Кровь Источник развития – мезенхима.

















л.4. кровь 2011 г..ppt
- Количество слайдов: 17
Кровь Источник развития – мезенхима. Функции: • 1. Дыхательная; • 2. Трофическая; • 3. Защитная; • 4. Выделительная; • 5. Гомеостатическая;
Кр КРОВЬ Кров овь ь человека лягушки
История открытия • Первое описание эозинофильных гранулоцитов как кровных клеток с особой крупной зернистостью относится к 50 -м прошлого столетия. После введения Эрлихом(1878 -1879) метода окраски клеток крови и в особенности применения метода усовершенствованной паноптической окраски Д. Л. Романовского(1891) с конца прошлого столетия эозинофилы выделяются в отдельный класс лейкоцитов.
Внутренняя среда организма Среда Состав Местонахождени Источник и Функции е место образования ровь 1. Плазма (50 -60% Кровеносные За счет поглощения Взаимосвязь все объема крови): вода сосуды: артерии, белков, жиров и органов организма 90 -92%, белки 7%, вены, капилляры углеводов, а также целом с внешней жиры 0, 8%, глюкоза минеральных солей средой; питательна 0, 12%, мочевина пищи и воды (доставка 0, 05%, минеральные питательных соли 0, 9% веществ), р. Н – 7, 36. выделительная Больше –ацидоз, (выведение Меньше -алколоз продуктов диссимиляции, СO из организма) защитная (иммунитет, свертывание); регуляторная (гуморальная) 2. Форменные Плазма крови Красный костный Транспортная элементы (40 -50% мозг, селезенка, (дыхательная) от объема крови): лимфатические эритроциты, узлы, лимфоидная транспортируют О 2 лейкоциты, ткань частично СО тромбоциты защитная лейкоциты (фагоциты)
Внутренняя среда организма человека Среда Состав Местонахожден Источник и Функции ие место образования Тканевая Вода, растворенные Промежутки между За счет плазмы Является жидкость в ней питательные клетками всех крови и конечных промежуточной органические и тканей. Объем 20 л продуктов средой между неорганические (у взрослого диссимиляции кровью и клетками вещества, O 2 , СО 2 , человека) организма. продукты Переносит из крови диссимиляции, в клетки органов O 2 , выделившиеся из питательные клеток вещества, минеральные соли, гормоны. Возвращает в кровяное русло через лимфу воду, продукты диссимиляции. Переносит в кровяное русло СО 2, выделившийся из клеток Лимфа Вода, растворенные Лимфатическая За счет тканевой Возвращение в в органических система, состоящая жидкости, кровяное русло веществ из лимфатических мешочки на концах тканевой жидкости. капилляров, лимфатических Фильтрация и заканчивающихся капилляров обеззараживания мешочками, и тканевой жидкости, сосудов, которые сливающихся в два осуществляются в протока, которые лимфатических впадают в полые узлах, где
Качественный и количественный состав крови: Гемограмма взрослого человека • Эритроцитов: - у женщины – 3, 7 – 4, 9 млн. в литре - у мужчины – 3, 9 – 5, 5 млн. в литре • Тромбоцитов 200 -400 тыс. в литре • Лейкоцитов 3, 8 – 9, 0 тыс. в литре У новорожденных: • Эритроцитов 6 -7 млн. в 1 л. (эритроцитоз) • Лейкоцитов 10 -30 тыс. в 1 л. (лейкоцитоз) • Тромбоцитов 200 -300 тыс. в 1 л, то есть как взрослых.
Лейкоцитарная формула Гранулоциты Агранулоциты Базо- Эози- Нейтрофильные Лимфо- Моно- филь- но- циты ные филь- Юные Палоч Сегме ные кояде нтояде рные 0 - 1 -5% 0 -0, 5% 3 -5% 45 - 20 -35% 6 -8% 0, 5% 70%
БАЗОФИЛЫ
2. Эозинофил – 0, 5 -5% Д. 9 -10 мкм в капле; 12 -14 мкм в мазке 4. Нейтрофил – 48 -78% Д. 7 -9 мкм в капле; 10 -12 мкм в мазке
Лимфоциты – 20 -35% Д. 2. малые 4, 5 -6 мкм, 85 -90% от всех; 3. средние 7 мкм; большие >10 мкм
2. Моноцит – 6 -8% Д. 9 -12 мкм в капле; 18 -20 мкм в мазке 3. Базофил – 0, 5 -1% Д. 11 -12 мкм в капле; 9 мкм в мазке
Кровь ( sanguis, haima) – это ткань внутренней среды, мезенхимного происхождения, состоит из клеток и межклеточного вещества. Особенность: большой удельный вес межклеточного вещества, большое разнообразие структурных элементов.
Эритроциты. 1. дискоциты-нормоциты -80 -90%; Д- 7, 5 мкм 2. дискоцит-макроцит Д – 9 мкм
5. Стоматоциты-куполообразные- 1 -3% 6. Сфероцит –шаровидные – 1%
Эхиноциты- 6 %
Эритроцит. Плазмолемма и цитоскелет
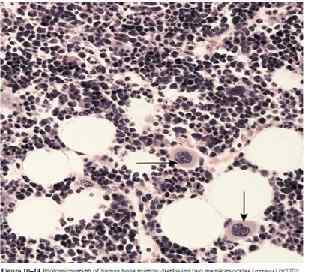
Красный костный мозг морской свинки. 1 - губчатое вещество кости; 2 - красный костный мозг; 3 - клетки миелоидного ряда; 4 - мегакариоцит; 5 - синусоидный кровеносный капилляр; 6 - артерия; 7 - жировая клетка.

