Скачать презентацию КРОВЬ. ЛИМФА. РЕТИКУЛЯРНАЯ ТКАНЬ. ЖИРОВАЯ ТКАНЬ.  РЕТИКУЛЯРНАЯ Скачать презентацию КРОВЬ. ЛИМФА. РЕТИКУЛЯРНАЯ ТКАНЬ. ЖИРОВАЯ ТКАНЬ. РЕТИКУЛЯРНАЯ

4 КРОВЬ.ppt

  • Количество слайдов: 25

КРОВЬ. ЛИМФА. РЕТИКУЛЯРНАЯ ТКАНЬ. ЖИРОВАЯ ТКАНЬ. КРОВЬ. ЛИМФА. РЕТИКУЛЯРНАЯ ТКАНЬ. ЖИРОВАЯ ТКАНЬ.

РЕТИКУЛЯРНАЯ ТКАНЬ РЕТИКУЛЯРНАЯ ТКАНЬ

РЕТИКУЛЯРНАЯ ТКАНЬ ретикулярные клетки РЕТИКУЛЯРНАЯ ТКАНЬ ретикулярные клетки

ЖИРОВАЯ ТКАНЬ норма – 35 млрд. адипоцитов, содержащих 0, 4 – 0, 6 мг ЖИРОВАЯ ТКАНЬ норма – 35 млрд. адипоцитов, содержащих 0, 4 – 0, 6 мг триглицеридов

ЖИРОВАЯ БЕЛАЯ ТКАНЬ БУРАЯ ЖИРОВАЯ БЕЛАЯ ТКАНЬ БУРАЯ

БЕЛЫЕ АДИПОЦИТЫ – клетки белой жировой ткани; сканирующая электронная микроскопия А Б А — БЕЛЫЕ АДИПОЦИТЫ – клетки белой жировой ткани; сканирующая электронная микроскопия А Б А — адипоциты с удаленным жиром в световом оптическом микроскопе; Б — ультра-микроскопическое строение адипоцитов. 1 — ядро жировой клетки; 2 — крупные капли липидов; 3 — нервные волокна; 4 — гемокапилляры; 5 — митохондрии.

ЖИРОВАЯ ТКАНЬ адипоциты ЖИРОВАЯ ТКАНЬ адипоциты

Поперечный срез жировой ткани мыши. Большие белые вкрапления — это белые жировые клетки. Маленькие Поперечный срез жировой ткани мыши. Большие белые вкрапления — это белые жировые клетки. Маленькие коричневые вкрапления — бурые жировые клетки, которые сжигают энергию для выделения тепла.

2 1 3 A Жировые клетки (электронные микрофото) A. Адипоциты белой жировой ткани (однокамерные) 2 1 3 A Жировые клетки (электронные микрофото) A. Адипоциты белой жировой ткани (однокамерные) на разных стадиях созревания 1 – ранняя стадия с мелкими липидными каплями 2 – более зрелый адипоцит с крупными липидными каплями 3 – кровеносный капилляр B. Адипоцит бурой жировой ткани (многокамерная жировая клетка) ЭМ x 4070 L – липидные капли M – митохондрии C – кровеносные капилляры В

КРОВЬ и ЛИМФА КРОВЬ и ЛИМФА

Густая сеть фибриновых волокон. Задерживает клетки крови в процессе формирования кровяного сгустка. На микрофотографии Густая сеть фибриновых волокон. Задерживает клетки крови в процессе формирования кровяного сгустка. На микрофотографии эритроциты - красного цвета, тромбоциты - белого цвета.

Красные кровяные клетки (эритроциты), застрявшие в сетях фибрина (голубой цвет). (СЭМ) Красные кровяные клетки (эритроциты), застрявшие в сетях фибрина (голубой цвет). (СЭМ)

Деформация эритроцитов при образовании тромба в кровеносном сосуде. Деформация эритроцитов при образовании тромба в кровеносном сосуде.

Сканирующая электронная микрофотография (SEM) клеток крови человека: (слева направо) эритроцит, активированный тромбоцит, лейкоцит Сканирующая электронная микрофотография (SEM) клеток крови человека: (слева направо) эритроцит, активированный тромбоцит, лейкоцит

a b 1 2 2 с 1 d Эритроциты и тромбоциты крови (световые и a b 1 2 2 с 1 d Эритроциты и тромбоциты крови (световые и электронные микрофото) a) R – ретикулоциты крови среди зрелых эритроцитов (крезиловый синий – эозин х 1200) b) Эритроциты (электронное микрофото х 16000) 1 – ретикулоциты крови с дегенерирующими органеллами M, D, G 2 – зрелый эритроцит c) Тромбоциты среди эритроцитов (Гимза x 1600) d) Тромбоциты (электронное микрофото х 22500) 1 – грануломер 2 – гиаломер

ЛЕЙКОЦИТЫ ЛЕЙКОЦИТЫ

2 1 3 4 5 Лейкоциты крови (схема ультраструктурной организации) 1 – нейтрофил 2 2 1 3 4 5 Лейкоциты крови (схема ультраструктурной организации) 1 – нейтрофил 2 – эозинофил 3 – базофил 4 – лимфоцит 5 – моноцит

Препарат № 64. Ретикулярная ткань (лимфатический узел) Окраска: гематоксилин – эозин Препарат № 64. Ретикулярная ткань (лимфатический узел) Окраска: гематоксилин – эозин

Препарат № 62. Белая жировая ткань Окраска: гематоксилин – эозин Препарат № 63 дем. Препарат № 62. Белая жировая ткань Окраска: гематоксилин – эозин Препарат № 63 дем. Окрашенные адипоциты Окраска: гематоксилин - судан 3

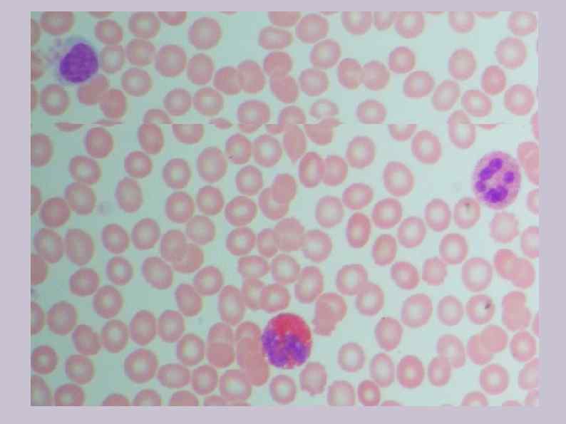
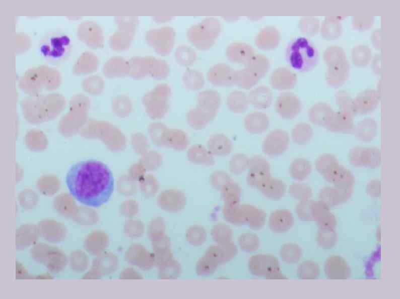
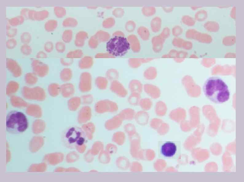
Препарат № 24. Кровь человека (мазок) Окраска: азур - эозин Препарат № 24. Кровь человека (мазок) Окраска: азур - эозин