13 Рак толстой кишки.ppt
- Количество слайдов: 69
КОЛОРЕКТАЛЬНЫЙ РАК
http: //enterolog. ru/kishechnik/
http: //enterolog. ru/kishechnik/
РАК ТОЛСТОЙ КИШКИ • Частота в Российской Федерации 22 на 100000 населения. • 3 место среди раковых опухолей • У 20 -60 % больных диагноcцируется IV стадия заболевания • 40 % больных оперируются по поводу осложнений рака
ФАКТОРЫ РИСКА РАЗВИТИЯ РАКА ТОЛСТОЙ КИШКИ • Возраст старше 50 лет • Малошлаковая диета с высоким содержанием животных жиров • Нарушение режима питания • Хронические заболевания толстой кишки • Наследственность и наследственные заболевания • Факторы внешней среды
ПРЕДРАКОВЫЕ ЗАБОЛЕВАНИЯ • Ворсинчатые образования толстой кишки. • Неспецифический язвенный колит. • Дивертикулярная болезнь • Полипы толстой кишки
НЕСПЕЦИФИЧЕСКИЙ ЯЗВЕННЫЙ КОЛИТ
ПОЛИПЫ ТОЛСТОЙ КИШКИ Формирующийся полип (3 -4 мм) Полип на широком основании Полип на ножке Ворсинчатый полип
ТАКТИКА ЛЕЧЕНИЯ ПОЛИПОВ ТОЛСТОЙ КИШКИ • Колонофиброскопия с биопсией • Эндоскопическая электроэксцизия полипа (эндоскопическая полипэктомия) • Хирургическое лечение
ЭНДОСКОПИЧЕСКАЯ ПОЛИПЭКТОМИЯ
ЧАСТОТА ЛОКАЛИЗАЦИЙ
КЛАССИФИКАЦИЯ ПО ХАРАКТЕРУ РОСТА • Экзофитный • Эндофитный • Смешанный (блюдцеобразный ракязва) • Мультицентрический рост
ЭКЗОФИТНЫЙ И ЭНДОФИТНЫЙ РОСТ ОПУХОЛИ Экзофитный рост Эндофитный рост Неправильное представление об экзофитном росте
МЕЖДУНАРОДНАЯ ГИСТОЛОГИЧЕСКАЯ КЛАССИФИКАЦИЯ • аденокарцинома 70 % • слизистый рак 15 % • скирр 10 % • солидный рак 5 %
КЛАССИФИИКАЦИЯ ПО СТАДИЯМ I стадия – Опухоль, локализующаяся в слизистой оболочке или подслизистом слое, метастазов в лимфатических узлах нет. II стадия – А. Опухоль занимает не более полуокружности кишки, не выходит за пределы кишечной стенки, метастазов в лимфатических узлах нет. Б. Опухоль занимает не более полуокружности кишки, прорастает всю её стенку, но не выходит за переделы кишки, метастазов в регионарных лимфатических узлах нет.
КЛАССИФИИКАЦИЯ ПО СТАДИЯМ (продолжение) III стадия – А. Опухоль занимает более полуокружности кишки, прорастает всю ее стенку или соседнюю брюшину, без регионарных метастазов. Б. Опухоль любого размера при наличии множественных метастазов в регионарные лимфатические узлы. IV стадия – Обширная опухоль, прорастающая в соседние органы с множественными регионарными метастазами, а также любая опухоль с отдаленными метастазами.
МЕЖДУНАРОДНАЯ КЛАССИФИКАЦИЯ ПО СИСТЕМЕ TNM T – первичная опухоль: Тis – интраэпителиальная опухоль или с инвазией слизистой оболочки Т 1 – опухоль инфильтрирует до подслизистого слоя; Т 2 – опухоль инфильтрирует подслизистый слой; Т 3 – опухоль прорастает все слои кишечной стенки; Т 4 – опухоль прорастает серозный покров или непосредственно распространяется на соседние органы и структуры.
МЕЖДУНАРОДНАЯ КЛАССИФИКАЦИЯ ПО СИСТЕМЕ TNM(продолжение) N – региональные лимфатические узлы: N 0 – нет поражения лимфатических узлов; N 1 – метастазы в 1 -3 лимфатических узла; N 2 – метастазы в 4 лимфатических узла и более. М – отдаленные метастазы: М 0 –отдаленных метастазов нет; М 1 – имеются отдаленные метастазы.
ГРУППИРОВКА ПО СТАДИЯМ Стадия 0 Тis N 0 М 0 Стадия 1 Т 1 N 0 М 0 Т 2 ТЗ Т 4 Т 3 любая Т N 0 N 0 N 1 N 2 M 0 М 0 М 0 любая Т любая N М 1 Стадия 2 Стадия 3 Стадия 4
МЕТАСТАЗИРОВАНИЕ • Регионарные лимфоузлы • Отдаленные метастазы
ПУТИ МЕТАСТАЗИРОВАНИЯ • Лимфогенный 60 % • Гематогенный 20 % • Имплантационный 20 %
КЛИНИКА И ДИАГНОСТИКА • • • КЛИНИКА РАКА ТОЛСТОЙ КИШКИ I Симптомы кишечного дискомфорта. II Боли. III Признаки нарушения проходимости по кишечнику. IV Появление крови в кале. V Наличие опухоли.
ЛЮБОЕ ПРОЯВЛЕНИЕ КИШЕЧНОГО (АБДОМИНАЛЬНОГО) ДИСКОМФОРТА МОЖЕТ БЫТЬ МАНИФЕСТАЦИЕЙ РАКА ТОЛСТОЙ КИШКИ
ОСОБЕННОСТИ РОСТА И КЛИНИЧЕСКОГО ТЕЧЕНИЯ РАКА ПРАВОЙ ПОЛОВИНЫ ТОЛСТОЙ КИШКИ • Экзофитный рост • Быстро распадается • Быстро инфицируется • Часто кровоточит • Перифокальное воспаление часто ОСНОВНЫЕ СИМПТОМЫ • Выраженная раковая интоксикация • Потеря в весе • Повышение температуры • Нарастающая анемия • Периодические нерегулярные поносы
ОСОБЕННОСТИ РОСТА И КЛИНИЧЕСКОГО ТЕЧЕНИЯ РАКА ЛЕВОЙ ПОЛОВИНЫ ТОЛСТОЙ КИШКИ • Эндофитный рост • Медленно распадается • Медленно инфицируется • Реже кровоточит • Перифокальное воспаление редко. ОСНОВНЫЕ СИМПТОМЫ КЛИНИКА ОБТУРАЦИОННОЙ КИШЕЧНОЙ НЕПРОХОДИМОСТИ • • Вздутие живота Урчание Тошнота, поздняя рвота Задержка стула и газов
ДИАГНОСТИКА • Анамнез • Клинические данные • Пальцевое исследование прямой кишки • Лабораторные методы (анализ кала на скрытую кровь) • Ректороманоскопия • Колонофиброскопия с биопсией • Ирригоскопия • Морфологическое исследование • Ультразвуковое исследование брюшной полости • Компьютерная томография • Лапароскопия
ОНКОМАРКЕРЫ • Cа 72 -4 Углеводный антиген • Cа 242 Углеводный антиген • Опухолевая М 2 -пируваткиназа
ПАЛЬЦЕВОЕ РЕКТАЛЬНОЕ ИССЛЕДОВАНИЕ
ИРРИГОСКОПИЯ
КОЛОНОФИБРОСКОПИЯ Малигнизированный полип Аденокарцинома Плоскоклеточный рак Саркома Капоши
ГИСТОЛОГИЧЕСКОЕ ИССЛЕДОВАНИЕ КАФЕДРА ХИРУРГИИ МОСКОВСКОГО ФАКУЛЬТЕТА
КОМПЬЮТЕРНАЯ ТОМОГРАФИЯ Полип на ножке в селезеночном изгибе толстой кишки КАФЕДРА ХИРУРГИИ МОСКОВСКОГО ФАКУЛЬТЕТА
Рак поперечной ободочной кишки КАФЕДРА ХИРУРГИИ МОСКОВСКОГО ФАКУЛЬТЕТА
ОСЛОЖНЕНИЯ РАКА ТОЛСТОЙ КИШКИ • Острая кишечная непроходимость • Кишечное кровотечение • Перифокальное воспаление • Перфорация • Анемия
ДИФФЕРЕНЦИАЛЬНАЯ ДИАГНОСТИКА • Воспалительные заболевания кишечника (аппендикулярный инфильтрат, туберкулез слепой кишки) • Опухоли забрюшинного пространства • Заболевания желчного пузыря и почек (воспалительные, онкологические) • Опухоли матки и яичников
АППЕНДИКУЛЯРНЫЙ ИНФИЛЬТРАТ ИЛИ РАК С ПЕРИФОКАЛЬНЫМ ВОСПАЛЕНИЕМ? • Вначале лечение • При стихании воспалительных явлений, через 3 недели – колоноскопия или ирригоскопия
ХИРУРГИЧЕСКОЕ ЛЕЧЕНИЕ РАКА ТОЛСТОЙ КИШКИ
ХИРУРГИЧЕСКОЕ ЛЕЧЕНИЕ РТК • Одноэтапное • Двухэтапное • Трехэтапное
ОБЪЕМ ОПЕРАЦИИ ПРИ РТК ОПРЕДЕЛЯЕТСЯ • • • Стадией рака Локализацией опухоли Возрастом больного Наличием осложнений Качеством подготовки толстой кишки Возможностью удалить опухоль
РЕЗЕКЦИЯ СИГМОВИДНОЙ КИШКИ
ЛЕВОСТОРОННЯЯ ГЕМИКОЛЭКТОМИЯ
ПРАВОСТОРОННЯЯ ГЕМИКОЛЭКТОМИЯ
ОБХОДНОЙ АНАСТОМОЗ
ОБХОДНОЙ АНАСТОМОЗ
КОЛОСТОМА Одноствольная колостома http: //ostome. info/
КОЛОСТОМА http: //www. dansac. no/default. asp? Action=Details&Item=197
КОЛОСТОМА Двуствольная колостома http: //www. mystoma. org/publication/article/osnovnye-vidy-kishechnyh-stom--kolostoma
КОЛОСТОМА
АССОЦИАЦИЯ СТОМИРОВАННЫХ БОЛЬНЫХ http: //astom. ru/
ЛЕЧЕНИЕ МЕТАСТАТИЧЕСКОГО ПОРАЖЕНИЯ ПЕЧЕНИ • • Резекция печени Радиочастотная абляция Диатермокоагуляция метастазов Этаноловая абляция метастазов
ПОСЛЕОПЕРАЦИОННОЕ АДЬЮВАНТНОЕ ЛЕЧЕНИЕ • Химиотерапия • Лучевая терапия – эффективна только для рака прямой кишки • Таргетная терапия
ПРОГНОЗ 5 -летняя выживаемость • • 1 стадия 2 стадия 3 стадия 4 стадия 90 -100 % 70 -85 % 35 -65 % <5%
ПРОФИЛАКТИКА • Диета богатая растительной клетчаткой • Профилактика запоров • Лечение воспалительных заболеваний толстой кишки • Своевременное удаление полипов толстой кишки • Ежегодная диспансеризация
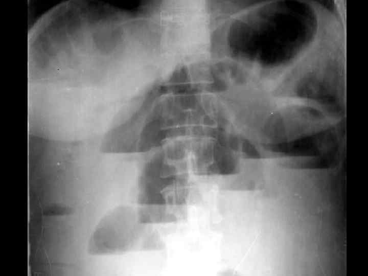
ОБТУРАЦИОННАЯ ТОЛСТОКИШЕЧНАЯ НЕПРОХОДИМОСТЬ • • опухолевый анамнез возраст больных схваткообразные боли в животе задержка стула и газов "поздняя" рвота вздутие живота интоксикация Симптомы Цеге–Мантейфеля, Обуховской больницы • при рентгенографии- множественные толсто- и тонкокишечные уровни, пневматоз толстой кишки
ОБТУРАЦИОННАЯ НЕПРОХОДИМОСТЬ попытка консервативного лечения непроходимость разрешилась непроходимость не разрешилась плановая операция срочная операция стентирование
КАРЦИНОИД ЧЕРВЕОБРАЗНОГО ОТРОСТКА КАФЕДРА ХИРУРГИИ МОСКОВСКОГО ФАКУЛЬТЕТА


