KT.ppt
- Количество слайдов: 123
КОМПЬЮТЕРНАЯ ТОМОГРАФИЯ ЧЕРЕПНОМОЗГОВОЙ ТРАВМЫ И НАРУШЕНИЙ МОЗГОВОГО КРОВООБРАЩЕНИЯ Сибирский Государственный медицинский университет Кафедра лучевой диагностики и лучевой терапии Жогина Т. В.
РЕНТГЕНОДИАГНОСТИКА ЗАБОЛЕВАНИЙ ЧЕРЕПА И ГОЛОВНОГО МОЗГА Методика исследования, КТ-анатомия
ВОЗМОЖНОСТИ КТ И RN КТ Rn
ПОКАЗАНИЯ К РЕНТГЕНОЛОГИЧЕСКОМУ ИССЛЕДОВАНИЮ ЧЕРЕПА Выявление заболеваний костной ткани: костные опухоли (остеомы), воспалительные заболевания, метастазы в кости черепа, миеломная болезнь. При отсутствии КТ: выявление переломов костей черепа, выявление признаков внутричерепной гипертензии при опухолях головного мозга.
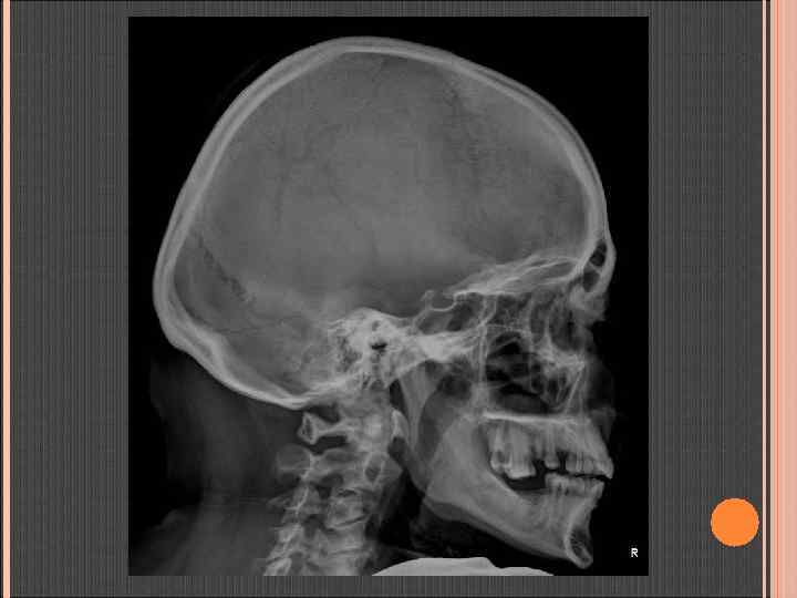
УКЛАДКА ПАЦИЕНТА ПРИ РЕНТГЕНОГРАФИИ ЧЕРЕПА Прямая проекция Боковая проекция
РЕНТГЕНОАНАТОМИЯ ЧЕРЕП Череп: 1. мозговой 2. лицевой Соотношение мозгового и лицевого черепа: Взрослый - 1, 75: 1 Новорожденный – 6, 7: 1
РЕНТГЕНОАНАТОМИЯ КОСТИ СВОДА ЧЕРЕПА Наружная замыкательная пластинка Внутренняя замыкательная пластинка Диплоический слой Ширина диплоической части = сумме толщины наружной и внутренней замыкательных пластинок
РЕНТГЕНОАНАТОМИЯ КОСТИ СВОДА ЧЕРЕПА Самые прозрачные места: Затылочная кость Чешуя височной кости Самые толстые кости: Теменные бугры – 1 -2 см Лобные бугры – до 1 см Protuberantia occipitalis externa et interna.
РЕНТГЕНОАНАТОМИЯ ШВЫ 1. 2. 3. 4. Сагиттальный Венечный Ламбдовидный Теменно-височный 1. Зубчатые: 2. Чешуйчатые: 3. сагиттальный, венечный, ламбдовидный теменно-височный Плоские: дополнительные швы: метопический шов лобной кости, поперечный шов – пересекает теменную кость шов верхних отделов затылочной кости
РЕНТГЕНОАНАТОМИЯ: ШВЫ Венечный Ламбдовидный
РЕНТГЕНОАНАТОМИЯ ШВЫ Венечный Ламбдовидный
РЕНТГЕНО-АНАТОМИЯ: ШВЫ Сагиттальный Венечный Ламбдовидный Теменновисочный
РЕНТГЕНОАНАТОМИЯ ШВЫ Сагиттальный Венечный Ламбдовидный Теменновисочный
РЕНТГЕНОАНАТОМИЯ ШВЫ У новорожденных швов нет, есть соединительно тканные мембраны между костями. Швы начинают формироваться с 3 -х месячного возраста, хорошо видны к 6 -ти месячному возрасту, завершают формирование к году. Первыми синостозируют венечный и сагиттальный шов, позже – ламбдовидный, к поздней старости - теменно-сосцевидный, затылочно-сосцевидный и чешуйчатый шов.
РЕНТГЕНОАНАТОМИЯ ШВЫ Склероз венечного шва свидетельствует либо о гормональном дисбалансе, либо об эпизоде повышения внутричерепного давления в детстве. Расхождение черепных швов может быть обусловлено либо повышением внутричерепного давления (до 6 -7 -летнего возраста), либо травматического генеза (травматическое расхождение черепных швов).
РЕНТГЕНОАНАТОМИЯ ПАЛЬЦЕВЫЕ ВДАВЛЕНИЯ Отпечаток мозговых извилин. Их нет в затылочной кости, так как там расположен мозжечок. Степень выраженности зависит от конституции (у астеников видны лучше).
РЕНТГЕНОАНАТОМИЯ ПАЛЬЦЕВЫЕ ВДАВЛЕНИЯ На Rn-грамме образуют волнообразный выпуклый контур внутренней замыкательной пластинки с плавным переходом одной линии в другую.
РЕНТГЕНОАНАТОМИЯ ПАЛЬЦЕВЫЕ ВДАВЛЕНИЯ У новорожденных пальцевых вдавлений нет. Начинают появляться к 3 -м месяцам, более отчетливо видны к 6 месяцам, окончательно формируются к 1 году. В периоде от 3 -4 до 6 -7 лет наблюдается усиление пальцевых вдавлений.
РЕНТГЕНОАНАТОМИЯ СОСУДИСТЫЙ РИСУНОК На внутренней замыкательной пластинке имеются костные ложа артериальных, венозных сосудов, пахионовых грануляций. В кровоснабжении твердой мозговой оболочки участвуют менингеальные (оболочечные) артерии. Передняя и задняя оболочечные артерии не сформировали костного ложа, поэтому на Rnграмме видно только костное ложе для средней оболочечной артерии.
РЕНТГЕНОАНАТОМИЯ СОСУДИСТЫЙ РИСУНОК Средняя оболочечная артерия имеет 2 ветви. Борозда передней ветви начинается от переднего угла Чителли (место встречи малого и большого крыльев основной кости), располагается за венечным швом и идет кверху и несколько кзади, дихотомически делясь. Угол деления закругленный, хотя артерия делится под острым углом. Ширина ее – 1 -2 мм.
РЕНТГЕНОАНАТОМИЯ ДИПЛОИЧЕСКИЕ ВЕНЫ Видны как слабовыраженн ые линейные или ветвящиеся просветления с неровными контурами
РЕНТГЕНОАНАТОМИЯ ДИПЛОИЧЕСКИЕ ВЕНЫ Не имеют клапанов. Обеспечивают кровоток между ликворообразующей системой мозга и венозными сосудами черепа. Сообщаются с пахионовыми грануляциями, венозными синусами, посредством выпускников – с мягкими тканями головы.
РЕНТГЕНОАНАТОМИЯ ТУРЕЦКОЕ СЕДЛО Отделы: Передний скат Дно Спинка: основание, центральная часть, вершина.
РЕНТГЕНОАНАТОМИЯ ТУРЕЦКОЕ СЕДЛО Передне-задний размер: линия, соединяющая самые отдаленные точки. Норма: 11 мм (до 15 мм). Глубина: проводят линию, соединяющую бугорок и переднюю поверхность спинки турецкого седла, от нее проводят перпендикуляр ко дну. Норма: 8, 5 мм (до 11 -12 мм).
РЕНТГЕНОАНАТОМИЯ ОСНОВНАЯ ПАЗУХА Находится под турецким седлом. Пневматизация – спереди назад. Передняя 1/3 пазухи должна быть пневматизирована 10 годам. к 8 - Расстояние от дна турецкого седла до дна основной пазухи д. б. 12 -15 мм. Оно уменьшается при интраселлярных опухолях.
1. 2. 3. 4. 5. 6. 7. 8. 9. 10. 11. 12. 13. 14. 15. 16. 17. 18. 19. 20. 21. Наружная пластинка Внутренняя пластинка Венечный шов Сагиттальный шов Ламбдовидный шов Лобный гребень Лобные синусы Вехние края малых крыльев основной кости Височный край большого крыла основной кости Верхние края пирамид височных костей Верхушки пирамид Орбиты Отверстия канала зрительного нерва Носовая перегородка Носовые ходы Верхне-челюстные пазухи Подглазничное отверстие Сосцевидный отросток Верхняя челюсть Нижняя челюсть Клетки решетчатого лабиринта
1. 2. 3. 4. 5. 6. 7. 8. 9. 10. 11. 12. 13. 14. 15. 16. 17. 18. Венечный шов Костные борозды ветвей средней оболочечной артерии Ламбдовидный шов Лобные пазухи Дно боковых отделов передней черепной ямки Основная пластинка Дно среднего отдела передней черепной ямки Турецкое седло Скуловая кость Клетки решетчатого лабиринта Верхне-челюстные пазухи Дно боковых отделов средней черепной ямы Пирамиды височных костей Угол нижней челюсти Суставной отросток нижней челюсти Венечный отросток нижней челюсти Зуб II шейного позвонка Отверстие наружного слухового прохода
ВНУТРИЧЕРЕПНАЯ ГИПЕРТЕНЗИЯ Рентгенологические симптомы: Расхождение швов (до 6 -7 лет) Истончение костей свода черепа (от 1 года до 3 лет) Усиление пальцевых вдавлений (от 3 до 6 -7 лет) Усиление отпечатков сосудистых борозд (от 3 до 6 -7 лет) Изменение турецкого седла (у взрослых): остеопороз спинки турецкого седла в виде одинаковой плотности центральной части и вершины, симптом воздушной петли: замыкательная пластинка подчеркнута, ликвидируется четкость замыкательной пластинки спинки седла, заострение спинки турецкого седла, укорочение спинки турецкого седла.
ВНУТРИЧЕРЕПНАЯ ГИПЕРТЕНЗИЯ Остеопороз спинки турецкого седла Истончение спинки турецкого седла
КТ ГОЛОВНОГО МОЗГА Методика исследования, КТ-анатомия
ПОКАЗАНИЯ К ПРОВЕДЕНИЮ КТ ГОЛОВНОГО МОЗГА Травматические повреждения головного мозга, костей черепа, диагностика отдаленных последствий ЧМТ Нарушения мозгового кровообращения острые, хронические, последствия ОНМК Подозрение на объемное образование головного мозга Исключение метастатического поражения
ПОКАЗАНИЯ К ПРОВЕДЕНИЮ КТ ГОЛОВНОГО МОЗГА Динамическое наблюдение послеоперационных больных, больных с ОНМК Церебральные осложнения септических процессов Аномалии развития головного мозга Диагностика гидроцефалии Паразитарные заболевания головного мозга
МЕТОДИКА ПРОВЕДЕНИЯ КТ ГОЛОВНОГО МОЗГА Положении пациента «лежа на спине» Фиксация головы на специальном подголовнике Выполнение обзорной топограммы в боковой проекции, выбор необходимой плоскости томографии Установка начальной позиции стола, угла наклона гентри (плоскости сканирования) Основная томографическая плоскость сканирования - орбитомеатальная линия (наружный угол орбиты - наружный слуховой проход) Субтенториальные отделы ( ЗЧЯ) - плоскость 15 -20 о каудально к орбито-меатальной линии Толщина томографического слоя и шаг стола: ЗЧЯ и основание черепа – 3 -4 мм. Супратенториальная область – 5 -10 мм. Исследование в “костном” и “мозговом” электронных окнах.
БОКОВАЯ ТОПОГРАММА ЧЕРЕПА ПЛОСКОСТЬ СКАНИРОВАНИЯ Аксиальная проекция Корональная проекция
ЭЛЕКТРОННЫЕ ОКНА Костное окно «Мозговое» окно
НОРМАЛЬНАЯ КТ-АНАТОМИЯ ГОЛОВНОГО МОЗГА Неизмененные ткани мозга: серое вещество 36 -40 ед. НU, белое вещество 24 -36 ед. НU
НОРМАЛЬНАЯ КТ-АНАТОМИЯ ГОЛОВНОГО МОЗГА
НОРМАЛЬНАЯ КТ-АНАТОМИЯ ГОЛОВНОГО МОЗГА Неизмененные ткани мозга: серое вещество 36 -40 ед. НU, белое вещество 24 -36 ед. НU
НОРМАЛЬНАЯ КТ-АНАТОМИЯ ГОЛОВНОГО МОЗГА
НОРМАЛЬНАЯ КТ-АНАТОМИЯ ГОЛОВНОГО МОЗГА
КТ ГОЛОВНОГО МОЗГА Патология головного мозга
ПРИЗНАКИ ПАТОЛОГИЧЕСКИХ ИЗМЕНЕНИЙ СТРУКТУР ГОЛОВНОГО МОЗГА Прямые - участки мозговой ткани с измененной плотностью: Гиперденсные зоны - участки повышенной и высокой плотности, «белые» острый период кровоизлияний новообразования из мозговых оболочек паразитарные обызвествления Гиподенсные зоны - участки пониженной и низкой плотности, «черные» эволюция сосудистых изменений зона отека кисты, в т. ч. врожденные объемные образования скопления жира Изоденсные - плотность равна плотности мозговой ткани инфаркт мозга в первые часы кровоизлияния спустя 2 -3 недели 20 -30 % метастатического поражения без в/ венного контрастирования объемные образования
ГИПЕРДЕНСНЫЕ ЗОНЫ - УЧАСТКИ ПОВЫШЕННОЙ И ВЫСОКОЙ ПЛОТНОСТИ, «БЕЛЫЕ» Острая гематома Менингеома
ГИПОДЕНСНЫЕ ЗОНЫ - УЧАСТКИ ПОНИЖЕННОЙ И НИЗКОЙ ПЛОТНОСТИ, «ЧЕРНЫЕ» Ишемический инсульт Опухоль
ИЗОДЕНСНЫЕ - ПЛОТНОСТЬ РАВНА ПЛОТНОСТИ МОЗГОВОЙ ТКАНИ Эпидуральная гематома, подострая фаза Метастаз в левой теменной доле
ПРИЗНАКИ ПАТОЛОГИЧЕСКИХ ИЗМЕНЕНИЙ СТРУКТУР ГОЛОВНОГО МОЗГА Непрямые (косвенные): Дислокация срединных структур: прозрачная перегородка полость III желудочка шишковидная железа Деформация мозговых структур и ликворной системы Изменение величины желудочков и борозд полушарий, субарахноидальных пространств
КТ ГОЛОВНОГО МОЗГА Черепно-мозговая травма
ТАКТИКА НЕОТЛОЖНОГО ЛУЧЕВОГО ИССЛЕДОВАНИЯ КТ по неотложным показаниям: тяжелая степень ЧМТ неясная клиническая картина КТ в течение 24 часов, в плановом порядке: при легкой степени ЧМТ КТ с в/венным контрастированием: дифференциальная диагностика ЧМТ и объемных образований, дифференциальная диагностика ЧМТ и ОНМК диагностика хронических стадий ЧМТ КТАГ: подозрение на разрыв артериальной аневризмы
ТАКТИКА НЕОТЛОЖНОГО ЛУЧЕВОГО ИССЛЕДОВАНИЯ Традиционная краниография: Не является основным методом обследования, после проведения КТ может не выполняться. Имеет преимущества перед КТ в выявлении линейных переломов костей свода черепа, которые не получают отображения при параллельном ходе перелома и плоскости сканирования.
ТАКТИКА НЕОТЛОЖНОГО ЛУЧЕВОГО ИССЛЕДОВАНИЯ МРТ В остром периоде диагностические возможности ниже, чем при КТ, т. к. кровоизлияния в острый период изоинтенсивны по отношению к головному мозгу Преимущества – диагностика подострых и хронических повреждений головного мозга
ВИДЫ ПОВРЕЖДЕНИЙ ЧЕРЕПА И ГОЛОВНОГО МОЗГА Переломы черепа Травматическое субарахноидальное кровоизлияние Эпидуральные гематомы Субдуральные гематомы Сотрясение Ушибы головного мозга Диффузное аксональное повреждение Вторичная посттравматическая ишемия Посттравматическая гидроцефалия
ПЕРЕЛОМЫ Свода: Трещины или линейные переломы Травматическое расхождение черепных швов Вдавленные переломы Переломы с образованием дефектов костей (дырчатые) Основания: Передней ЧЯ Средней ЧЯ Задней ЧЯ Свода и основания
ЛИНЕЙНЫЕ ПЕРЕЛОМЫ СВОДА ЧЕРЕПА Рентгенологические симптомы: Повышенная прозрачность Узость просвета Раздвоение по ходу линии перелома со снижением прозрачности в этом месте Зигзагообразность линии перелома Прямолинейность.
ЛИНЕЙНЫЕ ПЕРЕЛОМЫ СВОДА ЧЕРЕПА Рентгенологические симптомы: Повышенная прозрачность Узость просвета Раздвоение по ходу линии перелома со снижением прозрачности в этом месте Зигзагообразность линии перелома Прямолинейность.
ЛИНЕЙНЫЕ ПЕРЕЛОМЫ СВОДА ЧЕРЕПА повышенная прозрачность узость просвета прямолинейность.
ТРАВМАТИЧЕСКОЕ РАСХОЖДЕНИЕ ВНУТРИЧЕРЕПНЫХ ШВОВ Если шов синостозирован, линия перелома, проходя через него не меняет своего направления. Если сила удара меньше сопротивления кости, то линия перелома доходит до шва и дальше через шов не идет (травматического расхождения шва не бывает). Если сила удара соответствует сопротивлению кости, то происходит травматическое расхождение швов. Если сила удара больше сопротивления кости, и линия перелома доходит до шва, возникает травматическое расхождение кости, и линия переходит через шов, сохраняя то же направление, но при этом смещаясь по длиннику.
ТРАВМАТИЧЕСКОЕ РАСХОЖДЕНИЕ ВНУТРИЧЕРЕПНЫХ ШВОВ Рентгенологические симптомы: На пораженной стороне – зияние шва Разное стояние соседних костей Расхождение швов может ликвидироваться после исчезновения отека.
ВДАВЛЕННЫЕ ПЕРЕЛОМЫ Импрессионный перелом возникает при ударе острым предметом (при небольшой поверхности соприкосновения черепа с ранящим предметом). Поврежденный участок кости вдавливается конусообразно с внедрением костных отломков в полость черепа в месте удара. При этом фрагменты кости могут быть частично связаны с костями свода или же полностью отделиться от них.
ВДАВЛЕННЫЙ ИМПРЕССИОННЫЙ ПЕРЕЛОМ ЛЕВОЙ ТЕМЕННОЙ КОСТИ ОБОЗНАЧЕН СТРЕЛКАМИ
ВДАВЛЕННЫЕ ПЕРЕЛОМЫ Депрессионный перелом возникает при значительной площади соприкосновения поверхности головы с тупым ранящим предметом. Отломки кости полностью отделяются от черепа и вдавливаются в его полость. При небольших размерах вдавленного перелома и смещении отломков в полость черепа образуется костный дефект – дырчатый перелом.
ВДАВЛЕННЫЙ ДЕПРЕССИОННЫЙ ПЕРЕЛОМ ЛОБНОЙ И ТЕМЕННОЙ КОСТЕЙ (УКАЗАН СТРЕЛКАМИ). РАСПРОСТРАНЕНИЕ ЛИНИИ ПЕРЕЛОМА НА ОСНОВАНИЕ ЧЕРЕПА
ПЕРЕЛОМЫ Частота: 3% пациентов с ЧМТ У 90% пациентов с переломом – внутричерепное повреждение Клиника: ретроградная амнезия головная боль тошнота, рвота бессознательное состояние пациента с множественными травмами – абсолютное показание для КТ ГМ
ПЕРЕЛОМЫ КОСТЕЙ ЧЕРЕПА Линейные переломы костей свода черепа
ПЕРЕЛОМЫ КОСТЕЙ ЧЕРЕПА Переломы основания черепа
ПЕРЕЛОМЫ КОСТЕЙ ЧЕРЕПА Переломы основания черепа, осложнения – гемосинус, гемотимпанум
ПЕРЕЛОМЫ КОСТЕЙ ЧЕРЕПА Вдавленный перелом костей свода черепа, пневмоцефалия
ВДАВЛЕННЫЕ ПЕРЕЛОМЫ Вдавленные переломы в левой и правой половинах дна задней черепной ямки
СОТРЯСЕНИЕ изменений плотности мозговой ткани не выявляется размеры желудочковой системы и цистерн основания мозга не изменены м. б. локальное расширение базальных или конвекситальных борозд вследствие острого нарушения ликвородинамики редко – расширение желудочковой системы, субарахноидальных пространств
УШИБ (КОНТУЗИЯ) Самый частый вид кровоизлияния при ЧМТ В 20% случаев сочетается с другими видами гематом (субдуральной, субарахноидальной, внутримозговой) Локализация: базальные отделы лобной доли затылочная доля теменная доля
УШИБ Клиника: неспецифична, зависит от объема кровоизлияния головная боль тошнота, рвота м. б. потеря сознания гемипарез глазодвигательные нарушения
УШИБ острейшая стадия – гиподенсный участок позднее – гиперденсный очаг с гиподенсным ободком (перифокальный отек) Размер: несколько мм – несколько см М. б. масс-эффект: Отек головного мозга Смещение срединных структур Сдавление желудочков с нарушением ликвороциркуляции Сдавление охватывающей цистерны
УШИБЫ ГОЛОВНОГО МОЗГА: ОСТРАЯ ПОСТТРАВМАТИЧЕСКАЯ ИШЕМИЯ Гиподенсный участок неправильно-округлой формы в заднем полюсе лобной доли правого полушария, без четких контуров, деформация переднего рога правого бокового желудочка
УШИБЫ ГОЛОВНОГО МОЗГА: МЕЛКООЧАГОВЫЙ КОНТУЗИОННЫЙ ОЧАГ КТ: гиперденсные участки 1 см, округлой формы, корковая локализация, перифокально – зона отека
УШИБЫ ГОЛОВНОГО МОЗГА: КРУПНООЧАГОВЫЙ КОРКОВЫЙ КОНТУЗИОННЫЙ ОЧАГ Острый период – гиперденсный участок, 1. 5 -2. 5 см. , перифокально – зона отека (гиподенсная зона)
УШИБЫ ГОЛОВНОГО МОЗГА: ВНУТРИМОЗГОВАЯ ГЕМАТОМА Острая фаза – объем более 50. 0 см 3 гиперденсная зона неправильной формы, с неровными нечеткими контурами, перифокальный отек, «массэффект»
УШИБЫ ГОЛОВНОГО МОЗГА: ВНУТРИМОЗГОВАЯ ГЕМАТОМА Острая фаза – объем более 50. 0 см 3 гиперденсная зона неправильной формы, с неровными контурами, перифокально - отек, «масс-эффект»
УШИБЫ ГОЛОВНОГО МОЗГА: ВНУТРИМОЗГОВАЯ ГЕМАТОМА, ПОДОСТРАЯ ФАЗА участок смешанной плотности перифокальный отек «масс-эффект»
УШИБЫ ГОЛОВНОГО МОЗГА ХРОНИЧЕСКАЯ СТАДИЯ Гиподенсные зоны с неровными контурами, атрофия головного мозга, компенсаторная заместительная гидроцефалия
ДИФФУЗНОЕ АКСОНАЛЬНОЕ ПОВРЕЖДЕНИЕ Повреждение головного мозга с частичным или полным разрывом аксонов и наличием множественных мелкоточечных кровоизлияний Клиника: длительное коматозное состояние (> 6 часов) с момента травмы судороги показана ИВЛ критическое состояние пациента противоречит практически неизмененной КТ-картине КТ: отек головного мозга единичные мелкие (до нескольких мм) гиперденсные очажки кровоизлияний на границе серого и белого вещества поздний симптом – атрофия ГМ
ДИФФУЗНОЕ АКСОНАЛЬНОЕ ПОВРЕЖДЕНИЕ Снижение плотности, увеличение объема мозга, кровоизлияния, сдавление ликворных пространств
СУБАРАХНОИДАЛЬНОЕ КРОВОИЗЛИЯНИЕ Скопление крови между мягкой и паутинной оболочками. КТ: сгустки крови (гиперденсные полоски) в бороздах и субарахноидальном пространстве повышенная плотность цистерн мозга типичная локализация – теменная доля отсутствие смещения срединных структур
СУБАРАХНОИДАЛЬНОЕ КРОВОИЗЛИЯНИЕ Гиперденсные зоны в ликворных пространствах
ЭПИДУРАЛЬНАЯ ГЕМАТОМА Скопление крови между твердой мозговой оболочкой и костью Этиология: повреждение ветвей оболочечных артерий (85% средней оболочечной артерии) повреждение диплоических вен повреждение венозных синусов локализация – височно-теменная область Клиника: неотложное состояние, которое может быстро привести к летальному исходу тошнота, рвота, головная боль, потеря сознания м. б. стремительное ухудшение состояния пациенты часто на ИВЛ
ЭПИДУРАЛЬНАЯ ГЕМАТОМА КТ: гиперденсная зона по контуру кости (+70…+80 HU) форма двояковыпуклой линзы прилежит к кости внутренний контур четкий, ровный не пересекает линии швов «масс-эффект» - смещение срединных структур меньше толщины гематомы структура зависит от давности возникновения длина: ширина = 5: 1 м. б. перелом кости в дне гематомы
ЭПИДУРАЛЬНАЯ ГЕМАТОМА (ОСТРАЯ СТАДИЯ) Гиперденсная зона, форма линзы, четкие контуры
ЭПИДУРАЛЬНАЯ ГЕМАТОМА (ПОДОСТРАЯ, ХРОНИЧЕСКАЯ СТАДИИ) Гиперденсная зона в виде линзы, четкие, ровные контуры Изоденсная зона в виде линзы, четкие, ровные контуры
СУБДУРАЛЬНАЯ ГЕМАТОМА Скопление крови между твердой мозговой и паутинной оболочками. Этиология: Повреждение переходных вен, впадающих в синусы Повреждение корковых ветвей артерий Клиника: тошнота, рвота, головная боль нарушение сознания м. б. стремительное ухудшение состояния анизокория или внезапная утрата реакции зрачков пациент на ИВЛ
СУБДУРАЛЬНАЯ ГЕМАТОМА КТ (острая): гиперденсная зона по контуру кости, м. б. затек на намет мозжечка, серповидный отросток серповидная форма четкий наружный, неровный внутренний контуры острые края пересекает линии швов «масс-эффект» - смещение срединных структур больше толщины гематомы структура и плотность зависят от давности длина: ширина = 10: 1
СУБДУРАЛЬНАЯ ГЕМАТОМА Острая: Подострая: форма серпа гиперденсная неровный внутренний контур утрачивает форму серпа становится изоденсной приобретает капсулу нарастает «масс-эффект» Хроническая: от 1 до 4 нед. : двояковыпуклая гиподенсная или изоденсная капсула «масс-эффект»
СДАВЛЕНИЕ ГОЛОВНОГО МОЗГА: СУБДУРАЛЬНАЯ ГЕМАТОМА (ОСТРАЯ ФАЗА) Гиперденсная зона по контуру кости, серповидная форма, неровный внутренний контур
СДАВЛЕНИЕ ГОЛОВНОГО МОЗГА: СУБДУРАЛЬНАЯ ГЕМАТОМА (ПОДОСТРАЯ ФАЗА) Неоднородная структура, гипер- гиподенсная зона, серповидная форма, «масс-эффект»
СДАВЛЕНИЕ ГОЛОВНОГО МОЗГА: СУБДУРАЛЬНАЯ ГЕМАТОМА (ХРОНИЧЕСКАЯ ФАЗА) Гиподенсная зона по контуру кости, серповидная форма, «масс-эффект»
КТ ГОЛОВНОГО МОЗГА Сосудистые заболевания головного мозга
СОСУДИСТЫЕ ЗАБОЛЕВАНИЯ ГОЛОВНОГО МОЗГА (ШМИДТ Е. В. , 1985) I – Заболевания и патологические состояния, приводящие к нарушениям кровообращения в головном мозге (атеросклероз, ГБ и т. д. ) II – Нарушения мозгового кровообращения А. Начальные проявления недостаточности мозгового кровообращения Б. Преходящие нарушения мозгового кровообращения В. Инсульт - субарахноидальное нетравматическое кровоизлияние - геморрагический инсульт - ишемический инсульт Г. Прогрессирующие нарушения мозгового кровообращения - дисциркуляторная энцефалопатия 1. атеросклеротическая 2. гипертоническая 3. венозные и др. неуточненные
ИНСУЛЬТ Определение ВОЗ – быстро развивающееся фокальное или глобальное нарушение функции мозга, длящееся более 24 часов или приводящее к смерти, при исключении другого генеза заболевания Ишемический – 80% 1. Переднециркуляторные, супратенториальные (каротидный бассейн) 2. Заднециркуляторные, субтенториальные (вертебробазиллярный бассейн)
ИШЕМИЧЕСКИЙ ИНСУЛЬТ Стадии: Острейшая: до 6 часов Острая: от 6 часов до 3 суток Подострая: от 3 до 10 -14 суток Хроническая: после 14 дня
ИШЕМИЧЕСКИЙ ИНСУЛЬТ ОСТРЕЙШАЯ И ОСТРАЯ ФАЗА – ДО 12 ЧАСОВ. (фокальный цитотоксический отек мозга) КТ-симптомы: В первые часы у 50% - нормальная КТ-картина Симптом повышения плотности артерии (чаще среднемозговой) вследствие тромбоза – 25% Размытость границ лентикулярного ядра Утрата дифференцировки белого и серого вещества Сглаженность корковых извилин Отсутствие субарахноидальных щелей в зоне поражения
ИШЕМИЧЕСКИЙ ИНСУЛЬТ 4 часа 5 сутки
ИШЕМИЧЕСКИЙ ИНСУЛЬТ ОСТРАЯ ФАЗА – 0 -2 СУТ. КТ-симптомы: В течение 24 часов – снижение плотности мозгового вещества в зоне поражения (max – 3 сутки) Перифокальный отек Масс-эффект на окружающие мозговые структуры и желудочки мозга
ИШЕМИЧЕСКИЙ ИНСУЛЬТ Гипоподенсный участок, нечеткие контуры, соответствие бассейну кровоснабжения (лакунарный инфаркт)
ИШЕМИЧЕСКИЙ ИНСУЛЬТ Гиподенсные зоны симметрично в бассейне ЗМА
ИШЕМИЧЕСКИЙ ИНСУЛЬТ ПОДОСТРАЯ ФАЗА 3 -8 сутки (нарастает цитотоксический и вазогенный отек, распад зоны некроза). ГИПОДЕНСНАЯ зона, распространяющаяся на белое и серое вещество в типичном артериальном бассейне; нарастает «масс-эффект» . в первые 4 -6 суток - признаки геморрагического пропитывания – участки повышения плотности в подкорковых узлах и по ходу извилин – 15 -20%
ИШЕМИЧЕСКИЙ ИНСУЛЬТ ПОДОСТРАЯ ФАЗА Гиподенсная зона с неровными контурами в бассейне СМА слева, умеренный «масс-эффект»
ИШЕМИЧЕСКИЙ ИНСУЛЬТ ПОДОСТРАЯ ФАЗА 9 -14 сутки (организация инфаркта: резорбция и репарация в зоне некроза мозговой ткани, уменьшение отека) ИЗОДЕНСНЫЙ участок (эффект затуманивания) регресс масс-эффекта
ИШЕМИЧЕСКИЙ ИНСУЛЬТ ХРОНИЧЕСКАЯ ФАЗА (формирование зоны энцефаломаляции (постинфарктной кисты), окруженной глиозно измененным мозговым веществом) ГИПОДЕНСНАЯ зона ликворной плотности (псевдокиста) заместительная гидроцефалия
КРОВОИЗЛИЯНИЯ В ГОЛОВНОЙ МОЗГ Внутримозговые (супратенториальные, полушарные) 1. Латеральные – кнаружи от внутренней капсулы - поражение базальных ядер, внутренней капсулы, белого вещества - поражение базальных ядер, массивное поражение белого вещества 2. Лобарные (долевые) 3. Медиальные – кнутри от внутренней капсулы - поражение таламуса и внутренней капсулы - поражение таламуса, внутренней капсулы, среднего мозга 4. Смешанные Внутримозговые (субтенториальные) 5. Кровоизлияния в мозжечок 6. Стволовые кровоизлияния и в III , IV желудочки Оболочечные кровоизлияния 8. Субарахноидальные 9. Субдуральные 10. Эпидуральные Внутрижелудочковые кровоизлияния
ГЕМОРРАГИЧЕСКИЙ ИНСУЛЬТ Острая стадия - до 3 суток гиперденсная зона (40 -90 HU) с нечеткими контурами (свежая кровь - ↑ концентрация белка в молекуле Hb) перифокально – гиподенсная зона (отек, ишемия) КУ по периферии «–» Подострая стадия - 3 -14 дней снижение плотности от периферии к центру изоденсная зона (окисление Hb до мет-Hb) сохраняется перифокальный отек «масс-эффект» КУ по периферии «+» (формируется капсула – конец 1 -й недели) Хроническая стадия - 14 дней – 6 месяцев четко очерченная гиподенсная зона (резорбция жидкости и белка из сгустка крови → дефект мозговой ткани) КУ по периферии «+»
ГЕМОРРАГИЧЕСКИЙ ИНСУЛЬТ: ОСТРАЯ ФАЗА Кровоизлияние в левое полушарие мозжечка: гиперденсная зона, перифокально – отек, «масс-эффект»
ГЕМОРРАГИЧЕСКИЙ ИНСУЛЬТ: ОСТРАЯ ФАЗА Латеральное супратенториальное кровоизлияние: гиперденсная зона в белом веществе, п/корковых ядрах, «масс-эффект» , отек, прорыв крови в желудочковую систему
к ГЕМОРРАГИЧЕСКИЙ ИНСУЛЬТ: ОСТРАЯ ФАЗА Супратенториальное лобарное кровоизлияние: гиперденсная зона, неровные контуры, перифокально - отек
ГЕМОРРАГИЧЕСКИЙ ИНСУЛЬТ: ПОДОСТРАЯ ФАЗА Супратенториальное латеральное кровоизлияние изо- гиперденсная зона «масс-эффект» перифокальный отек
ГЕМОРРАГИЧЕСКИЙ ИНСУЛЬТ: ХРОНИЧЕСКАЯ ФАЗА Разнокалиберные гиподенсные зоны неправильной формы, атрофия головного мозга, компенсаторная гидроцефалия
ГЕМОРРАГИЧЕСКИЙ ИНСУЛЬТ Осложнения: Проявления «масс-эффекта» Прорыв крови в желудочковую систему и субарахноидальные пространства Острая окклюзионная внутренняя гидроцефалия Симптомы вклинения ствола мозга
ОСЛОЖНЕНИЯ ГЕМОРРАГИЧЕСКОГО ИНСУЛЬТА Гемотампонада боковых желудочков, окклюзионная гидроцефалия, перивентрикулярный отек
ДИФФЕРЕНЦИАЛЬНЫЙ ДИАГНОЗ Кровоизлияние в опухоль и mts ГМ: гиперинтенсивный сигнал (деокси-Hb) > недели более выраженный отек и «масс-эффект» мультифокальность и неправильный контур кровоизлияния локализация увеличение зоны изменения вещества ГМ вокруг гематомы в динамике КУ «+» по периферии гематомы (в опухоли)
ДИФФЕРЕНЦИАЛЬНЫЙ ДИАГНОЗ: ОПУХОЛЬ ГОЛОВНОГО МОЗГА (МЕНИНГЕОМА) Гиперденсные образования, четкие ровные контуры, перифокальный отек, «масс-эффект»
ДИФФЕРЕНЦИАЛЬНЫЙ ДИАГНОЗ: ОПУХОЛЬ (РЕЦИДИВ ГЛИОБЛАСТОМЫ) Гипер- гиподенсное образование в области правого бокового желудочка, каллезного тела, асимметричная гидроцефалия
ДИФФЕРЕНЦИАЛЬНЫЙ ДИАГНОЗ: ОПУХОЛЬ ГОЛОВНОГО МОЗГА Гиподенсные зоны, характер контуров различен, «массэффект»
ДИФФЕРЕНЦИАЛЬНЫЙ ДИАГНОЗ: ОПУХОЛЬ ЗЧЯ Гиподенсная зона в проекции червя и левого полушария мозжечка, перифокальный отек, «массэффект»
ДИФФЕРЕНЦИАЛЬНЫЙ ДИАГНОЗ: MTS-ПОРАЖЕНИЕ Участки смешанной плотности, «масс-эффект»
ДИФФЕРЕНЦИАЛЬНЫЙ ДИАГНОЗ: MTS-ПОРАЖЕНИЕ Участки смешанной плотности, «масс-эффект»
KT.ppt