Кости Сеня.ppt
- Количество слайдов: 19
Костная ткань • Скелетная соединительная ткань • Опорная, механическая, защитная функции, участие в обмене веществ • Классификация (по межклеточному веществу): • грубоволокнистая • пластинчатая
1. Клетки: • Производные СК соединительной ткани -остеобласты -остеоциты • Производные СК крови - остеокласты 2. Межклеточное вещество: • Органические соединения (30%) • Неорганические соединения (70%)
Клетки костной ткани Остеобласты Остеоциты Остеокласты • Развивающаяся кость • Сформированная кость • По периферии костной пластинки (в надкостнице сформированной кости) • Тело клетки – в лакунах, • Надкостница и места отростки – в костных перестройки кости канальцах (дренажная система кости) • Синтез и секреция • Коллаген 1 • Гликозаминогликаны (органический матрикс) • Соли кальция (неорганический матрикс) • Развивающаяся кость • Синтез и фагоцитоз • Угольная кислота (деминерализация кости) • Протеолитические ферменты (разрушение межклет. вещества)
Межклеточное вещество Органические компоненты Белки Коллагеновые Коллаген I типа Неколлагеновые белки Углеводы Гликозаминогликаны Протеогликаны Липиды Органические кислоты Неорганические компоненты Соединения Ca P Mg Sr
Грубоволокнистая • Характерна зародышам • Во взрослом организме – в местах прикрепления сухожилий к костям • Коллагеновые волокна расположены беспорядочными пучками • Заполнена лакунами с анастомозирующими канальцами Пластинчатая • Во взрослом организме • Составлена костными пластинками из правильно уложенных волокон
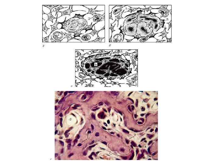
Гистогенез костной ткани • Мезенхимное происхождение • Два типа развития • На месте хряща – трубчатые кости • Непосредственно из мезенхимы – плоские кости Мезенхима Прямой остеогенез Хрящ Кость ой м ря енез п Не еог т ос
Образование непосредственно на месте мезенхимы (прямой остеогенез) 4 этапа:
1. образование скелетогенного островка • размножение мезенхимных клеток • васкуляризация (образование кровеносных сосудов) склеротогенный островок 2. остеоидная стадия • появление костных клеток • синтез органической матрицы кости оссеомукоида (коллагеновых волокон, гликопротеидов) остеоид 3. минерализация межклеточного вещества • минерализация межклеточного вещества (отложение кристаллов гидроксиапатита) • образование костных трабекул (балки) первичная губчатая кость (грубоволокнистая костная ткань) 4. формирование костных пластинок • первичная губчатая ткань замещается на вторичную • образуются генеральные пластинки (окружающие кость) и первичные остеоны, прорастание кровеносных сосудов
Мезенхима и трабекулы Остеоциты, остеобласты Остеокласты
Развитие кости на месте хряща (непрямой остеогнез)
3 этапа: 1. Образование гиалинового хряща 2. Формирование грубоволокнистой костной ткани губчатое вещество кости 3. Формирование пластинчатой костной ткани компактное вещество кости 2 способа: 1. Перихондральное окостенение 2. Энхондральное окостенение
перихондральное энхондральное
Развитие энходральной кости Разрастание надкостницы к эпифизам Разрастание энхондральной кости Частичное разрушение энхондральной костной ткани Костномозговая полость Периостральная кость Первичные остеоны вокруг сосудов Смыкание энхондральной с периостральной Сплошная костная трубка
Строение трубчатых костей
Рост трубчатых костей Рост в длину – метаэпифизарная платинка Метаэпифизарная пластинка - часть эпифиза, примыкающая к диафизу и сохраняющая хрящевую структуру. 3 зоны (по направлению от эпифиза к диафизу): 1. пограничная - содержит овальные хондроциты, 2. зона столбчатых клеток - обеспечивает рост хряща в длину за счёт размножения хондроцитов 3. зона пузырчатого хряща - граничит с диафизом и подвергается окостенению. Как? Разрушение эпифизарной пластинки и возобновление хрящевой ткани. Разрушение преобладает – пластинка уменьшается Длится до слияния эпифизарного и диафизарного окостенений
Рост в ширину – периост Увеличение количества остеонов и отложение на них новых слоев кости со стороны надкостницы – аппозиционный рост. Продолжается до окончания формирования кости
Факторы, влияющие на состояние костей Фактор Действие Витамин А усиливает функцию остеокластов и др. Витамин С необходим для созревания коллагеновых волокон Витамин D увеличивает всасывание Са в желудочнокишечном тракте и отложение солей Са в костях Паратгормон (гормон паращитовидных желёз) повышает содержание Са в крови, усиливаяего вымывание из костей Кальцитонин (гормон щитовидной железы) снижает концентрацию Са в крови, усиливая его поступление в кости Половые гормоны стимулируют окостенение метаэпифизарной пластинки


