Констриктивный перик Азарченков и разбор 2012.ppt
- Количество слайдов: 34
Констриктивный перикардит
Констриктивный перикардит Следствие хронического воспаления перикарда, приводящее к нарушению диастолического наполнения и насосной функции желудочков сердца
Наиболее частые причины перикардита n Вирусная инфекция > 40% (? ) Туберкулез < 15% Лучевая терапия 5% Перикардиотомия 4% n Прочие: n n n n Уремия (на гемодиализе) Болезни соед. ткани Опухоли Гнойные, грибковые и паразитарные Синдром Дресслера и др. У детей n Туберкулез
Клинические проявления констриктивного перикардита Симптомы сердечной недостаточности n «Правожелудочковой» : n Повышение ЦВД с ростом на вдохе, расширение шейных вен, увеличение печени, отеки, выпот в полостях n «Левожелудочковой» n Симптомы малого сердечного выброса
Дифференциальный диагноз Цирроз печени и др. n Миокардит причины портальной n n Пороки сердца n Инфаркт правого желудочка n ТЭЛА n Легочное сердце n Кардиомиопатии (ишемическая, гипертензии n Опухоли n Плеврит n Нефротический синдром n Энтеропатии с белковой недостаточностью дилатационная) n Рестриктивная кардиомиопатия
Гемодинамическая характеристика констриктивного перикардита n Систолическая функция – нормальная n Толщина стенки желудочка – нормальная или умеренно увеличена n n Растяжимость перикарда /миокарда - снижена ЛЖ ПЖ Диастолическое наполнение – нарушено Рост внутрижелудочкового давления при незначительном увеличении объема Типичная форма кривой диастолического давления Выравнивание КДД в ПЖ и ЛЖ
Эхо. КГ при констриктивном перикардите и рестриктивной КМП n Нормальные желудочки n Предсердия увеличены (регургитация) n Рестриктивный характер трансмитрального потока
Дифференциальный диагноз РКМП и констриктивного перикардита (1) РКМП Физикальные данные ЭКГ Констриктивный перикардит Симптом Куссмауля +/Верхушечный толчок + S 3 +, S 4 редко Шумы регургитации + Симптом Куссмауля + Верхушечный толчок — Перикардиальный щелчок Шумы регургитации +/- вольтажа (амилоидоз) «инфаркт» , ЭОС влево, мерцательная аритмия, нарушения проводимости вольтажа (< 50%), изменения з. Т, мерцательная аритмия, нарушения проводимости, «инфаркт»
Диагноз констриктивного перикардита n n n Кальцификация перикарда Утолщение перикарда n n > 3, 5 мм > 6 мм – высоко специфично n n n Рентгеноскопия (графия) Эхо. КГ КТ МРТ Отсутствуют в 1820% Talreja DR et al. Circulation 2003; 108: 1852 -7
Рентгенологическая диагностика констриктивного перикардита Уплотнение и утолщение перикарда From: Heart Disease 5 th ed. 1997 Ed: E. Braunwald: 1499
Дифференциальный диагноз РКМП и констриктивного перикардита (2) РКМП Эхо. КГ Возможно увеличение толщины стенок (особенно МПП) При сочетании с низким вольтажом ЭКГ – дифф. диагн. признак Утолщение клапанов (амилоидоз) Зернистая гиперэхогенность м-да (амилоидоз) Констриктивный перикардит Нормальная толщина стенок Утолщение перикарда Кальцинаты Раннедиастолическое смещение межжелудочковой перегородки
Констриктивный перикардит: зависимость внутрисердечной гемодинамики от дыхания Утолщенный перикард Вдох Выдох From: Heart Disease 5 th ed. 1997 Ed: E. Braunwald: 1500
Дифф. диагноз констриктивного перикардита и РКМП: катетеризация сердца Констриктивный перикардит КДД ПЖ обычно = КДД ЛЖ СД ПЖ < 50 мм Hg КДД ПЖ > 1/3 СД ПЖ Nishimura RA Heart 2001; 86: 619 -23 Рестриктивная КМП КДД ЛЖ – КДД ПЖ > 5 мм Hg (необязательно) КДДПЖ < 1/3 СД ПЖ >50 мм Hg
Характер трансмитрального потока в зависимости от фаз дыхания при констриктивном перикардите Вдох Выдох Nishimura RA Heart 2001; 86: 619 -23
Дифференциальный диагноз РКМП и констриктивного перикардита: тканевой допплер Фиброзное кольцо МК М-режим Импульсная допплер. КГ: трансмитральный кровоток Тканевой допплер: скорость раннедиастолического движения ФКМК MJ. Garcia, JD. Thomas, AL. Klein, J Am Coll Cardiol, 1998; 32: 865 -875
Дифференциальный диагноз РКМП и констриктивного перикардита (3) РКМП КТ/МРТ Биопсия миокарда Констриктивный перикардит Нормальный перикард Утолщение перикарда Специфические изменения (необязательны) Норма или неспецифические изменения (гипертрофия, фиброз) Диагностическая торакотомия, перикардиоскопия, биопсия
Анамнез жизни n Семейный анамнез: n n n Об отце сведений нет Мать умерла в 29 лет, причина неизвестна Дочь 17 лет здорова § В армии служил § Работал охранником, 4 года – инвалид IIгруппы n n Курит 14 лет, 10 сигарет в день С 1996 про 2002 г. n 2 года употреблял героин n Алкоголь: до 3 л пива в сутки + водка
Состояние при поступлении
Состояние при поступлении
Вены шеи – положение лежа
Вены шеи – положение стоя
ЭКГ
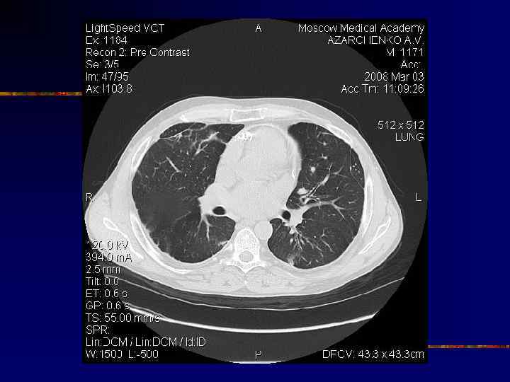
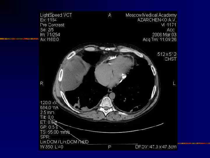
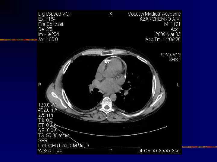
Кальциноз перикарда
Эхо. КГ: прогиб МЖП в левый желудочек на вдохе
Трансмитральный поток: уменьшение скорости на вдохе Выдох Вдох
Транстрикуспитальный поток: увеличение скорости на вдохе Выдох Вдох
Перикардэктомия n Эффективность n n Полная нормализация гемодинамики – 50 -60% n n Улучшение – 90% 5 -летняя выживаемость– до 74 -87% (при лучевом – 51%) Летальность = 6 -12% n n n У пациентов без значительного поражения миокарда – 5% При лучевом перикардите – 20% Осложнения n Разрыв стенки желудочка n Острая сердечная недостаточность n Малый сердечный выброс – 14 -28%
Перикардэктомия: негативные предикторы n n n III и IV ФК ХСН Степень констрикции (КДД в правых отделах) ХПН Нерезецируемые участки (кальцификаты) Поражение миокарда фиброз, атрофия (напр. после лучевой терапии) КТ признаки: n n n Уменьшение толщины МЖП или заднебоковой стенки ЛЖ <1 см Недостаточное систолическое утолщение стенки (<40%) Уменьшение отношения ММЛЖ/КДО (<1) Вероятность фиброза миокарда, если n n Кальцифицированный/утолщенный перикард и миокард не разделены субэпикардиальным жиром Стенка ЛЖ волнистая


