Кожа и ее производные.pptx
- Количество слайдов: 63
Кожа и ее производные
Функции кожи • Защитная • Участие в водно-солевом обмене (за сутки выделяется 500 мл жидкости =1%) • Тепловой обмен с внешней средой (80% тепловых потерь) • Синтез витамина D • Депо крови (до 1 л) • Участие в иммунных процессах • Рецепция (болевая, температурная, болевая)
СТРОЕНИЕ КОЖИ
I – эпидермис II - дерма III – подкожная основа 1 - волос 2 – сальная железа 3 – выводной проток потовой железы 4 – корень волоса 5 – потовая железа *
1 – базальный слой 2 – меланоцит 3 – шиповатый слой 4 – зернистый слой 5 – блестящий слой 6 – роговой слой 7 – базальная мембрана 8 – сосочковый слой 9 – сетчатый слой 10 – концевой отдел потовой железы
СТРОЕНИЕ И РАЗВИТИЕ МОЛОЧНОЙ ЖЕЛЕЗЫ
Структурные компоненты МЖ 1. Железистый 2. Соединительнотканный 3. Жировой
Железистый компонент (паренхима МЖ) • Анатомически молочная железа представляет собой сложный альвеолярно-трубчатый орган, состоящий из нескольких долей. • Число долей (как и их размеры) зависит от размеров молочных желез и колеблется от 6 -8 (небольшие железы) до 20 -24 (большие железы). Доли располагаются радиально по отношению к соску и могут накладываться одна на другую. • Каждая доля имеет конусовидную форму с вершиной у соска, окружена рыхлой соединительной тканью и небольшим количеством жировой клетчатки.
Железистый компонент (паренхима МЖ) • Паренхима молочной железы представлена сложными альвеолярно-трубчатыми железами, собранными в мелкие дольки, из которых формируются доли. • Железистая долька, как и железистая доля не имеет наружной капсулы и является не столько анатомической, сколько функциональной единицей молочной железы. • Основная масса железистой ткани находится в верхнем наружном квадранте.
Железистый компонент (паренхима МЖ) • От каждой железистой дольки отходит выводной млечный проток или галактофор I порядка (диаметр до 1 мм). • Галактофор II порядка – внутридолевой (диаметр до 2 мм) • Галактофор III порядка – впадает в млечный синус (диаметр до 3 мм).
Железистый компонент (паренхима МЖ) • «Покоящаяся» МЖ (вне периода лактации) представляет собой систему протоков. • Вне периода лактации дольки образованы многократно ветвящимися млечными протоками, которые заканчиваются слепыми трубочками — млечными альвеолярными проточками (ductuli alveolares lactiferi), на которых в период лактации развиваются альвеолы (alveoli gl. mammariae).
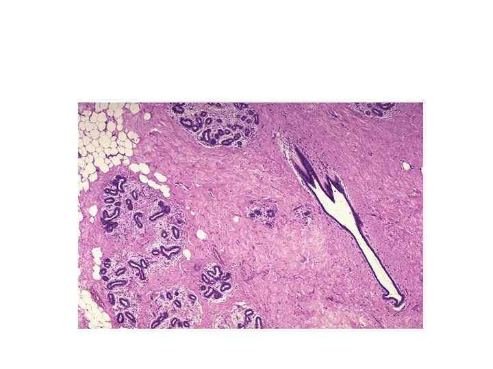
Микроскопическое строение нормальной молочной железы
Железистый компонент (паренхима МЖ) • Во время беременности внутри железистых долек, на концах млечных протоков образуются многочисленные микроскопические пузырьки — альвеолы, формирующие ацинусы. • Ацинус продуцирует молоко в период лактации и атрофируется или исчезает после окончания кормления грудью.
Соединительнотканный компонент • Опорная соединительная ткань (отроги расщепленной поверхностной фасции) – связки Купера • Ложевая (мантильная)
Связки Купера
Интактный участок покоящейся молочной железы женщины репродуктивного возраста. Две дольки молочной железы (1) окружены междольковой соединительной тканью (2), которая имеет признаки мантильной стромы. Периферический участок междольковой соединительной ткани (3) относится к опорной строме. Увеличение х 250.
РАЗВИТИЕ МОЛОЧНЫХ ЖЕЛЕЗ
Развитие МЖ: 1. Внутриутробная фаза 2. Пубертатная фаза
Внутриутробная фаза развития: - начинается на 8 -10 неделе развития зародыша в виде 7 -8 парных зачатков по 2 млечным линиям; - завершается формированием рудиментарного органа, состоящего из простых ветвящихся протоков, которые способны отвечать на секреторные стимулы материнского организма. *
Млечные линии и пример полимастии *
Полителия – добавочные соски Двухсторонняя полителия. Женщина 42 года. Двухсторонняя полителия – мужчина 36 лет. *
Односторонняя полителия, ошибочно принятая за пигментное родимое пятно. Женщина 39 лет. *
Добавочная МЖ (рассеянная ткань МЖ в подмышечной ямке). Женщина 21 года. Женщина 39 лет. На фоне этой аномалии могут развиваться доброкачественные и злокачественные опухоли.
Пубертатная фаза развития МЖ: - процесс удлинения и ветвления протоков, завершающийся формированием конечных дольковых единиц).
Пубертатная фаза развития МЖ: В конце пубертатной фазы развития МЖ состоит из системы протоков, выстланных эпителиальными клетками (эпителиальная паренхима), которые заканчиваются терминальными дольковыми единицами.
Пубертатная фаза развития МЖ: Первым клиническим признаком пубертата является обычно развитие молочных желез (телархе), но иногда может первоначально манифестироваться ростом волос на лобке (пубархе).
Пубертатная фаза развития МЖ: Нормальное развитие молочных желез под действием гормонов пубертатного периода классифицируется на пять стадий по Таннеру, что имеет корреляции УЗ- и гистологическими изменениями
Стадии развития МЖ по Таннеру I стадия (препубертатная). II стадия клинически проявляется как пальпируемая субареолярная почка, прежде чем она станет различимой как возвышение. III стадия проявляется очевидным увеличением и возвышением всей молочной железы (как правило, первоначально с одной стороны). IV стадия - фаза ареолярного выпячивания (транзиторная стадия, которая может не проявляться). V стадия – достижения контура зрелой груди.
Гипомастия правой МЖ. Пациентка 14 лет. Гипомастия правой МЖ как следствие «задержки» одной из желез на 3 или 4 стадии по Таннеру.
Варианты нормального развития МЖ • Первоначальное развитие МЖ с одной стороны (клинически может симулировать опухоль МЖ) • Одностороннее развитие может иметь место в течение 2 лет до начала развития второй железы.
Преждевременное телархе • Развитие МЖ до 7, 5 лет расценивается как преждевременное (C. J. Garcia, 2000). • Преждевременное телархе может быть изолированным, либо являться симптомом преждевременного полового созревания центрального генеза. • Может иметь место с одной или двух сторон. • По УЗИ – нормальная железистая ткань!!!
ДОПОЛНИТЕЛЬНЫЙ МАТЕРИАЛ
Топография МЖ


