pas de plan de clivage. • Embolisation des artères utérines: pas si désir de grossesse. Radical: hystérectomie totale.
SUIVI ENDOMÉTRIOSE • Suivi gynécologique classique chez les patientes endométriosiques. • La symptomatologie s’estompe à la ménopause. • THM et ATCD d’endométriose: • • • Réactivation de la maladie? Risque cancérologique? Si chirurgie radicale: peu de risque au THM jusqu’à 50 ans. Si symptômes climatériques sévères: préférer un traitement continu et éviter les œstrogènes seuls. Endométriose et cancer: • Risque de tumeur ovarienne: 1, 5% versus 1% en population générale. • • Carcinome à cellules claires, endométrioïde, séreux de bas grade: EAOC (endometriosis-associated ovaries carcinoma) Mais diagnostic plus précoce et meilleur pronostic. Sur risque de cancer endométrial type 1 Identification d’un gène suppresseur de tumeur, ARID 1 A. • • • Retrouvé dans 30 à 40% des cancers endométrioides et 41 à 57% des carcinomes à cellules claires ovariens. Retrouvé dans les endométrioses atypiques. Mais n’est pas la seule en cause lésion précurseur: hyperplasie atypique au sein d’une lésion endométriosique supposée bénigne.
SUIVI ENDOMÉTRIOSE (2) • Quand suspecter une dégénérescence? • • ge: période péri ou ménopausique. Diamètre du kyste: 10 à 14 cm. Multilocularité (12% des cancers sont uniloculaires vs 45 à 68% des kystes bénins). L’existence d’une composante solide. La plus forte progression volumétrique de la lésion. L’association à une infertilité primaire. Recommandations pour la pratique: • • • COP: facteur protecteur du cancer de l’ovaire. Salpingectomie: réduction de la prévalence du cancer de l’ovaire. Endométriose = facteur de risque de cancer ovarien surtout si: • • Début précoce Découverte tardive Longue durée d’évolution ATCD d’infertilité Aspects suspects ovariens à l’imagerie pas de modalités de surveillance bien établies juste équilibre entre la prévention du risque carcinologique et l’hyperactivisme chirurgical.
DÉPISTAGE ? • En cas de découverte fortuite d’endométriome chez une patiente asymptomatique: pas de traitement nécessaire. • En cas de découverte fortuite de lésions d’endométriose superficielles en cœlioscopie chez une patiente asymptomatique: pas de traitement nécessaire. • La présence de lésions histologiques n’est pas le synonyme d’une maladie clinique. • Adolescentes: • 38% des femmes endométriosiques connaissent des symptômes apparus avant l’âge de 15 ans. • Chez l’adolescente, la douleur est attribuée à une dysménorrhée primaire, constituant un épiphénomène « normal » . • Mais si retentissement scolaire: 10% sont attribuables à d’autres pathologies.
DÉPISTAGE ? • Adolescentes: • On doit suspecter une dysménorrhée secondaire chez les adolescentes ne répondant pas aux ttt de 1ère intention de la dysménorrhée primaire (AINS/COP) : l’endométriose est la cause la plus courante de dysménorrhée secondaire chez l’adolescente. • • Diagnostic: • • • Recherche d’une obstruction des voies de sortie et d’anomalies mullériennes: des anomalies de l’appareil génital ont été constatées chez 11% des ado ayant une endométriose et la présence d’une endométriose est signalée chez 76% des patientes présentant une anomalie müllerienne et une obstruction des voies de sortie. Examen clinique le plus souvent normal (stades précoces), examen gynécologique parfois non possible: recher anomalies obstructives des voies de sortie. Imagerie pelvienne: échographie pelvienne + IRM. PEC: • • • Traitement empirique par AINS + COP. Cœlioscopie diagnostique +- thérapeutique si échec des traitements: !!! Lésions endométriosiques atypiques (plus de vésicules claires et de lésions rouges) !!! Agoniste ou progestatifs retard: risque déperdition osseuse à partir de 16 ans.
POUR PLUS • Association endo France: association de lutte contre l’endométriose • Études en cours: • ENDORE (Rouen, Lille et Paris): comparaison entre chirurgie radicale et chirurgie conservatrice. Résultats attendus pour 2017. • MESURE: comparaison traitement médical vs traitement chirurgical de l’endométriose colorectale en péri ménopause. Résultats attendus pour 2019. • PREPA (Rouen, Paris, 3 centres USA): comparaison kystectomie ovarienne vs ablation à l’énergie plasma + effets sur la fertilité. • RPC nationales du CNGOF attendues pour 2017.
MERCI DE VOTRE ATTENTION !


